Structure Control Using Bioderived Solvents in Electrochemical Metal-Organic Framework Synthesis
Abstract
1. Introduction
2. Materials and Methods
2.1. Materials
2.2. MOF Coating Synthesis
2.3. Characterisation of MOF Coatings
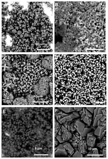
3. Results
3.1. Synthesis with Traditional Solvents
3.2. Synthesis with CyreneTM
3.3. Synthesis with GVL
4. Discussion
5. Conclusions
Author Contributions
Funding
Institutional Review Board Statement
Informed Consent Statement
Data Availability Statement
Conflicts of Interest
Appendix A


| Metal Electrode | Linker (mol dm−3) | Solvent | Vol % Organic Solvent/ H2O | Temperature (°C) | Time (min) |
|---|---|---|---|---|---|
| Cu | BTC 0.048 | Ethanol | 50/50 | 55 | 60 |
| Zn | IM 0.30 | DMF | 25/75 | 85 | 60 |
| Zn | bIM 0.52 | DMF | 100/0 | 55 | 120 |
| Zn | mIM 3.00 | N/A | 0/100 | 55 | 60 |
| Zn | eIM 0.20 | DMF | 28/72 | 85 | 60 |
| Co | mIM 0.24 | DMF | 75/25 | 100 | 210 |
References
- Manfredi, C.; Nail, S. Climate and environmental emergency: A case for a humanities approach. E-Rea 2021, 18, 1–11. [Google Scholar] [CrossRef]
- Levi, P.; Vass, T.; Mandová, H.; Gouy, A. Chemicals: Tracking Report. IEA. 2020. Available online: https://www.iea.org/reports/chemicals (accessed on 4 August 2022).
- Lewandowski, T.A. Green Chemistry. In Encyclopedia of Toxicology, 3rd ed.; Wexler, P., Ed.; Elsevier: Amsterdam, The Netherlands, 2014; pp. 798–799. [Google Scholar]
- El-Din, H.; Saleh, H.; Koller, M. Introductory Chapter. In Principles of Green Chemistry, 1st ed.; Saleh, H., Ed.; IntechOpen Limited: London, UK, 2018; pp. 1–26. [Google Scholar]
- Biswal, B.; Panda, T.; Banerjee, R. Solution mediated phase transformation (RHO to SOD) in porous imidazolate based zeolitic frameworks with high water stability. Chem. Commun. 2012, 48, 11868–11870. [Google Scholar] [CrossRef] [PubMed]
- Worrall, S.; Mann, H.; Rogers, A.; Bissett, M.; Attfield, M.; Dryfe, R. Electrochemical deposition of zeolitic imidazolate framework electrode coatings for supercapacitor electrodes. Electrochim. Acta 2016, 197, 228–240. [Google Scholar] [CrossRef]
- Jiao, L.; Seow, J.; Skinner, W.; Wang, Z.; Jiang, H. Metal-organic frameworks: Structures and functional applications. Mater. Today 2019, 27, 43–68. [Google Scholar] [CrossRef]
- Stock, N.; Biswas, S. Synthesis of Metal-Organic Frameworks (MOFs): Routes to Various MOF Topologies, Morphologies and Composites. Chem. Rev. 2012, 112, 933–969. [Google Scholar] [CrossRef]
- Mason, J.; Veenstra, M.; Long, J. Evaluating metal-organic frameworks for natural gas storage. Chem. Sci. 2014, 5, 32–51. [Google Scholar] [CrossRef]
- Horcajada, P.; Gref, R.; Baati, T.; Allan, P.; Maurin, G.; Couvreur, P.; Ferey, G.; Morris, G.; Serre, C. Metal-organic frameworks in biomedicine. Chem. Rev. 2012, 112, 1232–1268. [Google Scholar] [CrossRef]
- Han, S.B.; Wei, Y.H.; Valenta, C.; Lagzi, I.; Gassensmith, J.J.; Coskun, A.; Stoddart, J.F.; Grzybowski, B.A. Chromatography in a Single Metal-Organic Framework (MOF) Crystal. J. Am. Chem. Soc. 2010, 132, 16358–16361. [Google Scholar] [CrossRef]
- Rubio-Martinez, M.; Avci-Camur, C.; Thornton, A.; Imaz, I.; Maspoch, D.; Hill, M. New production routes towards MOF production at scale. Chem. Soc. Rev. 2017, 46, 3453–3480. [Google Scholar] [CrossRef]
- Butova, V.V.; Soltadov, M.A.; Guda, A.A.; Lomachenko, K.A.; Lamberti, C. Metal-organic frameworks: Structure, properties, methods of synthesis and characterization. Russ. Chem. Rev. 2016, 85, 287. [Google Scholar] [CrossRef]
- Sun, Y.; Zhou, H.C. Recent progress in the synthesis of metal-organic frameworks. Sci. Tech. Adv. Mater. 2015, 16, 4–8. [Google Scholar] [CrossRef]
- Preicel, P.; Lopez-Sanchez, J. Advantages and Limitations of Microwave Reactors: From Chemical Synthesis to the Catalytic Valorisation of Biobased Chemicals. ACS Sus. Chem. Eng. 2019, 7, 3–21. [Google Scholar] [CrossRef]
- Campagnol, N.; van Assche, T.; Li, M.; Stappers, L.; Dinca, M.; Denayer, J.; Vos, D.; Fransaer, J. On the electrochemical deposition of metal-organic frameworks. J. Mater. Chem. A 2016, 10, 3914. [Google Scholar] [CrossRef]
- Xie, S.; Monnens, W.; Wan, K.; Zhang, W.; Guo, W.; Xu, M.; Vankelecom, I.; Zhang, X.; Fransaer, J. Cathodic Electrodeposition of MOF Films Using Hydrogen Peroxide. Angew. Chem. Int. Ed. 2021, 60, 24950–24957. [Google Scholar] [CrossRef]
- Jyothi, K.; Kalyani, D.; Nachiappan, V. Effect of acute exposure of N,N-dimethylformamide, an industrial solvent on lipid peroxidation and antioxidants in liver and kidney of rats. Ind. J. Biochem. Biphys. 2012, 49, 279–284. [Google Scholar]
- Luo, J.C.; Cheng, T.J.; Kuo, H.W. Abnormal liver function associated with occupational exposure to dimethylformamide and glutathione S-transferase polymorphisms. Biomarkers 2005, 10, 464–474. [Google Scholar] [CrossRef]
- Weissermel, K.; Arpe, H.J. Industrial Organic Chemistry: Important Raw Materials and Intermediates, 3rd ed.; Wiley-VCH: Weinheim, Germany, 2003; pp. 45–46. [Google Scholar]
- Sherwood, J.; de Bruyn, M.; Constantinou, A.; Moity, L.; McElroy, C.; Farmer, T.; Duncan, T.; Raverty, W.; Hunt, A.; Clark, J. Diydrolevoglucosenone (CyreneTM) as a bio-based alternative for dipolar aprotic solvents. Chem. Commun. 2014, 50, 9650–9652. [Google Scholar] [CrossRef]
- Oklu, N.; Matsinha, L.; Makhubela, B. Biosolvents: Synthesis, Industrial Production and Applications. In Solvents, Ionic Liquids and Solvent Effects, 1st ed.; Glossman-Mitnik, D., Maciejewska, M., Eds.; IntechOpen Limited: London, UK, 2019; p. 7. [Google Scholar]
- Zhang, J.; White, G.; Ryan, M.; Hunt, A.; Katz, M. Dihydrolevoglucosenone (CyreneTM) As a Green Alternative to N’N-Dimethylformamide (DMF) in MOF Synthesis. ACS Sust. Chem. Eng. 2016, 4, 7186–7192. [Google Scholar] [CrossRef]
- Skrjanc, A.; Byrne, C.; Logar, N. Green Solvents as an Alternative to DMF in ZIF-90 Synthesis. Molecules 2021, 26, 1573. [Google Scholar] [CrossRef]
- Gao, F.; Bai, R.; Ferlin, F.; Vaccaro, L.; Li, M.; Gu, Y. Replacement strategies for non-green dipolar aprotic solvents. Green Chem. 2020, 22, 6240–6257. [Google Scholar] [CrossRef]
- Strappaveccia, G.; Luciani, L.; Bartollini, E.; Marrocchi, A.; Pizzo, F.; Vaccaro, L. γ-Valerolactone as an alternative biomass-derived medium for the Sonogashira reaction. Green Chem. 2015, 17, 1071–1076. [Google Scholar] [CrossRef]
- Phan, A.; Doonan, C.; Uribe-Romo, F.; Knobler, C.; O’Keefe, M.; Yaghi, O. Synthesis, Structure and Carbon Dioxide Capture Properties of Zeolitic Imidazolate Frameworks. Acc. Chem. Res. 2010, 43, 58–67. [Google Scholar] [CrossRef]
- Ahmed, A.; Hodgson, N.; Barrow, M.; Clowes, R.; Robertson, C.; Steiner, A.; McKeown, P.; Bradshaw, D.; Myers, P.; Zhang, H. Macroporous metal-organic framework microparticles with improved liquid phase separation. J. Mater. Chem. A 2014, 2, 9085–9090. [Google Scholar] [CrossRef]
- Huang, X.; Lin, Y.; Zhang, J.; Chen, X. Ligand-Directed Strategy for Zeolite-Type Metal–Organic Frameworks: Zinc(II) Imidazolates with Unusual Zeolitic Topologies. Angew. Chem. Int. Ed. 2006, 45, 1557–1559. [Google Scholar] [CrossRef]
- Tian, Y.; Zhao, Y.; Chen, Z.; Zhang, G.; Weng, L.; Zhao, D. Design and Generation of Extended Zeolitic Metal–Organic Frameworks (ZMOFs): Synthesis and Crystal Structures of Zinc(II) Imidazolate Polymers with Zeolitic Topologies. Chem. Eur. J. 2007, 13, 4146–4154. [Google Scholar] [CrossRef] [PubMed]
- He, M.; Yao, J. Toluene-assisted synthesis of RHO-type zeolitic imidazolate frameworks: Synthesis and formation mechanism of ZIF-11 and ZIF-12. Dalton Trans. 2013, 42, 16608–16613. [Google Scholar] [CrossRef] [PubMed]
- Noguera-Diaz, A.; Villarroel-Rocha, J.; Ting, V.; Bimbo, N. Flexible ZIFs- probing guest-induced flexibility with CO2, N2 and Ar adsorption. J. Chem. Toxicol. Biotech. 2019, 94, 3787–3792. [Google Scholar] [CrossRef]
- Park, K.; Ni, Z.; Côté, A.; Choi, J.; Huang, R.; Uribe-Romo, F.; Chae, H.; O’Keefe, M.; Yaghi, O. Exceptional chemical and thermal stability of zeolitic imidazolate frameworks. Proc. Natl. Acad. Sci. USA 2006, 103, 10186–10191. [Google Scholar] [CrossRef]




| Metal Electrode | Linker (mol dm−3) | Vol % Organic Solvent/H2O | Temperature (°C) | Time (min) |
|---|---|---|---|---|
| Cu | BTC 0.14 | 50/50 | 85 | 60 |
| Zn | IM 1.2 | 75/25 | 85 | 60 |
| Zn | bIM 0.51 | 100/0 | 55 | 120 |
| Zn | mIM 2.9 | 100/0 | 55 | 60 |
| Zn | eIM 0.21 | 50/50 | 85 | 120 |
| Co | mIM 2.9 | 75/25 | 85 | 180 |
| Metal Electrode | Linker (mol dm−3) | Vol % Organic Solvent/H2O | Temperature (°C) | Time (min) |
|---|---|---|---|---|
| Cu | BTC 0.048 | 50/50 | 55 | 60 |
| Zn | IM 0.30 | 25/75 | 85 | 60 |
| Zn | bIM 0.52 | 100/0 | 55 | 120 |
| Zn | mIM 3.0 | 100/0 | 55 | 60 |
| Zn | eIM 0.21 | 75/25 | 85 | 60 |
| Co | mIM 2.9 | 75/25 | 85 | 180 |
Disclaimer/Publisher’s Note: The statements, opinions and data contained in all publications are solely those of the individual author(s) and contributor(s) and not of MDPI and/or the editor(s). MDPI and/or the editor(s) disclaim responsibility for any injury to people or property resulting from any ideas, methods, instructions or products referred to in the content. |
© 2023 by the authors. Licensee MDPI, Basel, Switzerland. This article is an open access article distributed under the terms and conditions of the Creative Commons Attribution (CC BY) license (https://creativecommons.org/licenses/by/4.0/).
Share and Cite
Bhindi, M.; Massengo, L.; Hammerton, J.; Derry, M.J.; Worrall, S.D. Structure Control Using Bioderived Solvents in Electrochemical Metal-Organic Framework Synthesis. Appl. Sci. 2023, 13, 720. https://doi.org/10.3390/app13020720
Bhindi M, Massengo L, Hammerton J, Derry MJ, Worrall SD. Structure Control Using Bioderived Solvents in Electrochemical Metal-Organic Framework Synthesis. Applied Sciences. 2023; 13(2):720. https://doi.org/10.3390/app13020720
Chicago/Turabian StyleBhindi, Meha, Liam Massengo, James Hammerton, Matthew J. Derry, and Stephen D. Worrall. 2023. "Structure Control Using Bioderived Solvents in Electrochemical Metal-Organic Framework Synthesis" Applied Sciences 13, no. 2: 720. https://doi.org/10.3390/app13020720
APA StyleBhindi, M., Massengo, L., Hammerton, J., Derry, M. J., & Worrall, S. D. (2023). Structure Control Using Bioderived Solvents in Electrochemical Metal-Organic Framework Synthesis. Applied Sciences, 13(2), 720. https://doi.org/10.3390/app13020720

