Defining Wound Healing Progression in Cetacean Skin: Characteristics of Full-Thickness Wound Healing in Fraser’s Dolphins (Lagenodelphis hosei)
Abstract
Simple Summary
Abstract
1. Introduction
2. Materials and Methods
2.1. Sample Collection
2.2. Tissue Preparation and Histochemical Staining
3. Results
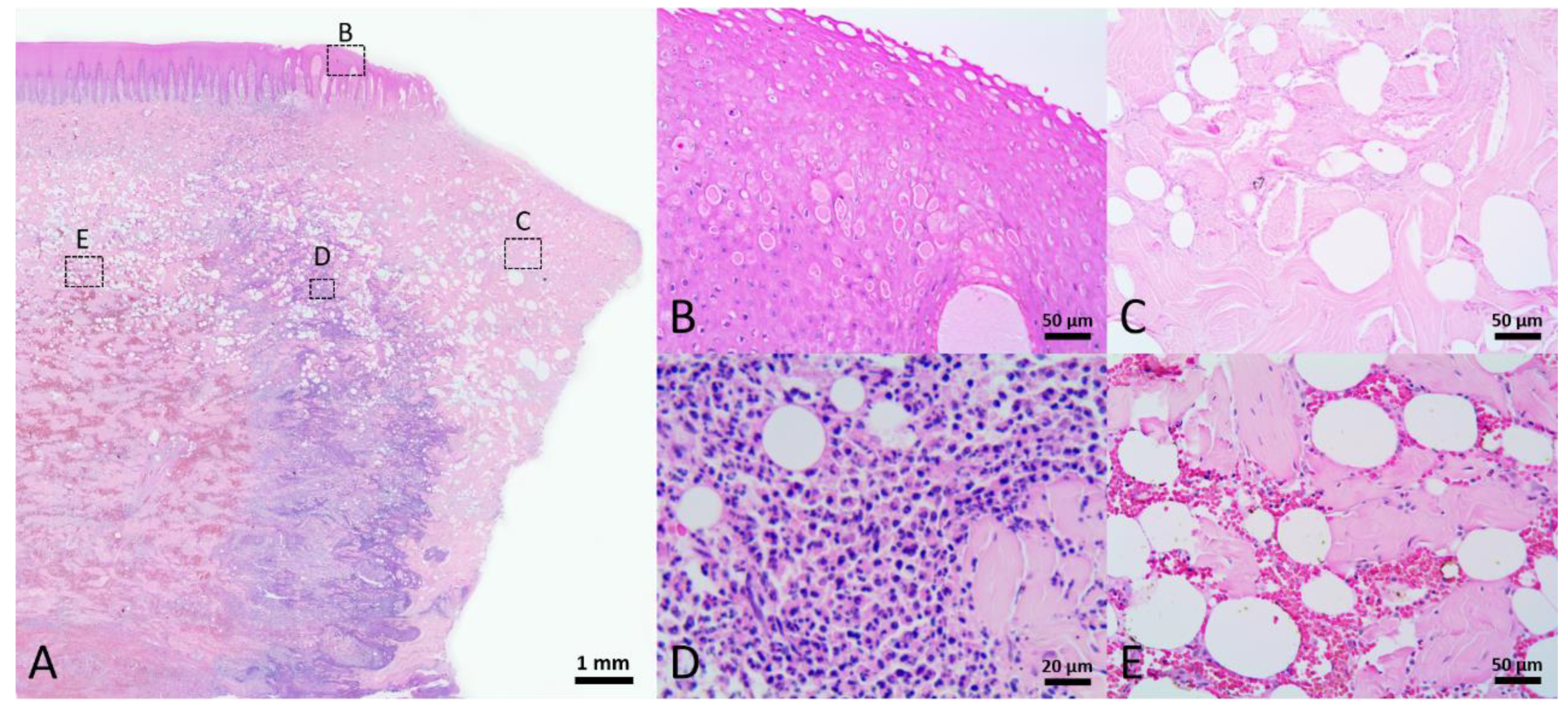
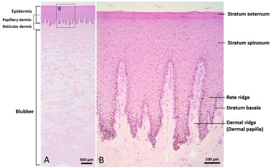
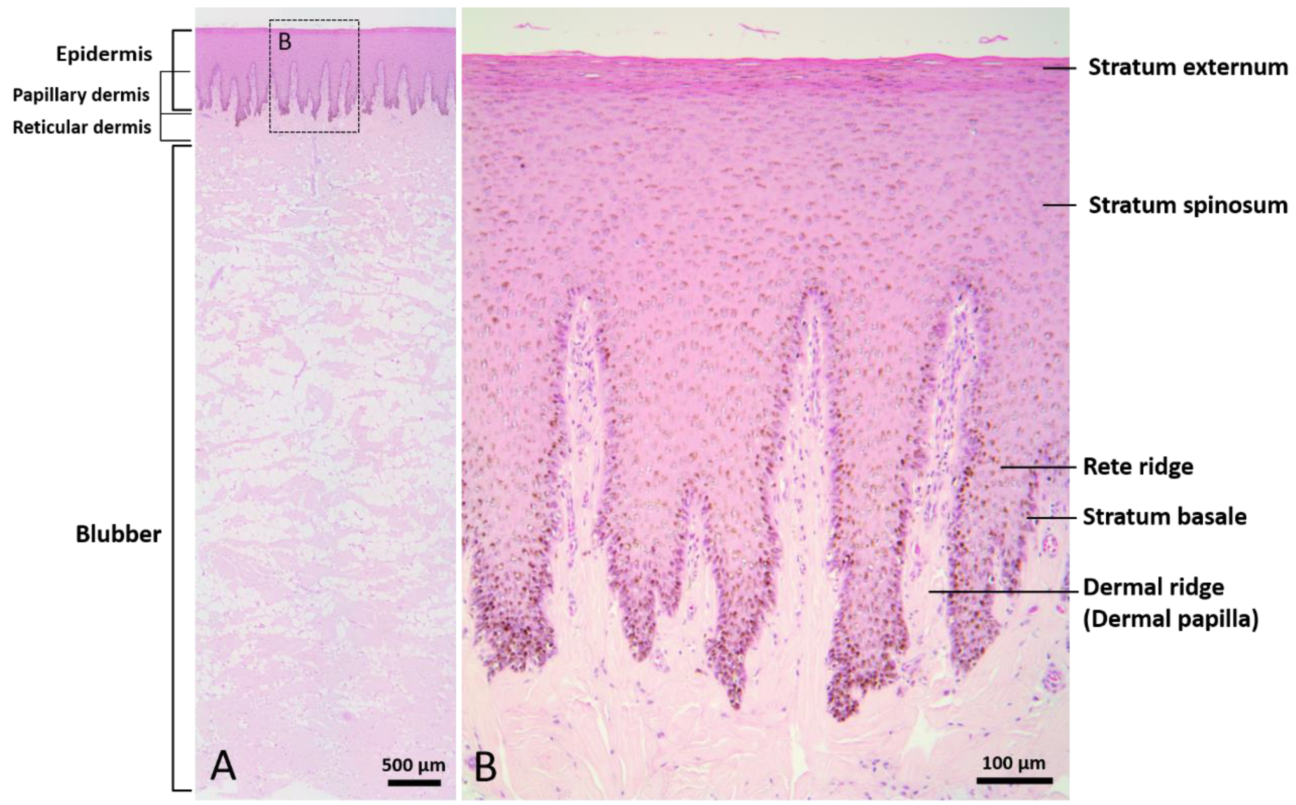
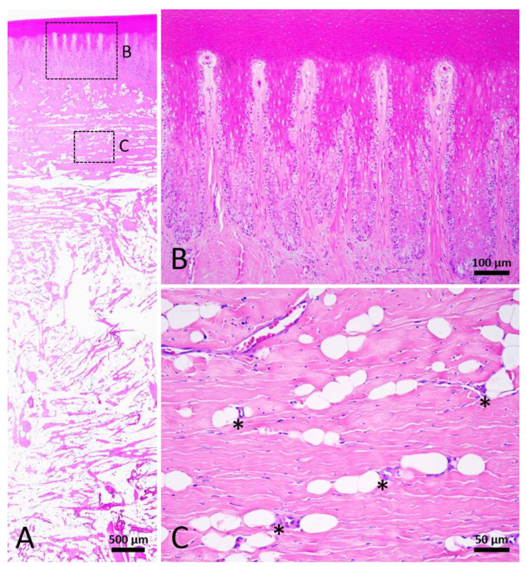
3.1. Normal Skin
3.2. Wounds
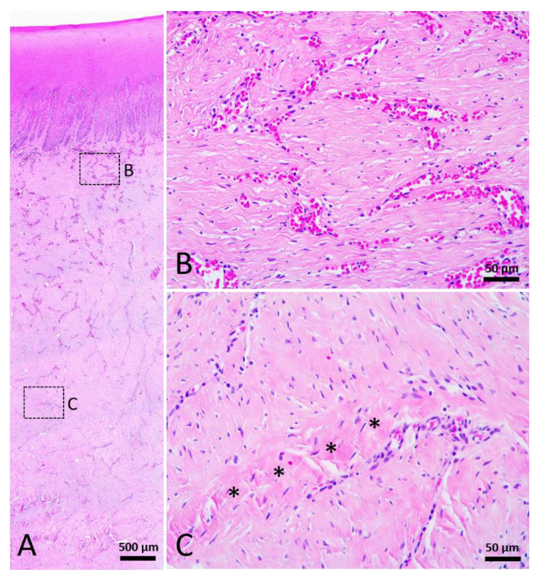
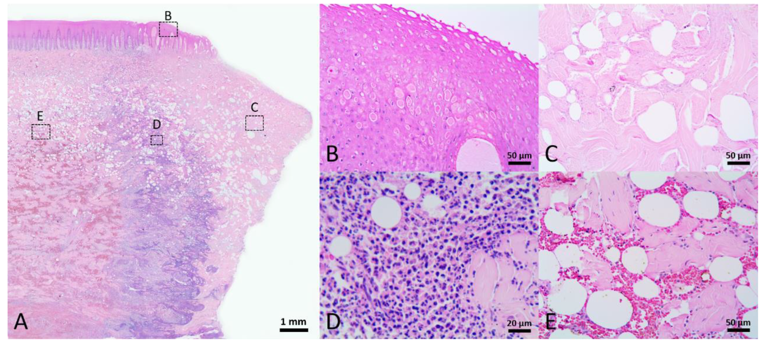
3.2.1. Recently Created or Immature Wound; Stage 1
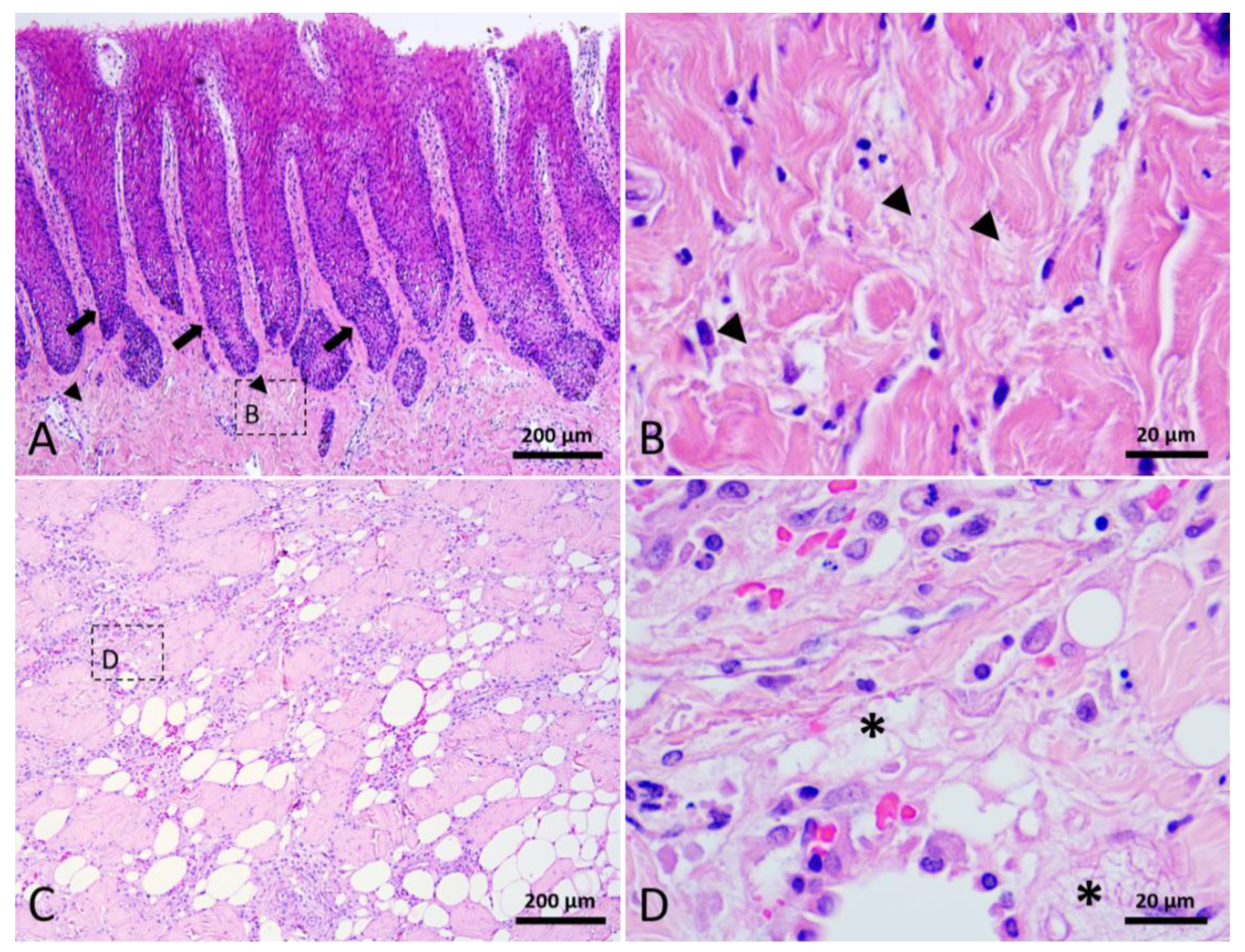
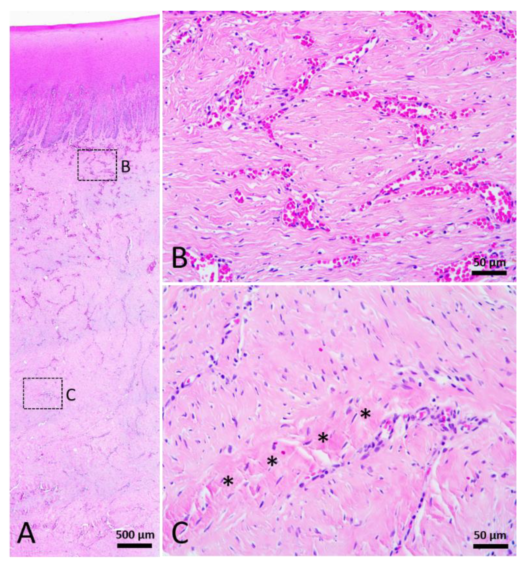
3.2.2. Initiation of Wound Healing in Wound; Stage 2
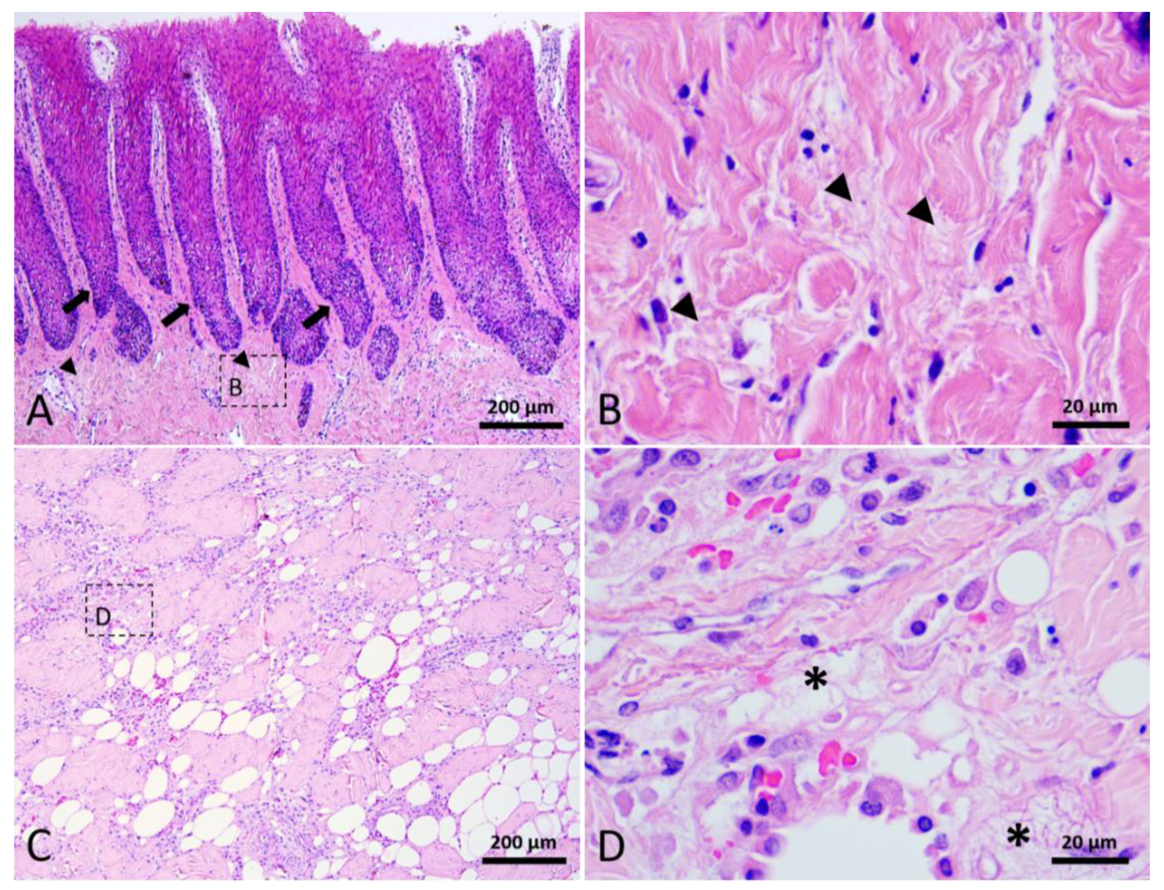
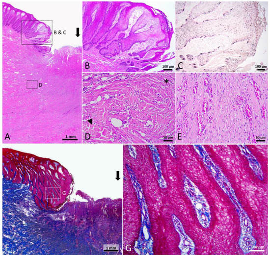
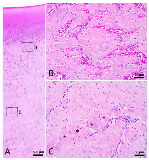
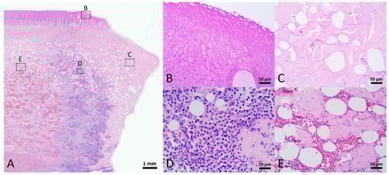
3.2.3. Mature Open Healing Wound; Stage 3
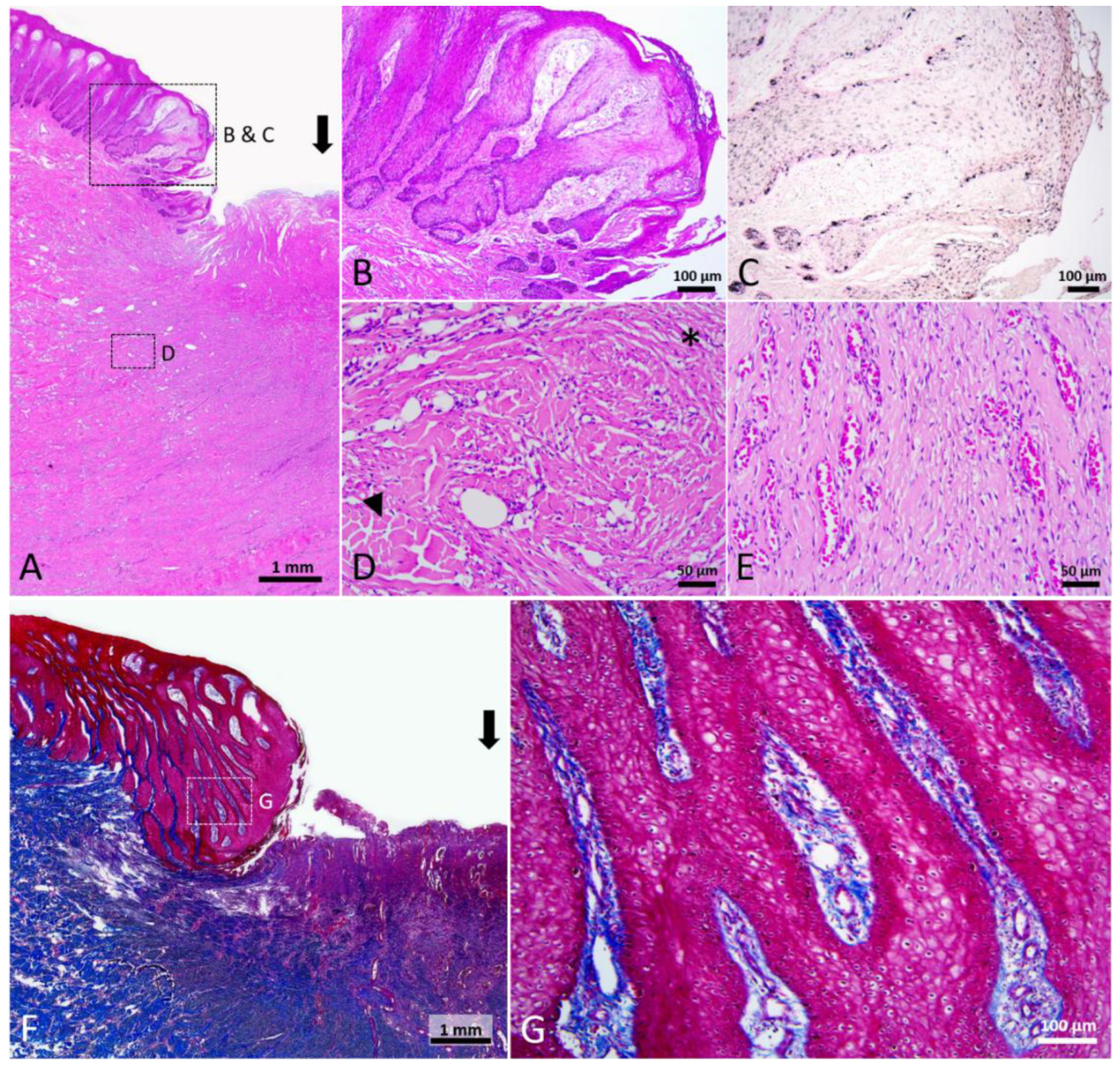
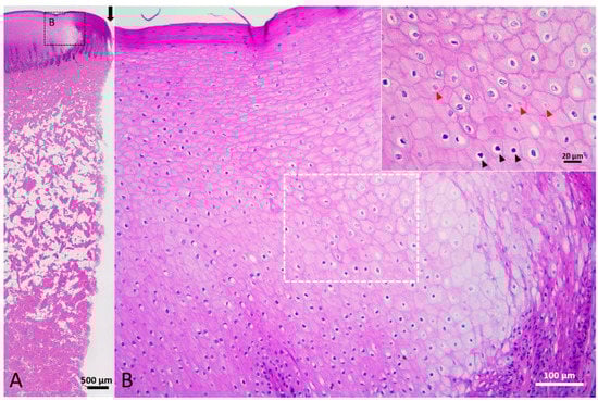
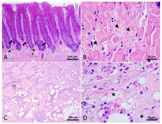
3.2.4. Immature Healed Wound; Stage 4
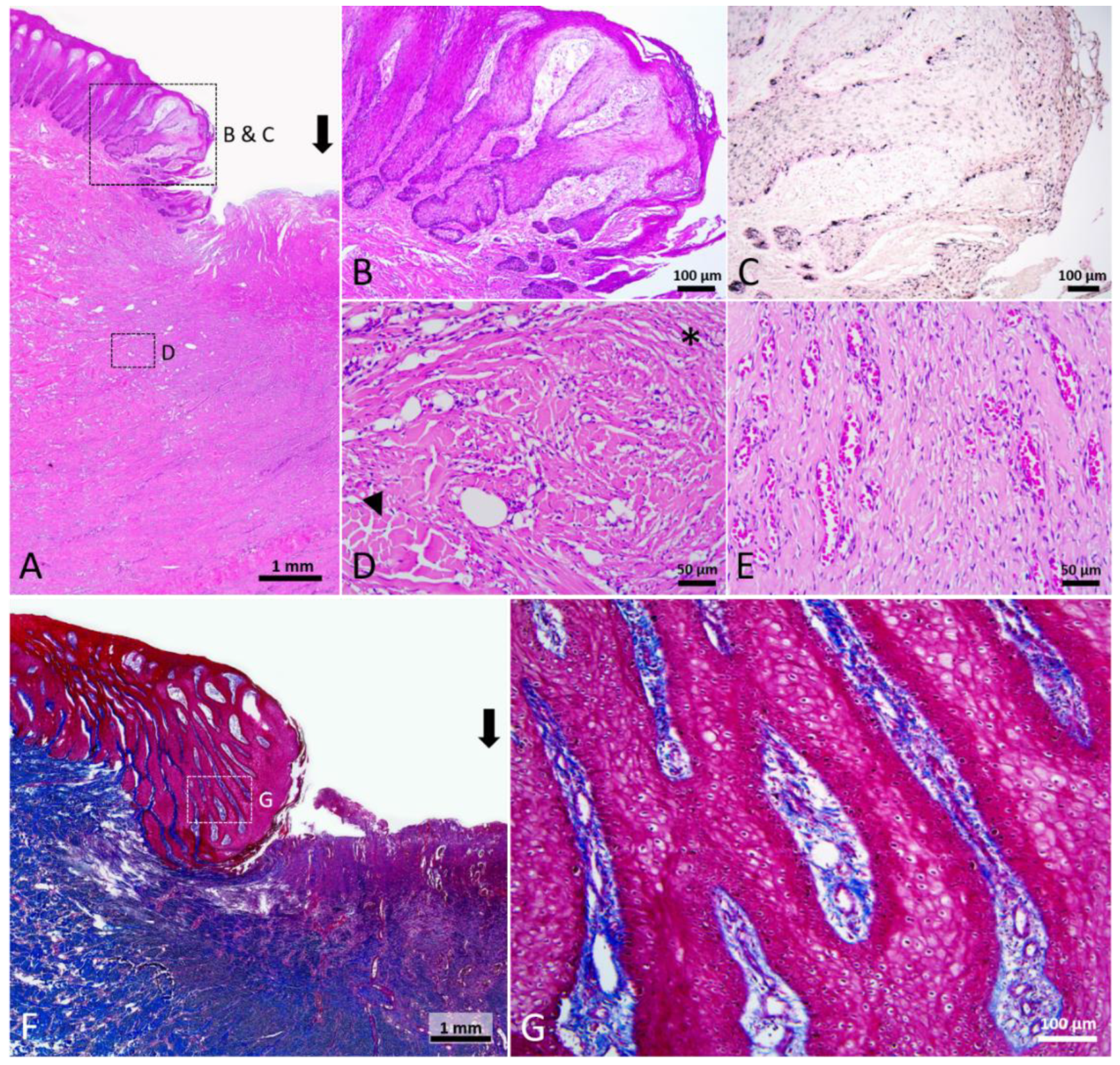
3.2.5. Mature Healed Wound; Stage 5
4. Discussion
5. Conclusions
Author Contributions
Funding
Institutional Review Board Statement
Informed Consent Statement
Data Availability Statement
Acknowledgments
Conflicts of Interest
References
- Gurtner, G.C.; Werner, S.; Barrandon, Y.; Longaker, M.T. Wound repair and regeneration. Nature 2008, 453, 314–321. [Google Scholar] [CrossRef] [PubMed]
- Gonzalez, A.C.d.O.; Costa, T.F.; Andrade, Z.d.A.; Medrado, A.R.A.P. Wound healing—A literature review. An. Bras. Dermatol. 2016, 91, 614–620. [Google Scholar] [CrossRef] [PubMed]
- Hesketh, M.; Sahin, K.B.; West, Z.E.; Murray, R.Z. Macrophage phenotypes regulate scar formation and chronic wound healing. Int. J. Mol. Sci. 2017, 18, 1545. [Google Scholar] [CrossRef] [PubMed]
- Landén, N.X.; Li, D.; Ståhle, M. Transition from inflammation to proliferation: A critical step during wound healing. Cell. Mol. Life Sci. 2016, 73, 3861–3885. [Google Scholar] [CrossRef]
- Häkkinen, L.; Larjava, H.; Koivisto, L. Granulation tissue formation and remodeling. Endod. Top. 2011, 24, 94–129. [Google Scholar] [CrossRef]
- Pastar, I.; Stojadinovic, O.; Yin, N.C.; Ramirez, H.; Nusbaum, A.G.; Sawaya, A.; Patel, S.B.; Khalid, L.; Isseroff, R.R.; Tomic-Canic, M. Epithelialization in wound healing: A comprehensive review. Adv. Wound Care 2014, 3, 445–464. [Google Scholar] [CrossRef]
- Rittie, L. Cellular mechanisms of skin repair in humans and other mammals. J. Cell Commun. Signal. 2016, 10, 103–120. [Google Scholar] [CrossRef]
- Xue, M.; Jackson, C.J. Extracellular matrix reorganization during wound healing and its impact on abnormal scarring. Adv. Wound Care 2015, 4, 119–136. [Google Scholar] [CrossRef]
- Broughton, G.; Janis, J.E.; Attinger, C.E. The basic science of wound healing. Plast. Reconstr. Surg. 2006, 117, 12s–34s. [Google Scholar] [CrossRef]
- Bohling, M.W.; Henderson, R.A.; Swaim, S.F.; Kincaid, S.A.; Wright, J.C. Cutaneous wound healing in the cat: A macroscopic description and comparison with cutaneous wound healing in the dog. Vet. Surg. 2004, 33, 579–587. [Google Scholar] [CrossRef]
- Shih, B.; Bayat, A. Genetics of keloid scarring. Arch. Dermatol. Res. 2010, 302, 319–339. [Google Scholar] [CrossRef] [PubMed]
- Volk, S.W.; Bohling, M.W. Comparative wound healing—Are the small animal veterinarian’s clinical patients an improved translational model for human wound healing research? Wound Repair Regen. 2013, 21, 372–381. [Google Scholar] [CrossRef] [PubMed]
- Wilmink, J.M.; Stolk, P.W.; Van Weeren, P.R.; Barneveld, A. Differences in second-intention wound healing between horses and ponies: Macroscopic aspects. Equine Vet. J. 1999, 31, 53–60. [Google Scholar] [CrossRef] [PubMed]
- Lin, C.H.; Chiu, P.Y.; Hsueh, Y.Y.; Shieh, S.J.; Wu, C.C.; Wong, T.W.; Chuong, C.M.; Hughes, M.W. Regeneration of rete ridges in Lanyu pig (Sus scrofa): Insights for human skin wound healing. Exp. Dermatol. 2019, 28, 472–479. [Google Scholar] [CrossRef]
- Kimura, T. Hairless descendants of Mexican hairless dogs: An experimental model for studying hypertrophic scars. J. Cutan. Med. Surg. 2011, 15, 329–339. [Google Scholar] [CrossRef]
- Zhu, K.Q.; Carrougher, G.J.; Gibran, N.S.; Isik, F.F.; Engrav, L.H. Review of the female Duroc/Yorkshire pig model of human fibroproliferative scarring. Wound Repair Regen. 2007, 15, S32–S39. [Google Scholar] [CrossRef]
- Hsu, C.K.; Lin, H.H.; Harn, H.I.; Hughes, M.W.; Tang, M.J.; Yang, C.C. Mechanical forces in skin disorders. J. Dermatol. Sci. 2018, 90, 232–240. [Google Scholar] [CrossRef]
- Bossley, M.I.; Woolfall, M.A. Recovery from severe cutaneous injury in two free ranging bottlenose dolphins (Tursiops spp.). J. Mar. Anim. Environ. 2014, 7, 12–16. [Google Scholar]
- Elwen, S.H.; Leeney, R.H. Injury and subsequent healing of a propeller strike injury to a Heaviside’s dolphin (Cephalorhynchus heavisidii). Aquat. Mamm. 2010, 36, 382. [Google Scholar] [CrossRef]
- Zasloff, M. Observations on the remarkable (and mysterious) wound-healing process of the bottlenose dolphin. J. Investig. Dermatol. 2011, 131, 2503–2505. [Google Scholar] [CrossRef]
- Espregueira Themudo, G.; Alves, L.Q.; Machado, A.M.; Lopes-Marques, M.; da Fonseca, R.R.; Fonseca, M.; Ruivo, R.; Castro, L.F.C. Losing genes: The evolutionary remodeling of Cetacea skin. Front. Mar. Sci. 2020, 7, 912. [Google Scholar] [CrossRef]
- Cozzi, B.; Huggenberger, S.; Oelschlaeger, H. General appearance and hydrodynamics (including skin anatomy). In Anatomy of Dolphins: Insights into Body Structure and Function; Academic Press: London, UK, 2017; pp. 21–31. [Google Scholar]
- Wainwright, D.; Fish, F.; Ingersoll, S.; Williams, T.; St Leger, J.; Smits, A.; Lauder, G. How smooth is a dolphin? The ridged skin of odontocetes. Biol. Lett. 2019, 15, 20190103. [Google Scholar] [CrossRef] [PubMed]
- Morales-Guerrero, B.; Barragán-Vargas, C.; Silva-Rosales, G.R.; Ortega-Ortiz, C.D.; Gendron, D.; Martinez-Levasseur, L.M.; Acevedo-Whitehouse, K. Melanin granules melanophages and a fully-melanized epidermis are common traits of odontocete and mysticete cetaceans. Vet. Dermatol. 2017, 28, 213-e50. [Google Scholar] [CrossRef]
- Hicks, B.D.; St Aubin, D.J.; Geraci, J.R.; Brown, W.R. Epidermal growth in the bottlenose dolphin, Tursiops truncatus. J. Investig. Dermatol. 1985, 85, 60–63. [Google Scholar] [CrossRef]
- Giacometti, L. The skin of the whale (Balaenoptera physalus). Anat. Rec. 1967, 159, 69–75. [Google Scholar] [CrossRef]
- Reeb, D.; Best, P.B.; Kidson, S.H. Structure of the integument of southern right whales, Eubalaena australis. Anat. Rec. Adv. Integr. Anat. Evol. Biol. 2007, 290, 596–613. [Google Scholar] [CrossRef]
- Iverson, S.J.; Koopman, H.N. Blubber. In Encyclopedia of Marine Mammals, 3rd ed.; Würsig, B., Thewissen, J.G.M., Kovacs, K.M., Eds.; Academic Press: London, UK, 2018; pp. 107–110. [Google Scholar]
- Hashimoto, O.; Ohtsuki, H.; Kakizaki, T.; Amou, K.; Sato, R.; Doi, S.; Kobayashi, S.; Matsuda, A.; Sugiyama, M.; Funaba, M.; et al. Brown adipose tissue in cetacean blubber. PLoS ONE 2015, 10, e0116734. [Google Scholar] [CrossRef]
- Struntz, D.J.; McLellan, W.A.; Dillaman, R.M.; Blum, J.E.; Kucklick, J.R.; Pabst, D.A. Blubber development in bottlenose dolphins (Tursiops truncatus). J. Morphol. 2004, 259, 7–20. [Google Scholar] [CrossRef] [PubMed]
- Bloom, P.; Jager, M. The injury and subsequent healing of a serious propeller strike to a wild bottlenose dolphin (Tursiops truncatus) resident in cold waters off the Northumberland coast of England. Aquat. Mamm. 1994, 20, 59. [Google Scholar]
- Celona, A.; De Maddalena, A.; Comparetto, G. Evidence of predatory attack on a bottlenose dolphin Tursiops truncatus by a great white shark Carcharodon carcharias in the Mediterranean. Ann. Ser. Hist. Nat. 2006, 16, 164. [Google Scholar]
- Corkeron, P.; Morris, R.; Bryden, M. A note on healing of large wounds in bottlenose dolphins, Tursiops truncatus. Aquat. Mamm. 1987, 13, 96–98. [Google Scholar]
- Grace, M.; Dias, L.; Maze-Foley, K.; Sinclair, C.; Mullin, K.; Garrison, L.; Noble, L. Cookiecutter shark bite wounds on cetaceans of the Gulf of Mexico. Aquat. Mamm. 2018, 43, 491–499. [Google Scholar] [CrossRef]
- Olaya-Ponzone, L.; Espada, R.; Moreno, E.M.; Cárdenas Marcial, I.; García-Gómez, J.C. Injuries, healing and management of common dolphins (Delphinus delphis) in human-impacted waters in the south Iberian Peninsula. J. Mar. Biol. Assoc. UK 2020, 100, 315–325. [Google Scholar] [CrossRef]
- Koopman, H.N.; Iverson, S.J.; Read, A.J. High concentrations of isovaleric acid in the fats of odontocetes: Variation and patterns of accumulation in blubber vs. stability in the melon. J. Comp. Physiol. B 2003, 173, 247–261. [Google Scholar] [CrossRef]
- Vetter, W.; Scholz, E.; Gaus, C.; Müller, J.F.; Haynes, D. Anthropogenic and natural organohalogen compounds in blubber of dolphins and dugongs (Dugong dugon) from northeastern Australia. Arch. Environ. Contam. Toxicol. 2001, 41, 221–231. [Google Scholar] [CrossRef]
- Griffeth, R.J.; Garcia-Parraga, D.; Mellado-Lopez, M.; Crespo-Picazo, J.L.; Soriano-Navarro, M.; Martinez-Romero, A.; Moreno-Manzano, V. Platelet-rich plasma and adipose-derived mesenchymal stem cells for regenerative medicine-associated treatments in bottlenose dolphins (Tursiops truncatus). PLoS ONE 2014, 9, e108439. [Google Scholar] [CrossRef]
- Bruce-Allen, L.J.; Geraci, J.R. Wound healing in the bottlenose dolphin (Tursiops truncatus). Can. J. Fish. Aquat. Sci. 1985, 42, 216–228. [Google Scholar] [CrossRef]
- Geraci, J.R.; Bruce-Allen, L.J. Slow process of wound repair in beluga whales, Delphinapterus leucas. Can. J. Fish. Aquat. Sci. 1987, 44, 1661–1665. [Google Scholar] [CrossRef]
- Joblon, M.; Pokras, M.; Morse, B.; Harry, C.T.; Rose, K.S.; Sharp, S.; Niemeyer, M.E.; Patchett, K.M.; Sharp, W.B.; Moore, M.J. Body condition scoring system for Delphinids based on short-beaked common dolphins (Delphinus delphis). J. Mar. Anim. Ecol. 2014, 7, 5–13. [Google Scholar]
- Raverty, S.; Duignan, P.J.; Jepson, P.D.; Morell, M. Marine mammal gross necropsy. In CRC Handbook of Marine Mammal Medicine; CRC Press: Boca Raton, FL, USA, 2018; pp. 249–266. [Google Scholar]
- Ehrlich, F.; Fischer, H.; Langbein, L.; Praetzel-Wunder, S.; Ebner, B.; Figlak, K.; Weissenbacher, A.; Sipos, W.; Tschachler, E.; Eckhart, L. Differential evolution of the epidermal keratin cytoskeleton in terrestrial and aquatic mammals. Mol. Biol. Evol. 2019, 36, 328–340. [Google Scholar] [CrossRef]
- Eckhart, L.; Ehrlich, F.; Tschachler, E. A stress response program at the origin of evolutionary innovation in the skin. Evol. Bioinform. 2019, 15, 1176934319862246. [Google Scholar] [CrossRef] [PubMed]
- Brown, W.R.; Geraci, J.R.; Hicks, B.D.; Aubin, D.J.S.; Schroeder, J.P. Epidermal cell proliferation in the bottlenose dolphin (Tursiops truncatus). Can. J. Zool. 1983, 61, 1587–1590. [Google Scholar] [CrossRef]
- Bielczyk-Maczynska, E. White adipocyte plasticity in physiology and disease. Cells 2019, 8, 1507. [Google Scholar] [CrossRef] [PubMed]
- Randy, H.; Robert, B.; Peter, G.; George, H.B. First documented attack on a live human by a cookiecutter shark (Squaliformes, Dalatiidae: Isistius sp.). Pac. Sci. 2011, 65, 365–374. [Google Scholar] [CrossRef][Green Version]
- Birbrair, A.; Zhang, T.; Wang, Z.M.; Messi, M.L.; Mintz, A.; Delbono, O. Pericytes at the intersection between tissue regeneration and pathology. Clin. Sci. 2015, 128, 81–93. [Google Scholar] [CrossRef]
- Hudak, C.S.; Sul, H.S. Pref-1, a gatekeeper of adipogenesis. Front. Endocrinol (Lausanne) 2013, 4, 79. [Google Scholar] [CrossRef]
- Tang, W.; Zeve, D.; Suh, J.M.; Bosnakovski, D.; Kyba, M.; Hammer, R.E.; Tallquist, M.D.; Graff, J.M. White fat progenitor cells reside in the adipose vasculature. Science 2008, 322, 583. [Google Scholar] [CrossRef]
- Tran, K.V.; Gealekman, O.; Frontini, A.; Zingaretti, M.C.; Morroni, M.; Giordano, A.; Smorlesi, A.; Perugini, J.; De Matteis, R.; Sbarbati, A.; et al. The vascular endothelium of the adipose tissue gives rise to both white and brown fat cells. Cell Metab. 2012, 15, 222–229. [Google Scholar] [CrossRef]
- Szpaderska, A.M.; DiPietro, L.A. Inflammation in surgical wound healing: Friend or foe? Surgery 2005, 137, 571–573. [Google Scholar] [CrossRef]
- Rolfe, K.J.; Grobbelaar, A.O. A review of fetal scarless healing. ISRN Dermatol. 2012, 2012, 698034. [Google Scholar] [CrossRef]
- Vetter, W.; Jun, W. Non-polar halogenated natural products bioaccumulated in marine samples. II. Brominated and mixed halogenated compounds. Chemosphere 2003, 52, 423–431. [Google Scholar] [CrossRef]
- Martin, P.; D’Souza, D.; Martin, J.; Grose, R.; Cooper, L.; Maki, R.; McKercher, S.R. Wound healing in the PU.1 null mouse—tissue repair is not dependent on inflammatory cells. Curr. Biol. 2003, 13, 1122–1128. [Google Scholar] [CrossRef]
- Aloysius, A.; Saxena, S.; Seifert, A.W. Metabolic regulation of innate immune cell phenotypes during wound repair and regeneration. Curr. Opin. Immunol. 2021, 68, 72–82. [Google Scholar] [CrossRef] [PubMed]
- Cyr, J.L.; Gawriluk, T.R.; Kimani, J.M.; Rada, B.; Watford, W.T.; Kiama, S.G.; Seifert, A.W.; Ezenwa, V.O. Regeneration-competent and -incompetent murids differ in neutrophil quantity and function. Integr. Comp. Biol. 2019, 59, 1138–1149. [Google Scholar] [CrossRef] [PubMed]
- Simkin, J.; Gawriluk, T.R.; Gensel, J.C.; Seifert, A.W. Macrophages are necessary for epimorphic regeneration in African spiny mice. Elife 2017, 6, e24623. [Google Scholar] [CrossRef] [PubMed]
- Hong, Y.; Song, B.; Chen, H.D.; Gao, X.H. Melanocytes and skin immunity. J. Investig. Dermatol. Symp. Proc. 2015, 17, 37–39. [Google Scholar] [CrossRef]
- Martinez-Levasseur, L.M.; Gendron, D.; Knell, R.J.; O’Toole, E.A.; Singh, M.; Acevedo-Whitehouse, K. Acute sun damage and photoprotective responses in whales. Proc. R. Soc. B Biol. Sci. 2011, 278, 1581–1586. [Google Scholar] [CrossRef]
- Chadwick, S.L.; Yip, C.; Ferguson, M.W.J.; Shah, M. Repigmentation of cutaneous scars depends on original wound type. J. Anat. 2013, 223, 74–82. [Google Scholar] [CrossRef]
- Le Poole, I.C.; Mutis, T.; van den Wijngaard, R.M.; Westerhof, W.; Ottenhoff, T.; de Vries, R.R.; Das, P.K. A novel, antigen-presenting function of melanocytes and its possible relationship to hypopigmentary disorders. J. Immunol. 1993, 151, 7284–7292. [Google Scholar]
- Yu, N.; Zhang, S.; Zuo, F.; Kang, K.; Guan, M.; Xiang, L. Cultured human melanocytes express functional toll-like receptors 2-4, 7 and 9. J. Dermatol. Sci. 2009, 56, 113–120. [Google Scholar] [CrossRef]
- Meigel, W.N.; Gay, S.; Weber, L. Dermal architecture and collagen type distribution. Arch. Dermatol. Res. 1977, 259, 1–10. [Google Scholar] [CrossRef] [PubMed]
- Smith, L.T.; Holbrook, K.A.; Madri, J.A. Collagen types I, III, and V in human embryonic and fetal skin. Am. J. Anat. 1986, 175, 507–521. [Google Scholar] [CrossRef] [PubMed]
- Ehrlich, H.P.; Krummel, T.M. Regulation of wound healing from a connective tissue perspective. Wound Repair Regen. 1996, 4, 203–210. [Google Scholar] [CrossRef] [PubMed]
- Kooyman, G.L. Diving Physiology. In Encyclopedia of Marine Mammals, 2nd ed.; Perrin, W.F., Würsig, B., Thewissen, J.G.M., Eds.; Academic Press: London, UK, 2009; pp. 327–332. [Google Scholar]








| ID No. | TD20181128 | TP20190115 | IL20191105 | ML20200807 |
|---|---|---|---|---|
| Species | Fraser’s dolphin | Fraser’s dolphin | Fraser’s dolphin | Fraser’s dolphin |
| Gender | Male | Male | Male | Male |
| Age | Adult | Adult | Subadult | Adult |
| Body length | 250 cm | 247 cm | 221 cm | 244 cm |
| Body condition | Normal | Thin | Thin | Thin |
| Carcass condition | Code 2 (Freshly dead) | Code 2 (Freshly dead) | Code 2 (Freshly dead) | Code 3 (Moderate decomposition) |
| Note | Systemic infection (Staphylococcus aureus) |
| Stage 1 | Stage 2 | Stage 3 | Stage 4 | Stage 5 | |
|---|---|---|---|---|---|
| Number of samples | 2 | 6 | 1 | 14 | 13 |
| Macroscopic features | Sharp edge; little or no bleeding; underlying tissue exposed | Raised and puckered epidermal edge; yellow-white substance on the surface of wound | Neo-epidermis in the wound margin; reddish tissue in the wound center | Complete closure; partial repigmentation | Little to no contraction lines; pigmentation similar to surrounding unwounded skin |
| Microscopic features | |||||
| Epidermal changes | Intercellular and intracellular edema; necrotic keratinocytes | Exfoliation; edema; necrosis | Melanocytes, melanin, rete and dermal ridges in the migrating epithelial tongue | Melanocytes, melanin, rete and dermal ridges in the neo-epidermis | Melanocytes, melanin, rete and dermal ridges in the epidermis |
| Dermal changes | No obvious change | Collagen degeneration | Wounded area: angiogenesis; granulation tissue formation. Adjacent area: numerous fibrocytes, fibroblasts, and thin collagen fibers. | Numerous fibrocytes, fibroblasts, blood vessels and thin collagen fibers | Few cells and blood vessels; thin/thick collagen fibers |
| Blubber changes | No obvious change | Collagen and adipose tissue necrosis; inflammatory cell infiltration; collagen degeneration; hyperemia/hemorrhage | Wounded area: angiogenesis; granulation tissue formation. Adjacent area: numerous fibrocytes, fibroblasts, and thin collagen fibers. | Numerous fibrocytes, fibroblasts, blood vessels and thin collagen fibers; limited adipose tissue | Few cells and blood vessels; thick collagen fibers; expanded adipose tissue. |
Publisher’s Note: MDPI stays neutral with regard to jurisdictional claims in published maps and institutional affiliations. |
© 2022 by the authors. Licensee MDPI, Basel, Switzerland. This article is an open access article distributed under the terms and conditions of the Creative Commons Attribution (CC BY) license (https://creativecommons.org/licenses/by/4.0/).
Share and Cite
Su, C.-Y.; Hughes, M.W.; Liu, T.-Y.; Chuong, C.-M.; Wang, H.-V.; Yang, W.-C. Defining Wound Healing Progression in Cetacean Skin: Characteristics of Full-Thickness Wound Healing in Fraser’s Dolphins (Lagenodelphis hosei). Animals 2022, 12, 537. https://doi.org/10.3390/ani12050537
Su C-Y, Hughes MW, Liu T-Y, Chuong C-M, Wang H-V, Yang W-C. Defining Wound Healing Progression in Cetacean Skin: Characteristics of Full-Thickness Wound Healing in Fraser’s Dolphins (Lagenodelphis hosei). Animals. 2022; 12(5):537. https://doi.org/10.3390/ani12050537
Chicago/Turabian StyleSu, Chen-Yi, Michael W. Hughes, Tzu-Yu Liu, Cheng-Ming Chuong, Hao-Ven Wang, and Wei-Cheng Yang. 2022. "Defining Wound Healing Progression in Cetacean Skin: Characteristics of Full-Thickness Wound Healing in Fraser’s Dolphins (Lagenodelphis hosei)" Animals 12, no. 5: 537. https://doi.org/10.3390/ani12050537
APA StyleSu, C.-Y., Hughes, M. W., Liu, T.-Y., Chuong, C.-M., Wang, H.-V., & Yang, W.-C. (2022). Defining Wound Healing Progression in Cetacean Skin: Characteristics of Full-Thickness Wound Healing in Fraser’s Dolphins (Lagenodelphis hosei). Animals, 12(5), 537. https://doi.org/10.3390/ani12050537

