Histological Evaluation of Multisonic Technology for Debridement of Vital and Necrotic Pulp Tissues from Human Molar Teeth. An Observational Study
Abstract
1. Introduction
2. Materials and Methods
2.1. Histologic Control Group
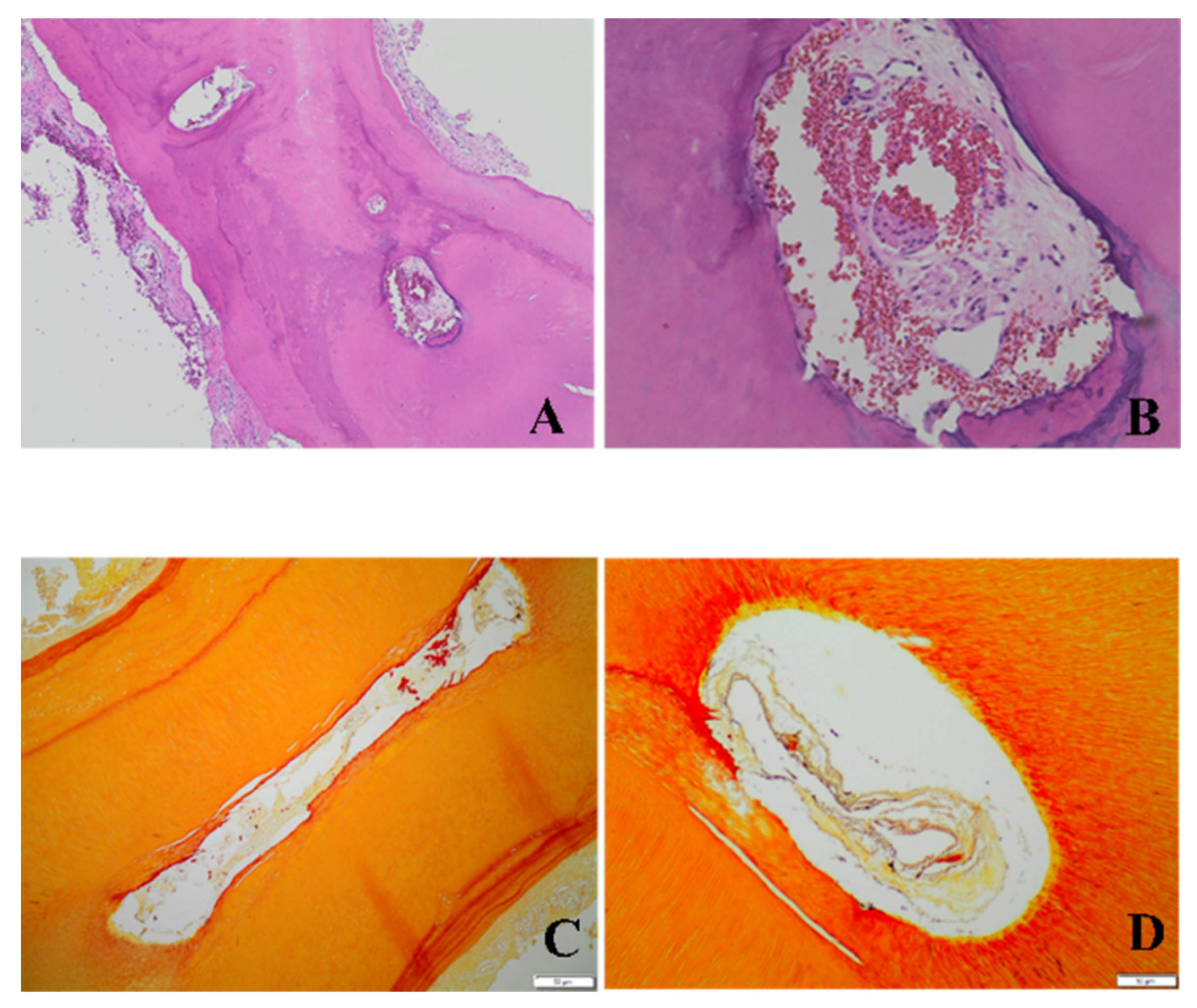
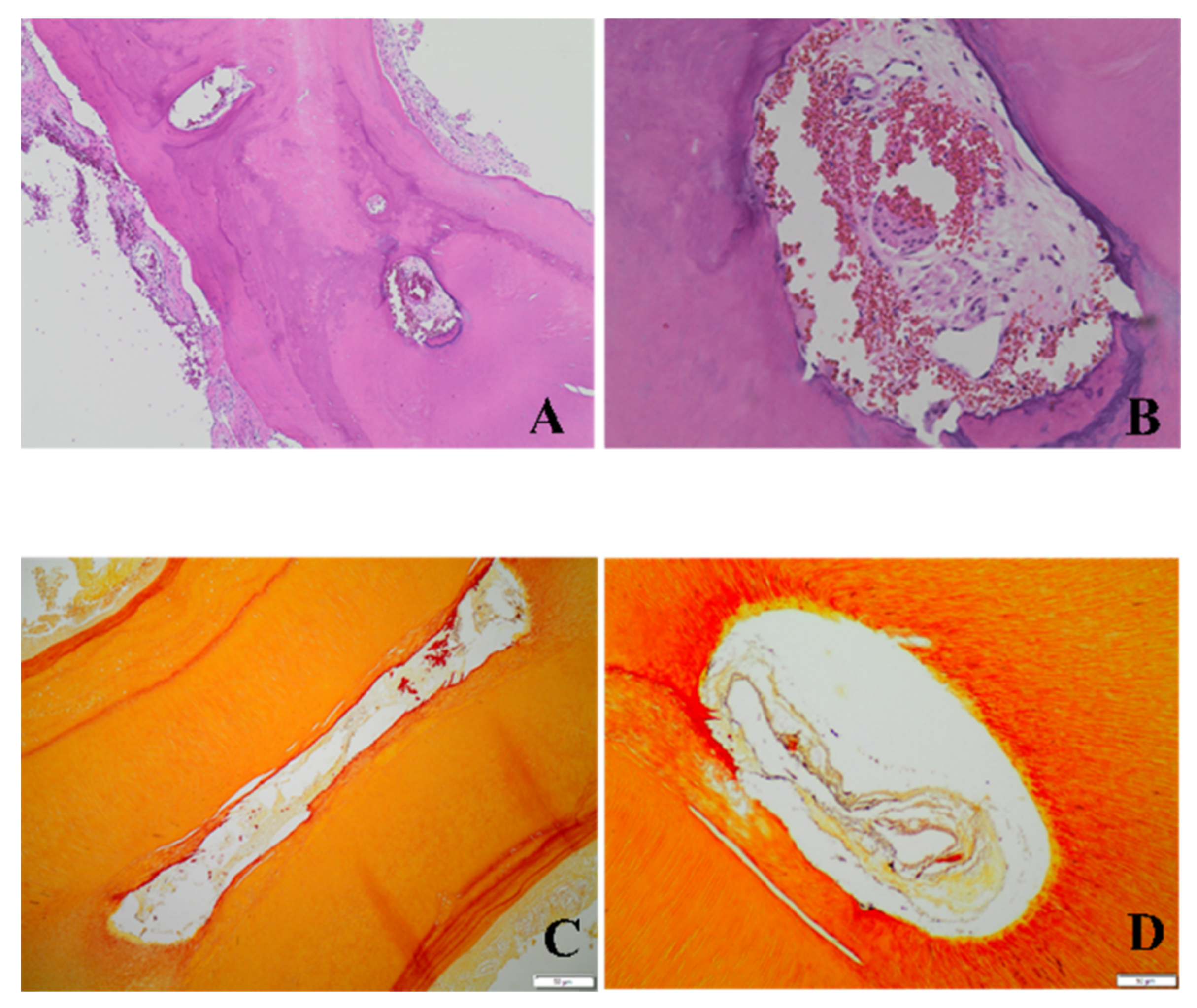
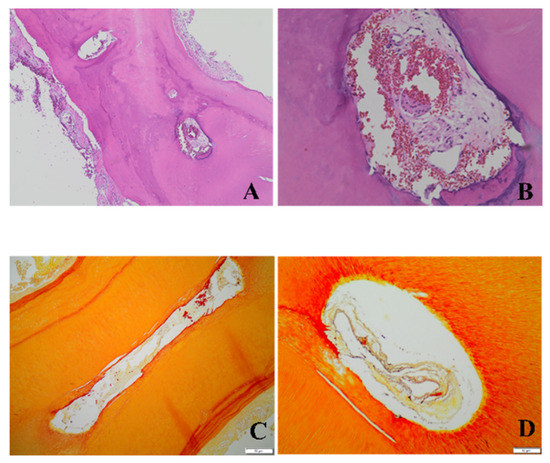
2.2. Histological Process
- (a)
- Presence of pulp tissue and debris in the root canal lumen and fins.
- (b)
- Presence of pulp tissue and debris inside isthmuses (if isthmus present).
- (c)
- Presence of pulp tissue and debris inside lateral canals (if lateral canal present).
- (a)
- Adhered to necrotic pulp tissue located in the root canal lumen and fins.
- (b)
- Adhered to necrotic pulp tissue located in the isthmuses (if isthmus present).
- (c)
- Adhered to necrotic pulp tissue in lateral canals (if lateral canal present).
- (d)
- Within dentinal tubules.
2.3. Statistical Analyses
3. Results
4. Discussion
5. Conclusions
Author Contributions
Funding
Institutional Review Board Statement
Informed Consent Statement
Data Availability Statement
Acknowledgments
Conflicts of Interest
References
- Ng, Y.-L.; Mann, V.; Gulabivala, K. Outcome of primary root canal treatment: A systematic review of the literature. Int. Endod. J. 2007, 40, 921–939. [Google Scholar] [CrossRef]
- Miller, W.D. Microorganisms of the human mouth. Dent. Cosm. 1891, 9, 689–713. [Google Scholar] [CrossRef]
- Sundqvist, G. Bacteriological Studies of Necrotic Pulps. Ph.D. Thesis, University of Umea, Umea, Sweden, 1976. [Google Scholar]
- Ørstavik, D.; Haapasalo, M. Disinfection by endodontic irrigants and dressings of experimentally infected dentinal tubules. Endod. Dent. Traumatol. 1990, 6, 142–149. [Google Scholar] [CrossRef] [PubMed]
- Jou, Y.T.; Karabucak, B.; Levin, J.; Liu, D. Endodontic working width: Current concepts and techniques. Dent. Clin. N. Am. 2004, 48, 323–335. [Google Scholar] [CrossRef]
- Torabinejad, M.; Handysides, R.A.; Khademi, A.A.; Bakland, L.K. Clinical implications of the smear layer in endodontics: A review. Oral Surg. Oral Med. Oral Pathol. Oral Rad. Endodontology 2002, 94, 658–666. [Google Scholar] [CrossRef] [PubMed]
- Zehnder, M.; Kosicki, D.; Luder, H.; Sener, B.; Waltimo, T. Tissue-dissolving capacity and antibacterial effect of buffered and unbuffered hypochlorite solutions. Oral Surg. Oral Med. Oral Pathol. Oral Rad. Endodontology 2002, 94, 756–762. [Google Scholar] [CrossRef] [PubMed]
- Peters, O.A.; Noblett, W.C. Endodontics: Principles and Practice: Cleaning and Shaping, 5th ed.; Saunders: Philadelphia, PA, USA, 2015; pp. 273–300. [Google Scholar]
- Gutiérrez, J.H.; Garcia, J. Microscopic and macroscopic investigation on results of mechanical preparation of root canals. Oral Surg. Oral Med. Oral Pathol. 1968, 25, 108–116. [Google Scholar] [CrossRef]
- Langeland, K.; Liao, K.; Pascon, E.A. Work-saving devices in endodontics: Efficacy of sonic and ultrasonic techniques. J. Endod. 1985, 11, 499–510. [Google Scholar] [CrossRef]
- Walker, T.L.; del Rio, C.E. Histological evaluation of ultrasonic and sonic instrumentation of curved root canals. J. Endod. 1989, 15, 49–59. [Google Scholar] [CrossRef]
- Peters, O.A.; Schönonberger, K.; Laib, A. Effects of four Ni-Ti preparation techniques on root canal geometry assessed by micro computed tomography. Int. Endod. J. 2001, 34, 221–230. [Google Scholar] [CrossRef]
- Paque, F.; Lalb, A.; Gautschi, H.; Zehnder, M. Hard-tissue debris accumulation analysis by high resolution computed tomography scans. J. Endod. 2009, 35, 1044–1047. [Google Scholar] [CrossRef]
- Forghani, M.; Afshari, E.; Parisay, I.; Garajian, R. Effect of a passive sonic irrigation system on elimination of Enterococcus Faecalis from root canal system of primary teeth, using different concentrations of sodium Hypochlorite: An in vitro evaluation. J. Dent. Res. Dent. Clin. Dent. Prospect. 2017, 11, 177–182. [Google Scholar] [CrossRef][Green Version]
- Kaloustian, M.K.; Nehme, W.; El Hachem, C.; Zogheib, C.; Ghosn, N.; Mallet, J.P.; Diemer, F.; Naam, A. Evaluation of two shaping system and two sonic irrigation devices in removing root canal filling material from distal roots of mandibular molars assessed by micro CT. Int. Endod. J. 2019, 52, 1635–1644. [Google Scholar] [CrossRef]
- Van der Sluis, L.W.; Versluis, M.; Wu, M.K.; Wesselink, P.R. Passive ultrasonic irrigation of the root canal: A review of the literature. Int. Endod. J. 2007, 40, 415–426. [Google Scholar] [CrossRef] [PubMed]
- Beus, C.; Safavi, K.; Stratton, J.; Kaufman, B. Comparison of the effect of two endodontic irrigation protocols on the elimination of bacteria from root canal system: A prospective, randomized clinical trial. J. Endod. 2012, 38, 1479–1483. [Google Scholar] [CrossRef]
- Divito, E.; Peters, O.A.; Olivi, G. Effectiveness of the erbium; YAG laser and new design radial and stripped tips in removing the smear layer after root canal instrumentation. Lasers Med. Sci. 2012, 27, 273–280. [Google Scholar] [CrossRef] [PubMed]
- Ordinola-Zapata, R.; Bramante, C.M.; Aprecio, R.M.; Handysides, R.; Jaramillo, D.E. Biofilm removal by 6% sodium hypochlorite activate by different irrigation techniques. Int. Endod. J. 2014, 47, 659–666. [Google Scholar] [CrossRef] [PubMed]
- Susin, L.; Liu, Y.; Yoon, C.; Parente, J.M.; Loushine, R.J.; Ricucci, D.; Bryan, T.; Weller, R.N.; Pashley, D.H.; Tay, F.R. Canal and isthmus debridement efficacies of two irrigant agitation techniques in a close system. Int. Endod. J. 2012, 43, 1077–1090. [Google Scholar] [CrossRef]
- Pawar, R.; Algaied, A.; Safavi, K.; Boyko, J.; Kaufman, B. Influence of an apical negative pressure irrigation system on bacterial elimination during Endodontic Therapy; A prospective randomized clinical study. J. Endod. 2012, 38, 1177–1181. [Google Scholar] [CrossRef]
- Mancini, M.; Cerroni, L.; Iorio, L.; Armellin, E.; Conte, G.; Cianconi, L. Smear layer removal and canal cleanliness using different irrigation systems (Endo Activator, EndoVac and Passive Ultrasonic Irrigation): Field emission scanning electron microscopic evaluation in an in-vitro study. J. Endod. 2013, 39, 1456–1460. [Google Scholar] [CrossRef]
- De-Deus, G.; Reis, C.; Beznos, D.; de Abranches, A.M.G.; Coutinho-Filho, T.; Paciornik, S. Limited ability of three commonly used thermo-plasticized gutta-percha techniques in filling oval-shaped canals. J. Endod. 2008, 34, 1401–1405. [Google Scholar] [CrossRef]
- Boutsioukis, C.; Lambrianidis, T.; Verhaagen, B.; Versluis, M.; Kastrinakis, E.; Wesselink, P.R.; van der Sluis, L.W.M. The effect of needle-insertion depth on the irrigant flow in the root canal: Evaluation using and unsteady computational fluid dynamics model. J. Endod. 2010, 36, 1664–1668. [Google Scholar] [CrossRef] [PubMed]
- Moreira, R.N.; Pinto, E.B.; Galo, R.; Falci, S.G.M.; Mesquita, A.T. Passive ultrasonic irrigation in the root canal: Systematic review and meta-analysis. Acta Odontol. Scand. 2019, 77, 55–60. [Google Scholar] [CrossRef]
- Van der Vyver, P.J.; Paleker, F.; Vorster, M.; de Wet, F.A. Root canal shaping using nickel titanium M-wire, and Gold Wire: A micro-computed tomographic comparative study of One Shape, Pro Taper Next, and Wave One Gold instruments in Maxillary First molars. J. Endod. 2019, 45, 62–67. [Google Scholar] [CrossRef]
- Tay, F.R.; Gu, L.S.; Schoeffel, G.J.; Wimmer, C.; Susin, L.; Zhang, K.; Arun, S.N.; Kim, J.; Looney, S.W.; Pashley, D.H. Effect of Vapor lock on the root canal debridement by using a side-vented needle for positive-pressure irrigant delivery. J. Endod. 2010, 36, 745–750. [Google Scholar] [CrossRef]
- Molina, B.; Glickman, G.; Vandrangi, P.; Khakpour, M. Evaluation of root canal debridement of human molars using the GentleWave system. J. Endod. 2015, 41, 1701–1705. [Google Scholar] [CrossRef]
- Haapasalo, M.; Shen, Y.; Wang, Z.; Park, E.; Curtis, A.; Patel, P.; Vandrangi, P. Apical pressure created during irrigation with the GentleWave system compared to conventional syringe irrigation. Clin. Oral Investig. 2015, 20, 1525–1534. [Google Scholar] [CrossRef] [PubMed]
- Chan, R.; Versiani, M.A.; Friedman, S.; Malkhassian, G.; Sousa-Neto, M.D. Leoni, G.B.; Silva-Souza, Y.T.C.; Basrani, B. Efficacy of 3 Supplementary irrigation protocols in the removal of hard tissue debris from the mesial root canal system of mandibular molars. J. Endod. 2019, 45, 923–929. [Google Scholar] [CrossRef]
- Wright, C.R.; Glickman, G.N.; Jalali, P.; Umorin, M. Effectiveness of gutta-percha/sealer removal during retreatment of extracted human molars using the GentleWave system. J. Endod. 2019, 45, 808–812. [Google Scholar] [CrossRef]
- Sigurdsson, A.; Le, K.T.; Woo, S.M.; Rassoulian, S.A.; McLachlan, K.; Abbassi, F.; Garland, R.W. Six-months healing success rates after endodontic treatment using the novel GentleWave system: The pure prospective multi-center clinical study. J. Clin. Exp. Dent. 2016, 8, 290–298. [Google Scholar] [CrossRef] [PubMed]
- Grigsby, D.; Ordinola-Zapata, R.; McClanahan, S.B.; Fok, A. Postoperative pain after treatment using GentleWave system: A randomized controlled trial. J. Endod. 2020, 46, 1017–1022. [Google Scholar] [CrossRef]
- Charara, K.; Friedman, S.; Sherman, A.; Kishen, A.; Malkhassian, G.; Khakpour, M.; Basrani, B. Assessment of apical extrusion during root canal irrigation with a novel GentleWave system in a simulated apical environment. J. Endod. 2016, 42, 135–139. [Google Scholar] [CrossRef] [PubMed]
- Choi, H.W.; Park, S.Y.; Kang, M.K.; Shon, W.J. Comparative analysis of biofilm removal efficacy by multisonic ultracleaning system and passive ultrasonic activation. Materials 2019, 21, 3492. [Google Scholar] [CrossRef] [PubMed]
- Schneider, S.W. A comparison of canal preparations in straight and curved root canals. Oral Surg. Oral Med. Oral Pathol. 1971, 32, 271–275. [Google Scholar] [CrossRef]
- Ricucci, D.; Siqueira, J.F., Jr.; Bate, A.L.; Ford, T.R.P. Histologic Investigation of the Root Canal-treated Teeth with Apical Periodontitis: A Retrospective Study from Twenty- four Patients. J. Endod. 2009, 35, 493–502. [Google Scholar] [CrossRef]
- Ricucci, D.; Loghin, S.; Siqueira, J.F., Jr. Correlation between clinical and histologic pulp diagnoses. J. Endod. 2014, 40, 1932–1939. [Google Scholar] [CrossRef]
- R Core Team. R: A Language And Environment For Statistical Computing; R Foundation for Statistical Computing: Vienna, Austria, 2017; Available online: https://www.Rproject.org/ (accessed on 9 November 2019).
- Wang, Z.; Shen, Y.; Haapasalo, M. Root canal wall dentin structure in uninstrumented but cleaned human premolars: A scanning electron microscopic study. J. Endod. 2018, 44, 842–848. [Google Scholar] [CrossRef]
- Nair, P.N.; Henry, S.; Cano, V.; Vera, J. Microbial status of apical root canal system of human mandibular first molars with primary apical periodontitis after “one-visit” endodontic treatment. Oral Surg. Oral Med. Oral Pathol. Oral Radiol. Endod. 2005, 99, 231–252. [Google Scholar] [CrossRef]
- Arya, A.; Bali, D.; Grewal, M.S. Histological analysis of cleaning efficacy of hand and rotary instruments in the apical third of the root canal: A comparative Study. J. Conserv. Dent. 2011, 14, 237–240. [Google Scholar] [CrossRef]
- Vera, J.; Siqueira, J.F., Jr.; Ricucci, D.; Loghin, S.; Fernandez, N.; Flores, B.; Cruz, A.G. One-versus two-visit endodontic treatment of teeth with apical periodontitis: A histobacteriologic study. J. Endod. 2012, 38, 1040–1052. [Google Scholar] [CrossRef]
- Perez, A.R.; Ricucci, D.; Vieira, G.C.S.; Provenzano, J.C.; Alves, F.R.; Marceliano-Alves, M.F.; Rocas, I.N.; Siqueira, J.F., Jr. Cleaning, Shaping, and Disinfecting Abilities of 2 Instrument Systems as Evaluated by a Correlative Micro-computed Tomographic and Histobacteriologic Approach. J. Endod. 2020, 46, 846–856. [Google Scholar] [CrossRef]
- Walton, R.E. Histological evaluation of different methods of enlarging the pulp canal space. J. Endod. 1976, 2, 304–311. [Google Scholar] [CrossRef]
- Siqueira, J.F., Jr.; Araújo, M.C.; Garcia, P.F.; Fraga, R.C.; Dantas, C.J. Histological evaluation of the effectiveness of five instrumentation techniques for cleaning the apical third of root canals. J. Endod. 1997, 23, 499–502. [Google Scholar] [CrossRef]
- Cunningham, W.T.; Martin, H.; Forrest, W.R. Evaluation of root canal debridement by the endosonic ultrasonic synergetic system. Oral Surg. Oral Med. Oral Pathol. 1982, 53, 401–404. [Google Scholar] [CrossRef]
- Cunningham, W.T.; Martin, H. A scanning electron microscope evaluation of the root canal debridement with endosonic ultrasonic synergistic system. Oral Surg. Oral Med. Oral Pathol. 1982, 53, 527–531. [Google Scholar] [CrossRef]
- De Carvalho, C.M.; Junior, E.C.S.; Garrido, A.D.; Lia, R.C.C.; Garcia, L.F.R.; Marques, A.A.F. Apical Transportation, Centering Ability, and Cleaning Effectiveness of Reciprocating Single-file System Associated with Different Glide Path Techniques. J. Endod. 2015, 41, 2045–2049. [Google Scholar] [CrossRef]
- Khalap, N.D.; Kokate, S.; Hegde, V. Ultrasonic versus sonic activation of the final irrigant in root canals instrumented with rotary/reciprocating files: An in-vitro scanning electron microscopy analysis. J. Conserv. Dent. 2016, 19, 368–372. [Google Scholar] [CrossRef]
- Lacerda, M.F.L.S.; Marcelino-Alves, M.F.; Perez, A.R.; Provenzo, J.C.; Neves, M.A.S.; Pires, F.R.; Goncalves, L.S.; Rôças, I.N.; Siqueira, F.J., Jr. Cleaning and shaping oval canals with 3 instrumentation systems: A correlative Micro- computed tomographic and histological study. J. Endod. 2017, 43, 1878–1884. [Google Scholar] [CrossRef]
- Morales, M.N.P.; Sánchez, J.A.G.; Olivieri, J.G.; Elmsmari, F.; Salmon, P.; Jaramillo, D.E.; Duran-Sindreu, F. Micro-computed Tomographic Assessment and Comparative Study of the Shaping Ability in Six NiTi files—An In Vitro Study. J. Endod. 2021, 47, 812–819. [Google Scholar] [CrossRef] [PubMed]
- Conde, A.J.; Estevez, R.; Loroño, G.; de Pablo, O.V.; Rossi-Fedele, G.; Cisneros, R. Effect of sonic and ultrasonic activation on the organic tissue dissolution from simulated grooves in the root canals using sodium hypochlorite and EDTA. Int. Endod. J. 2017, 50, 976–982. [Google Scholar] [CrossRef] [PubMed]
- Taneja, S.; Mishra, N.; Malik, S. Comparative evaluation of human pulp tissue dissolution by different concentrations of chlorine dioxide, calcium hypochlorite and sodium hypochlorite: An in vitro study. J. Conserv. Dent. 2014, 17, 541–545. [Google Scholar] [CrossRef] [PubMed]
- Hasselgren, G.; Olsson, B.; Cvek, M. Effects of calcium hydroxide and sodium hypochlorite on the dissolution of necrotic porcine muscle tissue. J. Endod. 1988, 14, 125–127. [Google Scholar] [CrossRef]
- Moorer, W.R.; Wesselink, P.R. Factor promoting the tissue dissolving capability of sodium hypochlorite. Int. Endod. J. 1982, 15, 187–196. [Google Scholar] [CrossRef]
- Gazzaneo, I.; Vieira, G.C.S.; Perez, A.R.; Alves, F.R.F.; Gonçalves, L.S.; MdalaI, I.; Siqueira, J.F.; Rocas, I.N. Root canal disinfection by single- and multiple-instrument systems: Effects of sodium hypochlorite volume, concentration, and retention time. J. Endod. 2019, 45, 736–741. [Google Scholar] [CrossRef]
- Guarts, R.; Nusstein, J.; Reader, A.; Beck, M. In vivo debridement efficacy of ultrasonic irrigation following hand-rotary instrumentation in human mandibular molars. J. Endod. 2005, 31, 166–170. [Google Scholar] [CrossRef]
- Varela, P.; Souza, E.; de Deus, G.; Duran-Sindreu, F.; Mercadé, M. Effectiveness of complementary irrigation routines in debriding pulp tissue from root canals instrumented with a single reciprocating file. Int. Endod. J. 2019, 52, 475–483. [Google Scholar] [CrossRef] [PubMed]
- Castelo-Baz, P.; Varela-Patiño, P.; Cantatore, G.; Domínguez-Perez, A.; Ruíz-Piñón, M.; Miguens-vila, R.; Marti-Biedma, B. In vitro comparison of passive and continuous ultrasonic irrigation in curved root canals. J. Clin. Exp. Dent. 2016, 4, 437–441. [Google Scholar]
- Schoeffel, G.J. The EndoVac method of endodontic irrigation, part 3: System components and their interaction. Dent. Today 2008, 27, 8–11. [Google Scholar]
- De Gregorio, C.; Estevez, R.; Cisneros, R.; Paranjpe, A.; Cohenca, N. Efficacy of different irrigation and activation systems on the penetration of sodium hypochlorite into simulate lateral canals and up to working length. An in vitro Study. J. Endod. 2010, 7, 1216–1221. [Google Scholar] [CrossRef] [PubMed]
- Haapasalo, M.; Wang, Z.; Shen, Y.; Curtis, A.; Patel, P.; Khakpour, M. Tissue dissolution by a novel multisonic ultra-cleaning system and sodium hypochlorite. J. Endod. 2014, 40, 1178–1181. [Google Scholar] [CrossRef]
- Budris, A.; Mayleben, P.A. Effects of entrained air, NPSH margin, and suction piping on cavitation in centrifugal pumps. In Proceedings of the 15th International Pump Users Symposium, Houston, TX, USA, 3–5 March 1998; Turbomachinery Laboratory: College Station, TX, USA, 1998; pp. 99–108. [Google Scholar]
- Haapasalo, M.; Ørstavik, D. In-vitro infection and disinfection of dentinal tubules. J. Dent. Res. 1987, 66, 1375–1379. [Google Scholar] [CrossRef] [PubMed]
- Siqueira, J.F., Jr.; Rôças, I.N. Clinical implications and microbiology of bacterial persistence after treatment procedures. J. Endod. 2008, 34, 1291–1301. [Google Scholar] [CrossRef] [PubMed]
- Vieira, A.R.; Siqueira, J.F., Jr.; Ricucci, D.; Weber, S.P.; Lopes, W.S. Dentinal tubule infection as the cause of recurrent disease and late endodontic treatment failure: A Case Report. J. Endod. 2012, 38, 250–254. [Google Scholar] [CrossRef] [PubMed]
- Caputa, P.E.; Tesas, A.; Kuijk, L.; de Paz, L.E.C.; Boutsioukis, C. Ultrasonic irrigant activation during root canal treatment: A systematic review. J. Endod. 2019, 45, 31–44. [Google Scholar] [CrossRef]




| Root Canal | DB * | DL * | MB * | ML * | |
|---|---|---|---|---|---|
| Portion | Coronal | 4.98 | 1.66 | 4.98 | 5.81 |
| Mid | 3.32 | 0.00 | 2.49 | 3.32 | |
| Apical | 2.49 | 0.83 | 3.32 | 1.66 |
| PULP | F | Df | Df. Res | Pr (>F) |
|---|---|---|---|---|
| Group | 0.0134 | 1 | 18.295 | 0.9090 |
| Zone | 1.7792 | 2 | 152.262 | 0.1723 |
| Location | 1.5550 | 3 | 156.963 | 0.2024 |
| Group: zone | 0.3139 | 2 | 152.029 | 0.7310 |
| Group: location | 1.0298 | 3 | 155.209 | 0.3811 |
| Zone: location | 0.1182 | 6 | 153.266 | 0.9941 |
| Group: Zone: Location | 0.4476 | 4 | 152.029 | 0.7740 |
| ISTHMUS | F | Df | Df. Res | Pr (>F) |
|---|---|---|---|---|
| Group | 0.1534 | 1 | 17.051 | 0.70015 |
| Zone | 0.8005 | 2 | 110.061 | 0.45169 |
| Location | 0.8315 | 3 | 116.571 | 0.47016 |
| Group: zone | 2.5244 | 2 | 110.005 | 0.08474 |
| Group: location | 1.9472 | 3 | 116.889 | 0.12582 |
| Zone: location | 0.6081 | 6 | 110.609 | 0.72334 |
| Group: Zone: Location | 0.6544 | 6 | 110.825 | 0.68646 |
Publisher’s Note: MDPI stays neutral with regard to jurisdictional claims in published maps and institutional affiliations. |
© 2021 by the authors. Licensee MDPI, Basel, Switzerland. This article is an open access article distributed under the terms and conditions of the Creative Commons Attribution (CC BY) license (https://creativecommons.org/licenses/by/4.0/).
Share and Cite
Jaramillo, D.E.; Arriola, A.R. Histological Evaluation of Multisonic Technology for Debridement of Vital and Necrotic Pulp Tissues from Human Molar Teeth. An Observational Study. Appl. Sci. 2021, 11, 11002. https://doi.org/10.3390/app112211002
Jaramillo DE, Arriola AR. Histological Evaluation of Multisonic Technology for Debridement of Vital and Necrotic Pulp Tissues from Human Molar Teeth. An Observational Study. Applied Sciences. 2021; 11(22):11002. https://doi.org/10.3390/app112211002
Chicago/Turabian StyleJaramillo, David E., and Alberto R. Arriola. 2021. "Histological Evaluation of Multisonic Technology for Debridement of Vital and Necrotic Pulp Tissues from Human Molar Teeth. An Observational Study" Applied Sciences 11, no. 22: 11002. https://doi.org/10.3390/app112211002
APA StyleJaramillo, D. E., & Arriola, A. R. (2021). Histological Evaluation of Multisonic Technology for Debridement of Vital and Necrotic Pulp Tissues from Human Molar Teeth. An Observational Study. Applied Sciences, 11(22), 11002. https://doi.org/10.3390/app112211002
