Statistical Analysis and Machine Learning Used in the Case of Two Behavioral Tests Applied in Zebrafish Exposed to Mycotoxins
Abstract
1. Introduction
2. Materials and Methods
2.1. Test Chemicals and Test Solutions Preparation
2.2. Test Organisms
2.3. Behavior Tests
2.3.1. Novel Tank Test (NTT)
2.3.2. Y-Maze Test
Histological Examination
2.4. Statistical Analysis
3. Results
3.1. Behavior Tests
Y-Maze
3.2. Novel Tank Test
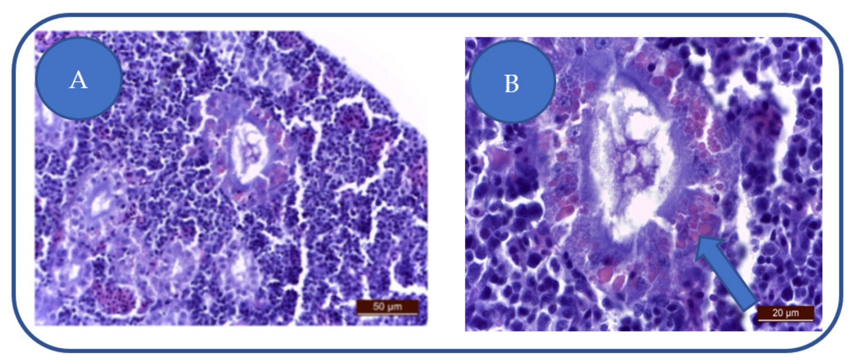
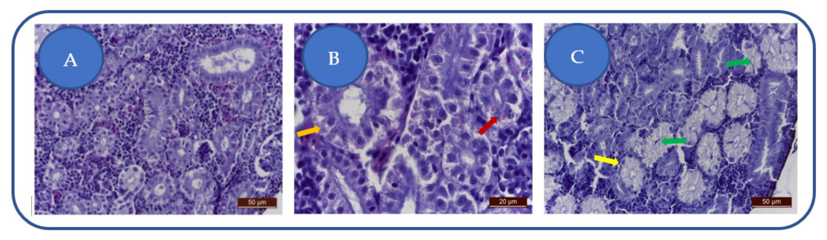
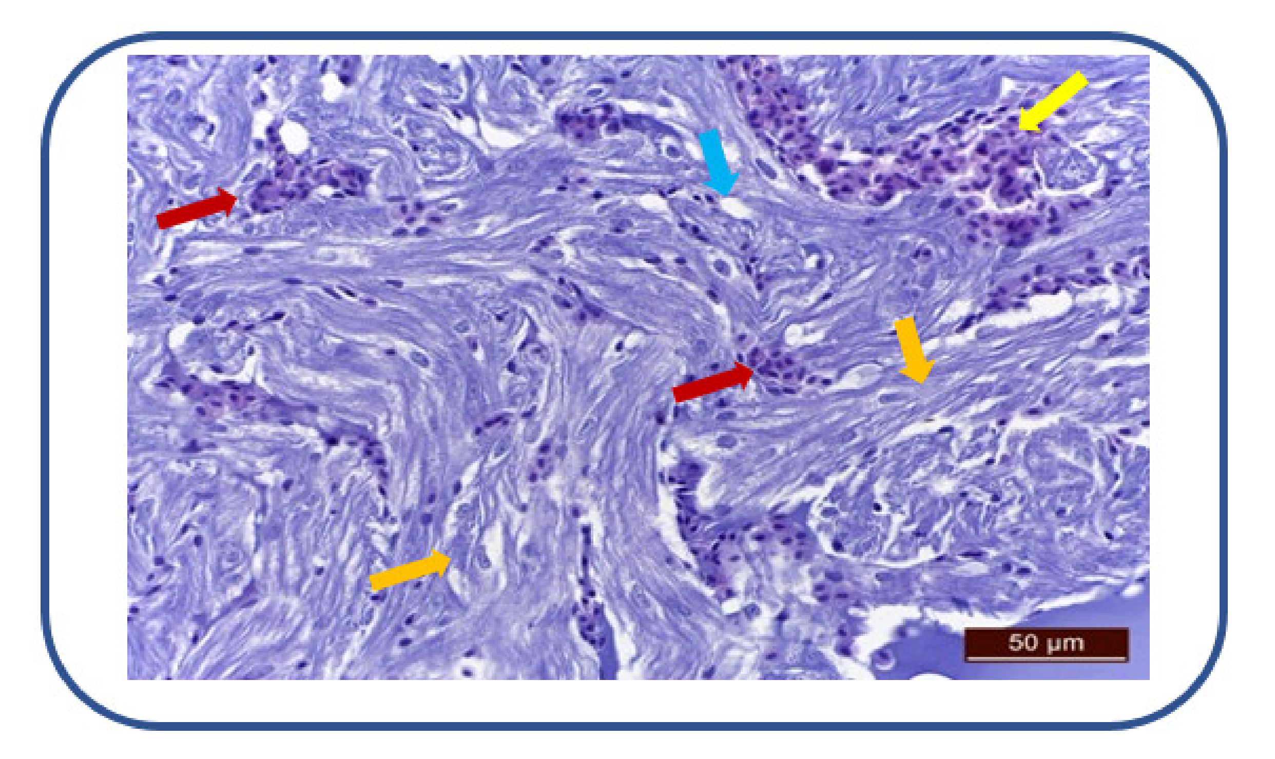
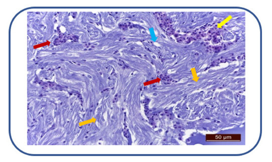
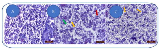
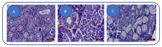
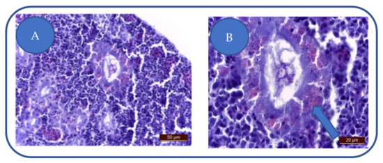
Histological Alterations
- MAZE ML
- MAZE ML reduced
- NTT ML
- NTT ML-reduced
4. Discussion
4.1. Y-Maze Discussion
4.2. NTT Discussion
4.3. Histological Alterations Discussion
5. Conclusions
- -
- The novel tank test (NTT), which assesses anxiety, proved to be conclusive in the behavioral analysis of fish that were given toxins, proving that intoxicated fish had more anxiety problems than spatial memory.
- -
- We have managed to detect an automatic learning algorithm, from the category of decision trees, which can be trained to classify the behavior of fish that were administered a toxin from the category of those used in the experiment, only by analyzing the characteristic features of the NTT behavioral test.
Author Contributions
Funding
Institutional Review Board Statement
Informed Consent Statement
Data Availability Statement
Conflicts of Interest
Appendix A
| Animal | Treatment | Code | Stage | Trial | Apparatus | Number of Arm Entries | Spotaneous Alternation % | Distance Travelled (m) | |
|---|---|---|---|---|---|---|---|---|---|
| 1 | 1 | Control | A | First stage | 1 | Y-maze | 4 | 200 | 14 |
| 2 | 2 | Control | A | First stage | 1 | Y-maze | 10 | 25 | 18 |
| 3 | 3 | Control | A | First stage | 1 | Y-maze | 3 | 0 | 7 |
| 4 | 4 | Control | A | First stage | 1 | Y-maze | 2 | 2 | |
| 5 | 5 | Control | A | First stage | 1 | Y-maze | 2 | 1 | |
| 6 | 6 | Control | A | First stage | 1 | Y-maze | 6 | 50 | 3 |
| 7 | 7 | Control | A | First stage | 1 | Y-maze | 12 | 120 | 7 |
| 8 | 8 | Control | A | First stage | 1 | Y-maze | 7 | 40 | 9 |
| 9 | 9 | Control | A | First stage | 1 | Y-maze | 21 | 105 | 13 |
| 10 | 10 | Control | A | First stage | 1 | Y-maze | 20 | 133 | 11 |
| 11 | 11 | Control | A | First stage | 1 | Y-maze | 23 | 95 | 16 |
| 12 | 12 | Control | A | First stage | 1 | Y-maze | 10 | 100 | 6 |
| 13 | 13 | Control | A | First stage | 1 | Y-maze | 2 | 1 | |
| 14 | 14 | Control | A | First stage | 1 | Y-maze | 10 | 125 | 16 |
| 15 | 15 | Control | A | First stage | 1 | Y-maze | 21 | 137 | 15 |
| 16 | 16 | Control | A | First stage | 1 | Y-maze | 5 | 67 | 5 |
| 17 | 17 | Control | A | First stage | 1 | Y-maze | 17 | 107 | 15 |
| 18 | 18 | Control | A | First stage | 1 | Y-maze | 4 | 0 | 12 |
| 19 | 19 | Control | A | First stage | 1 | Y-maze | 5 | 67 | 6 |
| 22 | 22 | Control | A | First stage | 1 | Y-maze | 9 | 86 | 10 |
| 23 | 23 | Patulin 70 μg/L | B | First stage | 1 | Y-maze | 25 | 104 | 14 |
| 24 | 24 | Patulin 70 μg/L | B | First stage | 1 | Y-maze | 11 | 22 | 11 |
| 25 | 25 | Patulin 70 μg/L | B | First stage | 1 | Y-maze | 1 | 0 | 0 |
| 26 | 26 | Patulin 70 μg/L | B | First stage | 1 | Y-maze | 12 | 100 | 7 |
| 27 | 27 | Patulin 70 μg/L | B | First stage | 1 | Y-maze | 10 | 100 | 11 |
| 28 | 28 | Patulin 70 μg/L | B | First stage | 1 | Y-maze | 11 | 133 | 11 |
| 29 | 29 | Patulin 70 μg/L | B | First stage | 1 | Y-maze | 18 | 75 | 16 |
| 30 | 30 | Patulin 70 μg/L | B | First stage | 1 | Y-maze | 15 | 108 | 23 |
| 31 | 31 | Patulin 70 μg/L | B | First stage | 1 | Y-maze | 7 | 160 | 17 |
| 32 | 32 | Patulin 70 μg/L | B | First stage | 1 | Y-maze | 22 | 90 | 14 |
| 33 | 33 | Patulin 70 μg/L | B | First stage | 1 | Y-maze | 35 | 73 | 16 |
| 34 | 34 | Patulin 70 μg/L | B | First stage | 1 | Y-maze | 4 | 100 | 5 |
| 35 | 35 | Patulin 70 μg/L | B | First stage | 1 | Y-maze | 7 | 120 | 11 |
| 36 | 36 | Patulin 70 μg/L | B | First stage | 1 | Y-maze | 4 | 100 | 12 |
| 37 | 37 | Patulin 70 μg/L | B | First stage | 1 | Y-maze | 29 | 81 | 17 |
| 38 | 38 | Patulin 70 μg/L | B | First stage | 1 | Y-maze | 5 | 67 | 13 |
| 39 | 39 | Patulin 70 μg/L | B | First stage | 1 | Y-maze | 43 | 88 | 26 |
| 40 | 40 | Patulin 70 μg/L | B | First stage | 1 | Y-maze | 7 | 80 | 4 |
| 41 | 41 | Acid kojic 100 mg/L | C | First stage | 1 | Y-maze | 1 | 0 | 0 |
| 42 | 42 | Acid kojic 100 mg/L | C | First stage | 1 | Y-maze | 2 | 1 | |
| 43 | 43 | Acid kojic 100 mg/L | C | First stage | 1 | Y-maze | 17 | 67 | 15 |
| 44 | 44 | Acid kojic 100 mg/L | C | First stage | 1 | Y-maze | 7 | 120 | 9 |
| 45 | 45 | Acid kojic 100 mg/L | C | First stage | 1 | Y-maze | 1 | 0 | 0 |
| 46 | 46 | Acid kojic 100 mg/L | C | First stage | 1 | Y-maze | 14 | 83 | 15 |
| 47 | 47 | Acid kojic 100 mg/L | C | First stage | 1 | Y-maze | 18 | 125 | 11 |
| 48 | 48 | Acid kojic 100 mg/L | C | First stage | 1 | Y-maze | 2 | 4 | |
| 49 | 49 | Acid kojic 100 mg/L | C | First stage | 1 | Y-maze | 64 | 74 | 31 |
| 50 | 50 | Acid kojic 100 mg/L | C | First stage | 1 | Y-maze | 9 | 29 | 16 |
| 51 | 51 | Acid kojic 100 mg/L | C | First stage | 1 | Y-maze | 20 | 67 | 12 |
| 52 | 52 | Acid kojic 100 mg/L | C | First stage | 1 | Y-maze | 9 | 29 | 5 |
| 53 | 53 | Acid kojic 100 mg/L | C | First stage | 1 | Y-maze | 1 | 0 | 0 |
| 54 | 54 | Acid kojic 100 mg/L | C | First stage | 1 | Y-maze | 4 | 100 | 5 |
| 55 | 55 | Acid kojic 100 mg/L | C | First stage | 1 | Y-maze | 2 | 2 | |
| 56 | 56 | Acid kojic 100 mg/L | C | First stage | 1 | Y-maze | 1 | 0 | 0 |
| 57 | 57 | Acid kojic 100 mg/L | C | First stage | 1 | Y-maze | 10 | 75 | 9 |
| 58 | 58 | Acid kojic 100 mg/L | C | First stage | 1 | Y-maze | 1 | 0 | 0 |
| 59 | 59 | Acid kojic 100 mg/L | C | First stage | 1 | Y-maze | 1 | 0 | 1 |
| 60 | 60 | Acid kojic 100 mg/L | C | First stage | 1 | Y-maze | 1 | 0 | 0 |
| 61 | 61 | Acid kojic 204 mg/L | D | First stage | 1 | Y-maze | 10 | 100 | 12 |
| 62 | 62 | Acid kojic 204 mg/L | D | First stage | 1 | Y-maze | 17 | 147 | 12 |
| 63 | 63 | Acid kojic 204 mg/L | D | First stage | 1 | Y-maze | 28 | 54 | 16 |
| 64 | 64 | Acid kojic 204 mg/L | D | First stage | 1 | Y-maze | 26 | 125 | 21 |
| 65 | 65 | Acid kojic 204 mg/L | D | First stage | 1 | Y-maze | 14 | 167 | 16 |
| 66 | 66 | Acid kojic 204 mg/L | D | First stage | 1 | Y-maze | 2 | 0 | |
| 67 | 67 | Acid kojic 204 mg/L | D | First stage | 1 | Y-maze | 33 | 103 | 21 |
| 68 | 68 | Acid kojic 204 mg/L | D | First stage | 1 | Y-maze | 5 | 133 | 8 |
| 69 | 69 | Acid kojic 204 mg/L | D | First stage | 1 | Y-maze | 26 | 83 | 19 |
| 70 | 70 | Acid kojic 204 mg/L | D | First stage | 1 | Y-maze | 22 | 130 | 15 |
| 71 | 71 | Acid kojic 204 mg/L | D | First stage | 1 | Y-maze | 13 | 55 | 8 |
| 72 | 72 | Acid kojic 204 mg/L | D | First stage | 1 | Y-maze | 28 | 123 | 20 |
| 73 | 73 | Acid kojic 204 mg/L | D | First stage | 1 | Y-maze | 34 | 100 | 18 |
| 74 | 74 | Acid kojic 204 mg/L | D | First stage | 1 | Y-maze | 6 | 100 | 7 |
| 75 | 75 | Acid kojic 204 mg/L | D | First stage | 1 | Y-maze | 11 | 67 | 10 |
| 76 | 76 | Acid kojic 204 mg/L | D | First stage | 1 | Y-maze | 2 | 3 | |
| 77 | 77 | Acid kojic 204 mg/L | D | First stage | 1 | Y-maze | 20 | 33 | 16 |
| 78 | 78 | Acid kojic 204 mg/L | D | First stage | 1 | Y-maze | 2 | 1 | |
| 79 | 79 | Acid kojic 204 mg/L | D | First stage | 1 | Y-maze | 24 | 73 | 20 |
| 80 | 80 | Acid kojic 204 mg/L | D | First stage | 1 | Y-maze | 13 | 109 | 7 |
| 81 | 81 | Acid kojic 284 mg/L | E | First stage | 1 | Y-maze | 1 | 0 | 0 |
| 82 | 82 | Acid kojic 284 mg/L | E | First stage | 1 | Y-maze | 1 | 0 | 0 |
| 83 | 83 | Acid kojic 284 mg/L | E | First stage | 1 | Y-maze | 7 | 80 | 14 |
| 84 | 84 | Acid kojic 284 mg/L | E | First stage | 1 | Y-maze | 38 | 72 | 21 |
| 85 | 85 | Acid kojic 284 mg/L | E | First stage | 1 | Y-maze | 11 | 0 | 10 |
| 86 | 86 | Acid kojic 284 mg/L | E | First stage | 1 | Y-maze | 1 | 0 | 0 |
| 87 | 87 | Acid kojic 284 mg/L | E | First stage | 1 | Y-maze | 8 | 67 | 19 |
| 88 | 88 | Acid kojic 284 mg/L | E | First stage | 1 | Y-maze | 4 | 0 | 13 |
| 89 | 89 | Acid kojic 284 mg/L | E | First stage | 1 | Y-maze | 13 | 55 | 10 |
| 90 | 90 | Acid kojic 284 mg/L | E | First stage | 1 | Y-maze | 12 | 100 | 13 |
| 91 | 91 | Acid kojic 284 mg/L | E | First stage | 1 | Y-maze | 23 | 86 | 18 |
| 92 | 92 | Acid kojic 284 mg/L | E | First stage | 1 | Y-maze | 2 | 2 | |
| 93 | 93 | Acid kojic 284 mg/L | E | First stage | 1 | Y-maze | 3 | 200 | 6 |
| 94 | 94 | Acid kojic 284 mg/L | E | First stage | 1 | Y-maze | 23 | 86 | 15 |
| 95 | 95 | Acid kojic 284 mg/L | E | First stage | 1 | Y-maze | 15 | 123 | 11 |
| 96 | 96 | Acid kojic 284 mg/L | E | First stage | 1 | Y-maze | 19 | 118 | 17 |
| 97 | 97 | Acid kojic 284 mg/L | E | First stage | 1 | Y-maze | 14 | 133 | 18 |
| 98 | 98 | Acid kojic 284 mg/L | E | First stage | 1 | Y-maze | 17 | 120 | 15 |
| 99 | 99 | Acid kojic 284 mg/L | E | First stage | 1 | Y-maze | 10 | 150 | 7 |
| 100 | 100 | Acid kojic 284 mg/L | E | First stage | 1 | Y-maze | 4 | 0 | 3 |
| Test | Animal | Treatment | Code | Stage | Trial | Apparatus | No. Entries in Top | Total Distance Travelled | Total Imob. Time | Total Mobile Time | Latency to Enter in the Top Zone | Time in Top Zone | Time in Bottom Zone |
|---|---|---|---|---|---|---|---|---|---|---|---|---|---|
| 2 | 2 | Control | A | First stage | 1 | NTT | 9 | 8 | 134 | 226 | 66 | 275 | 85 |
| 4 | 4 | Control | A | First stage | 1 | NTT | 26 | 21 | 0 | 360 | 21 | 219 | 141 |
| 7 | 7 | Control | A | First stage | 1 | NTT | 22 | 18 | 0 | 360 | 30 | 264 | 96 |
| 8 | 8 | Control | A | First stage | 1 | NTT | 10 | 14 | 0 | 360 | 5 | 314 | 46 |
| 9 | 9 | Control | A | First stage | 1 | NTT | 30 | 20 | 0 | 360 | 30 | 116 | 244 |
| 10 | 10 | Control | A | First stage | 1 | NTT | 28 | 25 | 0 | 360 | 25 | 228 | 132 |
| 11 | 11 | Control | A | First stage | 1 | NTT | 23 | 18 | 0 | 360 | 5 | 167 | 193 |
| 14 | 14 | Control | A | First stage | 1 | NTT | 6 | 17 | 0 | 360 | 262 | 33 | 327 |
| 15 | 15 | Control | A | First stage | 1 | NTT | 11 | 16 | 0 | 360 | 147 | 47 | 313 |
| 16 | 16 | Control | A | First stage | 1 | NTT | 48 | 46 | 24 | 336 | 42 | 45 | 315 |
| 18 | 18 | Control | A | First stage | 1 | NTT | 10 | 13 | 30 | 330 | 3 | 116 | 244 |
| 24 | 24 | Control | A | First stage | 1 | NTT | 3 | 14 | 0 | 360 | 91 | 6 | 355 |
| 25 | 25 | Patulin 70 μg/L | B | First stage | 1 | NTT | 0 | 13 | 0 | 360 | 0 | 360 | |
| 26 | 26 | Patulin 70 μg/L | B | First stage | 1 | NTT | 6 | 14 | 4 | 357 | 213 | 12 | 348 |
| 29 | 29 | Patulin 70 μg/L | B | First stage | 1 | NTT | 7 | 16 | 0 | 360 | 0 | 19 | 342 |
| 30 | 30 | Patulin 70 μg/L | B | First stage | 1 | NTT | 27 | 18 | 8 | 352 | 126 | 93 | 267 |
| 33 | 33 | Patulin 70 μg/L | B | First stage | 1 | NTT | 5 | 11 | 15 | 345 | 109 | 10 | 350 |
| 35 | 35 | Patulin 70 μg/L | B | First stage | 1 | NTT | 29 | 42 | 20 | 341 | 102 | 40 | 321 |
| 36 | 36 | Patulin 70 μg/L | B | First stage | 1 | NTT | 4 | 13 | 43 | 317 | 7 | 12 | 348 |
| 39 | 39 | Patulin 70 μg/L | B | First stage | 1 | NTT | 28 | 23 | 0 | 360 | 0 | 40 | 320 |
| 41 | 41 | Patulin 70 μg/L | B | First stage | 1 | NTT | 8 | 12 | 8 | 352 | 1 | 38 | 323 |
| 44 | 44 | Patulin 70 μg/L | B | First stage | 1 | NTT | 38 | 37 | 81 | 279 | 2 | 38 | 322 |
| 47 | 47 | Patulin 70 μg/L | B | First stage | 1 | NTT | 5 | 16 | 0 | 360 | 0 | 9 | 351 |
| 48 | 48 | Patulin 70 μg/L | B | First stage | 1 | NTT | 3 | 11 | 74 | 286 | 1 | 1 | 359 |
| 53 | 53 | Acid kojic 100 mg/L | D | First stage | 1 | NTT | 18 | 16 | 0 | 360 | 100 | 47 | 313 |
| 54 | 54 | Acid kojic 100 mg/L | D | First stage | 1 | NTT | 6 | 12 | 9 | 351 | 10 | 20 | 340 |
| 61 | 61 | Acid kojic 100 mg/L | D | First stage | 1 | NTT | 1 | 4 | 109 | 251 | 352 | 4 | 356 |
| 64 | 64 | Acid kojic 100 mg/L | D | First stage | 1 | NTT | 9 | 18 | 0 | 360 | 93 | 29 | 332 |
| 65 | 65 | Acid kojic 100 mg/L | D | First stage | 1 | NTT | 4 | 14 | 0 | 360 | 2 | 21 | 339 |
| 66 | 66 | Acid kojic 100 mg/L | D | First stage | 1 | NTT | 31 | 44 | 3 | 357 | 10 | 33 | 327 |
| 68 | 68 | Acid kojic 100 mg/L | D | First stage | 1 | NTT | 32 | 49 | 0 | 360 | 8 | 19 | 341 |
| 70 | 70 | Acid kojic 100 mg/L | D | First stage | 1 | NTT | 0 | 23 | 0 | 360 | 0 | 360 | |
| 71 | 71 | Acid kojic 100 mg/L | D | First stage | 1 | NTT | 2 | 10 | 61 | 299 | 184 | 7 | 353 |
| 74 | 74 | Acid kojic 100 mg/L | D | First stage | 1 | NTT | 0 | 2 | 218 | 142 | 0 | 360 | |
| 75 | 75 | Acid kojic 100 mg/L | D | First stage | 1 | NTT | 7 | 12 | 0 | 360 | 11 | 30 | 330 |
| 76 | 76 | Acid kojic 100 mg/L | D | First stage | 1 | NTT | 1 | 8 | 166 | 194 | 213 | 2 | 358 |
| 77 | 77 | Acid kojic 204 mg/L | C | First stage | 1 | NTT | 8 | 13 | 0 | 360 | 217 | 20 | 340 |
| 79 | 79 | Acid kojic 204 mg/L | C | First stage | 1 | NTT | 0 | 1 | 348 | 12 | 0 | 360 | |
| 81 | 81 | Acid kojic 284 mg/L | E | First stage | 1 | NTT | 20 | 16 | 0 | 360 | 0 | 137 | 223 |
| 83 | 83 | Acid kojic 284 mg/L | E | First stage | 1 | NTT | 36 | 35 | 0 | 360 | 1 | 120 | 241 |
| 86 | 86 | Acid kojic 204 mg/L | C | First stage | 1 | NTT | 3 | 6 | 5 | 355 | 109 | 24 | 336 |
| 90 | 90 | Acid kojic 204 mg/L | C | First stage | 1 | NTT | 11 | 10 | 83 | 277 | 6 | 48 | 312 |
| 104 | 104 | Acid kojic 204 mg/L | C | First stage | 1 | NTT | 2 | 1 | 348 | 12 | 2 | 6 | 354 |
| 105 | 105 | Acid kojic 204 mg/L | C | First stage | 1 | NTT | 14 | 10 | 15 | 345 | 42 | 51 | 309 |
| 106 | 106 | Acid kojic 204 mg/L | C | First stage | 1 | NTT | 12 | 19 | 87 | 273 | 38 | 12 | 348 |
| 108 | 108 | Acid kojic 204 mg/L | C | First stage | 1 | NTT | 30 | 21 | 221 | 139 | 0 | 27 | 333 |
| 109 | 109 | Acid kojic 204 mg/L | C | First stage | 1 | NTT | 8 | 10 | 12 | 348 | 6 | 53 | 307 |
| 110 | 110 | Acid kojic 204 mg/L | C | First stage | 1 | NTT | 16 | 14 | 4 | 356 | 36 | 34 | 326 |
| 111 | 111 | Acid kojic 204 mg/L | C | First stage | 1 | NTT | 5 | 9 | 160 | 200 | 172 | 11 | 349 |
| 112 | 112 | Acid kojic 204 mg/L | C | First stage | 1 | NTT | 9 | 13 | 0 | 360 | 44 | 47 | 313 |
| 113 | 113 | Acid kojic 284 mg/L | E | First stage | 1 | NTT | 2 | 9 | 0 | 360 | 158 | 23 | 337 |
| 114 | 114 | Acid kojic 284 mg/L | E | First stage | 1 | NTT | 7 | 16 | 0 | 360 | 0 | 10 | 350 |
| 116 | 116 | Acid kojic 284 mg/L | E | First stage | 1 | NTT | 79 | 51 | 8 | 352 | 4 | 143 | 217 |
| 118 | 118 | Acid kojic 284 mg/L | E | First stage | 1 | NTT | 14 | 10 | 13 | 347 | 17 | 33 | 327 |
| 119 | 119 | Acid kojic 284 mg/L | E | First stage | 1 | NTT | 4 | 2 | 283 | 77 | 250 | 70 | 290 |
| 120 | 120 | Acid kojic 284 mg/L | E | First stage | 1 | NTT | 6 | 6 | 125 | 235 | 99 | 22 | 338 |
| 121 | 121 | Acid kojic 284 mg/L | E | First stage | 1 | NTT | 38 | 31 | 65 | 296 | 0 | 144 | 216 |
| 122 | 122 | Acid kojic 284 mg/L | E | First stage | 1 | NTT | 19 | 16 | 359 | 1 | 3 | 189 | 171 |
| 124 | 124 | Acid kojic 284 mg/L | E | First stage | 1 | NTT | 1 | 1 | 351 | 9 | 5 | 0 | 360 |
| 126 | 126 | Acid kojic 284 mg/L | E | First stage | 1 | NTT | 9 | 13 | 33 | 327 | 0 | 70 | 290 |
References
- James, G.; Witten, D.; Hastie, T.; Tibshirani, R. Statistical learning. In An Introduction to Statistical Learning; Springer: New York, NY, USA, 2021; pp. 15–57. [Google Scholar]
- Irimiciuc, S.A.; Nica, P.E.; Agop, M.; Focsa, C. Target properties—Plasma dynamics relationship in laser ablation of metals: Common trends for fs, ps and ns irradiation regimes. Appl. Surf. Sci. 2020, 506, 144926. [Google Scholar] [CrossRef]
- Irimiciuc, S.; Bulai, G.; Agop, M.; Gurlui, S. Influence of laser-produced plasma parameters on the deposition process: In situ space- and time-resolved optical emission spectroscopy and fractal modeling approach. Appl. Phys. A Mater. 2018, 124, 615. [Google Scholar] [CrossRef]
- Irimiciuc, S.A.; Bulai, G.; Gurlui, S.; Agop, M. On the separation of particle flow during pulse laser deposition of heterogeneous materials-A multi-fractal approach. Powder Technol. 2018, 339, 273–280. [Google Scholar] [CrossRef]
- Cobzeanu, B.M.; Irimiciuc, S.; Vaideanu, D.; Grigorovici, A.; Popa, O. Possible Dynamics of Polymer Chains by Means of a Ricatti’s Procedure-an Exploitation for Drug Release at Large Time Intervals. Mater. Plast. 2017, 54, 531–534. [Google Scholar] [CrossRef]
- Irimiciuc, S.A.; Agop, M.; Nica, P.; Gurlui, S.; Mihaileanu, D.; Toma, S.; Focsa, C. Dispersive effects in laser ablation plasmas. Jpn. J. Appl. Phys. 2014, 53, 116202. [Google Scholar] [CrossRef]
- Irimiciuc, S.A.; Hodoroaba, B.C.; Bulai, G.; Gurlui, S.; Craciun, V. Multiple structure formation and molecule dynamics in transient plasmas generated by laser ablation of graphite. Spectrochim. Acta Part B At. Spectrosc. 2020, 165, 105774. [Google Scholar] [CrossRef]
- Irimiciuc, S.A.; Gurlui, S.; Agop, M. Particle distribution in transient plasmas generated by ns-laser ablation on ternary metallic alloys. Appl. Phys. B 2021, 125, 190. [Google Scholar] [CrossRef]
- Frisvad, J.C. A critical review of producers of small lactone mycotoxins: Patulin, penicillic acid and moniliformin. World Mycotoxin J. 2018, 11, 73–100. [Google Scholar] [CrossRef]
- Mandalian, T.L.; Coprean, D.; Pașca, S. Effects of Patulin Treatment on Zebrafish (Danio rerio) Internal Organs. Rev. Chim. 2020, 71, 191–195. [Google Scholar] [CrossRef]
- Singh, N.; Sharma, G.; Dev, I.; Shukla, K.S.; Ansari, K.M. Study of the metabolic alterations in patulin-induced neoplastic transformation in normal intestinal cells. Toxicol. Res. 2021, 10, 592–600. [Google Scholar] [CrossRef]
- Pillay, Y.; Nagiah, S.; Phulukdaree, A.; Krishnan, A.; Chuturgoon, A.A. Patulin suppresses α1-adrenergic receptor expression in HEK293 cells. Sci. Rep. 2020, 10, 20115. [Google Scholar] [CrossRef] [PubMed]
- Burdock, G.A.; Soni, M.G.; Carabin, I.G. Evaluation of health aspects of kojic acid in food. Regul. Toxicol. Pharmacol. 2001, 33, 80–101. [Google Scholar] [CrossRef] [PubMed]
- Tamura, T.; Mitsumori, K.; Onodera, H.; Fujimoto, N.; Yasuhara, K.; Takegawa, K.; Takagi, H.; Hirose, M. Dose-threshold for thyroid tumor-promoting effects of orally administered kojic acid in rats after initiation with N-bis(2-hydroxypropyl) nitrosamine. J. Toxicol. Sci. 2001, 26, 85–94. [Google Scholar] [CrossRef] [PubMed]
- Chen, Y.M.; Su, W.C.; Li, C.; Shi, Y.; Chen, Q.X.; Zheng, J.; Tang, D.L.; Chen, S.M.; Wang, Q. Anti-melanogenesis of novel kojic acid derivatives in B16F10 cells and zebrafish. Int. J. Biol. Macromol. 2019, 123, 723–731. [Google Scholar] [CrossRef] [PubMed]
- Khan, F.R.; Alhewairini, S.S. Zebrafish (Danio rerio) as a Model Organism. Curr. Trends Cancer Manag. 2019, 81517, 3–18. [Google Scholar]
- Beckmann, C.; Biro, P.A. On the validity of a single (boldness) assay in personality research. Ethology 2013, 119, 937–947. [Google Scholar] [CrossRef]
- Wong, K.; Elegante, M.; Bartels, B.; Elkhayat, S.; Tien, D.; Roy, S.; GoodSpeed, J.; Suciu, C.; Tan, J.; Grimes, C.; et al. Analysing habituation responses to novelty in zebrafish (Danio rerio). Behav. Brain Res. 2010, 208, 450–457. [Google Scholar] [CrossRef]
- Bencan, Z.; Sledge, D.; Levin, E.D. Buspirone, chlordiazepoxide and diazepam effects in a zebrafish model of anxiety. Pharmacol. Biochem. Behav. 2009, 94, 75–80. [Google Scholar] [CrossRef]
- Postu, P.A.; Noumedem, J.A.; Cioanca, O.; Hancianu, M.; Mihasan, M.; Ciorpac, M.; Gorgan, D.L.; Petre, B.A.; Hritcu, L. Lactuca capensis reverses memory deficits in Aβ1-42-induced an animal model of Alzheimer’s disease. J. Cell. Mol. Med. 2018, 22, 111–122. [Google Scholar] [CrossRef]
- Cognato, G.D.P.; Bortolotto, J.W.; Blazina, A.R.; Christoff, R.R.; Lara, D.R.; Vianna, M.R.; Bonan, C.D. Y-Maze memory task in zebrafish (Danio rerio): The role of glutamatergic and cholinergic systems on the acquisition and consolidation periods. Neurobiol. Learn. Mem. 2012, 98, 321–328. [Google Scholar] [CrossRef]
- Aoki, R.; Tsuboi, T.; Okamoto, H. Y-maze avoidance: An automated and rapid associative learning paradigm in zebrafish. Neurosci. Res. 2015, 91, 69–72. [Google Scholar] [CrossRef] [PubMed]
- Wallace, C.K.; Bright, L.A.; Marx, J.O.; Andersen, R.P.; Mullins, M.C.; Carty, A.J. Effectiveness of rapid cooling as a method of euthanasia for young zebrafish (Danio rerio). J. Am. Assoc. Lab. Anim. Sci. 2018, 57, 58–63. [Google Scholar] [PubMed]
- Diaconiţă, G.; Eskenasy, A.; Hagi-Paraschiv, A.; Iliescu, G.; Mureşan Aug Nicolescu, P.; Repciuc, E.; Roşca, V.; Teitel, A. Tehnica Histopatologică; Editura de Stat Pentru Literatura Ştiinţifică: Bucharest, Romania, 1953. [Google Scholar]
- Șincai, M. Tehnici de Citohistologie Normală si Patologică. Ghid Practice; Ed. Mirton: Timișoara, Romania, 2000; p. 6. [Google Scholar]
- Analyse-it. Software for Statistical Analysis, Data Visualization and Modelling in Microsoft Excel. Available online: https://analyse-it.com/ (accessed on 14 January 2022).
- Hearty, J. Advanced Machine Learning with Python; Packt Publishing: Birmingham, UK, 2016. [Google Scholar]
- Tensor Flow. An End-to-End Open Source Machine Learning Platform. Available online: https://www.tensorflow.org/ (accessed on 10 January 2022).
- Keras. The Python Deep Learning API. Available online: https://keras.io/ (accessed on 12 January 2022).
- PyTorch. An Open Source Machine Learning Framework That Accelerates the Path from Research Prototyping to Production Deployment. Available online: https://pytorch.org/ (accessed on 9 January 2022).
- Python Home Page. Available online: https://www.python.org/ (accessed on 12 January 2022).
- Welcome to Colaboratory. Available online: https://colab.research.google.com/ (accessed on 14 January 2022).
- Kaggle. Visualizing KNN, SVM, and XGBoost on Iris Dataset. Available online: https://www.kaggle.com/mgabrielkerr/visualizing-knn-svm-and-xgboost-on-iris-dataset (accessed on 11 January 2022).
- PCA Using Python (Scikit-Learn)—Towards Data Science. Available online: https://towardsdatascience.com/pca-using-python-scikit-learn-e653f8989e60 (accessed on 14 January 2022).
- How to Handle Imbalanced Classes in Machine Learning. Available online: https://elitedatascience.com/imbalanced-classes (accessed on 12 January 2022).
- Portavella, M.; Vargas, J.P.; Torres, B.; Salas, C. The effects of telencephalic pallial lesions on spatial, temporal, and emotional learning in goldfish. Brain Res. Bull. 2002, 57, 397–399. [Google Scholar] [CrossRef]
- Evans, D.H.; Claiborne, J.B.; Currie, S. The Physiology of Fishes, 4th ed.; CRC Press: Boca Raton, FL, USA, 2014; pp. 238–247, 291–306, 334. [Google Scholar]
- Johnsson, J.I.; Björnsson, B.T. Growth hormone increases growth rate, appetite and dominance in juvenile rainbow trout, Oncorhynchus mykiss. Anim. Behav. 1994, 48, 177–186. [Google Scholar] [CrossRef]
- Jönsson, E.; Johnsson, J.I.; Björnsson, B.T. Growth hormone increases aggressive behavior in juvenile rainbow trout. Horm. Behav. 1998, 33, 9–15. [Google Scholar] [CrossRef]
- Portavella, M.; Torres, B.; Salas, C. Avoidance response in goldfish: Emotional and temporal involvement of medial and lateral telencephalic pallium. J. Neurosci. 2004, 24, 2335–2342. [Google Scholar] [CrossRef]
- El-Sawi, N.M.; Gashlan, H.M.; Younes, S.H.; Al-Massabi, R.F.; Shaker, S. Biochemical and histological studies on the effect of the Patulin mycotoxin on male rats’ liver and treatment by crude venom extracted from jelly fish. Life Sci. J. 2012, 9, 1143–1153. [Google Scholar]
- Shubin, A.V.; Demidyuk, I.V.; Komissarov, A.A.; Rafieva, L.M.; Kostrov, S.V. Cytoplasmic vacuolization in cell death and survival. Oncotarget 2016, 7, 55863. [Google Scholar] [CrossRef]
- Gashlan, H.M. Biochemical studies of patulin on liver functions in male albino mice. J. Appl. Anim. Res. 2008, 34, 93–96. [Google Scholar] [CrossRef][Green Version]
- Al-Hazmi, M.A. Patulin in apple juice and its risk assessments on albino mice. Toxicol. Ind. Health 2014, 30, 534–545. [Google Scholar] [CrossRef]
- Escoula, L.; More, J.; Baradat, C.; Henry, G.; Brunel-Dubech, N. The toxins of Byssochlamys n1vea westling. i. acute toxicity of patulin in adult rats and mice. In Annales de Recherches Veterinaires; INRA Editions: Rabat, Morocco, 1977; Volume 8, pp. 41–49. [Google Scholar]
- Takizawa, T.; Mitsumori, K.; Tamura, T.; Nasu, M.; Ueda, M.; Imai, T.; Hirose, M. Hepatocellular tumor induction in heterozygous p53-deficient CBA mice by a 26-week dietary administration of kojic acid. Toxicol. Sci. 2003, 73, 287–293. [Google Scholar] [CrossRef] [PubMed]
- Watanabe, T.; Mori, T.; Okamura, M.; Kashida, Y.; Mitsumori, K. Induction of hepatocellular proliferative lesions in CBA mice by a 26-week dietary administration of kojic acid. J. Toxicol. Pathol. 2005, 18, 159–165. [Google Scholar] [CrossRef][Green Version]
- Burnett, C.L.; Bergfeld, W.F.; Belsito, D.V.; Hill, R.A.; Klaassen, C.D.; Liebler, D.C.; Marks, J.G.; Shank, R.C.; Slaga, T.J.; Snyder, P.W.; et al. Final report of the safety assessment of kojic acid as used in cosmetics. Int. J. Toxicol. 2010, 29 (Suppl. 6), 244S–273S. [Google Scholar] [CrossRef] [PubMed]
- Higa, Y.; Kawabe, M.; Nabae, K.; Toda, Y.; Kitamoto, S.; Hara, T.; Tanaka, N.; Kariya, K.; Takahashi, M. Kojic acid-absence of tumor-initiating activity in rat liver, and of carcinogenic and photo-genotoxic potential in mouse skin. J. Toxicol. Sci. 2007, 32, 143–159. [Google Scholar] [CrossRef] [PubMed]
- Ota, Y.; Imai, T.; Onose, J.I.; Takami, S.; Cho, Y.M.; Hirose, M.; Nishikawa, A. A 55-week chronic toxicity study of dietary administered kojic acid (KA) in male F344 rats. J. Toxicol. Sci. 2009, 34, 305–313. [Google Scholar] [CrossRef] [PubMed]
- Nohynek, G.J.; Kirkland, D.; Marzin, D.; Toutain, H.; Leclerc-Ribaud, C.; Jinnai, H. An assessment of the genotoxicity and human health risk of topical use of kojic acid [5-hydroxy-2-(hydroxymethyl)-4H-pyran-4-one]. Food Chem. Toxicol. 2004, 42, 93–105. [Google Scholar] [CrossRef] [PubMed]
- Boussabbeh, M.; Salem, I.B.; Belguesmi, F.; Neffati, F.; Najjar, M.F.; Abid-Essefi, S.; Bacha, H. Crocin protects the liver and kidney from patulin-induced apoptosis in vivo. Environ. Sci. Pollut. Res. 2016, 23, 9799–9808. [Google Scholar] [CrossRef]
- Wu, T.S.; Yang, J.J.; Yu, F.Y.; Liu, B.H. Evaluation of nephrotoxic effects of mycotoxins, citrinin and patulin, on zebrafish (Danio rerio) embryos. Food Chem. Toxicol. 2012, 50, 4398–4404. [Google Scholar] [CrossRef]
- Harwig, J.; Munro, I.C. Mycotoxins of possible importance in diseases of Canadian farm animals. Can. Vet. J. 1975, 16, 125. [Google Scholar]
- Stott, W.T.; Bullerman, L.B. Patulin: A mycotoxin of potential concern in foods. J. Milk Food Technol. 1975, 38, 695–705. [Google Scholar] [CrossRef]
- Bullerman, L.B. Significance of mycotoxins to food safety and human health. J. Food Prot. 1979, 42, 65–86. [Google Scholar] [CrossRef] [PubMed]
- Kinosita, R.; Ishiko, T.; Sugiyama, S.; Seto, T.; Igarasi, S.; Goetz, I.E. Mycotoxins in fermented food. Cancer Res. 1968, 28, 2296–2311. [Google Scholar] [PubMed]
- Srisayam, M.; Weerapreeyakul, N.; Barusrux, S.; Kanokmedhakul, K. Antioxidant, antimelanogenic, and skin-protective effect of sesamol. J. Cosmet. Sci. 2014, 65, 69–79. [Google Scholar] [PubMed]
- Montazeri, M.; Emami, S.; Asgarian-Omran, H.; Azizi, S.; Sharif, M.; Sarvi, S.; Rezaei, F.; Sadeghi, M.; Gohardehi, S.; Daryani, A. In vitro and in vivo evaluation of kojic acid against Toxoplasma gondii in experimental models of acute toxoplasmosis. Exp. Parasitol. 2019, 200, 7–12. [Google Scholar] [CrossRef] [PubMed]
- Boussabbeh, M.; Ben Salem, I.; Neffati, F.; Najjar, M.F.; Bacha, H.; Abid-Essefi, S. Crocin Prevents Patulin-Induced Acute Toxicity in Cardiac Tissues via the Regulation of Oxidative Damage and Apoptosis. J. Biochem. Mol. Toxicol. 2015, 29, 479–488. [Google Scholar] [CrossRef] [PubMed]
- Bakos, K.; Kovács, R.; Staszny, Á.; Sipos, D.K.; Urbányi, B.; Müller, F.; Csenki, Z.; Kovács, B. Developmental toxicity and estrogenic potency of zearalenone in zebrafish (Danio rerio). Aquat. Toxicol. 2013, 136, 13–21. [Google Scholar] [CrossRef]
- Yuan, G.; Wang, Y.; Yuan, X.; Zhang, T.; Zhao, J.; Huang, L.; Peng, S. T-2 toxin induces developmental toxicity and apoptosis in zebrafish embryos. J. Environ. Sci. 2014, 26, 917–925. [Google Scholar] [CrossRef]
- Veselinović, J.B.; Veselinović, A.M.; Ilic-Tomic, T.; Davis, R.; O’Connor, K.; Pavic, A.; Nikodinovic-Runic, J. Potent anti-melanogenic activity and favorable toxicity profile of selected 4-phenyl hydroxycoumarins in the zebrafish model and the computational molecular modeling studies. Bioorg. Med. Chem. 2017, 25, 6286–6296. [Google Scholar] [CrossRef]
- Muthulakshmi, S.; Maharajan, K.; Habibi, H.R.; Kadirvelu, K.; Venkataramana, M. Zearalenone induced embryo and neurotoxicity in zebrafish model (Danio rerio): Role of oxidative stress revealed by a multi biomarker study. Chemosphere 2018, 198, 111–121. [Google Scholar] [CrossRef]
- Choi, T.Y.; Kim, J.H.; Ko, D.H.; Kim, C.H.; Hwang, J.S.; Ahn, S.; Kim, S.Y.; Kim, C.D.; Lee, J.H.; Yoon, T.J. Zebrafish as a new model for phenotype-based screening of melanogenic regulatory compounds. Pigment. Cell Res. 2007, 20, 120–127. [Google Scholar] [CrossRef]
- Chaudhari, U.; Nemade, H.; Sureshkumar, P.; Vinken, M.; Ates, G.; Rogiers, V.; Hescheler, J.; Hengstler, J.G.; Sachinidis, A. Functional cardiotoxicity assessment of cosmetic compounds using human-induced pluripotent stem cell-derived cardiomyocytes. Arch. Toxicol. 2018, 92, 371–381. [Google Scholar] [CrossRef] [PubMed]














| Principal Components | |||
|---|---|---|---|
| Component | Variance | Proportion | Cumulative Proportion |
| 1 | 2.060 | 0.515 | 0.515 |
| 2 | 1.020 | 0.255 | 0.770 |
| 3 | 0.732 | 0.183 | 0.953 |
| 4 | 0.188 | 0.047 | 1.000 |
| Principal Components | |||
|---|---|---|---|
| Component | Variance | Proportion | Cumulative Proportion |
| 1 | 3.027 | 0.378 | 0.378 |
| 2 | 1.944 | 0.243 | 0.621 |
| 3 | 1.476 | 0.184 | 0.806 |
| 4 | 0.778 | 0.097 | 0.903 |
| 5 | 0.676 | 0.085 | 0.988 |
| 6 | 0.099 | 0.012 | 1.000 |
| 7 | 0.000 | 0.000 | 1.000 |
| 8 | 0.000 | 0.000 | 1.000 |
Publisher’s Note: MDPI stays neutral with regard to jurisdictional claims in published maps and institutional affiliations. |
© 2022 by the authors. Licensee MDPI, Basel, Switzerland. This article is an open access article distributed under the terms and conditions of the Creative Commons Attribution (CC BY) license (https://creativecommons.org/licenses/by/4.0/).
Share and Cite
Mandalian, T.-L.; Pasca, A.S.; Toma, L.M.; Agop, M.; Toma, B.F.; Vasilescu, A.M.; Lupascu-Ursulescu, C. Statistical Analysis and Machine Learning Used in the Case of Two Behavioral Tests Applied in Zebrafish Exposed to Mycotoxins. Appl. Sci. 2022, 12, 2908. https://doi.org/10.3390/app12062908
Mandalian T-L, Pasca AS, Toma LM, Agop M, Toma BF, Vasilescu AM, Lupascu-Ursulescu C. Statistical Analysis and Machine Learning Used in the Case of Two Behavioral Tests Applied in Zebrafish Exposed to Mycotoxins. Applied Sciences. 2022; 12(6):2908. https://doi.org/10.3390/app12062908
Chicago/Turabian StyleMandalian, Tigran-Lucian, Aurelian Sorin Pasca, Loredana Maria Toma, Maricel Agop, Bogdan Florin Toma, Alin Mihai Vasilescu, and Corina Lupascu-Ursulescu. 2022. "Statistical Analysis and Machine Learning Used in the Case of Two Behavioral Tests Applied in Zebrafish Exposed to Mycotoxins" Applied Sciences 12, no. 6: 2908. https://doi.org/10.3390/app12062908
APA StyleMandalian, T.-L., Pasca, A. S., Toma, L. M., Agop, M., Toma, B. F., Vasilescu, A. M., & Lupascu-Ursulescu, C. (2022). Statistical Analysis and Machine Learning Used in the Case of Two Behavioral Tests Applied in Zebrafish Exposed to Mycotoxins. Applied Sciences, 12(6), 2908. https://doi.org/10.3390/app12062908

