Immunogenic Effects of Dietary Terminalia arjuna Bark Powder in Labeo rohita, a Fish Model: Elucidated by an Integrated Biomarker Response Approach
Abstract
Simple Summary
Abstract
1. Introduction
2. Material and Methods
2.1. Experimental Design, Setup Feeding Trial, and Sample Collection
2.2. Total RNA Extraction, RNA Quantification, and cDNA Transcription
2.3. cDNA Synthesis and Amplification
2.4. Primer Designing, Semi-Quantitative PCR of Immunogenic Genes, and Densitometric Analysis
2.5. Semi-Quantitative PCR
2.6. Densiometric Analysis, Networking, and Correlation among Densiometric Parameters and Treatments
2.7. Gene Expression in qPCR
2.8. qPCR Analysis
2.9. Integrated Biomarker Approach for Elucidating the Effect of Dietary TABP on Immunogenic Genes and Treatments
2.10. Statistical Analysis
3. Results
3.1. RNA Extraction and Quantification
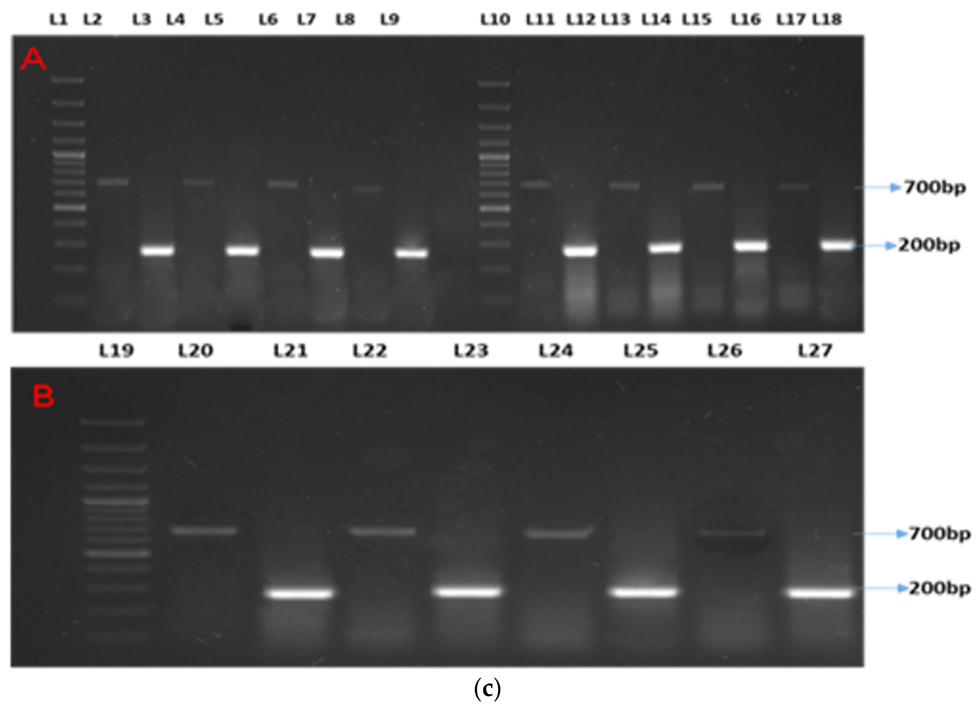
3.2. Semiquantitative PCR
3.3. Densiometric Analyses and Correlation
3.4. Correlation
3.5. Networking
3.6. qPCR Analyses
3.7. Integrated Biomarker Responses Approach
3.7.1. Gene Biomarkers
3.7.2. Treatment Biomarkers
4. Discussion
4.1. RNA Extraction, cDNA Synthesis, Semiquantitative PCR, Densiometric Analyses, Networking, and Correlation
4.2. qPCR
4.3. Integrated Biomarker Approach
5. Conclusions
Author Contributions
Funding
Institutional Review Board Statement
Informed Consent Statement
Data Availability Statement
Acknowledgments
Conflicts of Interest
References
- Buchmann, K. Evolution of innate immunity: Clues from invertebrates via fish to mammals. Front. Immunol. Sect. Mol. Innate Immun. 2014, 5, 459. [Google Scholar] [CrossRef] [PubMed]
- Melen, K.; Ronni, T.; Broni, B.; Krug, R.M.; Von Bonsdorff, C.H.; Julkunen, I. Interferon-induced Mx proteins form oligomers and contain a putative leucine zipper. J. Biol. Chem. 1992, 267, 25898–25907. [Google Scholar] [CrossRef] [PubMed]
- Tso, C.-H.; Hung, Y.-F.; Tan, S.-P.; Lu, M.-W. Identification of the STAT1 gene and the characterisation of its immune response to immunostimulants, including nervous necrosis virus (NNV) infection, in Malabar grouper (Epinephelus malabaricus). Fish Shellfish Immunol. 2013, 35, 1339–1348. [Google Scholar] [CrossRef] [PubMed]
- Sandy, Z.; Da Costa, I.C.; Schmidt, C.K. More than meets the ISG15: Emerging roles in the DNA damage response and beyond. Biomolecules 2020, 10, 1557. [Google Scholar] [CrossRef] [PubMed]
- Awad, E.; Awaad, A. Role of medicinal plants on growth performance and immune status in fish. Fish Shellfish Immunol. 2017, 67, 40–54. [Google Scholar] [CrossRef]
- Huang, J.; Tang, X.; Ye, F.; He, J.; Kong, X. Clinical therapeutic effects of aspirin in combination with Fufang Danshen diwan, a traditional Chinese medicine formula, on coronary heart disease: A systematic review and meta-analysis. Cell. Physiol. Biochem. 2016, 39, 1955–1963. [Google Scholar] [CrossRef]
- Hu, X.-Q.; Sun, Y.; Lau, E.; Zhao, M.; Su, S.-B. Advances in synergistic combinations of Chinese herbal medicine for the treatment of cancer. Curr. Cancer Drug Targets 2016, 16, 346–356. [Google Scholar] [CrossRef]
- Tan, X.; Sun, Z.; Ye, C. Dietary Ginkgo biloba leaf extracts supplementation improved immunity and intestinal morphology, antioxidant ability and tight junction proteins mRNA expression of hybrid groupers (Epinephelus lanceolatus♂ × Epinephelus fuscoguttatus♀) fed high lipid diets. Fish Shellfish Immunol. 2020, 98, 611–618. [Google Scholar] [CrossRef]
- Behera, B.K.; Pradhan, P.K.; Swaminathan, T.R.; Sood, N.; Paria, P.; Das, A.; Verma, D.K.; Kumar, R.; Yadav, M.K.; Dev, A.K. Emergence of tilapia lake virus associated with mortalities of farmed Nile tilapia Oreochromis niloticus (Linnaeus 1758) in India. Aquaculture 2018, 484, 168–174. [Google Scholar] [CrossRef]
- Findlay, V.L.; Munday, B.L. The immunomodulatory effects of levamisole on the nonspecific immune system of Atlantic salmon, Salmo salar L. J. Fish Dis. 2000, 23, 369–378. [Google Scholar] [CrossRef]
- De la Cuesta González, M. The reason for corporate social responsibility. ICE Econ. Bull. 2004, 45–58. Available online: https://dialnet.unirioja.es/servlet/articulo?codigo=950560 (accessed on 9 December 2021).
- Meena, D.K.; Sahoo, A.K.; Chowdhury, H.; Swain, H.S.; Sahu, N.P.; Behera, B.K.; Srivastava, P.P.; Das, B.K. Effects of extraction methods and solvent systems on extract yield, proximate composition and mineral profiling of Terminalia arjuna (Arjuna) dry powders and solvent extracts. J. Innov. Pharm. Biol. Sci. 2020, 7, 22–31. [Google Scholar]
- Meena, D.K.; Sahoo, A.K.; Swain, H.S.; Borah, S.; Srivastava, P.P.; Sahu, N.P.; Das, B.K. Prospects and perspectives of virtual in-vitro toxicity studies on herbal extracts of Terminalia arjuna with enhanced stratagem in Artemia salina model: A panacea to explicit the credence of solvent system in brine shrimp lethality bioassay. Emir. J. Food Agric. 2020, 32, 25–37. [Google Scholar] [CrossRef]
- Meena, D.K.; Sahoo, A.K.; Srivastava, P.P.; Sahu, N.P.; Jadhav, M.; Gandhi, M.; Swain, H.S.; Borah, S.; Das, B.K. On valorization of solvent extracts of Terminalia arjuna (arjuna) upon DNA scission and free radical scavenging improves coupling responses and cognitive functions under in vitro conditions. Sci. Rep. 2021, 11, 10656. [Google Scholar] [CrossRef]
- Meena, D.K.; Sahu, N.P.; Srivastava, P.P.; Jadhav, M.; Prasad, R.; Mallick, R.C.; Sahoo, A.K.; Behera, B.K.; Mohanty, D.; Das, B.K. Effective valorisation of facile extract matrix of Terminalia arjuna (Roxb) against elite microbes of aquaculture industry–a credence to bioactive principles: Can it be a sustainability paradigm in designing broad spectrum antimicrobials? Ind. Crops Prod. 2021, 171, 113905. [Google Scholar] [CrossRef]
- Paul, T.; Kumar, S.; Shukla, S.P.; Pal, P.; Kumar, K.; Poojary, N.; Biswal, A.; Mishra, A. A multi-biomarker approach using integrated biomarker response to assess the effect of pH on triclosan toxicity in Pangasianodon hypophthalmus (Sauvage, 1878). Environ. Pollut. 2020, 260, 114001. [Google Scholar] [CrossRef]
- Biswal, A.; Srivastava, P.P.; Krishna, G.; Paul, T.; Pal, P.; Gupta, S.; Varghese, T.; Jayant, M. An Integrated biomarker approach for explaining the potency of exogenous glucose on transportation induced stress in Labeo rohita fingerlings. Sci. Rep. 2021, 11, 5713. [Google Scholar] [CrossRef]
- Debbarma, R.; Biswas, P.; Singh, S.K. An integrated biomarker approach to assess the welfare status of Ompok bimaculatus (Pabda) in biofloc system with altered C/N ratio and subjected to acute ammonia stress. Aquaculture 2021, 545, 737184. [Google Scholar] [CrossRef]
- Livak, K.J.; Schmittgen, T.D. Analysis of relative gene expression data using real-time quantitative PCR and the 2−ΔΔCT method. Methods 2001, 25, 402–408. [Google Scholar] [CrossRef]
- Beliaeff, B.; Burgeot, T. Integrated biomarker response: A useful tool for ecological risk assessment. Environ. Toxicol. Chem. Int. J. 2002, 21, 1316–1322. [Google Scholar] [CrossRef]
- Guerlet, E.; Vasseur, P.; Giambérini, L. Spatial and temporal variations of biological responses to environmental pollution in the freshwater zebra mussel. Ecotoxicol. Environ. Saf. 2010, 73, 1170–1181. [Google Scholar] [CrossRef]
- Taylor, S.C.; Laperriere, G.; Germain, H. Droplet Digital PCR versus qPCR for gene expression analysis with low abundant targets: From variable nonsense to publication quality data. Sci. Rep. 2017, 7, 2409. [Google Scholar] [CrossRef] [PubMed]
- Marone, M.; Mozzetti, S.; De Ritis, D.; Pierelli, L.; Scambia, G. Semiquantitative RT-PCR analysis to assess the expression levels of multiple transcripts from the same sample. Biol. Proced. Online 2001, 3, 19–25. [Google Scholar] [CrossRef] [PubMed]
- Nolan, T.; Hands, R.E.; Bustin, S.A. Quantification of mRNA using real-time RT-PCR. Nat. Protoc. 2006, 1, 1559–1582. [Google Scholar] [CrossRef] [PubMed]
- Nolan, T.; Hands, R.E.; Ogunkolade, W.; Bustin, S.A. SPUD: A quantitative PCR assay for the detection of inhibitors in nucleic acid preparations. Anal. Biochem. 2006, 351, 308–310. [Google Scholar] [CrossRef]
- Lee, A.J.; Ashkar, A.A. The dual nature of type I and type II interferons. Front. Immunol. 2018, 9, 2061. [Google Scholar] [CrossRef]
- Verhelst, J.; Hulpiau, P.; Saelens, X. Mx proteins: Antiviral gatekeepers that restrain the uninvited. Microbiol. Mol. Biol. Rev. 2013, 77, 551–566. [Google Scholar] [CrossRef]
- Nhu, T.Q.; Hang, B.T.B.; Vinikas, A.; Hue, B.T.B.; Quetin-Leclercq, J.; Scippo, M.-L.; Phuong, N.T.; Kestemont, P. Screening of immuno-modulatory potential of different herbal plant extracts using striped catfish (Pangasianodon hypophthalmus) leukocyte-based in vitro tests. Fish Shellfish Immunol. 2019, 93, 296–307. [Google Scholar] [CrossRef]
- Nya, E.J.; Austin, B. Use of garlic, Allium sativum, to control Aeromonas hydrophila infection in rainbow trout, Oncorhynchus mykiss (Walbaum). J. Fish Dis. 2009, 32, 963–970. [Google Scholar] [CrossRef]
- Ndong, D.; Fall, J. The effect of garlic (Allium sativum) on growth and immune responses of hybrid tilapia (Oreochromis niloticus x Oreochromis aureus). J. Clin. Immunol. Immunopathol. Res. 2011, 3, 1–9. [Google Scholar]
- Talpur, A.D.; Ikhwanuddin, M.H.D. Dietary effects of garlic (Allium sativum) on haemato-immunological parameters, survival, growth, and disease resistance against Vibrio harveyi infection in Asian sea bass, Lates calcarifer (Bloch). Aquaculture 2012, 364, 6–12. [Google Scholar] [CrossRef]
- Ghehdarijani, M.S.; Hajimoradloo, A.; Ghorbani, R.; Roohi, Z. The effects of garlic-supplemented diets on skin mucosal immune responses, stress resistance and growth performance of the Caspian roach (Rutilus rutilus) fry. Fish Shellfish Immunol. 2016, 49, 79–83. [Google Scholar] [CrossRef] [PubMed]
- Yogeshwari, G.; Jagruthi, C.; Anbazahan, S.M.; Mari, L.S.S.; Selvanathan, J.; Arockiaraj, J.; Dhayanithi, N.B.; Ajithkumar, T.T.; Balasundaram, C.; Ramasamy, H. Herbal supplementation diet on immune response in Labeo rohita against Aphanomyces invadans. Aquaculture 2015, 437, 351–359. [Google Scholar] [CrossRef]
- Trejo-Flores, J.V.; Luna-González, A.; Álvarez-Ruiz, P.; Escamilla-Montes, R.; Fierro-Coronado, J.A.; Peraza-Gómez, V.; Flores-Miranda M del, C.; Diarte-Plata, G.; Rubio-Castro, A. Immune-related gene expression in Penaeus vannamei fed Aloe vera. Lat. Am. J. Aquat. Res. 2018, 46, 756–764. [Google Scholar] [CrossRef]
- Amandeep, K.; Holeyappa, S.A.; Neelam, B.; Inder, K.V.; Anuj, T. Ameliorative effect of turmeric supplementation in feed of Labeo rohita (Linn.) challenged with pathogenic Aeromonas veronii. Aquac. Int. 2020, 28, 1169–1182. [Google Scholar]
- Salomón, R.; Firmino, J.P.; Reyes-López, F.E.; Andree, K.B.; González-Silvera, D.; Esteban, M.A.; Tort, L.; Quintela, J.C.; Pinilla-Rosas, J.M.; Vallejos-Vidal, E. The growth promoting and immunomodulatory effects of a medicinal plant leaf extract obtained from Salvia officinalis and Lippia citriodora in gilthead seabream (Sparus aurata). Aquaculture 2020, 524, 735291. [Google Scholar] [CrossRef]
- Zav’yalov, V.P.; Hämäläinen-Laanaya, H.; Korpela, T.K.; Wahlroos, T. Interferon-inducible myxovirus resistance proteins: Potential biomarkers for differentiating viral from bacterial infections. Clin. Chem. 2019, 65, 739–750. [Google Scholar] [CrossRef]
- Roy, P.; Panda, S.P.; Pal, A.; Mishra, S.S.; Jayasankar, P.; Das, B.K. Expression of Mx Gene in Cirrhinus mrigala (Hamilton, 1822) to OmpC Protein of Aeromonas hydrophila and Bacterial Infection. Appl. Biochem. Biotechnol. 2016, 178, 640–653. [Google Scholar] [CrossRef]
- Das, B.K.; Roy, P.; Rout, A.K.; Sahoo, D.R.; Panda, S.P.; Pattanaik, S.; Dehury, B.; Behera, B.K.; Mishra, S.S. Molecular cloning, GTP recognition mechanism and tissue-specific expression profiling of myxovirus resistance (Mx) protein in Labeo rohita (Hamilton) after Poly I:C induction. Sci. Rep. 2019, 9, 3956. [Google Scholar] [CrossRef]
- Schiavano, G.F.; Dominici, S.; Rinaldi, L.; Cangiano, A.M.; Brandi, G.; Magnani, M. Modulation of stat-1 in human macrophages infected with different species of intracellular pathogenic bacteria. J. Immunol. Res. 2016, 2016, 5086928. [Google Scholar] [CrossRef]
- Kim, K.-H.; Yang, I.J.; Kim, W.-J.; Park, C.-J.; Park, J.-W.; Noh, G.E.; Lee, S.; Lee, Y.M.; Hwang, H.K.; Kim, H.C. Expression analysis of interferon-stimulated gene 15 in the rock bream Oplegnathus fasciatus against rock bream iridovirus (RSIV) challenge. Dev. Reprod. 2017, 21, 371. [Google Scholar] [CrossRef] [PubMed]
- Trinh, T.A.; Park, J.; Oh, J.H.; Park, J.S.; Lee, D.; Kim, C.E.; Choi, H.-S.; Kim, S.-B.; Hwang, G.S.; Koo, B.A. Effect of Herbal Formulation on Immune Response Enhancement in RAW 264.7 Macrophages. Biomolecules 2020, 10, 424. [Google Scholar] [CrossRef] [PubMed]
- Ahmadifar, E.; Pourmohammadi Fallah, H.; Yousefi, M.; Dawood, M.A.O.; Hoseinifar, S.H.; Adineh, H.; Yilmaz, S.; Paolucci, M.; Van Doan, H. The gene regulatory roles of herbal extracts on the growth, immune system, and reproduction of fish. Animals 2021, 11, 2167. [Google Scholar] [CrossRef] [PubMed]








| Primer | Forward | Reverse | Accession Number |
|---|---|---|---|
| Mx | 5′-GTCCAGTACCACATGCTGGACC | 5′-TTTGCCAGCACTCCTCAGGCGT-3′ | KM216417 |
| ISG15 | 5′-GGCAAAAGATCGTGTCTCGT-3′ | 5′-CATCACGGCATTGAAAACA-3′ | KP604219 |
| STAT1 | 5′-AGAAGGGCCAGGTCAAAACT-3′ | 5′-TCCACAGCCAGAATGGTACA-3′ | Kept on hold for the complete sequence |
| β-actin | 5′-TTCGAGCAGGAGATGGGCACTG- 3′ | 5′-GCATCCTGTCAGCAATGCCA-3′ | Housekeeping gene (EU184877) |
| Trt | Rf | RQ (ng) | Band (%) | Lane (%) |
|---|---|---|---|---|
| ** β-actin | 0.94–0.98 | 1.38–1.46 | 52.8–59.35 | 32.77–38.31 |
| CT.90 | 0.73 ± 0.12 a | 1.12 ± 0.12 a | 35.63 ± 1.17 a | 22.18 ± 2.17 a |
| T1.90 | 0.74 ± 0.07 b | 1.17 ± 0.17 ab | 37.42 ± 0.96 a | 26.56 ± 1.08 abc |
| T2.90 | 0.83 ± 0.06 b | 1.29 ± 0.21 cd | 47.56 ± 1.53 d | 29.43 ± 1.48 bcde |
| T3.90 | 0.89 ± 0.06 b | 1.34 ± 0.26 d | 49.88 ± 1.18 d | 32.33 ± 2.19 fg |
| CT.100Ah | 0.79 ± 0.02 b | 1.14 ± 0.28 a | 38.43 ± 1.29 ab | 24.45 ± 2.94 ab |
| T1.100Ah | 0.83 ± 0.08 b | 1.26 ± 0.31 c | 41.27 ± 2.13 bc | 28.42 ± 1.87 cdef |
| T2.100Ah | 0.98 ± 0.05 c | 1.46 ± 0.35 e | 59.35 ± 3.21 e | 38.31 ± 3.28 h |
| T3.100Ah | 0.95 ± 0.04 c | 1.42 ± 0.18 e | 49.23 ± 2.38 d | 34.68 ± 2.19 gh |
| CT.100Et | 0.78 ± 0.08 b | 1.12 ± 0.24 a | 37.23 ± 1.78 ab | 23.31 ± 2.18 abc |
| T1.100Et | 0.81 ± 0.02 b | 1.22 ± 0.38 bc | 40.12 ± 0.59 bc | 26.35 ± 1.84 bcd |
| T2.100Et | 0.93 ± 0.05 c | 1.34 ± 0.16 d | 46.35 ± 1.67 d | 31.26 ± 2.72 efg |
| T3.100Et | 0.87 ± 0.07 c | 1.31 ± 0.26 d | 43.37 ± 0.79 c | 30.18 ± 2.18 def |
| Trt | Rf | RQ (ng) | Band (%) | Lane (%) |
|---|---|---|---|---|
| ** β-actin | 0.95–0.99 | 1.37–1.49 | 53.4–59.49 | 33.05–39.67 |
| CT.90 | 0.77 ± 0.08 a | 1.18 ± 0.18 a | 37.73 ± 3.78 abc | 25.98 ± 2.52 a |
| T1.90 | 0.71 ± 0.07 a | 1.14 ± 0.21 a | 34.32 ± 2.67 ab | 24.34 ± 1.57 a |
| T2.90 | 0.87 ± 0.04 cd | 1.32 ± 0.14 bc | 49.78 ± 3.28 bcd | 33.42 ± 2.81 bc |
| T3.90 | 0.84 ± 0.02 bc | 1.31 ± 0.18 bc | 46.56 ± 2.53 a | 32.78 ± 3.81 bc |
| CT.100Ah | 0.88 ± 0.07 cd | 1.34 ± 0.26 e | 51.75 ± 3.92 cd | 34.56 ± 3.29 c |
| T1.100Ah | 0.81 ± 0.04 ab | 1.29 ± 0.23 b | 47.27 ± 2.86 bcd | 31.23 ± 2.45 b |
| T2.100Ah | 0.99 ± 0.05 f | 1.49 ± 0.17 g | 59.49 ± 2.76 d | 39.67 ± 1.98 g |
| T3.100Ah | 0.95 ± 0.06 ef | 1.45 ± 0.18 f | 53.54 ± 3.89 d | 37.86 ± 2.65 f |
| CT.100Et | 0.82 ± 0.04 ab | 1.3 ± 0.24 cd | 46.52 ± 3.56 bcd | 32.23 ± 2.15 bc |
| T1.100Et | 0.84 ± 0.04 bc | 1.32 ± 0.31 cde | 46.73 ± 2.15 bcd | 32.65 ± 1.87 bc |
| T2.100Et | 0.93 ± 0.07 ef | 1.44 ± 0.17 fg | 52.23 ± 3.19 d | 35.65 ± 1.54 d |
| T3.100Et | 0.89 ± 0.03 d | 1.36 ± 0.19 de | 49.89 ± 2.58 bcd | 35.63 ± 2.14 de |
| Trt | Rf | RQ (ng) | Band (%) | Lane (%) |
|---|---|---|---|---|
| ** β-actin | 0.92–0.96 | 1.33–1.41 | 50.8–57.35 | 31.77–35.31 |
| CT.90 | 0.73 ± 0.06 ab | 1.12 ± 0.32 a | 35.63 ± 4.23 a | 22.18 ± 3.95 a |
| T1.90 | 0.74 ± 0.07 a | 1.17 ± 0.23 a | 37.42 ± 3.67 ab | 26.56 ± 1.23 bc |
| T2.90 | 0.83 ± 0.04 cd | 1.29 ± 0.14 bc | 47.56 ± 2.17 ef | 29.43 ± 1.95 de |
| T3.90 | 0.89 ± 0.03 ef | 1.34 ± 0.12 c | 49.88 ± 3.21 fg | 32.33 ± 2.85 efg |
| CT.100Ah | 0.79 ± 0.08 bc | 1.14 ± 0.18 a | 38.43 ± 2.85 b | 24.45 ± 3.18 bc |
| T1.100Ah | 0.83 ± 0.05 cd | 1.26 ± 0.27 b | 41.27 ± 2.96 c | 28.42 ± 2.63 cd |
| T2.100Ah | 0.98 ± 0.08 g | 1.44 ± 0.16 d | 52.37 ± 3.98 g | 36.57 ± 3.21 fg |
| T3.100Ah | 0.95 ± 0.05 fg | 1.42 ± 0.20 a | 49.23 ± 2.69 fg | 34.68 ± 2.96 g |
| CT.100Et | 0.78 ± 0.07 ab | 1.12 ± 0.34 a | 37.23 ± 3.78 ab | 23.31 ± 3.82 ab |
| T1.100Et | 0.81 ± 0.08 cd | 1.22 ± 0.16 b | 40.12 ± 2.82 bc | 26.35 ± 2.94 bc |
| T2.100Et | 0.93 ± 0.08 ef | 1.34 ± 0.18 c | 46.35 ± 2.92 de | 31.26 ± 1.96 ef |
| T3.100Et | 0.87 ± 0.03 de | 1.31 ± 0.02 c | 43.37 ± 3.62 c | 30.18 ± 2.47 e |
Disclaimer/Publisher’s Note: The statements, opinions and data contained in all publications are solely those of the individual author(s) and contributor(s) and not of MDPI and/or the editor(s). MDPI and/or the editor(s) disclaim responsibility for any injury to people or property resulting from any ideas, methods, instructions or products referred to in the content. |
© 2022 by the authors. Licensee MDPI, Basel, Switzerland. This article is an open access article distributed under the terms and conditions of the Creative Commons Attribution (CC BY) license (https://creativecommons.org/licenses/by/4.0/).
Share and Cite
Meena, D.K.; Panda, S.P.; Sahoo, A.K.; Srivastava, P.P.; Sahu, N.P.; Kumari, M.; Samantaray, S.; Borah, S.; Das, B.K. Immunogenic Effects of Dietary Terminalia arjuna Bark Powder in Labeo rohita, a Fish Model: Elucidated by an Integrated Biomarker Response Approach. Animals 2023, 13, 39. https://doi.org/10.3390/ani13010039
Meena DK, Panda SP, Sahoo AK, Srivastava PP, Sahu NP, Kumari M, Samantaray S, Borah S, Das BK. Immunogenic Effects of Dietary Terminalia arjuna Bark Powder in Labeo rohita, a Fish Model: Elucidated by an Integrated Biomarker Response Approach. Animals. 2023; 13(1):39. https://doi.org/10.3390/ani13010039
Chicago/Turabian StyleMeena, Dharmendra Kumar, Soumya Prasad Panda, Amiya Kumar Sahoo, Prem Prakash Srivastava, Narottam Prasad Sahu, Mala Kumari, Smruti Samantaray, Simanku Borah, and Basanta Kumar Das. 2023. "Immunogenic Effects of Dietary Terminalia arjuna Bark Powder in Labeo rohita, a Fish Model: Elucidated by an Integrated Biomarker Response Approach" Animals 13, no. 1: 39. https://doi.org/10.3390/ani13010039
APA StyleMeena, D. K., Panda, S. P., Sahoo, A. K., Srivastava, P. P., Sahu, N. P., Kumari, M., Samantaray, S., Borah, S., & Das, B. K. (2023). Immunogenic Effects of Dietary Terminalia arjuna Bark Powder in Labeo rohita, a Fish Model: Elucidated by an Integrated Biomarker Response Approach. Animals, 13(1), 39. https://doi.org/10.3390/ani13010039

