Cervical Lateral Mass and Pedicle Fracture Reduced with a Herbert Screw: A Technical Note
Abstract
1. Introduction
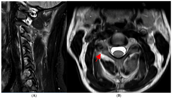
2. Materials and Methods
2.1. Preoperative Planning
2.2. Surgical Technique
3. Results
4. Discussion
5. Conclusions
Author Contributions
Funding
Institutional Review Board Statement
Informed Consent Statement
Data Availability Statement
Acknowledgments
Conflicts of Interest
References
- Glaser, J.A.; Whitehill, R.; Stamp, W.G.; Jane, J.A. Complications associated with the halo-vest. A review of 245 cases. J. Neurosurg. 1986, 65, 762–769. [Google Scholar] [CrossRef] [PubMed]
- van Middendorp, J.J.; Slooff, W.-B.M.; Nellestein, W.R.; Oner, F.C. Incidence of and risk factors for complications associated with halo-vest immobilization: A prospective, descriptive cohort study of 239 patients. J. Bone Joint Surg. 2009, 91, 71–79. [Google Scholar] [CrossRef] [PubMed]
- Del Curto, D.; Tamaoki, M.J.; Martins, D.E.; Puertas, E.B.; Belloti, J.C. Surgical approaches for cervical spine facet dislocations in adults. Cochrane Database Syst. Rev. 2014, 2014, CD008129. [Google Scholar] [CrossRef] [PubMed]
- Lee, W.; Wong, C.C. Anterior-Alone Surgical Treatment for Subaxial Cervical Spine Facet Dislocation: A Systematic Review. Glob. Spine J. 2021, 11, 256–265. [Google Scholar] [CrossRef] [PubMed]
- van Eck, C.F.; Fourman, M.S.; Abtahi, A.M.; Alarcon, L.; Donaldson, W.F.; Lee, J.Y. Risk Factors for Failure of Nonoperative Treatment for Unilateral Cervical Facet Fractures. Asian Spine J. 2017, 11, 356–364. [Google Scholar] [CrossRef] [PubMed]
- Khezri, N.; Ailon, T.; Kwon, B.K. Treatment of Facet Injuries in the Cervical Spine. Neurosurg. Clin. N. Am. 2017, 28, 125–137. [Google Scholar] [CrossRef] [PubMed]
- ElMinshawi, A.; Abdelfattah, S.; Mubarak, F. Clinical Notes on Herbert Screw Fixation for Fracture of Anterior Mandible. Craniomaxillofacial Trauma Reconstr. 2019, 12, 81–84. [Google Scholar] [CrossRef] [PubMed]
- Mani, K.C.K.; Acharya, P. Scaphoid nonunion: Does open reduction, bone grafting and Herbert screw fixation justify the treatment? Int. Orthop. 2018, 42, 1099–1106. [Google Scholar] [CrossRef] [PubMed]
- Yang, W.; Zhang, X.; Sun, D.; Jin, S.; Chen, J.; Li, Y. Outcomes of olecranon fractures in adolescents: Comparison of tension band wiring and Herbert screw fixations. Front. Pediatr. 2024, 11, 1269628. [Google Scholar] [CrossRef] [PubMed]
- Kotrashetti, S.M.; Singh, A.G. Prospective study of treatment outcomes with lag screw versus Herbert screw fixation in mandibular fractures. Int. J. Oral Maxillofac. Surg. 2017, 46, 54–58. [Google Scholar] [CrossRef] [PubMed]
- Cirillo, I.; Ricciardi, G.A.; Cabrera, J.P.; Lopez Muñoz, F.; Romero Valverde, L.; Joaquim, A.; Carazzo, C.; Yurac, R. Risk Factors for Failure of Non-operative Management in Isolated Unilateral Non-displaced Facet Fractures of the Subaxial Cervical Spine: Systematic Review and Meta-Analysis. Glob. Spine J. 2024, 15, 2467–2479. [Google Scholar] [CrossRef] [PubMed]
- Manoso, M.W.; Moore, T.A.; Agel, J.; Bellabarba, C.; Bransford, R.J. Floating Lateral Mass Fractures of the Cervical Spine. Spine 2016, 41, 1421–1427. [Google Scholar] [CrossRef] [PubMed]
- Kepler, C.K.; Vaccaro, A.R.; Chen, E.; Patel, A.A.; Ahn, H.; Nassr, A.; Shaffrey, C.I.; Harrop, J.; Schroeder, G.D.; Agarwala, A.; et al. Treatment of isolated cervical facet fractures: A systematic review. J. Neurosurg. Spine 2016, 24, 347–354. [Google Scholar] [CrossRef] [PubMed]
- Pongmanee, S.; Kaensuk, S.; Sarasombath, P.; Rojdumrongrattana, B.; Kritworakarn, N.; Liawrungrueang, W. Anterior screw fixation for type II odontoid process fractures: A single-center experience with the double Herbert screw fixation technique (Retrospective cohort study). Ann. Med. Surg. 2022, 74, 103337. [Google Scholar] [CrossRef] [PubMed]
- Lee, S.-H.; Sung, J.-K. Anterior odontoid fixation using a 4.5-mm Herbert screw: The first report of 20 consecutive cases with odontoid fracture. Surg. Neurol. 2006, 66, 361–366. [Google Scholar] [CrossRef] [PubMed]







Disclaimer/Publisher’s Note: The statements, opinions and data contained in all publications are solely those of the individual author(s) and contributor(s) and not of MDPI and/or the editor(s). MDPI and/or the editor(s) disclaim responsibility for any injury to people or property resulting from any ideas, methods, instructions or products referred to in the content. |
© 2025 by the authors. Licensee MDPI, Basel, Switzerland. This article is an open access article distributed under the terms and conditions of the Creative Commons Attribution (CC BY) license (https://creativecommons.org/licenses/by/4.0/).
Share and Cite
Colamaria, A.; Carbone, F.; Leone, A.; Palmieri, G.; Iodice, S.; Baldassarre, B.M.; Cirrottola, G.; Ble, V.; Spetzger, U.; Di Perna, G. Cervical Lateral Mass and Pedicle Fracture Reduced with a Herbert Screw: A Technical Note. Med. Sci. 2025, 13, 92. https://doi.org/10.3390/medsci13030092
Colamaria A, Carbone F, Leone A, Palmieri G, Iodice S, Baldassarre BM, Cirrottola G, Ble V, Spetzger U, Di Perna G. Cervical Lateral Mass and Pedicle Fracture Reduced with a Herbert Screw: A Technical Note. Medical Sciences. 2025; 13(3):92. https://doi.org/10.3390/medsci13030092
Chicago/Turabian StyleColamaria, Antonio, Francesco Carbone, Augusto Leone, Giuseppe Palmieri, Savino Iodice, Bianca Maria Baldassarre, Giovanni Cirrottola, Valeria Ble, Uwe Spetzger, and Giuseppe Di Perna. 2025. "Cervical Lateral Mass and Pedicle Fracture Reduced with a Herbert Screw: A Technical Note" Medical Sciences 13, no. 3: 92. https://doi.org/10.3390/medsci13030092
APA StyleColamaria, A., Carbone, F., Leone, A., Palmieri, G., Iodice, S., Baldassarre, B. M., Cirrottola, G., Ble, V., Spetzger, U., & Di Perna, G. (2025). Cervical Lateral Mass and Pedicle Fracture Reduced with a Herbert Screw: A Technical Note. Medical Sciences, 13(3), 92. https://doi.org/10.3390/medsci13030092

