Pseudouridines of tRNA Anticodon Stem-Loop Have Unexpected Role in Mutagenesis in Pseudomonas sp.
Abstract
1. Introduction
2. Materials and Methods
2.1. Bacterial Strains, Plasmids, and Media
2.2. Construction of Plasmids and Strains
2.3. Virtual Analysis of tRNA Genes
2.4. tRNA Purification
2.5. CMCT-Alkali Treatment
2.6. Primer Extension Analysis
2.7. Estimation of Spontaneous Mutation Frequency by Fluctuation Test
2.8. Sequencing
2.9. Stress Tolerance Assay
2.10. Proteome Analysis
2.11. Statistical Analysis
2.12. Data Availability
3. Results
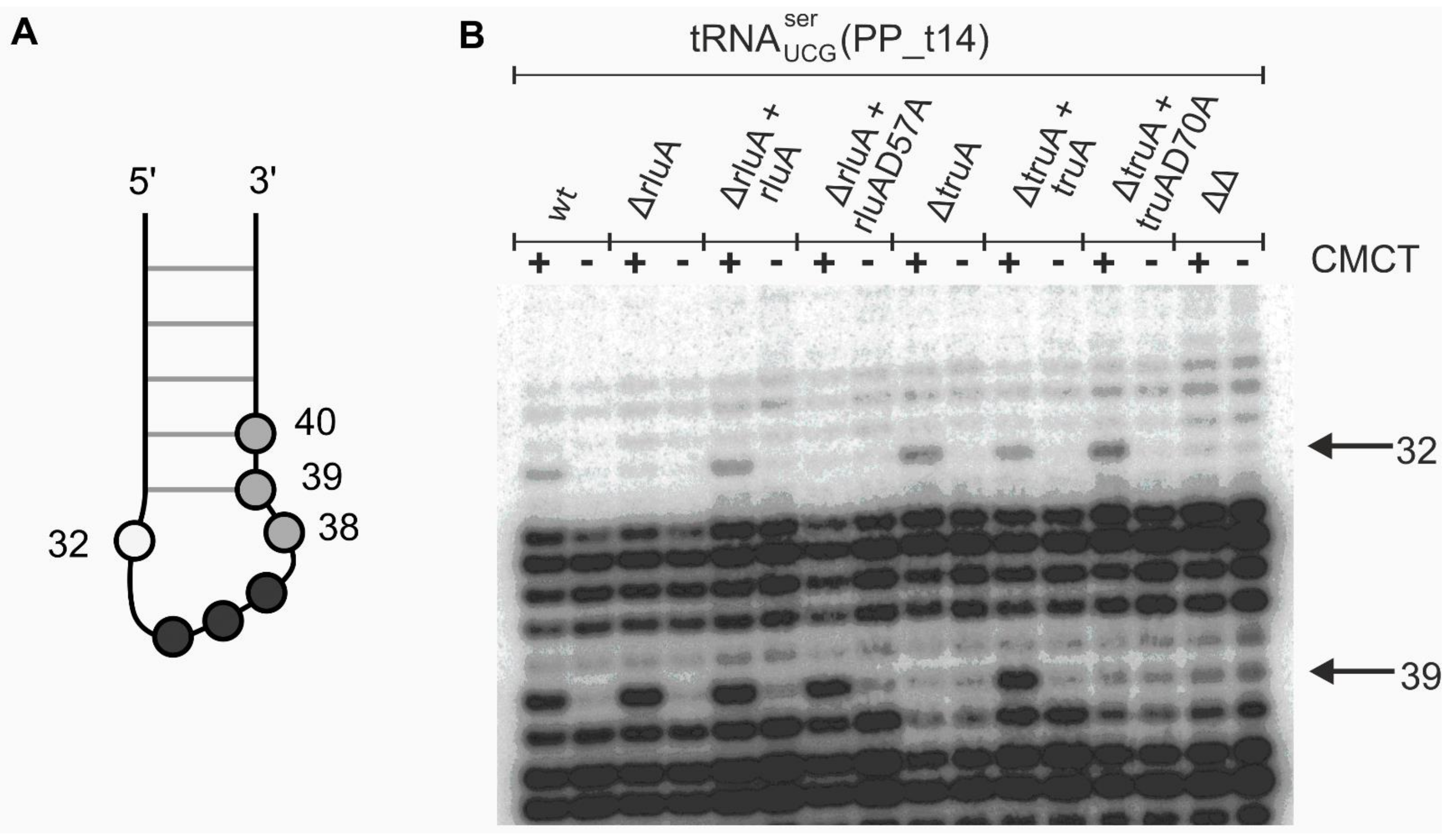
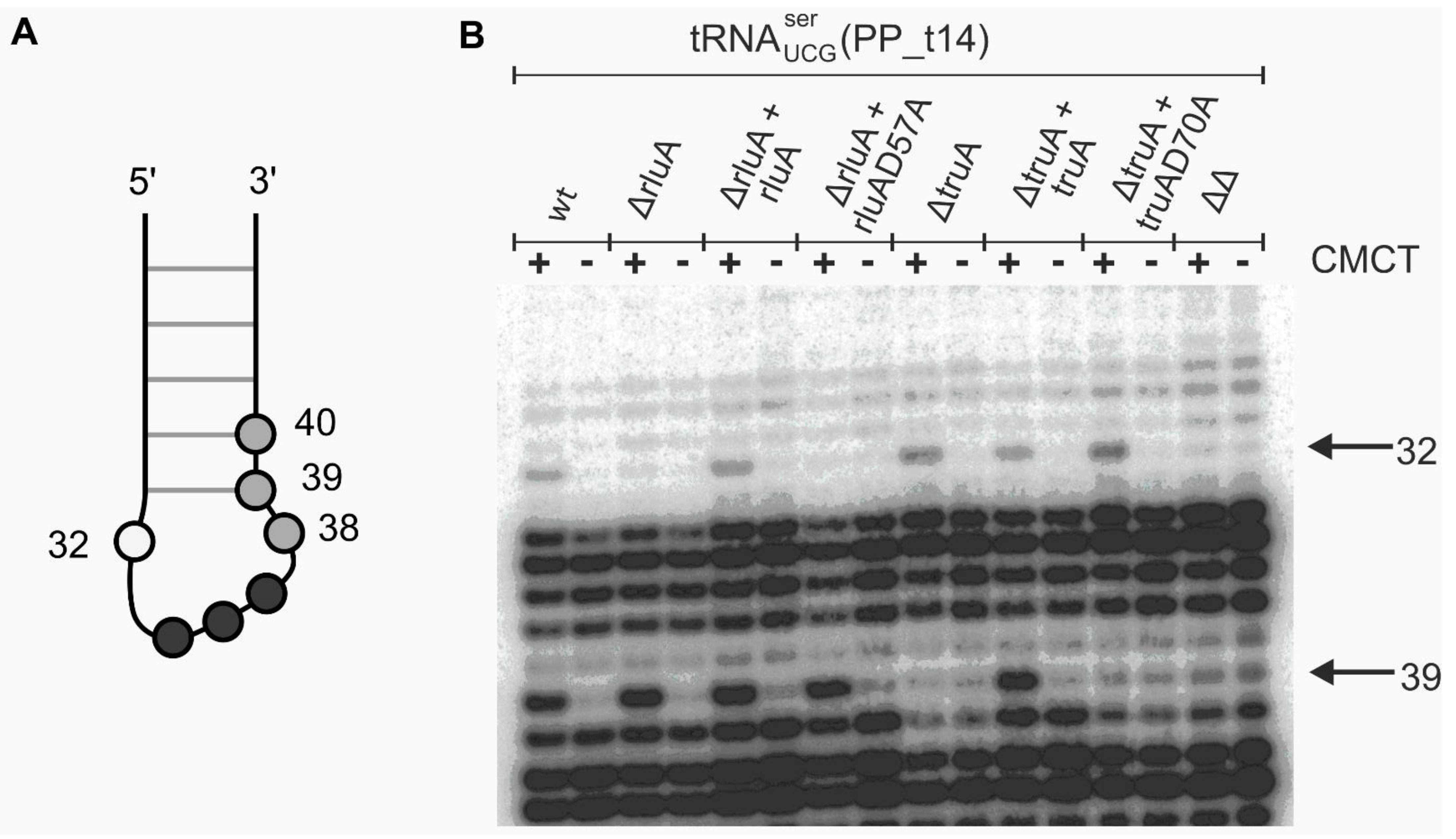
3.1. In P. putida PaW85 TruA and RluA Target the Same Positions in tRNA as in E. coli
3.2. Pseudouridines in the tRNA ASL Affect Mutation Frequency in P. putida
3.3. Elevated RifR Mutant Frequency in the Strains Lacking TruA or RluA is Not the Result of Malfunction of Major DNA Repair Pathways in P. putida
3.4. Addition of ROS Scavenging Agents Does not Affect the RifR Mutant Frequency of the P. putida ΔtruA and ΔrluA Strains
3.5. The Absence of TruA-Dependent Ψs Decreases Stress Tolerance of P. putida
3.6. Proteome Analysis Revealed A Wide Spectrum of Changes in the Absence of TruA But Minor Changes in the Absence of RluA
3.7. The Mutator Phenotype of P. putida ΔtruA and ΔrluA Strains Is Not the Outcome of Downregulation of the Operon PP5487-PP5489
4. Discussion
Supplementary Materials
Author Contributions
Funding
Acknowledgments
Conflicts of Interest
References
- Helm, M. Post-transcriptional nucleotide modification and alternative folding of RNA. Nucleic Acids Res. 2006, 34, 721–733. [Google Scholar] [CrossRef] [PubMed]
- Gustilo, E.M.; Vendeix, F.A.; Agris, P.F. tRNA’s modifications bring order to gene expression. Curr. Opin. Microbiol. 2008, 11, 134–140. [Google Scholar] [CrossRef] [PubMed]
- Agris, P.F.; Vendeix, F.A.; Graham, W.D. tRNA’s Wobble Decoding of the Genome: 40 Years of Modification. J. Mol. Biol. 2007, 366, 1–13. [Google Scholar] [CrossRef] [PubMed]
- Ranjan, N.; Rodnina, M.V. tRNA wobble modifications and protein homeostasis. Translation 2016, 4, e1143076. [Google Scholar] [CrossRef] [PubMed]
- Yarian, C.; Townsend, H.; Czestkowski, W.; Sochacka, E.; Malkiewicz, A.J.; Guenther, R.; Miskiewicz, A.; Agris, P.F. Accurate Translation of the Genetic Code Depends on tRNA Modified Nucleosides. J. Biol. Chem. 2002, 277, 16391–16395. [Google Scholar] [CrossRef]
- Urbonavičius, J.; Qian, Q.; Durand, J.M.; Hagervall, T.G.; Björk, G.R. Improvement of reading frame maintenance is a common function for several tRNA modifications. EMBO J. 2001, 20, 4863–4873. [Google Scholar] [CrossRef]
- Gu, C.; Begley, T.J.; Dedon, P.C. tRNA modifications regulate translation during cellular stress. FEBS Lett. 2014, 588, 4287–4296. [Google Scholar] [CrossRef]
- Jaroensuk, J.; Atichartpongkul, S.; Chionh, Y.H.; Wong, Y.H.; Liew, C.W.; McBee, M.E.; Thongdee, N.; Prestwich, E.; DeMott, M.S.; Mongkolsuk, S.; et al. Methylation at position 32 of tRNA catalyzed by TrmJ alters oxidative stress response inPseudomonas aeruginosa. Nucleic Acids Res. 2016, 44, 10834–10848. [Google Scholar] [CrossRef]
- Thongdee, N.; Jaroensuk, J.; Atichartpongkul, S.; Chittrakanwong, J.; Chooyoung, K.; Srimahaeak, T.; Chaiyen, P.; Vattanaviboon, P.; Mongkolsuk, S.; Fuangthong, M. TrmB, a tRNA m7G46 methyltransferase, plays a role in hydrogen peroxide resistance and positively modulates the translation of katA and katB mRNAs in Pseudomonas aeruginosa. Nucleic Acids Res. 2019, 47, 9271–9281. [Google Scholar] [CrossRef]
- Koonin, E.V. Pseudouridine Synthases: Four Families of Enzymes Containing a Putative Uridine-Binding Motif Also Conserved in dUTPases and dCTP Deaminases. Nucleic Acids Res. 1996, 24, 2411–2415. [Google Scholar] [CrossRef]
- Kaya, Y.; Ofengand, J. A novel unanticipated type of pseudouridine synthase with homologs in bacteria, archaea, and eukarya. RNA 2003, 9, 711–721. [Google Scholar] [CrossRef]
- Sivaraman, J.; Iannuzzi, P.; Cygler, M.; Matte, A. Crystal Structure of the RluD Pseudouridine Synthase Catalytic Module, an Enzyme that Modifies 23S rRNA and is Essential for Normal Cell Growth of Escherichia coli. J. Mol. Biol. 2004, 335, 87–101. [Google Scholar] [CrossRef] [PubMed]
- Kammen, H.O.; Marvel, C.C.; Hardy, L.; Penhoet, E. Purification, structure, and properties of Escherichia coli tRNA pseudouridine synthase I. J. Biol. Chem. 1988, 263, 2255–2263. [Google Scholar] [PubMed]
- Hur, S.; Stroud, R.M. How U38, 39, and 40 of Many tRNAs Become the Targets for Pseudouridylation by TruA. Mol. Cell 2007, 26, 189–203. [Google Scholar] [CrossRef]
- Dong, X.; Bessho, Y.; Shibata, R.; Nishimoto, M.; Shirouzu, M.; Kuramitsu, S.; Yokoyama, S. Crystal structure of tRNA pseudouridine synthase TruA from Thermus thermophilus HB8. RNA Biol. 2006, 3, 115–121. [Google Scholar] [CrossRef] [PubMed]
- Durant, P.C.; Davis, D.R. Stabilization of the anticodon stem-loop of tRNA Lys,3 by an A + -C base-pair and by pseudouridine 1 1Edited by I. Tinoco. J. Mol. Biol. 1999, 285, 115–131. [Google Scholar] [CrossRef] [PubMed]
- Yarian, C.S.; Basti, M.M.; Cain, R.J.; Ansari, G.; Guenther, R.H.; Sochacka, E.; Czerwinska, G.; Malkiewicz, A.; Agris, P.F. Structural and functional roles of the N1- and N3-protons of at tRNA’s position 39. Nucleic Acids Res. 1999, 27, 3543–3549. [Google Scholar] [CrossRef]
- Nonglia, J.; Esberga, B.; Curran, J.F.; Björk, G.R. Three modified nucleosides present in the anticodon stem and loop influence the in vivo aa-tRNA selection in a tRNA-dependent manner. J. Mol. Biol. 1997, 271, 209–221. [Google Scholar] [CrossRef]
- Urbonavicius, J.; Stahl, G.; Durand, J.M.; Ben Salem, S.N.; Qian, Q.; Farabaugh, P.J.; Björk, G.R. Transfer RNA modifications that alter +1 frameshifting in general fail to affect −1 frameshifting. RNA 2003, 9, 760–768. [Google Scholar] [CrossRef]
- Lecointe, F.; Simos, G.; Sauer, A.; Hurt, E.C.; Motorin, Y.; Grosjean, H. Characterization of Yeast Protein Deg1 as Pseudouridine Synthase (Pus3) Catalyzing the Formation of Ψ38and Ψ39in tRNA Anticodon Loop. J. Biol. Chem. 1998, 273, 1316–1323. [Google Scholar] [CrossRef]
- Lecointe, F.; Namy, O.; Hatin, I.; Simos, G.; Rousset, J.-P.; Grosjean, H. Lack of Pseudouridine 38/39 in the Anticodon Arm of Yeast Cytoplasmic tRNA Decreasesin Vivo Recoding Efficiency. J. Biol. Chem. 2002, 277, 30445–30453. [Google Scholar] [CrossRef] [PubMed]
- Bekaert, M.; Rousset, J.-P. An Extended Signal Involved in Eukaryotic −1 Frameshifting Operates through Modification of the E Site tRNA. Mol. Cell 2005, 17, 61–68. [Google Scholar] [CrossRef] [PubMed]
- Yang, X.; Wang, J.; Feng, Z.; Zhang, X.; Wang, X.; Wu, Q. Relation of the pdxB-usg-truA-dedA Operon and the truA Gene to the Intracellular Survival of Salmonella enterica Serovar Typhimurium. Int. J. Mol. Sci. 2019, 20, 380. [Google Scholar] [CrossRef] [PubMed]
- Ahn, K.-S.; Ha, U.-H.; Jia, J.; Wu, D.; Jin, S. The truA gene of Pseudomonas aeruginosa is required for the expression of type III secretory genes. Microbiology 2004, 150, 539–547. [Google Scholar] [CrossRef] [PubMed]
- Tsui, H.C.; Arps, P.J.; Connolly, D.M.; Winkler, M.E. Absence of hisT-mediated tRNA pseudouridylation results in a uracil requirement that interferes with Escherichia coli K-12 cell division. J. Bacteriol. 1991, 173, 7395–7400. [Google Scholar] [CrossRef] [PubMed][Green Version]
- Wrzesinski, J.; Nurse, K.; Bakin, A.; Lane, B.G.; Ofengand, J. A dual-specificity pseudouridine synthase: An Escherichia coli synthase purified and cloned on the basis of its specificity for psi 746 in 23S RNA is also specific for psi 32 in tRNA(phe). RNA 1995, 1, 437–448. [Google Scholar]
- Addepalli, B.; Limbach, P.A. Pseudouridine in the Anticodon ofEscherichia colitRNATyr(QΨA)Is Catalyzed by the Dual Specificity Enzyme RluF. J. Biol. Chem. 2016, 291, 22327–22337. [Google Scholar] [CrossRef]
- Benítez-Páez, A.; Villarroya, M.; Armengod, M.-E. The Escherichia coli RlmN methyltransferase is a dual-specificity enzyme that modifies both rRNA and tRNA and controls translational accuracy. RNA 2012, 18, 1783–1795. [Google Scholar] [CrossRef]
- Behm-Ansmant, I.; Grosjean, H.; Massenet, S.; Motorin, Y.; Branlant, C. Pseudouridylation at Position 32 of Mitochondrial and Cytoplasmic tRNAs Requires Two Distinct Enzymes inSaccharomyces cerevisiae. J. Biol. Chem. 2004, 279, 52998–53006. [Google Scholar] [CrossRef]
- Raychaudhuri, S.; Niu, L.; Conrad, J.; Lane, B.G.; Ofengand, J. Functional Effect of Deletion and Mutation of theEscherichia coliRibosomal RNA and tRNA Pseudouridine Synthase RluA. J. Biol. Chem. 1999, 274, 18880–18886. [Google Scholar] [CrossRef]
- Hamilton, C.S.; Greco, T.M.; Vizthum, C.A.; Ginter, J.M.; Johnston, A.M.V.; Mueller, E.G. Mechanistic Investigations of the Pseudouridine Synthase RluA Using RNA Containing 5-Fluorouridine. Biochemistry 2006, 45, 12029–12038. [Google Scholar] [CrossRef] [PubMed][Green Version]
- Hoang, C.; Chen, J.; Vizthum, C.A.; Kandel, J.M.; Hamilton, C.S.; Mueller, E.G.; Ferré-D’Amaré, A.R. Crystal Structure of Pseudouridine Synthase RluA: Indirect Sequence Readout through Protein-Induced RNA Structure. Mol. Cell 2006, 24, 535–545. [Google Scholar] [CrossRef] [PubMed]
- Cabello-Villegas, J. Solution structure of 32-modified anticodon stem-loop of Escherichia coli tRNAPhe. Nucleic Acids Res. 2005, 33, 6961–6971. [Google Scholar] [CrossRef] [PubMed]
- Auffinger, P.; Westhof, E. Singly and Bifurcated Hydrogen-bonded Base-pairs in tRNA Anticodon Hairpins and Ribozymes. J. Mol. Biol. 1999, 292, 467–483. [Google Scholar] [CrossRef]
- Maehigashi, T.; Dunkle, J.A.; Miles, S.J.; Dunham, C.M. Structural insights into +1 frameshifting promoted by expanded or modification-deficient anticodon stem loops. Proc. Natl. Acad. Sci. USA 2014, 111, 12740–12745. [Google Scholar] [CrossRef]
- Drake, J.W. A constant rate of spontaneous mutation in DNA-based microbes. Proc. Natl. Acad. Sci. USA 1991, 88, 7160–7164. [Google Scholar] [CrossRef]
- Metzgar, D.; Wills, C. Evidence for the Adaptive Evolution of Mutation Rates. Cell 2000, 101, 581–584. [Google Scholar] [CrossRef]
- Rosenberg, S.M. Evolving responsively: Adaptive mutation. Nat. Rev. Genet. 2001, 2, 504–515. [Google Scholar] [CrossRef]
- Tenaillon, O.; Taddei, F.; Radman, M.; Matic, I. Second-order selection in bacterial evolution: Selection acting on mutation and recombination rates in the course of adaptation. Res. Microbiol. 2001, 152, 11–16. [Google Scholar] [CrossRef]
- Foster, P.L. Stress-Induced Mutagenesis in Bacteria. Crit. Rev. Biochem. Mol. Biol. 2008, 42, 373–397. [Google Scholar] [CrossRef]
- Bjedov, I.; Tenaillon, O.; Gérard, B.; Souza, V.; Denamur, E.; Radman, M.; Taddei, F.; Matic, I. Stress-Induced Mutagenesis in Bacteria. Science 2003, 300, 1404–1409. [Google Scholar] [CrossRef] [PubMed]
- Miller, J.H. Perspective on Mutagenesis and Repair: The Standard Model and Alternate Modes of Mutagenesis. Crit. Rev. Biochem. Mol. Biol. 2005, 40, 155–179. [Google Scholar] [CrossRef] [PubMed]
- Kivisaar, M. Stationary phase mutagenesis: Mechanisms that accelerate adaptation of microbial populations under environmental stress. Environ. Microbiol. 2003, 5, 814–827. [Google Scholar] [CrossRef] [PubMed]
- Robleto, E.A.; Yasbin, R.; Ross, C.; Pedraza-Reyes, M. Stationary Phase Mutagenesis inB. subtilis: A Paradigm to Study Genetic Diversity Programs in Cells Under Stress. Crit. Rev. Biochem. Mol. Biol. 2007, 42, 327–339. [Google Scholar] [CrossRef] [PubMed]
- Galhardo, R.S.; Hastings, P.J.; Rosenberg, S.M. Mutation as a Stress Response and the Regulation of Evolvability. Crit. Rev. Biochem. Mol. Biol. 2008, 42, 399–435. [Google Scholar] [CrossRef] [PubMed]
- Maki, H. Origins of Spontaneous Mutations: Specificity and Directionality of Base-Substitution, Frameshift, and Sequence-Substitution Mutageneses. Annu. Rev. Genet. 2002, 36, 279–303. [Google Scholar] [CrossRef]
- Garibyan, L.; Huang, T.; Kim, M.; Wolff, E.; Nguyen, A.; Nguyen, T.; Diep, A.; Hu, K.; Iverson, A.; Yang, H.; et al. Use of the rpoB gene to determine the specificity of base substitution mutations on the Escherichia coli chromosome. DNA Repair 2003, 2, 593–608. [Google Scholar] [CrossRef]
- Foster, P.L.; Niccum, B.A.; Popodi, E.; Townes, J.P.; Lee, H.; MohammedIsmail, W.; Tang, H. Determinants of Base-Pair Substitution Patterns Revealed by Whole-Genome Sequencing of DNA Mismatch Repair Defective Escherichia coli. Genetics 2018, 209, 1029–1042. [Google Scholar] [CrossRef]
- Kivisaar, M. Mutation and Recombination Rates Vary Across Bacterial Chromosome. Microorganisms 2019, 8, 25. [Google Scholar] [CrossRef]
- Michaels, M.L.; Cruz, C.; Grollman, A.P.; Miller, J.H. Evidence that MutY and MutM combine to prevent mutations by an oxidatively damaged form of guanine in DNA. Proc. Natl. Acad. Sci. USA 1992, 89, 7022–7025. [Google Scholar] [CrossRef]
- MacLean, R.C.; Torres-Barceló, C.; Moxon, R. Evaluating evolutionary models of stress-induced mutagenesis in bacteria. Nat. Rev. Genet. 2013, 14, 221–227. [Google Scholar] [CrossRef] [PubMed]
- Miller, J.H. Spontaneous Mutators in Bacteria: Insights into Pathways of Mutagenesis and Repair. Annu. Rev. Microbiol. 1996, 50, 625–643. [Google Scholar] [CrossRef] [PubMed]
- Correa, R.; Thornton, P.C.; Rosenberg, S.M.; Hastings, P. Oxygen and RNA in stress-induced mutation. Curr. Genet. 2018, 64, 769–776. [Google Scholar] [CrossRef] [PubMed]
- Blázquez, J.; Rodríguez-Beltrán, J.; Matic, I. Antibiotic-Induced Genetic Variation: How It Arises and How It Can Be Prevented. Annu. Rev. Microbiol. 2018, 72, 209–230. [Google Scholar] [CrossRef]
- Henrikus, S.; Van Oijen, A.M.; Robinson, A. Specialised DNA polymerases in Escherichia coli: Roles within multiple pathways. Curr. Genet. 2018, 64, 1189–1196. [Google Scholar] [CrossRef]
- Kivisaar, M. Mechanisms of stationary-phase mutagenesis in bacteria: Mutational processes in pseudomonads. FEMS Microbiol. Lett. 2010, 312, 1–14. [Google Scholar] [CrossRef]
- Nohmi, T. Environmental Stress and Lesion-Bypass DNA Polymerases. Annu. Rev. Microbiol. 2006, 60, 231–253. [Google Scholar] [CrossRef]
- Ippoliti, P.J.; DeLateur, N.A.; Jones, K.M.; Beuning, P.J. Multiple Strategies for Translesion Synthesis in Bacteria. Cells 2012, 1, 799–831. [Google Scholar] [CrossRef]
- Al Mamun, A.A.M.; Lombardo, M.-J.; Shee, C.; Lisewski, A.M.; Gonzalez, C.; Lin, D.; Nehring, R.B.; Saint-Ruf, C.; Gibson, J.L.; Frisch, R.L.; et al. Identity and Function of a Large Gene Network Underlying Mutagenic Repair of DNA Breaks. Science 2012, 338, 1344–1348. [Google Scholar] [CrossRef]
- Akkaya, Ö.; Pérez-Pantoja, D.R.; Calles, B.; Nikel, P.I.; De Lorenzo, V. The Metabolic Redox Regime of Pseudomonas putida Tunes Its Evolvability toward Novel Xenobiotic Substrates. mBio 2018, 9, e01512-18. [Google Scholar] [CrossRef]
- Udaondo, Z.; Duque, E.; Fernández, M.; Molina, L.; De La Torre, J.; Bernal, P.; Niqui, J.-L.; Pini, C.; Roca, A.; Matilla, M.A.; et al. Analysis of solvent tolerance inPseudomonas putidaDOT-T1E based on its genome sequence and a collection of mutants. FEBS Lett. 2012, 586, 2932–2938. [Google Scholar] [CrossRef] [PubMed]
- Kivisaar, M. Narrative of a versatile and adept species Pseudomonas putida. J. Med. Microbiol. 2020, 69, 324–338. [Google Scholar] [CrossRef] [PubMed]
- Tagel, M.; Tavita, K.; Hõrak, R.; Kivisaar, M.; Ilves, H. A novel papillation assay for the identification of genes affecting mutation rate in Pseudomonas putida and other pseudomonads. Mutat. Res. Mol. Mech. Mutagen. 2016, 790, 41–55. [Google Scholar] [CrossRef] [PubMed]
- Martínez-García, E.; De Lorenzo, V. Engineering multiple genomic deletions in Gram-negative bacteria: Analysis of the multi-resistant antibiotic profile of Pseudomonas putida KT2440. Environ. Microbiol. 2011, 13, 2702–2716. [Google Scholar] [CrossRef]
- Dowling, J.E.; Wald, J.J. Genetic footprinting with mariner-based transposition in Pseudomonas aeruginosa. Proc. Natl. Acad. Sci. USA 2000, 97, 10191–10196. [Google Scholar]
- Ojangu, E.-L.; Tover, A.; Teras, R.; Kivisaar, M. Effects of Combination of Different −10 Hexamers and Downstream Sequences on Stationary-Phase-Specific Sigma Factor ςS-Dependent Transcription in Pseudomonas putida. J. Bacteriol. 2000, 182, 6707–6713. [Google Scholar] [CrossRef][Green Version]
- Jakovleva, J.; Teppo, A.; Velts, A.; Saumaa, S.; Moor, H.; Kivisaar, M.; Teras, R. Fis regulates the competitiveness of Pseudomonas putida on barley roots by inducing biofilm formation. Microbiology 2012, 158, 708–720. [Google Scholar] [CrossRef]
- Koch, B.; Jensen, L.E.; Nybroe, O. A panel of Tn7-based vectors for insertion of the gfp marker gene or for delivery of cloned DNA into Gram-negative bacteria at a neutral chromosomal site. J. Microbiol. Methods 2001, 45, 187–195. [Google Scholar] [CrossRef]
- Bao, Y.; Lies, D.P.; Fu, H.; Roberts, G.P. An improved Tn7-based system for the single-copy insertion of cloned genes into chromosomes of gram-negative bacteria. Gene 1991, 109, 167–168. [Google Scholar] [CrossRef]
- Chan, P.P.; Lowe, T.M. tRNAscan-SE: Searching for tRNA Genes in Genomic Sequences. Methods Mol. Biol. 2019, 1962, 1–14. [Google Scholar] [CrossRef]
- Leppik, M.; Peil, L.; Kipper, K.; Liiv, A.; Remme, J. Substrate specificity of the pseudouridine synthase RluD in Escherichia coli. FEBS J. 2007, 274, 5759–5766. [Google Scholar] [CrossRef] [PubMed]
- Dalia, T.N.; Chlebek, J.L.; Dalia, A.B. A modular chromosomally integrated toolkit for ectopic gene expression in Vibrio cholerae. Sci. Rep. 2020, 10, 1–8. [Google Scholar] [CrossRef] [PubMed]
- Hõrak, R.; Ilves, H.; Pruunsild, P.; Kuljus, M.; Kivisaar, M. The ColR-ColS two-component signal transduction system is involved in regulation of Tn4652 transposition in Pseudomonas putida under starvation conditions. Mol. Microbiol. 2004, 54, 795–807. [Google Scholar] [CrossRef] [PubMed]
- Luria, S.E.; Delbruck, M. Mutations of Bacteria from Virus Sensitivity to Virus Resistance. Genetics 1943, 28, 491–511. [Google Scholar] [PubMed]
- Jatsenko, T.; Tover, A.; Tegova, R.; Kivisaar, M. Molecular characterization of Rifr mutations in Pseudomonas aeruginosa and Pseudomonas putida. Mutat. Res. Mol. Mech. Mutagen. 2010, 683, 106–114. [Google Scholar] [CrossRef]
- Tyanova, S.; Temu, T.; Sinitcyn, P.; Carlson, A.; Hein, M.Y.; Geiger, T.; Mann, M.; Cox, J. The Perseus computational platform for comprehensive analysis of (prote)omics data. Nat. Methods 2016, 13, 731–740. [Google Scholar] [CrossRef]
- Perez-Riverol, Y.; Csordas, A.; Bai, J.; Bernal-Llinares, M.; Hewapathirana, S.; Kundu, D.J.; Inuganti, A.; Griss, J.; Mayer, G.; Eisenacher, M.; et al. The PRIDE database and related tools and resources in 2019: Improving support for quantification data. Nucleic Acids Res. 2019, 47, D442–D450. [Google Scholar] [CrossRef]
- Huang, L.; Pookanjanatavip, M.; Gu, A.X.; Santi, D.V. A Conserved Aspartate of tRNA Pseudouridine Synthase Is Essential for Activity and a Probable Nucleophilic Catalyst. Biochemistry 1998, 37, 344–351. [Google Scholar] [CrossRef]
- Hamma, T.; Ferré-D’Amaré, A.R. Pseudouridine Synthases. Chem. Biol. 2006, 13, 1125–1135. [Google Scholar] [CrossRef]
- Boccaletto, P.; Machnicka, M.A.; Purta, E.; Piątkowski, P.; Bagiński, B.; Wirecki, T.K.; De Crécy-Lagard, V.; Ross, R.; Limbach, P.A.; Kotter, A.; et al. MODOMICS: A database of RNA modification pathways. 2017 update. Nucleic Acids Res. 2018, 46, D303–D307. [Google Scholar] [CrossRef]
- Jühling, F.; Mörl, M.; Hartmann, R.K.; Sprinzl, M.; Stadler, P.F.; Pütz, J. tRNAdb 2009: Compilation of tRNA sequences and tRNA genes. Nucleic Acids Res. 2008, 37, D159–D162. [Google Scholar] [CrossRef] [PubMed]
- Javid, B.; Sorrentino, F.; Toosky, M.; Zheng, W.; Pinkham, J.T.; Jain, N.; Pan, M.; Deighan, P.; Rubin, E.J. Mycobacterial mistranslation is necessary and sufficient for rifampicin phenotypic resistance. Proc. Natl. Acad. Sci. USA 2014, 111, 1132–1137. [Google Scholar] [CrossRef] [PubMed]
- Goodman, M.F. Error-Prone Repair DNA Polymerases in Prokaryotes and Eukaryotes. Annu. Rev. Biochem. 2002, 71, 17–50. [Google Scholar] [CrossRef] [PubMed]
- Abella, M.; Erill, I.; Jara, M.; Mazón, G.; Campoy, S.; Barbé, J. Widespread distribution of a lexA-regulated DNA damage-inducible multiple gene cassette in the Proteobacteria phylum. Mol. Microbiol. 2004, 54, 212–222. [Google Scholar] [CrossRef]
- Abella, M.; Campoy, S.; Erill, I.; Rojo, F.; Barbé, J. Cohabitation of Two Different lexA Regulons in Pseudomonas putida. J. Bacteriol. 2007, 189, 8855–8862. [Google Scholar] [CrossRef]
- Romsang, A.; Duang-Nkern, J.; Khemsom, K.; Wongsaroj, L.; Saninjuk, K.; Fuangthong, M.; Vattanaviboon, P.; Mongkolsuk, S. Pseudomonas aeruginosa ttcA encoding tRNA-thiolating protein requires an iron-sulfur cluster to participate in hydrogen peroxide-mediated stress protection and pathogenicity. Sci. Rep. 2018, 8, 1–15. [Google Scholar] [CrossRef]
- Pribis, J.P.; García-Villada, L.; Zhai, Y.; Lewin-Epstein, O.; Wang, A.Z.; Liu, J.; Xia, J.; Mei, Q.; Fitzgerald, D.M.; Bos, J.; et al. Gamblers: An Antibiotic-Induced Evolvable Cell Subpopulation Differentiated by Reactive-Oxygen-Induced General Stress Response. Mol. Cell 2019, 74, 785–800.e7. [Google Scholar] [CrossRef]
- Belda, E.; Van Heck, R.G.A.; Lopez-Sanchez, M.J.; Cruveiller, S.; Barbe, V.; Fraser, C.; Klenk, H.-P.; Petersen, J.; Morgat, A.; Nikel, P.I.; et al. The revisited genome ofPseudomonas putidaKT2440 enlightens its value as a robust metabolicchassis. Environ. Microbiol. 2016, 18, 3403–3424. [Google Scholar] [CrossRef]
- Ramamurthy, V.; Swann, S.L.; Paulson, J.L.; Spedaliere, C.J.; Mueller, E.G. Critical Aspartic Acid Residues in Pseudouridine Synthases. J. Biol. Chem. 1999, 274, 22225–22230. [Google Scholar] [CrossRef]
- Gutgsell, N.; Englund, N.; Niu, L.; Kaya, Y.; Lane, B.G.; Ofengand, J. Deletion of the Escherichia coli pseudouridine synthase gene truB blocks formation of pseudouridine 55 in tRNA in vivo, does not affect exponential growth, but confers a strong selective disadvantage in competition with wild-type cells. RNA 2000, 6, 1870–1881. [Google Scholar] [CrossRef]
- Keffer-Wilkes, L.C.; Veerareddygari, G.R.; Kothe, U. RNA modification enzyme TruB is a tRNA chaperone. Proc. Natl. Acad. Sci. USA 2016, 113, 14306–14311. [Google Scholar] [CrossRef] [PubMed]
- Chou, H.-J.; Donnard, E.; Gustafsson, H.T.; Garber, M.; Rando, O.J. Transcriptome-wide Analysis of Roles for tRNA Modifications in Translational Regulation. Mol. Cell 2017, 68, 978–992.e4. [Google Scholar] [CrossRef] [PubMed]
- Connolly, D.M.; Winkler, M.E. Genetic and physiological relationships among the miaA gene, 2-methylthio-N6-(delta 2-isopentenyl)-adenosine tRNA modification, and spontaneous mutagenesis in Escherichia coli K-12. J. Bacteriol. 1989, 171, 3233–3246. [Google Scholar] [CrossRef] [PubMed]
- Murphy, H.S.; Humayun, M.Z. Escherichia coli cells expressing a mutant glyV (glycine tRNA) gene have a UVM-constitutive phenotype: Implications for mechanisms underlying the mutA or mutC mutator effect. J. Bacteriol. 1997, 179, 7507–7514. [Google Scholar] [CrossRef]
- Bacher, J.M.; Schimmel, P. An editing-defective aminoacyl-tRNA synthetase is mutagenic in aging bacteria via the SOS response. Proc. Natl. Acad. Sci. USA 2007, 104, 1907–1912. [Google Scholar] [CrossRef]
- Zhao, J.; Leung, H.-C.E.; Winkler, M.E. The miaA Mutator Phenotype ofEscherichia coli K-12 Requires Recombination Functions. J. Bacteriol. 2001, 183, 1796–1800. [Google Scholar] [CrossRef]
- Lee, H.; Popodi, E.; Tang, H.; Foster, P.L. Rate and molecular spectrum of spontaneous mutations in the bacterium Escherichia coli as determined by whole-genome sequencing. Proc. Natl. Acad. Sci. USA 2012, 109, e2774–e2783. [Google Scholar] [CrossRef]
- Long, H.; Sung, W.; Miller, S.F.; Ackerman, M.S.; Doak, T.G.; Lynch, M. Mutation Rate, Spectrum, Topology, and Context-Dependency in the DNA Mismatch Repair-Deficient Pseudomonas fluorescens ATCC948. Genome Biol. Evol. 2015, 7, 262–271. [Google Scholar] [CrossRef]
- Sidorenko, J.; Jatsenko, T.; Saumaa, S.; Teras, R.; Tark-Dame, M.; Hõrak, R.; Kivisaar, M. Involvement of specialized DNA polymerases Pol II, Pol IV and DnaE2 in DNA replication in the absence of Pol I in Pseudomonas putida. Mutat. Res. Mol. Mech. Mutagen. 2011, 714, 63–77. [Google Scholar] [CrossRef]
- Lewis, J.A.; Ames, B.N. Histidine regulation in Salmonella typhimurium. XI. The percentage of transfer RNA His charged in vivo and its relation to the repression of the histidine operon. J. Mol. Biol. 1972, 66, 131–142. [Google Scholar] [CrossRef]
- Han, L.; Kon, Y.; Phizicky, E.M. Functional importance of Ψ38 and Ψ39 in distinct tRNAs, amplified for tRNAGln(UUG) by unexpected temperature sensitivity of the s2U modification in yeast. RNA 2014, 21, 188–201. [Google Scholar] [CrossRef] [PubMed]
- Shaheen, R.; Han, L.; Faqeih, E.; Ewida, N.; Alobeid, E.; Phizicky, E.M.; Alkuraya, F.S. A homozygous truncating mutation in PUS3 expands the role of tRNA modification in normal cognition. Qual. Life Res. 2016, 135, 707–713. [Google Scholar] [CrossRef] [PubMed]
- Kim, J.; Park, W. Oxidative stress response in Pseudomonas putida. Appl. Microbiol. Biotechnol. 2014, 98, 6933–6946. [Google Scholar] [CrossRef] [PubMed]
- Nelson, K.E.; Weinel, C.; Paulsen, I.T.; Dodson, R.J.; Hilbert, H.; Dos Santos, V.A.P.M.; Fouts, D.E.; Gill, S.R.; Pop, M.; Holmes, M.; et al. Complete genome sequence and comparative analysis of the metabolically versatile Pseudomonas putida KT2440. Environ. Microbiol. 2002, 4, 799–808. [Google Scholar] [CrossRef]
- Xiao, Y.; Zhu, W.; He, M.; Nie, H.; Chen, W.; Huang, Q. High c-di-GMP promotes expression of fpr-1 and katE involved in oxidative stress resistance in Pseudomonas putida KT2440. Appl. Microbiol. Biotechnol. 2019, 103, 9077–9089. [Google Scholar] [CrossRef]
- Winkler, M.E.; Ramos-Montañez, S. Biosynthesis of Histidine. EcoSal Plus 2009, 3. [Google Scholar] [CrossRef]
- Johnston, M.; Barnes, W.M.; Chumley, F.G.; Bossi, L.; Roth, J.R. Model for regulation of the histidine operon of Salmonella. Proc. Natl. Acad. Sci. USA 1980, 77, 508–512. [Google Scholar] [CrossRef]
- Bender, R.A. Regulation of the Histidine Utilization (Hut) System in Bacteria. Microbiol. Mol. Biol. Rev. 2012, 76, 565–584. [Google Scholar] [CrossRef]
- Lemire, J.; Milandu, Y.; Auger, C.; Bignucolo, A.; Appanna, V.P.; Appanna, V.D. Histidine is a source of the antioxidant, α-ketoglutarate, in Pseudomonas fluorescens challenged by oxidative stress. FEMS Microbiol. Lett. 2010, 309, 170–177. [Google Scholar] [CrossRef]
- Nagao, T.; Nakayama-Imaohji, H.; Elahi, M.; Tada, A.; Toyonaga, E.; Yamasaki, H.; Okazaki, K.; Miyoshi, H.; Tsuchiya, K.; Kuwahara, T. L-histidine augments the oxidative damage against Gram-negative bacteria by hydrogen peroxide. Int. J. Mol. Med. 2018, 41, 2847–2854. [Google Scholar] [CrossRef]
- Yoshida, H.; Maki, Y.; Kato, H.; Fujisawa, H.; Izutsu, K.; Wada, C.; Wada, A. The Ribosome Modulation Factor (RMF) Binding Site on the 100S Ribosome of Escherichia coli. J. Biochem. 2002, 132, 983–989. [Google Scholar] [CrossRef] [PubMed]
- Wada, A.; Yamazaki, Y.; Fujita, N.; Ishihama, A. Structure and probable genetic location of a “ribosome modulation factor” associated with 100S ribosomes in stationary-phase Escherichia coli cells. Proc. Natl. Acad. Sci. USA 1990, 87, 2657–2661. [Google Scholar] [CrossRef] [PubMed]
- Marschall, C.; Labrousse, V.; Kreimer, M.; Weichart, D.; Kolb, A.; Hengge-Aronis, R. Molecular analysis of the regulation of csiD, a carbon starvation-inducible gene in Escherichia coli that is exclusively dependent on σ S and requires activation by cAMP-CRP 1 1Edited by M. Gottesman. J. Mol. Biol. 1998, 276, 339–353. [Google Scholar] [CrossRef] [PubMed]
- Ainsaar, K.; Tamman, H.; Kasvandik, S.; Tenson, T.; Hõrak, R. The TonBm-PocAB System Is Required for Maintenance of Membrane Integrity and Polar Position of Flagella in Pseudomonas putida. J. Bacteriol. 2019, 201, e00303-19. [Google Scholar] [CrossRef] [PubMed]
- Bridges, B.A. Hypermutation in bacteria and other cellular systems. Philos. Trans. R. Soc. B Biol. Sci. 2001, 356, 29–39. [Google Scholar] [CrossRef] [PubMed]





| Locus | Gene | Protein | Fold Change † | p-Value |
|---|---|---|---|---|
| ΔtruA vs. wild-type | ||||
| PP_1936 | Uncharacterized protein | −10.1 | 0.00025 | |
| PP_5487 | Uncharacterized protein | −8.0 | 6.0 × 10−6 | |
| PP_5488 | Uncharacterized protein | −7.1 | 1.7 × 10−6 | |
| PP_0115 | katE | Catalase | −3.1 | 0.00025 |
| PP_5700 | Uncharacterized protein | −2.8 | 8.1 × 10−5 | |
| PP_1789 | Haloacid dehalogenase-like family hydrolase | −2.7 | 6.0 × 10−7 | |
| PP_5502 | rmf | Ribosome modulation factor | −2.5 | 0.0014 |
| PP_2264 | Putative Sugar ABC transporter, periplasmic sugar-binding protein | −2.4 | 1.3 × 10−5 | |
| PP_1788 | Uncharacterized protein | −2.1 | 0.0003 | |
| PP_0238 | ssuD | Alkanesulfonate monooxygenase | −2.0 | 0.0024 |
| PP_4496 | rluB | 23S rRNA pseudouridylate synthase B | 2.1 | 9.0 × 10−5 |
| PP_0880 | dppC | Dipeptide ABC transporter-putative membrane subunit | 2.2 | 0.0027 |
| PP_4346 | ddlA | D-alanine-D-alanine ligase A | 2.7 | 0.00061 |
| PP_0966 | hisD | Histidinol dehydrogenase | 3.8 | 3.9 × 10−6 |
| PP_1025 | leuA | 2-isopropylmalate synthase | 4.2 | 3.2 × 10−5 |
| PP_0967 | hisC | Histidinol-phosphate aminotransferase | 4.4 | 9.5 × 10−7 |
| PP_2909 | csiD | carbon starvation induced protein | 5.3 | 9.4 × 10−5 |
| PP_0435 | M23/M37 family peptidase. | 6.3 | 0.00048 | |
| ΔrluA vs. wild-type | ||||
| PP_5488 | Uncharacterized protein | −5.5 | 6.0 × 10−6 | |
| PP_5487 | Uncharacterized protein | −5.3 | 1.9 × 10−5 | |
| On-off regulated proteins | ||||
| Locus | Gene | Protein | Detected in | |
| ΔtruA vs. wild-type | ||||
| PP_0170 | ABC transporter periplasmic binding protein | wild-type | ||
| PP_2818 | mexD | multidrug RND transporter MexD | wild-type | |
| PP_1935 | Cro/CI family transcriptional regulator | ΔtruA | ||
| PP_2921 | hypothetical protein | ΔtruA | ||
| PP_3601 | garD | galactarate dehydratase | ΔtruA | |
| ΔrluA vs. wild-type | ||||
| PP_4042 | zwfB | glucose 6-phosphate 1-dehydrogenase | wild-type | |
| PP_5162 | hypothetical protein | wild-type | ||
| PP_1935 | Cro/CI family transcriptional regulator | ΔrluA | ||
Publisher’s Note: MDPI stays neutral with regard to jurisdictional claims in published maps and institutional affiliations. |
© 2020 by the authors. Licensee MDPI, Basel, Switzerland. This article is an open access article distributed under the terms and conditions of the Creative Commons Attribution (CC BY) license (http://creativecommons.org/licenses/by/4.0/).
Share and Cite
Tagel, M.; Ilves, H.; Leppik, M.; Jürgenstein, K.; Remme, J.; Kivisaar, M. Pseudouridines of tRNA Anticodon Stem-Loop Have Unexpected Role in Mutagenesis in Pseudomonas sp. Microorganisms 2021, 9, 25. https://doi.org/10.3390/microorganisms9010025
Tagel M, Ilves H, Leppik M, Jürgenstein K, Remme J, Kivisaar M. Pseudouridines of tRNA Anticodon Stem-Loop Have Unexpected Role in Mutagenesis in Pseudomonas sp. Microorganisms. 2021; 9(1):25. https://doi.org/10.3390/microorganisms9010025
Chicago/Turabian StyleTagel, Mari, Heili Ilves, Margus Leppik, Karl Jürgenstein, Jaanus Remme, and Maia Kivisaar. 2021. "Pseudouridines of tRNA Anticodon Stem-Loop Have Unexpected Role in Mutagenesis in Pseudomonas sp." Microorganisms 9, no. 1: 25. https://doi.org/10.3390/microorganisms9010025
APA StyleTagel, M., Ilves, H., Leppik, M., Jürgenstein, K., Remme, J., & Kivisaar, M. (2021). Pseudouridines of tRNA Anticodon Stem-Loop Have Unexpected Role in Mutagenesis in Pseudomonas sp. Microorganisms, 9(1), 25. https://doi.org/10.3390/microorganisms9010025

