Next Article in Journal
Feeding Management and Albendazole Pharmacokinetics in Pigs
Next Article in Special Issue
Hair Follicle Development and Cashmere Traits in Albas Goat Kids
Previous Article in Journal
Non-Lethal Dose-Response Models Replace Lethal Bioassays for Predicting the Hazard of Para-Aminopropiophenone to Australian Wildlife
 
 
Font Type:
Arial Georgia Verdana
Font Size:
Aa Aa Aa
Line Spacing:
Column Width:
Background:
Article

Supplementary Feeding of Grazing Inner Mongolian Cashmere Goats during Pregnancy—Based on “Nutrient Requirements of Cashmere Goats”

State Key Laboratory of Animal Nutrition, College of Animal Science and Technology, China Agricultural University, Beijing 100193, China
*
Author to whom correspondence should be addressed.
Animals 2023, 13(3), 473; https://doi.org/10.3390/ani13030473
Submission received: 15 December 2022 / Revised: 23 January 2023 / Accepted: 26 January 2023 / Published: 29 January 2023

Abstract

Simple Summary

In the fall and winter, nutrient supplies of forage cannot meet the needs of pregnant cashmere goats, and there lacks clear precise supplemental feeding for them under grazing. This study first applied “Nutrient Requirements of Cashmere Goats” to supplementary feeding for pregnant Inner Mongolian cashmere goats under grazing. Supplementation increased pregnant goat cashmere length, cashmere yield, body weight after shearing, single born kid weight, twin-birth kid weight and kids’ mature secondary hair follicle density. The results demonstrated that the supplementary feeding based on the standard could enhance pregnant goats’ production performance.

Abstract

This study aimed to conduct precise supplementation for pregnant cashmere goats under grazing based on the feeding standard. Eight Inner Mongolian pregnant cashmere goats of near-average body weight were selected at early gestation (44.41 ± 4.03 kg) and late gestation (46.54 ± 4.02 kg) to measure their nutrient intake. Then, two pregnant cashmere goat flocks, No. 10 (control group, on-farm supplement) and No. 11 (supplemented group, supplement based on standard), with the same goat herd structure and grassland type, were chosen to conduct the supplemental feeding experiment. The results showed that pregnant cashmere goats lacked daily the intake of dry matter, digestive energy, crude protein and most essential mineral elements under grazing. After supplemental feeding, the supplementation based on the feeding standard increased the cashmere length and cashmere length growth volume and decreased the cashmere fineness, with no statistical significance. The goat cashmere yield, goat weight after shearing, single and twin-birth kid weight and kids’ mature secondary hair follicle density were significantly higher in the supplemented group (p < 0.05). In conclusion, supplementation in accordance with “Nutrient Requirements of Cashmere Goats” can enhance pregnant cashmere goats’ fiber production, growth performance, fertility and kids’ secondary hair follicles development, which is of great importance for the healthy and precise nutrition and management of cashmere goats.

1. Introduction

Cashmere goats are mainly distributed in Central Asia and Mongolia, especially in Western China [1]. Inner Mongolia cashmere goats are known worldwide for their high-quality cashmere fiber; moreover, they are also raised locally for meat and milk products [2]. In traditional management, Inner Mongolia cashmere goats usually graze on a full grazing system with only forage as feed. It has been reported that the crude protein (CP) content of nature grasses decreases from 9.57%–21.26% to 2.58%–10.03% and neutral washing fiber (NDF) and acid detergent fiber (ADF) contents increase gradually from summer to the winter in the YiWei White Cashmere Goat Farm located in the Inner Mongolia Autonomous Region [3]. Moreover, the mineral element level in the soil–grazing–livestock ecosystem of the Stipa breviflora steppe located in the Inner Mongolia Siziwangqi Region is high in Fe, Mn and Ca, low in P, Na, K and Se, and seasonally deficient in Cu, Zn and S [4,5]. The nutritional value of natural grasslands varies seasonally, and the pasture nutritional value may not meet the needs of pregnant ruminants in the dry and autumn winter season [6,7,8]. It has been shown that the energy or protein deficiency of pregnant sheep or goats can inhibit the development of fetal renal vasculature and renal units, resulting in an imbalance in superoxide dismutase, hydrogen peroxide inactivation systems in the thymus, injury of the jejunum, antioxidant capacity, and immune responses of newborn lambs or kids [9,10,11]. A study has shown that in an extensive farming system, electrolyte levels of female goats display different concentrations in the bloodstream according to physiological stage and kid numbers, and it is necessary to consider these differences in actual feed and management [12]. The mineral element deficiency decreases production performance, resulting in associated illnesses, even death, especially Cu, Zn and S, which are particularly important for wool-bearing animals; their deficiency can affect fur color and traits; wool yield, elasticity and strength; and animal reproductive performance, etc. [13,14].
Not only the Inner Mongolia region, but also many other parts of the world are faced with low pasture nutritional value and limits for grazing animal growth. In the natural grassland of Dangxiong, Tibet, the nutritional value of forage grasses during the spring re-greening and summer vigorous periods is significantly higher than that during the autumn and winter dry periods, and the intake of Ca and P by grazing pregnant ewes is insufficient in alpine meadows during the winter dry period and in river meadows during the summer peak period [15]. In Ethiopia and the semi-arid regions of northeastern Brazil, the quantity and quality of natural pasture resources limit the production of grazing goats, and supplemental feeding is often used as an effective measure to improve the growth performance and production performance of goats [16,17]. Hence, supplemental feeding is necessary for grazing pregnant goats in the dry and autumn winter season [18].
However, before the promulgation of “Nutrient Requirements of Cashmere Goats”, supplemental feeding in actual production was mainly based on NRC (1981), AFRC (1998) and experience, which were not suitable for the actual production of cashmere goats [19]. It has been reported that 300 g/day of corn is the only feedstuff used as supplementary feeding for castrated goat kids and female kids in the YiWei White Cashmere Goat Farm located in the main producing area of Inner Mongolia cashmere goats [3]. Similarly, McGregor et al. provided 300 g/day grain supplements for cashmere goats, which significantly increased the total cashmere diameter (2.12 µm) and made cashmere lose its economic value [20]. It remains unclear how to supplement feeding pregnant cashmere goats scientifically and precisely under pasture with a poor nutrient content. “Nutrient Requirements of Cashmere Goats (NY/T4048–2021)”, China’s and the world’s first cashmere goat feeding standards, was published in 2021 [21], which provides a nutrition reference for the accurate supplementary feeding of pregnant cashmere goats. Hence, in this study, “Nutrient Requirements of Cashmere Goats” was used as a guide to provide supplement diets for goats during early and late gestation. Comparing relevant indicators with on-farm supplementation, the aim of this study was to investigate the effectiveness of supplementary feeding based on the feeding standard for Inner Mongolian Cashmere Goats during pregnancy and provide a theoretical and data basis for the precise feeding of cashmere goats in other physiological stages. This will give full play to the advantages of germplasm resources of cashmere goats and guide and promote the high-quality and sustainable development of the cashmere goat industry.

2. Materials and Methods

2.1. Animals and Experimental Procedure

The experiment was conducted at a commercial farm (YiWei White Cashmere Goat Farm) located in the Inner Mongolia Autonomous Region (39°11′ N, 107°16′ E), which is the largest national alba cashmere goat breeding farm and national alba cashmere goat standardized breeding demonstration zone. In the experiment area during fall and winter, Stipa breviflora Griseb, Peganum harmala L and Oxytropis aciphylla Ledeb were the dominant plant species in natural pastures.
First, eight Inner Mongolian alba cashmere goats close to an average body weight were selected at early gestation (44.41 ± 4.03 kg, gestation 60 days) and late gestation (46.54 ± 4.02 kg, gestation 90 days). Moreover, the saturated alkanes were used as indicators to determine the forage nutrition intake [22,23]. Every experiment period was ten days. All goats were given one C32 n-alkane capsule (48.5 mg, TARU, early gestation; 37.5 mg, CAU, late gestation) every morning before grazing. Moreover, 0.3 kg DM corn per goat was supplied after grazing at early gestation, with no supplementary feed at late gestation.
Then, two goat flocks, No. 10 (control group, on-farm supplementary feeding management) and No. 11 (supplemented group, supplementation based on standard, on-farm management), with the same goat herd structure and grassland type, were chosen to conduct the supplemental feeding experiment at early and late gestation. The composition and nutritional levels of the supplementation for the two groups are shown in Table 1 and Table 2. Goats in the two experiments above were herded from 8:00 to 18:00.

2.2. Sample Collection and Chemical Analyses

In the forage dry matter intake (DMI) determination experiment, every kind of forage sample was collected from day 1 to day 5. Fecal samples were collected before and after grazing from day 6 to day 10 [24]. In addition, the supplemental corn sample was collected in early gestation. The concentrations of alkanes [25], GE (gross energy), CP, Ca, P, NDF and ADF in feces samples, forage samples and supplemental corn samples were determined [26], the content of other mineral elements (K, Mg, Co, Cu, Fe, Mn, Se, Zn and S) in each kind of eaten forage was determined [27,28].
In the supplemental feeding experiment, fifteen pregnant goats close to an average weight in two groups were selected randomly and respectively, and cashmere was collected before and after the supplemental feeding experiment, and cashmere length and cashmere fineness were determined [2]. After kids were born, production data of the two groups were gathered, their birthweights were measured and the kidding rate, single birth rate and twinning rate were calculated [29]. In April, the cashmere fibers were combed out from skin, and the cashmere yields and body weights of goats were determined after shearing. In the newborn kid, 15-days-old, the skin was sampled and stained, and hair follicles numbers were determined [2].

2.3. Calculation

After the forage DMI determination experiment, the forage intake proportion for pregnant goats can be calculated based on feces and forage C27–C31 odd-chain alkane concentrations [22], and the recoveries of C27–C31 chain alkanes were C27: 0.47, C29: 0.71 and C31: 0.69, respectively [30]. Forage DMI for goats at early and late gestation was calculated with Equations (1) and (2), respectively [23]:
DMI (kg DM) = [Fi/Fj (Dj + Ic × Cj) − Ic × Ci]/(Hi − Fi/Fj × Hj),
DMI (kg DM) = (Fi/Fj × Dj)/(Hi − Fi/Fj × Hj),
and the digestive energy (DE) intake of forage for goats at early and late gestation was calculated using Equations (3) and (4), respectively:
DEForage (MJ DM) = GEForage + GECorn − FE − DECorn,
DEForage (MJ DM) = GEForage − FE,
During forage DMI determination experiment, goats were supplemented with corn after grazing in early gestation and supplemented with nothing in late gestation; Equations (3) and (4) were derived from DE = GE − FE [31]. Between Equations (3) and (4), for GEForage, the GE level of forage eate, was the sum of the products of each forage eaten ratio, forage DMI (kg) and corresponding GE (MJ/kg); for DECorn, the DE level of supplemental corn was the estimated as DE = 18.653 − 8.751ADF − 6.667NDF − 4.255CP [32]; FE was the products of feces output (kg) and fecal GE (MJ/kg), and the feces output was indirectly estimated from DMI and dry matter digestibility (DMD); DMD was estimated based on C31 as an endogenous indicator [24].
Nutrient deficit and surplus are the gap between each nutrient intake of goats and the corresponding feeding standard. Moreover, forage nutrient intake is the sum of the product of each forage intake proportion and the corresponding forage nutrient (CP, Ca, P, K, Mg, Co, Cu, Fe, Mn, Se, Zn and S) content and forage DMI.

2.4. Statistical Analysis

The data of this experiment were analyzed via T-test analysis using SPSS 25.0 (IBM, New York, NY, USA), and the significance level was p < 0.05.

3. Results

3.1. Nutritional Surplus and Deficit of Inner Mongolian Goats during Pregnancy under Grazing Conditions

Based on the concentration of alkanes in the feces and forage in early and late gestation (Supplementary Table S1), we first calculated the forage intake proportion. The cashmere goats mainly ate Stipa breviflora Griseb in early gestation under grazing (Figure 1), while late-gestation grazing cashmere goats mainly ate Stipa breviflora Griseb with small amounts of Oxytropis aciphylla Ledeb, and eating ratios were 76.93% and 23.07%, respectively (Figure 2). The nutritional surplus and deficit of goats in early and late gestation were calculated based on the forage intake ratio, forage nutrient content (Supplementary Tables S2 and S3) and forage DMI. Compared with the “Nutrient Requirements of Cashmere Goats”, only the daily intake of Ca, Fe, Mn and Co in early gestation met the goats’ requirements; the goats lacked the daily intake of DMI, DE, CP, P, Cu, Zn, K, Mg, Se and S (Table 3). The calcium-to-phosphorus intake ratio was 7.82:1. Only the daily intake of Fe, Mn and Co in late gestation met the goats’ requirements; the goats lacked the daily intake of DMI, DE, CP, Ca, P, Cu, Zn, K, Mg, Se and S (Table 3). The proportion of calcium and phosphorus intake was 7.29:1.

3.2. Supplementation Based on the Standard can Enhance Pregant Cashmere Goat Production Performance

Supplemental feeding for 3 months according to the “Nutrient Requirements of Cashmere Goats” increased pregnant goats’ cashmere length and cashmere length growth volume by 8.50% and 25.89% (p > 0.05) and decreased cashmere fineness by 4.12% (p > 0.05). In addition, supplementation according to the standard significantly increased cashmere yields in pregnant goats by 7.89% (p < 0.01) (Table 4).

3.3. Supplementation Based on the Standard can Enhance Pregant Cashmere Goat Growth Performance

Supplemental feeding for 3 months according to the “Nutrient Requirements of Cashmere Goats” could significantly increase the body weights of cashmere goats after shearing (p < 0.01), with an increase of 5.71% compared to that in the control group (Table 5).

3.4. Supplementation Based on the Standard can Enhance Pregant Cashmere Goat Fertility

After supplemental feeding according to the “Nutrient Requirements of Cashmere Goats”, the kidding rates of the supplemented and control groups were 112.10% and 114.29%, single birth rates were 88.31% and 85.71% and twinning rates were 11.29% and 14.29%, respectively (Table 6)The supplementation based on the standard significantly increased the kid birth weight, single-born kid weight (p < 0.01) and twin-birth kid weight (p > 0.05) by 3.99%, 4.29% and 0.38% (Table 7), respectively.

3.5. Supplementation Based on the Standard can Enhance Hair Follicle Development in Kids

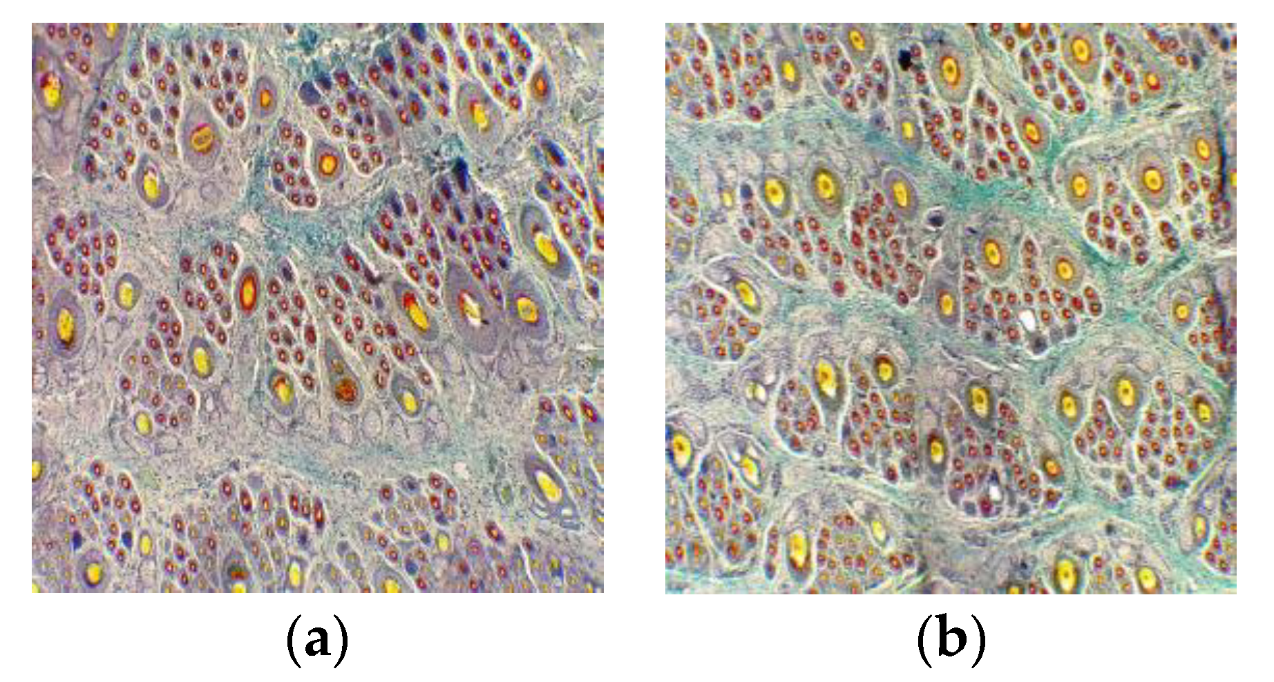
After the supplemental feeding for 3 months according to the “Nutrient Requirements of Cashmere Goats”, we sampled and stained the skin of newborn kids, and the transverse section showed that more mature secondary hair follicles (SF) were found in the supplemented group than in the control group (Figure 3). The longitudinal section showed that the SFs in the supplemented group were closer to the roots of the primary hair follicles (PF), indicating that the SFs in the supplemented group were in a better state of development than those in the control group (Figure 4).
We compared PF densities, SF densities and S:P values in kids 15-days-old at birth and found no significant differences in PF, SF and S:P values, but the supplementation based on the standard significantly increased the mature SF density (p < 0.05) by 12.21% (Table 8).

4. Discussion

This study indicated that, compared with that in the “Nutrient Requirements of Cashmere Goats”, the daily intake of DMI, DE, CP, P, Cu, Zn, K, Mg, Se and S of goats in early gestation under grazing conditions was not enough, and the goats in late gestation lacked Ca on this basis. The forage DMI at early gestation, 0.85 kg, in this study was similar to 0.83 kg for Inner Mongolia cashmere goats during the fattening period determined by Wenqi; both studies were carried out using the saturated alkane method [3]. In late gestation, the decrease in forage DMI may be caused by the decrease in forage palatability and increase in the NDF content of the pasture [33]. Similarly, Xinjiang fine-wool sheep has been reported in which intakes of ME and CP were 5.15 MJ/day·ewe and 85.8 g/day·ewe lower than the nutrient requirements of sheep under winter grazing conditions, respectively [34]. As mentioned above, the mineral element level in the soil–grazing–livestock ecosystem of the Stipa breviflora steppe located in the Inner Mongolia Siziwangqi Region was high in Fe, Mn and Ca, low in P, Na, K and Se, and seasonally deficient in Cu, Zn and S. Moreover, the result of the mineral element surplus and deficit in this study was similar with that in [4,5], and the results in our study are similar, except that cashmere goats were deficient in Ca intake in late pregnancy. On the one hand, the experimental animals in the two studies were different, and on the other hand, the Ca requirement of cashmere goats became greater into late gestation, and the Ca content in the pasture decreased. In addition, the goats’ intake ratio of Ca and P in this study approached to 7:1, which reduced P absorption, further reducing the absorption of P and Ca [35]. The above results also show that it is necessary to supplement the cashmere goats in this study.
Cashmere or wool yield can be enhanced by supplementing with energy and protein [36,37,38]. Mineral elements are related to the cashmere yield, Zn showed a significant positive correlation with the cashmere percentage [39] and supplementation with 25 mg/kg DM Cu from copper sulfate or copper methionine can enhance cashmere production [40]. Cashmere length and cashmere fineness are relevant to energy, CP and mineral elements, while too much energy makes the cashmere get thicker and lose economic value [41]. Protein has no effect on cashmere fineness when protein levels meet the maintenance needs of goats [42]. Usually, cashmere fibers reached their finest at medium protein and low energy levels [43]. It was reported that supplementation with 20 mg/kg DM (total dietary Cu level of 25.6 mg/kg DM) can promote cashmere growth [44]. However, in this study, the cashmere length increased and the lower cashmere fineness were not statistically significant. A similar result has been reported; under grazing conditions, pregnant Inner Mongolia cashmere goats were supplemented with 9.73 MJ/kg DE + 9.9% CP in the early stage (1st December–1st February) and with 9.46 MJ/kg DE + 9.52% CP in the later period (1st February–31st March), which significantly increased the cashmere yield of goats, but had no statistical effect on cashmere length and cashmere fineness [45]. This is perhaps because the supplementary feeding experiment was performed in a non-increasing period and the secondary hair follicles of Inner Mongolian cashmere goats were in a state of relative ‘rest’ (telogen) during this period (December to March), when the hair shaft gradually stopped growing and shed [46]. These results indicate that cashmere production performance can be enhanced by the supplementary feeding of pregnant cashmere goats according to the feeding standard, and compared with on-farm supplementary, a supplementary feeding scheme is reasonable.
In Liaoning cashmere goats, studies showed that growth traits are closely related to the cashmere yield, and body weight had the greatest direct effect on the cashmere yield [47]. Similarly, Rayeni cashmere goat total fleece weight increased by 45 g and post-weight after shearing was enhanced by 1.5 g after supplementation with a 10.12 MJ/kg diet during pregnancy and lactation periods [48]. It was reported that there is a significant effect of ewe weight on lamb weight [49], and the single and twin-birth kid weight was also increased due to supplementation in this study. Similarly, Ewes’ liveweight gain significantly increased by 134 g/day and lamb birth weights were significantly enhanced by 1 kg, with a supplement of 150 g cottonseed meal + 50 g molasses daily for medium-wooled Peppin Merino ewes during late gestation (last 4 weeks) [50]. Palm kernel cake (PKC) provides a protein source in a supplement (comprising 35% crushed maize, 30% rice bran, 32% PKC, 2% vitamin mineral premix and 1% salt), and supplementation at 0.5% of the live weight significantly enhanced the weight by 0.93 kg after 82 days of the feeding trial for Boer × local female goats (12.4 ± 2.6 kg, 7–9 months) [51]. In addition, supplementation of ewes with Zn, Se and Co in late gestation improved the mineral status of ewes and their kids before weaning and increased lamb weights [52,53]. These results suggested that supplementation based on the standard can enhance pregnant goats’ growth performance and fertility. Studies showed that there is a positive relationship between the lamb birth weight and lamb growth rate [54], and we speculate that supplementation may have a sustained impact on the growth performance of offspring kids, which requires continuous follow-up to verify.
Supplementation based on the standard for pregnant cashmere goats enhanced the mature SF density of kids in this study. Similarly, kids’ SF density can be increased significantly at 12.30 and 28.09 n/mm2 with supplements of 5 g urea + 7.5 g Na2SO4 and 250 g corn in cashmere goats during mid and late gestation, respectively [55]. It was reported that supplementation with Nano-Selenium (declared Se content 0.5 mg/kg DM daily) for cashmere goats during pregnancy can to promote the development and growth of fetal hair follicles [56]. In Angora goats, supplements provided to goats in the middle gestation and lactation stage had a positive effect on the SF density and SF number in kids at all ages after birth, increasing the S:P at 4, 6 and 15 months of age [57]. We speculate that supplementation may improve the hair follicle development of offspring lambs for a long time in this study, which requires continuous follow-up to verify.

5. Conclusions

In conclusion, offering a supplemental diet according to the standard could improve the cashmere production performance, growth and fertility of pregnant cashmere goats and improve secondary hair follicle development in their kids. Thus, we concluded that the supplementary feeding based on the standard could enhance pregnant cashmere goats’ production performance, and the supplementary feeding effect is good. In the future, we can continue to track the growth performance and cashmere performance of the kids in the supplemented group and further explore the sustainable impact of maternal supplementary feeding on the offspring lambs. In addition, we will evaluate the nutrient intake of cashmere goats in other physiological stages under grazing conditions and provide precise supplementary feeding based on the standard.

Supplementary Materials

The following supporting information can be downloaded at: https://www.mdpi.com/article/10.3390/ani13030473/s1, Table S1: Concentrations of alkanes of forage, feces and corn during gestation (mg/kg DM); Table S2: Forage nutrient levels during gestation (dry matter basis); Table S3: Contents of mineral elements of eating grass during pregnancy (mg/kg DM).

Author Contributions

X.-H.W. conceived and designed the study, acquired, analyzed and interpreted the data and drafted the manuscript. Q.L. assisted in the propulsion experiment and collected a part of the samples and data. Z.-B.Z. revised the manuscript. X.-G.D. collected a part of samples, interpreted the data and performed the statistical analysis. L.-W.H. contributed to the draft of the manuscript. W.Z. conceived and designed the study, procured funding and supervised the study. All authors have read and agreed to the published version of the manuscript.

Funding

This research was funded by grants from the China Agriculture Research System (CARS-39) and Inner Mongolia science and technology major projects (2021ZD0019).

Institutional Review Board Statement

The study was conducted in accordance with guidelines of the Animal Care and Use Committee of China Agricultural University (Beijing, China).

Informed Consent Statement

Not applicable.

Data Availability Statement

Publicly available datasets were analyzed in this study, and these have been referenced in the manuscript.

Acknowledgments

We are sincerely grateful to the Inner Mongolia Yiwei White Cashmere Goat Breeding Farm (Second Branch) for the experimental condition support.

Conflicts of Interest

The authors declare no conflict of interest.

References

  1. Duan, C. The Research on Patterns and Mechanisms of Cashmere Growth Induced by Melatonin. Ph.D. Thesis, China Agricultural University, Beijing, China, 2016. [Google Scholar]
  2. Yang, C.; Xu, J.; Ren, Q.; Duan, T.; Mo, F.; Zhang, W. Melatonin promotes secondary hair follicle development of early postnatal cashmere goat and improves cashmere quantity and quality by enhancing antioxidant capacity and suppressing apoptosis. J. Pineal Res. 2019, 67, e12569. [Google Scholar] [CrossRef] [PubMed]
  3. Qi, W. Study on Comparison of Fattening Performance and Slaughter Performance and Meat Quality between Cashmere Castrated Lambs and Ewe Lambs under the Condition of Grazing Supplementary Feeding. Master’s Thesis, Inner Mongolia Agricultural University, Inner Mongolia, China, 2018. [Google Scholar]
  4. Yakui, L.; Honglian, H.; Dexun, L. Seasonal Changes and Sufficiency or Lack Analysis of Major Elements in Grazing System in Stipa Breviflora Desert Steppe. Chin. J. Grassl. 2011, 33, 77–83. [Google Scholar]
  5. Mei, Y.; Changqing, L.; Li, W.; Tianlong, G.; Chao, W.; Hai, J.; Haiying, Z.; Feng, T. Seasonal Changes and Surplus or Defi-ciency Analysis of Trace Elements in an Ecosystem of Soil-forage-grazing sheep in Grassland of Siziwang Banner, Inner Mongolia. Anim. Husbandary Feed. Sci. 2021, 42, 74–82. [Google Scholar]
  6. Spears, J.W.; Harvey, R.W.; Segerson, E.C. Effects of Marginal Selenium Deficiency and Winter Protein Supplementation on Growth, Reproduction and Selenium Status of Beef Cattle. J. Anim. Sci. 1986, 63, 586–594. [Google Scholar] [CrossRef]
  7. Rauw, W.M.; Thain, D.S.; Teglas, M.B.; Wuliji, T.; Sandstrom, M.A.; Gomez-Raya, L. Adaptability of pregnant Merino ewes to the cold desert climate in Nevada. J. Anim. Sci. 2010, 88, 860–870. [Google Scholar] [CrossRef]
  8. Patterson, H.H.; Adams, D.C.; Klopfenstein, T.J.; Clark, R.T.; Teichert, B. Supplementation to meet metabolizable protein requirements of primiparous beef heifers: II. Pregnancy and economics. J. Anim. Sci. 2003, 81, 563–570. [Google Scholar] [CrossRef]
  9. Lloyd, L.J.; Foster, T.; Rhodes, P.; Rhind, S.M.; Gardner, D.S. Protein-energy malnutrition during early gestation in sheep blunts fetal renal vascular and nephron development and compromises adult renal function. J. Physiol. 2012, 590, 377–393. [Google Scholar] [CrossRef]
  10. He, Z.; Sun, Z.; Beauchemin, K.; Yang, W.; Tang, S.; Zhou, C.; Han, X.; Wang, M.; Kang, J.; Tan, Z. Effect of protein or energy restriction during late gestation on hormonal and metabolic status in pregnant goats and postnatal male offspring. Animals 2015, 9, 1843–1851. [Google Scholar] [CrossRef]
  11. He, Z.X.; Sun, Z.H.; Tan, Z.L.; Tang, S.X.; Zhou, C.S.; Han, X.F.; Wang, M.; Wu, D.Q.; Kang, J.H.; Beauchemin, K.A. Effects of maternal protein or energy restriction during late gestation on antioxidant status of plasma and immune tissues in postnatal goats. J. Anim. Sci. 2012, 90, 4319–4326. [Google Scholar] [CrossRef]
  12. Cappai, M.G.; Liesegang, A.; Dimauro, C.; Mossa, F.; Pinna, W. Circulating electrolytes in the bloodstream of transition Sarda goats make the difference in body fluid distribution between single vs. twin gestation. Res. Veter. Sci. 2019, 123, 84–90. [Google Scholar] [CrossRef]
  13. Qi, K.; Owens, F.; Lu, C. Effects of sulfur deficiency on performance of fiber-producing sheep and goats: A review. Small Rumin. Res. 1994, 14, 115–126. [Google Scholar] [CrossRef]
  14. Song, C.; Shen, X. Effects of Environmental Zinc Deficiency on Antioxidant System Function in Wumeng Semi-fine Wool Sheep. Biol. Trace Elem. Res. 2020, 195, 110–116. [Google Scholar] [CrossRef] [PubMed]
  15. Basangjiba; Deqingzhuoga; Gesangjiacuo; Pingcuobandan; Zhaxi; Puburenci; Cirenquzhen; Zhang, L.; Ciwangrenzeng; Luosangcuicheng. Study on Feed Intake and Nutritional Surplus and Deficiency Status of Tibetan Ewes under Grazing Conditions. J. Domest. Anim. Ecol. 2020, 41, 53–57. [Google Scholar]
  16. Fonteles, N.L.; Alves, S.P.; Madruga, M.S.; Queiroga, R.R.; Andrade, A.P.; Silva, D.S.; Leal, A.P.; Bessa, R.J.; Medeiros, A.N. Fatty acid composition of polar and neutral meat lipids of goats browsing in native pasture of Brazilian Semiarid. Meat Sci. 2018, 139, 149–156. [Google Scholar] [CrossRef] [PubMed]
  17. Ali, A.; Tegegne, F.; Asmare, B.; Mekuriaw, Z. On farm evaluation of sun-dried Ziziphus spina-christi leaves substitution for natural pasture hay on feed intake and body weight change of Bati goat breeds in Ethiopia. Trop. Anim. Health. Prod. 2018, 51, 457–463. [Google Scholar] [CrossRef] [PubMed]
  18. Askar, A.; Salama, R.; El-Shaer, H.; Raef, O. Effects of supplementary feeding level on digestion and energy utilization by sheep and goats grazing arid-area rangelands. Anim. Feed. Sci. Technol. 2021, 271, 114695. [Google Scholar] [CrossRef]
  19. Jun, Z. The determination of nutrition value of the grass growing in different season and the study on the effect of providing supplementary feed for cashmere goat in Naqu region of Tibet. Master’s Thesis, Sichuan Agricultural University, Ya’an, China, 2005. [Google Scholar]
  20. McGregor, B.A.; Umar, M.Z. Production and quality of cashmere grown by adult wether goats fed low quality forage with supplements of either whole barley or lupin grain. Aust. J. Exp. Agric. 2000, 40, 795–804. [Google Scholar] [CrossRef]
  21. Notice No. 504 of the Ministry of Agriculture in China and Rural Affairs. Available online: http://www.jgs.moa.gov.cn/nybz/202112/t20211228_6385819.htm (accessed on 15 December 2021).
  22. Dove, H.; Moore, A. Using a least-squares optimization procedure to estimate botanical composition based on the alkanes of plant cuticular wax. Aust. J. Agric. Res. 1995, 46, 1535–1544. [Google Scholar] [CrossRef]
  23. Mayes, R.W.; Lamb, C.S.; Colgrove, P.M. The use of dosed and herbage n-alkanes as markers for the determination of herbage intake. J. Agric. Sci. 1986, 107, 161–170. [Google Scholar] [CrossRef]
  24. Hong-Lian, H.U.; Liu, Y.Z.; Ya-Kui, L.I.; De-Xun, L.U.; Gao, M. Use of the N-alkanes to Estimate Intake, Apparent Digestibility and Diet Composition in Sheep Grazing on Stipa breviflora Desert Steppe. J. Integr. Agric. 2014, 13, 1065–1072. [Google Scholar]
  25. Jianmin, M.; Xiaopei, P.; Xishan, X. Determination of Saturated Chain Alkanes in Pasture and Manure Samples by Gas Chromatography. Heilongjiang Xumu Shouyi 2016, 4, 272–273+276+300. [Google Scholar]
  26. Raoqiong, Z.; Zhonghua, W. Technology of Feed Analysis and Quality Inspection; Chemical Industry Press: Beijing, China, 2011; pp. 42–60. [Google Scholar]
  27. Control, C.N.F.Q. Determination of Calcium, Copper, Iron, Magnesium, Manganese, Potassium, Sodium and Zinc in Feedstuffs by Atomic Absorption Spectrometry; General Administration of Quality Supervision, Inspection and Quarantine of the People’s Republic of China, Standardization Administration of the People’s Republic of China: Beijing, China, 2017; p. 20.
  28. Control, C.N.F.Q. Determination of Sulfur in Feed by Magnesium Nitrate Method; General Administration of Quality Supervision, Inspection and Quarantine of the People’s Republic of China; Standardization Administration of the People’ Republic of China: Beijing, China, 2016; p. 8.
  29. Yunlong, X. The Research of Adaptability and Hybridization Effect of Hu Sheep in Tianzhu County. Master’s Thesis, Lanzhou University, Lanzhou, China, 2017. [Google Scholar]
  30. Ferreira, L.; Celaya, R.; García, U.; Rodrigues, M.; Osoro, K. Differences between domestic herbivores species in alkane faecal recoveries and the accuracy of subsequent estimates of diet composition. Anim. Feed. Sci. Technol. 2009, 151, 128–142. [Google Scholar] [CrossRef]
  31. Sow, F.; Niang, K.; Camara, Y.; Traoré, E.H.; Moula, N.; Cabaraux, J.F.; Missohou, A.; Hornick, J.-L. Comparative Study of Intake, Apparent Digestibility and Energy and Nitrogen Uses in Sahelian and Majorera Dairy Goats Fed Hay of Vigna un-guiculata. Animals 2020, 10, 861. [Google Scholar] [CrossRef] [PubMed]
  32. Zhao, J. Study on the establishment of Prediction Models of Metabolizable Energy of Concentrate for Mutton Sheep. Master’s Thesis, Gansu Agricultural University, Lanzhou, China, 2016. [Google Scholar]
  33. Moore, J.E.; Coleman, S.W. Forage intake, digestibility, NDF, and ADF: How well are they related? In Proceedings of the American Forage and Grassland Council Conference, Springdale, AZ, USA, 22–25 April 2001. [Google Scholar]
  34. Rongzheng, H. Study on Herbage Intake and Analysis of the Nutrient Surplus and Defict of Grazing Sheep in Seasonal Change. Master’s Thesis, Shihezi University, Shihezi, China, 2016. [Google Scholar]
  35. Young, V.R.; Richards, W.P.C.; Lofgreen, G.P.; Luick, J.R. Phosphorus depletion in sheep and the ratio of calcium to phosphorus in the diet with reference to calcium and phosphorus absorption. Br. J. Nutr. 1966, 20, 783–794. [Google Scholar] [CrossRef]
  36. Nolan, J.V.; Norton, B.W.; Murray, R.M.; Ball, F.M.; Roseby, F.B.; Rohan-Jones, W.; Hill, M.K.; Leng, R.A. Body weight and wool production in grazing sheep given access to a supplement of urea and molasses: Intake of supplement/response relationships. J. Agric. Sci. 1975, 84, 39–48. [Google Scholar] [CrossRef]
  37. Coombe, J.B. Wool growth in sheep fed diets based on wheat straw and protein supplements. Aust. J. Agric. Res. 1992, 43, 285–299. [Google Scholar] [CrossRef]
  38. Ivey, D.; Owens, F.; Sahlu, T.; Teh, T.; Dawson, L.; Campbell, G.; Goetsch, A. Influences of the number of fetuses and levels of CP and ME in gestation and lactation supplements on performance of Spanish does and kids during suckling and post-weaning. Small Rumin. Res. 2000, 35, 123–132. [Google Scholar] [CrossRef]
  39. Bafti, M.S.; Salehi, M.; Moumen, S.M.S.; Ezatkhah, M. Correlations between serum mineral content and cashmere traits in Raeini goats. Anim. Prod. Sci. 2017, 57, 1665. [Google Scholar] [CrossRef]
  40. Xin, Q.; Yao, J.G.; Yang, Z.S.; Lu, X.L.; Liu, X.N.; Zhang, C.X.; Ren, Y.S.; Yue, W.B. Effects of dietary copper concentration and sources on growth performance, fiber production and quality in Kelan cashmere does. Shanxi Nongye Daxue Xuebao Ziran Kexueban 2010, 30, 249–252. [Google Scholar]
  41. Bin, O.; Jihua, T.; Xiaoping, Z.; Yongbin, Z.; Zhihai, J. Effects of Different Energy Levels of Diet on the Nutrients Digestibility and Cashmere Production of Pastured Cashmere Goats. Chin. J. Anim. Sci. 2009, 45, 21–24. [Google Scholar]
  42. Kloren, W.R.L.; Norton, B.W.; Waters, M.J. Fleece growth in Australian cashmere goats. III. The seasonal patterns of cashmere and hair growth, and association with growth hormone, prolactin and thyroxine in blood. Aust. J. Agric. Res. 1993, 44, 1035–1050. [Google Scholar] [CrossRef]
  43. Ruili, L.; Wei, Z.; Zhihai, J.; Xiaoping, Z.; Wanli, R. Effect of different nutritional levels on the productive performance of empty pregnant ewes of Liaoning cashmere goats. Zhongguo Caoshi Dongwu Kexue 2012, 32, 324–326. [Google Scholar]
  44. Zhang, W.; Wang, R.; Kleemann, D.O.; Gao, M.; Xu, J.; Jia, Z. Effects of dietary copper on growth performance, nutrient digestibility and fiber characteristics in cashmere goats during the cashmere slow-growing period. Small Rumin. Res. 2009, 85, 58–62. [Google Scholar] [CrossRef]
  45. Yongdong, W. Effect of Supplementary Feeding During Grazing and House Feeding During Rest Grazing on Production Performance and Nutrient Digestibility of Female Cashmere Goats. Master’s Thesis, Inner Mongolia Agricultural University, Inner Mongolia, China, 2013. [Google Scholar]
  46. Geyfman, M.; Plikus, M.V.; Treffeisen, E.; Andersen, B.; Paus, R. Resting no more: Re-defining telogen, the maintenance stage of the hair growth cycle. Biol. Rev. 2015, 90, 1179–1196. [Google Scholar] [CrossRef]
  47. Meng, Y.; Zhang, B.; Qin, Z.; Chen, Y.; Shan, X.; Sun, L.; Jiang, H. Stepwise Method and Factor Scoring in Multiple Regression Analysis of Cashmere Production in Liaoning Cashmere Goats. Animals 2022, 12, 1886. [Google Scholar] [CrossRef]
  48. Momen, S.M.S.; Hosseini, M.M.S.; Tahmasbi, R.; Dayani, O.; Fouzi, M.A. Effect of energy and protein levels in supplemental diets on performance of Rayeni cashmere does and goat kids under natural grazing conditions. J. Anim. Feed. Sci. 2021, 30, 303–311. [Google Scholar] [CrossRef]
  49. Gardner, D.S.; Buttery, P.J.; Daniel, Z.; Symonds, M.E. Factors affecting birth weight in sheep: Maternal environment. Reproduction 2007, 133, 297–307. [Google Scholar] [CrossRef]
  50. Stephenson, R.; Bird, A. Responses to protein plus energy supplements of pregnant ewes eating mature grass diets. Aust. J. Exp. Agric. 1992, 32, 157–162. [Google Scholar] [CrossRef]
  51. Rahman, M.M.; Bin Abdullah, R.; Embong, W.K.W.; Nakagawa, T.; Akashi, R. Effect of palm kernel cake as protein source in a concentrate diet on intake, digestibility and live weight gain of goats fed Napier grass. Trop. Anim. Health Prod. 2013, 45, 873–878. [Google Scholar] [CrossRef]
  52. Aliarabi, H.; Fadayifar, A.; Alimohamady, R.; Dezfoulian, A.H. The Effect of Maternal Supplementation of Zinc, Selenium, and Cobalt as Slow-Release Ruminal Bolus in Late Pregnancy on Some Blood Metabolites and Performance of Ewes and Their Lambs. Biol. Trace Elem. Res. 2019, 187, 403–410. [Google Scholar] [CrossRef]
  53. Zarbalizadeh-Saed, A.; Seifdavati, J.; Abdi-Benemar, H.; Salem, A.Z.M.; Barbabosa-Pliego, A.; Camacho-Diaz, L.M.; Fadayifar, A.; Seyed-Sharifi, R. Effect of Slow-Release Pellets of Selenium and Iodine on Performance and Some Blood Metabolites of Pregnant Moghani Ewes and Their Lambs. Biol. Trace Elem. Res. 2020, 195, 461–471. [Google Scholar] [CrossRef] [PubMed]
  54. Sveinbjörnsson, J.; Eythórsdóttir, E.; Örnólfsson, E.K. Factors affecting birth weight and pre-weaning growth rate of lambs from the Icelandic sheep breed. Small Rumin. Res. 2021, 201, 106420. [Google Scholar] [CrossRef]
  55. Ruojun, W.; Shouqing, W.; Runwu, Z. Effect of different supplemental feeding programs on winter and spring body condition and fetal development of pregnant cashmere goats. Dongwu Yingyang Xuebao 1992, 57–61. [Google Scholar]
  56. Wu, X.; Yao, J.; Yang, Z.; Yue, W.; Ren, Y.; Zhang, C.; Liu, X.; Wang, H.; Zhao, X.; Yuan, S.; et al. Improved fetal hair follicle development by maternal supplement of selenium at nano size (Nano-Se). Livest. Sci. 2011, 142, 270–275. [Google Scholar] [CrossRef]
  57. McGregor, B.; Howse, A. The effects of mid pregnancy and postnatal nutrition, birth parity and sex on Angora goat live weight gain, skin follicle development, mohair physical properties and fleece value. Small Rumin. Res. 2018, 169, 8–18. [Google Scholar] [CrossRef]
Figure 1. Forage intake proportion of cashmere goats in early gestation (%).
Figure 1. Forage intake proportion of cashmere goats in early gestation (%).
Animals 13 00473 g001
Figure 2. Forage intake proportion of cashmere goats in late gestation (%).
Figure 2. Forage intake proportion of cashmere goats in late gestation (%).
Animals 13 00473 g002
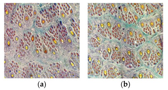
Figure 3. Representative hair follicle groups based on horizontal sections stained via the Sacpic method in control and supplemented groups (40×). (a) Representative hair follicle groups in the skin of kids in the control group at the age of 15 days; (b) representative hair follicle groups in the skin of kids in the supplemented group at the age of 15 days.
Figure 3. Representative hair follicle groups based on horizontal sections stained via the Sacpic method in control and supplemented groups (40×). (a) Representative hair follicle groups in the skin of kids in the control group at the age of 15 days; (b) representative hair follicle groups in the skin of kids in the supplemented group at the age of 15 days.
Animals 13 00473 g003
Figure 4. Representative hair follicle groups based on longitudinal sections stained via the Sacpic method in control and supplemented groups (40×). (a) Representative hair follicle groups in the skin of kids in the control group at the age of 15 days; (b) representative hair follicle groups in the skin of kids in the supplemented group at the age of 15 days.
Figure 4. Representative hair follicle groups based on longitudinal sections stained via the Sacpic method in control and supplemented groups (40×). (a) Representative hair follicle groups in the skin of kids in the control group at the age of 15 days; (b) representative hair follicle groups in the skin of kids in the supplemented group at the age of 15 days.
Animals 13 00473 g004
Table 1. Supplementary feed ingredients in early and late gestation.
Table 1. Supplementary feed ingredients in early and late gestation.
ItemEarly GestationLate Gestation
IngredientsProportion (% DM)IngredientsProportion (% DM)
Control groupCorn100.00Corn50.00
Concentrate feed50.00
Supplemented groupCorn60.76Corn41.98
Soybean meal14.87Corn stalk27.92
Corn stalk19.51Soybean meal26.59
CuSO4·5H2O0.02CaCO30.76
ZnO0.02CuSO4·5H2O0.02
K2SO41.50ZnSO40.05
Na2SeO30.003K2SO41.21
NaCl0.42KH2PO40.62
NH4H2PO40.57NH4H2PO40.42
CaSO4·2H2O0.67Na2SeO30.00002
NaCl0.36
Note: During the supplementary feeding experiment in early pregnancy (15 December 2021–15 January 2022), the goats in the control group and supplemented group were fed 0.3 kg DM corn and fed 0.549 kg DM supplementation per goat every day after grazing; during the period of supplementary feeding in late pregnancy (15 January 2022–15 March 2022), the goats in the control group were fed 0.275 kg DM supplementary feed per goat every day after grazing in mid-January, which increased by 0.025 kg DM supplementary feed every half month, until mid-March, increased to 0.375 kg, and the goats in the supplemented group were fed 0.714 kg DM supplementation per goat every day after grazing.
Table 2. Supplementary feed nutrition level in early and late gestation.
Table 2. Supplementary feed nutrition level in early and late gestation.
ItemEarly GestationLate Gestation
Chemical Composition (DM)Control GroupSupplemented GroupControl GroupSupplemented Group
DE (MJ/kg)15.2612.1614.4813.41
CP (g/kg)77.49114.13174.40164.00
Ca (g/kg)1.391.8512.823.61
P (g/kg)2.862.014.292.15
Cu (g/kg)0.860.0619.290.06
Zn (g/kg)0.020.130.080.13
Mn (mg/kg)4.882.4854.440.00
K (g/kg)3.528.448.348.68
Mg (g/kg)1.160.592.280.49
Co (mg/kg)0.090.050.570.04
Se (mg/kg)0.030.150.430.01
S (g/kg)0.013.980.012.31
Fe (mg/kg)32.8016.70452.351.46
Note: The nutritional level of the control group was calculated based on the highest daily supplementary feeding amount of 0.375 kg DM in late gestation. The nutritional contents of corn and corn straw refer to the Nutrient Requirements of Cashmere Goats, and the nutritional contents of soybean meal refer to the 31st edition of Chinese feed composition and nutritional value table.
Table 3. Nutrition surplus and deficit of cashmere goats during gestation under grazing conditions (dry matter basis).
Table 3. Nutrition surplus and deficit of cashmere goats during gestation under grazing conditions (dry matter basis).
ItemEarly GestationLate Gestation
NLNL-URNL-SRUR-SRNL-URNL-SRUR-SR
DMI (kg/d)0.851.38−0.530.671.60−0.93
DE (MJ/d)6.4513.51−7.066.2815.57−9.29
CP (g/d)52.56119.80−67.2425.99142.72−116.73
Ca (g/d)4.693.750.942.044.62−2.58
P (g/d)0.602.69−2.090.282.97−2.69
Cu (mg/d)2.8938.03−35.142.2043.82−41.62
Fe (mg/d)853.4655.39798.071007.3063.83943.47
Zn (mg/d)10.7987.24−76.457.78100.53−92.75
Mn (mg/d)49.2125.1824.0329.9625.744.22
K (mg/d)1651.636626.28−4974.651150.817354.2−6203.39
Mg (mg/d)846.26879.18−32.92827.27916.45−89.18
Co (mg/d)0.830.150.680.440.180.26
Se (mg/d)0.130.22−0.090.140.23−0.09
S (mg/d)5.722354.07−2339.351060.072712.79−1652.72
Note: NL is nutrition level, NL-UR is goats’ nutrition level under grazing, NL-SR is goats’ nutrition level that the standard recommended and UR-SR is the gap between nutrient level under grazing and the corresponding feeding standard.
Table 4. Effect of supplementary feeding on cashmere production performance.
Table 4. Effect of supplementary feeding on cashmere production performance.
ItemControl GroupSupplemented Groupp-Value
Cashmere length before supplementation (cm)7.35 ± 0.627.78 ± 0.740.42
Cashmere length after supplementation (cm)8.47 ± 0.689.19 ± 0.570.76
Cashmere length growth volume (cm)1.12 ± 0.531.41 ± 0.630.37
Cashmere fineness before supplementation (µm)15.22 ± 0.5914.75 ± 0.680.73
Cashmere fineness after supplementation (µm)15.52 ± 0.5414.88 ± 0.770.16
Cashmere yield (g)715.36 ± 132.38771.80 ± 153.46<0.01
Table 5. Effect of supplementary feeding on weight after shearing of goats (kg).
Table 5. Effect of supplementary feeding on weight after shearing of goats (kg).
ItemControl GroupSupplemented Groupp-Value
Average body weight after shearing36.09 ± 4.3238.15 ± 4.31<0.01
Table 6. Effect of supplementary feeding on kid production.
Table 6. Effect of supplementary feeding on kid production.
ItemControl GroupSupplemented Group
Number of breeding goat278278
Number of goats producing kids245248
Total number of kids280278
Number of goats with single-born kid210219
Number of goats with twin-birth kid3528
Kidding rate (%)114.29112.10
Single birth rate (%)85.7188.31
Twinning rate (%)14.2911.29
Table 7. Effect of supplementary feeding on newborn weight of kids (kg).
Table 7. Effect of supplementary feeding on newborn weight of kids (kg).
ItemControl GroupSupplemented Groupp-Value
Newborn weight of kid2.76 ± 0.272.87 ± 0.28<0.01
Single-born kid weight2.80 ± 0.242.92 ± 0.27<0.01
Twin-birth kid weight2.63 ± 0.252.64 ± 0.130.83
Table 8. Effect of supplementary feeding on hair follicle development.
Table 8. Effect of supplementary feeding on hair follicle development.
ItemControl GroupSupplemented Groupp-Value
PF density (n/mm2)8.12 ± 0.348.23 ± 0.280.82
SF density (n/mm2)56.76 ± 2.3159.91 ± 0.4670.17
Mature SF density (n/mm2)30.63 ± 1.8434.37 ± 1.890.01
S:P7.71 ± 0.358.13 ± 0.200.33
Disclaimer/Publisher’s Note: The statements, opinions and data contained in all publications are solely those of the individual author(s) and contributor(s) and not of MDPI and/or the editor(s). MDPI and/or the editor(s) disclaim responsibility for any injury to people or property resulting from any ideas, methods, instructions or products referred to in the content.

Share and Cite

MDPI and ACS Style

Wang, X.-H.; Li, Q.; Zheng, Z.-B.; Diao, X.-G.; He, L.-W.; Zhang, W. Supplementary Feeding of Grazing Inner Mongolian Cashmere Goats during Pregnancy—Based on “Nutrient Requirements of Cashmere Goats”. Animals 2023, 13, 473. https://doi.org/10.3390/ani13030473

AMA Style

Wang X-H, Li Q, Zheng Z-B, Diao X-G, He L-W, Zhang W. Supplementary Feeding of Grazing Inner Mongolian Cashmere Goats during Pregnancy—Based on “Nutrient Requirements of Cashmere Goats”. Animals. 2023; 13(3):473. https://doi.org/10.3390/ani13030473

Chicago/Turabian Style

Wang, Xin-Hui, Qing Li, Zi-Bin Zheng, Xiao-Gao Diao, Li-Wen He, and Wei Zhang. 2023. "Supplementary Feeding of Grazing Inner Mongolian Cashmere Goats during Pregnancy—Based on “Nutrient Requirements of Cashmere Goats”" Animals 13, no. 3: 473. https://doi.org/10.3390/ani13030473

APA Style

Wang, X.-H., Li, Q., Zheng, Z.-B., Diao, X.-G., He, L.-W., & Zhang, W. (2023). Supplementary Feeding of Grazing Inner Mongolian Cashmere Goats during Pregnancy—Based on “Nutrient Requirements of Cashmere Goats”. Animals, 13(3), 473. https://doi.org/10.3390/ani13030473

Note that from the first issue of 2016, this journal uses article numbers instead of page numbers. See further details here.

Article Metrics

Back to TopTop