Expression of Oxytocin/Neurophysin I and Oxytocinase in the Equine Conceptus from Day 8 to Day 21 Post-Ovulation
Abstract
Simple Summary
Abstract
1. Introduction
2. Materials and Methods
2.1. Animals
2.2. Transcervical Embryo/Conceptus Collection
2.3. RNA Isolation
2.4. Real-Time RT-PCR (qPCR)
2.5. Western Blot (WB) for OXT and LNPEP
2.5.1. Sample Preparation
2.5.2. Determination of Protein Concentration
2.5.3. Gel Electrophoresis and Protein Transfer
2.5.4. Blocking and Antibodies
2.6. Liquid Chromatography Tandem Mass-Spectrometry (LC-MS/MS)
2.6.1. In-Gel Trypsin Digestion of SDS Gel Bands
2.6.2. Protein Identification by Nano LC/MS/MS Analysis
2.6.3. LC-MS/MS Data Analysis
2.7. Immunohistochemistry (IHC) for OXT and LNPEP
2.8. Statistical Analysis
3. Results
3.1. Embryonic Gene Expression
3.1.1. Oxytocin Related Genes
3.1.2. Steroid Hormone Receptor
3.1.3. Prostaglandin Related Genes
3.1.4. Glucose Transporter Genes
3.1.5. Gene Correlations
3.2. Western Blot
3.3. Liquid Chromatography Tandem Mass-Spectrometry (LC-MS/MS)
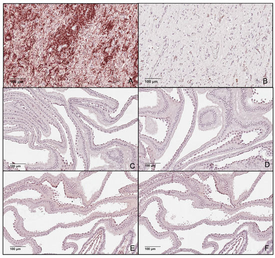
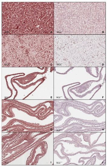
3.4. Immunohistochemistry for LNPEP and OXT
4. Discussion
5. Conclusions
Supplementary Materials
Author Contributions
Funding
Institutional Review Board Statement
Informed Consent Statement
Data Availability Statement
Acknowledgments
Conflicts of Interest
References
- Aurich, C.; Budik, S. Early pregnancy in the horse revisited—Does exception prove the rule? J. Anim. Sci. Biotechnol. 2015, 6, 50. [Google Scholar] [CrossRef] [PubMed]
- Raeside, J.I.; Christie, H.L.; Waelchli, R.O.; Betteridge, K.J. Estrogen metabolism by the equine embryo proper during the fourth week of pregnancy. Reproduction 2009, 138, 953–960. [Google Scholar] [CrossRef] [PubMed][Green Version]
- Paulo, E.; Tischner, M. Activity of delta(5)3beta-hydroxysteroid dehydrogenase and steroid hormones content in early preimplantation horse embryos. Folia Histochem. Cytobiol. 1985, 23, 81–84. [Google Scholar] [PubMed]
- Rambags, B.P.B.; van Tol, H.T.A.; van den Eng, M.M.; Colenbrander, B.; Stout, T.A.E. Expression of progesterone and oestrogen receptors by early intrauterine equine conceptuses. Theriogenology 2008, 69, 366–375. [Google Scholar] [CrossRef]
- Smits, K.; Willems, S.; Van Steendam, K.; Van De Velde, M.; De Lange, V.; Ververs, C.; Roels, K.; Govaere, J.; Van Nieuwerburgh, F.; Peelman, L.; et al. Proteins involved in embryo-maternal interaction around the signalling of maternal recognition of pregnancy in the horse. Sci. Rep. 2018, 8, 5249. [Google Scholar] [CrossRef]
- Swegen, A.; Grupen, C.G.; Gibb, Z.; Baker, M.A.; de Ruijter-Villani, M.; Smith, N.D.; Stout, T.A.E.; Aitken, R.J. From Peptide Masses to Pregnancy Maintenance: A Comprehensive Proteomic Analysis of The Early Equine Embryo Secretome, Blastocoel Fluid, and Capsule. Proteomics 2017, 17, 1600433. [Google Scholar] [CrossRef]
- Budik, S.; Walter, I.; Leitner, M.-C.; Ertl, R.; Aurich, C. Expression of Enzymes Associated with Prostaglandin Synthesis in Equine Conceptuses. Animals 2021, 11, 1180. [Google Scholar] [CrossRef]
- Stout, T.A.; Allen, W.R. Role of prostaglandins in intrauterine migration of the equine conceptus. Reproduction 2001, 121, 771–775. [Google Scholar] [CrossRef]
- Watson, E.D.; Sertich, P.L. Prostaglandin production by horse embryos and the effect of co-culture of embryos with endometrium from pregnant mares. J. Reprod. Fertil. 1989, 87, 331–336. [Google Scholar] [CrossRef]
- Waelchli, R.O.; Shand, N.A.; Roud, H.K.; Alexander, S.L.; Betteridge, K.J. Oxytocin and arginine vasopressin accumulation in the equine conceptus during the second and fifth weeks of gestation. In Proceedings of the Society for Theriogenology Annual Conference on Theriogenology, San Antonio, TX, USA, 2 December 2000; p. 287. [Google Scholar]
- Vanderwall, D.K.; Woods, G.L.; Weber, J.A.; Lichtenwalner, A.B. Corpus luteum function in non-pregnant mares following intrauterine admnistration of prostaglandin E2 or estradiol 17-beta. Theriogenology 1994, 42, 1069–1083. [Google Scholar] [CrossRef]
- Wilsher, S.; Allen, W.R. Intrauterine administration of plant oils inhibits luteolysis in the mare. Equine Vet. J. 2011, 43, 99–105. [Google Scholar] [CrossRef] [PubMed]
- Freeman, D.; Woods, G.; Vanderwall, D.K.; Weber, J.A. Embryo-initiated oviductal transport in mares. J. Reprod. Fertil. 1992, 95, 535–538. [Google Scholar] [CrossRef] [PubMed][Green Version]
- Stout, T.A.E.; Allen, W.R. Prostaglandin E(2) and F(2 alpha) production by equine conceptuses and concentrations in conceptus fluids and uterine flushings recovered from early pregnant and dioestrous mares. Reproduction 2002, 123, 261–268. [Google Scholar] [CrossRef]
- Gastal, M.O.; Gastal, E.L.; Torres, C.A.A.; Ginther, O.J. Effect of PGE2 on uterine contractility and tone in mares. Theriogenology 1998, 50, 989–999. [Google Scholar] [CrossRef]
- Weber, J.A.; Woods, G.L.; Freeman, D.A.; Vanderwall, D.K. Prostaglandin E2 secretion by day-6 to day-9 equine embryos. Prostaglandins 1992, 43, 55–59. [Google Scholar] [CrossRef]
- Okada, C.T.C.; Andrade, V.P.; Freitas-Dell’Aqua, C.P.; Nichi, M.; Fernandes, C.B.; Papa, F.O.; Alvarenga, M.A. The effect of flunixin meglumine, firocoxib and meloxicam on the uterine mobility of equine embryos. Theriogenology 2019, 123, 132–138. [Google Scholar] [CrossRef] [PubMed]
- Sharp, D.C.; Thatcher, M.J.; Salute, M.E.; Fuchs, A.R. Relationship between endometrial oxytocin receptors and oxytocin-induced prostaglandin F2 alpha release during the oestrous cycle and early pregnancy in pony mares. J. Reprod. Fertil. 1997, 109, 137–144. [Google Scholar] [CrossRef]
- Rapacz-Leonard, A.; Leonard, M.; Chmielewska-Krzesinska, M.; Siemieniuch, M.; Janowski, T.E. The oxytocin-prostaglandins pathways in the horse (Equus caballus) placenta during pregnancy, physiological parturition, and parturition with fetal membrane retention. Sci. Rep. 2020, 10, 2089. [Google Scholar] [CrossRef]
- Santos, V.G.; Castro, T.; Bettencourt, E.M.; Ginther, O.J. Oxytocin induction of pulses of a prostaglandin metabolite and luteolysis in mares. Theriogenology 2015, 83, 730–738. [Google Scholar] [CrossRef]
- de Ruijter-Villani, M.; van Tol, H.T.A.; Stout, T.A.E. Effect of pregnancy on endometrial expression of luteolytic pathway components in the mare. Reprod. Fertil. Dev. 2015, 27, 834–845. [Google Scholar] [CrossRef]
- Wathes, D.C.; Swann, R.W. Is oxytocin an ovarian hormone? Nature 1982, 297, 225–227. [Google Scholar] [CrossRef] [PubMed]
- Rodgers, R.J.; O’Shea, J.D.; Findlay, J.K.; Flint, A.P.F.; Sheldrick, E.L. Larte luteal cells the source of luteal oxytocin in the sheep. Endocrinology 1983, 113, 2302–2304. [Google Scholar] [CrossRef] [PubMed]
- Vanderwall, D.K.; Silvia, W.J.; Fitzgerald, B.P. Concentrations of oxytocin in the intercavernous sinus of mares during luteolysis: Temporal relationship with concentrations of 13,14-dihydro-15-keto-prostaglandin F2 alpha. J. Reprod. Fertil. 1998, 112, 337–346. [Google Scholar] [CrossRef] [PubMed]
- Cadario, M.E.; Merritt, A.M.; Archbald, L.F.; Thatcher, W.W.; LeBlanc, M.M. Changes in intrauterine pressure after oxytocin administration in reproductively normal mares and in those with a delay in uterine clearance. Theriogenology 1999, 51, 1017–1025. [Google Scholar] [CrossRef]
- Budik, S.; Palm, F.; Walter, I.; Helmreich, M.; Aurich, C. Increasing expression of oxytocin and vasopressin receptors in the equine conceptus between Days 10 and 16 of pregnancy. Reprod. Fertil. Dev. 2012, 24, 641. [Google Scholar] [CrossRef]
- Vanderwall, D.K.; Parkinson, K.C.; Rigas, J. How to use oxytocin treatment to prolong corpus luteum function for suppressing estrus in mares. J. Equine. Vet. Sci. 2016, 36, 1–4. [Google Scholar] [CrossRef]
- Stout, T.A.; Lamming, G.E.; Allen, W.R. Oxytocin administration prolongs luteal function in cyclic mares. J. Reprod. Fertil. 1999, 116, 315–320. [Google Scholar] [CrossRef]
- Vanderwall, D.K.; Rasmussen, D.M.; Woods, G.L. Effect of repeated administration of oxytocin during diestrus on duration of function of corpora lutea in mares. J. Am. Vet. Med. Assoc. 2007, 231, 1864–1867. [Google Scholar] [CrossRef]
- Waelchli, R.; Shand, N.; Round, H.; Alexander, S.; Betteridge, K. Oxytocin and arginine vasopressin accumulation in the equine conceptus during the 5th to 7th weeks of gestation. Theriogenology 2000, 53, 287. [Google Scholar]
- Stout, T.A.; Lamming, G.E.; Allen, W.R. The uterus as a source of oxytocin in cyclic mares. J. Reprod. Fertil. Suppl. 2000, 281–287. [Google Scholar]
- Behrendt-Adam, C.Y.; Adams, M.H.; Simpson, K.S.; McDowell, K.J. Oxytocin-neurophysin I mRNA abundance in equine uterine endometrium. Domest. Anim. Endocrinol. 1999, 16, 183–192. [Google Scholar] [CrossRef]
- Watson, E.D.; Buckingham, J.; Björkstén, T.S. Immunolocalisation of oxytocin in the equine ovary. Equine Vet. J. 1999, 31, 174–175. [Google Scholar] [CrossRef] [PubMed]
- Ushizawa, K.; Herath, C.B.; Kaneyama, K.; Shiojima, S.; Hirasawa, A.; Takahashi, T.; Imai, K.; Ochiai, K.; Tokunaga, T.; Tsunoda, Y.; et al. cDNA microarray analysis of bovine embryo gene expression profiles during the pre-implantation period. Reprod. Biol. Endocrinol. 2004, 2, 77. [Google Scholar] [CrossRef] [PubMed][Green Version]
- Nomura, S.; Ito, T.; Yamamoto, E.; Sumigama, S.; Iwase, A.; Okada, M.; Shibata, K.; Ando, H.; Ino, K.; Kikkawa, F.; et al. Gene regulation and physiological function of placental leucine aminopeptidase/oxytocinase during pregnancy. Biochim. Biophys. Acta Proteins Proteom. 2005, 1751, 19–25. [Google Scholar] [CrossRef]
- Mastick, C.C.; Aebersold, R.; Lienhard, G.E. Characterization of a major protein in GLUT4 vesicles. Concentration in the vesicles and insulin-stimulated translocation to the plasma membrane. J. Biol. Chem. 1994, 269, 6089–6092. [Google Scholar] [CrossRef]
- Tsujimoto, M.; Hattori, A. The oxytocinase subfamily of M1 aminopeptidases. Biochim. Biophys. Acta Proteins Proteom. 2005, 1751, 9–18. [Google Scholar] [CrossRef]
- Gao, H.; Wu, G.; Spencer, T.E.; Johnson, G.A.; Bazer, F.W. Select nutrients in the ovine uterine lumen. ii. glucose transporters in the uterus and peri-implantation conceptuses. Biol. Reprod. 2009, 80, 94–104. [Google Scholar] [CrossRef]
- Dorniak, P.; Bazer, F.W.; Wu, G.; Spencer, T.E. Conceptus-derived prostaglandins regulate endometrial function in sheep. Biol. Reprod. 2012, 87, 1–7. [Google Scholar] [CrossRef]
- Gibson, C.; de Ruijter-Villani, M.; Rietveld, J.; Stout, T.A.E. Expression of glucose transporters in the endometrium and early conceptus membranes of the horse. Placenta 2018, 68, 23–32. [Google Scholar] [CrossRef]
- Boerboom, D.; Brown, K.A.; Vaillancourt, D.; Poitras, P.; Goff, A.K.; Watanabe, K.; Doré, M.; Sirois, J. Expression of key prostaglandin synthases in equine endometrium during late diestrus and early pregnancy. Biol. Reprod. 2004, 70, 391–399. [Google Scholar] [CrossRef]
- Bramer, S.A.; Macedo, A.; Klein, C. Hexokinase 2 drives glycogen accumulation in equine endometrium at day 12 of diestrus and pregnancy. Reprod. Biol. Endocrinol. 2017, 15, 4. [Google Scholar] [CrossRef]
- Yang, Y.; Thannhauser, T.W.; Li, L.; Zhang, S. Development of an integrated approach for evaluation of 2-D gel image analysis: Impact of multiple proteins in single spots on comparative proteomics in conventional 2-D gel/MALDI workflow. Electrophoresis 2007, 28, 2080–2094. [Google Scholar] [CrossRef] [PubMed]
- Thomas, C.J.; Cleland, T.P.; Zhang, S.; Gundberg, C.M.; Vashishth, D. Identification and characterization of glycation adducts on osteocalcin. Anal. Biochem. 2017, 525, 46–53. [Google Scholar] [CrossRef] [PubMed]
- Yang, Y.; Anderson, E.; Zhang, S. Evaluation of six sample preparation procedures for qualitative and quantitative proteomics analysis of milk fat globule membrane. Electrophoresis 2018, 39, 2332–2339. [Google Scholar] [CrossRef] [PubMed]
- Yeen Chai, S.; Fernando, R.; Ye, S.; Peck, G.R.; Albiston, A.L. Insulin-Regulated Aminopeptidase BT—Aminopeptidases in Biology and Disease; Hooper, N.M., Lendeckel, U., Eds.; Springer: Boston, MA, USA, 2004; pp. 61–81. ISBN 978-1-4419-8869-0. [Google Scholar]
- Mustafa, T.; Chai, S.-Y.; May, C.N.; Mendelsohn, F.A.O.; Albiston, A.L. Oxytocinase/insulin-regulated aminopeptidase is distributed throughout the sheep, female reproductive tract and is regulated by oestrogen in the uterus. Regul. Pept. 2004, 122, 85–89. [Google Scholar] [CrossRef]
- Ginther, O.J.; Beg, M.A. Hormone concentration changes temporally associated with the hour of transition from preluteolysis to luteolysis in mares. Anim. Reprod. Sci. 2011, 129, 67–72. [Google Scholar] [CrossRef]
- Kotani, Y.; Iwase, A.; Ando, H.; Mizutani, S. Oxytocin-induced prostaglandin E2 (PGE2) synthesis is regulated by progesterone via oxytocinase in Ishikawa cells. Horm. Metab. Res. 2005, 37, 4–9. [Google Scholar] [CrossRef]
- Stormshak, F. Biochemical and endocrine aspects of oxytocin production by the mammalian corpus luteum. Reprod. Biol. Endocrinol. 2003, 1, 92. [Google Scholar] [CrossRef]
- Watson, E.D.; Buckingham, J.; Björkstén, T.; Nikolakopoulos, E. Immunolocalization of oxytocin and neurophysin in the mare uterus. J. Reprod. Fertil. Suppl. 2000, 289–296. [Google Scholar]
- Pickering, B.T.; Jones, C. The neurophysins. In Hormonak Proteins and Peptides; Li, C.H., Ed.; Academic Press: New York, NY, USA, 1978; pp. 103–158. [Google Scholar]
- Parkinson, T.J.; Stewart, H.J.; Hunter, M.G.; Jones, D.S.C.; Wathes, D.C.; Flint, A.P.F. Evidence against a role for blastocyst-secreted oxytocin in early pregnancy maintenance in sheep. J. Endocrinol. 1991, 130, 443–449. [Google Scholar] [CrossRef]
- Altstein, M.; Gainer, H. Differential biosynthesis and posttranslational processing of vasopressin and oxytocin in rat brain during embryonic and postnatal development. J. Neurosci. 1988, 8, 3967LP–3977LP. [Google Scholar] [CrossRef]
- Chen, Q.; Schreiber, S.S.; Brinton, R.D. Vasopressin and oxytocin receptor mRNA expression during rat telencephalon development. Neuropeptides 2000, 34, 173–180. [Google Scholar] [CrossRef]
- Lefebre, D.; Giaid, A.; Zingg, H.H. Expression of the oxytocin gene in rat placenta. Endocrinology 1992, 130, 1185–1192. [Google Scholar]
- Buijs, R.M.; Velis, D.N.; Swaab, D.F. Ontogeny of vasopressin and oxytocin in the fetal rat: Early vasopressinergic innervation of the fetal brain. Peptides 1980, 1, 315–324. [Google Scholar] [CrossRef]
- Choy, V.J.; Watkins, W.B. Maturation of the hypothalamo-neurohypophysial system. I. Localization of neurophysin, oxytocin and vasopressin in the hypothalamus and neural lobe of the developing rat brain. Cell Tissue Res. 1979, 197, 325–336. [Google Scholar] [CrossRef] [PubMed]
- Raeside, J.I.; Christie, H.L.; Renaud, R.L.; Waelchli, R.O.; Betteridge, K.J. Estrogen metabolism in the equine conceptus and endometrium during early pregnancy in relation to estrogen concentrations in yolk-sac fluid. Biol. Reprod. 2004, 71, 1120–1127. [Google Scholar] [CrossRef] [PubMed]
- Klein, C.; Scoggin, K.E.; Ealy, A.D.; Troedsson, M.H.T.T. Transcriptional Profiling of Equine Endometrium During the Time of Maternal Recognition of Pregnancy1. Biol. Reprod. 2010, 83, 102–113. [Google Scholar] [CrossRef]
- Klohonatz, K.M.; Hess, A.M.; Hansen, T.R.; Squires, E.L.; Bouma, G.J.; Bruemmer, J.E. Equine endometrial gene expression changes during and after maternal recognition of pregnancy. J. Anim. Sci. 2015, 93, 3364–3376. [Google Scholar] [CrossRef]
- McDowell, K.J.; Adams, M.H.; Adam, C.Y.; Simpson, K.S. Changes in equine endometrial oestrogen receptor alpha and progesterone receptor mRNAs during the oestrous cycle, early pregnancy and after treatment with exogenous steroids. J. Reprod. Fertil. 1999, 117, 135–142. [Google Scholar] [CrossRef]
- Weber, J.A.; Woods, G.L.; Freeman, D.A.; Vanderwall, D.K. Prostaglandin E2-specific binding to the equine oviduct. Prostaglandins 1992, 43, 61–65. [Google Scholar] [CrossRef]
- Silva, L.A.; Ginther, O.J. An early endometrial vascular indicator of completed orientation of the embryo and the role of dorsal endometrial encroachment in mares. Biol. Reprod. 2006, 74, 337–343. [Google Scholar] [CrossRef]
- Jang, H.; Choi, Y.; Yoo, I.; Han, J.; Kim, M.; Ka, H. Expression and regulation of prostaglandin transporters, ATP-binding cassette, subfamily C, member 1 and 9, and solute carrier organic anion transporter family, member 2A1 and 5A1 in the uterine endometrium during the estrous cycle and pregnancy in pigs. Asian-Australas. J. Anim. Sci. 2017, 30, 643–652. [Google Scholar] [CrossRef]
- Illsley, N.P.; Baumann, M.U. Human placental glucose transport in fetoplacental growth and metabolism. Biochim. Biophys. Acta Mol. Basis Dis. 2020, 1866, 165359. [Google Scholar] [CrossRef]
- Leith, G.S.; Ginther, O.J. Characterization of intrauterine mobility of the early equine conceptus. Theriogenology 1984, 22, 401–408. [Google Scholar] [CrossRef]
- Ginther, O.J. Mobility of twin embryonic vesicles in mares. Theriogenology 1984, 22, 83–95. [Google Scholar] [CrossRef]
- Ginther, O.J. Equine pregnancy: Physical interactions between the uterus and conceptus. Proc. Am. Assoc. Equine Pract. 1998, 44, 73–104. [Google Scholar]








| Symbol | Accession Number | Forward (5′ to 3′) | Reverse (5′ to 3′) |
|---|---|---|---|
| ESR1 | NM_001081772.1 | ACGATGCCACCAGACCATTT | CATGTGAACCAGCTCCCTGT |
| PGR | XM_001498494.4 | GTCAGTGGACAGATGCTGTA | CGCCTTGATGAGCTCTCTAA |
| OXTR | XM_005600468.1 | CATCGTGCTGGCCTTCATCGTGTG | GGTAGCCGGAGGAGCAGCAGAGGA |
| OXT | GATCCCTCCTGCGACCAC | CTATGGAGGGGACGAAGGGT | |
| LNPEP | XM_001503684.4 | CCTCAGCTCTCGGAGTAGGA | TGAAGCCGATCGTTGGTGAA |
| PTGS2 | NM_001081775.2 | GTGACATTGATGCCATGGAG | GAATGGTGCCCCAAGTTCTA |
| PTGFR | NM_001081806.1 | CATAGGGCAGGTAGTTCTGCT | GACCCCAGTTTTTGAAGGCAA |
| PTGES | NM_001081935.1 | CCACCCCCTAGCCTCGCGAT | GGCGAAAGCCTTCTTCCTCAGCC |
| SLC2A4 | NM_001081866.2 | TTCCTCATTGGCGCCTACTC | AATGACGATGGCCAGTTGGT |
| SLC2A1 | NM_001163971.1 | TCGCAGTCGGAGTCTCAGGA | GTTGTAGCCATACTGCAGGGA |
| GAPDH | NM_001163856.1 | TTGTCAAGCTCATTTCCTGGTATG | GTTAGGGGGTCAAGTTGGGAC |
| Gene a | Day | by Day | Difference | SED b | Lower CL c | Upper CL c | p-Value |
|---|---|---|---|---|---|---|---|
| ESR1 | 8 | 21 | 6.64 | 1.49 | 1.86 | 11.41 | 0.003 |
| 10 | 21 | 9.10 | 1.37 | 4.71 | 13.48 | 0.0001 | |
| 10 | 16 | 3.77 | 0.96 | 0.71 | 6.84 | 0.01 | |
| 10 | 12 | 3.40 | 1.03 | 0.09 | 6.71 | 0.04 | |
| 12 | 21 | 5.70 | 1.37 | 1.31 | 10.08 | 0.005 | |
| 14 | 21 | 8.40 | 1.34 | 4.13 | 12.68 | 0.0001 | |
| 14 | 16 | 3.08 | 0.91 | 0.17 | 5.99 | 0.03 | |
| 15 | 21 | 6.28 | 1.42 | 1.75 | 10.82 | 0.003 | |
| 16 | 21 | 5.32 | 1.31 | 1.12 | 9.52 | 0.007 | |
| PGR | 15 | 21 | 3.42 | 1.04 | 0.12 | 6.72 | 0.04 |
| 15 | 12 | 2.64 | 0.80 | 0.08 | 5.20 | 0.04 | |
| 16 | 21 | 3.26 | 0.96 | 0.21 | 6.32 | 0.03 | |
| 16 | 12 | 2.48 | 0.70 | 0.25 | 4.72 | 0.02 | |
| OXTR | 10 | 21 | 5.42 | 1.45 | 0.73 | 10.10 | 0.02 |
| 14 | 21 | 6.03 | 1.41 | 1.46 | 10.61 | 0.005 | |
| OXT | 12 | 21 | 3.11 | 0.84 | 0.44 | 5.78 | 0.01 |
| 14 | 21 | 3.17 | 0.81 | 0.59 | 5.76 | 0.01 | |
| LNPEP | 10 | 15 | 1.77 | 0.54 | 0.03 | 3.50 | 0.04 |
| PTGS2 | 8 | 15 | 4.01 | 0.55 | 2.26 | 5.75 | 0.0001 |
| 8 | 16 | 2.06 | 0.45 | 0.63 | 3.49 | 0.001 | |
| 8 | 14 | 1.46 | 0.46 | −0.01 | 2.93 | 0.05 | |
| 10 | 15 | 5.66 | 0.52 | 3.99 | 7.32 | 0.0001 | |
| 10 | 16 | 3.71 | 0.42 | 2.37 | 5.04 | 0.0001 | |
| 10 | 14 | 3.11 | 0.43 | 1.73 | 4.49 | 0.0001 | |
| 10 | 12 | 2.11 | 0.45 | 0.67 | 3.55 | 0.001 | |
| 10 | 21 | 1.85 | 0.52 | 0.18 | 3.51 | 0.02 | |
| 10 | 8 | 1.65 | 0.48 | 0.12 | 3.18 | 0.03 | |
| 12 | 15 | 3.55 | 0.52 | 1.88 | 5.21 | 0.0001 | |
| 12 | 16 | 1.60 | 0.42 | 0.26 | 2.93 | 0.01 | |
| 14 | 15 | 2.55 | 0.51 | 0.93 | 4.16 | 0.001 | |
| 16 | 15 | 1.95 | 0.49 | 0.38 | 3.52 | 0.01 | |
| 21 | 15 | 3.81 | 0.58 | 1.95 | 5.67 | 0.0001 | |
| 21 | 16 | 1.86 | 0.49 | 0.29 | 3.43 | 0.01 | |
| PTGFR | 8 | 15 | 3.64 | 0.95 | 0.63 | 6.65 | 0.01 |
| 8 | 21 | 3.58 | 1.02 | 0.33 | 6.83 | 0.02 | |
| 10 | 15 | 5.29 | 0.90 | 2.43 | 8.14 | 0.0001 | |
| 10 | 21 | 5.22 | 0.98 | 2.11 | 8.33 | 0.0002 | |
| 10 | 16 | 3.61 | 0.78 | 1.11 | 6.10 | 0.001 | |
| 10 | 14 | 3.32 | 0.81 | 0.74 | 5.90 | 0.01 | |
| 12 | 15 | 3.02 | 0.90 | 0.17 | 5.88 | 0.03 | |
| SLC2A1 | 10 | 12 | 22.40 | 4.84 | 7.01 | 37.79 | 0.001 |
| 14 | 12 | 16.40 | 4.63 | 1.67 | 31.13 | 0.02 | |
| 10 | 16 | 16.00 | 4.48 | 1.75 | 30.25 | 0.02 |
| Embryonic Age (D) a | Gene Variable | by Gene Variable | Correlation | Lower 95% CI b | Upper 95% CI b | p-Value |
|---|---|---|---|---|---|---|
| 8 | PGR | SLC2A4 | −0.97 | −0.99 | −0.07 | 0.03 |
| OXT | PTGES | −0.97 | −0.99 | −0.10 | 0.03 | |
| 10 | PGR | ESR1 | −0.97 | −0.99 | −0.52 | 0.01 |
| PGR | PTGS2 | 0.89 | 0.06 | 0.99 | 0.04 | |
| OXTR | ESR1 | 0.99 | 0.94 | 0.99 | 0.0003 | |
| OXTR | PGR | −0.94 | −0.99 | −0.30 | 0.02 | |
| OXT | PTGES | −0.99 | −0.99 | −0.88 | 0.001 | |
| 12 | OXT | ESR1 | 0.98 | 0.73 | 0.99 | 0.003 |
| LNPEP | PTGFR | 0.97 | 0.61 | 0.99 | 0.006 | |
| 14 | LNPEP | PTGFR | 0.96 | 0.64 | 0.99 | 0.003 |
| SLC2A1 | PTGS2 | 0.81 | 0.01 | 0.98 | 0.05 | |
| SLC2A1 | LNPEP | 0.84 | 0.09 | 0.98 | 0.04 | |
| 15 | PTGFR | SLC2A4 | 0.98 | 0.33 | 0.99 | 0.02 |
| PTGES | PTGFR | 0.98 | 0.37 | 0.99 | 0.02 | |
| OXTR | PTGES | 0.99 | −1 | 0.01 | ||
| LNPEP | SLC2A4 | 0.99 | 0.55 | 0.99 | 0.01 | |
| LNPEP | PTGFR | 0.99 | 0.84 | 1 | 0.003 | |
| LNPEP | PTGES | 0.97 | 0.13 | 0.99 | 0.03 | |
| 16 | PTGES | SLC2A4 | 0.88 | 0.23 | 0.99 | 0.02 |
| PTGES | PTGS2 | 0.93 | 0.59 | 0.99 | 0.002 | |
| SLC2A1 | SLC2A4 | 0.85 | 0.13 | 0.98 | 0.03 | |
| SLC2A1 | PTGS2 | 0.80 | 0.12 | 0.97 | 0.03 | |
| SLC2A1 | PTGES | 0.85 | 0.27 | 0.98 | 0.02 | |
| 21 | PTGES | PTGFR | −0.99 | −1 | 0.03 | |
| OXT | PTGFR | 0.99 | −1 | 0.05 | ||
| OXT | PTGES | −0.99 | −1 | 0.02 |
Publisher’s Note: MDPI stays neutral with regard to jurisdictional claims in published maps and institutional affiliations. |
© 2022 by the authors. Licensee MDPI, Basel, Switzerland. This article is an open access article distributed under the terms and conditions of the Creative Commons Attribution (CC BY) license (https://creativecommons.org/licenses/by/4.0/).
Share and Cite
Diel de Amorim, M.; Klein, C.; Foster, R.; Dong, L.; Lopez-Rodriguez, M.F.; Card, C. Expression of Oxytocin/Neurophysin I and Oxytocinase in the Equine Conceptus from Day 8 to Day 21 Post-Ovulation. Animals 2022, 12, 799. https://doi.org/10.3390/ani12070799
Diel de Amorim M, Klein C, Foster R, Dong L, Lopez-Rodriguez MF, Card C. Expression of Oxytocin/Neurophysin I and Oxytocinase in the Equine Conceptus from Day 8 to Day 21 Post-Ovulation. Animals. 2022; 12(7):799. https://doi.org/10.3390/ani12070799
Chicago/Turabian StyleDiel de Amorim, Mariana, Claudia Klein, Robert Foster, Lynn Dong, Maria Fernanda Lopez-Rodriguez, and Claire Card. 2022. "Expression of Oxytocin/Neurophysin I and Oxytocinase in the Equine Conceptus from Day 8 to Day 21 Post-Ovulation" Animals 12, no. 7: 799. https://doi.org/10.3390/ani12070799
APA StyleDiel de Amorim, M., Klein, C., Foster, R., Dong, L., Lopez-Rodriguez, M. F., & Card, C. (2022). Expression of Oxytocin/Neurophysin I and Oxytocinase in the Equine Conceptus from Day 8 to Day 21 Post-Ovulation. Animals, 12(7), 799. https://doi.org/10.3390/ani12070799

