The Role of Lung Colonization in Connective Tissue Disease-Associated Interstitial Lung Disease
Abstract
1. Introduction
2. Materials and Methods
2.1. Patients and Sample Collection
2.2. Broncho-Alveolar Lavage Procedure
2.3. Lung Function Tests
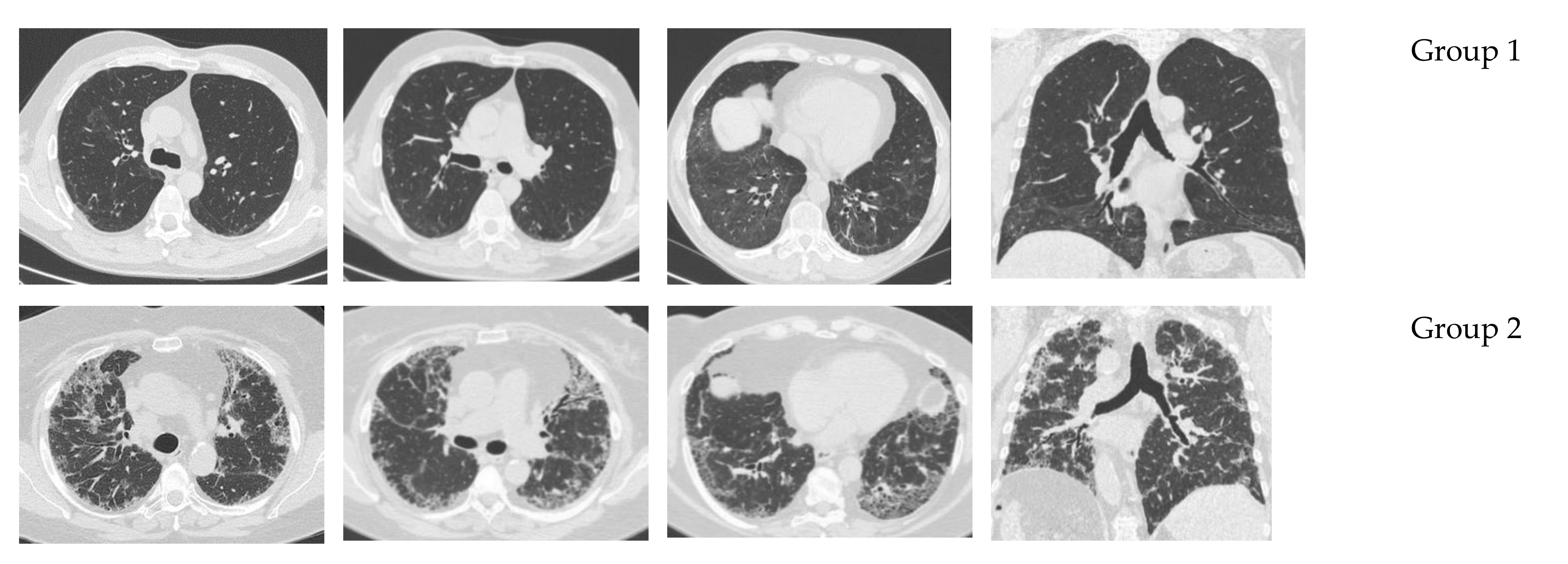
2.4. Quantification of Lung CT Lesions
2.5. Statistical Analysis
3. Results
Patients
4. Discussion
5. Conclusions
Author Contributions
Funding
Institutional Review Board Statement
Informed Consent Statement
Data Availability Statement
Conflicts of Interest
References
- Mathai, S.C.; Danoff, S.K. Management of interstitial lung disease associated with connective tissue disease. BMJ 2016, 352, h6819. [Google Scholar] [CrossRef] [PubMed]
- Alba, M.A.; Flores-Suárez, L.F.; Henderson, A.G.; Xiao, H.; Hu, P.; Nachman, P.H.; Falk, R.J.; Charles Jennette, J. Interstitial lung disease in ANCA vasculitis. Autoimmun. Rev. 2017, 16, 722–729. [Google Scholar] [CrossRef] [PubMed]
- Picchianti Diamanti, A.; Markovic, M.; Argento, G.; Giovagnoli, S.; Ricci, A.; Laganà, B.; D’Amelio, R. Therapeutic management of patients with rheumatoid arthritis and associated interstitial lung disease: Case report and literature review. Ther. Adv. Respir. Dis. 2017, 11, 64–72. [Google Scholar] [CrossRef] [PubMed]
- Travis, W.D.; Costabel, U.; Hansell, D.M.; King, T.E.; Lynch, D.A.; Nicholson, A.G.; Ryerson, C.J.; Ryu, J.H.; Selman, M.; Wells, A.U.; et al. An official American Thoracic Society/European Respiratory Society statement: Update of the international multidisciplinary classification of the idiopathic interstitial pneumonias. Am. J. Respir. Crit. Care Med. 2013, 188, 733–748. [Google Scholar] [CrossRef] [PubMed]
- Cottin, V.; Hirani, O.; Hotchkin, D.L.; Nambiar, A.M.; Ogura, T.; Ogura, M.; Skowasch, D.; Park, J.S.; Poonyagariyagorn, H.K.; Wuyts, W.; et al. Presentation, diagnosis and clinical course of the spectrum of progressive fibrosing interstitial lung diseases. Eur. Respir. Rev. 2018, 27, 180076–180087. [Google Scholar] [CrossRef]
- Vij, R.; Strek, M.E. Diagnosis and treatment of connective tissue disease-associated interstitial lung disease. Chest 2013, 143, 814–824. [Google Scholar] [CrossRef]
- Meyer, K.C. Diagnosis and management of interstitial lung disease. Transl. Respir. Med. 2014, 2, 1–13. [Google Scholar] [CrossRef]
- Baughman, R.P.; Bosken, C.H.; Loudon, R.G.; Hurtubise, P.; Wesseler, T. Quantitation of bronchoalveolar lavage with methylene blue. Am. Rev. Respir. Dis. 1983, 128, 266–270. [Google Scholar] [CrossRef]
- Meduri, G.U.; Baselski, V. The role of bronchoalveolar lavage in diagnosing non opportunistic bacterial pneumonia. Chest 1991, 100, 179–190. [Google Scholar] [CrossRef]
- Graham, B.L.; Steenbruggen, I.; Miller, M.R.; Barjaktarevic, I.Z.; Cooper, B.G.; Hall, G.L.; Hallstrand, T.S.; Kaminsky, D.A.; McCarthy, K.; McCormack, M.C.; et al. Standardization of Spirometry 2019 Update. An Official American Thoracic Society and European Respiratory Society Technical Statement. Am. J. Respir. Crit. Care Med. 2019, 200, e70–e88. [Google Scholar] [CrossRef]
- VanderWeele, T.J.; Ding, P. Sensitivity Analysis in Observational Research: Introducing the E-Value. Ann. Intern. Med. 2017, 167, 268–274. [Google Scholar] [CrossRef]
- Haneuse, S.; VanderWeele, T.J.; Arterburn, D. Using the E-Value to Assess the Potential Effect of Unmeasured Confounding in Observational Studies. JAMA 2019, 321, 602–603. [Google Scholar] [CrossRef]
- Azadeh, N.; Limper, A.H.; Carmona, E.M.; Ryu, J.H. The Role of Infection in Interstitial Lung Diseases: A Review. Chest 2017, 152, 842–852. [Google Scholar] [CrossRef]
- Raghu, G.; Remy-Jardin, M.; Myers, J.L.; Richeldi, L.; Ryerson, C.J.; Lederer, D.J.; Behr, J.; Cottin, V.; Danoff, S.K.; Morell, F.; et al. Diagnosis of Idiopathic Pulmonary Fibrosis. An Official ATS/ERS/JRS/ALAT Clinical Practice Guideline. Am. J. Respir. Crit. Care Med. 2018, 198, e44–e68. [Google Scholar] [CrossRef]
- Lynch, D.A.; Sverzellati, N.; Travis, W.D.; Brown, K.K.; Colby, T.V.; Galvin, J.R.; Goldin, J.G.; Hansell, D.M.; Inoue, Y.; Johkoh, T.; et al. Diagnostic criteria for idiopathic pulmonary fibrosis: A Fleischner Society White Paper. Lancet Respir Med. 2018, 6, 138–153. [Google Scholar] [CrossRef]
- Liao, T.-L.; Lin, C.F.; Chen, Y.M.; Liu, H.J.; Chen, D.Y. Risk Factors and Outcomes of Nontuberculous Mycobacterial Disease among Rheumatoid Arthritis Patients: A Case-Control study in a TB Endemic Area. Sci. Rep. 2016, 6, 29443. [Google Scholar] [CrossRef]
- Liang, J.; Cao, H.; Ke, Y.; Sun, C.; Chen, W.; Lin, J. Acute Exacerbation of Interstitial Lung Disease in Adult Patients with Idiopathic Inflammatory Myopathies: A Retrospective Case-Control Study. Front. Med. Lausanne 2020, 7, 12. [Google Scholar] [CrossRef]
- Falcone, M.; Tiseo, G.; Russo, A.; Giordo, L.; Manzini, E.; Bertazzoni, G.; Palange, P.; Taliani, G.; Cangemi, R.; Farcomeni, A.; et al. Hospitalization for Pneumonia is Associated with Decreased 1-Year Survival in Patients With Type 2 Diabetes: Results From a Prospective Cohort Study. Med. Baltim. 2016, 95, e2531. [Google Scholar] [CrossRef]
- Robinson, J. Colonization and infection of the respiratory tract: What do we know? Paediatr. Child Health 2004, 9, 21–24. [Google Scholar] [CrossRef]
- Siegel, S.J.; Weiser, J.N. Mechanisms of Bacterial Colonization of the Respiratory Tract. Ann. Rev. Microbiol. 2015, 69, 425–444. [Google Scholar] [CrossRef]
- Laroumagne, S.; Lepage, B.; Hermant, C.; Plat, G.; Phelippeau, M.; Bigay-Game, L.; Lozano, S.; Guibert, N.; Segonds, C.; Mallard, V.; et al. Bronchial colonisation in patients with lung cancer: A prospective study. Eur. Respir. J. 2013, 42, 220–229. [Google Scholar] [CrossRef]
- Leung, J.M.; Tiew, P.Y.; Mac Aogáin, M.; Budden, K.F.; Yong, V.F.L.; Thomas, S.S.; Pethe, K.; Hansbro, P.M.; Chotirmall, S.H. The role of acute and chronic respiratory colonization and infections in the pathogenesis of COPD. Respirology 2017, 22, 634–650. [Google Scholar] [CrossRef]
- Beck, J.M. ABCs of the Lung Microbiome. Ann. Am. Thorac. Soc. 2014, 11, S3–S6. [Google Scholar] [CrossRef]
- Human Microbiome Project Consortium. Structure, function and diversity of the healthy human microbiome. Nature 2012, 486, 207–214. [Google Scholar] [CrossRef]
- Huang, Y.J.; Lynch, S.V. The emerging relationship between the airway microbiota and chronic respiratory disease: Clinical implications. Expert Rev. Respir. Med. 2011, 5, 809–821. [Google Scholar] [CrossRef][Green Version]
- Proctor, L.M. The Human Microbiome Project in 2011 and beyond. Cell Host Microbe 2011, 10, 287–291. [Google Scholar] [CrossRef]
- Final Report Summary—METAHIT (Metagenomics of the Human Intestinal Tract) | Report Summary |METAHIT | FP7 | CORDIS | European Commission. Available online: https://cordis.europa.eu/project/id/201052/reporting (accessed on 2 October 2020).
- Human Microbiome Project—Home | NIH Common Fund. Available online: https://commonfund.nih.gov/hmp (accessed on 30 September 2020).
- Dickson, R.P.; Erb-Downward, J.R.; Huffnagle, G.B. The role of the bacterial microbiome in lung disease. Expert Rev. Respir. Med. 2013, 7, 245–257. [Google Scholar] [CrossRef] [PubMed]
- Dickson, R.P.; Erb-Downward, J.R.; Freeman, C.M.; Walker, N.; Scales, B.S.; Beck, J.M.; Martinez, F.J.; Curtis, J.L.; Lama, V.N.; Huffnagle, G.B. Changes in the lung microbiome following lung transplantation include the emergence of two distinct Pseudomonas species with distinct clinical associations. PLoS ONE 2014, 9, e97214. [Google Scholar] [CrossRef] [PubMed]
- Dickson, R.P.; Martinez, F.J.; Huffnagle, G.B. The role of the microbiome in exacerbations of chronic lung diseases. Lancet 2014, 384, 691–702. [Google Scholar] [CrossRef]
- Samuelson, D.R.; Welsh, D.A.; Shellito, J.E. Regulation of lung immunity and host defense by the intestinal microbiota. Front. Microbiol. 2015, 6, 1085. [Google Scholar] [CrossRef] [PubMed]
- Dumas, A.; Bernard, L.; Poquet, Y.; Lugo-Villarino, G.; Neyrolles, O. The role of the lung microbiota and the gut-lung axis in respiratory infectious diseases. Cell. Microbiol. 2018, 20, e12966. [Google Scholar] [CrossRef]
- Hisert, K.B.; Heltshe, S.L.; Pope, C.; Jorth, P.; Wu, X.; Edwards, R.M.; Radey, M.; Accurso, F.J.; Wolter, D.J.; Cooke, G.; et al. Restoring Cystic Fibrosis Transmembrane Conductance Regulator Function Reduces Airway Bacteria and Inflammation in People with Cystic Fibrosis and Chronic Lung Infections. Am. J. Respir. Crit. Care Med. 2017, 195, 1617–1628. [Google Scholar] [CrossRef]
- Zamora-Legoff, J.A.; Krause, M.L.; Crowson, C.S.; Ryu, J.H.; Matteson, E.L. Risk of serious infection in patients with rheumatoid arthritis-associated interstitial lung disease. Clin. Rheumatol. 2016, 35, 2585–2589. [Google Scholar] [CrossRef]
- Kurosaki, F.; Bando, M.; Nakayama, M.; Mato, N.; Nakaya, T.; Yamasawa, H.; Yoshimoto, T.; Fukushima, N.; Sugiyama, Y. Clinical features of pulmonary aspergillosis associated with interstitial pneumonia. Intern. Med. 2014, 53, 1299–1306. [Google Scholar] [CrossRef]
- Gallego, M.; Pomares, X.; Espasa, M.; Castañer, E.; Solé, M.; Suárez, D.; Monsó, E.; Montón, C. Pseudomonas aeruginosa isolates in severe chronic obstructive pulmonary disease: Characterization and risk factors. BMC Pulm. Med. 2014, 14, 103. [Google Scholar] [CrossRef]
- Angrill, J.; Agustí, C.; de Celis, R.; Rañó, A.; Gonzalez, J.; Solé, T.; Xaubet, A.; Rodriguez-Roisin, R.; Torres, A. Bacterial colonisation in patients with bronchiectasis: Microbiological pattern and risk factors. Thorax 2002, 57, 15–19. [Google Scholar] [CrossRef]
- Cohen-Cymberknoh, M.; Weigert, N.; Gileles-Hillel, A.; Breuer, O.; Simanovsky, N.; Boon, M.; De Boeck, K.; Barbato, A.; Snijders, D.; Collura, M.; et al. Clinical impact of Pseudomonas aeruginosa colonization in patients with Primary Ciliary Dyskinesia. Respir. Med. 2017, 131, 241–246. [Google Scholar] [CrossRef]
- Finch, S.; McDonnell, M.J.; Abo-Leyah, H.; Aliberti, S.; Chalmers, J.D. A Comprehensive Analysis of the Impact of Pseudomonas aeruginosa Colonization on Prognosis in Adult Bronchiectasis. Ann. Am. Thorac. Soc. 2015, 12, 1602–1611. [Google Scholar] [CrossRef]
- Pieters, A.; Bakker, M.; Hoek, R.A.S.; Altenburg, J.; van Westreenen, M.; Aerts, J.G.J.V.; van der Eerden, M.M. Predicting factors for chronic colonization of Pseudomonas aeruginosa in bronchiectasis. Eur. J. Clin. Microbiol. Infect. Dis. 2019, 38, 2299–2304. [Google Scholar] [CrossRef]
- Miravitlles, M.; Espinosa, C.; Fernández-Laso, E.; Martos, J.A.; Maldonado, J.A.; Gallego, M. Relationship between bacterial flora in sputum and functional impairment in patients with acute exacerbations of COPD. Study Group of Bacterial Infection in COPD. Chest 1999, 116, 40–46. [Google Scholar] [CrossRef]
- Marin, A.; Monsó, E.; Garcia-Nuñez, M.; Sauleda, J.; Noguera, A.; Pons, J.; Agustí, A.; Morera, J. Variability and effects of bronchial colonisation in patients with moderate COPD. Eur. Respir. J. 2010, 35, 295–302. [Google Scholar] [CrossRef] [PubMed]
- Matsumoto, T.; Fujita, M.; Hirano, R.; Uchino, J.; Tajiri, Y.; Fukuyama, S.; Morimoto, Y.; Watanabe, K. Chronic Pseudomonas aeruginosa infection-induced chronic bronchitis and emphysematous changes in CCSP-deficient mice. Int. J. Chron. Obstruct. Pulmon. Dis. 2016, 11, 2321–2327. [Google Scholar] [CrossRef] [PubMed]
- King, P. Haemophilus influenzae and the lung (Haemophilus and the lung). Clin. Transl. Med. 2012, 1, 10. [Google Scholar] [CrossRef] [PubMed]
- Finney, L.J.; Ritchie, A.; Pollard, E.; Johnston, S.L.; Mallia, P. Lower airway colonization and inflammatory response in COPD: A focus on Haemophilus influenzae. Int. J. Chron. Obstruct. Pulmon. Dis. 2014, 9, 1119–1132. [Google Scholar] [CrossRef] [PubMed]
- Park, S.-W.; Song, J.W.; Shim, T.S.; Park, M.-S.; Lee, H.-L.; Uh, S.-T.; Park, C.-S.; Kim, D.S. Mycobacterial pulmonary infections in patients with idiopathic pulmonary fibrosis. J. Korean Med. Sci. 2012, 27, 896–900. [Google Scholar] [CrossRef] [PubMed]
- Middleton, A.M.; Chadwick, M.V.; Nicholson, A.G.; Dewar, A.; Groger, R.K.; Brown, E.J.; Ratliff, T.L.; Wilson, R. Inhibition of adherence of Mycobacterium avium complex and Mycobacterium tuberculosis to fibronectin on the respiratory mucosa. Respir. Med. 2004, 98, 1203–1206. [Google Scholar] [CrossRef] [PubMed][Green Version]
- Morrissey, B.M. Pathogenesis of bronchiectasis. Clin. Chest Med. 2007, 28, 289–296. [Google Scholar] [CrossRef]
- Wilkinson, T.M.A.; Patel, I.S.; Wilks, M.; Donaldson, G.C.; Wedzicha, J.A. Airway bacterial load and FEV1 decline in patients with chronic obstructive pulmonary disease. Am. J. Respir. Crit. Care Med. 2003, 167, 1090–1095. [Google Scholar] [CrossRef]
- Tanaka, M.; Koike, R.; Sakai, R.; Saito, K.; Hirata, S.; Nagasawa, H.; Kameda, H.; Hara, M.; Kawaguchi, Y.; Tohma, S.; et al. Pulmonary infections following immunosuppressive treatments during hospitalization worsen the short-term vital prognosis for patients with connective tissue disease-associated interstitial pneumonia. Mod. Rheumatol. 2015, 25, 609–614. [Google Scholar] [CrossRef]
- Germano, V.; Cattaruzza, M.S.; Osborn, J.; Tarantino, A.; Di Rosa, R.; Salemi, S.; D’Amelio, R. Infection risk in rheumatoid arthritis and spondyloarthropathy patients under treatment with DMARDs, corticosteroids and TNF-α antagonists. J. Transl. Med. 2014, 12, 77. [Google Scholar] [CrossRef]


| Characteristic | All N (%) | Infection N (%) | No Infection N (%) | p Values |
|---|---|---|---|---|
| Sex | ||||
| 10 (23) 34 (77) | 6 (60) 4 (12) | 4 (40) 30 (88) | 0.005599 |
| Mean age ± SD | 52.7 ± 16 | 58 ± 11 | 47 ± 9 | 0.0025956 |
| Smoking (Mean ± SD P/Y 15 ± 7) | ||||
| 24 (55) 14 (32) 6 (13) | 4 (17) 4 (29) 2 (33) | 20 (83) 10 (71) 4 (67) | NS |
| Connective Tissue Disease | ||||
| 18 (41) 10 (23) 6 (14) 6 (14) 3 (7) 1 | 2 (11) 4 (40) 4 (67) | 16 (89) 6 (60) 2 (33) | NS vs. SSc 0.00295 vs. SSc |
| Comorbidities | ||||
| 6 6 4 | 2 3 0 | 4 3 4 | NS NS NS |
| Immunosuppressive drugs | ||||
| 9 | 3 | 6 | NS |
| Lung HRCT and function | ||||
| 5.8 ± 1.9 67 ± 5 56 ± 14 | 7.6 ± 2.3 78 ± 20 75 ± 25 | 0.0398 0.001142 0.008410 |
| Pathogens | SSc | RA | MCTD | |
|---|---|---|---|---|
| Gram-negative bacteria | CFU/mL | |||
| Pseudomonas aeruginosa (n = 4) | 2 | 1 | 104 | |
| Haemophilus influenzae (n = 3) | 1 | 1 | 2 | 104 |
| Slow-growing nontuberculous mycobacteria | ||||
| Mycobacterium intracellulare (n = 2) | 1 | 1 | Polymerase chain reaction- analysis | |
| Mycobacterium avium (n = 1) | 1 |
| Covariates | Lung Infections (Regression CoeffiCient 95% C.I.) | Lung Infections (OR 95% C.I.) | p | E-Value |
|---|---|---|---|---|
| Male sex | 1.81944 (−0.37/4.25) | 6.1684 (0.68/70.2) | 0.1 | |
| DLCO | −0.1784 (−0.32/−0.07) | 0.0035 | 1.41 |
| Covariates | Lung Infections (Regression CoeffiCient 95% C.I.) | Lung Infections (OR 95% C.I.) | p | E-Value |
|---|---|---|---|---|
| Male sex | 0.9427 (−1.84/3.26) | 2.5669 (0.158/47.63) | 0.497 | |
| FVC | −0.4981 (−0.99/−0.23) | 0.0057 | 1.86 |
Publisher’s Note: MDPI stays neutral with regard to jurisdictional claims in published maps and institutional affiliations. |
© 2021 by the authors. Licensee MDPI, Basel, Switzerland. This article is an open access article distributed under the terms and conditions of the Creative Commons Attribution (CC BY) license (https://creativecommons.org/licenses/by/4.0/).
Share and Cite
Ricci, A.; Pagliuca, A.; Vermi, M.; Pizzirusso, D.; Innammorato, M.; Sglavo, R.; Scarso, F.; Salemi, S.; Laganà, B.; Di Rosa, R.; et al. The Role of Lung Colonization in Connective Tissue Disease-Associated Interstitial Lung Disease. Microorganisms 2021, 9, 932. https://doi.org/10.3390/microorganisms9050932
Ricci A, Pagliuca A, Vermi M, Pizzirusso D, Innammorato M, Sglavo R, Scarso F, Salemi S, Laganà B, Di Rosa R, et al. The Role of Lung Colonization in Connective Tissue Disease-Associated Interstitial Lung Disease. Microorganisms. 2021; 9(5):932. https://doi.org/10.3390/microorganisms9050932
Chicago/Turabian StyleRicci, Alberto, Alessandra Pagliuca, Morgana Vermi, Dario Pizzirusso, Marta Innammorato, Raffaele Sglavo, Francesco Scarso, Simonetta Salemi, Bruno Laganà, Roberta Di Rosa, and et al. 2021. "The Role of Lung Colonization in Connective Tissue Disease-Associated Interstitial Lung Disease" Microorganisms 9, no. 5: 932. https://doi.org/10.3390/microorganisms9050932
APA StyleRicci, A., Pagliuca, A., Vermi, M., Pizzirusso, D., Innammorato, M., Sglavo, R., Scarso, F., Salemi, S., Laganà, B., Di Rosa, R., & D’Ascanio, M. (2021). The Role of Lung Colonization in Connective Tissue Disease-Associated Interstitial Lung Disease. Microorganisms, 9(5), 932. https://doi.org/10.3390/microorganisms9050932

