Molecular Identification and Dual Functions of Two Different CXC Chemokines in Nile Tilapia (Oreochromis niloticus) against Streptococcus agalactiae and Flavobacterium columnare
Abstract
1. Introduction
2. Materials and Methods
2.1. Experimental Animals
2.2. Total RNA and mRNA Preparation
2.3. 3′ and 5′ Ready-to-Use First-Strand cDNA Synthesis
2.4. Rapid Amplification of cDNA Ends (RACE) PCR
2.5. Cloning and Characterization of the Full-Length CXC Chemokine cDNA of Nile Tilapia
2.6. Homology and Phylogenetic Analyses
2.7. Quantitative Reverse-Transcription Real-Time PCR (qRT-PCR) Analysis for the CXC Chemokine Gene Expression in Various Tissues
2.7.1. Total RNA Isolation and cDNA Synthesis
2.7.2. qRT-PCR
2.8. Response Analysis of CXC Chemokine mRNAs of Nile Tilapia to S. agalactiae Using qRT-PCR
2.8.1. Animals
2.8.2. Preparation of S. agalactiae
2.8.3. Experimental Design
2.8.4. Total RNA Extraction and First-Strand cDNA Synthesis
2.8.5. Quantitative Real-Time PCR Assay
2.8.6. Data and Statistical Analysis
2.9. Structural Analysis of the CXC Chemokine Genes in the Genomic DNA of Nile Tilapia by Southern Blotting
2.10. Genomic Organization Analysis of the Nile Tilapia CXC Chemokine Genes
2.11. Overexpression and Functional Analyses of the Nile Tilapia CXC Chemokines
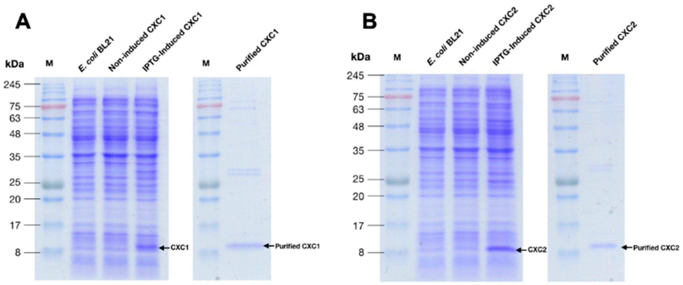
2.11.1. Overexpression of On-CXC1 and On-CXC2 Chemokine Recombinant Proteins
2.11.2. Phagocytic Assays Using Latex Beads as the Substrate
2.11.3. Phagocytic Assays using Viable S. agalactiae and F. columnare Cells as Substrates
2.11.4. Minimal Inhibitory Concentration
3. Results
3.1. Characterization of the Nile Tilapia CXC Chemokine cDNAs
3.2. Comparison of Nucleotide and Amino Acid Sequences and Phylogenetic Analysis
3.3. Genomic Organization of the CXC Chemokine Genes
3.4. Structural Analysis of the CXC Chemokine Genes in the Genomic DNA of Nile Tilapia
3.5. qRT-PCR Analysis of Nile Tilapia CXC Chemokine (On-CXC1 and On-CXC2) mRNAs in Various Tissues of Normal Fish by RT-PCR
3.6. Expression of On-CXC1 and On-CXC2 in Response to Different Concentrations of S. agalactiae Using Quantitative Real-Time PCR
3.7. Functional Analyses of rOn-CXC1 and rOn-CXC2 Proteins
4. Discussion
5. Conclusions
Supplementary Materials
Author Contributions
Funding
Acknowledgments
Conflicts of Interest
References
- Tveteras, R.; Nystoyl, R.; Jory, D.E. Global Finfish Production Review and Forecast: Nearly Doubled in a Decade. Glob. Aquac. Advocate. 2018. Available online: https://www.aquaculturealliance.org/advocate/goal-2019-global-finfish-production-review-and-forecast (accessed on 9 December 2019).
- Shoemaker, C.A.; Xu, D.H.; Evans, J.J.; Klesius, P.H. Parasites and diseases. In Tilapia: Biology, Culture and Nutrition; Lim, C., Webster, C.D., Eds.; The Haworth Press: Binghamton, NY, USA, 2006; pp. 561–582. [Google Scholar]
- Ye, X.; Li, J.; Lu, M.; Deng, G.; Jiang, X.; Tian, Y.; Quan, Y.; Jian, Q. Identification and molecular typing of Streptococcus agalactiae isolated from pond-cultured tilapia in China. Fish. Sci. 2011, 77, 623–632. [Google Scholar] [CrossRef]
- Chen, M.; Li, L.P.; Wang, R.; Liang, W.W.; Huang, Y.; Li, J.; Lei, A.Y.; Huang, W.Y.; Gan, X. PCR detection and PFGE genotype analyses of streptococcal clinical isolates from tilapia in China. Vet. Microbiol. 2012, 159, 526–530. [Google Scholar] [CrossRef]
- Liu, L.; Li, Y.W.; He, R.Z.; Xiao, X.X.; Zhang, X.; Su, Y.L.; Wang, J.; Li, A.X. Outbreak of Streptococcus agalactiae infection in barcoo grunter, Scortum barcoo (McCulloch & Waite), in an intensive fish farm in China. J. Fish. Dis. 2013, 37, 1067–1072. [Google Scholar] [PubMed]
- Whyte, S.K. The innate immune response of finfish-a review of current knowledge. Fish Shellfish Immunol. 2007, 23, 1127–1151. [Google Scholar] [CrossRef] [PubMed]
- Agbede, S.A.; Adedeji, O.B.; Adeyemo, O.K. Tissues and organs involved in the non-specific defence mechanism in fish. J. Appl. Sci. Res. 2012, 8, 2493–2496. [Google Scholar]
- Secombes, C.J.; Zou, J.; Laing, K.; Daniels, G.D.; Cunningham, C. Cytokine genes in fish. Aquaculture 1999, 172, 93–102. [Google Scholar] [CrossRef]
- Borish, L.C.; Steinke, J.W. Cytokines and chemokines. J. Allergy Clin. Immunol. 2003, 111, S460–S475. [Google Scholar] [CrossRef] [PubMed]
- Alejo, A.; Tafalla, C. Chemokines in teleost fish species. Dev. Comp. Immunol. 2011, 35, 1215–1222. [Google Scholar] [CrossRef] [PubMed]
- Viola, A.; Luster, A.D. Chemokines and their receptors: Drug targets in immunity and inflammation. Annu. Rev. Pharm. Toxicol. 2008, 48, 171–197. [Google Scholar] [CrossRef]
- Bacon, K.; Baggiolini, M.; Broxmeyer, H.; Horuk, R.; Lindley, I.; Mantovani, A.; Maysushima, K.; Murphy, P.; Nomiyama, H.; Oppenheim, J.; et al. Chemokine/chemokine receptor nomenclature. J. Interferon Cytokine Res. 2002, 22, 1067–1068. [Google Scholar] [PubMed]
- Huising, M.O.; Stet, R.J.; Kruiswijk, C.P.; Savelkoul, H.F.; Lidy Verburg-van Kemenade, B.M. Molecular evolution of CXC chemokines: Extant CXC chemokines originate from the CNS. Trends Immunol. 2003, 24, 307–313. [Google Scholar] [CrossRef]
- Abdelkhalek, N.K.; Komiya, A.; Kato-Unoki, Y.; Somamoto, T.; Nakao, M. Molecular evidence for the existence of two distinct IL-8 lineages of teleost CXC-chemokines. Fish Shellfish Immunol. 2009, 27, 763–767. [Google Scholar] [CrossRef] [PubMed]
- Secombes, C.J.; Wang, T.; Hong, S.; Peddie, S.; Crampe, M.; Laing, K.J.; Cunninghamb, C.; Zou, J. Cytokines and innate immunity of fish. Dev. Comp. Immunol. 2001, 25, 713–723. [Google Scholar] [CrossRef]
- Chen, L.; He, C.; Baoprasertkul, P.; Xu, P.; Li, P.; Serapion, J.; Waldbieserb, G.; Woltersb, W.; Liu, Z. Analysis of a catfish gene resembling interleukin-8: cDNA cloning, gene structure, and expression after infection with Edw. ictaluri. Dev. Comp. Immunol. 2005, 29, 135–142. [Google Scholar] [CrossRef]
- Harun, N.O.; Zou, J.; Zhang, Y.A.; Nie, P.; Secombes, C.J. The biological effects of rainbow trout (Oncorhynchus mykiss) recombinant interleukin-8. Dev. Comp. Immunol. 2008, 32, 673–681. [Google Scholar] [CrossRef]
- Strieter, R.M.; Polverini, P.J.; Kunkel, S.L.; Arenberg, D.A.; Burdick, M.D.; Kasper, J.; Dzuiba, J.; Van Damme, J.; Walz, A.; Marriot, D.; et al. The functional role of the ELR motif in CXC chemokine-mediated angiogenesis. J. Biol. Chem. 1995, 270, 27348–27357. [Google Scholar] [CrossRef]
- Seppola, M.; Larsen, A.N.; Steiro, K.; Robertsen, B.; Jensen, I. Characterisation and expression analysis of the interleukin genes, IL-1beta, IL-8 and IL-10, in Atlantic cod (Gadus morhua L.). Mol. Immunol. 2008, 45, 887–897. [Google Scholar] [CrossRef]
- Laing, K.J.; Bols, N.; Secombes, C.J. A CXC chemokine sequence isolated from the rainbow trout Oncorhynchus mykiss resembles the closely related interferon-gamma-inducible chemokines CXCL9, CXCL10 and CXCL11. Eur. Cytokine Netw. 2002, 13, 462–473. [Google Scholar]
- Laing, K.J.; Secombes, C.J. Chemokines. Dev. Comp. Immunol. 2004, 28, 443–460. [Google Scholar] [CrossRef]
- Baggiolini, M.; Walz, A.; Kunkel, S.L. Neutrophil-activating peptide-1/interleukin 8, a novel cytokine that activates neutrophils. J. Clin. Invest. 1989, 84, 1045–1049. [Google Scholar] [CrossRef]
- Najakshin, A.M.; Mechetina, L.V.; Alabyev, B.Y.; Taranin, A.V. Identification of an IL-8 homolog in lamprey (Lampetra fluviatilis): Early evolutionary divergence of chemokines. Eur. J. Immunol. 1999, 29, 375–382. [Google Scholar] [CrossRef]
- Lee, E.Y.; Park, H.H.; Kim, Y.T.; Choi, T.J. Cloning and sequence analysis of the interleukin-8 gene from flounder (Paralichthys olivaceous). Gene 2001, 274, 237–243. [Google Scholar] [CrossRef]
- Li, H.; Cai, Y.; Xie, P.; Li, G.; Hao, L.; Xiong, Q. Identification and expression profiles of IL-8 in bighead Carp (Aristichthys nobilis) in response to Microcystin-LR. Arch. Env. Contam. Toxicol. 2013, 65, 537–545. [Google Scholar] [CrossRef]
- Long, Q.; Quint, E.; Lin, S.; Ekker, M. The zebrafish scyba gene encodes a novel CXC-type chemokine with distinctive expression patterns in the vestibulo-acoustic system during embryogenesis. Mech. Dev. 2000, 97, 183–186. [Google Scholar] [CrossRef]
- Laing, K.J.; Zou, J.J.; Wang, T.; Bols, N.; Hirono, I.; Aoki, T.; Secombes, C.J. Identification and analysis of an interleukin 8-like molecule in rainbow trout Oncorhynchus mykiss. Dev. Comp. Immunol. 2002, 26, 433–444. [Google Scholar] [CrossRef]
- Inoue, Y.; Haruta, C.; Usui, K.; Moritomo, T.; Nakanishi, T. Molecular cloning and sequencing of the banded dogfish (Triakis scyllia) interleukin-8 cDNA. 2003 Fish Shellfish Immunol. 2003, 14, 275–281. [Google Scholar] [CrossRef]
- Huising, M.O.; Van der Meulen, T.; Flik, G.; Verburg-van Kemenade, B.M. Three novel carp CXC chemokines are expressed early in ontogeny and at nonimmune sites. Eur. J. Biochem. 2004, 271, 4094–4106. [Google Scholar] [CrossRef]
- Corripio-Miyar, Y.; Bird, S.; Tsamopoulos, K.; Secombes, C.J. Cloning and expression analysis of two pro-inflammatory cytokines, IL-1 beta and IL-8, in haddock (Melanogrammus aeglefinus). Mol. Immunol. 2007, 44, 1361–1373. [Google Scholar] [CrossRef]
- Kim, H.J.; Yasuike, M.; Kondo, H.; Hirono, I.; Aoki, T. Molecular characterization and gene expression of a CXC chemokine gene from Japanese flounder Paralichthys olivaceus. Fish Shellfish Immunol. 2007, 23, 1275–1284. [Google Scholar] [CrossRef]
- Liu, Y.; Chen, S.L.; Meng, L.; Zhang, Y.X. Cloning, characterization and expression analysis of a novel CXC chemokine from turbot (Scophthalmus maximus). Fish Shellfish Immunol. 2007, 23, 711–720. [Google Scholar] [CrossRef]
- Wan, X.; Chen, X. Molecular cloning and expression analysis of a CXC chemokine gene from large yellow croaker Pseudosciaena crocea. Vet. Immunol. Immunopathol. 2009, 127, 156–161. [Google Scholar] [CrossRef]
- Kim, J.W.; Kim, E.G.; Kim, D.H.; Shim, S.H.; Park, C.I. Molecular characterisation and biological activity of a novel CXC chemokine gene in rock bream (Oplegnathus fasciatus). Fish Shellfish Immunol. 2013, 34, 1103–1111. [Google Scholar] [CrossRef]
- Lai, Y.; Gallo, R.L. AMPed up immunity: How antimicrobial peptides have multiple roles in immune defense. Trends Immunol. 2009, 30, 131–141. [Google Scholar] [CrossRef]
- Wolf, M.; Moser, B. Antimicrobial activities of chemokines: Not just a side-effect? Front. Immunol. 2012, 3, 213. [Google Scholar] [CrossRef]
- Brogden, K.A. Antimicrobial peptides: Pore formers or metabolic inhibitors in bacteria? Nat. Rev. Microbiol. 2005, 3, 238–250. [Google Scholar] [CrossRef]
- Muñoz-Atienza, E.; Aquilino, C.; Syahputra, K.; Al-Jubury, A.; Araújo, C.; Skov, J.; Kania, P.W.; Hernández, P.E.; Buchmann, K.; Cintas, L.M.; et al. CK11, a teleost chemokine with a potent antimicrobial activity. J. Immunol. 2019, 202, 857–870. [Google Scholar] [CrossRef]
- Bao, B.L.; Peatman, E.; Xu, P.; Li, P.; Zeng, H.; He, C.B.; Liu, Z.J. The catfish liver expressed antimicrobial peptide 2 (LEAP-2) gene is expressed in a wide range of tissues and developmentally regulated. Mol. Immunol. 2006, 43, 367–377. [Google Scholar] [CrossRef]
- Xu, P.; Bao, B.L.; He, Q.; Peatman, E.; He, C.B.; Liu, Z.J. Characterization and expression analysis of bactericidal permeability-increasing protein (BPI) antimicrobial peptide gene from channel catfish Ictalurus punctatus. Dev. Comp. Immunol. 2005, 29, 865–878. [Google Scholar] [CrossRef]
- Srisapoome, P.; Wangkahart, E.; Areechon, N. Gene Expression Analyses in Head Kidney and Spleen of Nile tilapia (Oreochromis niloticus) Infected with Streptococcus agalactiae by Expressed sequence tags (ESTs). NCBI GeneBank Database, Direct Submission 2008. Available online: https://www.researchgate.net/publication/309765089 (accessed on 5 May 2016).
- Cao, D.; Kocabas, A.; Ju, Z.; Karsi, A.; Li, P.; Patterson, A.; Liu, Z. Transcriptome of channel catfish (Ictalurus punctatus): Initial analysis of genes and expression profiles of the head kidney. Anim. Genet. 2001, 32, 169–188. [Google Scholar] [CrossRef]
- Thompson, J.D.; Higgins, D.G.; Gibson, T.J. CLUSTAL W: Improving the sensitivity of progressive multiple sequence alignment through sequence weighting, position-specific gap penalties and weight matrix choice. Nucleic Acids Res. 1994, 22, 4673–4680. [Google Scholar] [CrossRef]
- Tamura, K.; Stecher, G.; Peterson, D.; Filipski, A.; Kumar, S. MEGA6: Molecular evolutionary genetics analysis version 6.0. Mol. Biol. Evol. 2013, 30, 2725–2729. [Google Scholar] [CrossRef]
- Livak, K.J.; Schmittgen, T.D. Analysis of relative gene expression data using real-time quantitative PCR and the 2 (-Delta Delta C(T)) method. Methods 2001, 25, 402–408. [Google Scholar] [CrossRef] [PubMed]
- Sambrook, J.; Russell, D.W. Molecular Cloning: A Laboratory Manual, 3rd ed.; Cold Spring Harbor Laboratory Press: New York, NY, USA, 2001. [Google Scholar]
- Nakharuthai, C.; Areechon, N.; Srisapoome, P. Molecular characterization, functional analysis, and defense mechanisms of two CC chemokines in Nile tilapia (Oreochromis niloticus) in response to severely pathogenic bacteria. Dev. Comp. Immunol. 2016, 59, 207–228. [Google Scholar] [CrossRef] [PubMed]
- Hetru, C.; Bulet, P. Strategies for the isolation and characterization of antimicrobial peptides of invertebrates. Methods Mol. Biol. 1997, 78, 35–49. [Google Scholar] [PubMed]
- Zhou, X.; Guo, Q.; Dai, H. Molecular characterization and expression profiles in response to bacterial infection of Chinese soft-shelled turtle interleukin-8 (IL-8), the first reptilian chemokine gene. Dev. Comp. Immunol. 2009, 33, 838–847. [Google Scholar] [CrossRef]
- Lu, J.; Peatman, E.; Wang, W.; Yang, Q.; Abernathy, J.; Wang, S.; Kucuktas, H.; Liu, Z. Alternative splicing in teleost fish genomes: Same-species and cross-species analysis and comparisons. Mol. Genet. Genom. 2010, 283, 531–539. [Google Scholar] [CrossRef]
- Liu, L.; Fujiki, K.; Dixon, B.; Sundick, R.S. Cloning of a novel rainbow trout (Oncorhychus mykiss) CC chemokine with a fractalkine-like stalk and a TNF decoy receptor using cDNA fragments containing AU-rich elements. Cytokine 2001, 17, 71–81. [Google Scholar] [CrossRef]
- Baoprasertkul, P.; He, C.; Peatman, E.; Zhang, S.; Li, P.; Liu, Z. Constitutive expression of three novel catfish CXC chemokines: Homeostatic chemokines in teleost fish. Mol. Immunol. 2005, 42, 1355–1366. [Google Scholar] [CrossRef]
- Elkon, R.; Ugalde, A.P.; Agami, R. Alternative cleavage and polyadenylation: Extent, regulation and function. Nat. Rev. Genet. 2013, 14, 496–506. [Google Scholar] [CrossRef]
- Esche, C.; Stellato, C.; Beck, L.A. Chemokines: Key players in innate and adaptive immunity. J. Invest. Dermatol. 2005, 125, 615–628. [Google Scholar] [CrossRef]
- Baoprasertkul, P.; Peatman, E.; Chen, L.; He, C.; Kucuktas, H.; Li, P.; Simmons, M.; Liu, Z. Sequence analysis and expression of a CXC chemokine in resistant and susceptible catfish after infection of Edwardsiella ictaluri. Dev. Comp. Immunol. 2004, 28, 769–780. [Google Scholar] [CrossRef]
- Savan, R.; Kono, T.; Aman, A.; Sakai, M. Isolation and characterization of a novel CXC chemokine in common carp (Cyprinus carpio L.). Mol. Immunol. 2003, 39, 829–834. [Google Scholar] [CrossRef]
- Abuseliana, A.F.; Mohd Daud, H.H.; Abdul Aziz, S.; Bejo, S.K.; AlSaid, M. Pathogenicity of Streptococcus agalactiae isolated from a fish farm in Selangor to juvenile red tilapia (Oreochromis sp.). J. Anim. Vet. Adv. 2011, 10, 914–919. [Google Scholar] [CrossRef]
- Maisey, K.; Imarai, M. Diversity of teleost leukocyte molecules: Role of alternative splicing. Fish Shellfish Immunol. 2011, 31, 663–672. [Google Scholar] [CrossRef]
- Fernandez, E.J.; Lolis, E. Structure, function, and inhibition of chemokines. Annu. Rev. Pharm. Toxicol. 2002, 42, 469–499. [Google Scholar] [CrossRef]
- Van der Aa, L.M.; Chadzinska, M.; Tijhaar, E.; Boudinot, P.; Verburg-van Kemenade, B.M. CXCL8 chemokines in teleost fish: Two lineages with distinct expression profiles during early phases of inflammation. PLoS ONE 2010, 5, e12384. [Google Scholar] [CrossRef]
- Chen, J.; Xu, Q.; Wang, T.; Collet, B.; Corripio-Miyar, Y.; Bird, S.; Xie, P.; Nie, P.; Secombes, C.J.; Zou, J. Phylogenetic analysis of vertebrate CXC chemokines reveals novel lineage specific groups in teleost fish. Dev. Comp. Immunol. 2013, 41, 137–152. [Google Scholar] [CrossRef]
- Wang, E.; Wang, J.; Long, B.; Wang, K.; He, Y.; Yang, Q.; Chen, D.; Geng, Y.; Huang, X.; Ouyang, P.; et al. Molecular cloning, expression and the adjuvant effects of interleukin-8 of channel catfish (Ictalurus punctatus) against Streptococcus iniae. Sci. Rep. 2016, 6, 29310. [Google Scholar] [CrossRef]
- O’Shea, J.J.; Murray, P.J. Cytokine signaling modules in inflammatory responses. Immunity 2008, 28, 477–487. [Google Scholar] [CrossRef]
- Dai, C.; Basilico, P.; Cremona, T.P.; Collins, P.; Moser, B.; Benarafa, C.; Wolf, M. CXCL14 displays antimicrobial activity against respiratory tract bacteria and contributes to clearance of Streptococcus pneumoniae pulmonary infection. J. Immunol. 2015, 194, 5980–5989. [Google Scholar] [CrossRef]
- Rosenfeld, Y.; Papo, N.; Shai, Y. Endotoxin (lipopolysaccharide) neutralization by innate immunity host-defense peptides. Peptide properties and plausible modes of action. J. Biol. Chem. 2006, 281, 1636–1643. [Google Scholar] [CrossRef]
- Kovács, M.; Halfmann, A.; Fedtke, I.; Heintz, M.; Peschel, A.; Vollmer, W.; Hakenbeck, R.; Brückner, R. A functional dlt operon, encoding proteins required for incorporation of D-alanine in teichoic acids in gram-positive bacteria, confers resistance to cationic antimicrobial peptides in Streptococcus pneumoniae. J. Bacteriol. 2006, 188, 5797–5805. [Google Scholar] [CrossRef]
- Kramer, N.E.; Hasper, H.E.; van den Bogaard, P.T.; Morath, S.; de Kruijff, B.; Hartung, T.; Smid, E.J.; Breukink, E.; Kok, J.; Kuipers, O.P. Increased D-alanylation of lipoteichoic acid and a thickened septum are main determinants in the nisin resistance mechanism of Lactococcus lactis. Microbiology 2008, 154, 1755–1762. [Google Scholar] [CrossRef] [PubMed]
- Bruce, K.E.; Rued, B.E.; Tsui, H.T.; Winkler, M.E. The Opp (AmiACDEF) oligopeptide transporter mediates resistance of serotype 2 Streptococcus pneumoniae D39 to killing by chemokine CXCL10 and other antimicrobial peptides. J. Bacteriol. 2018, 200, e00745-17. [Google Scholar] [CrossRef] [PubMed]
- Lei, J.; Sun, L.; Huang, S.; Zhu, C.; Li, P.; He, J.; Mackey, V.; Coy, D.H.; He, Q. The antimicrobial peptides and their potential clinical applications. Am. J. Transl. Res. 2019, 11, 3919–3931. [Google Scholar] [PubMed]












© 2020 by the authors. Licensee MDPI, Basel, Switzerland. This article is an open access article distributed under the terms and conditions of the Creative Commons Attribution (CC BY) license (http://creativecommons.org/licenses/by/4.0/).
Share and Cite
Nakharuthai, C.; Srisapoome, P. Molecular Identification and Dual Functions of Two Different CXC Chemokines in Nile Tilapia (Oreochromis niloticus) against Streptococcus agalactiae and Flavobacterium columnare. Microorganisms 2020, 8, 1058. https://doi.org/10.3390/microorganisms8071058
Nakharuthai C, Srisapoome P. Molecular Identification and Dual Functions of Two Different CXC Chemokines in Nile Tilapia (Oreochromis niloticus) against Streptococcus agalactiae and Flavobacterium columnare. Microorganisms. 2020; 8(7):1058. https://doi.org/10.3390/microorganisms8071058
Chicago/Turabian StyleNakharuthai, Chatsirin, and Prapansak Srisapoome. 2020. "Molecular Identification and Dual Functions of Two Different CXC Chemokines in Nile Tilapia (Oreochromis niloticus) against Streptococcus agalactiae and Flavobacterium columnare" Microorganisms 8, no. 7: 1058. https://doi.org/10.3390/microorganisms8071058
APA StyleNakharuthai, C., & Srisapoome, P. (2020). Molecular Identification and Dual Functions of Two Different CXC Chemokines in Nile Tilapia (Oreochromis niloticus) against Streptococcus agalactiae and Flavobacterium columnare. Microorganisms, 8(7), 1058. https://doi.org/10.3390/microorganisms8071058

