Microbial Production of Bioactive Retinoic Acid Using Metabolically Engineered Escherichia coli
Abstract
:1. Introduction
2. Materials and Methods
2.1. Strains, Media, and Culture Conditions
2.2. Plasmid Construction for the Expression of Retinoid Biosynthesis Pathway Enzymes
2.3. Deletion of the ybbO Gene in the BETA-1 Strain
2.4. Integrating Two Retinoic Acid Pathway Genes into the BETA-1∆ybbO Strain
2.5. Reverse-Transcription PCR (RT-PCR)
2.6. SDS-PAGE and Western Blot Analysis
2.7. Bioreactor Fermentation
2.8. Extraction of Retinoids
2.9. Extract Analysis Using HPLC and Mass Spectrometry (MS)
3. Results
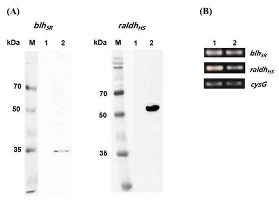
3.1. Expression of Retinoic Acid Pathway Enzymes
3.2. Construction of Retinoic Acid Biosynthetic Pathway in the E. coli BETA-1 Strain
3.3. Enhanced Retinoic Acid Production through Deletion of the ybbO Gene in the BETA-1 Strain
3.4. Transcription Control Engineering of blhSR and raldhHS Genes for Improving Retinoic Acid Production
3.5. Construction and Expression of Retinoic Acid Biosynthetic Pathway Genes on the Genome of RA1 Strain
3.6. Bioreactor Study of Retinoic Acid–Producing Strains
4. Discussion
Supplementary Materials
Author Contributions
Funding
Institutional Review Board Statement
Informed Consent Statement
Data Availability Statement
Acknowledgments
Conflicts of Interest
References
- Clagett-Dame, M.; Knutson, D. Vitamin A in reproduction and development. Nutrients 2011, 3, 385–428. [Google Scholar] [CrossRef] [PubMed] [Green Version]
- Mayo-Wilson, E.; Imdad, A.; Herzer, K.; Yakoob, M.Y.; Bhutta, Z.A. Vitamin A supplements for preventing mortality, illness, and blindness in children aged under 5: Systematic review and meta-analysis. BMJ 2011, 343, d5094. [Google Scholar] [CrossRef] [Green Version]
- D’Ambrosio, D.N.; Clugston, R.D.; Blaner, W.S. Vitamin A metabolism: An update. Nutrients 2011, 3, 63–103. [Google Scholar] [CrossRef] [Green Version]
- Temova Rakusa, Z.; Skufca, P.; Kristl, A.; Roskar, R. Retinoid stability and degradation kinetics in commercial cosmetic products. J. Cosmet Dermatol. 2020, 20, 2350–2358. [Google Scholar] [CrossRef] [PubMed]
- Yang, J.; Wang, W.; Ooi, J.; Campos, L.S.; Lu, L.; Liu, P. Signalling Through Retinoic Acid Receptors is Required for Reprogramming of Both Mouse Embryonic Fibroblast Cells and Epiblast Stem Cells to Induced Pluripotent Stem Cells. Stem Cells 2015, 33, 1390–1404. [Google Scholar] [CrossRef] [PubMed] [Green Version]
- Temova Rakuša Ž, Škufca, P.; Kristl, A.; Roškar, R. Quality control of retinoids in commercial cosmetic products. J. Cosmet Dermatol. 2021, 20, 1166–1175. [Google Scholar] [CrossRef] [PubMed]
- Choi, B.H.; Kim, J.H.; Choi, S.Y.; Han, S.J.; Lee, P.C. Redesign and reconstruction of a mevalonate pathway and its application in terpene production in Escherichia coli. Bioresour. Technol. Rep. 2019, 7, 100291. [Google Scholar] [CrossRef]
- Parker, G.L.; Smith, L.K.; Baxendale, I.R. Development of the industrial synthesis of vitamin A. Tetrahedron 2016, 72, 1645–1652. [Google Scholar] [CrossRef]
- Jang, H.J.; Ha, B.K.; Zhou, J.; Ahn, J.; Yoon, S.H.; Kim, S.W. Selective retinol production by modulating the composition of retinoids from metabolically engineered E. coli. Biotechnol. Bioeng. 2015, 112, 1604–1612. [Google Scholar] [CrossRef] [PubMed]
- Jang, H.J.; Yoon, S.H.; Ryu, H.K.; Kim, J.H.; Wang, C.L.; Kim, J.Y.; Oh, D.K.; Kim, S.W. Retinoid production using metabolically engineered Escherichia coli with a two-phase culture system. Microb. Cell Fact. 2011, 10, 59. [Google Scholar] [CrossRef] [PubMed] [Green Version]
- Choi, B.H.; Hwang, H.J.; Lee, J.E.; Oh, S.H.; Hwang, J.S.; Lee, B.Y.; Lee, P.C. Microbial Production of Retinyl Palmitate and Its Application as a Cosmeceutical. Antioxidants 2020, 9, 1130. [Google Scholar] [CrossRef] [PubMed]
- Sun, L.; Kwak, S.; Jin, Y.S. Vitamin A Production by Engineered Saccharomyces cerevisiae from Xylose via Two-Phase in Situ Extraction. ACS Synth Biol. 2019, 8, 2131–2140. [Google Scholar] [CrossRef] [PubMed]
- Mehrer, C.R.; Incha, M.R.; Politz, M.C.; Pfleger, B.F. Anaerobic production of medium-chain fatty alcohols via a beta-reduction pathway. Metab. Eng. 2018, 48, 63–71. [Google Scholar] [CrossRef] [PubMed]
- Hong, S.H.; Ngo, H.P.; Nam, H.K.; Kim, K.R.; Kang, L.W.; Oh, D.K. Alternative Biotransformation of Retinal to Retinoic Acid or Retinol by an Aldehyde Dehydrogenase from Bacillus cereus. Appl. Environ. Microbiol. 2016, 82, 3940–3946. [Google Scholar] [CrossRef] [PubMed] [Green Version]
- Kim, S.H.; Lee, P.C. Functional expression and extension of staphylococcal staphyloxanthin biosynthetic pathway in Escherichia coli. J. Biol. Chem. 2012, 287, 21575–21583. [Google Scholar] [CrossRef] [Green Version]
- Moon, J.H.; Lee, K.; Lee, J.H.; Lee, P.C. Redesign and reconstruction of a steviol-biosynthetic pathway for enhanced production of steviol in Escherichia coli. Microb. Cell Fact. 2020, 19, 20. [Google Scholar] [CrossRef] [PubMed]
- Song, J.W.; Woo, J.M.; Jung, G.Y.; Bornscheuer, U.T.; Park, J.B. 3’-UTR engineering to improve soluble expression and fine-tuning of activity of cascade enzymes in Escherichia coli. Sci. Rep. 2016, 6, 29406. [Google Scholar] [CrossRef] [PubMed] [Green Version]
- Ding, W.; Cheng, J.; Guo, D.; Mao, L.; Li, J.; Lu, L.; Zhang, Y.; Yang, J.; Jiang, H. Engineering the 5′ UTR-Mediated Regulation of Protein Abundance in Yeast Using Nucleotide Sequence Activity Relationships. ACS Synth Biol. 2018, 7, 2709–2714. [Google Scholar] [CrossRef] [PubMed]





| Strains and Plasmids | Relevant Properties | Source or Reference |
|---|---|---|
| Strains | ||
| E. coli TOP10 | F- mcrA Δφ80lacZΔM15 ΔlacX74 nupG recA1 araD139 Δ(ara-leu)7697 galE15 galK16 rpsL(StrR) endA1 | Invitrogen |
| E. coli BL21(DE3) | F–ompTgaldcmlonhsdSB(rB–mB–) λ(DE3 [lacIlacUV5-T7p07 ind1 sam7 nin5]) [malB+]K-12(λS) | NEB |
| BETA-1 | B120 ::idi ::ispA :: dxs :: dxr :: CrtEX2 :: Ptrc_YIB_PAG (atpI site) | unpublished |
| BETA-1∆ybbO | Deletion of ybbO in BETA-1 | This study |
| BETA-1∆ybbO∆malT::37blh | Integration of UTR37-blh in BETA-1∆ybbO | This study |
| BETA-1∆ybbO∆malT:: Mraldh | Integration of UTRM-raldh in BETA-1∆ybbO | This study |
| BETA-1∆ybbO∆malT::37blh::Mraldh | Integration of UTR37-blh and UTRM-raldh in BETA-1∆ybbO | This study |
| Plasmids for pathway construction | ||
| pUCM | Cloning vector modified from pUC19; constitutive lac promoter, Ap | |
| pUCMr | Cloning vector modified from pUCM; constitutive lac promoter and rop gene, Ap (low copy plasmid) | [11] |
| pSTVM2 | Cloning vector modified from pSTV29; constitutive lac promoter, Cm | |
| pUCMr-blh | Constitutive expressed blh gene from S. ruber | [11] |
| pUCMr12-blh | Constitutive expressed blh gene from S. ruber with UTR12 sequence | [11] |
| pUCMr37-blh | Constitutive expressed blh gene from S. ruber with UTR37 sequence | [11] |
| pUCMr46-blh | Constitutive expressed blh gene from S. ruber with UTR46 sequence | [11] |
| pUCMr-raldh | Constitutive expressed raldh gene from Hep3B cell line | This study |
| pUCMrH-raldh | Constitutive expressed raldh gene from Hep3B cell line with UTRH sequence | This study |
| pUCMrM-raldh | Constitutive expressed raldh gene from Hep3B cell line with UTRM sequence | This study |
| pSTVM2-blh-raldh | Constitutive expressed blh and raldh genes | This study |
| pSTVM2-37blh | Constitutive expressed UTR37-blh gene | This study |
| pSTVM2-Mraldh | Constitutive expressed UTRM- raldh gene | This study |
| pSTVM2-12blh-raldh | Constitutive expressed UTR12-blh gene and raldh gene | This study |
| pSTVM2-37blh-raldh | Constitutive expressed UTR37-blh gene and raldh gene | This study |
| pSTVM2-46blh-raldh | Constitutive expressed UTR46-blh gene and raldh gene | This study |
| pSTVM2-blh-Hraldh | Constitutive expressed blh gene and UTRH-raldh gene | This study |
| pSTVM2-blh-Mraldh | Constitutive expressed blh gene and UTRM-raldh gene | This study |
| pSTVM2-37blh-Hraldh | Constitutive expressed UTR37-blh gene and UTRH-raldh gene | This study |
| pSTVM2-37blh-Mraldh | Constitutive expressed UTR37-blh gene and UTRM-raldh gene | This study |
| Plasmids for western botting | This study | |
| pET21α(+) | Inducible expression vector, Ap | Novagen |
| pET21-blh | Induciblyl expressed 6×His-tagged blh gene in pET21α(+) | This study |
| pET21-raldh | Induciblyl expressed 6×His-tagged raldh gene in pET21α (+) | This study |
| Plasmids for genome editing | This study | |
| pRed/ET | Inducible expression Red/ET, Ap | Gene Bridge |
| pMP11 | pKD46 with constitutively expressed Cas9,aTc gRNA targeting ColE1 origin | [13] |
| pgRNA | Constitutively expressed sgRNA | [13] |
| pgRNA_malT | Constitutively expressed sgRNA targeting malT | This study |
Publisher’s Note: MDPI stays neutral with regard to jurisdictional claims in published maps and institutional affiliations. |
© 2021 by the authors. Licensee MDPI, Basel, Switzerland. This article is an open access article distributed under the terms and conditions of the Creative Commons Attribution (CC BY) license (https://creativecommons.org/licenses/by/4.0/).
Share and Cite
Han, M.; Lee, P.C. Microbial Production of Bioactive Retinoic Acid Using Metabolically Engineered Escherichia coli. Microorganisms 2021, 9, 1520. https://doi.org/10.3390/microorganisms9071520
Han M, Lee PC. Microbial Production of Bioactive Retinoic Acid Using Metabolically Engineered Escherichia coli. Microorganisms. 2021; 9(7):1520. https://doi.org/10.3390/microorganisms9071520
Chicago/Turabian StyleHan, Minjae, and Pyung Cheon Lee. 2021. "Microbial Production of Bioactive Retinoic Acid Using Metabolically Engineered Escherichia coli" Microorganisms 9, no. 7: 1520. https://doi.org/10.3390/microorganisms9071520
APA StyleHan, M., & Lee, P. C. (2021). Microbial Production of Bioactive Retinoic Acid Using Metabolically Engineered Escherichia coli. Microorganisms, 9(7), 1520. https://doi.org/10.3390/microorganisms9071520
