Self-Isolated Dual-Mode High-Pass Birdcage RF Coil for Proton and Sodium MR Imaging at 7 T MRI
Abstract
:1. Introduction
2. Materials and Methods
2.1. FDTD EM Simulation
2.2. Single-Tuned Birdcage (STBC) RF Coil
2.3. 1H/23Na Dual-Mode Birdcage (DMBC) RF Coil [42]
2.4. MR Imaging Experiment
3. Results
3.1. EM Simulation
3.2. Bench Test Measurements
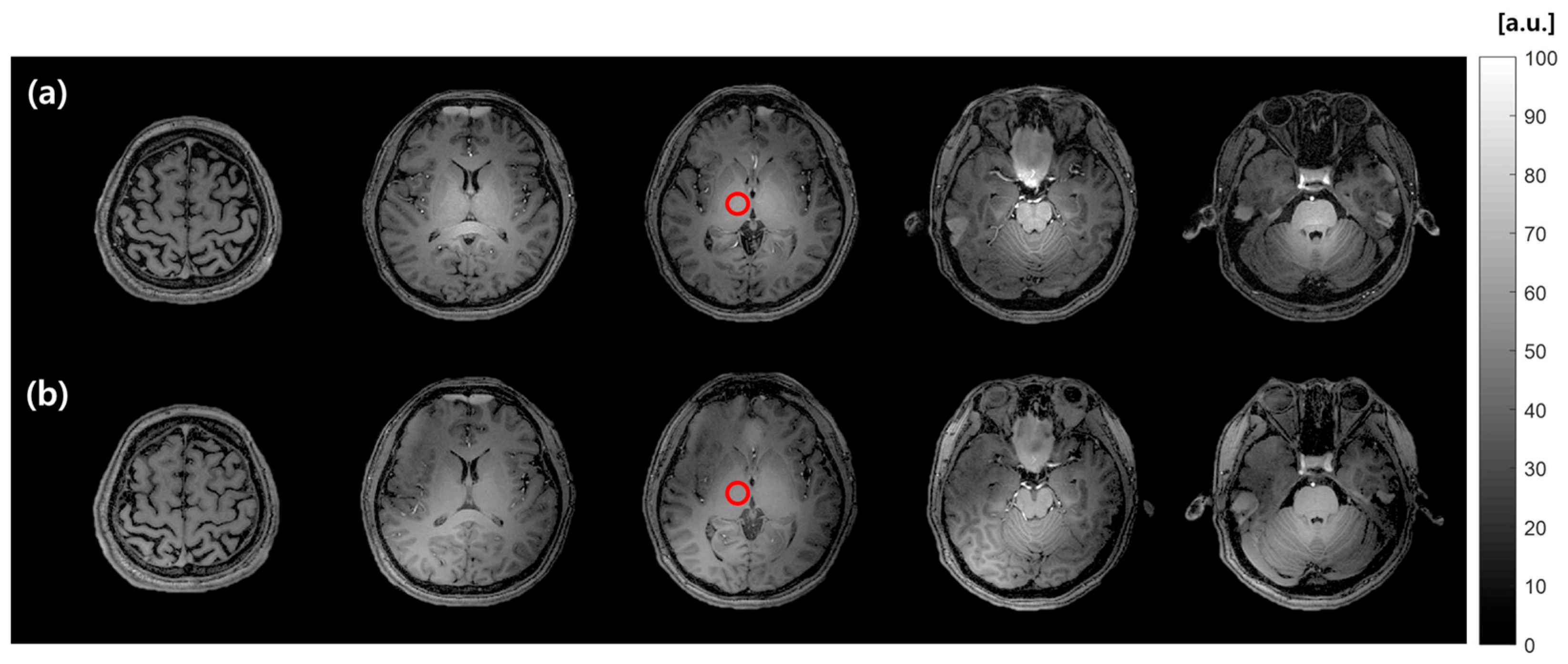
3.3. MR Imaging Experiments
4. Discussion
5. Conclusions
Author Contributions
Funding
Institutional Review Board Statement
Informed Consent Statement
Data Availability Statement
Acknowledgments
Conflicts of Interest
References
- Ouwerkerk, R.; Jacobs, M.A.; Macura, K.J.; Wolff, A.C.; Stearns, V.; Mezban, S.D.; Khouri, N.F.; Bluemke, D.A.; Bottomley, P.A. Elevated tissue sodium concentration in malignant breast lesions detected with non-invasive 23Na MRI. Breast Cancer Res. Treat. 2007, 106, 151–160. [Google Scholar] [CrossRef] [PubMed]
- Poku, L.O.; Phil, M.; Cheng, Y.; Wang, K.; Sun, X. 23Na-MRI as a Noninvasive Biomarker for Cancer Diagnosis and Prognosis. J. Magn. Reson. Imaging 2021, 53, 995–1014. [Google Scholar] [CrossRef] [PubMed]
- Hussain, M.S.; Stobbe, R.W.; Bhagat, Y.A.; Emery, D.; Butcher, K.S.; Manawadu, D.; Rizvi, N.; Maheshwari, P.; Scozzafava, J.; Shuaib, A.; et al. Sodium imaging intensity increases with time after human ischemic stroke. Ann. Neurol. 2009, 66, 55–62. [Google Scholar] [CrossRef] [PubMed]
- Boada, F.E.; Qian, Y.; Nemoto, E.; Jovin, T.; Jungreis, C.; Jones, S.C.; Weimer, J.; Lee, V. Sodium MRI and the Assessment of Irreversible Tissue Damage during Hyper-Acute Stroke. Transl. Stroke Res. 2012, 3, 236–245. [Google Scholar] [CrossRef] [PubMed]
- Adlung, A.; Licht, C.; Reichert, S.; Özdemir, S.; Mohamed, S.A.; Samartzi, M.; Fatar, M.; Gass, A.; Prost, E.N.; Schad, L.R. Quantification of tissue sodium concentration in the ischemic stroke: A comparison between external and internal references for 23Na MRI. J. Neurosci. Methods 2022, 382, 109721. [Google Scholar] [CrossRef] [PubMed]
- Azilinon, M.; Makhalova, J.; Zaaraoui, W.; Medina Villalon, S.; Viout, P.; Roussel, T.; El Mendili, M.M.; Ridley, B.; Ranjeva, J.P.; Bartolomei, F. Combining sodium MRI, proton MR spectroscopic imaging, and intracerebral EEG in epilepsy. Hum. Brain Mapp. 2023, 44, 825–840. [Google Scholar] [CrossRef] [PubMed]
- Petracca, M.; Fleysher, L.; Oesingmann, N.; Inglese, M. Sodium MRI of multiple sclerosis. NMR Biomed. 2016, 29, 153–161. [Google Scholar] [CrossRef]
- Weber, C.E.; Nagel, K.; Ebert, A.; Roßmanith, C.; Paschke, N.; Adlung, A.; Platten, M.; Schad, L.R.; Gass, A.; Eisele, P. Diffusely appearing white matter in multiple sclerosis: Insights from sodium (23Na) MRI. Mult. Scler. Relat. Disord. 2021, 49, 102752. [Google Scholar] [CrossRef]
- Mohamed, S.A.; Herrmann, K.; Adlung, A.; Paschke, N.; Hausner, L.; Frölich, L.; Schad, L.; Groden, C.; Kerl, H.U. Evaluation of Sodium (23Na) MR-imaging as a Biomarker and Predictor for Neurodegenerative Changes in Patients with Alzheimer’s Disease. In Vivo 2021, 35, 429–435. [Google Scholar] [CrossRef]
- Riemer, F.; McHugh, D.; Zaccagna, F.; Lewis, D.; McLean, M.A.; Graves, M.J.; Gilbert, F.J.; Parker, G.J.; Gallagher, F.A. Measuring tissue sodium concentration: Cross-vendor repeatability and reproducibility of 23Na-MRI across two sites. J. Magn. Reson. Imaging 2019, 50, 1278–1284. [Google Scholar] [CrossRef]
- Meyer, M.M.; Haneder, S.; Konstandin, S.; Budjan, J.; Morelli, J.N.; Schad, L.R.; Kerl, H.U.; Schoenberg, S.O.; Kabbasch, C. Repeatability and reproducibility of cerebral 23Na imaging in healthy subjects. BMC Med. Imaging 2019, 19, 26. [Google Scholar] [CrossRef] [PubMed]
- Gast, L.V.; Platt, T.; Nagel, A.M.; Gerhalter, T. Recent technical developments and clinical research-applications of sodium (23Na) MRI. Prog. Nucl. Magn. Reson. Spectrosc. 2023, 138–139, 1–51. [Google Scholar] [CrossRef] [PubMed]
- Anisimov, N.; Sadykhov, E.; Pavlova, O.; Fomina, D.; Tarasova, A.; Pirogov, Y.A. Whole body sodium MRI at 0.5 Tesla using surface coil and long echo time sequence. Appl. Magn. Reson. 2019, 50, 1149–1161. [Google Scholar] [CrossRef]
- Niesporek, S.C.; Nagel, A.M.; Platt, T. Multinuclear MRI at ultrahigh fields. Top. Magn. Reson. Imaging 2019, 28, 173–188. [Google Scholar] [CrossRef] [PubMed]
- Wilferth, T.; Mennecke, A.; Gast, L. Quantitative 7 Tesla 23Na MRI of the human brain using a 32–channel phased-array head coil: Application to patients with secondary progressive multiple sclerosis. NMR Biomed. 2022, 35, e4806. [Google Scholar] [CrossRef] [PubMed]
- Brown, R.; Madelin, G.; Lattanzi, R.; Chang, G.; Regatte, R.R.; Sodickson, D.K.; Wiggins, G.C. Design of a nested eight-channel sodium and four-channel proton coil for 7T knee imaging. Magn. Reson. Med. 2013, 70, 259–268. [Google Scholar] [CrossRef]
- Dai, J.; Gosselink, M.; van der Velden, T.A.; Meliadò, E.F.; Raaijmakers, A.J.E.; Klomp, D.W.J. An RF coil design to enable quintuple nuclear whole-brain MRI. Magn. Reson. Med. 2023, 89, 2131–2141. [Google Scholar] [CrossRef] [PubMed]
- Coste, A.; Boumezbeur, F.; Vignaud, A.; Madelin, G.; Reetz, K.; Le Bihan, D.; Rabrait-Lerman, C.; Romanzetti, S. Tissue sodium concentration and sodium T1 mapping of the human brain at 3 T using a Variable Flip Angle method. Magn. Reson. Imaging 2019, 58, 116–124. [Google Scholar] [CrossRef]
- Kratzer, F.J.; Flassbeck, S.; Schmitter, S.; Wilferth, T.; Magill, A.W.; Knowles, B.R.; Platt, T.; Bachert, P.; Ladd, M.E.; Nagel, A.M. 3D sodium (23Na) magnetic resonance fingerprinting for time-efficient relaxometric mapping. Magn. Reson. Med. 2021, 86, 2412–2425. [Google Scholar] [CrossRef]
- Qian, Y.; Zhao, T.; Zheng, H.; Weimer, J.; Boada, F.E. High-resolution sodium imaging of human brain at 7 T. Magn. Reson. Med. 2012, 68, 227–233. [Google Scholar] [CrossRef]
- Zaric, O.; Beiglböck, H.; Janacova, V.; Szomolanyi, P.; Wolf, P.; Krebs, M.; Trattnig, S.; Krššák, M.; Juras, V. Repeatability assessment of sodium (23Na) MRI at 7.0 T in healthy human calf muscle and preliminary results on tissue sodium concentrations in subjects with Addison’s disease. BMC Musculoskelet. Disord. 2022, 23, 925. [Google Scholar] [CrossRef] [PubMed]
- Giovannetti, G.; Pingitore, A.; Positano, V.; De Marchi, D.; Valvano, G.; Gibiino, F.; Aquaro, G.D.; Lombardi, M.; Landini, L.; Santarelli, M.F. Improving sodium Magnetic Resonance in humans by design of a dedicated 23Na surface coil. Measurement 2014, 50, 285–292. [Google Scholar] [CrossRef]
- Maril, N.; Rosen, Y.; Reynolds, G.H.; Ivanishev, A.; Ngo, L.; Lenkinski, R.E. Sodium MRI of the Human Kidney at 3 Tesla. Magn. Reson. Med. 2006, 56, 1229–1234. [Google Scholar] [CrossRef] [PubMed]
- Yoon, J.-S.; Kim, J.-M.; Chung, H.-J.; Jeong, Y.-J.; Jeong, G.-W.; Park, I.; Kim, G.-W.; Oh, C.-H. Development of a proton-frequency-transparent birdcage radiofrequency coil for in vivo 13C MRS/MRSI study in a 3.0 T MRI system. Appl. Sci. 2021, 11, 11445. [Google Scholar] [CrossRef]
- Giovannetti, G.; Valvano, G.; Virgili, G.; Giannoni, M.; Flori, A.; Frijia, F.; De Marchi, D.; Hartwig, V.; Landini, L.; Aquaro, G.D. Design and simulation of a dual-tuned 1H/23Na birdcage coil for MRS studies in human calf. Appl. Magn. Reson. 2015, 46, 1221–1238. [Google Scholar] [CrossRef]
- Choi, C.-H.; Hutchison, J.M.; Lurie, D.J. Design and construction of an actively frequency-switchable RF coil for field-dependent Magnetisation Transfer Contrast MRI with fast field-cycling. J. Magn. Reson. 2010, 207, 134–139. [Google Scholar] [CrossRef] [PubMed]
- Choi, C.-H.; Hong, S.-M.; Ha, Y.; Shah, N.J. Design and construction of a novel 1H/19F double-tuned coil system using PIN-diode switches at 9.4 T. J. Magn. Reson. 2017, 279, 11–15. [Google Scholar] [CrossRef]
- Shen, G.X.; Boada, F.E.; Thulborn, K.R. Dual-frequency, dual-quadrature, birdcage RF coil design with identical B1 pattern for sodium and proton imaging of the human brain at 1.5 T. Magn. Reson. Med. 1997, 38, 717–725. [Google Scholar] [CrossRef]
- Shen, G.X.; Wu, J.; Boada, F.E.; Thulborn, K.R. Experimentally verified, theoretical design of dual-tuned, low-pass birdcage radiofrequency resonators for magnetic resonance imaging and magnetic resonance spectroscopy of human brain at 3.0 Tesla. Magn. Reson. Med. Off. J. Int. Soc. Magn. Reson. Med. 1999, 41, 268–275. [Google Scholar] [CrossRef]
- Rath, A.R. Design and performance of a double-tuned bird-cage coil. J. Magn. Reson. 1990, 86, 488–495. [Google Scholar] [CrossRef]
- Murphyboesch, J.; Srinivasan, R.; Carvajal, L.; Brown, T.R. Two configurations of the four-ring birdcage coil for 1H imaging and 1H-decoupled 31P spectroscopy of the human head. J. Magn. Reson. Ser. B 1994, 103, 103–114. [Google Scholar] [CrossRef] [PubMed]
- Tomanek, B.; Volotovskyy, V.; Gruwel, M.L.; Mckenzie, E.; King, S.B. Double-frequency birdcage volume coils for 4.7 T and 7T. Concepts Magn. Reson. Part B Magn. Reson. Eng. Educ. J. 2005, 26, 16–22. [Google Scholar] [CrossRef]
- Lim, H.; Thind, K.; Martinez-Santiesteban, F.M.; Scholl, T.J. Construction and evaluation of a switch-tuned 13C-1H birdcage radiofrequency coil for imaging the metabolism of hyperpolarized 13C-enriched compounds. J. Magn. Reson. Imaging 2014, 40, 1082–1090. [Google Scholar] [CrossRef] [PubMed]
- Isaac, G.; Schnall, M.D.; Lenkinski, R.E.; Vogele, K. A design for a double-tuned birdcage coil for use in an integrated MRI/MRS examination. J. Magn. Reson. (1969) 1990, 89, 41–50. [Google Scholar] [CrossRef]
- Lykowsky, G.; Carinci, F.; Düring, M.; Weber, D.; Jakob, P.M.; Haddad, D. Optimization and comparison of two practical dual-tuned birdcage configurations for quantitative assessment of articular cartilage with sodium magnetic resonance imaging. Quant. Imaging Med. Surg. 2015, 5, 799. [Google Scholar] [PubMed]
- Yee, K. Numerical solution of initial boundary value problems involving Maxwell’s equations in isotropic media. IEEE Trans. Antennas Propag. 1966, 14, 302–307. [Google Scholar]
- Sim4Life, ZMT Zurich MedTech AG. Available online: https://zmt.swiss/sim4life/ (accessed on 28 September 2023).
- Kumar, S.; Chung, H.-J.; Jeong, Y.-J.; Lee, H.-K.; Oh, C.-H. Design and Implementation of Split-Leg Type Elliptical Whole-Body Birdcage RF Coil at 1.5 T MRI. Appl. Sci. 2021, 16, 7448. [Google Scholar] [CrossRef]
- Chin, C.L.; Collins, C.M.; Li, S.; Dardzinski, B.J.; Smith, M.B. BirdcageBuilder: Design of specified-geometry birdcage coils with desired current pattern and resonant frequency. Concepts Magn. Reson. 2002, 15, 156–163. [Google Scholar] [CrossRef]
- Christ, A.; Kainz, W.; Hahn, E.G.; Honegger, K.; Zefferer, M.; Neufeld, E.; Rascher, W.; Janka, R.; Bautz, W.; Chen, J. The Virtual Family—Development of surface-based anatomical models of two adults and two children for dosimetric simulations. Phys. Med. Biol. 2009, 55, N23. [Google Scholar] [CrossRef]
- Peterson, D.M.; Beck, B.L.; Duensing, G.R.; Fitzsimmons, J.R. Common mode signal rejection methods for MRI: Reduction of cable shield currents for high static magnetic field systems. Concepts Magn. Reson. Part B Magn. Reason. Eng. 2003, 19, 1–8. [Google Scholar] [CrossRef]
- Oh, C.-H.; Jeong, Y.-J.; Kumar, S. Construction Method and Signal Acquisition Method for Dual-Mode Radio Frequency Coil to Acquire Magnetic Resonance Signals from Two Kinds of Nuclei. Korea Patent. Pending.
- Yarnykh, V.L. Actual flip-angle imaging in the pulsed steady state: A method for rapid three-dimensional mapping of the transmitted radiofrequency field. Magn. Reson. Med. Off. J. Int. Soc. Magn. Reson. Med. 2007, 57, 192–200. [Google Scholar] [CrossRef]
- Kumar, S.; Yoon, J.-S.; Kim, J.-M.; Lee, C.; Oh, C.-H. Whole-brain imaging with receive-only multichannel top-hat dipole antenna RF coil at 7 T MRI. J. Korean Phys. Soc. 2022, 80, 920–927. [Google Scholar] [CrossRef]
- Cunningham, C.H.; Pauly, J.M.; Nayak, K.S. Saturated double-angle method for rapid B1+ mapping. Magn. Reson. Med. Off. J. Int. Soc. Magn. Reson. Med. 2006, 55, 1326–1333. [Google Scholar] [CrossRef]
- ISMRM Best Practices for Safety Testing of Experimental RF Hardware. Available online: https://www.ismrm.org/working-groups/best-practices-for-safety-testing-of-experimental-rf-hardware/ (accessed on 28 September 2023).
- Steensma, B.R.; Sadeghi-Tarakameh, A.; Meliadò, E.F.; van den Berg, C.A.; Klomp, D.W.; Luijten, P.R.; Metzger, G.J.; Eryaman, Y.; Raaijmakers, A.J. Tier-based formalism for safety assessment of custom-built radio-frequency transmit coils. NMR Biomed. 2023, 36, e4874. [Google Scholar] [CrossRef]
- Jackson, E.; Bronskill, M.; Drost, D.; Och, J.; Pooley, R.; Sobol, W.; Clarke, G. AAPM Report MR TG-1: Acceptance Testing and Quality Assurance Procedures for Magnetic Resonance Imaging Facilities; American Association of Physicists in Medicine: Alexandria, VA, USA, 2010. [Google Scholar]
- IEC 60601-2-33:2010; Medical Electrical Equipment—Part 2–33: Particular Requirements for the Basic Safety and Essential Performance of Magnetic Resonance Equipment for Medical Diagnosis. 3rd ed. IEC: Geneva, Switzerland, 2015.
- Yu, Z.; Madelin, G.; Sodickson, D.K.; Cloos, M.A. Simultaneous proton magnetic resonance fingerprinting and sodium MRI. Magn. Reson. Med. 2020, 83, 2232–2242. [Google Scholar] [CrossRef]
- Madelin, G.; Lee, J.-S.; Regatte, R.R.; Jerschow, A. Sodium MRI: Methods and applications. Prog. Nucl. Magn. Reson. Spectrosc. 2014, 79, 14–47. [Google Scholar] [CrossRef] [PubMed]








| Design Type | Advantages | Challenges |
|---|---|---|
| Active switching with pin-diode [26,27,33] | Widely utilized due to available pin-diode drivers in MR systems | Sensitivity reduction when the pin-diode is forward-biased |
| FS trap circuit [28,29] | Achieves dual-tuning at two frequencies using a single birdcage RF coil | Performance degradation at proton frequency Complex adjustment of trap and capacitor values |
| Frequency blocking trap circuit [30] | Allows dual-tuning by integrating traps into each leg of a single birdcage RF coil | Requiring a doubling of leg count for B1 field homogeneity |
| Four end-ring [31,32] | Superior SNR compared to alternating leg designs. No additional lossy components | Increasing overall coil length and restricting patient space, especially in brain imaging |
| 1H MRI | 23Na MRI | |||
|---|---|---|---|---|
| Sequence | Dual-TR (AFI) | T1-weighted MPRAGE | UTE (DAM) | UTE |
| Nominal FA (°) | 60 | 7 | 45 and 90 | 32 |
| TE/TR (ms) | 3.9/20 and 120 | 2.6/5.5 | 0.19/120 | 0.19/100 |
| FOV (mm3) | 240 × 240 × 240 | 240 × 240 × 240 | 240 × 240 × 240 | 240 × 240 × 240 |
| Acquisition matrix | 120 × 120 | 240 × 240 | - | - |
| Reconstruction matrix | 120 × 120 | 240 × 240 | 68 × 68 | 68 × 68 |
| Image resolution (mm2) | 2 × 2 | 1 × 1 | 3.5 × 3.5 | 3.5 × 3.5 |
| Slice thickness (mm) | 8 | 1 | 8 | 8 |
| Average | 1 | 1 | 1 | 3 |
| Scan time (min) | 2 min 47 s | 6 min 6 s | 6 min 1 s | 30 min |
| 1H RF Coil | 23Na RF Coil | |||
|---|---|---|---|---|
| STBC Coil | DMBC Coil | STBC Coil | DMBC Coil | |
| Reflection Coef. (S11) | −37.98 dB | −33.62 dB | −41.85 dB | −37.95 dB |
| Reflection Coef. (S11) | −38.23 dB | −33.97 dB | −40.11 dB | −37.24 dB |
| Isolation Coef. (S12) | −19.10 dB | −19.23 dB | −20.71 dB | −20.31 dB |
| Impedance (Z11) | 50 − j 2.33 | 50 − j 2.52 | 50 − j 1.81 | 50 + j 1.14 |
| Impedance (Z22) | 50 − j 1.25 | 50 − j 3.34 | 50 − j 0.79 | 50 − j 1.27 |
| Q-factor | 820.01 | 736.37 | 981.52 | 860.34 |
Disclaimer/Publisher’s Note: The statements, opinions and data contained in all publications are solely those of the individual author(s) and contributor(s) and not of MDPI and/or the editor(s). MDPI and/or the editor(s) disclaim responsibility for any injury to people or property resulting from any ideas, methods, instructions or products referred to in the content. |
© 2023 by the authors. Licensee MDPI, Basel, Switzerland. This article is an open access article distributed under the terms and conditions of the Creative Commons Attribution (CC BY) license (https://creativecommons.org/licenses/by/4.0/).
Share and Cite
Jeong, Y.-J.; Kumar, S.; Park, S.-W.; Song, Y.; Cho, J.-H.; Moon, C.H.; Oh, C.-H. Self-Isolated Dual-Mode High-Pass Birdcage RF Coil for Proton and Sodium MR Imaging at 7 T MRI. Appl. Sci. 2023, 13, 13227. https://doi.org/10.3390/app132413227
Jeong Y-J, Kumar S, Park S-W, Song Y, Cho J-H, Moon CH, Oh C-H. Self-Isolated Dual-Mode High-Pass Birdcage RF Coil for Proton and Sodium MR Imaging at 7 T MRI. Applied Sciences. 2023; 13(24):13227. https://doi.org/10.3390/app132413227
Chicago/Turabian StyleJeong, You-Jin, Suchit Kumar, Seon-Woo Park, Youngkyu Song, Jee-Hyun Cho, Chan Hong Moon, and Chang-Hyun Oh. 2023. "Self-Isolated Dual-Mode High-Pass Birdcage RF Coil for Proton and Sodium MR Imaging at 7 T MRI" Applied Sciences 13, no. 24: 13227. https://doi.org/10.3390/app132413227
APA StyleJeong, Y.-J., Kumar, S., Park, S.-W., Song, Y., Cho, J.-H., Moon, C. H., & Oh, C.-H. (2023). Self-Isolated Dual-Mode High-Pass Birdcage RF Coil for Proton and Sodium MR Imaging at 7 T MRI. Applied Sciences, 13(24), 13227. https://doi.org/10.3390/app132413227

