Firocoxib as a Potential Neoadjuvant Treatment in Canine Patients with Triple-Negative Mammary Gland Tumors
Abstract
Simple Summary
Abstract
1. Introduction
2. Materials and Methods
2.1. Cell Lines
2.2. Evaluation Cell Line Metabolic Activity and IC50 after Firocoxib Treatment
2.3. Annexin V/Propidium Iodide (PI) Apoptosis Assay
2.4. In Vivo Experiment
2.5. Inclusion and Exclusion Criteria
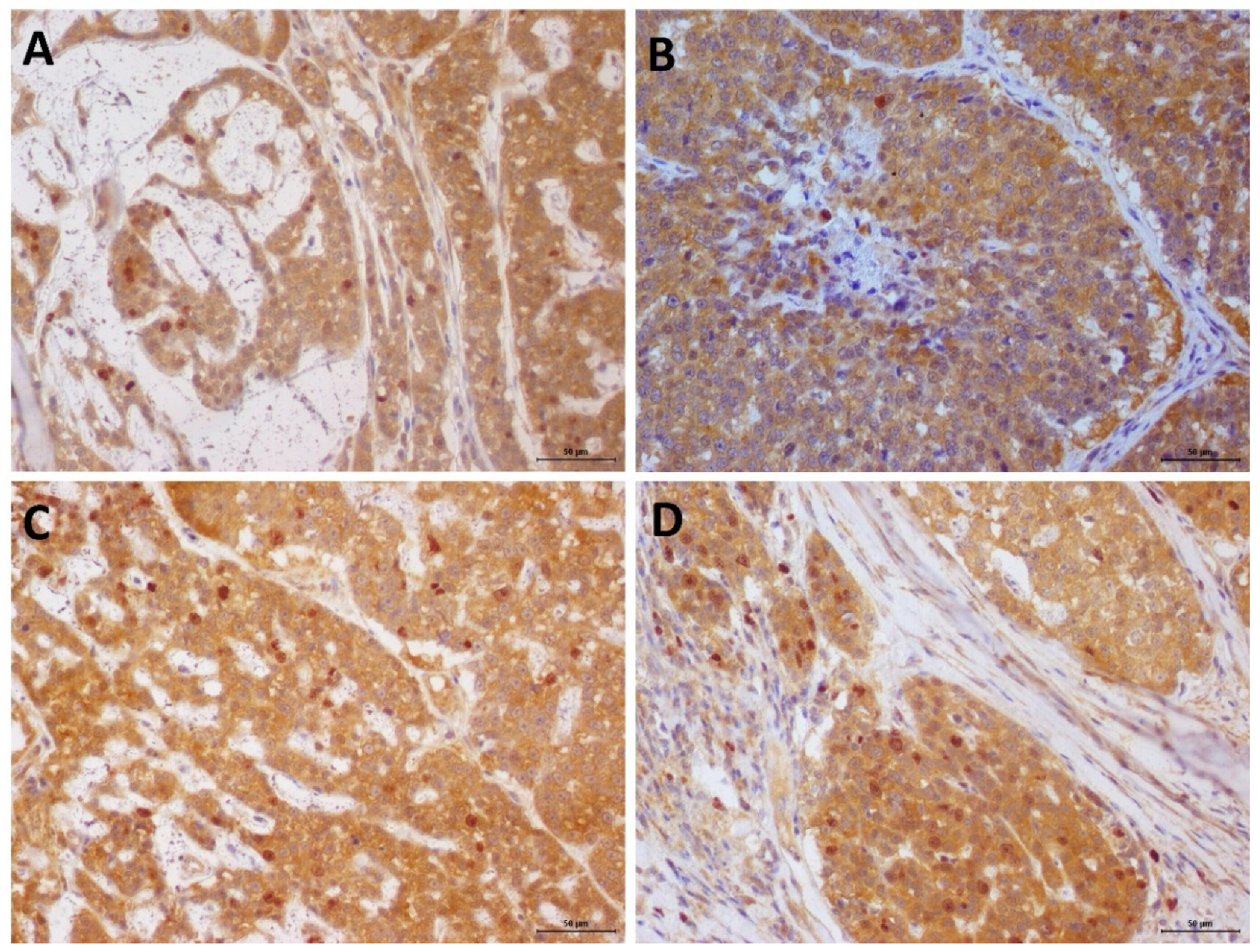
2.6. COX-2/Cleaved Caspase-3 Double Immunostaining
2.7. Statistical Analysis
3. Results
3.1. Cell Line Characteristics
3.2. Firocoxib-Induced Apoptosis in CMT Cell Lines
3.3. Firocoxib Increased Apoptosis in TNCMT
4. Discussion
5. Conclusions
Supplementary Materials
Author Contributions
Funding
Institutional Review Board Statement
Informed Consent Statement
Data Availability Statement
Conflicts of Interest
References
- Bray, F.; Ferlay, J.; Soerjomataram, I.; Siegel, R.L.; Torre, L.A.; Jemal, A. Global cancer statistics 2018: GLOBOCAN estimates of incidence and mortality worldwide for 36 cancers in 185 countries. CA Cancer J Clin. 2018, 68, 394–424, Erratum in CA Cancer J. Clin. 2020, 70, 313. [Google Scholar] [CrossRef]
- Cancer Genome Atlas Network. Comprehensive molecular portraits of human breast tumours. Nature 2012, 490, 61–70. [Google Scholar] [CrossRef]
- Dai, D.; Zhong, Y.; Wang, Z.; Yousafzai, N.A.; Jin, H.; Wang, X. The prognostic impact of age in different molecular subtypes of breast cancer: A population-based study. PeerJ 2019, 7, e7252. [Google Scholar] [CrossRef]
- Tian, Q.; Du, P.; Li, S.; Bai, Z.; Yang, Y.; Zeng, J. Effect of antitumor treatments on triple-negative breast cancer patients: A PRISMA-compliant network meta-analysis of randomized controlled trials. Medicine 2017, 96, e8389. [Google Scholar] [CrossRef]
- Kaya, V.; Yildirim, M.; Yazici, G.; Gunduz, S.; Bozcuk, H.; Paydas, S. Effectiveness of Platinum-Based Treatment for Triple Negative Metastatic Breast Cancer: A Meta-Analysis. Asian Pac. J. Cancer Prev. 2018, 19, 1169–1173. [Google Scholar] [CrossRef]
- Abadie, J.; Nguyen, F.; Loussouarn, D.; Peña, L.; Gama, A.; Rieder, N.; Belousov, A.; Bemelmans, I.; Jaillardon, L.; Ibisch, C.; et al. Canine invasive mammary carcinomas as models of human breast cancer. Part 2: Immunophenotypes and prognostic significance. Breast Cancer Res. Treat. 2018, 167, 459–468. [Google Scholar] [CrossRef]
- Pu, D.; Yin, L.; Huang, L.; Qin, C.; Zhou, Y.; Wu, Q.; Li, Y.; Zhou, Q.; Li, L. Cyclooxygenase-2 Inhibitor: A Potential Combination Strategy With Immunotherapy in Cancer. Front. Oncol. 2021, 11, 637504. [Google Scholar] [CrossRef]
- Dos Anjos, D.S.; Vital, A.F.; Lainetti, P.F.; Leis-Filho, A.F.; Dalmolin, F.; Elias, F.; Calazans, S.G.; Fonseca-Alves, C.E. Deregulation of VEGFR-2 and PDGFR Expression and Microvascular Density in a Triple-Negative Model of Canine Malignant Mammary Tumors with Lymph Node or Lung Metastasis. Vet. Sci. 2019, 6, 3. [Google Scholar] [CrossRef]
- de Faria Lainetti, P.; Brandi, A.; Leis Filho, A.F.; Prado, M.C.M.; Kobayashi, P.E.; Laufer-Amorim, R.; Fonseca-Alves, C.E. Establishment and Characterization of Canine Mammary Gland Carcinoma Cell Lines With Vasculogenic Mimicry Ability in vitro and in vivo. Front. Vet. Sci. 2020, 7, 583874. [Google Scholar] [CrossRef]
- Prado, M.C.M.; Macedo, S.A.L.; Guiraldelli, G.G.; de Faria Lainetti, P.; Leis-Filho, A.F.; Kobayashi, P.E.; Laufer-Amorim, R.; Fonseca-Alves, C.E. Investigation of the Prognostic Significance of Vasculogenic Mimicry and Its Inhibition by Sorafenib in Canine Mammary Gland Tumors. Front. Oncol. 2019, 9, 1445. [Google Scholar] [CrossRef]
- Franzoni, M.S.; Brandi, A.; de Oliveira Matos Prado, J.K.; Elias, F.; Dalmolin, F.; de Faria Lainetti, P.; Prado, M.C.M.; Leis-Filho, A.F.; Fonseca-Alves, C.E. Tumor-infiltrating CD4+ and CD8+ lymphocytes and macrophages are associated with prognostic factors in triple-negative canine mammary complex type carcinoma. Res. Vet. Sci. 2019, 126, 29–36. [Google Scholar] [CrossRef] [PubMed]
- Tian, J.; Hachim, M.Y.; Hachim, I.Y.; Dai, M.; Lo, C.; Raffa, F.A.; Ali, S.; Lebrun, J.J. Cyclooxygenase-2 regulates TGFβ-induced cancer stemness in triple-negative breast cancer. Sci. Rep. 2017, 7, 40258. [Google Scholar] [CrossRef] [PubMed]
- Saito, T.; Tamura, D.; Asano, R. Usefulness of selective COX-2 inhibitors as therapeutic agents against canine mammary tumors. Oncol. Rep. 2014, 31, 1637–1644. [Google Scholar] [CrossRef] [PubMed]
- Gregório, H.; Magalhães, T.R.; Pires, I.; Prada, J.; Carvalho, M.I.; Queiroga, F.L. The role of COX expression in the prognostication of overall survival of canine and feline cancer: A systematic review. Vet. Med. Sci. 2021, 7, 1107–1119. [Google Scholar] [CrossRef] [PubMed]
- Gregório, H.; Raposo, T.; Queiroga, F.L.; Pires, I.; Pena, L.; Prada, J. High COX-2 expression in canine mast cell tumours is associated with proliferation, angiogenesis and decreased overall survival. Vet. Comp. Oncol. 2017, 15, 1382–1392. [Google Scholar] [CrossRef]
- Carvalho, M.I.; Pires, I.; Prada, J.; Raposo, T.P.; Gregório, H.; Lobo, L.; Queiroga, F.L. High COX-2 expression is associated with increased angiogenesis, proliferation and tumoural inflammatory infiltrate in canine malignant mammary tumours: A multivariate survival study. Vet. Comp. Oncol. 2017, 15, 619–631. [Google Scholar] [CrossRef]
- Araújo, M.R.; Campos, L.C.; Damasceno, K.A.; Gamba, C.O.; Ferreira, E.; Cassali, G.D. HER-2, EGFR, Cox-2 and Ki67 expression in lymph node metastasis of canine mammary carcinomas: Association with clinical-pathological parameters and overall survival. Res. Vet. Sci. 2016, 106, 121–130. [Google Scholar] [CrossRef]
- Costa, C.D.; Justo, A.A.; Kobayashi, P.E.; Story, M.M.; Palmieri, C.; Laufer Amorim, R.; Fonseca-Alves, C.E. Characterization of OCT3/4, Nestin, NANOG, CD44 and CD24 as stem cell markers in canine prostate cancer. Int. J. Biochem. Cell Biol. 2019, 108, 21–28. [Google Scholar] [CrossRef]
- Kobayashi, P.E.; Lainetti, P.F.; Leis-Filho, A.F.; Delella, F.K.; Carvalho, M.; Cury, S.S.; Carvalho, R.F.; Fonseca-Alves, C.E.; Laufer-Amorim, R. Transcriptome of Two Canine Prostate Cancer Cells Treated With Toceranib Phosphate Reveals Distinct Antitumor Profiles Associated With the PDGFR Pathway. Front. Vet. Sci. 2020, 7, 561212. [Google Scholar] [CrossRef]
- Leis-Filho, A.F.; de Faria Lainetti, P.; Emiko Kobayashi, P.; Fonseca-Alves, C.E.; Laufer-Amorim, R. Effects of Lapatinib on HER2-Positive and HER2-Negative Canine Mammary Carcinoma Cells Cultured In Vitro. Pharmaceutics 2021, 13, 897. [Google Scholar] [CrossRef]
- Negri, J.M.; McMillin, D.W.; Delmore, J.; Mitsiades, N.; Hayden, P.; Klippel, S.; Hideshima, T.; Chauhan, D.; Munshi, N.C.; Buser, C.A.; et al. In vitroanti-myeloma activity of the Aurora kinase inhibitor VE-465. Br. J. Haematol. 2009, 147, 672–676. [Google Scholar] [CrossRef] [PubMed]
- Crowley, L.C.; Marfell, B.J.; Scott, A.P.; Waterhouse, N.J. Quantitation of Apoptosis and Necrosis by Annexin V Binding, Propidium Iodide Uptake, and Flow Cytometry. Cold Spring Harb. Protoc. 2016, 2016, pdb-prot087288. [Google Scholar] [CrossRef] [PubMed]
- Goldschmidt, M.; Peña, L.; Rasotto, R.; Zappulli, V. Classification and grading of canine mammary tumors. Vet. Pathol. 2011, 48, 117–131. [Google Scholar] [CrossRef] [PubMed]
- Karayannopoulou, M.; Kaldrymidou, E.; Constantinidis, T.C.; Dessiris, A. Histological grading and prognosis in dogs with mammary carcinomas: Application of a human grading method. J. Comp. Pathol. 2005, 133, 246–252. [Google Scholar] [CrossRef]
- Nguyen, S.M.; Thamm, D.H.; Vail, D.M.; London, C.A. Response evaluation criteria for solid tumours in dogs (v1.0): A Veterinary Cooperative Oncology Group (VCOG) consensus document. Vet. Comp. Oncol. 2015, 13, 176–183. [Google Scholar] [CrossRef]
- LeBlanc, A.K.; Atherton, M.; Bentley, R.T.; Boudreau, C.E.; Burton, J.H.; Curran, K.M.; Dow, S.; Giuffrida, M.A.; Kellihan, H.B.; Mason, N.J.; et al. Veterinary Cooperative Oncology Group-Common Terminology Criteria for Adverse Events (VCOG-CTCAE v2) following investigational therapy in dogs and cats. Vet. Comp. Oncol. 2021, 19, 311–352. [Google Scholar] [CrossRef]
- Fonseca-Alves, C.E.; Bento, D.D.; Torres-Neto, R.; Werner, J.; Kitchell, B.; Laufer-Amorim, R. Ki67/KIT double immunohistochemical staining in cutaneous mast cell tumors from Boxer dogs. Res. Vet. Sci. 2015, 102, 122–126. [Google Scholar] [CrossRef]
- Gorricho, C.M.; Tavares, M.R.; Apparício, M.; Fonseca-Alves, C.E.; Macente, B.I.; Mansano, C.F.M.; Toniollo, G.H. Vitrification of cat ovarian tissue: Does fragment size matters? Reprod. Domest. Anim. 2018, 53 (Suppl. 3), 125–132. [Google Scholar] [CrossRef]
- Joubert, K.E. The effects of firocoxib (Previcox) in geriatric dogs over a period of 90 days. J. S. Afr. Vet. Assoc. 2009, 80, 179–184. [Google Scholar] [CrossRef]
- Machado LH, A.; Elston, F.; Elston, L.B.; Sudano, M.J.; Fonseca-Alves, C.E.; Zahn, F.S. Avaliação Clínica e Imuno-Histoquímica de Tumores Mamário em Cadelas Submetidas a Tratamento com Inibidor da Cicloxigenase-2 (FIROCOXIBE). Vet. Zootec. (UNESP) 2014, 21, 584–594. (In Portuguese) [Google Scholar]
- Zahn, F.S.; Elston, F.; Sudano, L.B.; Fonseca-Alves, C.E.; Machado LH, A. Clinical and Immunohistochemical Evaluation of mammary Tumors in female Dogs Undergoing Treatment with Inhibitors of Cyclooxygenase-2 (Firocoxib). In Proceedings of the 39th World Small Animal Veterinary Association Congress, Cape Town, South Africa, 16–19 September 2014; p. 875. [Google Scholar]
- Fonseca-Alves, C.E.; Corrêa, A.G.; Elias, F.; Calazans, S.G. Cyclooxygenase Inhibitor Associated with Carboplatin in Treatment of Metastatic Nasal Carcinoma in Dog. Case Rep. Vet. Med. 2014, 2014, 817930. [Google Scholar] [CrossRef]
- Kvaternick, V.; Malinski, T.; Wortmann, J.; Fischer, J. Quantitative HPLC-UV method for the determination of firocoxib from horse and dog plasma. J. Chromatogr. B 2007, 854, 313–319. [Google Scholar] [CrossRef] [PubMed]
- Sun, Y.; Tang, X.M.; Half, E.; Kuo, M.T.; Sinicrope, F.A. Cyclooxygenase-2 overexpression reduces apoptotic susceptibility by inhibiting the cytochrome c-dependent apoptotic pathway in human colon cancer cells. Cancer Res. 2002, 62, 6323–6328. [Google Scholar] [PubMed]
- Totzke, G.; Schulze-Osthoff, K.; Jänicke, R.U. Cyclooxygenase-2 (COX-2) inhibitors sensitize tumor cells specifically to death receptor-induced apoptosis independently of COX-2 inhibition. Oncogene 2003, 22, 8021–8030. [Google Scholar] [CrossRef] [PubMed]
- Kern, M.A.; Haugg, A.M.; Koch, A.F.; Schilling, T.; Breuhahn, K.; Walczak, H.; Fleischer, B.; Trautwein, C.; Michalski, C.; Schulze-Bergkamen, H.; et al. Cyclooxygenase-2 inhibition induces apoptosis signaling via death receptors and mitochondria in hepatocellular carcinoma. Cancer Res. 2006, 66, 7059–7066. [Google Scholar] [CrossRef]
- Wang, Q.; Lu, D.; Fan, L.; Li, Y.; Liu, Y.; Yu, H.; Wang, H.; Liu, J.; Sun, G. COX-2 induces apoptosis-resistance in hepatocellular carcinoma cells via the HIF-1α/PKM2 pathway. Int. J. Mol. Med. 2019, 43, 475–488. [Google Scholar] [CrossRef]
- Hsu, A.L.; Ching, T.T.; Wang, D.S.; Song, X.; Rangnekar, V.M.; Chen, C.S. The cyclooxygenase-2 inhibitor celecoxib induces apoptosis by blocking Akt activation in human prostate cancer cells independently of Bcl-2. J. Biol. Chem. 2000, 275, 11397–11403. [Google Scholar] [CrossRef]



| Apoptosis Analysis | Control | UNESP-CM5 | UNESP-MM1 |
|---|---|---|---|
| PI+/AN− | 0.8% | 10.5% | 3.4% |
| PI+/AN+ | 6.6% | 33.1% | 74.9% |
| PI−/AN+ | 85.9% | 45.9% | 6.6% |
| PI−/AN− | 6.6% | 10.5% | 15.2% |
| Identification | Breed | Age (Years) | Weight | Tumor Volume (cm³) | Lymph Node Metastasis | Necrosis | Ulceration | Diagnosis | Grade | Overall Survival |
|---|---|---|---|---|---|---|---|---|---|---|
| Control group | ||||||||||
| Case 1 | MBD | 12 | 18.2 | 28 | Yes | No | No | Comedocarcinoma | Grade 3 | 35 |
| Case2 | MBD | 11 | 14.7 | 172.5 | No | Yes | Yes | Solid carcinoma | Grade 2 | 90 |
| Case 3 | MBD | 11 | 15 | 108 | Yes | No | Yes | Carcinoma in mixed tumor | Grade 2 | 365 |
| Case 4 | Sheep dog | 9 | 28 | 15.75 | No | No | No | Micropapillary | Grade 3 | 1095 |
| Case 5 | Rottweiler | 10 | 27.2 | 156 | No | No | No | Solid carcinoma | Grade 2 | 485 |
| Case 6 | Poodle | 8 | 8.9 | 1.9 | No | No | No | Tubulopapillary carcinoma | Grade 1 | 2531 |
| Case 7 | Beagle | 9 | 18.3 | 1.6 | No | No | No | Carcinoma in mixed tumor | Grade 2 | 1610 |
| Case 8 | Poodle | 5 | 4.5 | 3 | No | Yes | No | Complex carcinoma | Grade 2 | 90 |
| Case 9 | German Shepherd | 7 | 31 | 35 | No | Yes | No | Solid carcinoma | Grade 2 | 880 |
| Case 10 | Poodle | 6 | 4.1 | 25 | No | No | No | Tubulopapillary carcinoma | Grade 2 | 2737 |
| Case 11 | Saint Bernard dog | 5 | 57 | 1 | No | No | No | Carcinoma in mixed tumor | Grade 1 | 1095 |
| Case 12 | Poodle | 5 | 3.8 | 1.25 | No | No | No | Complex carcinoma | Grade 1 | 3650 |
| Treatment group | ||||||||||
| Case 13 | Brazilian Bullmastiff | 12 | 44 | 5.95 | No | No | No | Adenosquamous carcinoma | - | 425 |
| Case 14 | MBD | 8 | 3.7 | 3 | No | No | No | Carcinoma in mixed tumor | Grade 2 | 1670 |
| Case 15 | MBD | 12 | 6.9 | 25 | No | No | No | Solid carcinoma | Grade 2 | 180 |
| Case 16 | MBD | 14 | 12 | 12 | Yes | No | Yes | Anaplastic carcinoma | - | 47 |
| Case 17 | Pinscher | 12 | 2.6 | 10.5 | No | No | No | Complex carcinoma | Grade 1 | 240 |
| Case 18 | Teckel | 13 | 9.6 | 6 | No | Yes | No | Complex carcinoma | Grade 1 | 1395 |
| Case 19 | MBD | 8 | 7.5 | 3.08 | No | No | No | Complex carcinoma | Grade 2 | 695 |
| Case 20 | Teckel | 11 | 7.5 | 45.5 | Yes | No | No | Solid carcinoma | Grade 2 | 395 |
| Case 21 | MBD | 11 | 6.5 | 12.25 | No | No | No | Tubulopapillary carcinoma | Grade 3 | 300 |
| Case 22 | Labrador | 4 | 31.9 | 35 | No | No | No | Complex carcinoma | Grade 2 | 1987 |
| Case 23 | MBD | 10 | 34 | 160 | No | No | Yes | Tubulopapillary carcinoma | Grade 2 | 455 |
| Case 24 | German Shepherd | 7 | 18 | 3 | No | No | Yes | Tubulopapillary carcinoma | Grade 2 | 270 |
| Case 25 | MBD | 8 | 3.2 | 1.16 | No | No | No | Complex carcinoma | Grade 1 | 1885 |
Disclaimer/Publisher’s Note: The statements, opinions and data contained in all publications are solely those of the individual author(s) and contributor(s) and not of MDPI and/or the editor(s). MDPI and/or the editor(s) disclaim responsibility for any injury to people or property resulting from any ideas, methods, instructions or products referred to in the content. |
© 2022 by the authors. Licensee MDPI, Basel, Switzerland. This article is an open access article distributed under the terms and conditions of the Creative Commons Attribution (CC BY) license (https://creativecommons.org/licenses/by/4.0/).
Share and Cite
Brandi, A.; de Faria Lainetti, P.; Elias, F.; Rodrigues, M.M.P.; Fagundes Moraes, L.; Laufer-Amorim, R.; de Camargo, L.S.; Salles Gomes, C.d.O.M.; Fonseca-Alves, C.E. Firocoxib as a Potential Neoadjuvant Treatment in Canine Patients with Triple-Negative Mammary Gland Tumors. Animals 2023, 13, 60. https://doi.org/10.3390/ani13010060
Brandi A, de Faria Lainetti P, Elias F, Rodrigues MMP, Fagundes Moraes L, Laufer-Amorim R, de Camargo LS, Salles Gomes CdOM, Fonseca-Alves CE. Firocoxib as a Potential Neoadjuvant Treatment in Canine Patients with Triple-Negative Mammary Gland Tumors. Animals. 2023; 13(1):60. https://doi.org/10.3390/ani13010060
Chicago/Turabian StyleBrandi, Andressa, Patricia de Faria Lainetti, Fabiana Elias, Marcela Marcondes Pinto Rodrigues, Livia Fagundes Moraes, Renée Laufer-Amorim, Laíza Sartori de Camargo, Cristina de Oliveira Massoco Salles Gomes, and Carlos Eduardo Fonseca-Alves. 2023. "Firocoxib as a Potential Neoadjuvant Treatment in Canine Patients with Triple-Negative Mammary Gland Tumors" Animals 13, no. 1: 60. https://doi.org/10.3390/ani13010060
APA StyleBrandi, A., de Faria Lainetti, P., Elias, F., Rodrigues, M. M. P., Fagundes Moraes, L., Laufer-Amorim, R., de Camargo, L. S., Salles Gomes, C. d. O. M., & Fonseca-Alves, C. E. (2023). Firocoxib as a Potential Neoadjuvant Treatment in Canine Patients with Triple-Negative Mammary Gland Tumors. Animals, 13(1), 60. https://doi.org/10.3390/ani13010060

