Cervical Artery Dissection and Patent Foramen Ovale in Juvenile Stroke: Causality or Casuality? A Familiar Case Report
Abstract
1. Introduction
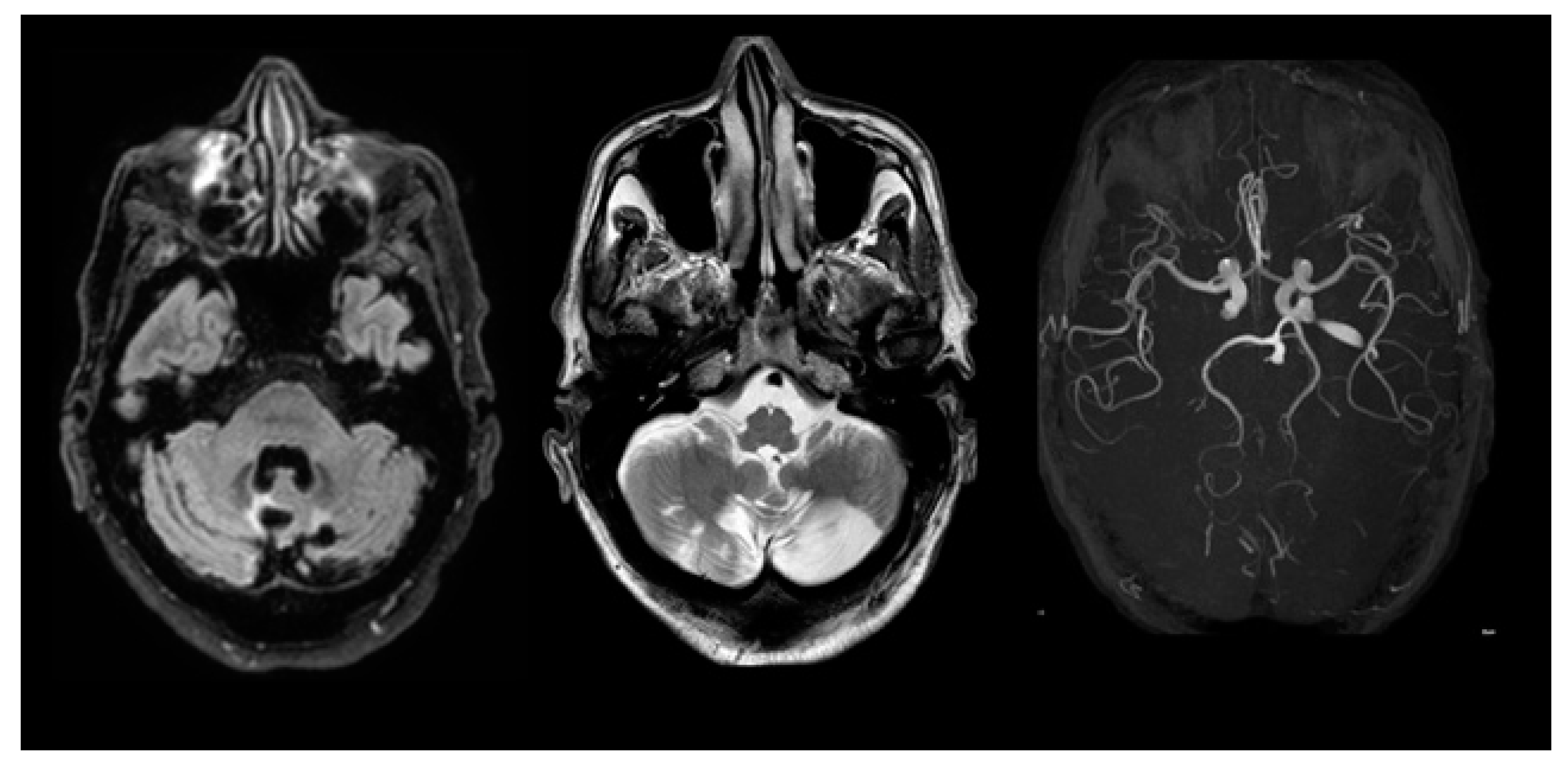
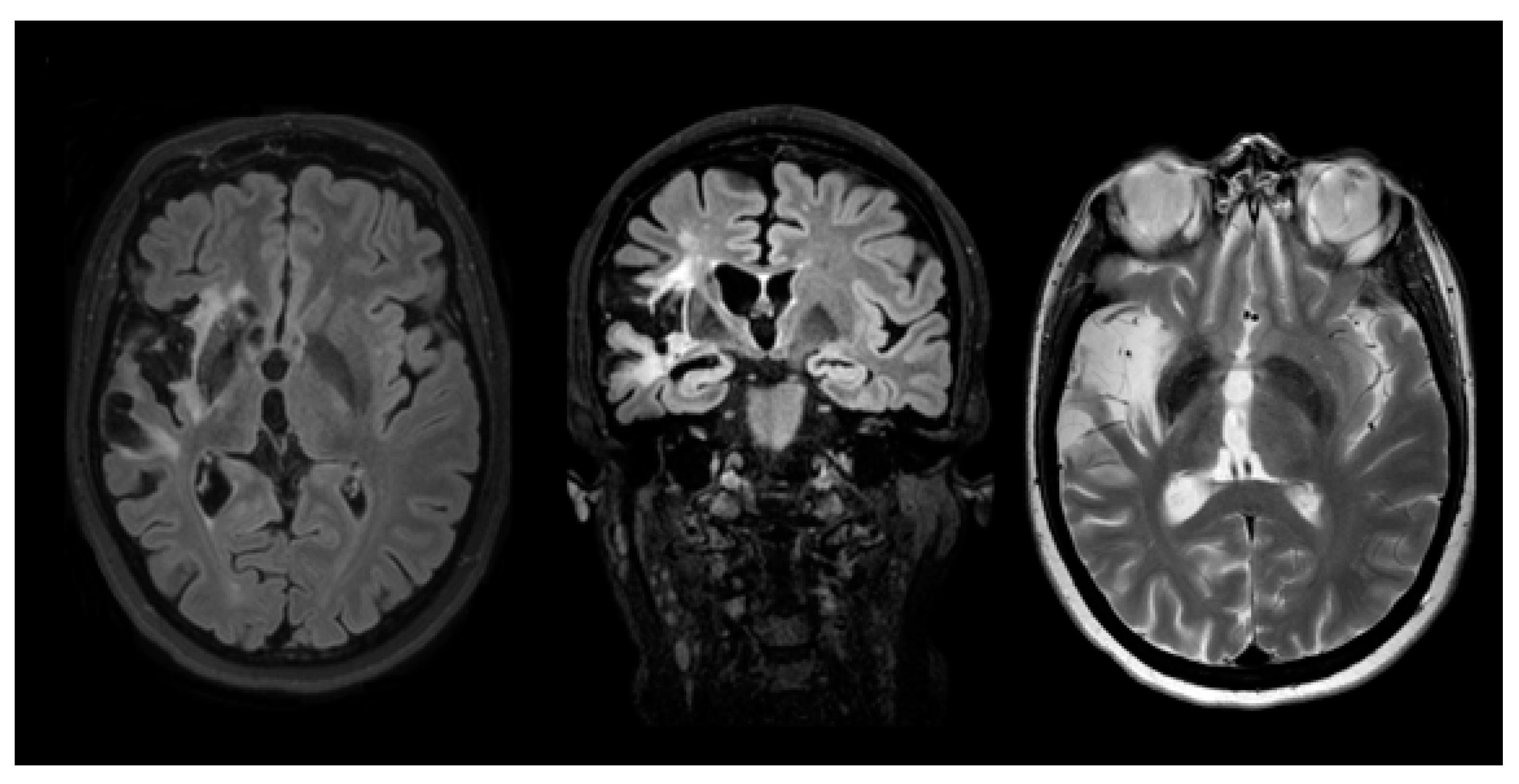
2. Case Presentation
3. Discussion
4. Conclusions
Author Contributions
Funding
Institutional Review Board Statement
Informed Consent Statement
Data Availability Statement
Conflicts of Interest
References
- Overall, J.R.; Bone, I.; Lees, K.R. Interatrial septal abnormalities, and stroke: A meta-analysis of case-control studies. Neurology 2000, 55, 1172–1179. [Google Scholar] [CrossRef]
- Schievink, W.; Mokri, B.; Pieprgras, D.G. Angiography frequency of saccular intracranial aneurysms in patients with spontaneous cervical artery dissection. J. Neurosurg. 1992, 76, 62–66. [Google Scholar] [CrossRef]
- Tzourio, C.; Cohen, A.; Lamisse, N.; Biousse, V.; Bousser, M.G. Aortic root dilatation in patients with spontaneous cervical artery dissection. Circulation 1997, 95, 2351–2353. [Google Scholar] [CrossRef] [PubMed]
- Barbour, P.J.; E Castaldo, J.; Rae-Grant, A.D.; Gee, W.; Reed, J.F.; Jenny, D.; Longennecker, J. Internal carotid artery redundancy is significantly associated with dissection. Stroke 1994, 25, 1201–1206. [Google Scholar] [CrossRef]
- Grond-Ginsbach, C.; Debette, S. The association of connective tissue disorders with cervical artery dissections. Curr. Mol. Med. 2009, 9, 210–214. [Google Scholar] [CrossRef]
- Debette, S.; Markus, H.S. The genetics of cervical artery dissection: A systematic review. Stroke 2009, 40, e459–e466. [Google Scholar] [CrossRef]
- Debette, S.; Leys, D. Cervical artery dissections: Predisposing factors, diagnosis, and outcome. Lancet Neurol. 2009, 8, 668–678. [Google Scholar] [CrossRef] [PubMed]
- Dittrich, R.; Heidbreder, A.; Rohsbach, D.; Schmalhorst, J.; Nassenstein, I.; Maintz, D.; Ringelstein, E.B.; Nabavi, D.G.; Kuhlenbäumer, G. Connective tissue and vascular phenotype in patients with cervical artery dissection. Neurology 2007, 68, 2120–2124. [Google Scholar] [CrossRef] [PubMed]
- Schievink, W.I.; Mokri, B.; Piepgras, D.G.; Kuiper, J.D. Recurrent spontaneous arterial dissections: Risk in familial versus nonfamilial disease. Stroke 1996, 27, 622–624. [Google Scholar] [CrossRef]
- Benninger, D.H.; Georgiadis, D.; Kremer, C.; Studer, A.; Nedeltchev, K.; Baumgartner, R.W. Mechanism of ischemic infarct in spontaneous carotid dissection. Stroke 2004, 35, 482–485. [Google Scholar] [CrossRef] [PubMed]
- Morel, A.; Naggara, O.; Touzé, E.; Raymond, J.; Mas, J.L.; Meder, J.F.; Oppenheim, C. Mechanism of ischemic infart in spontaneous cervical artery dissection. Stroke 2012, 43, 1354–1361. [Google Scholar] [CrossRef]
- Naggara, O.; Morel, A.; Touzé, E.; Raymond, J.; Mas, J.-L.; Meder, J.-F.; Oppenheim, C. Stroke occurrence and patterns are not influenced by the degree of stenosis in cervical artery dissection. Stroke 2012, 43, 1150–1152. [Google Scholar] [CrossRef]
- Ranoux, D.; Cohen, A.; Cabanes, L.; Amarenco, P.; Bousser, M.G.; Mas, J.L. Patent foramen ovale: Is stroke due to paradoxical embolism? Stroke 1993, 24, 31–34. [Google Scholar] [CrossRef] [PubMed]
- Schneider, B.; Hanrath, P.; Vogel, P.; Meinertz, T. Improved morphologic characterization of atrial septal aneurysm by transesophageal echocardiography: Relation to cerebrovascular events. J. Am. Coll. Cardiol. 1990, 16, 1000–1009. [Google Scholar] [CrossRef]
- Kobeng, A.K.; Abdelgadir, I.; Boudjemline, Y.; Hijazi, Z.M. Patent foramen ovale (PFO) closure versus medical therapy for prevention of recurrent stroke in patients with prior cryptogenic stroke: A systematic review and meta-analysis of randomized controlled trials. Catheter. Cardiovasc. Interv. 2018, 92, 165–173. [Google Scholar] [CrossRef] [PubMed]
- Berthet, K.; Lavergne, T.; Cohen, A.; Guize, L.; Bousser, M.G.; Le Heuze, J.Y. Significant association of atrial vulnerability with atrial septal abnormalities in young patients with ischemic stroke of unknown cause. Stroke 2000, 31, 398–403. [Google Scholar] [CrossRef]
- Botto, N.; Spadoni, I.; Giusti, S.; Ait-Ali, L.; Sicari, R.; Andreassi, M.G. Prothrombotic mutations as riskfactors for cryptogenic ischemic cerebrovascular events in young subjects with patent foramen ovale. Stroke 2007, 38, 2070–2073. [Google Scholar] [CrossRef]
- Imperiale, D.; Cassano, D.; Pomari, F.; Cecchi, E.; Cerrato, P.; Buffa, C. Ischaemic stroke, factor V Leiden Heterozygosity and left atrial trombosis in sinus rhythm: A case report. Neurol. Sci. 2007, 28, 111–113. [Google Scholar] [CrossRef] [PubMed]
- Arquizan, C.; Coste, J.; Touboul, P.J.; Mas, J.L. Is patent foramen ovale a family trait? A transcranial Doppler sonographic study. Stroke 2001, 32, 1563–1566. [Google Scholar] [CrossRef] [PubMed]
- Grond-Ginsbach, C.; Chen, B.; Krawczak, M.; Pjontek, R.; Ginsbach, P.; Jiang, Y.; Abboud, S.; Arnold, M.L.; Bersano, A.; Brandt, T.; et al. Genetic imabalance in patients with cervical artery dissection. Curr. Genom. 2017, 18, 206–213. [Google Scholar] [CrossRef] [PubMed]
- Bonati, L.H.; Wetzel, S.G.; Kessel-Schaefer, A.; Buser, P.; Lyer, P.A.; Engelter, S.T. Diffusion-weighted imaging findings differ between stroke attributable to spontaneous cervical artery dissection and patent foramen ovale. Eur. J. Neurol. 2010, 17, 307–313. [Google Scholar] [CrossRef]
- Ronco, F.; Rigatelli, G.; Dell’Avvocata, F.; Giordano, M.; Ronco, C.; Cardaioli, P. Embolic renal infarct, patent foramen ovale and coronary artery dissection: A strange case of cardio-renal connection. Cardiovasc. Revasc. Med. 2011, 12, 67.e5–67.e7. [Google Scholar] [CrossRef]
- Brandt, T.; Orberk, E.; Weber, R.; Werner, I.; Busse, O.; Müller, B.T.; Wigger, F.; Grau, A.; Grond–Ginsbach, C.; Hausser, I. Pathogenesis of cervical artery dissections: Association with connective tissue abnormalities. Neurology 2001, 57, 24–30. [Google Scholar] [CrossRef]
- Kim, S.T.; Brinjikji, W.; Lehman, V.T.; Carr, C.M.; Luetmer, P.H.; Rydberg, C.H. Association between carotid artery tortuosity and carotid dissection: A case-control study. J. Neurosurg. Sci. 2018, 62, 413–417. [Google Scholar] [CrossRef]
- Saba, L.; Argiolas, G.M.; Sumer, S.; Siotto, P.; Raz, E.; Sanfilippo, R.; Montisci, R.; Piga, M.; Wintermark, M. Association between internal carotid artery dissection and arterial tortuosity. Neuroradiology 2015, 57, 149–153. [Google Scholar] [CrossRef] [PubMed]
- Hagen, P.T.; Scholz, D.G.; Edwards, W.D. Incidence and size of patent foramen ovale during the first 10 decades of life: An autopsy study of 965 normal hearts. Mayo Clin. Proc. 1984, 59, 17–20. [Google Scholar] [CrossRef] [PubMed]
- Sunbul, M.; Ozben, B.; Durmus, E.; Kepez, A.; Pehlivan, A.; Midi, I.; Mutlu, B. Endothelial dysfunction is an independent risk factor for stroke patients irrespective of the presence of patent foramen ovale. Herz 2013, 38, 671–676. [Google Scholar] [CrossRef] [PubMed]
- Sarecka-Hujar, B.; Kopyta, I. Risk Factors for Recurrent Arterial Ischemic Stroke in Children and Young Adults. Brain Sci. 2020, 10, 24. [Google Scholar] [CrossRef] [PubMed]
- Calabro’, R.S.; Gervasi, G.; Bramanti, P. Can interaction between atrial septal abnormalities and genetic prothrombotic polymorphisms play a role in cryptogenic ischemic stroke? Description of a family. Neurolo. Sci. 2012, 33, 117–119. [Google Scholar] [CrossRef] [PubMed]
- Gonnah, A.R.; Bharadwaj, M.S.; Nassar, H.; Abdelaziz, H.K.; Roberts, D.H. Patent foramen ovale: Diagnostic evaluation and the role of device closure. Clin. Med. 2022, 22, 441–448. [Google Scholar] [CrossRef]
- Thaler, D.E.; Ruthazer, R.; Di Angelantonio, E.; Di Tullio, M.R.; Donovan, J.S.; Elkind, M.S.; Griffith, J.; Homma, S.; Jaigobin, C.; Mas, J.-L.; et al. Neuroimaging findings in cryptogenic stroke patients with and without patent foramen ovale. Stroke 2013, 44, 675–680. [Google Scholar] [CrossRef] [PubMed]
- Elmariah, S.; Furlan, A.J.; Reisman, M.; Burke, D.; Vardi, M.; Wimmer, N.J.; Ling, S.; Chen, X.; Kent, D.M.; Massaro, J.; et al. Predictors of recurrent events in patients with cryptogenic stroke and patent foramen ovale within the CLOSURE I (Evaluation of the STARFlex Septal Closure System in Patients with a Stroke and/or Transient Ischemic Attack Due to Presumed Paradoxical Embolism Through a Patent Foramen Ovale) trial. JACC Cardiovasc. Interv. 2014, 7, 913–920. [Google Scholar] [PubMed]
- Apostolos, A.; Drakopoulou, M.; Trantalis, G.; Synetos, A.; Oikonomou, G.; Karapanayiotides, T.; Tsioufis, C.; Toutouzas, K. The management of patent foramen ovale in divers: Where do we stand? Ther. Adv. Neurol. Disord. 2022, 15, 17562864221103459. [Google Scholar] [CrossRef] [PubMed]






Disclaimer/Publisher’s Note: The statements, opinions and data contained in all publications are solely those of the individual author(s) and contributor(s) and not of MDPI and/or the editor(s). MDPI and/or the editor(s) disclaim responsibility for any injury to people or property resulting from any ideas, methods, instructions or products referred to in the content. |
© 2023 by the authors. Licensee MDPI, Basel, Switzerland. This article is an open access article distributed under the terms and conditions of the Creative Commons Attribution (CC BY) license (https://creativecommons.org/licenses/by/4.0/).
Share and Cite
Arcadi, F.A.; Morabito, R.; Marino, S.; Formica, C.; Calabrò, R.S. Cervical Artery Dissection and Patent Foramen Ovale in Juvenile Stroke: Causality or Casuality? A Familiar Case Report. Med. Sci. 2023, 11, 34. https://doi.org/10.3390/medsci11020034
Arcadi FA, Morabito R, Marino S, Formica C, Calabrò RS. Cervical Artery Dissection and Patent Foramen Ovale in Juvenile Stroke: Causality or Casuality? A Familiar Case Report. Medical Sciences. 2023; 11(2):34. https://doi.org/10.3390/medsci11020034
Chicago/Turabian StyleArcadi, Francesca Antonia, Rosa Morabito, Silvia Marino, Caterina Formica, and Rocco Salvatore Calabrò. 2023. "Cervical Artery Dissection and Patent Foramen Ovale in Juvenile Stroke: Causality or Casuality? A Familiar Case Report" Medical Sciences 11, no. 2: 34. https://doi.org/10.3390/medsci11020034
APA StyleArcadi, F. A., Morabito, R., Marino, S., Formica, C., & Calabrò, R. S. (2023). Cervical Artery Dissection and Patent Foramen Ovale in Juvenile Stroke: Causality or Casuality? A Familiar Case Report. Medical Sciences, 11(2), 34. https://doi.org/10.3390/medsci11020034

