SOX-2 and EZH-2 Expression in Primary Epithelial Malignant Salivary Gland Tumors
Abstract
1. Introduction
2. Materials and Methods
2.1. Patients and Tissue Samples
2.2. Immunohistochemical Method
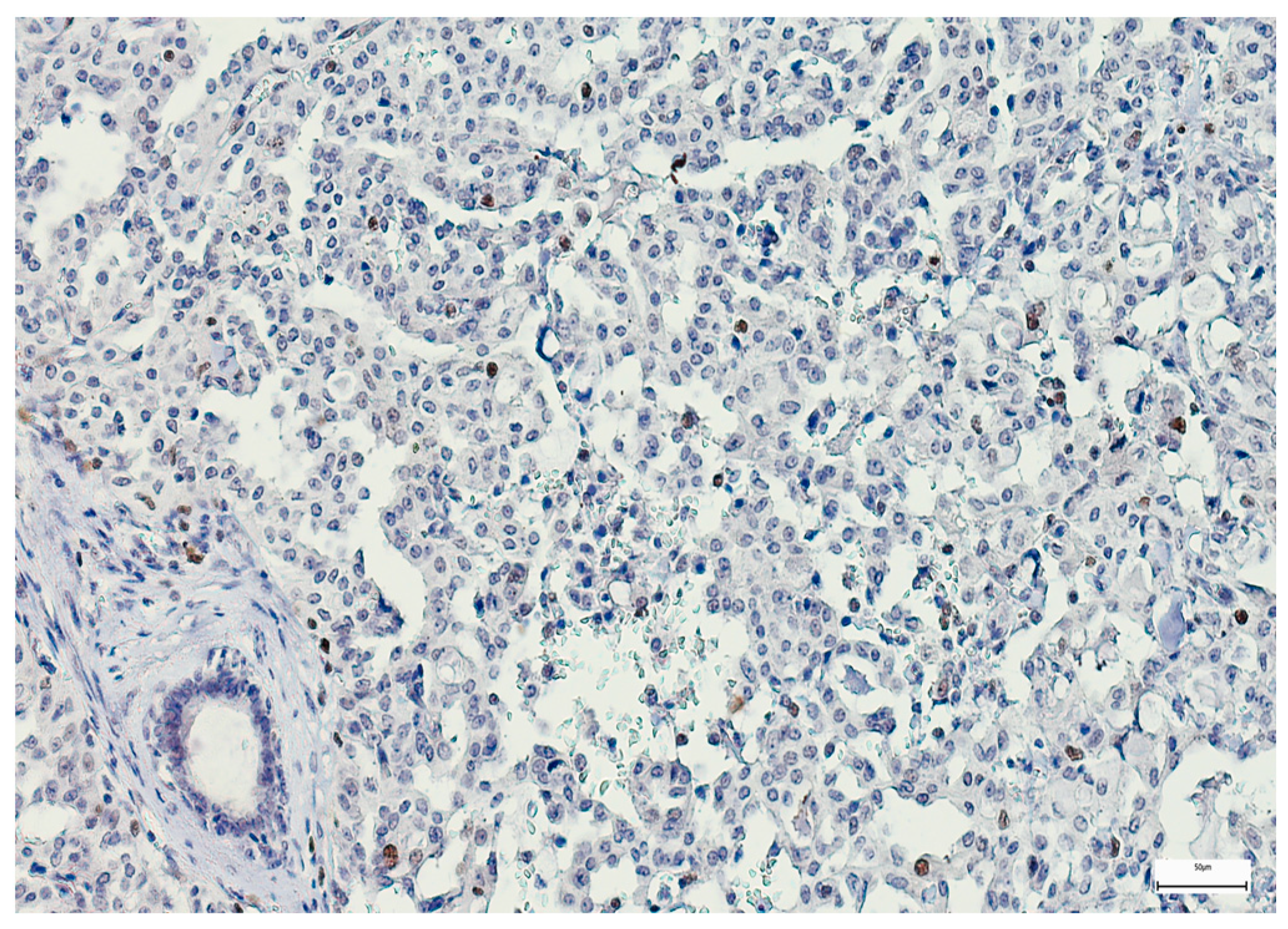
2.3. Evaluation of SOX-2 and EZH-2 Immunoexpression
2.4. Statistical Analysis
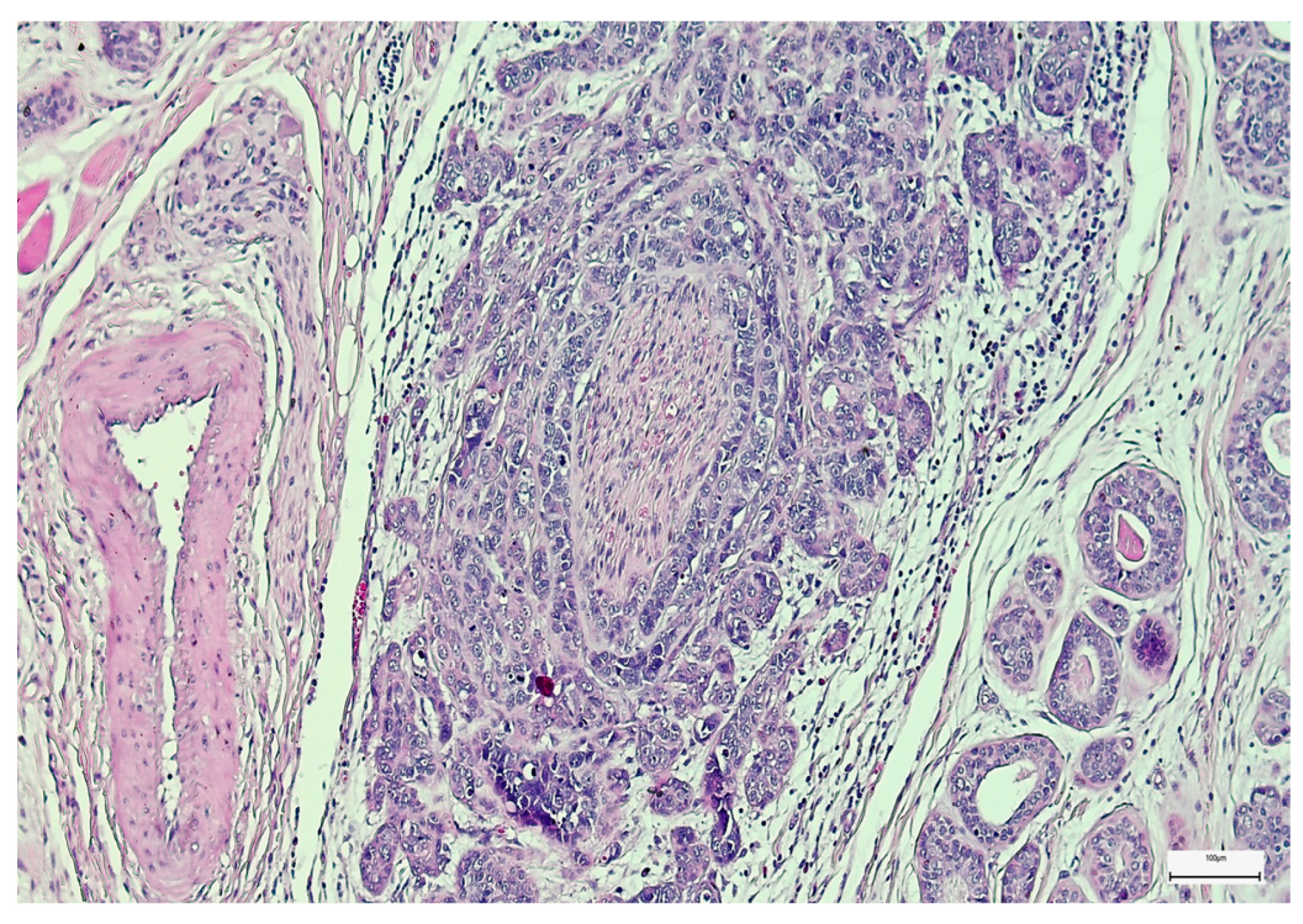
3. Results
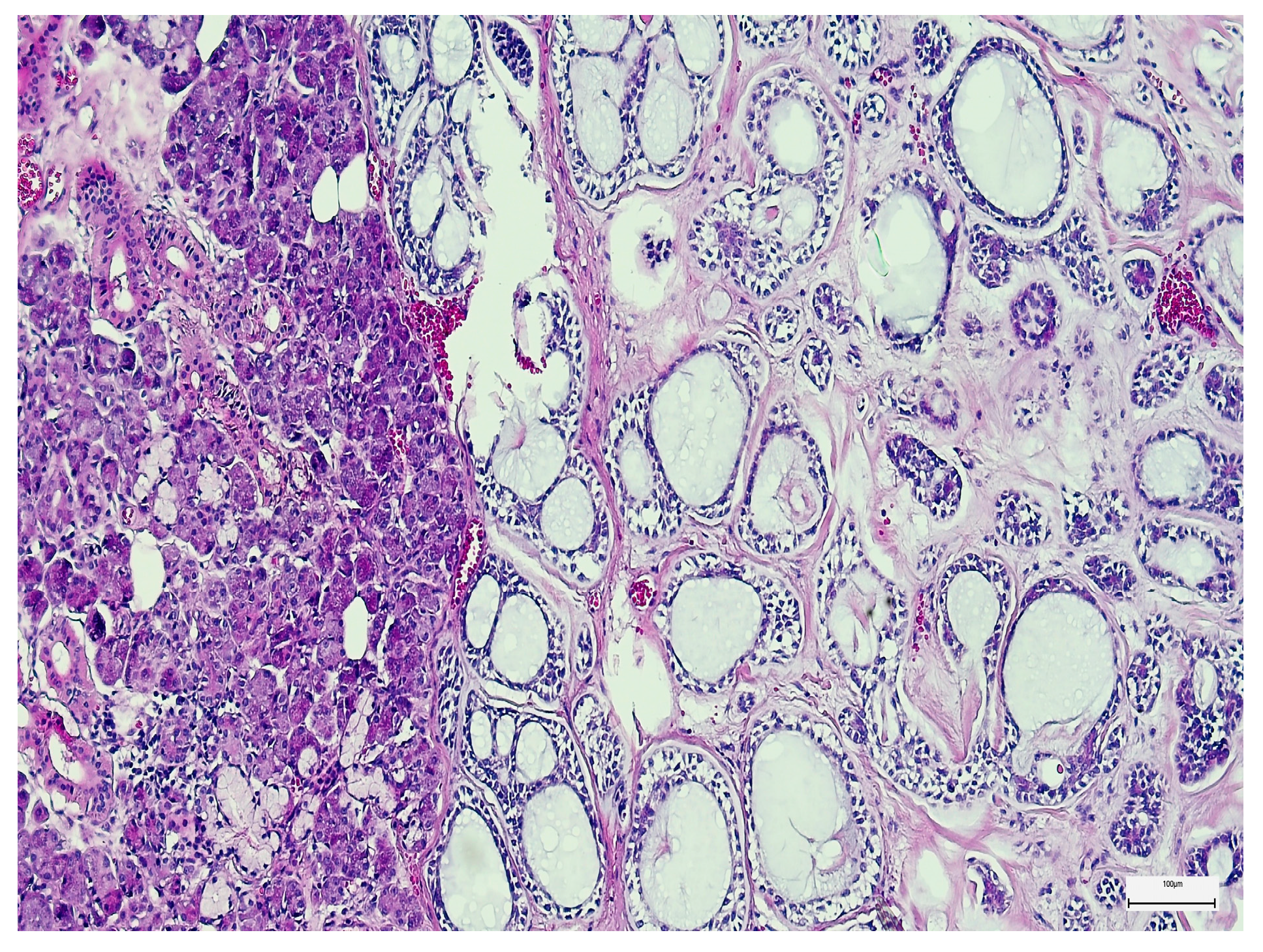
3.1. Baseline Data
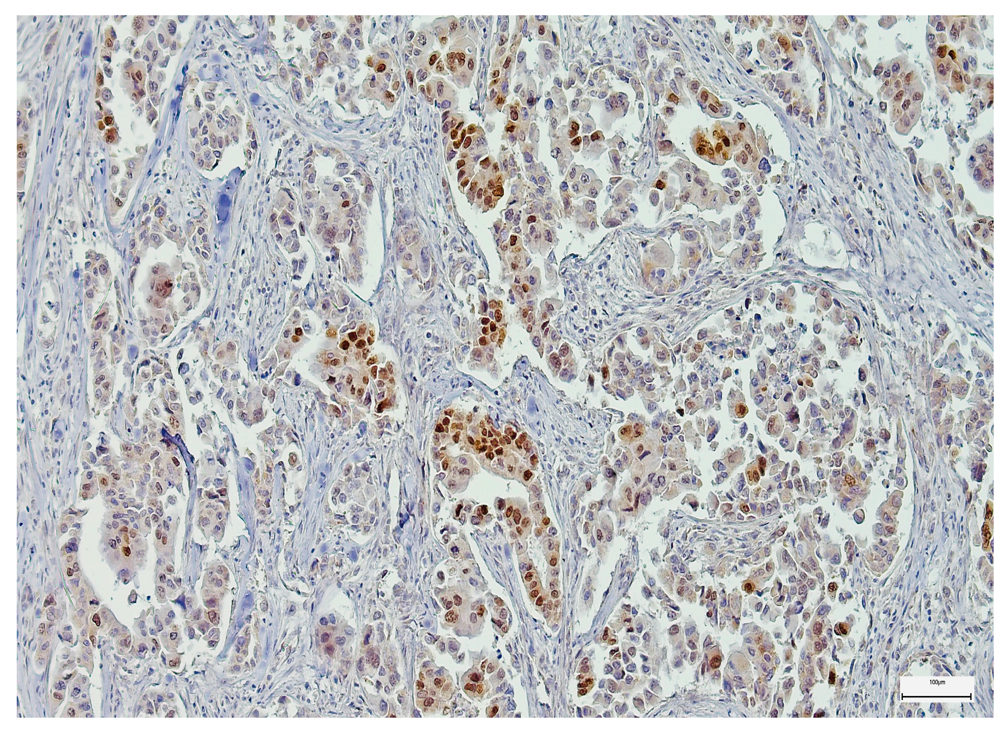
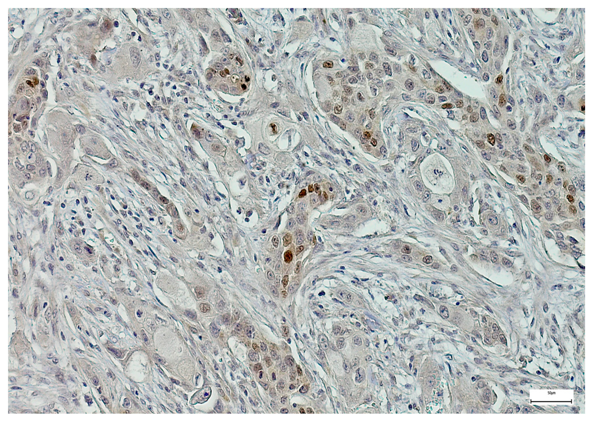
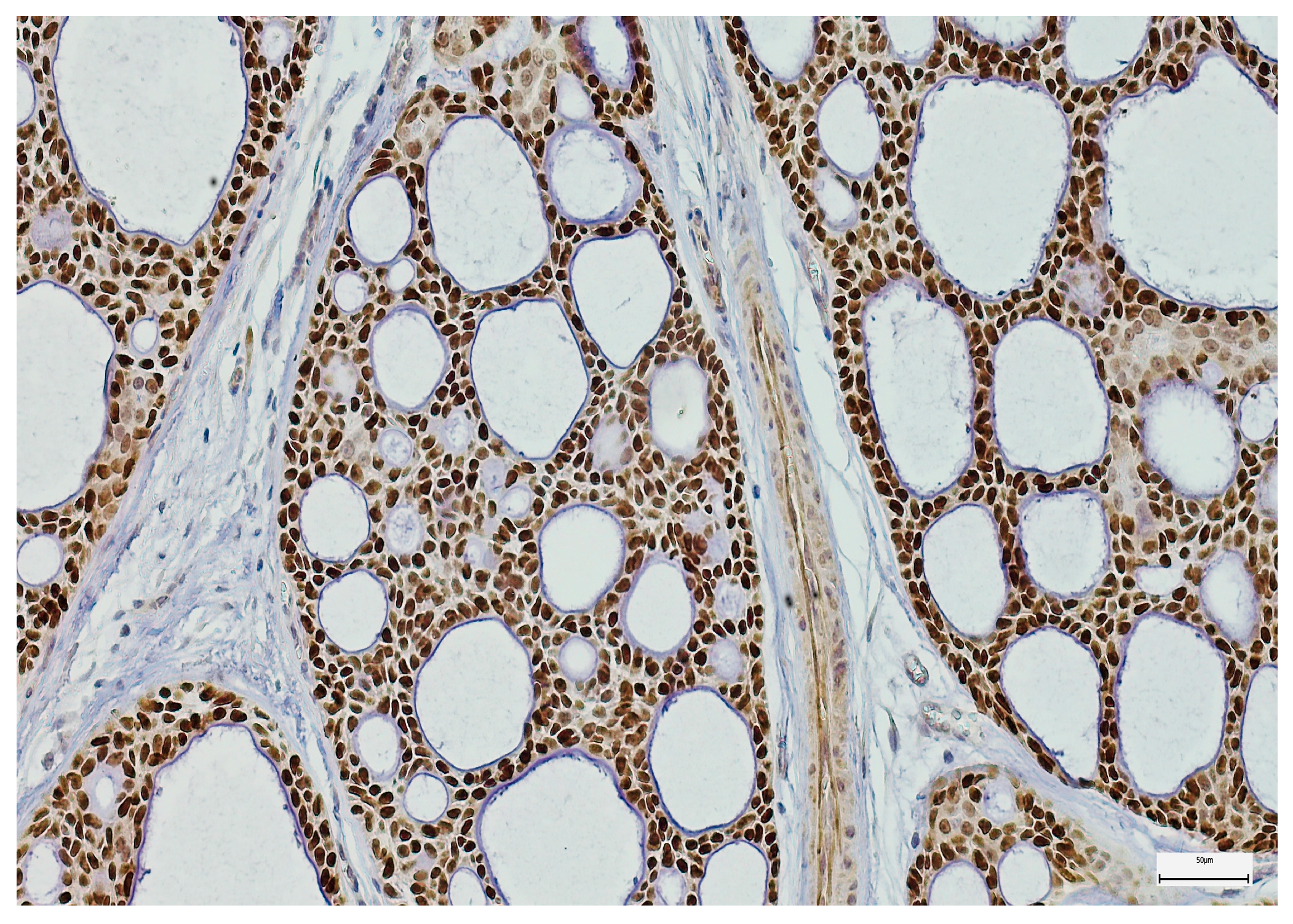
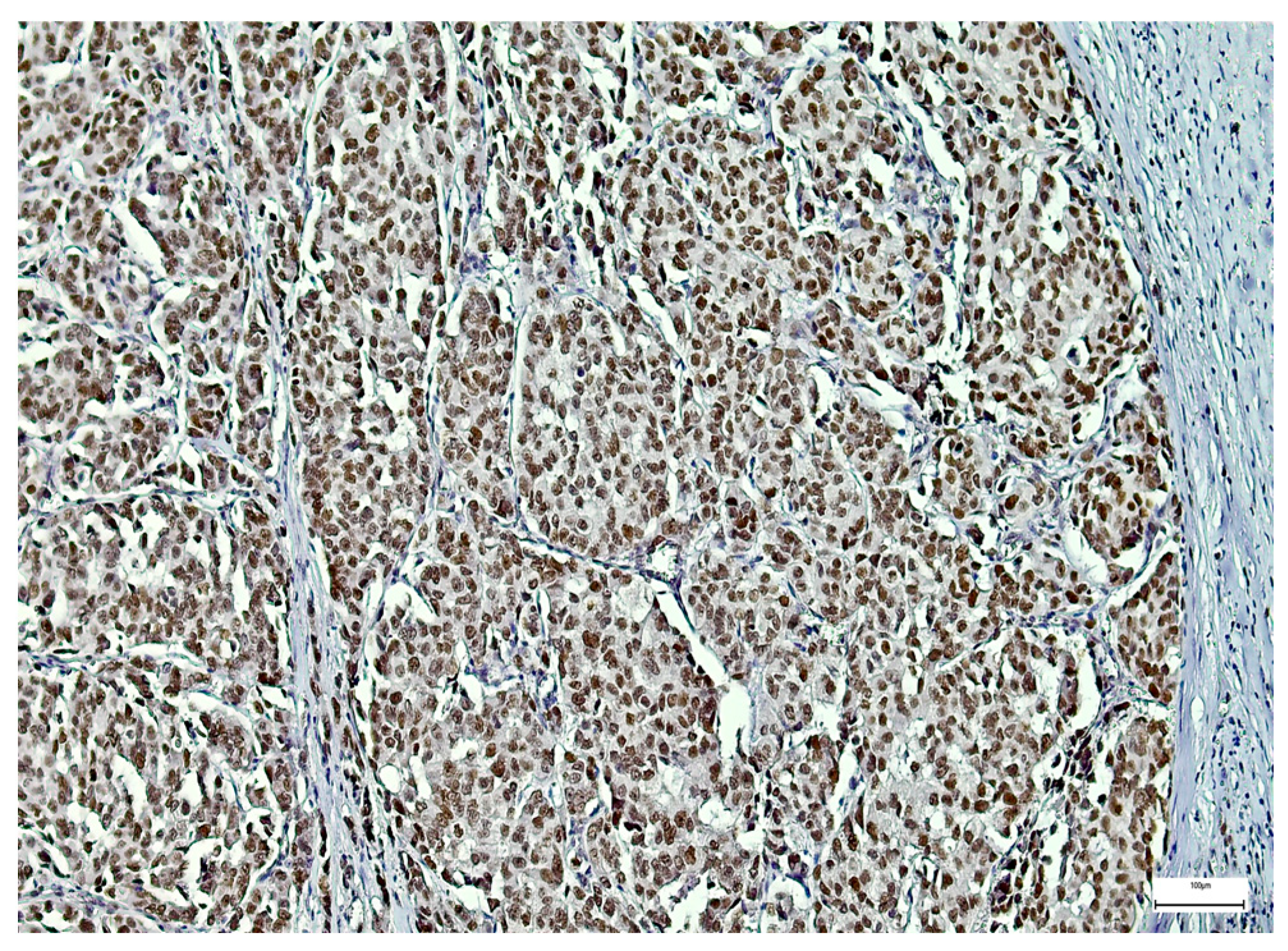
3.2. Qualitative and Semi-Quantitative Assessment of SOX-2 and EZH-2 Immunoexpression
3.3. Correlation Between SOX-2 and EZH-2 Immunoexpression and Pathological Characteristics
3.4. Correlation Between SOX-2 and EZH-2 Expression and Survival
3.5. Prognostic Significance of SOX-2 and EZH-2 and Other Pathological Features
4. Discussions
5. Conclusions
Author Contributions
Funding
Institutional Review Board Statement
Informed Consent Statement
Data Availability Statement
Conflicts of Interest
References
- Pikul, J.; Rzepakowska, A. Molecular Landscape of Salivary Gland Malignancies. What Is Already Known? Contemp. Oncol. 2024, 28, 201–216. [Google Scholar] [CrossRef]
- van Herpen, C.; Poorten, V.V.; Skalova, A.; Terhaard, C.; Maroldi, R.; van Engen, A.; Baujat, B.; Locati, L.D.; Jensen, A.D.; Smeele, L.; et al. Salivary gland cancer: ESMO-European Reference Network on Rare Adult Solid Cancers (EURACAN) Clinical Practice Guideline for diagnosis, treatment and follow-up. ESMO Open 2022, 7, 100602. [Google Scholar] [CrossRef] [PubMed]
- Hernández-Morales, A.; González-López, B.S.; Scougall-Vilchis, R.J.; Velázquez-Enríquez, U.; Ortiz, M.I.; Veras-Hernández, M.A.; Casanova-Rosado, J.F.; Casanova-Rosado, A.J.; Medina-Solís, C.E.; Maupomé, G. Incidence and Mortality of Salivary Gland Cancer Worldwide and Its Correlation with Tobacco Use (Smoking and Chewing) and with the Human Development Index. J. Adv. Oral Res. 2024, 15, 54–61. [Google Scholar] [CrossRef]
- Steuer, C.E.; Hanna, G.J.; Viswanathan, K.; Bates, J.E.; Kaka, A.S.; Schmitt, N.C.; Ho, A.L.; Saba, N.F. The Evolving Landscape of Salivary Gland Tumors. CA Cancer J. Clin. 2023, 73, 597–619. [Google Scholar] [CrossRef]
- Gontarz, M.; Bargiel, J.; Gasiorowski, K.; Marecik, T.; Szczurowski, P.; Zapała, J.; Wyszy’nska-Pawelec, G. Epidemiology of Primary Epithelial Salivary Gland Tumors in Southern Poland—A 26-Year, Clinicopathologic, Retrospective Analysis. J. Clin. Med. 2021, 10, 1663. [Google Scholar] [CrossRef]
- Dai, W.; Tan, X.; Sun, C.; Zhou, Q. High Expression of SOX2 Is Associated with Poor Prognosis in Patients with Salivary Gland Adenoid Cystic Carcinoma. Int. J. Mol. Sci. 2014, 15, 8393–8406. [Google Scholar] [CrossRef] [PubMed]
- Mirzaei, S.; Paskeh, M.D.A.; Entezari, M.; Mirmazloomi, S.R.; Hassanpoor, A.; Aboutalebi, M.; Rezaei, S.; Hejazi, E.S.; Kakavand, A.; Heidari, H.; et al. SOX2 Function in Cancers: Association with Growth, Invasion, Stemness and Therapy Response. Biomed. Pharmacother. 2022, 156, 113860. [Google Scholar] [CrossRef]
- Ding, L.N.; Yu, Y.Y.; Ma, C.J.; Lei, C.J.; Zhang, H.B. SOX2-Associated Signaling Pathways Regulate Biological Phenotypes of Cancers. Biomed. Pharmacother. 2023, 160, 114336. [Google Scholar] [CrossRef]
- Emmerson, E.; May, A.J.; Nathan, S.; Cruz-Pacheco, N.; Lizama, C.O.; Maliskova, L.; Zovein, A.C.; Shen, Y.; Muench, M.O.; Knox, S.M. SOX2 Regulates Acinar Cell Development in the Salivary Gland. eLife 2017, 6, e26620. [Google Scholar] [CrossRef]
- Taniguchi, S.; Tanaka, Y.; Elhance, A.; Oshimori, N. A Mechanistic Basis for the Malignant Progression of Salivary Gland Tumors. iScience 2021, 24, 103508. [Google Scholar] [CrossRef]
- Yang, N.; Wang, Y.; Hui, L.; Li, X.; Jiang, X. Silencing SOX2 Expression by RNA Interference Inhibits Proliferation, Invasion and Metastasis, and Induces Apoptosis through MAP4K4/JNK Signaling Pathway in Human Laryngeal Cancer TU212 Cells. J. Histochem. Cytochem. 2015, 63, 721–733. [Google Scholar] [CrossRef] [PubMed]
- Zhang, S.; Xiong, X.; Sun, Y. Functional Characterization of SOX2 as an Anticancer Target. Signal Transduct. Target. Ther. 2020, 5, 135. [Google Scholar] [CrossRef]
- Sedassari, B.T.; Rodrigues, M.F.S.D.; Conceição, T.S.; Mariano, F.V.; Alves, V.A.F.; Nunes, F.D.; Altemani, A.; de Sousa, S.C.O.M. Increased SOX2 Expression in Salivary Gland Carcinoma Ex Pleomorphic Adenoma Progression: An Association with Adverse Outcome. Virchows Arch. 2017, 471, 775–784. [Google Scholar] [CrossRef]
- de Noronha, M.S.; Viana, K.S.S.; de Aguiar, M.C.F.; Squarize, C.H.; de Abreu, M.H.N.G.; Mendonça, E.F.; Bernardes, V.F. EZH2 immunoexpression in pleomorphic adenoma and adenoid cystic carcinoma and clinicopathological features. Braz. Oral Res. 2024, 38, e018. [Google Scholar] [CrossRef]
- Huang, J.; Gou, H.; Yao, J.; Yi, K.; Jin, Z.; Matsuoka, M.; Zhao, T. The Noncanonical Role of EZH2 in Cancer. Cancer Sci. 2021, 112, 1376–1382. [Google Scholar] [CrossRef] [PubMed]
- Bumalee, D.; Janjarussakul, P.; Pankam, J.; Arayapisit, T.; Kitkumthorn, N.; Chanamorn, T.; Goh, A.L.Y.; Lapthanasupkul, P. EZH2 Expression Is Restricted to Malignant Salivary Gland Tumors. J. Appl. Oral Sci. 2025, 33, e20250123. [Google Scholar] [CrossRef] [PubMed]
- Niharika Roy, A.; Sadhukhan, R.; Patra, S.K. Screening and Identification of Gene Expression in Large Cohorts of Clinical Tissue Samples Unveils the Major Involvement of EZH2 and SOX2 in Lung Cancer. Cancer Genet. 2025, 290–291, 16–35. [Google Scholar] [CrossRef] [PubMed]
- Adhikary, G.; Grun, D.; Balasubramanian, S.; Kerr, C.; Huang, J.M.; Eckert, R.L. Survival of Skin Cancer Stem Cells Requires the Ezh2 Polycomb Group Protein. Carcinogenesis 2015, 36, 800–810. [Google Scholar] [CrossRef]
- Cheng, Y.; Song, Z.; Fang, X.; Tang, Z. Polycomb Repressive Complex 2 and Its Core Component EZH2: Potential Targeted Therapeutic Strategies for Head and Neck Squamous Cell Carcinoma. Clin. Epigenetics 2024, 16, 54. [Google Scholar] [CrossRef]
- Vékony, H.; Raaphorst, F.M.; Otte, A.P.; van Lohuizen, M.; Leemans, C.R.; van der Waal, I.; Bloemena, E. High Expression of Polycomb Group Protein EZH2 Predicts Poor Survival in Salivary Gland Adenoid Cystic Carcinoma. J. Clin. Pathol. 2008, 61, 744–749. [Google Scholar] [CrossRef]
- Saigusa, N.; Hirai, H.; Tada, Y.; Kawakita, D.; Nakaguro, M.; Tsukahara, K.; Kano, S.; Ozawa, H.; Kondo, T.; Okami, K.; et al. The Role of the EZH2 and H3K27me3 Expression as a Predictor of Clinical Outcomes in Salivary Duct Carcinoma Patients: A Large-Series Study With Emphasis on the Relevance to the Combined Androgen Blockade and HER2-Targeted Therapy. Front. Oncol. 2022, 11, 779882. [Google Scholar] [CrossRef]
- Campolo, M.; Scuderi, S.A.; Filippone, A.; Bova, V.; Lombardo, S.P.; Colarossi, L.; Sava, S.; Capra, A.P.; De Gaetano, F.; Portelli, M.; et al. EZH2 Inhibition to Counteract Oral Cancer Progression through Wnt/β-Catenin Pathway Modulation. Pharmaceuticals 2024, 17, 1102. [Google Scholar] [CrossRef]
- Li, T.I.; Chiang, M.T.; Chiu, K.C.; Lai, C.H.; Liu, S.Y.; Shieh, Y.S. The Association of Betel Quid, Alcohol, and Cigarettes with Salivary Gland Tumor—A Case–Control Study. J. Dent. Sci. 2017, 12, 151–155. [Google Scholar] [CrossRef]
- WHO. Classification of Tumours Head and Neck Tumours, 5th ed.; International Agency for Research on Cancer: Lyon, France, 2024; ISBN 9789283245148.
- Ganly, I.; Huang, S.H.; Glastonbury, C.; Seethala, R.; Patel, S.; Lydiatt, W.; O’Sullivan, B.; Bishop, J. Vander Poorten Vincent AJCC Cancer Staging System: Salivary Gland, 9th ed.; Asare, E., Ed.; American College of Surgeons: Chicago, IL, USA, 2025; ISBN 9798275082845. [Google Scholar]
- Zhang, L.; Deng, Y.; Liu, S.; Zhang, W.; Hong, Z.; Lu, Z.; Pan, Z.; Wu, X.; Peng, J. Lymphovascular Invasion Represents a Superior Prognostic and Predictive Pathological Factor of the Duration of Adjuvant Chemotherapy for Stage III Colon Cancer Patients. BMC Cancer 2023, 23, 3. [Google Scholar] [CrossRef] [PubMed]
- Hajósi-Kalcakosz, S.; Vincze, E.; Dezső, K.; Paku, S.; Rókusz, A.; Sápi, Z.; Tóth, E.; Nagy, P. EZH2 Is a Sensitive Marker of Malignancy in Salivary Gland Tumors. Diagn. Pathol. 2015, 10, 163. [Google Scholar] [CrossRef] [PubMed]
- Guo, S.; Li, X.; Rohr, J.; Wang, Y.; Ma, S.; Chen, P.; Wang, Z. EZH2 Overexpression in Different Immunophenotypes of Breast Carcinoma and Association with Clinicopathologic Features. Diagn. Pathol. 2016, 11, 41. [Google Scholar] [CrossRef] [PubMed]
- Mousavi, S.E.; Ghasemi, H.; Najafi, M.; Nejadghaderi, S.A. Global Epidemiology and Socioeconomic Correlates of Salivary Gland Cancer from 2020 to 2040. Community Dent. Oral Epidemiol. 2025, 53, 316–328. [Google Scholar] [CrossRef]
- Alsanie, I.; Rajab, S.; Cottom, H.; Adegun, O.; Agarwal, R.; Jay, A.; Graham, L.; James, J.; Barrett, A.W.; van Heerden, W.; et al. Distribution and Frequency of Salivary Gland Tumours: An International Multicenter Study. Head Neck Pathol. 2022, 16, 1043–1054. [Google Scholar] [CrossRef]
- Sawabe, M.; Ito, H.; Takahara, T.; Oze, I.; Kawakita, D.; Yatabe, Y.; Hasegawa, Y.; Murakami, S.; Matsuo, K. Heterogeneous Impact of Smoking on Major Salivary Gland Cancer According to Histopathological Subtype: A Case-control Study. Cancer 2018, 124, 118–124. [Google Scholar] [CrossRef]
- Costin, C.A.; Chifu, M.B.; Pricope, D.L.; Grigoraş, A.; Balan, R.A.; Amălinei, C. Are HPV oncogenic viruses involved in salivary glands tumorigenesis? Rom. J. Morphol. Embryol. 2024, 65, 395–407. [Google Scholar] [CrossRef]
- Eloranta, R.; Vilén, S.-T.; Keinänen, A.; Salo, T.; Qannam, A.; Bello, I.O.; Snäll, J. Oral Squamous Cell Carcinoma: Effect of Tobacco and Alcohol on Cancer Location. Tob. Induc. Dis. 2024, 22, 112. [Google Scholar] [CrossRef] [PubMed]
- Grigoras, A.; Amalinei, C. The Role of Perirenal Adipose Tissue in Carcinogenesis—From Molecular Mechanism to Therapeutic Perspectives. Cancers 2025, 17, 1077. [Google Scholar] [CrossRef]
- Grigoras, A.; Amalinei, C. Multi-Faceted Role of Cancer-Associated Adipocytes in Colorectal Cancer. Biomedicines 2023, 11, 2401. [Google Scholar] [CrossRef]
- Pan, S.Y.; Johnson, K.; Ugnat, A.M.; Wen, S.W.; Mao, Y. Association of Obesity and Cancer Risk in Canada. Am. J. Epidemiol. 2004, 159, 259–268. [Google Scholar] [CrossRef]
- Forrest, J.; Campbell, P.; Kreiger, N.; Sloan, M. Salivary Gland Cancer: An Exploratory Analysis of Dietary Factors. Nutr. Cancer 2008, 60, 469–473. [Google Scholar] [CrossRef]
- Leopard, D.; El-Hitti, E.; Puttasiddaiah, P.; Mcleod, R.; Owens, D. Twenty-Seven Years of Primary Salivary Gland Carcinoma in Wales: An Analysis of Histological Subtype and Associated Risk Factors. J. Laryngol. Otol. 2022, 136, 167–172. [Google Scholar] [CrossRef]
- Costin, C.A.; Grigoras, A.; Andriescu, E.C.; Amalinei, C. Benign Epithelial Salivary Neoplasms: Single-Centered Histopathologic and Clinicodemographic Romanian Retrospective Study. Clin. Pract. 2025, 15, 235. [Google Scholar] [CrossRef] [PubMed]
- Thomson, D.J.; Slevin, N.J.; Mendenhall, W.M. Indications for Salivary Gland Radiotherapy. Adv. Otorhinolaryngol. 2016, 78, 141–147. [Google Scholar] [PubMed]
- Mimica, X.; McGill, M.; Hay, A.; Karassawa Zanoni, D.; Shah, J.P.; Wong, R.J.; Ho, A.; Cohen, M.A.; Patel, S.G.; Ganly, I. Distant Metastasis of Salivary Gland Cancer: Incidence, Management, and Outcomes. Cancer 2020, 126, 2153–2162. [Google Scholar] [CrossRef]
- Lombardi, D.; Tomasoni, M.; Paderno, A.; Mattavelli, D.; Ferrari, M.; Battocchio, S.; Missale, F.; Mazzola, F.; Peretti, G.; Mocellin, D.; et al. The Impact of Nodal Status in Major Salivary Gland Carcinoma: A Multicenter Experience and Proposal of a Novel N-Classification. Oral Oncol. 2021, 112, 105076. [Google Scholar] [CrossRef]
- Young, A.; Okuyemi, O.T. Malignant Salivary Gland Tumors; StatPearls Publishing LLC: Treasure Island, FL, USA, 2023. [Google Scholar]
- Liu, F.; Chu, Y.; Zheng, Q.; Hu, Y.; Wang, Y.; Qin, L.; Fu, S.; Wang, S. Major and Minor Perineural Invasion in Salivary Gland Cancer. Front. Oncol. 2025, 14, 1466196. [Google Scholar] [CrossRef]
- Jansen, L.; Mayer, M.; Stang, A.; Kajueter, H.; Oesterling, F.; Szentkiralyi, A.; Kourou, S.; Wolber, P.; van de Loo, J.; Hieggelke, L.; et al. Incidence and Survival of Primary Major Salivary Gland Carcinoma in Germany over the Last Decade: A Nationwide Population-Based Study. Eur. J. Cancer 2026, 234, 116196. [Google Scholar] [CrossRef]
- Rajbhar, R.; Ekatpure, D.; Kolhe, A. Comprehensive Five-Year Study on Salivary Gland Tumors: Demographic, Clinical, and Histopathological Insights. Adv. Oral Maxillofac. Surg. 2025, 17, 100523. [Google Scholar] [CrossRef]
- Fang, Q.; Zhang, X.; Dai, L.; Luo, R.; Yuan, J. Association between Factor of Parotid Lymph Node and Prognosis in Parotid Cancer. Eur. J. Surg. Oncol. 2023, 49, 1405–1410. [Google Scholar] [CrossRef] [PubMed]
- Ohkoshi, A.; Ishii, R.; Higashi, K.; Shishido, T.; Kano, S.; Kusaka, T.; Matsushita, D.; Murayama, K.; Miyakura, Y.; Kubota, S.; et al. Predictors of Recurrence and Survival after Salivary Gland Cancer Surgery: A Multicenter, Retrospective Study in Northern Japan. Oral Oncol. 2025, 160, 107131. [Google Scholar] [CrossRef] [PubMed]
- Huyett, P.; Duvvuri, U.; Ferris, R.L.; Johnson, J.T.; Schaitkin, B.M.; Kim, S. Perineural Invasion in Parotid Gland Malignancies. Otolaryngol. Head Neck Surg. 2018, 158, 1035–1041. [Google Scholar] [CrossRef]
- Kazemian, E.; Solinski, M.; Adams, W.; Moore, M.; Thorpe, E.J. The Role of Perineural Invasion in Parotid Malignancy Outcomes: A Systematic Review and Meta-Analysis. Oral Oncol. 2022, 130, 105937. [Google Scholar] [CrossRef]
- Katabi, N.; Ghossein, R.; Ali, S.; Dogan, S.; Klimstra, D.; Ganly, I. Prognostic Features in Mucoepidermoid Carcinoma of Major Salivary Glands with Emphasis on Tumour Histologic Grading. Histopathology 2014, 65, 793–804. [Google Scholar] [CrossRef] [PubMed]
- Park, Y.M.; AlHashim, M.A.; Yoon, S.O.; Koh, Y.W.; Kim, S.H.; Lim, J.Y.; Cho, E.C. Prognostic significance of lymphovascular invasion in patients with salivary duct cell carcinoma of the head and neck. Int. J. Oral Maxillofac. Surg. 2020, 49, 693–699. [Google Scholar] [CrossRef]
- Hong, H.R.; Roh, J.; Cho, K.; Choi, S.; Nam, S.Y.; Kim, S.Y. Prognostic Value of Lymph Node Density in High-grade Salivary Gland Cancers. J. Surg. Oncol. 2015, 111, 784–789. [Google Scholar] [CrossRef]
- Yoo, S.; Roh, J.; Kim, S.; Cho, K.; Choi, S.; Nam, S.Y.; Kim, S.Y. Patterns and Treatment of Neck Metastases in Patients with Salivary Gland Cancers. J. Surg. Oncol. 2015, 111, 1000–1006. [Google Scholar] [CrossRef] [PubMed]
- Lee, H.; Roh, J.; Cho, K.; Choi, S.; Nam, S.Y.; Kim, S.Y. Positive Lymph Node Number and Extranodal Extension for Predicting Recurrence and Survival in Patients with Salivary Gland Cancer. Head Neck 2020, 42, 1994–2001. [Google Scholar] [CrossRef] [PubMed]
- Brajkovic, D.; Kiralj, A.; Ilic, M.; Mijatov, I.; Bijelic, B. The Number of Positive Lymph Nodes Instead of Extranodal Extension and Nodal Diameter Is an Independent Predictor of Survival and Treatment Outcome of High-Grade Parotid Gland Carcinoma. J. Oral Maxillofac. Surg. 2024, 82, 1456–1474. [Google Scholar] [CrossRef]
- de Vincentiis, M.; Pagliuca, G.; Margani, V.; Di Stefano, V.; Succo, G.; Crosetti, E.; Piazza, C.; Zoccali, F.; Angeletti, D.; Gallo, A. Margins in Major Salivary Gland Surgery: Clinical and Pathological Criteria for Defining Margins and Their Implications on the Choice of Multimodal Therapies. A Systematic Review. Acta Otorhinolaryngol. Ital. 2025, 45, S109–S120. [Google Scholar] [CrossRef]
- Hanson, M.; McGill, M.; Mimica, X.; Eagan, A.; Hay, A.; Wu, J.; Cohen, M.; Patel, S.; Ganly, I. Evaluation of Surgical Margin Status in Patients With Salivary Gland Cancer. JAMA Otolaryngol. Head Neck Surg. 2022, 148, 128–138. [Google Scholar] [CrossRef]
- Hofmann, H.; Priebe, J.; Rieke, D.T.; Doll, C.; Coordes, A.; Olze, H.; Hofmann, V.; Heiland, M.; Beck-Broichsitter, B. Prognostic factors in surgically treated malignant salivary gland tumors. Oral Oncol. 2023, 144, 106484. [Google Scholar] [CrossRef]
- Liu, Y.; Mi, Y.; Zhang, L.; Gong, Q.; Jiang, T. Prognostic analysis and establishment of a nomogram in patients with myoepithelial carcinoma of the salivary gland: A population-based study. Laryngoscope Investig. Otolaryngol. 2022, 7, 125–134. [Google Scholar] [CrossRef]
- Kalogirou, E.-M.; Tosiou, A.; Vrachnos, S.; Zogopoulos, V.L.; Michalopoulos, I.; Tzanavari, T.; Tosios, K.I. The Immunoexpression and Prognostic Significance of Stem Cell Markers in Malignant Salivary Gland Tumors: A Systematic Review and Meta-Analysis. Genes 2025, 16, 37. [Google Scholar] [CrossRef]
- Sadeghi, H.; Saffar, H.; Taheri, P.; Yazdani, F.; Etebarian, A. Prognostic Significance of Cancer Stem Cell Markers in Patients With Salivary Gland Carcinomas. Appl. Immunohistochem. Mol. Morphol. 2022, 30, 284–290. [Google Scholar] [CrossRef]
- Dos Santos, A.A.; Mafra, R.P.; da Silva, L.P.; Pinto, L.P.; Freitas, R.d.A.; de Souza, L.B. Immunohistochemical Comparative Analysis of Tumor Stem Cell Biomarkers in Pleomorphic Adenoma, Adenoid Cystic Carcinoma and Mucoepidermoid Carcinoma of Salivary Glands. Oral Surg. Oral Med. Oral Pathol. Oral Radiol. 2023, 135, 396–409. [Google Scholar] [CrossRef] [PubMed]
- Luo, Y.; Liu, T.; Fei, W.; Yue, X.-G. Correlation between SOX2 and Survivin Clinical Features in Patients with Salivary Adenoid Cystic Carcinoma. J. Infect. Public Health 2019, 12, 847–853. [Google Scholar] [CrossRef]
- Spiegel, J.L.; Jakob, M.; Kruizenga, M.; Freytag, S.; Bertlich, M.; Canis, M.; Ihler, F.; Haubner, F.; Kitz, J.; Weiss, B.G. Cancer Stem Cell Markers in Adenocarcinoma of the Salivary Glands—Reliable Prognostic Markers? Eur. Arch. Oto-Rhino-Laryngol. 2021, 278, 2517–2528. [Google Scholar] [CrossRef] [PubMed]
- Thierauf, J.; Weissinger, S.E.; Veit, J.A.; Affolter, A.; Laureano, N.K.; Beutner, D.; Heiduschka, G.; Kadletz, L.; Meyer, M.; Quaas, A.; et al. Low SOX2 Expression Marks a Distinct Subset of Adenoid Cystic Carcinoma of the Head and Neck and Is Associated with an Advanced Tumor Stage. PLoS ONE 2018, 13, e0194989. [Google Scholar] [CrossRef]
- Bertlich, M.; Kitz, J.; Kruizenga, M.; Spiegel, J.L.; Canis, M.; Ihler, F.; Haubner, F.; Weiss, B.G.; Jakob, M. Cancer Stem Cell Markers in Squamous Cell Carcinomas of the Salivary Glands. Oncology 2021, 99, 402–412. [Google Scholar] [CrossRef]
- Xu, W.; Wang, Y.; Qi, X.; Xie, J.; Wei, Z.; Yin, X.; Wang, Z.; Meng, J.; Han, W. Prognostic Factors of Palatal Mucoepidermoid Carcinoma: A Retrospective Analysis Based on a Double-Center Study. Sci. Rep. 2017, 7, 43907. [Google Scholar] [CrossRef] [PubMed]
- Di, Y.; Zhang, H.; Zhang, B.; Li, D. Association of TP53 and EZH2 with Salivary Adenoid Cystic Carcinoma. J. Stomatol. Oral Maxillofac. Surg. 2025, 126, 102526. [Google Scholar] [CrossRef]
- Balbinot, K.M.; Loureiro, F.J.A.; Chemelo, G.P.; Mesquita, R.A.; Ramos, A.M.P.C.; Ramos, R.T.J.; da Silva, A.L.D.C.; de Menezes, S.A.F.; da Silva Kataoka, M.S.; Junior, S.D.M.A.; et al. Immunoexpression of Stem Cell Markers SOX-2, NANOG AND OCT4 in Ameloblastoma. PeerJ 2023, 11, e14349. [Google Scholar] [CrossRef]
- Wen, Y.; Cai, J.; Hou, Y.; Huang, Z.; Wang, Z. Role of EZH2 in Cancer Stem Cells: From Biological Insight to a Therapeutic Target. Oncotarget 2017, 8, 37974–37990. [Google Scholar] [CrossRef]
- Verma, S.; Goyal, N.; Goyal, S.; Kaur, P.; Gupta, S. EZH2 Dysregulation and Its Oncogenic Role in Human Cancers. Cancers 2025, 17, 3111. [Google Scholar] [CrossRef] [PubMed]
- Zwamel, A.H.; Ahmad, A.T.; Altalbawy, F.M.A.; Malathi, H.; Singh, A.; Jabir, M.S.; Aminov, Z.; Lal, M.; Kumar, A.; Jawad, S.F. Exosomal RNAs and EZH2: Unraveling the Molecular Dialogue Driving Tumor Progression. Med. Oncol. 2025, 42, 103. [Google Scholar] [CrossRef]
- Liang, X.; Deng, M.; Zhang, C.; Ping, F.; Wang, H.; Wang, Y.; Fan, Z.; Ren, X.; Tao, X.; Wu, T.; et al. Combined Class I Histone Deacetylase and MTORC1/C2 Inhibition Suppresses the Initiation and Recurrence of Oral Squamous Cell Carcinomas by Repressing SOX2. Cancer Lett. 2019, 454, 108–119. [Google Scholar] [CrossRef]
- Lv, X.; Zheng, X.; Yu, J.; Ma, H.; Hua, C.; Gao, R. EGFR Enhances the Stemness and Progression of Oral Cancer through Inhibiting Autophagic Degradation of SOX2. Cancer Med. 2020, 9, 1131–1140. [Google Scholar] [CrossRef]
- Choi, J.; Lim, S.; Bai, X.; Song, H.; Oh, Y.; Yong, Y.; Lee, S. Abstract 3256: Novel SOX2-Targeting BioPROTACs for the Treatment of Cancers. Cancer Res. 2024, 84, 3256. [Google Scholar] [CrossRef]
- Zhao, M.; Hu, X.; Xu, Y.; Wu, C.; Chen, J.; Ren, Y.; Kong, L.; Sun, S.; Zhang, L.; Jin, R.; et al. Targeting of EZH2 Inhibits Epithelial Mesenchymal Transition in Head and Neck Squamous Cell Carcinoma via Regulating the STAT3/VEGFR2 Axis. Int. J. Oncol. 2019, 55, 1165–1175. [Google Scholar] [CrossRef]
- Oppelt, P.J.; Puram, S.V.; Liu, J.; Ley, J.C.; Adkins, D. Tazemetostat, a Selective EZH2 Inhibitor, in Combination with Pembrolizumab for Recurrent or Metastatic Head and Neck Squamous Cell Carcinoma: A Phase 1 Trial. Cancers 2025, 17, 437. [Google Scholar] [CrossRef] [PubMed]
- Migliorelli, A.; Manuelli, M.; Ciorba, A.; Stomeo, F.; Pelucchi, S.; Bianchini, C. The Role of Blood Inflammatory Markers in Salivary Gland Carcinoma: A Scoping Review. J. Clin. Med. 2025, 14, 1762. [Google Scholar] [CrossRef] [PubMed]
- Zaidi, S.E.; Hans, S.; Contrera, K.; Zevallos, J.; Baudouin, R. Prognostic Significance of Neutrophil-Lymphocyte Ratio in Salivary Gland Neoplasms: A Systematic Review. J. Otolaryngol. Head Neck Surg. 2025, 54, 19160216251364761. [Google Scholar] [CrossRef]
- Damar, M.; Dinç, A.E.; Erdem, D.; Aydil, U.; Kizil, Y.; Eravcı, F.C.; Biskin, S.; Sevik Eliçora, S.; Isik, H. Pretreatment Neutrophil Lymphocyte Ratio in Salivary Gland Tumors Is Associated with Malignancy. Otolaryngol. Head Neck Surg. 2016, 155, 988–996. [Google Scholar] [CrossRef]
- Committeri, U.; Barone, S.; Salzano, G.; Arena, A.; Borriello, G.; Giovacchini, F.; Fusco, R.; Vaira, L.A.; Scarpa, A.; Abbate, V.; et al. Support Tools in the Differential Diagnosis of Salivary Gland Tumors through Inflammatory Biomarkers and Radiomics Metrics: A Preliminary Study. Cancers 2023, 15, 1876. [Google Scholar] [CrossRef]
- Abbate, V.; Barone, S.; Troise, S.; Laface, C.; Bonavolontà, P.; Pacella, D.; Salzano, G.; Iaconetta, G.; Califano, L.; Dell’Aversana Orabona, G. The Combination of Inflammatory Biomarkers as Prognostic Indicator in Salivary Gland Malignancy. Cancers 2022, 14, 5934. [Google Scholar] [CrossRef]













| SOX-2 Positive SGM Cells Staining Percentage | Score | SOX-2 Positive SGM Cells Staining Intensity | Score | Formula | Category |
|---|---|---|---|---|---|
| <5% | 0 | negative | 0 | staining intensity score x percentage of positive cells | low expression (0–4) |
| 5–25% | 1 | weak | 1 | high expression (6–9) | |
| 25–50% | 2 | moderate | 2 | ||
| >50% | 3 | strong | 3 |
| EZH-2 Positive SGM Cells Staining Percentage | Score | EZH-2 Positive SGM Cells Staining Intensity | Score | Formula | Category |
|---|---|---|---|---|---|
| <5% | 0 | negative | 0 | staining intensity score x percentage of positive cells | low expression (0–4) |
| 5–10% | 1 | weak | 1 | high expression (6–9) | |
| 11–50% | 2 | moderate | 2 | ||
| >50% | 3 | strong | 3 |
| Epidemiological and Pathological Characteristics | n (%) | |
|---|---|---|
| Gender | women | 50 (48.07%) |
| men | 54 (51.93%) | |
| Age (years) | 11–19 | 3 (2.89%) |
| 20–29 | 1 (0.96%) | |
| 30–39 | 10 (9.61%) | |
| 40–49 | 12 (11.53%) | |
| 50–59 | 14 (13.47%) | |
| 60–69 | 32 (30.77%) | |
| 70–79 | 27 (25.97%) | |
| 80–89 | 5 (4.80%) | |
| Smoker status | non-smoker | 39 (37.50%) |
| former smoker | 32 (30.77%) | |
| current smoker | 33 (31.73%) | |
| Alcohol consumption | non-drinker | 33 (31.73%) |
| drinker | 71 (68.27%) | |
| BMI | normal weight | 52 (50%) |
| overweight | 33 (31.73%) | |
| obesity | 19 (18.27%) | |
| Tumor location | right parotid gland | 32 (30.76%) |
| left parotid gland | 17 (16.35%) | |
| submandibular glands | 14 (13.47%) | |
| sublingual glands | 4 (3.83%) | |
| palatine glands | 22 (21.15%) | |
| buccal glands | 11 (10.60%) | |
| lingual gland | 2 (1.92%) | |
| labial glands | 2 (1.92%) | |
| Tumor size (mm) | mean ± SD | 36.53 ± 17.41 |
| min; max | 7; 85 | |
| Histological type | AdCC | 30 (28.84%) |
| MEC | 30 (28.84%) | |
| SDC | 20 (19.22%) | |
| AcCC | 13 (12.5%) | |
| AC NOS | 11 (10.60%) | |
| Grading | low | 45 (43.27%) |
| intermediate | 25 (24.03%) | |
| high | 34 (32.70%) | |
| pT | T1 | 15 (14.42%) |
| T2 | 34 (32.70%) | |
| T3 | 39 (37.50%) | |
| T4 | 16 (15.38%) | |
| pN | pNx | 2 (1.92%) |
| pN0 | 48 (46.16%) | |
| pN1 | 18 (17.31%) | |
| pN2 | 36 (34.61%) | |
| LY | negative | 61 (58.65%) |
| positive | 43 (41.35%) | |
| VI | negative | 67 (64.42%) |
| positive | 37 (35.58%) | |
| PnI | negative | 43 (41.35%) |
| positive | 61 (58.56%) | |
| pENE | negative | 81 (77.89%) |
| positive | 23 (22.11%) | |
| EPE | negative | 64 (61.53%) |
| positive | 40 (38.47%) | |
| Residual tumor | R0 | 47 (45.18%) |
| R1 | 43 (41.35%) | |
| R2 | 14 (13.47%) | |
| Satus | survivor | 73 (70.20%) |
| non-survivor | 31 (29.80%) | |
| Pathological Parameter | SOX-2 Expression | p | V | EZH-2 Expression | p | V | ||
|---|---|---|---|---|---|---|---|---|
| Low n; (%) | High n; (%) | Low n; (%) | High n; (%) | |||||
| pT | 0.010 | 0.329 | 0.216 | 0.207 | ||||
| T1 | 6 (5.80%) | 9 (8.66%) | 8 (7.68%) | 7 (6.72%) | ||||
| T2 | 24 (23.08%) | 10 (9.61%) | 18 (17.31%) | 16 (15.38%) | ||||
| T3 | 32 (30.77%) | 7 (6.72%) | 15 (14.43%) | 24 (23.08%) | ||||
| T4 | 8 (7.68%) | 8 (7.68%) | 4 (3.83%) | 12 (11.56%) | ||||
| pN | 0.626 | 0.130 | 0.144 | 0.228 | ||||
| pN0 | 30 (28.84%) | 18 (17.31%) | 25 (24.03%) | 23 (22.11%) | ||||
| pN1 | 14 (13.47%) | 4 (3.83%) | 9 (8.66%) | 9 (8.66%) | ||||
| pN2 | 25 (24.03%) | 11 (10.60%) | 10 (9.61%) | 26 (25%) | ||||
| pNx | 1 (0.96%) | 1 (0.96%) | 1 (0.96%) | 1 (0.96%) | ||||
| Histological type | 0.003 | 0.392 | 0.085 | 0.281 | ||||
| AdCC | 24 (23.08%) | 6 (5.80%) | 9 (8.66%) | 21 (20.19%) | ||||
| MEC | 16 (15.38%) | 14 (13.47%) | 16 (15.38%) | 14 (13.47%) | ||||
| AcCC | 13 (12.50%) | 0 (0%) | 9 (8.66%) | 4 (3.83%) | ||||
| SDC | 13 (12.50%) | 7 (6.72%) | 8 (7.68%) | 12 (11.56%) | ||||
| AC NOS | 4 (3.83%) | 7 (6.72%) | 3 (2.89%) | 8 (7.68%) | ||||
| Tumor grade | 0.037 | 0.252 | 0.002 | 0.347 | ||||
| low | 36 (34.61%) | 9 (8.66%) | 28 (26.93%) | 17 (16.35%) | ||||
| intermediate | 16 (15.38%) | 9 (8.66%) | 9 (8.66%) | 16 (15.38%) | ||||
| high | 18 (17.31%) | 16 (15.38%) | 8 (7.68%) | 26 (25%) | ||||
| LY | 0.003 | 0.289 | 0.001 | 0.339 | ||||
| negative | 48 (46.16%) | 13 (12.50%) | 35 (33.66%) | 26 (25%) | ||||
| positive | 22 (21.15%) | 21 (20.19%) | 10 (9.61%) | 33 (31.73%) | ||||
| VI | 0.088 | 0.167 | 0.038 | 0.203 | ||||
| negative | 49 (47.12%) | 18 (17.31%) | 34 (32.67%) | 33 (31.73%) | ||||
| positive | 21 (20.19%) | 16 (15.38%) | 11 (10.60%) | 26 (25.0%) | ||||
| PnI | 0.085 | 0.169 | <0.001 | 0.410 | ||||
| negative | 33 (31.73%) | 10 (9.61%) | 29 (27.88%) | 14 (13.47%) | ||||
| positive | 37 (35.58%) | 24 (23.08%) | 16 (15.38%) | 45 (43.27%) | ||||
| pENE | 0.794 | 0.026 | 0.018 | 0.232 | ||||
| negative | 54 (51.93%) | 27 (25.97%) | 40 (38.47%) | 41 (39.42%) | ||||
| positive | 16 (15.38%) | 7 (6.72%) | 5 (4.80%) | 18 (17.31%) | ||||
| EPE | 0.974 | 0.003 | 0.080 | 0.172 | ||||
| negative | 43 (41.35%) | 21 (20.19%) | 32 (30.77%) | 32 (30.77%) | ||||
| positive | 27 (25.97%) | 13 (12.50%) | 13 (12.50%) | 27 (25.96%) | ||||
| Residual tumor | 0.055 | 0.236 | 0.533 | 0.110 | ||||
| R0 | 32 (30.77%) | 15 (14.42%) | 23 (22.11%) | 24 (23.08%) | ||||
| R1 | 25 (24.03%) | 18 (17.31%) | 16 (15.38%) | 27 (25.96%) | ||||
| R2 | 13 (12.50%) | 1 (0.96%) | 6 (5.80%) | 8 (7.68%) | ||||
| OS | ||||
|---|---|---|---|---|
| Univariate Analysis | Multivariate Analysis | |||
| HR (95% CI) | p-Value | HR (95% CI) | p-Value | |
| SOX-2 expression | 2.373 (1.172–4.808) | 0.016 | 2.321 (1.144–4.710) | 0.020 |
| EZH-2 expression | 2.746 (1.220–6.181) | 0.015 | 2.731 (1.197–6.233) | 0.017 |
| OS | ||||
|---|---|---|---|---|
| Univariate Analysis | Multivariate Analysis | |||
| HR (95% CI) | p-Value | HR (95% CI) | p-Value | |
| pT | 2.150 (1.397–3.309) | <0.001 | 1.826 (1.104–3.020) | 0.019 |
| pN | 1.326 (0.880–1.997) | 0.177 | - | - |
| LY | 0.273 (0.130–0.575) | 0.001 | 0.318 (0.138–0.732) | 0.007 |
| VI | 0.730 (0.358–1.489) | 0.386 | - | - |
| PnI | 2.806 (1.235–6.375) | 0.014 | 1.173 (0.445–3.095) | 0.747 |
| pENE | 0.701 (0.300–1.641) | 0.413 | - | - |
| Residual tumor | 1.912 (1.164–3.142) | 0.010 | 1.004 (0.565–1.784) | 0.899 |
| Tumor grade | 0.477 (0.294–0.774) | 0.003 | 0.505 (0.283–0.901) | 0.021 |
| Histological type | 1.370 (1.043–1.799) | 0.024 | 1.305 (0.987–1.727) | 0.062 |
| EPE | 0.770 (0.379–1.565) | 0.470 | - | - |
Disclaimer/Publisher’s Note: The statements, opinions and data contained in all publications are solely those of the individual author(s) and contributor(s) and not of MDPI and/or the editor(s). MDPI and/or the editor(s) disclaim responsibility for any injury to people or property resulting from any ideas, methods, instructions or products referred to in the content. |
© 2026 by the authors. Licensee MDPI, Basel, Switzerland. This article is an open access article distributed under the terms and conditions of the Creative Commons Attribution (CC BY) license.
Share and Cite
Costin, C.A.; Grigoraș, A.; Amalinei, C. SOX-2 and EZH-2 Expression in Primary Epithelial Malignant Salivary Gland Tumors. Med. Sci. 2026, 14, 188. https://doi.org/10.3390/medsci14020188
Costin CA, Grigoraș A, Amalinei C. SOX-2 and EZH-2 Expression in Primary Epithelial Malignant Salivary Gland Tumors. Medical Sciences. 2026; 14(2):188. https://doi.org/10.3390/medsci14020188
Chicago/Turabian StyleCostin, Constantin Aleodor, Adriana Grigoraș, and Cornelia Amalinei. 2026. "SOX-2 and EZH-2 Expression in Primary Epithelial Malignant Salivary Gland Tumors" Medical Sciences 14, no. 2: 188. https://doi.org/10.3390/medsci14020188
APA StyleCostin, C. A., Grigoraș, A., & Amalinei, C. (2026). SOX-2 and EZH-2 Expression in Primary Epithelial Malignant Salivary Gland Tumors. Medical Sciences, 14(2), 188. https://doi.org/10.3390/medsci14020188

