Effect of Anacardic Acid against Thiram Induced Tibial Dyschondroplasia in Chickens via Regulation of Wnt4 Expression
Simple Summary
Abstract
1. Introduction
2. Materials and Methods
2.1. Ethical Approval
2.2. Chickens Husbandry
2.3. Morphological, Production Parameters Analysis and Sample Collection
2.4. Hematoxylin and Eosin (H and E) Staining
2.5. Measurement of SOD, MDA Contents, GSH-Px, and T-AOC Activity
2.6. Reverse Transcription Quantitative-Polymerase Chain Reaction (RT-qPCR)
2.7. Western Blot Analysis
2.8. Statistical Analysis
3. Results
3.1. Effects of AA on Lameness, Growth-Plate and Morphology
3.2. TD Score
3.3. Tibial Parameters Evaluation
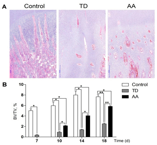
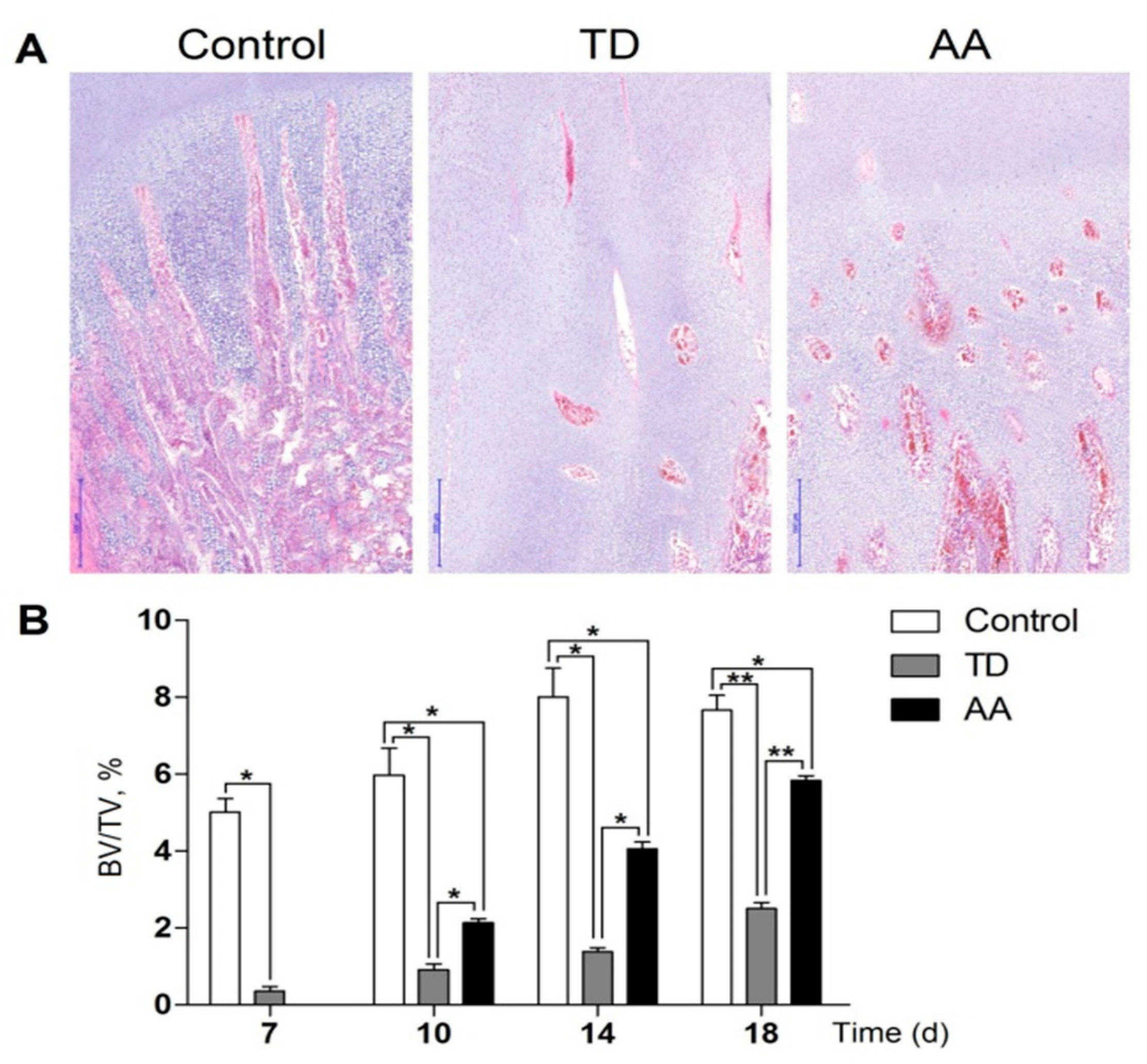
3.4. Histological Examination of Tibial Growth Plate
3.5. Liver Antioxidant Levels
3.6. Effects of AA on Expression of Wnt4 Gene in Growth Plate
4. Discussion
5. Conclusions
Author Contributions
Funding
Acknowledgments
Conflicts of Interest
References
- Mehmood, K.; Zhang, H.; Iqbal, M.K.; Rehman, M.U.; Shahzad, M.; Li, K.; Huang, S.; Nabi, F.; Zhang, L.; Li, J. In Vitro effect of apigenin and danshen in tibial dyschondroplasia through inhibition of heat-shock protein 90 and vascular endothelial growth factor expressions in avian growth plate cells. Avian Dis. 2017, 61, 372–377. [Google Scholar] [CrossRef] [PubMed]
- Mehmood, K.; Zhang, H.; Li, K.; Lei, W.; Rehman, M.U.; Nabi, F.; Iqbal, M.K.; Luo, H.; Shahzad, M.; Li, J. Effect of tetramethylpyrazine on tibial dyschondroplasia incidence, tibial angiogenesis, performance and characteristics via HIF-1α/VEGF signaling pathway in chickens. Sci. Rep. 2018, 8, 2495. [Google Scholar] [CrossRef] [PubMed]
- Nabi, F.; Li, K.; Shahzad, M.; Han, Z.; Zhang, D.; Liu, J.; Li, K. Gambogic acid inhibits hsp90 expressions in thiram-induced tibial dyschondroplasia. Pak. Vet. J. 2016, 36, 224–225. [Google Scholar]
- Dan, H.; Simsa-Maziel, S.; Hisdai, A.; Sela-Donenfeld, D.; MonsonegoOrnan, E. Expression of matrix metalloproteinases during impairment and recovery of the avian growth plate. J. Anim. Sci. 2009, 87, 3544–3555. [Google Scholar] [CrossRef] [PubMed]
- Leach, R., Jr.; Monsonego-Ornan, E. Tibial dyschondroplasia 40 years later. Poult. Sci. 2007, 86, 2053. [Google Scholar] [CrossRef] [PubMed]
- Shahzad, M.; Liu, J.; Gao, J.; Wang, Z.; Zhang, D.; Nabi, F.; Li, J.K. Differential expression of extracellular matrix metalloproteinase inducer (EMMPRIN/CD147) in avian tibial dyschondroplasia. Avian Pathol. 2015, 44, 13–18. [Google Scholar] [CrossRef] [PubMed]
- Timmermans-Sprang, E.P.M.; Gracanin, A.; Mol, J.A. Molecular Signaling of Progesterone, Growth Hormone, Wnt, and HER in Mammary Glands of Dogs, Rodents, and Humans, New Treatment Target Identification. Front. Vet. Sci. 2017, 4, 00053. [Google Scholar] [CrossRef] [PubMed]
- Algandaby, M.M.; Breikaa, R.M.; Eid, B.G.; Neamatallah, T.A.; Abdel-Naim, A.B.; Ashour, O.M. Icariin Protects against Thioacetamide-induced Liver Fibrosis in Rats, Implication of Anti-angiogenic and Anti-autophagic Properties. Pharmacol. Rep. 2017, 69, 616–624. [Google Scholar] [CrossRef] [PubMed]
- Nambiar, J.; Bose, C.; Venugopal, M.; Banerji, A.; Patel, T.B.; Kumar, G.B.; Nair, B.G. AA inhibits gelatinases through the regulation of Spry2, MMP-14, EMMPRIN and RECK. Exp. Cell Res. 2016, 349, 139–151. [Google Scholar] [CrossRef] [PubMed]
- Seong, Y.A.; Shin, P.G.; Yoon, J.S.; Yadunandam, A.K.; Kim, G.D. Induction of the endoplasmic reticulum stress and autophagy in human lung carcinoma A549 cells by AA. Cell Biochem. Biophys. 2014, 68, 369–377. [Google Scholar] [CrossRef] [PubMed]
- Pines, M.; Hasdai, A.; Monsonego-Ornan, E. Tibial dyschondroplasia–tools, new insights and future prospects. World’s Poult. Sci. J. 2005, 61, 287–299. [Google Scholar] [CrossRef]
- Mehmood, K.; Zhang, H.; Iqbal, M.K.; Rehman, M.U.; Li, K.; Huang, S.; Shahzad, M.; Nabi, F.; Mujahid, I.; Li, J. Tetramethylpyrazine mitigates toxicity and liver oxidative stress in tibial dyschondroplasia chickens. Pak. Vet. J. 2018, 38, 76–80. [Google Scholar] [CrossRef]
- Zhang, H.; Chang, Z.; Mehmood, K.; Rao, Z.A.; Nabi, F.; Rehman, M.U.; Wu, X.; Tian, X.; Yuan, X.; Li, Z.; et al. Nano copper induces apoptosis in pk-15 cells via a mitochondria-mediated pathway. Biol. Trace Elem. Res. 2018, 181, 62–70. [Google Scholar] [CrossRef] [PubMed]
- Zhang, H.; Khalid, M.; Jiang, X.; Yao, W.Y.; Mujahid, I.; Li, K. Effect of icariin on tibial dyschondroplasia incidence, tibial characteristics by regulating P2RX7 in chickens. Biomed. Res. Int. 2018, 2018, 6796271. [Google Scholar] [CrossRef] [PubMed]
- Simsa, S.; Hasdai, A.; Dan, H.; Ornan, E.M. Induction of tibial dyschondroplasia in turkeys by tetramethylthiuram disulfide (thiram). Poult. Sci. 2007, 86, 1766. [Google Scholar] [CrossRef] [PubMed]
- Shim, M.Y.; Karnuah, A.B.; Anthony, N.B.; Pesti, G.M.; Aggrey, S.E. The effects of broiler chicken growth rate on valgus, varus, and tibial dyschondroplasia. Poult. Sci. 2012, 91, 62–65. [Google Scholar] [CrossRef] [PubMed]
- Tian, W.X.; Zhang, W.P.; Li, J.K.; Bi, D.R.; Guo, D.Z.; Pan, S.Y.; Zhang, Y.H.; Qin, P. Identification of differentially expressed genes in the growth plate of broiler chickens with thiram-induced tibial dyschondroplasia. Avian Pathol. 2009, 38, 161–166. [Google Scholar] [CrossRef] [PubMed]
- Aziz, A.; Miyake, T.; Engleka, K.A.; Epstein, J.A.; Mcdermott, J.C. Menin expression modulates mesenchymal cell commitment to the myogenic and osteogenic lineages. Dev. Biol. 2009, 332, 116. [Google Scholar] [CrossRef] [PubMed]
- Zhu, X.; Zhu, H.; Zhang, L.; Huang, S.; Cao, J.; Ma, G.; Feng, G.; He, L.; Yang, Y.; Guo, X. Wls-mediated wnts differentially regulate distal limb patterning and tissue morphogenesis. Dev. Biol. 2012, 365, 328–338. [Google Scholar] [CrossRef] [PubMed]
- Millet, L. Role of wnt pathway in the determination of human mesenchymal stem cells into preadipocytes. J. Mol. Endocrinol. 2001, 46, R65. [Google Scholar]
- Yu, B.; Chang, J.; Liu, Y.; Li, J.; Kevork, K.; Al-Hezaimi, K.; Graves, D.T.; Park, N.H.; Wang, C.Y. Wnt4 signaling prevents skeletal aging and inflammation by inhibiting nuclear factor-kappa B. Nat. Med. 2014, 20, 1009–1017. [Google Scholar] [CrossRef] [PubMed]
- Zhang, H.; Mehmood, K.; Li, K.; Rehman, M.U.; Jiang, X.; Huang, S.; Wang, L.; Zhang, L.; Tong, X.; Nabi, F.; et al. Icariin Ameliorate Thiram-Induced Tibial Dyschondroplasia via Regulation of WNT4 and VEGF Expression in Broiler Chickens. Front. Pharmacol. 2018, 9, 123. [Google Scholar] [CrossRef] [PubMed]
- Rasaputra, K.S.; Liyanage, R.; Lay, J.O.; McCarthy, F.M., Jr.; Rath, N.C. Tibial dyschondroplasia-associated proteomic changes in chicken growth plate cartilage. Avian Dis. 2010, 54, 1166–1171. [Google Scholar] [CrossRef] [PubMed]
- Zheng, Y.; Wang, C.; Zhang, H.; Shao, C.; Gao, L.H.; Li, S.S.; Yu, W.J.; He, J.W.; Fu, W.Z.; Hu, Y.Q.; et al. Polymorphisms in wnt signaling pathway genes are associated with peak bone mineral density, lean mass, and fat mass in chinese male nuclear families. Osteoporos. Int. 2016, 27, 1805. [Google Scholar] [CrossRef] [PubMed]
- Rath, N.C.; Huff, W.E.; Huff, G.R. Thiram-induced changes in the expression of genes relating to vascularization and tibial dyschondroplasia. Poult. Sci. 2007, 86, 2390–2395. [Google Scholar] [CrossRef] [PubMed]
- Mehmood, K.; Zhang, H.; Jiang, X.; Yao, W.; Tong, X.; Iqbal, M.K.; Rehman, M.U.; Iqbal, M.; Waqas, M.; Qamar, H.; et al. Ligustrazine recovers thiram-induced tibial dyschondroplasia in chickens, involvement of new molecules modulating integrin beta 3. Ecotoxicol. Environ. Saf. 2019, 168, 205–211. [Google Scholar] [CrossRef] [PubMed]
- Iqbal, M.; Hui, Z.; Khalid, M.; Aoyun, L.; Xiong, J.; Yaping, W.; Zhang, J.; Iqbal, M.K.; Rehman, M.U.; Yao, W.; et al. Icariin: A potential compound for the recovery of tibial dyschondroplasia affected chicken via up-regulating bmp-2 expression. Biol. Proced. Online 2018, 20, 15. [Google Scholar] [CrossRef] [PubMed]
- Li, J.; Bi, D.R. Effects of high dietary vitamin A supplementation on tibial dyschondroplasia, skin pigmentation and growth performance in avian broilers. Res. Vet. Sci. 2008, 84, 409–412. [Google Scholar] [CrossRef] [PubMed]
- Zhang, H.; Khalid, M.; Jiang, X.; Yao, W.Y.; Mujahid, I. Effect of Tetramethyl thiuram disulfide (thiram) in relation to tibial dyschondroplasia in chickens. Environ. Sci. Pollut. Res. 2018, 25, 28264–28274. [Google Scholar] [CrossRef] [PubMed]
- Iqbal, M.K.; Nabi, F.; Mehmood, K.; Rehman, M.U.; Huang, S.; Zhang, H.; Zhang, L.; Ahmad, H.I.; Iqbal, M.; Li, J.; et al. Healing of growth plate cartilage by hypoxia Inducible Factor-1α inhibitor apigenin on thiram induced tibial dyschondroplasia. Pak. Vet. J. 2018, 38, 143–148. [Google Scholar]
- Marikovsky, M. Thiram inhibits angiogenesis and slows the development of experimental tumours in mice. Br. J. Cancer 2002, 86, 779–787. [Google Scholar] [CrossRef] [PubMed]
- Perry, J.J.P.; Shin, D.S.; Getzoff, E.D.; Tainer, J.A. The structural biochemistry of the superoxide dismutases. Biochim. Biophys. Acta 2010, 1804, 245–262. [Google Scholar] [CrossRef] [PubMed]
- Li, J.; Bi, D.; Pan, S.; Zhang, Y. Effect of diet with thiram on liver antioxidant capacity and tibial dyschondroplasia in broilers. Br. Poult. Sci. 2007, 48, 724–728. [Google Scholar] [CrossRef] [PubMed]







© 2019 by the authors. Licensee MDPI, Basel, Switzerland. This article is an open access article distributed under the terms and conditions of the Creative Commons Attribution (CC BY) license (http://creativecommons.org/licenses/by/4.0/).
Share and Cite
Jiang, X.; Zhang, H.; Mehmood, K.; Li, K.; Zhang, L.; Yao, W.; Tong, X.; Li, A.; Wang, Y.; Jiang, J.; et al. Effect of Anacardic Acid against Thiram Induced Tibial Dyschondroplasia in Chickens via Regulation of Wnt4 Expression. Animals 2019, 9, 82. https://doi.org/10.3390/ani9030082
Jiang X, Zhang H, Mehmood K, Li K, Zhang L, Yao W, Tong X, Li A, Wang Y, Jiang J, et al. Effect of Anacardic Acid against Thiram Induced Tibial Dyschondroplasia in Chickens via Regulation of Wnt4 Expression. Animals. 2019; 9(3):82. https://doi.org/10.3390/ani9030082
Chicago/Turabian StyleJiang, Xiong, Hui Zhang, Khalid Mehmood, Kun Li, Lihong Zhang, Wangyuan Yao, Xiaole Tong, Aoyun Li, Yaping Wang, Jinhuan Jiang, and et al. 2019. "Effect of Anacardic Acid against Thiram Induced Tibial Dyschondroplasia in Chickens via Regulation of Wnt4 Expression" Animals 9, no. 3: 82. https://doi.org/10.3390/ani9030082
APA StyleJiang, X., Zhang, H., Mehmood, K., Li, K., Zhang, L., Yao, W., Tong, X., Li, A., Wang, Y., Jiang, J., Iqbal, M., Waqas, M., & Li, J. (2019). Effect of Anacardic Acid against Thiram Induced Tibial Dyschondroplasia in Chickens via Regulation of Wnt4 Expression. Animals, 9(3), 82. https://doi.org/10.3390/ani9030082

