Investigation on Natural Infection of Covert Mortality Nodavirus in Farmed Giant Freshwater Prawn (Macrobrachium rosenbergii)
Abstract
:Simple Summary
Abstract
1. Introduction
2. Materials and Methods
2.1. Sample Collection
2.2. Total RNA and DNA Purification
2.3. Detection of Pathogens in M. rosenbergii Samples
2.4. Sequencing of CMNV Amplicons and Their Phylogenetic Analysis
2.5. Analysis of ISH and Histopathology of CMNV-Positive M. rosenbergii Individuals
2.6. Observation of CMNV by Transmission Electron Microscopy (TEM)
3. Results
3.1. Molecular Detection of CMNV in M. rosenbergii
3.2. Phylogenetic Analysis of CMNV in M. rosenbergii
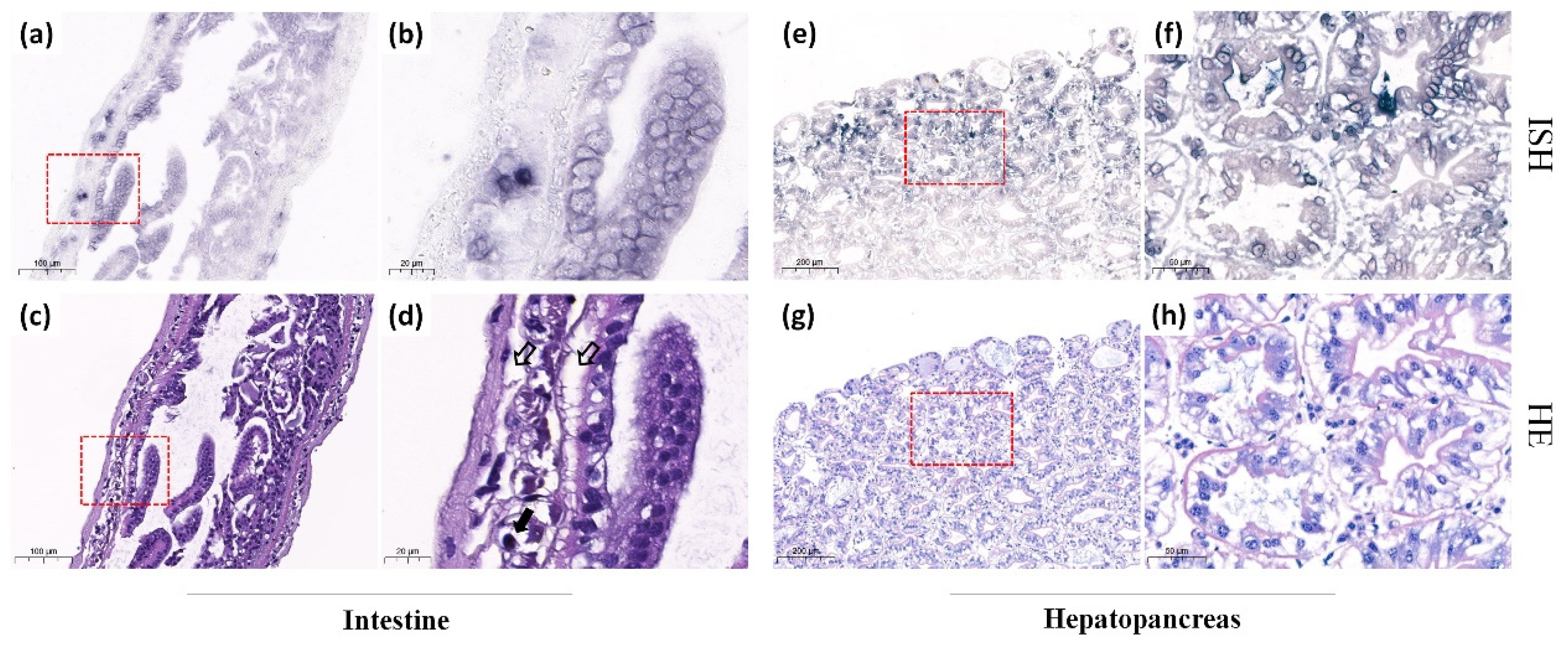
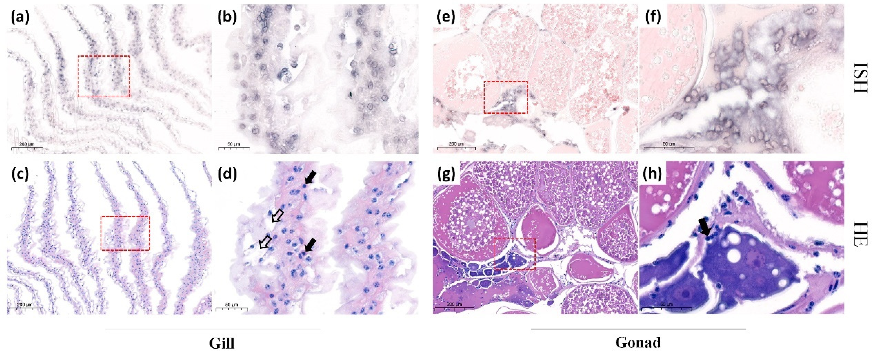
3.3. Detection of Sites of CMNV Natural Infection in M. rosenbergii Tissues Using ISH Assay
3.4. Histopathological Analysis of CMNV-Positive Individuals in ISH Assay
3.5. Detection of CMNV Infection in M. rosenbergii by TEM Assay
4. Discussion
5. Conclusions
Supplementary Materials
Author Contributions
Funding
Institutional Review Board Statement
Informed Consent Statement
Data Availability Statement
Conflicts of Interest
References
- Gotesman, M.; Menanteau-Ledouble, S.; Saleh, M.; Bergmann, S.M.; El-Matbouli, M. A new age in AquaMedicine: Unconventional approach in studying aquatic diseases. BMC Vet. Res. 2018, 14, 178. [Google Scholar] [CrossRef] [PubMed]
- Zhang, Q.L.; Liu, Q.; Liu, S.; Yang, H.L.; Liu, S.; Zhu, L.L.; Yang, B.; Jin, J.T.; Ding, L.X.; Wang, X.H.; et al. A new nodavirus is associated with covert mortality disease of shrimp. J. Gen. Virol. 2014, 95, 2700–2709. [Google Scholar] [CrossRef] [PubMed] [Green Version]
- Wang, C.; Wang, W.; Yao, L.; Sang, S.W.; Li, C.H.; Zhang, Q.L. Histopathological study of covert mortality nodavirus infection in sea cucumber (Apostichopus japonicus). Aquaculture 2021, 545, 737161. [Google Scholar] [CrossRef]
- Schneider-Schaulies, J. Cellular receptors for viruses: Links to tropism and pathogenesis. J. Gen. Virol. 2000, 81, 1413–1429. [Google Scholar] [CrossRef] [PubMed]
- Kuiken, T.; Holmes, E.C.; McCauley, J.; Rimmelzwaan, G.F.; Williams, C.S.; Grenfell, B.T. Host species barriers to influenza virus infections. Science 2006, 312, 394–397. [Google Scholar] [CrossRef] [PubMed] [Green Version]
- Leopardi, S.; Holmes, E.C.; Gastaldelli, M.; Tassoni, L.; Priori, P.; Scaravelli, D.; Zamperin, G.; De Benedictis, P. Interplay between co-divergence and cross-species transmission in the evolutionary history of bat coronaviruses. Infect. Genet. Evol. 2018, 58, 279–289. [Google Scholar] [CrossRef]
- Parrish, C.R.; Holmes, E.C.; Morens, D.M.; Park, E.C.; Burke, D.S.; Calisher, C.H.; Laughlin, C.A.; Saif, L.J.; Daszak, P. Cross-species virus transmission and the emergence of new epidemic diseases. Microbiol. Mol. Biol. Rev. 2008, 72, 457–470. [Google Scholar] [CrossRef] [Green Version]
- Johnson, C.K.; Hitchens, P.L.; Evans, T.S.; Goldstein, T.; Thomas, K.; Clements, A.; Joly, D.O.; Wolfe, N.D.; Daszak, P.; Karesh, W.B.; et al. Spillover and pandemic properties of zoonotic viruses with high host plasticity. Sci. Rep. 2015, 5, vex007. [Google Scholar] [CrossRef] [Green Version]
- Bourret, V.; Lyall, J.; Frost, S.D.W.; Teillaud, A.; Smith, C.A.; Leclaire, S.; Fu, J.; Gandon, S.; Guerin, J.L.; Tiley, L.S. Adaptation of avian influenza virus to a swine host. Virus Evol. 2017, 3, 79–89. [Google Scholar] [CrossRef]
- Wang, L.F.; Anderson, D.E. Viruses in bats and potential spillover to animals and humans. Curr. Opin. Virol. 2019, 34, 79–89. [Google Scholar] [CrossRef]
- Wang, C.; Yao, L.; Wang, W.; Sang, S.W.; Hao, J.W.; Li, C.H.; Zhang, Q.L. First report on natural infection of Nodavirus in an Echinodermata, sea cucumber (Apostichopus japonicas). Viruses 2021, 13, 636. [Google Scholar] [CrossRef] [PubMed]
- Liu, S.; Wang, X.H.; Xu, T.T.; Li, X.P.; Du, L.C.; Zhang, Q.L. Vectors and reservoir hosts of covert mortality nodavirus (CMNV) in shrimp ponds. J. Invertebr. Pathol. 2018, 154, 29–36. [Google Scholar] [CrossRef] [PubMed]
- Wang, C.; Wang, X.H.; Liu, S.; Sang, S.W.; Zhang, Q.L. Preliminary study on the natural infection of Carassius auratus with covert mortality nodavirus (CMNV). Prog. Fish. Sci. 2019, 40, 25–32. [Google Scholar]
- Wang, C.; Liu, S.; Li, X.P.; Hao, J.W.; Tang, K.F.J.; Zhang, Q.L. Infection of covert mortality nodavirus in Japanese flounder reveals host jump of the emerging alphanodavirus. J. Gen. Virol. 2019, 100, 166–175. [Google Scholar] [CrossRef]
- Zhang, Q.L.; Liu, S.; Li, J.; Xu, T.T.; Wang, X.H.; Fu, G.M.; Li, X.P.; Sang, S.W.; Bian, X.D.; Hao, J.W. Evidence for cross-species transmission of covert mortality nodavirus to new host of Mugilogobius abei. Front. Microbiol. 2018, 9, 1447. [Google Scholar] [CrossRef]
- Wang, C.; Liu, S.; Tang, K.F.J.; Zhang, Q. Natural infection of covert mortality nodavirus affects Zebrafish (Danio rerio). J. Fish Dis. 2021, 44, 1315–1324. [Google Scholar] [CrossRef]
- Xu, T.T.; Li, Y.X.; Shan, X.J.; Hao, J.W.; Wu, Q.; Tang, K.F.J.; Zhang, Q.L.; Yao, C.L. Natural infection of covert mortality nodavirus in small yellow croaker in coastal water. Front. Mar. Sci. 2021, 8, 670831. [Google Scholar] [CrossRef]
- Qiu, L.; Chen, X.; Zhao, R.H.; Li, C.; Gao, W.; Zhang, Q.L.; Huang, J. Description of a natural infection with Decapod iridescent virus 1 in farmed giant freshwater prawn, Macrobrachium rosenbergii. Viruses 2019, 11, 354. [Google Scholar] [CrossRef] [Green Version]
- Rao, R.; Bhassu, S.; Bing, R.Z.; Alinejad, T.; Hassan, S.S.; Wang, J. A transcriptome study on Macrobrachium rosenbergii hepatopancreas experimentally challenged with white spot syndrome virus (WSSV). J. Invertebr. Pathol. 2016, 136, 10–22. [Google Scholar] [CrossRef]
- Huang, Y.; Ren, Q. Innate immune responses against viral pathogens in Macrobrachium. Dev. Comp. Immunol. 2021, 117, 103966. [Google Scholar] [CrossRef]
- Low, C.F.; Md Yusoff, M.R.; Kuppusamy, G.; Ahmad Nadzri, N.F. Molecular biology of Macrobrachium rosenbergii nodavirus infection in giant freshwater prawn. J. Fish Dis. 2018, 41, 1771–1781. [Google Scholar] [CrossRef] [PubMed]
- Sahul Hameed, A.S.; Bonami, J.R. White tail disease of freshwater prawn, Macrobrachium rosenbergii. Indian J. Virol. 2012, 23, 134–140. [Google Scholar] [CrossRef] [PubMed] [Green Version]
- Zhang, Q.L.; Xu, T.T.; Wan, X.Y.; Liu, S.; Wang, X.H.; Li, X.P.; Dong, X.; Yang, B.; Huang, J. Prevalence and distribution of covert mortality nodavirus (CMNV) in cultured crustacean. Virus Res. 2017, 233, 113–119. [Google Scholar] [CrossRef] [PubMed]
- OIE. Manual of Diagnostic Tests for Aquatic Animals; World Organisation for Animal Health: Paris, France, 2021. [Google Scholar]
- Tamura, K.; Stecher, G.; Peterson, D.; Filipski, A.; Kumar, S. MEGA6: Molecular Evolutionary Genetics Analysis Version 6.0. Mol. Biol. Evol. 2013, 30, 2725–2729. [Google Scholar] [CrossRef] [PubMed] [Green Version]
- Bell, T.A.; Lightner, D.V. A Handbook of Normal Penaeid Shrimp Histology; World Aquaculture Society: Baton Rouge, LA, USA, 1988; 114p. [Google Scholar]
- Lightner, D.V. A Handbook of Shrimp Pathology and Diagnostic Procedures for Diseases of Cultured Penaeid Shrimp; World Aquaculture Society: Baton Rouge, LA, USA, 1996. [Google Scholar]
- Fortunato, T.M.; Beltrami, C.; Emanueli, C.; De Bank, P.A.; Pula, G. Platelet lysate gel and endothelial progenitors stimulate microvascular network formation in vitro: Tissue engineering implications. Sci. Rep. 2016, 6, 25326. [Google Scholar] [CrossRef] [Green Version]
- Zechmann, B.; Zellnig, G. Rapid diagnosis of plant virus diseases by transmission electron microscopy. J. Virol. Methods 2009, 162, 163–169. [Google Scholar] [CrossRef]
- Graham, L.; Orenstein, J.M. Processing tissue and cells for transmission electron microscopy in diagnostic pathology and research. Nat. Protoc. 2007, 2, 2439–2450. [Google Scholar] [CrossRef]
- Panphut, W.; Senapin, S.; Sriurairatana, S.; Withyachumnarnkul, B.; Flegel, T.W. A novel integrase-containing element may interact with Laem-Singh virus (LSNV) to cause slow growth in giant tiger shrimp. BMC Vet. Res. 2011, 7, 18. [Google Scholar] [CrossRef] [Green Version]
- Kibenge, F.S. Emerging viruses in aquaculture. Curr. Opin. Virol. 2019, 34, 97–103. [Google Scholar] [CrossRef]
- FAO. The State of World Fisheries and Aquaculture 2020; Sustainability in action; FAO: Rome, Italy, 2020. [Google Scholar]
- Takahashi, Y.; Itami, T.; Kondo, M.; Maeda, M.; Fujii, R.; Tomonaga, S.; Supamattaya, K.; Boonyaratpalin, S. Electron-microscopic evidence of bacilliform virus-infection in Kuruma shrimp (Penaeus-Japonicus). Fish Pathol. 1994, 29, 121–125. [Google Scholar] [CrossRef] [Green Version]
- Somrit, M.; Yu, S.Y.; Le Pendu, J.; Breiman, A.; Guerardel, Y.; Weerachatyanukul, W.; Watthammawut, A. Macrobrachium rosenbergii nodavirus virus-like particles attach to fucosylated glycans in the gills of the giant freshwater prawn. Cell Microbiol. 2020, 22, e13258. [Google Scholar] [CrossRef] [PubMed]
- Liu, S.; Li, J.T.; Tian, Y.; Wang, C.; Li, X.P.; Xu, T.T.; Li, J.; Zhang, Q.L. Experimental vertical transmission of covert mortality nodavirus in Exopalaemon carinicauda. J. Gen. Virol. 2017, 98, 652–661. [Google Scholar] [CrossRef] [PubMed]




| Virus | Abbreviation | GenBank No. |
|---|---|---|
| Atlantic cod nodavirus | ACNV | ABR23188.1 |
| Atlantic halibut nodavirus | AHNV | AAY34458.1 |
| Barfin flounder nervous necrosis virus | BFNNV | YP_003288756.1 |
| Bat associated nodavirus | BANV | QOR29565.1 |
| Beihai noda-like virus 1 strain | Beihai NLV-1 | YP_009333380.1 |
| Black beetle virus | BBV | YP_053043.1 |
| Boolarra virus | BoV | NP_689439.1 |
| Carano virus | CaV | BCG55383.1 |
| Covert mortality nodavirus | CMNV | QQP17175.1 |
| Dragon grouper nervous necrosis virus | DGNNV | AAU85148.1 |
| Drosophila melanogaster American nodavirus (ANV) strain SW-2009a | DmANV-SW-2009a | ACU32794.1 |
| Epinephelus coioides nervous necrosis virus | ECNNV | AXP99039.1 |
| Flock House virus | FHV | NP_689444.1 |
| Golden pompano nervous necrosis virus | GPNNV | AEK48150.1 |
| Grapevine-associated noda-like virus 1 | GANLV-1 | QXN75416.1 |
| Guiyang nodavirus 2 | Guiyang NV-2 | UHK03035.1 |
| Gungahlin Chrysomya noda-like virus | GCNLV | QIJ70031.1 |
| Hainan sediment noda-like virus 1 | Hainan SNLV-1 | QYF49900.1 |
| Hangzhou sepedon violaceus nodavirus 1 | Hangzhou SVNV-1 | UHR49743.1 |
| Hubei noda-like virus 21 strain | Hubei NLV-21 | APG76486.1 |
| Japanese flounder nervous necrosis virus | JFNNV | ACN58225.1 |
| Lutzomyia nodavirus | LuNV | AKP18615.1 |
| Macrobrachium rosenbergii nodavirus | MrNV | AAQ83832.1 |
| Mouse grouper Nervous Necrosis Virus | MGNNV | AEK48140.1 |
| Newington virus | NeV | AMO03244.1 |
| Nodamura virus | NoV | NP_077730.1 |
| Penaeus vannamei nodavirus | PvNV | YP_004207810.1 |
| Redspotted grouper nervous necrosis virus | RGNNV | YP_611155.1 |
| Striped jack nervous necrosis virus | SJNNV | BAB64329.1 |
| Tiger puffer nervous necrosis virus | TPNNV | YP_003288759.1 |
| Xinjiang mountain noda-like virus 1 | Xinjiang MNLV-1 | QYF49916.1 |
| Yunnan noda-like virus | Yunnan NLV | QYF49925.1 |
| CMNV Detection Methods | Detection Rate of CMNV Positive |
|---|---|
| TaqMan RT-qPCR ISH | 65.9% (70/113) 88.0% (44/50) |
| Tissue | Number | Mean (Copies/µg-RNA) |
|---|---|---|
| Gonads | 6 | 104.41 ± 0.23 |
| Intestines | 6 | 103.79 ± 0.30 |
| Muscles | 6 | 103.71 ± 0.17 |
| Appendages | 6 | 102.86 ± 0.28 |
| Gills | 6 | 102.68 ± 0.76 |
| Heart | 6 | 102.43 ± 0.81 |
| Eyestalks | 6 | 102.27 ± 0.50 |
Publisher’s Note: MDPI stays neutral with regard to jurisdictional claims in published maps and institutional affiliations. |
© 2022 by the authors. Licensee MDPI, Basel, Switzerland. This article is an open access article distributed under the terms and conditions of the Creative Commons Attribution (CC BY) license (https://creativecommons.org/licenses/by/4.0/).
Share and Cite
Xia, J.; Wang, C.; Yao, L.; Wang, W.; Zhao, W.; Jia, T.; Yu, X.; Yang, G.; Zhang, Q. Investigation on Natural Infection of Covert Mortality Nodavirus in Farmed Giant Freshwater Prawn (Macrobrachium rosenbergii). Animals 2022, 12, 1370. https://doi.org/10.3390/ani12111370
Xia J, Wang C, Yao L, Wang W, Zhao W, Jia T, Yu X, Yang G, Zhang Q. Investigation on Natural Infection of Covert Mortality Nodavirus in Farmed Giant Freshwater Prawn (Macrobrachium rosenbergii). Animals. 2022; 12(11):1370. https://doi.org/10.3390/ani12111370
Chicago/Turabian StyleXia, Jitao, Chong Wang, Liang Yao, Wei Wang, Wenxiu Zhao, Tianchang Jia, Xingtong Yu, Guoliang Yang, and Qingli Zhang. 2022. "Investigation on Natural Infection of Covert Mortality Nodavirus in Farmed Giant Freshwater Prawn (Macrobrachium rosenbergii)" Animals 12, no. 11: 1370. https://doi.org/10.3390/ani12111370
APA StyleXia, J., Wang, C., Yao, L., Wang, W., Zhao, W., Jia, T., Yu, X., Yang, G., & Zhang, Q. (2022). Investigation on Natural Infection of Covert Mortality Nodavirus in Farmed Giant Freshwater Prawn (Macrobrachium rosenbergii). Animals, 12(11), 1370. https://doi.org/10.3390/ani12111370

