Systemic CD3+ T-Cell Lymphoblastic Leukemia in a Bearded Dragon (Pogona vitticeps): Clinical, Therapeutic, and Pathological Findings
Simple Summary
Abstract
1. Introduction
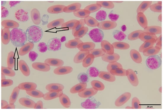
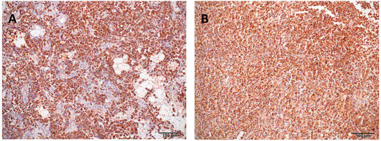
2. Case Description
3. Discussion
4. Conclusions
Author Contributions
Funding
Institutional Review Board Statement
Informed Consent Statement
Data Availability Statement
Acknowledgments
Conflicts of Interest
Abbreviations
| L/L | Lymphoma/Leukemia |
| ALT | Alanine Aminotransferase |
| AST | Aspartate Aminotransferase |
| HCT | Hematocrit |
| HGB | Hemoglobin |
| MCV | Mean Corpuscular Volume |
| MCH | Mean Corpuscular Hemoglobin |
| MCHC | Mean Corpuscular Hemoglobin Concentration |
| RBC | Red Blood Cells |
| WBC | White Blood Cells |
| UVB | Ultraviolet B |
| IHC | Immunohistochemistry |
| CD3 | Cluster of Differentiation 3 (T-cell marker) |
| CD20 | Cluster of Differentiation 20 (B-cell marker) |
| CD79a | Cluster of Differentiation 79a (B-cell marker) |
| PAX5 | Paired box gene 5 (B-cell marker) |
| H&E | Hematoxylin and Eosin (staining) |
| A/G | Albumin-to-Globulin Ratio |
| PO | Oral |
| IM | Intramuscular |
References
- Garner, M.M.; Hernandez-Divers, S.M.; Raymond, J.T. Reptile neoplasia: A retrospective study of case submissions. Vet. Clin. N. Am. Exot. Anim. Pract. 2004, 7, 653–671. [Google Scholar] [CrossRef] [PubMed]
- Kubiak, M.; Denk, D.; Stidworthy, M.F. Retrospective review of neoplasms of captive lizards in the United Kingdom. Vet. Rec. 2020, 186, 28. [Google Scholar] [CrossRef]
- Hernandez-Divers, S.M.; Garner, M.M. Neoplasia of reptiles with an emphasis on lizards. Vet. Clin. N. Am. Exot. Anim. Pract. 2003, 6, 251–273. [Google Scholar] [CrossRef]
- Solanes-Vilanova, F.; Hellebuyck, T.; Chiers, K. Prevalence, diagnosis, treatment outcomes and immunohistochemical characterization of neoplastic disorders in reptiles presented at a veterinary teaching hospital: A cross-sectional study (2010–2023). Vet. J. 2025, 312, 106366. [Google Scholar] [CrossRef]
- Hepps Keeney, C.M.; Intile, J.L.; Sims, C.S.; Harrison, T.M. Lymphoid leukemia in five bearded dragons (Pogona vitticeps). J. Am. Vet. Med. Assoc. 2021, 258, 748–757. [Google Scholar] [CrossRef]
- Suedmeyer, W.K.; Turk, J.R. Lymphoblastic leukemia in an inland bearded dragon. Bull. Assoc. Reptil. Amphib. Vet. 1996, 6, 10–12. [Google Scholar] [CrossRef]
- Tocidlowski, M.E.; McNamara, P.L.; Wojcieszyn, J.W. Myelogenous leukemia in a bearded dragon. J. Zoo Wildl. Med. 2001, 32, 90–95. [Google Scholar] [CrossRef]
- Gregory, C.R.; Latimer, K.S.; Fontenot, D.K.; Lamberski, N.; Campagnoli, R.P. Chronic monocytic leukemia in an inland bearded dragon, Pogona vitticeps. J. Herpetol. Med. Surg. 2004, 14, 12–16. [Google Scholar] [CrossRef]
- Jankowski, G.; Sirninger, J.; Borne, J.; Nevarez, J.G. Chemotherapeutic treatment for leukemia in a bearded dragon. J. Zoo Wildl. Med. 2011, 42, 322–325. [Google Scholar] [CrossRef] [PubMed]
- Gavazza, A.; Galosi, L.; Croce, V.; Croce, A.; Genovese, C.; Romano, P.; Cerquetella, M.; Rossi, G. A case of lymphocytic leukemia in a bearded dragon. Acta Vet. Beogr. 2019, 69, 360–368. [Google Scholar] [CrossRef]
- Arber, D.A.; Orazi, A.; Hasserjian, R.; Thiele, J.; Borowitz, M.J.; Le Beau, M.M.; Bloomfield, C.D.; Cazzola, M.; Vardiman, J.W. The 2016 revision to the World Health Organization classification of myeloid neoplasms and acute leukemia. Blood 2016, 127, 2391–2405. [Google Scholar] [CrossRef]
- Malcolm, T.I.; Hodson, D.J.; Macintyre, E.A.; Turner, S.D. Challenging perspectives on lymphoma origins. Open Biol. 2016, 6, 160232. [Google Scholar] [CrossRef]
- Ruiz Pérez, M.; Vandenabeele, P.; Tougaard, P. The thymus road to a T cell. Front. Immunol. 2024, 15, 1443910. [Google Scholar] [CrossRef] [PubMed]
- Frye, F.L.; Carney, J.D. Acute lymphatic leukemia in a boa constrictor. J. Am. Vet. Med. Assoc. 1973, 163, 653–654. [Google Scholar] [CrossRef]
- Finnie, E.P. Lymphoid leukosis in an Indian python. J. Pathol. 1972, 107, 295–297. [Google Scholar] [CrossRef] [PubMed]
- Raiti, P.; Garner, M.M.; Wojcieszyn, J. Leukemia and lymphoma in a diamond python. J. Herpetol. Med. Surg. 2002, 12, 26–29. [Google Scholar] [CrossRef]
- Lock, B.; Heard, D.; Dunmore, D.; Ramaiah, S. Lymphosarcoma with leukemia in a rattlesnake. J. Herpetol. Med. Surg. 2001, 11, 19–23. [Google Scholar] [CrossRef]
- Bezjian, M.; Diep, A.N.; de Matos, R.; Schaefer, D. Lymphoid leukemia in Chinese box turtle. Vet. Clin. Pathol. 2013, 42, 368–376. [Google Scholar] [CrossRef]
- Silverstone, A.M.; Gamer, M.M.; Wojcieszyn, J.W.; Couto, C.G.; Raskin, R.E. Acute leukemia in a diamondback terrapin, Malaclemys terrapin. J. Herpetol. Med. Surg. 2007, 17, 92–99. [Google Scholar] [CrossRef]
- Goldberg, S.R.; Holshuh, H.J. Leukemia in desert spiny lizard. J. Wildl. Dis. 1991, 27, 521–525. [Google Scholar] [CrossRef]
- Georoff, T.A.; Stacy, N.I.; Newton, A.N.; McAloose, D.; Post, G.S.; Raskin, R.E. Diagnosis and Treatment of Chronic T-Lymphocytic Leukemia in a Green Tree Monitor (Varanus prasinus). J. Herpetol. Med. Surg. 2009, 19, 106–114. [Google Scholar] [CrossRef]
- Weyrich, A.; Hecht, W.; Köhler, K.; Herden, C.; Henrich, M. Comparative analysis of primer sets for the assessment of clonality in feline lymphomas. Front. Vet. Sci. 2024, 11, 1356330. [Google Scholar] [CrossRef]
- Siripoonsub, J.; Techangamsuwan, S.; Sirivisoot, S.; Radtanakatikanon, A.; Rungsipipat, A. Investigating comparative polymerase chain reaction for antigen receptor rearrangement analysis in different types of feline lymphoma samples. Front. Vet. Sci. 2024, 11, 1439068. [Google Scholar] [CrossRef]
- Fournel-Fleury, C.; Ponce, F.; Felman, P.; Blavier, A.; Bonnefont, C.; Chabanne, L.; Marchal, T.; Cadore, J.L.; Goy-Thollot, I.; Ledieu, D.; et al. Canine T-cell lymphomas: A morphological, immunological, and clinical study of 46 new cases. Vet. Pathol. 2002, 39, 92–109. [Google Scholar] [CrossRef]
- Carpenter, J.W.; Harms, C.A. Reptiles. Exotic Animal Formulary, 6th ed.; Elsevier Health Sciences: St. Louis, MO, USA, 2023; p. 111. [Google Scholar]
- Keeney, C.M.H.; Nelson, N.C.; Harrison, T.M. Use of computed tomography to determine a species-specific formula for body surface area in bearded dragons (Pogona vitticeps). Am. J. Vet. Res. 2021, 82, 629–633. [Google Scholar] [CrossRef] [PubMed]
- Stacy, N.I.; Alleman, A.R.; Sayler, K.A. Diagnostic hematology of reptiles. Clin. Lab. Med. 2011, 31, 87–108. [Google Scholar] [CrossRef] [PubMed]
- Howard, J.G.; Jaensch, S. Haematology and plasma biochemistry reference intervals in wild bearded dragons (Pogona vitticeps). Aust. Vet. J. 2021, 99, 236–241. [Google Scholar] [CrossRef] [PubMed]
- Christman, J.; Devau, M.; Wilson-Robles, H.; Hoppes, S.; Rech, R.; Russell, K.E.; Heatley, J.J. Oncology of reptiles: Diseases, diagnosis, and treatment. Vet. Clin. N. Am. Exot. Anim. Pract. 2017, 20, 87–110. [Google Scholar] [CrossRef]
- Machotka, S.V. Lymphocytic neoplasms in reptiles and fish. In Comparative Aspects of Tumor Development; Kaiser, H.E., Ed.; Cancer Growth and Progression; Springer: Dordrecht, The Netherlands, 1989; Volume 5, pp. 67–84. [Google Scholar] [CrossRef]
- Folland, D.W.; Johnston, M.S.; Thamm, D.H.; Reavill, D. Diagnosis and management of lymphoma in a green iguana (Iguana iguana). J. Am. Vet. Med. Assoc. 2011, 239, 985–991. [Google Scholar] [CrossRef]
- Rooney, T.; Ford, A.K.; Plattner, B.L.; Highland, M.A.; Eshar, D. Pax5 and CD3 immunophenotyping of lymphoma in two central bearded dragons. J. Vet. Diagn. Investig. 2022, 34, 258–262. [Google Scholar] [CrossRef]
- Gyimesi, Z.S.; Garner, M.M.; Burns, R.B.; Nichols, D.K.; Brannian, R.E.; Raymond, J.T.; Poonacha, K.B.; Kennedy, M.; Wojcieszyn, J.W.; Nordhausen, R. High incidence of lymphoid neoplasia in a colony of Egyptian spiny-tailed lizards (Uromastyx aegyptius). J. Zoo Wildl. Med. 2005, 36, 103–110. [Google Scholar] [CrossRef]
- Cannon, M.J. Husbandry and veterinary aspects of the bearded dragon (Pogona spp.) in Australia. Semin. Avian Exot. Pet Med. 2003, 12, 205–214. [Google Scholar] [CrossRef]
- Kent, M.S. The use of chemotherapy in exotic animals. Vet. Clin. N. Am. Exot. Anim. Pract. 2004, 7, 807–820. [Google Scholar] [CrossRef]
- Hahn, K.A. Chemotherapy dose calculation and administration in exotic animal species. Semin. Avian Exot. Pet Med. 2005, 14, 193–198. [Google Scholar] [CrossRef]
- Willig, F.; Torpy, F.J.; Harrison, S.H.; Duke, E.G.; Troan, B.; Boddy, A.M.; Abegglen, L.M.; Harrison, T.M. Evaluation of neoplasia, treatments, and survival in lizard species. Animals 2024, 14, 1395. [Google Scholar] [CrossRef] [PubMed]
- Zehnder, A.; Graham, J.; Antonissen, G. Update on cancer treatment in exotics. Vet. Clin. N. Am. Exot. Anim. Pract. 2018, 21, 465–509. [Google Scholar] [CrossRef] [PubMed]
- Dehghanpir, S.D.; Boudreaux, B.; Withers, S.S.; Izquierdo, A.; Sasaki, E.; Del Piero, F.; Braden, M.; Mitchell, M.A. Chemotherapy-Responsive Acute Myeloid Leukemia in a Veiled Chameleon (Chamaeleo calyptratus). J. Herpetol. Med. Surg. 2021, 31, 257–263. [Google Scholar] [CrossRef]
- Duke, E.G.; Harrison, S.H.; Moresco, A.; Trout, T.; Troan, B.V.; Garner, M.M.; Smith, M.; Smith, S.; Harrison, T.M. A multi-institutional collaboration to understand neoplasia, treatment and survival of snakes. Animals 2022, 12, 258. [Google Scholar] [CrossRef]





| Data | RBC (×106/µL) | HCT (%) | HGB (g/dL) | MCV (fL) | MCH (pg) | MCHC (g/dL) |
|---|---|---|---|---|---|---|
| 26 January 2024 | 0.90 | 38 | 9.9 | 422.2 | 110.0 | 26.1 |
| 10 February 2024 | 0.95 | 28 | 9.63 | 294.7 | 101.4 | 34.4 |
| Reference Interval [25] | 0.4–1.6 | 17–45 | 4.7–14 | 77–506 | 16–163 | 19–46 |
Disclaimer/Publisher’s Note: The statements, opinions and data contained in all publications are solely those of the individual author(s) and contributor(s) and not of MDPI and/or the editor(s). MDPI and/or the editor(s) disclaim responsibility for any injury to people or property resulting from any ideas, methods, instructions or products referred to in the content. |
© 2025 by the authors. Licensee MDPI, Basel, Switzerland. This article is an open access article distributed under the terms and conditions of the Creative Commons Attribution (CC BY) license (https://creativecommons.org/licenses/by/4.0/).
Share and Cite
Miljković, J.; Jonker, A.; Đuričić, D.; Horvatek Tomić, D.; Belić, M.; Faraguna, S.; Pavić Vulinović, M.; Shek Vugrovečki, A.; Lukač, M.; Šoštarić-Zuckermann, I.-C.; et al. Systemic CD3+ T-Cell Lymphoblastic Leukemia in a Bearded Dragon (Pogona vitticeps): Clinical, Therapeutic, and Pathological Findings. Animals 2025, 15, 2736. https://doi.org/10.3390/ani15182736
Miljković J, Jonker A, Đuričić D, Horvatek Tomić D, Belić M, Faraguna S, Pavić Vulinović M, Shek Vugrovečki A, Lukač M, Šoštarić-Zuckermann I-C, et al. Systemic CD3+ T-Cell Lymphoblastic Leukemia in a Bearded Dragon (Pogona vitticeps): Clinical, Therapeutic, and Pathological Findings. Animals. 2025; 15(18):2736. https://doi.org/10.3390/ani15182736
Chicago/Turabian StyleMiljković, Josip, Anouk Jonker, Dražen Đuričić, Danijela Horvatek Tomić, Maja Belić, Siniša Faraguna, Mirela Pavić Vulinović, Ana Shek Vugrovečki, Maja Lukač, Ivan-Conrado Šoštarić-Zuckermann, and et al. 2025. "Systemic CD3+ T-Cell Lymphoblastic Leukemia in a Bearded Dragon (Pogona vitticeps): Clinical, Therapeutic, and Pathological Findings" Animals 15, no. 18: 2736. https://doi.org/10.3390/ani15182736
APA StyleMiljković, J., Jonker, A., Đuričić, D., Horvatek Tomić, D., Belić, M., Faraguna, S., Pavić Vulinović, M., Shek Vugrovečki, A., Lukač, M., Šoštarić-Zuckermann, I.-C., & Šmit, I. (2025). Systemic CD3+ T-Cell Lymphoblastic Leukemia in a Bearded Dragon (Pogona vitticeps): Clinical, Therapeutic, and Pathological Findings. Animals, 15(18), 2736. https://doi.org/10.3390/ani15182736

