Morpho-Histological Studies of the Gastrointestinal Tract of the Orange-Rumped Agouti (Dasyprocta leporina Linnaeus, 1758), with Special Reference to Morphometry and Histometry
Abstract
Simple Summary
Abstract
1. Introduction
2. Materials and Methods
3. Results
3.1. Gross Anatomy of the GI Tract
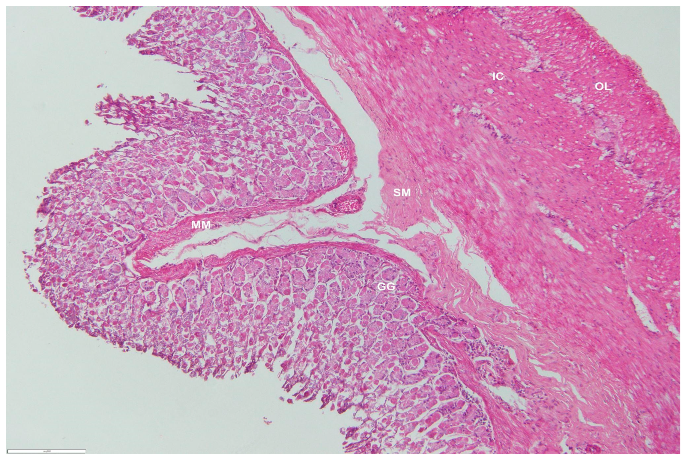
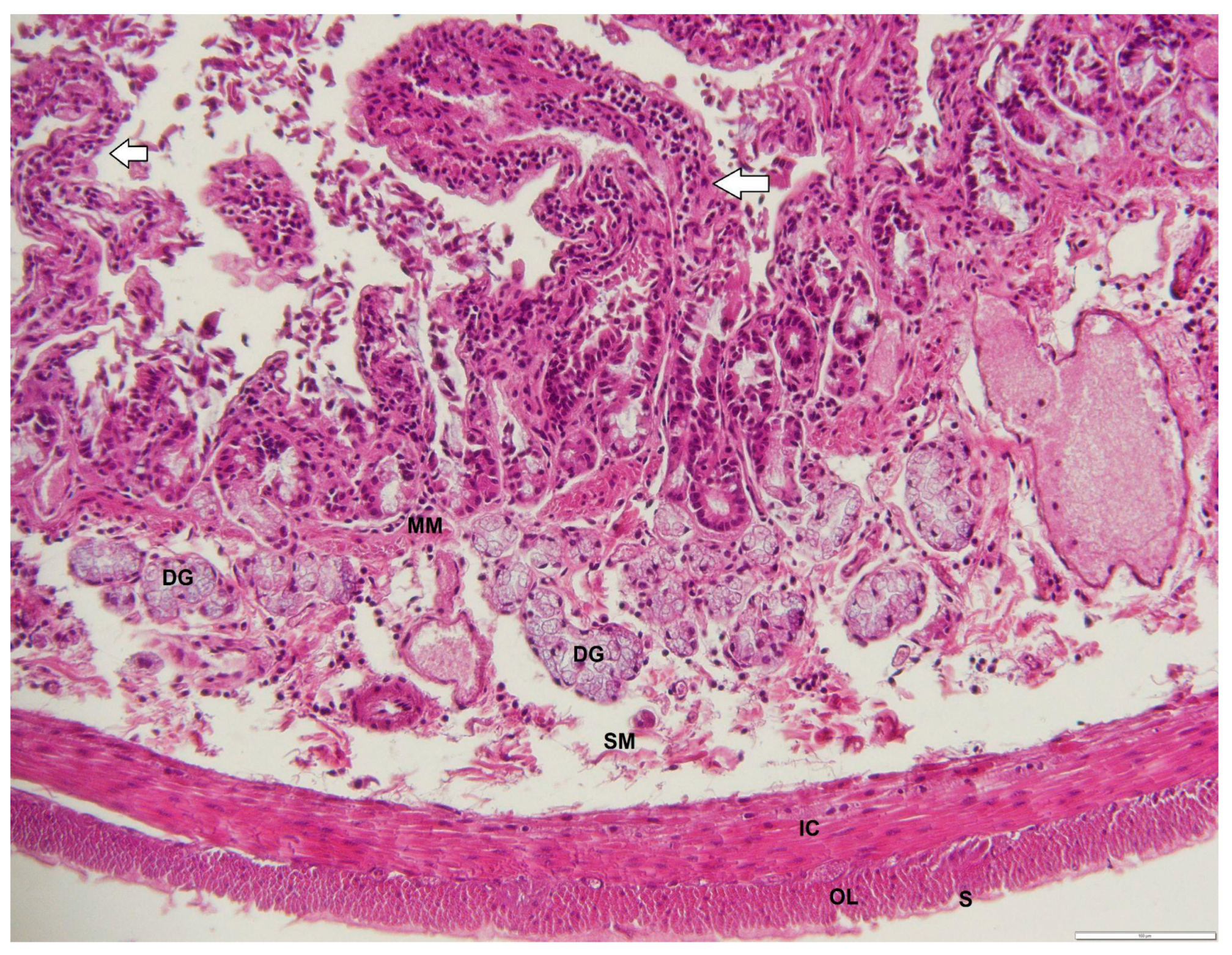
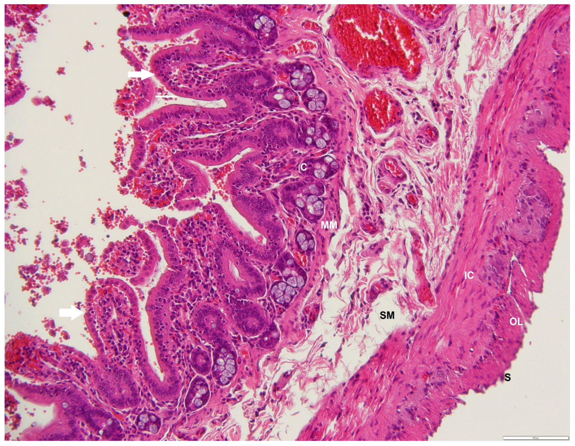
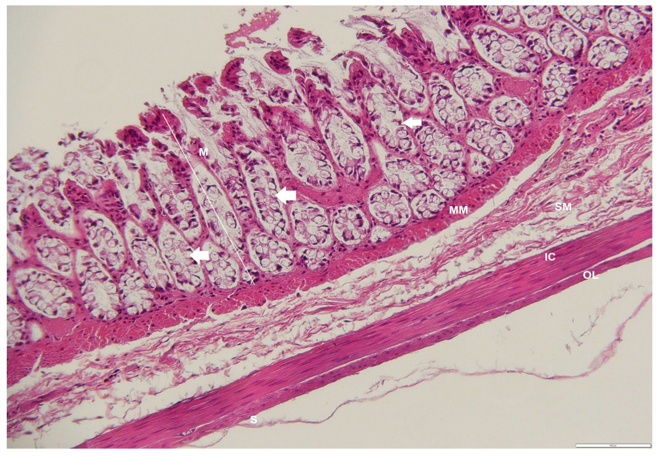
3.2. Histology of the GI Tract
4. Discussion
5. Conclusions
Author Contributions
Funding
Institutional Review Board Statement
Informed Consent Statement
Data Availability Statement
Acknowledgments
Conflicts of Interest
References
- Smith, D.M.; Grasty, R.C.; Theodosiou, N.A.; Tabin, C.J.; Yoder, N.M.N. Evolutionary relationships between the amphibian, avian, and mammalian stomachs. Evol. Dev. 2000, 2, 348–359. [Google Scholar] [CrossRef]
- McNab, B.K. The influence of food habits on the energetics of eutherian mammals. Ecol. Monogr. 1986, 56, 919. [Google Scholar] [CrossRef]
- Gorman, M.L.; Corp, N.; Speakman, J.R. Apparent absorption efficiency and gut morphometry of wood mice, Apodemus sylvaticus, from two distinct populations with different diets. Physiol. Zool. 1997, 70, 610–614. [Google Scholar]
- Del Valle, J.C.; Busch, C. Body composition and gut length of Akodon azarae (Muridae: Sigmodontinae): Relationship with energetic requirements. Acta Theriol. 2003, 48, 347–357. [Google Scholar] [CrossRef]
- Bozinovic, F.; Novoa, F.F.; Veloso, C. Seasonal changes in energy expenditure and digestive tract of Abrothrix andinus (Cricetidae) in the Andes range. Physiol. Zool. 1990, 63, 1216–1231. [Google Scholar] [CrossRef]
- Hammond, K.A. Seasonal changes in gut size of the wild prairie vole (Microtus ochrogaster). Can. J. Zool. 1993, 71, 820–827. [Google Scholar] [CrossRef]
- Borkowska, A. Seasonal changes in gut morphology of the striped field mouse (Apodemus agrarius). Can. J. Zool. 1995, 73, 1095–1099. [Google Scholar] [CrossRef]
- Weiner, J. Physiological limits to sustainable energy budgets in birds and mammals: Ecological implications. Trends Ecol. Evol. 1992, 7, 384–388. [Google Scholar] [CrossRef]
- Derting, T.L.; Noakes, E.B. Seasonal changes in gut capacity in the white-footed mouse (Peromyscus leucopus) and meadow vole (Microtus pennsylvanicus). Can. J. 1995, 73, 243–252. [Google Scholar] [CrossRef]
- Eisenberg, J.F.; Redford, K.H. Mammals of the Neotropics: Ecuador, Bolivia, Brazil; University of Chicago Press: Chicago, IL, USA, 1989; Volume 3, p. 200. [Google Scholar]
- Brown-Uddenberg, R.C.; Garcia, G.W.; Baptiste, Q.S.; Counand, T.; Adogwa, A.O.; Sampson, T. The Agouti Booklet and Producers Manual; GWG Publications: Champ Fleurs, Trinidad and Tobago, 2004; p. 100. [Google Scholar]
- Mollineau, W.M.; Garcia, G.W.; Samayah, D.; Kissoonsingh, W.; Procope-Garcia, A. The wildlife industry in Trinidad: A case study towards developing a sustainable industry model for a small Twin Island State (Trinidad and Tobago). In Proceedings of the Conference on Managing Space for Sustainable Living in Small Island Development States, St. Augsutine, Trinidad and Tobago, 7–10 March 2000. [Google Scholar]
- Roopchand, A. Wildlife and the Oil Industry: Catshill Reserve a Case Study. Masters’ Thesis, The University of the West Indies, St Augustine, Trinidad and Tobago, 2002. [Google Scholar]
- Leus, K.; Macdonald, A.A. Gastrointestinal anatomy, diet selection and digestion in mammals: A brief overview. In Research and Captive Propagation; Gansloßer, U., Hodges, J.K., Kaumanns, W., Eds.; Filander: Furth, Germany, 1995; pp. 100–112. [Google Scholar]
- Jones, K.R.; Lall, K.R.; Garcia, G.W. Omnivorous Behaviour of The Agouti (Dasyprocta Leporina): A Neotropical Rodent With The Potential For Domestication. Scientifica 2019, 2019, 3759783. [Google Scholar] [CrossRef]
- Lall, K.R.; Jones, K.R.; Garcia, G.W. Nutrition of six selected neo-tropical mammals in Trinidad and Tobago with the potential for domestication. Vet. Sci. 2018, 5, 52. [Google Scholar] [CrossRef] [PubMed]
- Garcia, G.W.; Baptiste, Q.S.; Adogwa, A.O.; Kakuni, M.; Arishima, K.; Makita, T. The digestive system of the agouti (Dasyprocta leporina)-gross anatomy and histology. Jpn. J. Zoo Wildl. Med. 2000, 5, 55–66. [Google Scholar] [CrossRef]
- National Research Council (US). Committee for the update of the guide for the care and use of laboratory animals. In Guide for the Care and Use of Laboratory Animals, 8th ed.; National Academies Press: Washington, DC, USA, 2011; Available online: https://www.ncbi.nlm.nih.gov/books/NBK54050 (accessed on 1 July 2022). [CrossRef]
- Dellmann, D.H.; Brown, E.M. Histology of the digestive system. In Textbook of Veterinary Histology, 3rd ed.; Lea And Febiger: Philadelphia, PA, USA, 1987; pp. 229–247. [Google Scholar]
- Sukon, P.; Timm, K.I.; Valentine, B.A. Esophageal Anatomy of the Llama (Lama Glama). Int. J. Morphol. 2009, 27, 811–817. [Google Scholar] [CrossRef]
- Schummer, A.; Nickel, R.; Sack, W.O. The alimentary canal. In The Viscera of Domestic Mammals; Springer: New York, NY, USA, 1979; pp. 99–202. [Google Scholar]
- Machado, M.R.F.; Leal, L.M.; Sasahara, T.H.C.; Zanetti, A.S.; Cruz, C. Morfologia do estômago e do duodeno da paca (Cuniculus paca Linnaeus, 1766). Arq. Bras. De Med. Vet. Zootec. 2015, 67, 1616–1624. [Google Scholar] [CrossRef][Green Version]
- Barros Moraes, P.T.; Pacheco, M.R.; Souza, W.M.; Da Silva, A.A.; Neto, P.B.S.; De Figuieriredo Barreto, C.S.; Ribiero, A.A.C.M. Morphological aspects of the capybara stomach (Hydrochoerus hydrochaeris): Gross and microscopic structure. Anat. Histol. Embyol. 2002, 31, 362–366. [Google Scholar] [CrossRef]
- Grau, A.; Crespo, S.; Sarasquete, M.C.; Gonzalez De Canales, M.L. The digestive tract of the amberjack Seriola dumerili, Risso: A light and scanning electron microscope study. J. Fish Biol. 1992, 41, 287–303. [Google Scholar] [CrossRef]
- Schieck, J.O.; Millar, J.S. Alimentary Tract Measurements as Indicators of Diets of Small Mammals. Mammalia 1985, 49, 93–104. [Google Scholar] [CrossRef]
- Jin, L.; Reynolds, L.P.; Redmer, D.A.; Caton, J.S.; Crenshaw, J.D. Effects of dietary fiber on intestinal growth, cell proliferation, and morphology in growing pigs. J. Anim. Sci. 1994, 72, 2270–2278. [Google Scholar] [CrossRef] [PubMed]
- Van Beers-Schreurs, H.M.G.; Nabuurs, M.J.A.; Vellenga, L.; Kalsbeek-van der Valk, H.J.; Wensing, T.; Breukink, H.J. Weaning and the weanling diet influence the villous height and crypt depth in the small intestine of pigs and alter the concentrations of short-chain fatty acids in the large intestine and blood. J. Nutr. 1998, 128, 947–953. [Google Scholar] [CrossRef] [PubMed]
- Hammond, K.A.; Wunder, B.A. The role of diet quality and energy need in the nutritional ecology of a small herbivore, Microtus ochrogaster. Physiol. Zool. 1991, 64, 541–567. [Google Scholar] [CrossRef]
- Gębczyńska, Z.; Gębczyński, M. Length and weight of the alimentary tract of the root vole. Acta Theriol. 1971, 16, 359–369. [Google Scholar] [CrossRef]
- Wilczynska, B.; Przystalski, A. Morphometry and histometry of the alimentary canal in Bufo orientalis. Zool. Pol. 1998, 43, 4. [Google Scholar]
- Wilczyńska, B. Anatomical structure and size of large intestinal mucosa in selected species of shrews and rodents. Acta Theriol. 1998, 43, 363–370. [Google Scholar] [CrossRef]
- Banks, W.J. Applied Veterinary Histology, 2nd ed.; Williams & Wilkins: Baltimore, MD, USA, 1986; p. 400. [Google Scholar]
- Charles-Dominique, P.; Atramentowicz, M.; Charles-Dominique, M.; Gerard, H.; Hladik, A.; Hladik, C.M.; Prévost, M.-F. Les mammiferes frugivores arboricoles nocturnes d’une foret guyanaise: Inter-relations plantes-animaux. Rev. D’ecol. Terre Vie 1981, 35, 341–436. [Google Scholar]
- Santori, R.T.; Astua De Moraes, D.; Cerqueira, R. Comparative gross morphology of the digestive tract in ten Didelphidae marsupial species. Mammalia 2004, 68, 27–36. [Google Scholar] [CrossRef]
- Redford Kent, H.; Einsenberg, J.F. Mammals of the Neotropics: The Southern Cone; The University of Chicago Plates: Chicago, IL, USA, 1992; p. 210. [Google Scholar]














| Parameter | Length (cm) | Relative Length (%) |
|---|---|---|
| Whole digestive tract | 780.5 ± 50.62 | _ |
| Esophagus | 16.41 ± 1.45 | 2.05 |
| Stomach | 12.70 ± 0.71 | 1.54 |
| Small intestine | 603.9 ± 10.15 | 77.42 |
| Cecum | 23.55 ± 0.64 | 3.02 |
| Colon and rectum | 123.55 ± 24.64 | 15.84 |
| Parameters | Esophagus | Stomach | ||
|---|---|---|---|---|
| Cardiac | Fundic | Pyloric | ||
| T. mucosa | 235.91 ± 19.12 | 421.71 ± 15.52 | 605.39 ± 28.68 | 523.26 ± 10.19 |
| T. submucosa | 465.67 ± 74.78 | 64.20 ± 4.14 | 77.26 ± 8.46 | 56.75 ± 16.24 |
| T. muscularis | 424.59 ± 11.12 | 274.66 ± 26.31 | 315.16 ± 23.14 | 439.91 ± 35.44 |
| T. serosa | 40.34 ± 9.49 | 13.51 ± 588 | 17.78 ± 7.43 | 12.08 ± 1.83 |
| Total thickness | 1023.78 ± 28.97 | 890.34 ± 22.76 | 978.78 ± 35.65 | 1034.87 ± 43.56 |
| Parameters | Small Intestine | ||
|---|---|---|---|
| Duodenum | Jejunum | Ileum | |
| T. mucosa | 213.00 ± 5.19 | 274.51 ± 7.80 | 232.85 ± 11.35 |
| Villi Length | 149.27 ± 22.97 | 182.50 ± 27.38 | 172.30 ± 12.51 |
| Villi Width | 43.10 ± 3.40 | 54.49 ± 3.31 | 35.66 ± 3.48 |
| Crypts Length | 22.65 ± 2.36 | 35.88 ± 3.85 | 27.40 ± 3.34 |
| Crypts Width | 21.13 ± 2.43 | 37.96 ± 3.96 | 26.84 ± 2.54 |
| No. Goblet Cells/10,000 μm2 | 2.00 ± 0.63 | 5.50 ± 1.52 | 24.67 ± 2.73 |
| T. submucosa | 95.33 ± 3.33 | 109.90 ± 4.64 | 67.94 ± 6.13 |
| T. muscularis | 60.42 ± 7.99 | 141.94 ± 4.83 | 112.73 ± 4.55 |
| T. serosa | 8.70 ± 1.69 | 7.76 ± 2.70 | 7.33 ± 1.63 |
| Total Thickness | 345.23 ± 19.46 | 476.89 ± 23.78 | 405.24 ± 18.45 |
| Parameters | Large Intestine | ||
|---|---|---|---|
| Cecum | Colon | Rectum | |
| T. mucosa | 281.10 ± 8.89 | 241.96 ± 9.95 | 314.02 ± 8.76 |
| No. Goblet Cells/10,000 μm2 | 26.00 ± 1.41 | 38.5 ± 4.32 | 24.50 ± 5.17 |
| T. submucosa | 56.62 ± 3.76 | 78.19 ± 1.85 | 121.48 ± 4.25 |
| T. muscularis | 328.97 ± 12.26 | 144.99 ± 34.91 | 218.36 ± 8.12 |
| T. serosa | 7.22 ± 1.17 | 9.01 ± 2.02 | 7.09 ± 2.46 |
| Total thickness | 680.98 ± 33.89 | 530.90 ± 22.87 | 630.54 ± 25.61 |
Publisher’s Note: MDPI stays neutral with regard to jurisdictional claims in published maps and institutional affiliations. |
© 2022 by the authors. Licensee MDPI, Basel, Switzerland. This article is an open access article distributed under the terms and conditions of the Creative Commons Attribution (CC BY) license (https://creativecommons.org/licenses/by/4.0/).
Share and Cite
Jones, K.R.; John, R.E.; Sundaram, V. Morpho-Histological Studies of the Gastrointestinal Tract of the Orange-Rumped Agouti (Dasyprocta leporina Linnaeus, 1758), with Special Reference to Morphometry and Histometry. Animals 2022, 12, 2493. https://doi.org/10.3390/ani12192493
Jones KR, John RE, Sundaram V. Morpho-Histological Studies of the Gastrointestinal Tract of the Orange-Rumped Agouti (Dasyprocta leporina Linnaeus, 1758), with Special Reference to Morphometry and Histometry. Animals. 2022; 12(19):2493. https://doi.org/10.3390/ani12192493
Chicago/Turabian StyleJones, Kegan Romelle, Roger Edmund John, and Venkatesan Sundaram. 2022. "Morpho-Histological Studies of the Gastrointestinal Tract of the Orange-Rumped Agouti (Dasyprocta leporina Linnaeus, 1758), with Special Reference to Morphometry and Histometry" Animals 12, no. 19: 2493. https://doi.org/10.3390/ani12192493
APA StyleJones, K. R., John, R. E., & Sundaram, V. (2022). Morpho-Histological Studies of the Gastrointestinal Tract of the Orange-Rumped Agouti (Dasyprocta leporina Linnaeus, 1758), with Special Reference to Morphometry and Histometry. Animals, 12(19), 2493. https://doi.org/10.3390/ani12192493

