May Bacterial Infections Trigger Bullous Pemphigoid? Case Report and Review of Literature
Abstract
1. Introduction
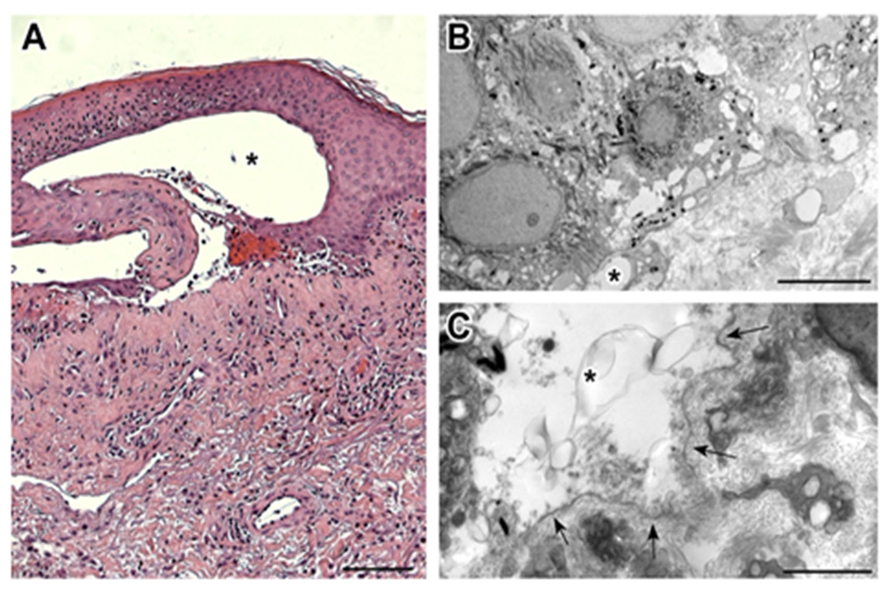
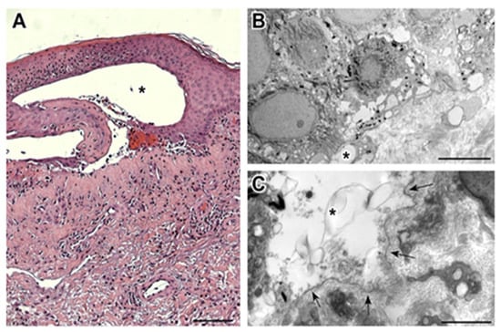
2. Case Report
3. Discussion
4. Conclusions
5. Ethic Statement
Author Contributions
Funding
Institutional Review Board Statement
Informed Consent Statement
Data Availability Statement
Acknowledgments
Conflicts of Interest
References
- Bağcı, I.S.; Horváth, O.N.; Ruzicka, T.; Sárdy, M. Bullous pemphigoid. Autoimmun. Rev. 2017, 16, 45–455. [Google Scholar] [CrossRef]
- Di Zenzo, G.; Marazza, G.; Borradori, L. Bullous pemphigoid: Physiopathology, clinical features and management. Adv. Dermatol. 2007, 23, 257–288. [Google Scholar] [CrossRef] [PubMed]
- Schmidt, E.; Zillikens, D. Pemphigoid diseases. Lancet 2013, 381, 320–332. [Google Scholar] [CrossRef]
- Parker, S.R.; MacKelfresh, J. Autoimmune blistering diseases in the elderly. Clin. Dermatol. 2011, 29, 69–79. [Google Scholar] [CrossRef]
- Yancey, K.B. The pathophysiology of autoimmune blistering disorders. J. Clin. Investig. 2005, 115, 825–828. [Google Scholar] [CrossRef] [PubMed]
- Sagi, L.; Baum, S.; Agmon-Levin, N.; Sherer, Y.; Katz, B.S.; Barzilai, O.; Ram, M.; Bizzaro, N.; SanMarco, M.; Trau, H.; et al. Autoimmune bullous diseases the spectrum of infectious agent antibodies and review of the literature. Autoimmun. Rev. 2011, 10, 527–535. [Google Scholar] [CrossRef]
- Marazza, G.; Pham, H.C.; Schärer, L.; Pedrazzetti, P.P.; Hunziker, T.; Trüeb, R.M.; Hohl, D.; Itin, P.; Lautenschlager, S.; Naldi, L.; et al. Autoimmune bullous disease Swiss study group. Incidence of bullous pemphigoid and pemphigus in Switzerland: A 2-year prospective study. Br. J. Dermatol. 2009, 161, 861–868. [Google Scholar] [CrossRef]
- Joly, P.; Benichou, J.; Lok, C.; Hellot, M.F.; Saiag, P.; Tancrede-Bohin, E.; Sassolas, B.; Labeille, B.; Doutre, M.S.; Gorin, I.; et al. Prediction of survival for patients with bullous pemphigoid: A prospective study. Arch. Dermatol. 2005, 141, 691–698. [Google Scholar] [CrossRef]
- Delgado, J.C.; Turbay, D.; Yunis, E.J.; Yunis, J.J.; Morton, E.D.; Bhol, K.; Norman, R.; Alper, C.A.; Good, R.A.; Ahmed, R. A common major histocompatibility complex class II allele HLA-DQB1* 0301 is present in clinical variants of pemphigoid. Proc. Natl. Acad. Sci. USA 1996, 93, 8569–8571. [Google Scholar] [CrossRef]
- Moro, F.; Fania, L.; Sinagra, J.L.M.; Salemme, A.; Zenzo, G.D. Bullous pemphigoid: Trigger and predisposing factors. Biomolecules 2020, 10, 1432. [Google Scholar] [CrossRef]
- Balestri, R.; Magnano, M.; La Placa, M.; Patrizi, A.; Angileri, L.; Tengattini, V.; Bardazzi, F. Malignancies in bullous pemphigoid: A controversial association. J. Dermatol. 2015, 43, 125–133. [Google Scholar] [CrossRef]
- Atzmony, L.; Mimouni, I.; Reiter, O.; Leshem, Y.A.; Taha, O.; Gdalevich, M.; Hodak, E.; Mimouni, D. Association of bullous pemphigoid with malignancy: A systematic review and meta-analysis. J. Am. Acad. Dermatol. 2017, 77, 691–699. [Google Scholar] [CrossRef] [PubMed]
- Chen, J.; Mao, X.; Zhao, W.; Zhang, B.; Chen, X.; Yu, C.; Zheng, Z.; Jin, H.; Li, L. Assessment of the characteristics and associated factors of infectious complications in bullous pemphigoid. Front. Immunol. 2020, 11, 1607. [Google Scholar] [CrossRef] [PubMed]
- Sadik, C.D.; Schmidt, E. Resolution in bullous pemphigoid. Semin. Immunopathol. 2019, 41, 645–654. [Google Scholar] [CrossRef]
- Dimson, O.G.; Giudice, G.J.; Fu, C.L.; Van den Bergh, F.; Warren, S.J.; Janson, M.M.; Fairley, J.A. Identification of a potential effector function for IgE autoantibodies in the organ-specific autoimmune disease bullous pemphigoid. J. Investig. Dermatol. 2003, 120, 784–788. [Google Scholar] [CrossRef]
- Simon, D.; Borradori, L.; Simon, H.U. Eosinophils as putative therapeutic targets in bullous pemphigoid. Exp. Dermatol. 2017, 26, 1187–1192. [Google Scholar] [CrossRef] [PubMed]
- Diny, N.L.; Rose, N.R.; Čiháková, D. Eosinophils in autoimmune diseases. Front. Immunol. 2017, 8, 484. [Google Scholar] [CrossRef]
- Chakievska, L.; Holtsche, M.M.; Künstner, A.; Goletz, S.; Petersen, B.S.; Thaci, D.; Ibrahim, S.M.; Ludwig, R.J.; Franke, A.; Sadik, C.D.; et al. IL-17A is functionally relevant and a potential therapeutic target in bullous pemphigoid. J. Autoimmun. 2019, 96, 104–112. [Google Scholar] [CrossRef]
- Murrell, D.F.; Daniel, B.S.; Joly, P.; Borradori, L.; Amagai, M.; Hashimoto, T.; Caux, F.; Marinovic, B.; Sinha, A.A.; Hertl, M.; et al. Definitions and outcome measures for bullous pemphigoid: Recommendations by an international panel of experts. J. Am. Acad. Dermatol. 2012, 66, 479–485. [Google Scholar] [CrossRef]
- Hoffmann, J.H.O.; Enk, A.H. High-dose intravenous immunoglobulin in skin autoimmune disease. Front. Immunol. 2019, 10, 1090. [Google Scholar] [CrossRef] [PubMed]
- Döpp, R.; Schmidt, E.; Chimanovitch, I.; Leverkus, M.; Bröcker, E.B.; Zillikens, D. IgG4 and IgE are the major immunoglobulins targeting the NC16A domain of BP180 in bullous pemphigoid: Serum levels of these immunoglobulins reflect disease activity. J. Am. Acad. Dermatol. 2000, 42, 577–583. [Google Scholar] [CrossRef] [PubMed]
- Chen, R.; Ning, G.; Zhao, M.L.; Fleming, M.G.; Diaz, L.A.; Werb, Z.; Liu, Z. Mast cells play a key role in neutrophil recruitment in experimental bullous pemphigoid. J. Clin. Investig. 2001, 108, 1151–1158. [Google Scholar] [CrossRef] [PubMed]
- Wintroub, B.U.; Mihm, M.C., Jr.; Goetzl, E.J.; Soter, N.A.; Austen, K.F. Morphologic and functional evidence for release of mast-cell products in bullous pemphigoid. N. Engl. J. Med. 1978, 298, 417–421. [Google Scholar] [CrossRef]
- Seppänen, A.O. Both bullous pemphigoid antigens are expressed in the central nervous system. Br. J. Dermatol. 2012, 166, 683–684. [Google Scholar] [CrossRef]
- Chen, Y.J.; Wu, C.Y.; Lin, M.W.; Chen, T.J.; Liao, K.K.; Chen, Y.C.; Hwang, C.Y.; Chu, S.Y.; Chen, C.C.; Lee, D.D.; et al. Comorbidity profiles among patients with bullous pemphigoid: A nationwide population-based study. Br. J. Dermatol. 2011, 165, 593–599. [Google Scholar] [CrossRef]
- Belgnaoui, F.; Idrissi, M.; Benyoussef, K.; Loudiye, T.; Bella, A.; Senouci, K.; Aouni, M.; Mansouri, F.; Heid, E.; Hassam, B. Idiopathic hypereosinophilic syndrome and bullous pemphigoid. Ann. Dermatol. Venereol. 2002, 129, 1291–1294. [Google Scholar] [PubMed]
- Lee, J.J.; Downham, T.F., II. Furosemide-induced bullous pemphigoid: Case report and review of literature. J. Drugs Dermatol. 2006, 5, 562–564. [Google Scholar]
- Koch, C.A.; Mazzaferri, E.L.; Larry, J.A.; Fanning, T.S. Bullous pemphigoid after treatment with furosemide. Cutis 1996, 58, 340–344. [Google Scholar] [PubMed]
- Skandalis, K.; Spirova, M.; Gaitanis, G.; Tsartsarakis, A.; Bassukas, I.D. Drug-induced bullous pemphigoid in diabetes mellitus patients receiving dipeptidyl peptidase-IV inhibitors plus metformin. J. Eur. Acad. Dermatol. Venereol. 2012, 26, 249–253. [Google Scholar] [CrossRef]
- Walmsley, N.; Hampton, P. Bullous pemphigoid triggered by swine flu vaccination: Case report and review of vaccine triggered pemphigoid. J. Dermatol. Case Rep. 2011, 5, 74–76. [Google Scholar] [CrossRef]
- Takeichi, S.; Kubo, Y.; Arase, S.; Hashimoto, T.; Ansai, D. Brunsting-Perry type localized bullous pemphigoid, possibly induced by furosemide administration and sun exposure. Eur. J. Dermatol. 2009, 19, 500–503. [Google Scholar] [CrossRef] [PubMed]
- Panayiotou, B.N.; Prasad, M.V.; Zaman, M.N. Furosemide-induced bullous pemphigoid. Br. J. Clin. Pract. 1997, 51, 49–50. [Google Scholar]
- Tasanen, K.; Varpuluoma, O.; Nishie, W. Dipeptidyl Peptidase-4 inhibitor-associated bullous pemphigoid. Front. Immunol. 2019, 10, 1238. [Google Scholar] [CrossRef]
- Bach, J.F. Infections and autoimmune diseases. J. Autoimmun. 2005, 25, 74–80. [Google Scholar] [CrossRef]
- Drago, F.; Nozza, P.; Casazza, S.; Brusati, C.; Bandelloni, R.; Rebora, A. Human herpesviruses in bullous pemphigoid lesions. Br. J. Dermatol. 2005, 152, 375–376. [Google Scholar] [CrossRef]
- Blazsek, A.; Silló, P.; Ishii, N.; Gergerly, P., Jr.; Poor, G.; Preisz, K.; Hashimoto, T.; Medvecz, M.; Karpati, S. Searching for foreign antigens as possible triggering factors of autoimmunity: Torque Teno virus DNA prevalence is elevated in sera of patients with bullous pemphigoid. Exp. Dermatol. 2008, 17, 446–454. [Google Scholar] [CrossRef]
- Min, M.; Damstetter, E.; Chen, A.Y.-Y. Autoimmune blistering disorders in the setting of human immunodeficiency virus infection. Int. J. Women’s Dermatol. 2018, 4, 159–165. [Google Scholar] [CrossRef] [PubMed]
- De, D.; Kanwar, A.J.; Radotra, B.D.; Narang, T. Bullous eruption in a patient infected with the human immunodeficiency virus. Skinmed 2008, 7, 98–101. [Google Scholar] [CrossRef]
- Bull, R.; Fallowfield, M.; Marsden, R. Autoimmune blistering diseases associated with HIV infection. Clin. Exp. Dermatol. 1994, 19, 47–50. [Google Scholar] [CrossRef] [PubMed]
- Jang, H.; Jin, Y.-J.; Yoon, C.H.; Kim, C.-W.; Kim, L. Bullous pemphigoid associated with chronic hepatitis C virus infection in a hepatitis B virus endemic area: A case report. Medicine 2018, 97, e0377. [Google Scholar] [CrossRef]
- Batts, A.F.; Jalalat, S.Z.; Hunter-Ellul, L.; Wilkerson, M.G. Exacerbation of bullous pemphigoid after hand, foot, and mouth disease treated with rituximab. JAAD Case Rep. 2016, 2, 7–9. [Google Scholar] [CrossRef] [PubMed][Green Version]
- Löffel, F.B.; Stücker, M. Localized bullous pemphigoid triggered by erysipelas. Hautarzt 2016, 67, 829–832. [Google Scholar] [CrossRef]
- Bornhövd, E.; Partscht, K.; Flaig, M.J.; Messer, G. Bullöse Skabies und durch Skabiesbefall getriggertes bullöses Pemphigoid [Bullous scabies and scabies-triggered bullous pemphigoid]. Hautarzt 2001, 52, 56–61. [Google Scholar] [CrossRef]
- Castle, S.C.; Uyemura, K.; Fulop, T.; Makinodan, T. Host resistance and immune responses in advanced age. Clin. Geriatr. Med. 2007, 23, 463–479. [Google Scholar] [CrossRef] [PubMed]
- Chinen, J.; Shearer, W.T. Secondary immunodeficiencies, including HIV infection. J. Allergy Clin. Immunol. 2010, 125 (Suppl. 2), S195–S203. [Google Scholar] [CrossRef]
- Salemi, S.; D’Amelio, R. Could autoimmunity be induced by vaccination? Int. Rev. Immunol. 2010, 29, 247–269. [Google Scholar] [CrossRef]
- Amagai, M.; Ikeda, S.; Hashimoto, T.; Mizuashi, M.; Fujisawa, A.; Ihn, H.; Matsuzaki, Y.; Ohtsuka, M.; Fujiwara, H.; Furuta, J.; et al. A randomized double-blind trial of intravenous immunoglobulin for bullous pemphigoid. J. Dermatol. Sci. 2017, 85, 77–84. [Google Scholar] [CrossRef]
- Brown, M.A.; Hatfield, J.K. Mast cells are important modifiers of autoimmune disease: With so much evidence, why is there still controversy? Front. Immunol. 2012, 3, 147. [Google Scholar] [CrossRef] [PubMed]
- Ren, Z.; Narla, S.; Hsu, D.Y.; Silverberg, J.I. Association of serious infections with pemphigus and pemphigoid: Analysis of the Nationwide Inpatient Sample. J. Eur. Acad. Dermatol. Venereol. 2018, 32, 1768–1776. [Google Scholar] [CrossRef] [PubMed]
- Germano, V.; Cattaruzza, M.S.; Osborn, J.; Tarantino, A.; Di Rosa, R.; Salemi, S.; D’Amelio, R. Infection risk in rheumatoid arthritis and spondyloarthropathy patients under treatment with DMARDs, corticosteroids and TNF-α antagonists. J. Transl. Med. 2014, 12, 77. [Google Scholar] [CrossRef]


| Admission | Discharge |
|---|---|
Clinical conditions
| Clinical Conditions
|
Cultures
| Cultures
|
Allergy
| Allergy
|
Autoimmunity
| Autoimmunity
|
Laboratory tests
| Laboratory tests
|
Biopsy perilesional skin
| Biopsy perilesional skin
|
Treatment
| Treatment
|
| Microorganisms/Infections | Clinical | Cultural | Microscopic/Molecular | Serological | References |
|---|---|---|---|---|---|
| CMV-EBV-HHV6-HHV8 | x | x | [6,35] | ||
| Torque Teno virus | x | [36] | |||
| HIV | x | [37,38,39] | |||
| HBV | x | [6] | |||
| HCV | x | [40] | |||
| Coxsakievirus A6 | x | [41] | |||
| Helicobacter pylori | x | [6] | |||
| Erysipelas | x | [42] | |||
| Toxoplasma gondii | x | [6] | |||
| Sarcoptes scabiei | x | x | [43] | ||
| Staphylococcus aureus | Blood | This case | |||
| Enterococcus faecalis | Blister fluid | This case |
Publisher’s Note: MDPI stays neutral with regard to jurisdictional claims in published maps and institutional affiliations. |
© 2021 by the authors. Licensee MDPI, Basel, Switzerland. This article is an open access article distributed under the terms and conditions of the Creative Commons Attribution (CC BY) license (https://creativecommons.org/licenses/by/4.0/).
Share and Cite
Biondo, M.I.; Fiorentino, C.; Persechino, S.; Tammaro, A.; Koverech, A.; Bartolazzi, A.; Raffa, S.; Canzoni, M.; Picchianti-Diamanti, A.; Di Rosa, R.; et al. May Bacterial Infections Trigger Bullous Pemphigoid? Case Report and Review of Literature. Microorganisms 2021, 9, 1235. https://doi.org/10.3390/microorganisms9061235
Biondo MI, Fiorentino C, Persechino S, Tammaro A, Koverech A, Bartolazzi A, Raffa S, Canzoni M, Picchianti-Diamanti A, Di Rosa R, et al. May Bacterial Infections Trigger Bullous Pemphigoid? Case Report and Review of Literature. Microorganisms. 2021; 9(6):1235. https://doi.org/10.3390/microorganisms9061235
Chicago/Turabian StyleBiondo, Michela Ileen, Chiara Fiorentino, Severino Persechino, Antonella Tammaro, Angela Koverech, Armando Bartolazzi, Salvatore Raffa, Marco Canzoni, Andrea Picchianti-Diamanti, Roberta Di Rosa, and et al. 2021. "May Bacterial Infections Trigger Bullous Pemphigoid? Case Report and Review of Literature" Microorganisms 9, no. 6: 1235. https://doi.org/10.3390/microorganisms9061235
APA StyleBiondo, M. I., Fiorentino, C., Persechino, S., Tammaro, A., Koverech, A., Bartolazzi, A., Raffa, S., Canzoni, M., Picchianti-Diamanti, A., Di Rosa, R., Di Zenzo, G., Scala, E., Meneguzzi, G., Ferlito, C., Markovic, M., Caporuscio, S., Sorgi, M. L., Salemi, S., & Laganà, B. (2021). May Bacterial Infections Trigger Bullous Pemphigoid? Case Report and Review of Literature. Microorganisms, 9(6), 1235. https://doi.org/10.3390/microorganisms9061235

