Cytotoxic Effect of L-Methioninase from Brevibacterium linens BL2 in Combination with Etoposide against Glioblastoma Cells
Abstract
1. Introduction
2. Materials and Methods
2.1. Materials
2.2. Methods
2.2.1. Bacterial Strain and Growth Conditions
2.2.2. Partial Purification of L-Methioninase Enzyme
2.2.3. Enzyme Activity Assay
2.2.4. Protein Content Analysis
2.2.5. SDS-PAGE Analysis
2.2.6. Cell Culture Conditions
2.2.7. Cell Viability Assay
2.2.8. Investigation of the Effect of L-Methioninase on Cancer Cells
2.2.9. Migration Assay
2.2.10. Colony Formation Assay
2.2.11. Giemsa Staining
2.2.12. DAPI and F-Actin Staining
2.2.13. RNA Isolation and cDNA Synthesis
2.2.14. RT-qPCR Analysis
2.2.15. Statistical Analysis
3. Results and Discussion
3.1. Enzyme Activity and Protein Content of Enzyme Solution
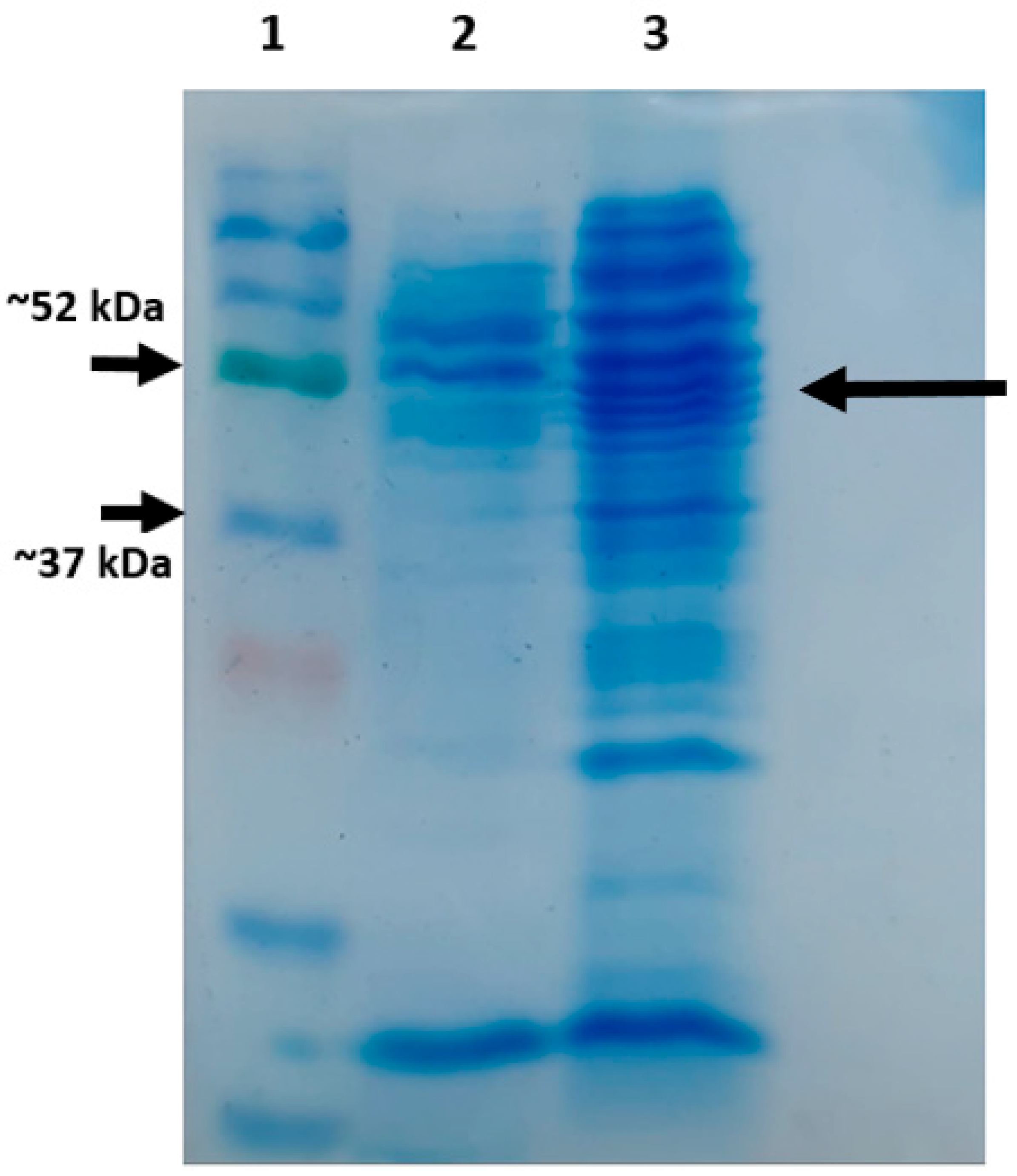
3.2. SDS-PAGE Analysis
3.3. IC50 Graph of L-Methioninase on Glioblastoma Cell Lines
3.4. The Concurrent Effect of L-Methioninase and Etoposide on Cell Viability
3.5. Evaluation of L-Methioninase with Etoposide on Mouse Embryonic Fibroblast (MEF) and Human Keratinocyte (HaCaT) Cells
3.6. Evaluation of the Effect of L-Methioninase on Migration Characteristics of Glioblastoma Cells
3.7. Giemsa Staining Images of Glioblastoma Cells after L-Methioninase and Etoposide Administration
3.8. DAPI and F-Actin Staining Images after L-Methioninase and Etoposide Administration
3.9. Clonogenic Assay Images and Colony Numbers after L-Methioninase and Etoposide Administration
3.10. RT-qPCR Results
4. Conclusions
Author Contributions
Funding
Institutional Review Board Statement
Informed Consent Statement
Data Availability Statement
Acknowledgments
Conflicts of Interest
References
- Hoffman, R.M. Altered methionine metabolism, DNA methylation and oncogene expression in carcinogenesis: A review and synthesis. Biochim. Biophys. Acta Rev. Cancer 1984, 738, 49–87. [Google Scholar] [CrossRef] [PubMed]
- Mecham, J.O.; Rowitch, D.; Wallace, C.D.; Stern, P.H.; Hoffman, R.M. The metabolic defect of methionine dependence occurs frequently in human tumor cell lines. Biochem. Biophys. Res. Commun. 1983, 117, 429–434. [Google Scholar] [CrossRef] [PubMed]
- Hoffman, R.M. Development of recombinant methioninase to target the general cancer-specific metabolic defect of methionine dependence: A 40-year odyssey. Expert. Opin. Biol. Ther. 2015, 15, 21–31. [Google Scholar] [CrossRef] [PubMed]
- Kawaguchi, K.; Miyake, K.; Han, Q.; Li, S.; Tan, Y.; Igarashi, K.; Kiyuna, T.; Miyake, M.; Higuchi, T.; Oshiro, H.; et al. Oral recombinant methioninase (o-rMETase) is superior to injectable rMETase and overcomes acquired gemcitabine resistance in pancreatic cancer. Cancer Lett. 2018, 432, 251–259. [Google Scholar] [CrossRef] [PubMed]
- Epner, D.E.; Morrow, S.; Wilcox, M.; Houghton, J.L. Nutrient intake and nutritional indexes in adults with metastatic cancer on a phase I clinical trial of dietary methionine restriction. Nutr. Cancer 2002, 42, 158–166. [Google Scholar] [CrossRef]
- Lu, S.; Epner, D.E. Molecular mechanisms of cell cycle block by methionine restriction in human prostate cancer cells. Nutr. Cancer 2000, 38, 123–130. [Google Scholar] [CrossRef]
- Yoshioka, T.; Wada, T.; Uchida, N.; Maki, H.; Yoshida, H.; Ide, N.; Kasai, H.; Hojo, K.; Shono, K.; Maekawa, R.; et al. Anticancer efficacy in vivo and in vitro, synergy with 5-fluorouracil, and safety of recombinant methioninase. Cancer Res. 1998, 58, 2583–2587. [Google Scholar]
- Suganya, K.; Govindan, K.; Prabha, P.; Murugan, M. An extensive review on L-methioninase and its potential applications. Biocatal. Agric. Biotechnol. 2017, 12, 104–115. [Google Scholar] [CrossRef]
- Tan, Y.; Sun, X.; Xu, M.; An, Z.; Tan, X.; Han, Q.; Miljkovic, D.A.; Yang, M.; Hoffman, R.M. Polyethylene glycol conjugation of recombinant methioninase for cancer therapy. Protein Expr. Purif. 1998, 12, 45–52. [Google Scholar] [CrossRef]
- Tanaka, H.; Esaki, N.; Soda, K. Properties of L-methionine gamma-lyase from Pseudomonas ovalis. Biochemistry 1977, 16, 100–106. [Google Scholar] [CrossRef]
- Xin, L.; Yang, W.F.; Zhang, H.T.; Li, Y.F.; Liu, C. The mechanism study of lentiviral vector carrying methioninase enhances the sensitivity of drug-resistant gastric cancer cells to Cisplatin. Br. J. Cancer 2018, 118, 1189–1199. [Google Scholar] [CrossRef] [PubMed]
- Kreis, W.; Hession, C. Biological effects of enzymatic deprivation of L-methionine in cell culture and an experimental tumor. Cancer Res. 1973, 33, 1866–1869. [Google Scholar] [PubMed]
- Dias, B.; Weimer, B. Purification and Characterization ofl-Methionine γ-Lyase from Brevibacterium linens BL2. Appl. Environ. Microbiol. 1998, 64, 3327–3331. [Google Scholar] [CrossRef] [PubMed]
- Boyaval, P.; Desmazeaud, M.J. Le point des connaissances sur Brevibacterium linens. Le Lait 1983, 63, 187–216. [Google Scholar] [CrossRef]
- Ferchichi, M.; Hemme, D.; Nardi, M. Induction of methanethiol production by Brevibacterium linens CNRZ 918. Microbiology 1986, 132, 3075–3082. [Google Scholar] [CrossRef][Green Version]
- Hemme, D. Microbial catabolism of amino acids during cheese ripening. Sci. Aliment. 1982, 2, 113–123. [Google Scholar]
- Sharpe, M.E.; Law, B.A.; Phillips, B.A.; Pitcher, D.G. Methanethiol production by coryneform bacteria: Strains from dairy and human skin sources and Brevibacterium linens. Microbiology 1977, 101, 345–349. [Google Scholar] [CrossRef]
- Machover, D.; Rossi, L.; Hamelin, J.; Desterke, C.; Goldschmidt, E.; Chadefaux-Vekemans, B.; Bonnarme, P.; Briozzo, P.; Kopečný, D.; Pierigè, F.; et al. Effects in cancer cells of the recombinant l-methionine gamma-lyase from Brevibacterium aurantiacum. Encapsulation in human erythrocytes for sustained l-methionine elimination. J. Pharmacol. Exp. Ther. 2019, 369, 489–502. [Google Scholar] [CrossRef]
- D’Alessio, A.; Proietti, G.; Sica, G.; Scicchitano, B.M. Pathological and molecular features of glioblastoma and its peritumoral tissue. Cancers 2019, 11, 469. [Google Scholar] [CrossRef]
- Stefano, A.; Leal, A.; Richiusa, S.; Trang, P.; Comelli, A.; Benfante, V.; Cosentino, S.; Sabini, M.G.; Tuttolomondo, A.; Roberto Altieri, R.; et al. Robustness of pet radiomics features: Impact of co-registration with MRI. Appl. Sci. 2021, 11, 10170. [Google Scholar] [CrossRef]
- Stefano, A.; Vitabile, S.; Russo, G.; Ippolito, M.; Sardina, D.; Sabini, M.G.; Gallivanone, F.; Castiglioni, I.; Gilardi, M.C. A graph-based method for PET image segmentation in radiotherapy planning: A pilot study. In Proceedings of the Image Analysis and Processing–ICIAP 2013: 17th International Conference, Naples, Italy, 9–13 September 2013; Springer: Berlin/Heidelberg, Germany; pp. 711–720. [Google Scholar]
- Montecucco, A.; Zanetta, F.; Biamonti, G. Molecular mechanisms of etoposide. EXCLI J. 2015, 14, 95. [Google Scholar]
- Onbasli, K.; Erkısa, M.; Demirci, G.; Muti, A.; Ulukaya, E.; Sennaroglu, A.; Acar, H.Y. The improved killing of both androgen-dependent and independent prostate cancer cells by etoposide loaded SPIONs coupled with NIR irradiation. Biomater. Sci. 2022, 10, 3951–3962. [Google Scholar] [CrossRef] [PubMed]
- Kluska, M.; Woźniak, K. Natural polyphenols as modulators of etoposide anti-cancer activity. Int. J. Mol. Sci. 2021, 22, 6602. [Google Scholar] [CrossRef]
- Laakso, S.; Nurmikko, V. A spectrophotometric assay for demethiolating activity. Anal. Biochem. 1976, 72, 600–605. [Google Scholar] [CrossRef] [PubMed]
- Bradford, M.M. A rapid and sensitive method for the quantitation of microgram quantities of protein utilizing the principle of protein-dye binding. Anal. Biochem. 1976, 72, 248–254. [Google Scholar] [CrossRef] [PubMed]
- Ulagesan, S.; Kim, H.J. Antibacterial and antifungal activities of proteins extracted from seven different snails. Appl. Sci. 2018, 8, 1362. [Google Scholar] [CrossRef]
- Laemmli, U.K. Cleavage of structural proteins during the assembly of the head of bacteriophage T4. Nature 1970, 227, 680–685. [Google Scholar] [CrossRef]
- Repetto, G.; Del Peso, A.; Zurita, J.L. Neutral red uptake assay for the estimation of cell viability/cytotoxicity. Nat. Protoc. 2008, 3, 1125–1131. [Google Scholar] [CrossRef]
- Al-Khedhairy, A.A.; Wahab, R. Size-dependent cytotoxic and molecular study of the use of gold nanoparticles against liver cancer cells. Appl. Sci. 2022, 12, 901. [Google Scholar] [CrossRef]
- Borenfreund, E.; Puerner, J.A. Toxicity determined in vitro by morphological alterations and neutral red absorption. Toxicol. Lett. 1985, 24, 119–124. [Google Scholar] [CrossRef]
- Ozdemir, M.D.; Gokturk, D. The effect of Rosmarinus officinalis and chemotherapeutic etoposide on glioblastoma (U87 MG) cell culture. Turk. Neurosurg. 2018, 28, 853–857. [Google Scholar] [CrossRef] [PubMed]
- Sevim, H.; Parkinson, J.F.; McDonald, K.L. Etoposide-mediated glioblastoma cell death: Dependent or independent on the expression of its target, topoisomerase II alpha? J. Cancer Res. Clin. Oncol. 2011, 137, 1705–1712. [Google Scholar] [CrossRef] [PubMed]
- Suarez-Arnedo, A.; Figueroa, F.T.; Clavijo, C.; Arbeláez, P.; Cruz, J.C.; Muñoz-Camargo, C. An image J plugin for the high throughput image analysis of in vitro scratch wound healing assays. PLoS ONE 2020, 15, e0232565. [Google Scholar] [CrossRef] [PubMed]
- Gao, J.; Azmi, A.S.; Aboukameel, A.; Kauffman, M.; Shacham, S.; Abou-Samra, A.B.; Mohammad, R.M. Nuclear retention of Fbw7 by specific inhibitors of nuclear export leads to Notch1 degradation in pancreatic cancer. Oncotarget 2014, 5, 3444. [Google Scholar] [CrossRef]
- Mobahat, M.; Narendran, A.; Riabowol, K. Survivin as a preferential target for cancer therapy. Int. J. Mol. Sci. 2014, 15, 2494–2516. [Google Scholar] [CrossRef] [PubMed]
- Tong, X.; Yang, P.; Wang, K.; Liu, Y.; Liu, X.; Shan, X.; Huang, R.; Zhang, K.; Wang, J. Survivin is a prognostic indicator in glioblastoma and may be a target of microRNA-218. Oncol. Lett. 2019, 18, 359–367. [Google Scholar] [CrossRef]
- Conde, M.; Michen, S.; Wiedemuth, R.; Klink, B.; Schröck, E.; Schackert, G.; Temme, A. Chromosomal instability induced by increased BIRC5/Survivin levels affects tumorigenicity of glioma cells. BMC Cancer 2017, 17, 889. [Google Scholar] [CrossRef]
- Sheng, L.; Wan, B.; Feng, P.; Sun, J.; Rigo, F.; Bennett, C.F.; Akerman, M.; Krainer, A.R.; Hua, Y. Downregulation of Survivin contributes to cell-cycle arrest during postnatal cardiac development in a severe spinal muscular atrophy mouse model. Hum. Mol. Genet. 2018, 27, 486–498. [Google Scholar] [CrossRef]
- Wang, L.; Huang, W.; Zhan, J. Grape seed proanthocyanidins induce autophagy and modulate survivin in HepG2 cells and inhibit xenograft tumor growth in vivo. Nutrients 2019, 11, 2983. [Google Scholar] [CrossRef]
- Chiou, S.K.; Jones, M.K.; Tarnawski, A.S. Survivin–An anti-apoptosis protein: Its biological roles and implications for cancer and beyond. Signature 2003, 9, 47. [Google Scholar]
- Shin, S.; Sung, B.J.; Cho, Y.S.; Kim, H.J.; Ha, N.C.; Hwang, J.I.; Chung, C.-W.; Jung, Y.K.; Oh, B.-H. An anti-apoptotic protein human survivin is a direct inhibitor of caspase-3 and -7. Biochemistry 2001, 40, 1117–1123. [Google Scholar] [CrossRef] [PubMed]
- Han, L.; Yuan, B.; Shimada, R.; Hayashi, H.; Si, N.; Zhao, H.Y.; Bian, B.; Takagi, N. Cytocidal effects of arenobufagin and hellebrigenin, two active bufadienolide compounds, against human glioblastoma cell line U-87. Int. J. Oncol. 2018, 53, 2488–2502. [Google Scholar] [CrossRef] [PubMed]
- Khaw, A.K.; Hande, M.P.; Kalthur, G.; Hande, M.P. Curcumin inhibits telomerase and induces telomere shortening and apoptosis in brain tumour cells. J. Cell. Biochem. 2013, 114, 1257–1270. [Google Scholar] [CrossRef] [PubMed]
- Ozdemir, M.D.; Göktürk, D. The concurrent effect of acyclovir and rosemary on glioblastoma cell culture. Cell. Mol. Biol. 2019, 65, 66–71. [Google Scholar] [CrossRef] [PubMed]
- Otevřelová, P.; Brodská, B. Chemotherapy-Induced Survivin Regulation in Acute Myeloid Leukemia Cells. Appl Sci 2021, 11, 460. [Google Scholar] [CrossRef]
- Cadoret, A.; Desbois-Mouthon, C.; Wendum, D.; Leneuve, P.; Perret, C.; Tronche, F.; Housset, C.; Holzenberger, M. c-myc-induced hepatocarcinogenesis in the absence of IGF-I receptor. Int. J. Cancer 2005, 114, 668–672. [Google Scholar] [CrossRef]
- Jamerson, M.H.; Johnson, M.D.; Dickson, R.B. Of mice and Myc: c-Myc and mammary tumorigenesis. J. Mammary Gland Biol. Neoplasia 2004, 9, 27–37. [Google Scholar] [CrossRef]
- Liu, S.Q.; Yu, J.P.; Yu, H.G.; Lv, P.; Chen, H.L. Activation of Akt and ERK signalling pathways induced by etoposide confer chemoresistance in gastric cancer cells. Dig. Liver Dis. 2006, 38, 310–318. [Google Scholar] [CrossRef]
- McEwan, M.V.; Eccles, M.R.; Horsfield, J.A. Cohesin is required for activation of MYC by estradiol. PLoS ONE 2012, 7, e49160. [Google Scholar] [CrossRef]
- Rehman, N.; Khan, S.; Manzoor, S.; Abubakar, M.; Sami, R.; Alharthy, S.A.; Baty, R.S.; Jafri, I.; Alsubhi, N.H.; Qari, S.H.; et al. Estrogen Induces c-myc Transcription by Binding to Upstream ERE Element in Promoter. Appl. Sci. 2022, 12, 6853. [Google Scholar] [CrossRef]
- Thompson, E.B. The many roles of c-Myc in apoptosis. Annu. Rev. Physiol. 1998, 60, 575–600. [Google Scholar] [CrossRef] [PubMed]
- Xu, J.; Chen, Y.; Olopade, O.I. MYC and breast cancer. Genes Cancer 2010, 1, 629–640. [Google Scholar] [CrossRef] [PubMed]
- Azrak, R.G.; Frank, C.L.; Ling, X.; Slocum, H.K.; Li, F.; Foster, B.A.; Rustum, Y.M. The mechanism of methylselenocysteine and docetaxel synergistic activity in prostate cancer cells. Mol. Cancer Ther. 2006, 5, 2540–2548. [Google Scholar] [CrossRef] [PubMed][Green Version]
- Porter, A.G.; Jänicke, R.U. Emerging roles of caspase-3 in apoptosis. Cell. Death Differ. 1999, 6, 99–104. [Google Scholar] [CrossRef]
- Özdaş, S. Knockdown of SET Domain, Bifurcated 1 suppresses head and neck cancer cell viability and wound-healing ability in vitro. Turk. J. Biol. 2019, 43, 281–292. [Google Scholar] [CrossRef] [PubMed]
- Kavya, D.; Nadumane, V.K. A combination of semi-purified L-methioninase with tamoxifen citrate to ameliorate breast cancer in athymic nude mice. Mol. Biol. Rep. 2023, 50, 2925–2932. [Google Scholar] [CrossRef]
























Disclaimer/Publisher’s Note: The statements, opinions and data contained in all publications are solely those of the individual author(s) and contributor(s) and not of MDPI and/or the editor(s). MDPI and/or the editor(s) disclaim responsibility for any injury to people or property resulting from any ideas, methods, instructions or products referred to in the content. |
© 2023 by the authors. Licensee MDPI, Basel, Switzerland. This article is an open access article distributed under the terms and conditions of the Creative Commons Attribution (CC BY) license (https://creativecommons.org/licenses/by/4.0/).
Share and Cite
İpek, S.L.; Özdemir, M.D.; Göktürk, D. Cytotoxic Effect of L-Methioninase from Brevibacterium linens BL2 in Combination with Etoposide against Glioblastoma Cells. Appl. Sci. 2023, 13, 9382. https://doi.org/10.3390/app13169382
İpek SL, Özdemir MD, Göktürk D. Cytotoxic Effect of L-Methioninase from Brevibacterium linens BL2 in Combination with Etoposide against Glioblastoma Cells. Applied Sciences. 2023; 13(16):9382. https://doi.org/10.3390/app13169382
Chicago/Turabian Styleİpek, Semih Latif, Meryem Damla Özdemir, and Dilek Göktürk. 2023. "Cytotoxic Effect of L-Methioninase from Brevibacterium linens BL2 in Combination with Etoposide against Glioblastoma Cells" Applied Sciences 13, no. 16: 9382. https://doi.org/10.3390/app13169382
APA Styleİpek, S. L., Özdemir, M. D., & Göktürk, D. (2023). Cytotoxic Effect of L-Methioninase from Brevibacterium linens BL2 in Combination with Etoposide against Glioblastoma Cells. Applied Sciences, 13(16), 9382. https://doi.org/10.3390/app13169382

