The Use of Abdominal Ultrasound to Improve the Cryptorchidectomy of Pigs
Abstract
Simple Summary
Abstract
1. Introduction
2. Materials and Methods
2.1. Study Design
2.2. Animals
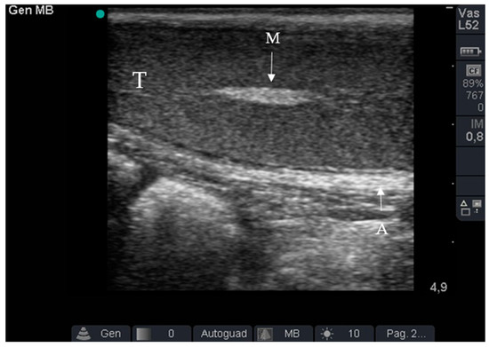
2.3. Ultrasound Examination
2.4. Surgical Approach
2.5. Pain Assessment
- -
- Surgical preparation (after placing the animal on the operating table and inducing anaesthesia) (T1);
- -
- Skin incision (T2);
- -
- Manipulation of the testicle (T3)
- -
- Resection of the testis and release of residual stump of the spermatic cord (T4);
- -
- End of surgery (after applying the last simple stitch on the skin) (T5).
2.6. Statistical Analysis

3. Results
4. Discussion
5. Conclusions
Author Contributions
Funding
Institutional Review Board Statement
Data Availability Statement
Acknowledgments
Conflicts of Interest
References
- Amann, R.P.; Veeramachaneni, D.N.R. Cryptorchidism and associated problems in animals. Anim. Reprod. 2006, 3, 108–120. [Google Scholar]
- Carman, G.M. Cryptorchidism In Swine. Iowa State Univ. Vet. 1952, 14, 21–23. [Google Scholar]
- Amann, R.P.; Veeramachaneni, D.N.R. Cryptorchidism in common eutherian mammals. Reproduction 2007, 133, 541–561. [Google Scholar] [CrossRef] [PubMed]
- Mikami, H.; Fredeen, H.T. A Genetic Study of Cryptorchidism and Scrotal Hernia in Pigs. Can. J. Genet. Cytol. 1979, 21, 9–19. [Google Scholar] [CrossRef] [PubMed]
- McPhee, H.C.; Buckley, S.S. Inheritance of Cryptorchidism in Swine. J. Hered. 1934, 25, 295–303. [Google Scholar] [CrossRef]
- Klonisch, T.; Fowler, P.A.; Hombach-Klonisch, S. Molecular and genetic regulation of testis descent and external genitalia development. Dev. Biol. 2004, 270, 1–18. [Google Scholar] [CrossRef] [PubMed]
- Wilson, V.S.; Lambright, C.; Furr, J.; Ostby, J.; Wood, C.; Held, G.; Gray, L.E. Phthalate ester-induced gubernacular lesions are associated with reduced insl3 gene expression in the fetal rat testis. Toxicol. Lett. 2004, 146, 207–215. [Google Scholar] [CrossRef]
- Newbold, R.R.; Hanson, R.B.; Jefferson, W.N.; Bullock, B.C.; Haseman, J.; McLachlan, J.A.; Wilson, V.S.; Lambright, C.; Furr, J.; Ostby, J.; et al. Proliferative lesions and reproductive tract tumors in male descendants of mice exposed developmentally to diethylstilbestrol. Toxicol. Lett. 2004, 21, 207–215. [Google Scholar] [CrossRef]
- Skelton, J.A.; Baird, A.N.; Hawkins, J.F.; Ruple, A. Cryptorchidectomy with a paramedian or inguinal approach in domestic pigs: 47 cases (2000-2018). J. Am. Vet. Med. Assoc. 2021, 258, 1130–1134. [Google Scholar] [CrossRef]
- Scollo, A.; Martelli, P.; Borri, E.; Mazzoni, C. Pig surgery: Cryptorchidectomy using an inguinal approach. Vet. Rec. 2016, 178, 609. [Google Scholar] [CrossRef]
- Andresen, Ø. Boar taint related compounds: Androstenone/skatole/other substances. Acta Vet. Scand. 2006, 48, 1–4. [Google Scholar] [CrossRef]
- Bonneau, M.; Le Denmat, M.; Vaudelet, J.C.; Veloso Nunes, J.R.; Mortensen, A.B.; Mortensen, H.P. Contributions of fat androstenone and skatole to boar taint: I. Sensory attributes of fat and pork meat. Livest. Prod. Sci. 1992, 32, 63–80. [Google Scholar] [CrossRef]
- Anderson, D.E.; Mulon, P.Y. Anesthesia and surgical procedures in Swine. Dis. Swine. 2019, 1, 171–196. [Google Scholar] [CrossRef]
- Anderson, D.E.; Jean, G. Anesthesia and surgical procedures in swine. In Diseases of Swine; Zimmerman, J.J., Karriker, L.A., Ramirez, A., Schwartz, K.J., Stevenson, G.W., Eds.; John Wiley & Sons, Inc.: Hoboken, NJ, USA, 2012; pp. 119–140. [Google Scholar]
- Schambourg, M.A.; Farley, J.A.; Marcoux, M.; Laverty, S. Use of transabdominal ultrasonography to determine the location of cryptorchid testes in the horse. Equine Vet. J. 2006, 38, 242–245. [Google Scholar] [CrossRef] [PubMed]
- Straticò, P.; Varasano, V.; Guerri, G.; Celani, G.; Palozzo, A.; Petrizzi, L. A retrospective study of cryptorchidectomy in horses: Diagnosis, treatment, outcome and complications in 70 cases. Animals 2020, 10, 2446. [Google Scholar] [CrossRef]
- Felumlee, A.E.; Reichle, J.K.; Hecht, S.; Penninck, D.; Zekas, L.; Dietze Yeager, A.; Goggin, J.M.; Lowry, J. Use of ultrasound to locate retained testes in dogs and cats. Vet. Radiol. Ultrasound 2012, 53, 581–585. [Google Scholar] [CrossRef]
- Tannouz, V.G.S.; Mamprim, M.J.; Lopes, M.D.; Santos-Sousa, C.A.; Souza Junior, P.; Babinski, M.A.; Abidu-Figueiredo, M. Is the right testis more affected by cryptorchidism than the left testis? An ultrasonographic approach in dogs of different sizes and breeds. Folia Morphol. 2019, 78, 847–852. [Google Scholar] [CrossRef] [PubMed]
- Tasian, G.E.; Copp, H.L.; Baskin, L.S. Diagnostic imaging in cryptorchidism: Utility, indications, and effectiveness. J. Pediatr. Surg. 2011, 46, 2406–2413. [Google Scholar] [CrossRef] [PubMed]
- Shoukry, M.; Pojak, K.; Choudhry, M.S. Cryptorchidism and the value of ultrasonography. Ann. R. Coll. Surg. Engl. 2015, 97, 56–58. [Google Scholar] [CrossRef] [PubMed][Green Version]
- Cicirelli, V.; Aiudi, G.G.; Carbonara, S.; Caira, M.; Lacalandra, G.M. Case of Anorchia in a Mixed-Breed Dog. Top. Companion Anim. Med. 2021, 45, 100554. [Google Scholar] [CrossRef]
- Ràs, A.; Rapacz, A.; Ras-Norynska, M.; Janowski, T. Clinical, hormonal and ultrasonograph approaches to diagnosing cryptorchidism in horses. Pol. J. Vet. Sci. 2010, 13, 473–477. [Google Scholar] [PubMed]
- Vullo, C.; Barbieri, S.; Catone, G.; Graïc, J.M.; Magaletti, M.; Di Rosa, A.; Motta, A.; Tremolada, C.; Canali, E.; Costa, E.D. Is the Piglet Grimace Scale (PGS) a useful welfare indicator to assess pain after cryptorchidectomy in growing pigs? Animals 2020, 10, 412. [Google Scholar] [CrossRef]
- Heinonen, M.L.; Raekallio, M.R.; Oliviero, C.; Ahokas, S.; Peltoniemi, O.A.T. Comparison of azaperone-detomidine-butorphanol-ketamine and azaperone-tiletamine-zolazepam for anaesthesia in piglets. Vet. Anaesth. Analg. 2009, 36, 151–157. [Google Scholar] [CrossRef]
- Lenth, R. Java Applets for Power and Sample Size. Available online: http://www.stat.uiowa.edu/~rlenth/Power (accessed on 1 July 2022).
- Hanneman, S.K.; Jesurum-Urbaitis, J.T.; Bickel, D.R. Comparison of methods of temperature measurement in swine. Lab. Anim. 2004, 38, 297–306. [Google Scholar] [CrossRef] [PubMed]
- Sipos, W.; Wiener, S.; Entenfellner, F.; Sipos, S. Physiological changes of rectal temperature, pulse rate and respiratory rate of pigs at different ages including the critical peripartal period. Wien. Tierarztl. Monatsschr. 2013, 100, 93–98. [Google Scholar]
- Dalmose, A.L.; Hvistendahl, J.J.; Olsen, L.H.; Eskild-Jensen, A.; Djurhuus, J.C.; Swindle, M.M. Surgically induced urologic models in swine. J. Investig. Surg. 2000, 13, 133–145. [Google Scholar] [CrossRef]
- Thomas, S.; Kang, G.; Balasubramanian, K.A. Surgical manipulation of the intestine results in quantitative and qualitative alterations in luminal Escherichia coli. Ann. Surg. 2004, 240, 248–254. [Google Scholar] [CrossRef]
- Hiki, N.; Shimizu, N.; Yamaguchi, H.; Imamura, K.; Kami, K.; Kubota, K.; Kaminishi, M.; Thomas, S.; Kang, G.; Balasubramanian, K.A. Manipulation of the small intestine as a cause of the increased inflammatory response after open compared with laparoscopic surgery. Br. J. Surg. 2006, 93, 248–254. [Google Scholar] [CrossRef]





| Groups | Duration of Anesthesia (minutes) | Duration of Ultrasonography (minutes) | Duration of Surgery (minutes) |
|---|---|---|---|
| Group U | 35.02 ± 6.35 a | 6.52 ± 2.37 | 15.39 ± 2.53 c |
| Group C | 45.35 ± 10.36 b | / | 35.00 ± 12.5 d |
Publisher’s Note: MDPI stays neutral with regard to jurisdictional claims in published maps and institutional affiliations. |
© 2022 by the authors. Licensee MDPI, Basel, Switzerland. This article is an open access article distributed under the terms and conditions of the Creative Commons Attribution (CC BY) license (https://creativecommons.org/licenses/by/4.0/).
Share and Cite
Carbonari, A.; Lillo, E.; Cicirelli, V.; Sciorsci, R.L.; Rizzo, A. The Use of Abdominal Ultrasound to Improve the Cryptorchidectomy of Pigs. Animals 2022, 12, 1763. https://doi.org/10.3390/ani12141763
Carbonari A, Lillo E, Cicirelli V, Sciorsci RL, Rizzo A. The Use of Abdominal Ultrasound to Improve the Cryptorchidectomy of Pigs. Animals. 2022; 12(14):1763. https://doi.org/10.3390/ani12141763
Chicago/Turabian StyleCarbonari, Alice, Edoardo Lillo, Vincenzo Cicirelli, Raffaele Luigi Sciorsci, and Annalisa Rizzo. 2022. "The Use of Abdominal Ultrasound to Improve the Cryptorchidectomy of Pigs" Animals 12, no. 14: 1763. https://doi.org/10.3390/ani12141763
APA StyleCarbonari, A., Lillo, E., Cicirelli, V., Sciorsci, R. L., & Rizzo, A. (2022). The Use of Abdominal Ultrasound to Improve the Cryptorchidectomy of Pigs. Animals, 12(14), 1763. https://doi.org/10.3390/ani12141763

