Effects of Various Extraction Factors on Protein Yield of Haliotis discus hannai (Abalone)
Abstract
1. Introduction
2. Materials and Methods
2.1. Materials
2.2. Protein Extraction from Abalone
2.3. Examination of the Efficiency of Various Protein Extraction Factors
2.3.1. Buffer Selection
2.3.2. The Efficiency of Sodium Chloride (NaCl) for Protein Extraction
2.3.3. The Efficiency of Surfactants for Protein Extraction
2.4. Application of Optimal Extraction Conditions to Heat-Treated Abalone
2.5. Analysis of Abalone Protein Composition Using Electrophoresis
2.6. Statistical Analysis
3. Results and Discussion
3.1. Protein Assay and Buffer Effects
3.2. Sodium Chloride Effects
3.3. Surfactant Effects and Synergistic Effects
3.4. Application of Extraction Conditions to Thermally Processed Abalone
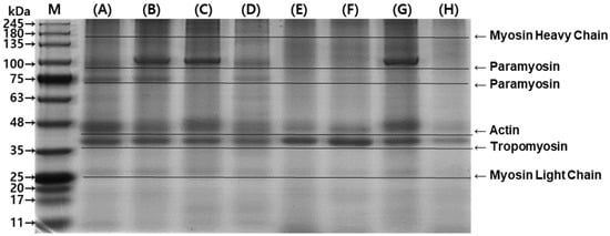
3.5. Abalone Protein Composition
4. Conclusions
Author Contributions
Funding
Institutional Review Board Statement
Informed Consent Statement
Conflicts of Interest
References
- Shi, L.; Hao, G.; Chen, J.; Ma, S.; Weng, W. Nutritional evaluation of Japanese abalone (Haliotis discus hannai Ino) muscle: Mineral content, amino acid profile and protein digestibility. Food Res. Int. 2020, 129, 1–8. [Google Scholar] [CrossRef]
- Di, G.; Miao, X.; Ke, C.; Kong, X.; Li, H.; You, W. Protein changes in abalone foot muscle from three geographical populations of Haliotis diversicolor based on proteomic approach. Ecol. Evol. 2016, 6, 3645–3657. [Google Scholar] [CrossRef][Green Version]
- Suleria, H.A.; Masci, P.P.; Gobe, G.C.; Osborne, S.A. Therapeutic potential of abalone and status of bioactive molecules: A comprehensive review. Crit. Rev. Food Sci. Nutr. 2017, 57, 1742–1748. [Google Scholar] [CrossRef]
- Li, J.; Tong, T.; Ko, D.O.; Chung, D.O.; Jeong, W.C.; Kim, J.E.; Kang, S.G. Anti-oxidant and Anti-skin-aging Effects of Abalone Viscera Extracts in Human Dermal Fibroblasts. Korean J. Food Preserv. 2012, 19, 463–469. [Google Scholar] [CrossRef]
- Botes, L.; Smit, A.J.; Cook, P.A. The potential threat of algal blooms to the abalone (Haliotis midae) mariculture industry situated around the South African coast. Harmful Algae 2003, 2, 247–259. [Google Scholar] [CrossRef]
- Park, C.-J.; Kim, S.Y. Abalone Aquaculture in Korea. J. Shellfish Res. 2013, 32, 17–19. [Google Scholar] [CrossRef]
- King, R.H.; Rayner, C.J.; Kerr, M.; Gorfine, H.K.; McShane, P.E. The composition and amino acid balance of abalone (Haliotis rubra) tissue. Aquaculture 1996, 140, 109–113. [Google Scholar] [CrossRef]
- Hayes, M. Measuring Protein Content in Food: An Overview of Methods. Foods 2020, 9, 1340. [Google Scholar] [CrossRef]
- Kumar, M.; Tomar, M.; Potkule, J.; Verma, R.; Punia, S.; Mahapatra, A.; Belwal, T.; Dahuja, A.; Joshi, S.; Berwal, M.K.; et al. Advances in the plant protein extraction: Mechanism and recommendations. Food Hydrocoll. 2021, 115, 1–17. [Google Scholar] [CrossRef]
- Al-Mohanna, T.; Bokros, N.T.; Ahsan, N.; Popescu, G.V.; Popescu, S.C. Methods for Optimization of Protein Extraction and Proteogenomic Mapping in Sweet Potato. Methods Mol. Biol. 2020, 2139, 309–324. [Google Scholar] [PubMed]
- Coelho, T.L.; Braga, F.M.; Silva, N.M.; Dantas, C.; Júnior, C.A.; de Sousa, S.A.; Vieira, E.C. Optimization of the protein extraction method of goat meat using factorial design and response surface methodology. Food Chem. 2019, 281, 63–70. [Google Scholar] [CrossRef] [PubMed]
- Huang, D.M.; Chandler, D. Temperature and length scale dependence of hydrophobic effects and their possible implications for protein folding. Proc. Natl. Acad. Sci. USA 2000, 97, 8324–8327. [Google Scholar] [CrossRef] [PubMed]
- Wu, W.; Jia, J.; Wen, C.; Yu, C.; Zhao, Q.; Hu, J. Optimization of ultrasound assisted extraction of abalone viscera protein and its effect on the iron-chelating activity. Ultrason. Sonochem. 2021, 77, 1–9. [Google Scholar] [CrossRef]
- Han, C.; Chan, Z.; Yang, F. Comparative analyses of universal extraction buffers for assay of stress related biochemical and physiological parameters. Prep. Biochem. Biotechnol. 2015, 45, 684–695. [Google Scholar] [CrossRef] [PubMed]
- Lasekan, A.O.; Nayak, B. Effects of buffer additives and thermal processing methods on the solubility of shrimp (Penaeus monodon) proteins and the immunoreactivity of its major allergen. Food Chem. 2016, 200, 146–153. [Google Scholar] [CrossRef]
- Fukase, H.; Ohdaira, E.; Masuzawa, N.; Ide, M. Effect of Ultrasound in Soybean Protein Extraction. Jpn. J. Appl. Phys. 1994, 33, 3088–3090. [Google Scholar] [CrossRef]
- Siró, I.; Vén, C.; Balla, C.; Jónás, G.; Zeke, I.; Friedrich, L. Application of an ultrasonic assisted curing technique for improving the diffusion of sodium chloride in porcine meat. J. Food Eng. 2009, 91, 353–362. [Google Scholar] [CrossRef]
- Lannes, S.C.d.S.; Miquelim, J.N. Interfacial behavior of food proteins. Curr. Nutr. Food Sci. 2013, 9, 10–14. [Google Scholar]
- Hu, H.; Fan, T.; Zhao, X.; Zhang, X.; Sun, Y.; Liu, H. Influence of pH and salt concentration on functional properties of walnut protein from different extraction methods. J. Food Sci. Technol. 2017, 54, 2833–2841. [Google Scholar] [CrossRef]
- Çarkcioğlu, E.; Rosenthal, A.J.; Candoğan, K. Rheological and textural properties of sodium reduced salt soluble myofibrillar protein gels containing sodium tri-polyphosphate. J. Texture Stud. 2016, 47, 181–187. [Google Scholar] [CrossRef]
- Lee, S.H.; Joo, S.T.; Ryu, Y.C. Skeletal muscle fiber type and myofibrillar proteins in relation to meat quality. Meat Sci. 2010, 86, 166–170. [Google Scholar] [CrossRef] [PubMed]
- Nahar, M.; Zakaria, Z.; Hashim, U.; Bari, M. Effect of pH and Salt Concentration on Protein Solubility of Slaughtered and Non-Slaughtered Broiler Chicken Meat. Sains Malays. 2017, 46, 719–724. [Google Scholar] [CrossRef]
- Yu, T.Y.; Morton, J.D.; Clerens, S.; Dyer, J.M. Cooking-Induced Protein Modifications in Meat. Compr. Rev. Food Sci. Food Saf. 2017, 16, 141–159. [Google Scholar] [CrossRef]
- Gunning, P.A.; Mackie, A.R.; Gunning, A.P.; Woodward, N.C.; Wilde, P.J.; Morris, V.J. Effect of surfactant type on surfactant--protein interactions at the air-water interface. Biomacromolecules 2004, 5, 984–991. [Google Scholar] [CrossRef] [PubMed]
- Wu, S.; Liang, F.; Hu, D.; Li, H.; Yang, W.; Zhu, Q. Determining the Critical Micelle Concentration of Surfactants by a Simple and Fast Titration Method. Anal. Chem. 2020, 92, 4259–4265. [Google Scholar] [CrossRef]
- Liu, Z.; Fan, Y.; Tian, M.; Wang, R.; Han, Y.; Wang, Y. Surfactant selection principle for reducing critical micelle concentration in mixtures of oppositely charged gemini surfactants. Langmuir 2014, 30, 7968–7976. [Google Scholar] [CrossRef]
- Fuguet, E.; Ràfols, C.; Rosés, M.; Bosch, E. Critical micelle concentration of surfactants in aqueous buffered and unbuffered systems. Anal. Chim. Acta 2005, 29, 95–100. [Google Scholar] [CrossRef]
- Bhairi, S.M. Detergent: A Guide to the Properties and Uses of Detergents in Biological Systems; Calbiochem-Novabiochem Corporation: San Diego, CA, USA, 2001; pp. 1–41. [Google Scholar]
- Sommeng, A.N.; Pratiwi, I.; Ginting, M.J.; Sahlan, M.; Hermansyah, H.; Wijanarko, A. The effects of heating process on protein isolation of lionfish (Pterois volitans) spines venom extract to antioxidant activity assay. AIP Conf. Proc. 2019, 2193, 020007. [Google Scholar]
- Zhu, B.; Dong, X.; Sun, L.; Xiao, G.; Chen, X.; Murata, Y.; Yu, C. Effect of Thermal Treatment on the Texture and Microstructure of Abalone Muscle (Haliotis discus). Food Sci. Biotechnol. 2011, 20, 1467–1473. [Google Scholar] [CrossRef]
- Van Dijk, E.; Hoogeveen, A.; Abeln, S. The hydrophobic temperature dependence of amino acids directly calculated from protein structures. PLoS Comput. Biol. 2015, 11, 1–17. [Google Scholar] [CrossRef]






Publisher’s Note: MDPI stays neutral with regard to jurisdictional claims in published maps and institutional affiliations. |
© 2021 by the authors. Licensee MDPI, Basel, Switzerland. This article is an open access article distributed under the terms and conditions of the Creative Commons Attribution (CC BY) license (https://creativecommons.org/licenses/by/4.0/).
Share and Cite
Yun, H.-J.; Jeong, S.-J.; Lee, Y.; Kim, H.-R.; Kim, B.; Lee, S. Effects of Various Extraction Factors on Protein Yield of Haliotis discus hannai (Abalone). Appl. Sci. 2021, 11, 11239. https://doi.org/10.3390/app112311239
Yun H-J, Jeong S-J, Lee Y, Kim H-R, Kim B, Lee S. Effects of Various Extraction Factors on Protein Yield of Haliotis discus hannai (Abalone). Applied Sciences. 2021; 11(23):11239. https://doi.org/10.3390/app112311239
Chicago/Turabian StyleYun, Hyun-Jung, Seung-Jin Jeong, Yoonmi Lee, Hyeung-Rak Kim, Bohkyung Kim, and Sanggil Lee. 2021. "Effects of Various Extraction Factors on Protein Yield of Haliotis discus hannai (Abalone)" Applied Sciences 11, no. 23: 11239. https://doi.org/10.3390/app112311239
APA StyleYun, H.-J., Jeong, S.-J., Lee, Y., Kim, H.-R., Kim, B., & Lee, S. (2021). Effects of Various Extraction Factors on Protein Yield of Haliotis discus hannai (Abalone). Applied Sciences, 11(23), 11239. https://doi.org/10.3390/app112311239

