First Identification and Characterization of Lactococcus garvieae Isolated from Rainbow Trout (Oncorhynchus mykiss) Cultured in Mexico
Simple Summary
Abstract
1. Introduction
2. Materials and Methods
2.1. Case Description and Sampling
2.2. Macroscopic and Histological Analyses
2.3. Bacteriological Analyses
2.4. Phenotypic and Biochemical Characterizations
2.5. 16S rDNA Sequencing and Phylogenetic Analysis
2.6. ERIC-PCR, REP-PCR, and RAPD-PCR Typing
2.7. Membrane Protein Characterization
2.8. Fulfilment of Koch’s Postulates
3. Results and Discussion
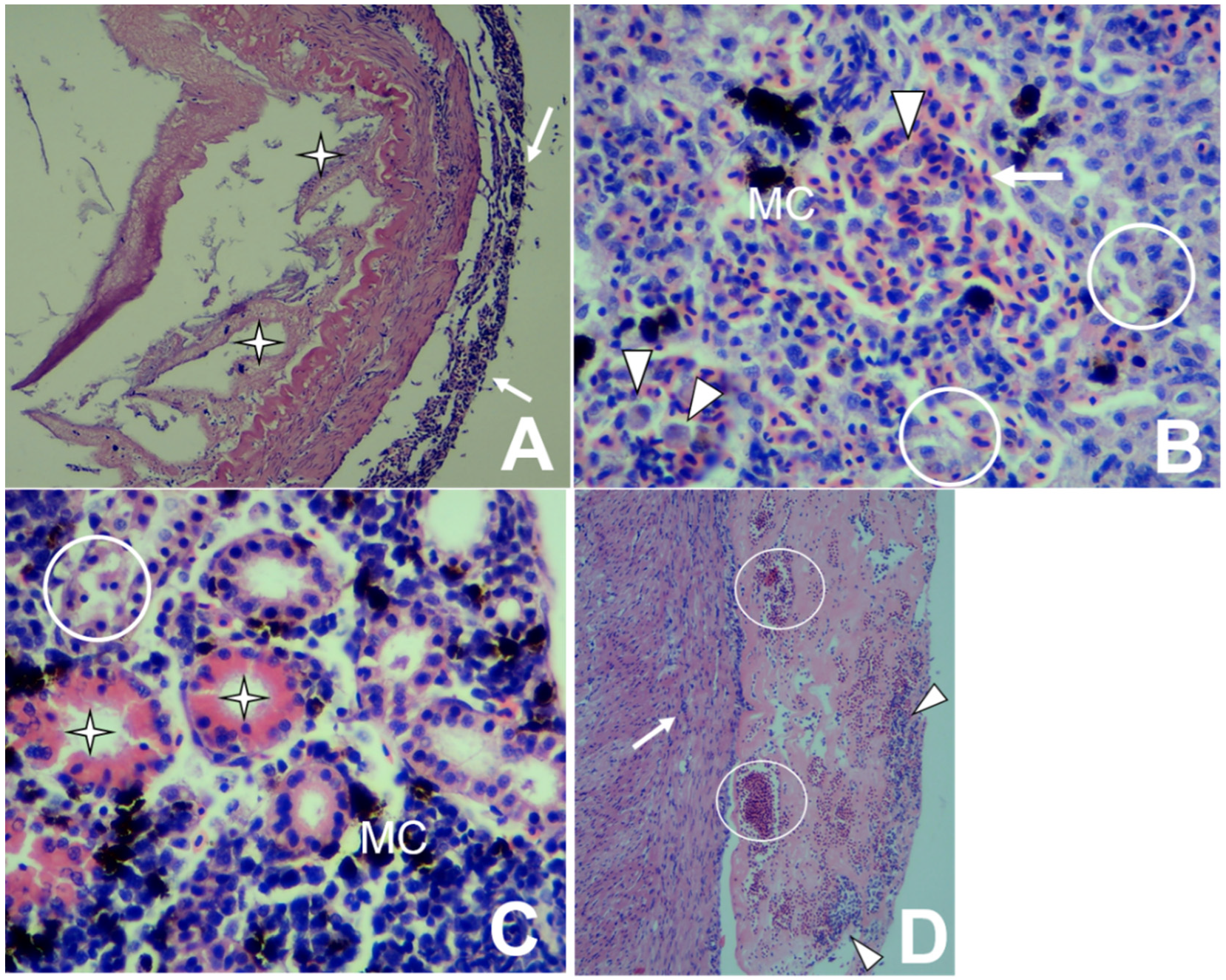
3.1. Macroscopic, Histological, and Bacteriological Analyses
3.2. Bacteriological and Biochemical Analyses
3.3. 16S rDNA Sequencing and Phylogenetic Analysis
3.4. ERIC-PCR, REP-PCR, and RAPD-PCR Typing
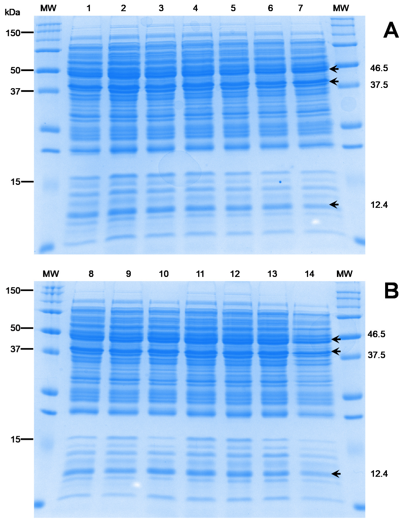
3.5. Membrane Protein Analyses
3.6. Challenge Assays
4. Conclusions
Author Contributions
Funding
Acknowledgments
Conflicts of Interest
References
- Austin, B.; Austin, A.D. Bacterial Fish Pathogens: Diseases of Farmed and Wild Fish, 5th ed.; Springer/Praxis Publishing: Chichester, UK, 2012. [Google Scholar]
- Collins, M.D.; Farrow, J.A.; Phillips, B.A.; Kandler, O. Streptococcus garvieae sp. nov. and Streptococcus plantarum sp. nov. J. Gen. Microbiol. 1983, 129, 3427–3431. [Google Scholar] [CrossRef]
- Kusuda, R.; Kawai, K.; Salati, F.; Banner, C.R.; Fryer, J.L. Enterococcus seriolicida sp. nov., a fish pathogen. Int. J. Syst. Bacteriol. 1991, 41, 406–409. [Google Scholar] [CrossRef] [PubMed]
- Eldar, A.; Ghittino, C.; Asanta, L.; Bozzetta, E.; Goria, M.; Prearo, M.; Bercovier, H.; Bercovier, H. Enterococcus seriolicida is a junior synonym of Lactococcus garvieae, a causative agent of septicemia and meningoencephalitis in fish. Curr. Microbiol. 1996, 32, 85–88. [Google Scholar] [CrossRef] [PubMed]
- Vendrell, D.; Balcázar, J.L.; Ruiz-Zarzuela, I.; de Blas, I.; Girones, O.; Múzquiz, J.L. Lactococcus garvieae in fish: A review. Comp. Immunol. Microbiol. Infect. Dis. 2006, 29, 177–198. [Google Scholar] [CrossRef] [PubMed]
- Meyburgh, C.M.; Bragg, R.R.; Boucher, C.E. Lactococcus garvieae: An emerging bacterial pathogen of fish. Dis. Aquat. Organ. 2017, 123, 67–79. [Google Scholar] [CrossRef] [PubMed]
- Eldar, A.; Ghittino, C. Lactococcus garvieae and Streptococcus iniae infection in rainbow trout (Oncorhynchus mykiss): Similar but different diseases. Dis. Aquat. Organ. 1999, 36, 227–231. [Google Scholar] [CrossRef] [PubMed]
- Bekker, A.; Hugo, C.; Albertyn, J.; Boucher, C.E.; Bragg, R.R. Pathogenic Gram-positive cocci in South African rainbow trout, Oncorhynchus mykiss (Walbaum). J. Fish Dis. 2011, 34, 483–487. [Google Scholar] [CrossRef] [PubMed]
- CONAPESCA. Anuario estadístico de acuicultura y pesca 2017. Comisión Nacional de Acuicultura y Pesca, Secretaría de Agricultura Ganadería Desarrollo Rural Pesca y Alimentación. Available online: www.conapesca.gob.mx/work/sites/cona/dgppe/2017/ANUARIO_ESTADISTICO_2017.pdf/ (accessed on 27 May 2019).
- Ortega, C.; Montes de Oca, R.; Groman, D.; Yason, C.; Nicholson, B.; Blake, S. Case report: Viral infectious pancreatic necrosis in farmed rainbow trout from Mexico. J. Aquat. Anim. Health. 2002, 14, 305–310. [Google Scholar] [CrossRef]
- Castillo, M.A.; Ortega, C.; Martínez-Castañeda, S.; Fajardo-Muñoz, R.; Valladares-Carranza, B.; Avendaño-Herrera, R.; Irgang, R.; Poblete-Morales, M. First isolation and characterization of Flavobacterium psychrophilum from diseased rainbow trout (Oncorhynchus mykiss) farmed in Mexico. Bull. Eur. Assoc. Fish Pathol. 2017, 37, 23–30. [Google Scholar]
- Castrejón-Nájera, J.; Ortega, C.; Fajardo, R.; Irgang, R.; Tapia-Cammas, D.; Poblete-Morales, M.; Avendaño-Herrera, R. Isolation characterization, virulence potential of Weissella ceti responsible for weissellosis outbreak in rainbow trout (Oncorhynchus mykiss) cultured in Mexico. Transbound. Emerg. Dis. 2018, 65, 1401–1407. [Google Scholar] [CrossRef]
- Diario Oficial de la Federación. Secretaria de Gobernación, México. ACUERDO mediante el cual se dan a conocer en los Estados Unidos Mexicanos las enfermedades y plagas exóticas y endémicas de notificación obligatoria de los animales terrestres y acuáticos. 2018. Available online: https://dof.gob.mx/nota_detalle.php?codigo=5545304&fecha=29/11/2018 (accessed on 28 March 2020).
- Ravelo, C.; Magariños, B.; Romalde, J.L.; Toranzo, A.E. Conventional versus miniaturized systems for the phenotypic characterization of Lactococcus garvieae. Bull. Assoc. Fish Pathol. 2001, 21, 136–144. [Google Scholar]
- Vela, A.I.; Vázquez, J.; Gibello, A.; Blanco, M.M.; Moreno, M.A.; Liébana, P.; Albendea, C.; Alcalá, B.; Mendez, A.; Domínguez, L.; et al. Phenotypic and genetic characterization of Lactococcus garvieae isolates in Spain from lactococcosis outbreak and comparison with isolates of other countries and sources. J. Clin. Microbiol. 2000, 38, 3791–3795. [Google Scholar] [CrossRef] [PubMed]
- Ortega, C.; Valladares, B.; Arguedas, D.; Vega, F.; Montes de Oca, R.; Murray, A.G. Distribution of infectious pancreatic necrosis virus (IPNV) based on surveillance programs in freshwater trout farms of Mexico. J. Aquat. Anim. Health. 2016, 26, 21–26. [Google Scholar] [CrossRef] [PubMed]
- Valdebenito, S.; Avendaño-Herrera, R. Phenotypic, serological and genetic characterization of Flavobacterium psychrophilum strains isolated from salmonids in Chile. J. Fish Dis. 2009, 32, 321–333. [Google Scholar] [CrossRef]
- MacFaddin, J.F. Biochemical Tests for Identification of Medical Bacteria, 3rd ed.; Lippincott Williams & Wilkins: Philadelphia, PA, USA, 2000. [Google Scholar]
- Fox, J.G.; Yan, L.L.; Dewhirst, F.E.; Paster, B.J.; Shames, B.; Murpy, J.C.; Hayward, A.; Belcher, J.C.; Mendes, E.N. Helicobacter bilis sp. nov., a novel Helicobacter species isolated from bile, livers, and intestines of aged, inbred mice. J. Clin. Microbiol. 1995, 33, 445–454. [Google Scholar] [CrossRef]
- Lane, D.J. 16S/23S rRNA Sequencing in Nucleic Acid Techniques in Bacterial Systematics; Stackebrandt, E., Goodfellow, M., Eds.; John Wiley & Sons: Chichester, UK; New York, NY, USA, 1991. [Google Scholar]
- Tamura, K.; Peterson, D.; Peterson, N.; Stecher, G.; Nei, M.; Kumar, S. MEGA5: Molecular evolutionary genetics analysis using maximum likelihood, evolutionary distance, and maximum parsimony methods. Mol. Biol. Evol. 2011, 28, 2731–2739. [Google Scholar] [CrossRef]
- Kimura, M. A simple method for estimating evolutionary rates of base substitutions through comparative studies of nucleotide sequences. J. Mol. Evol. 1980, 16, 111–120. [Google Scholar] [CrossRef]
- Romalde, J.L. Application of DNA Fingerprinting Techniques to the Study of Fish and Shellfish Pathogens. In Trends in DNA Fingerprinting Research; Read, M.M., Ed.; Nova Science Publishers, Inc.: New York, NY, USA, 2005; pp. 163–191. [Google Scholar]
- Ravelo, C.; Magariños, B.; López-Romalde, S.; Toranzo, A.E.; Romalde, J.L. Molecular fingerprinting of fish-pathogenic Lactococcus garvieae strains by random amplified polymorphic DNA analysis. J. Clin. Microbiol. 2003, 41, 751–756. [Google Scholar] [CrossRef]
- Ferrario, C.; Ricci, G.; Borgo, F.; Rollando, A.; Grazia, M.F. Genetic investigation within Lactococcus garvieae revealed two genomic lineages. FEMS Microbiol. Lett. 2012, 332, 153–161. [Google Scholar] [CrossRef]
- Mancuso, M.; Avendaño-Herrera, R.; Zaccone, R.; Toranzo, A.E.; Magariños, B. Evaluation of different DNA-based fingerprinting methods for typing Photobacterium damselae spp. piscicida. Biol. Res. 2007, 40, 85–92. [Google Scholar] [CrossRef]
- Dice, L.R. Measures of the amount of ecologic association between species. Ecology 1945, 26, 297–302. [Google Scholar] [CrossRef]
- Crosa, J.H.; Hodges, L.L. Outer membrane proteins induced under conditions of iron limitation in the marine fish pathogen Vibrio anguillarum 775. Infec. Immun. 1981, 31, 223–227. [Google Scholar] [CrossRef]
- Laemmli, U.K. Cleavage of structural proteins during the assembly of the head of bacteriophage T4. Nature 1970, 227, 680–685. [Google Scholar] [CrossRef] [PubMed]
- Mata, A.I.; Gibello, A.; Casamayor, A.; Blanco, M.M.; Domínguez, L.; Fernández-Garayzábal, J.F. Multiplex PCR assay for detection of bacterial pathogens associated with warm-water streptococcosis in fish. Appl. Environ. Microbiol. 2004, 70, 3183–3187. [Google Scholar] [CrossRef] [PubMed]
- Yesiltas, M.C.; Altinok, I.; Ozturk, R.C. Determination of virulence associated immunogenic proteins in some of Lactococcus garvieae strains. Vet. Res. Forum 2019, 10, 101–107. [Google Scholar] [CrossRef] [PubMed]
- Ooyama, T.; Hirokawa, Y.; Minami, T.; Yasuda, H.; Nakai, T.; Endo, M.; Ruangpan, L.; Yoshida, T. Cell-surface properties of Lactococcus garvieae strains and their immunogenicity in the yellowtail Seriola quinqueradiata. Dis. Aquat. Organ. 2002, 51, 169–177. [Google Scholar] [CrossRef]
- Altun, S.; Adiloglu, A.; Kubilay, A.; Diler, O.; Delibas, N.; Sutcu, R. Immunogenic and antigenic profiles of nine Lactococcus garvieae strains from different rainbow trout farms. Isr. J. Aquacult Bamid. 2007, 59, 111–116. [Google Scholar]
- Nelson, M.C.; Varney, J.S.; Welch, T.J.; Graf, J. Draft genome sequence of Lactococcus garvieae strain PAQ102015-99, an outbreak strain isolated from a commercial trout farm in the Northwestern United States. Genome Announc. 2016, 4, e00781-16. [Google Scholar] [CrossRef]
- Bercovier, H.; Ghittino, C.; Eldar, A. Immunization with Bacterial Antigens: Infections with Streptococci and Related Organisms. In Fish Vaccinology, Developments in Biological Standardization; Gudding, R., Lillehaug, A., Midtlyng, P.J., Brown, F., Eds.; Karger: Basel, Switzerland, 1997; pp. 153–160. [Google Scholar]





| Characteristics | AC16-Lg13 | LJ16-Lg14 | Mic16-Lg07 | Mic16-Lg08 | Mic16-Lg09 | Mic16-Lg10 | RC17-Lg01 | RC17-Lg02 | RC17-Lg03 | RC17-Lg04 | RC17-Lg05 | RC17-Lg06 | LP18-Lg11 | LP18-Lg12 | L. garvieae1 |
|---|---|---|---|---|---|---|---|---|---|---|---|---|---|---|---|
| State | Mexico | Mexico | Michoacán | Michoacán | Michoacán | Michoacán | Mexico | Mexico | Mexico | Mexico | Mexico | Mexico | Michoacán | Michoacán | Review |
| Isolation (month/year) | 07/2016 | 07/2016 | 12/2016 | 12/2016 | 12/2016 | 12/2016 | 12/2017 | 12/2017 | 12/2017 | 12/2017 | 12/2017 | 12/2017 | 08/2018 | 08/2018 | Review |
| Farm | AC | LJ | Mic | Mic | Mic | Mic | RC | RC | RC | RC | RC | RC | LP | LP | nd |
| Fish affected (g) | 200–300 | 200-300 | 200–300 | 200–300 | 200–300 | 200–500 | 200–500 | 200–500 | 200–500 | 200–500 | 200–500 | 200–500 | 200–400 | 200–400 | − |
| Nº of fish sampled | 5 | 8 | 8 | 8 | 8 | 8 | 10 | 10 | 10 | 10 | 10 | 10 | 8 | 8 | nd |
| Density (kg/m3) | 15 | 14 | 15 | 15 | 15 | 17 | 17 | 17 | 17 | 17 | 17 | 17 | 20 | 20 | − |
| Source | Brain | Heart | Kidney | Liver | Kidney | Heart | Liver | Spleen | Heart | Brain | Kidney | Kidney | Kidney | Brain | − |
| Gram | + | + | + | + | + | + | + | + | + | + | + | + | + | + | + |
| Morphology | Ovoid | Ovoid | Ovoid | Ovoid | Ovoid | Ovoid | Ovoid | Ovoid | Ovoid | Ovoid | Ovoid | Ovoid | Ovoid | Ovoid | Ovoid |
| Motility | − | − | − | − | − | − | − | − | − | − | − | − | − | − | − |
| Catalase | − | − | − | − | − | − | − | − | − | − | − | − | − | − | − |
| Oxidase | − | − | − | − | − | − | − | − | − | − | − | − | − | − | − |
| O/F | F | F | F | F | F | F | F | F | F | F | F | F | F | F | F |
| Citrate | − | − | − | − | − | − | − | − | − | − | − | − | − | − | − |
| DNAsa | − | − | − | − | − | − | − | − | − | − | − | − | − | − | nd |
| Vogues-Proskauer | + | + | + | + | + | + | + | + | + | + | + | + | + | + | + |
| A/ L/O * | +/−/− | +/−/− | +/−/− | +/−/− | +/−/− | +/−/− | +/−/− | +/−/− | +/−/− | +/−/− | +/−/− | +/−/− | +/−/− | +/−/− | +/−/− |
| Hydrolisys | |||||||||||||||
| Starch | − | − | − | − | − | − | − | − | − | − | − | − | − | − | |
| Casein | − | − | − | − | − | − | − | − | − | − | − | − | − | − | nd |
| Esculin | + | + | + | + | + | + | + | + | + | + | + | + | + | + | + |
| Gelatine | − | − | − | − | − | − | − | − | − | − | − | − | − | − | nd |
| Tween 80 | − | − | − | − | − | − | − | − | − | − | − | − | − | − | nd |
| API galleries | |||||||||||||||
| Esterase lipase | + | + | + | − | + | − | + | + | + | + | − | − | − | − | nd |
| Leucine arylam | + | + | + | + | + | + | + | + | + | + | + | + | + | + | + |
| α-chemotrypsin | − | − | + | − | + | − | + | + | + | − | − | + | − | − | nd |
| α-glucosidase | + | + | + | + | + | + | − | − | − | + | − | − | + | + | nd |
| β-galactosidase | − | − | − | − | − | − | − | − | − | − | − | − | − | − | v2 |
| β-glucosidase | + | + | + | + | + | + | − | − | − | + | − | − | + | + | nd |
| β-glucuronidase | − | − | − | − | − | − | − | − | − | − | − | − | − | − | −2 |
| β-NAG | − | − | − | − | − | − | − | − | − | − | − | − | − | − | v3 |
| D-maltose | + | + | + | + | + | + | + | + | + | + | + | + | + | + | + |
| D-mannitol | + | + | + | + | + | + | + | + | + | + | + | + | + | + | + |
| D-mannose | + | + | + | + | + | + | + | + | + | + | + | + | + | + | + |
| D-melezitose | − | − | − | − | − | − | − | − | − | − | − | − | − | − | − |
| D-raffinose | v | v | v | v | v | v | + | − | v | v | v | v | v | v | − |
| D-ribose | + | + | + | + | + | + | + | + | + | + | + | + | + | + | v |
| D-sorbitol | − | − | − | − | − | − | − | − | − | − | − | − | − | − | + |
| D-tagatose | + | + | + | + | + | + | + | + | + | + | + | + | + | + | v |
| L-arabinose | − | − | − | − | − | − | − | − | − | − | − | − | − | − | − |
| APPA | + | + | + | + | + | + | + | + | + | + | + | + | + | + | +2 |
| Cyclodextrin | + | + | + | + | + | + | + | + | + | + | + | + | + | + | v3 |
| Glycogen | − | − | − | − | − | − | − | − | − | − | − | − | − | − | − |
| GTA | − | − | − | − | − | − | + | − | − | − | − | − | − | − | −2 |
| Lactose | − | − | − | − | − | − | − | − | v | − | v | − | − | − | w |
| PYRA | + | + | + | + | + | + | + | + | + | + | + | + | + | + | v |
| Sucrose | + | + | + | + | + | + | + | + | + | + | + | + | + | + | v |
| Urease | − | − | − | − | − | − | − | − | − | − | − | − | − | − | − |
| Temperature (°C) | 5–37 | 5–37 | 5–37 | 5–37 | 5–37 | 5–37 | 5–37 | 5–37 | 5–37 | 5–37 | 5–37 | 5–37 | 5–37 | 5–37 | 4–45 |
| Salinities (%) | 0–9 | 0–9 | 0–9 | 0–8 | 0–8 | 0–8 | 0–7 | 0–8 | 0–7 | 0–7 | 0–9 | 0–9 | 0–8 | 0–8 | 0–6.5 |
| pH range | 5–10 | 5–10 | 5–10 | 5–10 | 5–10 | 5–10 | 5–10 | 5–10 | 5–10 | 5–10 | 5–10 | 5–10 | 5–10 | 5–10 | 7–9.6 |
| Biotype | 2 | 2 | 2 | 2 | 2 | 2 | 2 | 2 | 2 | 2 | 2 | 2 | 2 | 2 | v |
© 2020 by the authors. Licensee MDPI, Basel, Switzerland. This article is an open access article distributed under the terms and conditions of the Creative Commons Attribution (CC BY) license (http://creativecommons.org/licenses/by/4.0/).
Share and Cite
Ortega, C.; Irgang, R.; Valladares-Carranza, B.; Collarte, C.; Avendaño-Herrera, R. First Identification and Characterization of Lactococcus garvieae Isolated from Rainbow Trout (Oncorhynchus mykiss) Cultured in Mexico. Animals 2020, 10, 1609. https://doi.org/10.3390/ani10091609
Ortega C, Irgang R, Valladares-Carranza B, Collarte C, Avendaño-Herrera R. First Identification and Characterization of Lactococcus garvieae Isolated from Rainbow Trout (Oncorhynchus mykiss) Cultured in Mexico. Animals. 2020; 10(9):1609. https://doi.org/10.3390/ani10091609
Chicago/Turabian StyleOrtega, Cesar, Rute Irgang, Benjamín Valladares-Carranza, Constanza Collarte, and Ruben Avendaño-Herrera. 2020. "First Identification and Characterization of Lactococcus garvieae Isolated from Rainbow Trout (Oncorhynchus mykiss) Cultured in Mexico" Animals 10, no. 9: 1609. https://doi.org/10.3390/ani10091609
APA StyleOrtega, C., Irgang, R., Valladares-Carranza, B., Collarte, C., & Avendaño-Herrera, R. (2020). First Identification and Characterization of Lactococcus garvieae Isolated from Rainbow Trout (Oncorhynchus mykiss) Cultured in Mexico. Animals, 10(9), 1609. https://doi.org/10.3390/ani10091609

