The Chronic Effect of Transgenic Maize Line with mCry1Ac or maroACC Gene on Ileal Microbiota Using a Hen Model
Abstract
1. Introduction
2. Materials and Methods
2.1. Animals and Experimental Design
2.2. Maize and Diets
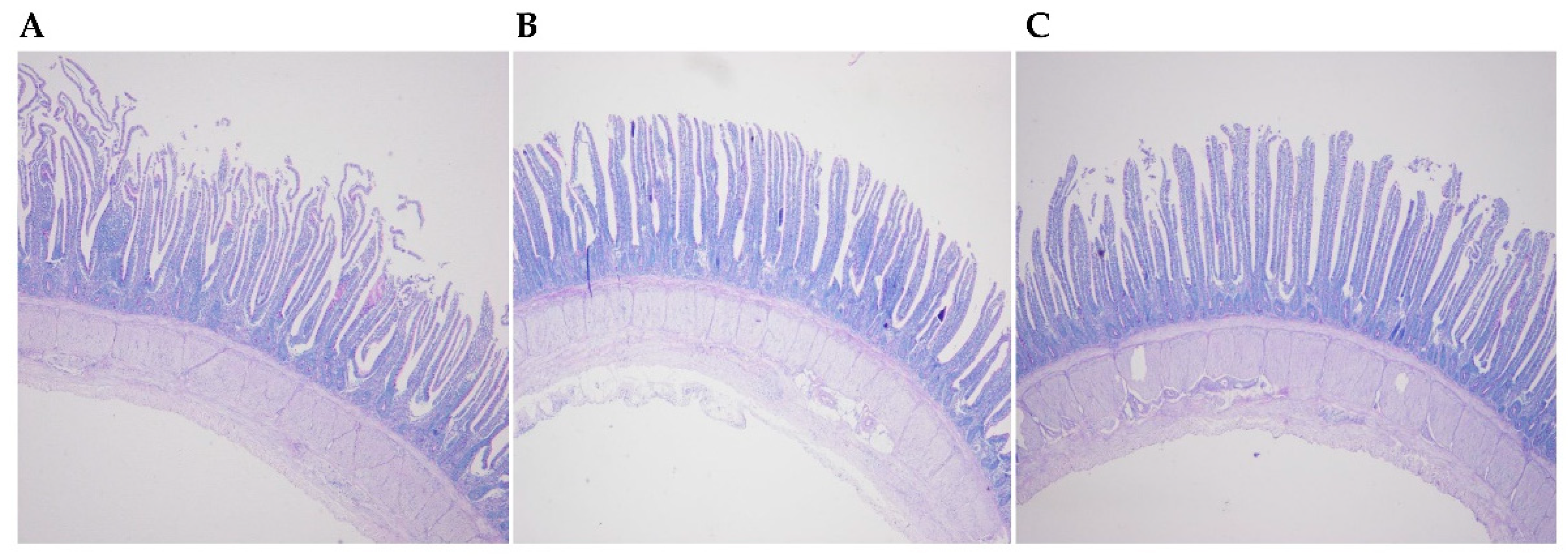
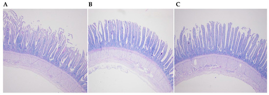
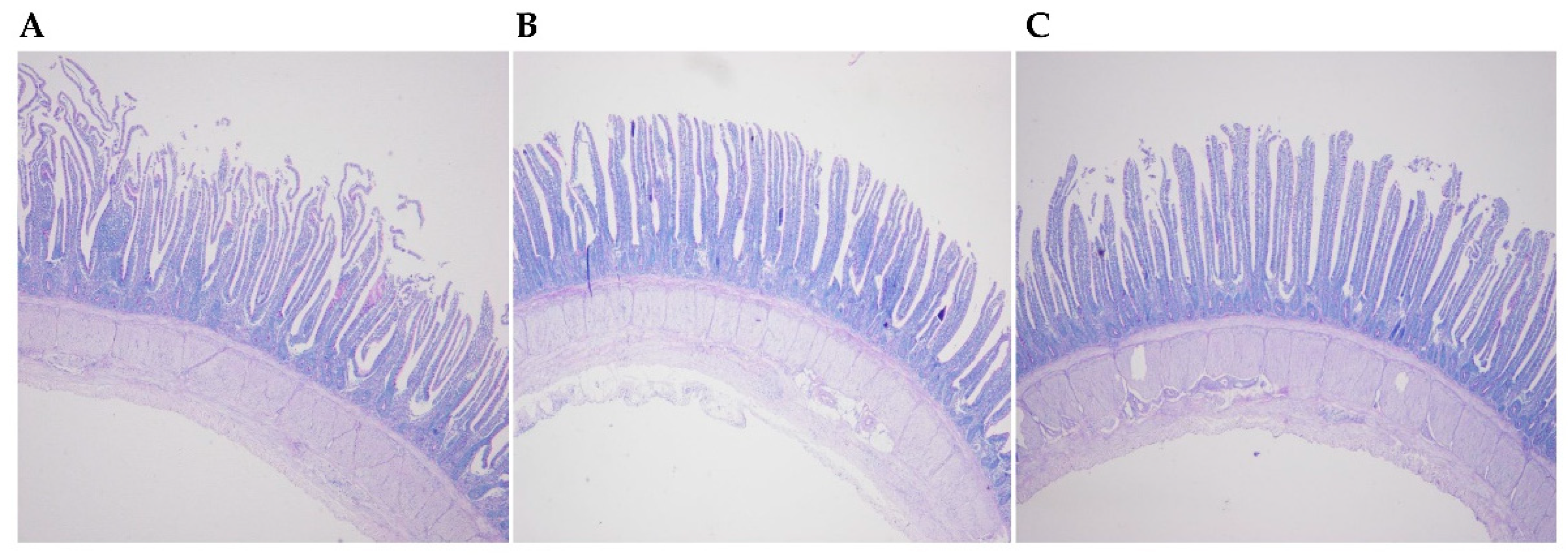
2.3. Organ Sampling and Histological Analysis
2.4. DNA Extraction and PCR Amplification
2.5. Illumina miseq Sequencing and Bioinformatics Analysis
2.6. Statistical Analysis
3. Results
3.1. Maize Grain and Diet Compositions
3.2. Ileal Histology
3.3. Microbial Population Indices
3.4. The Relative Abundance of the Ileal Microbiota
4. Discussion
5. Conclusions
Supplementary Materials
Author Contributions
Funding
Acknowledgments
Conflicts of Interest
References
- Saarela, M.; La¨hteenma¨ki, L.; Crittenden, R.; Salminen, S.; Mattila-Sandholm, T. Gut bacteria and health foods-the European perspective. Int. J. Food Microbiol. 2002, 78, 99–117. [Google Scholar] [CrossRef]
- Kasahara, K.; Krautkramer, K.A.; Org, E.; Romano, K.A.; Kerby, R.L.; Vivas, E.I.; Mehrabian, M.; Denu, J.M.; Bäckhed, F.; Lusis, A.J.; et al. Interactions between Roseburia intestinalis and diet modulate atherogenesis in a murine model. Nat. Microbiol. 2018, 3, 1461. [Google Scholar] [CrossRef] [PubMed]
- Vatanen, T.; Franzosa, E.A.; Schwager, R.; Tripathi, S.; Arthur, T.D.; Vehik, K.; Lernmark, Å.; Hagopian, W.A.; Rewers, M.J.; She, J.X.; Toppari, J.; et al. The human gut microbiome in early-onset type 1 diabetes from the TEDDY study. Nature 2018, 562, 589–594. [Google Scholar] [CrossRef]
- Snell, C.; Bernheim, A.; Bergé, J.B.; Kuntz, M.; Pascal, G.; Paris, A.; Ricroch, A.E. Assessment of the health impact of GM plant diets in long-term and multigenerational animal feeding trials: a literature review. Food Chem. Toxicol. 2012, 50, 1134–1148. [Google Scholar] [CrossRef]
- Van Eenennaam, A.L.; Young, A.E. Prevalence and impacts of genetically engineered feedstuffs on livestock populations. J. Anim. Sci. 2014, 92, 4255–4278. [Google Scholar] [CrossRef] [PubMed]
- Swiatkiewicz, S.; Swiatkiewicz, M.; Arczewska-Wlosek, A.; Jozefiak, D. Genetically modified feeds and their effect on the metabolic parameters of food-producing animals: A review of recent studies. Anim. Feed Sci. Tech. 2014, 198, 1–19. [Google Scholar] [CrossRef]
- Adel-Patient, K.; Guimaraes, V.D.; Paris, A.; Drumare, M.F.; Ah-Leung, S.; Lamourette, P.; Nevers, M.C.; Canlet, C.; Molina, J.; Bernard, H.; Créminon, C.; et al. Immunological and metabolomic impacts of administration of Cry1Ab protein and MON 810 maize in mouse. PLoS ONE 2011, 6, e16346. [Google Scholar] [CrossRef]
- ISAAA. Global Status of Commercialized Biotech/GM Crops in 2017: Biotech Crop Adoption Surges as Economic Benefits Accumulate in 22 Years; ISAAA Brief No. 53; ISAAA: Ithaca, NY, USA, 2017. [Google Scholar]
- Zhong, R.Q.; Chen, L.; Gao, L.X.; Zhang, L.L.; Yao, B.; Yang, X.G.; Zhang, H.F. Effects of feeding transgenic corn with mCry1Ac or maroACC gene to laying hens for 12 weeks on growth, egg quality and organ health. Animal 2016, 10, 1280–1287. [Google Scholar] [CrossRef] [PubMed]
- Gusta, M.; Smyth, S.J.; Belcher, K.; Phillips, P.W.B.; Castle, D. Economic benefits of genetically-modified herbicide-tolerant canola for producers. AgBioForum 2011, 14, 1–13. [Google Scholar]
- Trabalza-Marinucci, M.; Brandi, G.; Rondini, C.; Avellini, L.; Giammarini, C.; Costarelli, S.; Acuti, G.; Orlandi, C.; Filippini, G.; Chiaradia, E.; et al. A three-year longitudinal study on the effects of a diet containing genetically modified Bt176 maize on the health status and performance of sheep. Livest. Sci. 2008, 113, 178–190. [Google Scholar] [CrossRef]
- Einspanier, R.; Lutz, B.; Rief, S.; Berezina, O.; Zverlov, V.; Schwarz, W.; Mayer, J. Tracing residual recombinant feed molecules during digestion and rumen bacterial diversity in cattle fed transgene maize. Eur. Food Res. Technol. 2004, 218, 269–273. [Google Scholar] [CrossRef]
- Brusetti, L.; Crotti, E.; Tamburini, A.; Cittaro, D.; Garavaglia, V.; Rolli, E.; Sorlini, C.; Daffonchio, D.; Borin, S. Influence of transgenic Bt176 and non-transgenic corn silage on the structure of rumen bacterial communities. Ann. Microbiol. 2011, 61, 925–930. [Google Scholar] [CrossRef]
- Wiedemann, S.; Gurtler, P.; Albrecht, C. Effect of feeding cows genetically modified maize on the bacterial community in the bovine rumen. Appl. Environ. Microbiol. 2007, 73, 8012–8017. [Google Scholar] [CrossRef] [PubMed]
- Buzoianu, S.G.; Walsh, M.C.; Rea, M.C.; O’Sullivan, O.; Cotter, P.D.; Ross, R.P.; Gardiner, G.E.; Lawlor, P.G. High throughput sequence-based analysis of the intestinal microbiota of weanling pigs fed genetically modified Bt MON810 maize expressing Bacillus thuringiensis Cry1Ab (Bt maize) for 31 days. Appl. Environ. Microbiol. 2012, 78, 4217–4224. [Google Scholar] [CrossRef]
- Buzoianu, S.G.; Walsh, M.C.; Rea, M.C.; Quigley, L.; O’Sullivan, O.; Cotter, P.D.; Ross, R.P.; Gardiner, G.E.; Lawlor, P.G. Sequence-based analysis of the intestinal microbiota of sows and their offspring fed genetically modified maize expressing a truncated form of Bacillus thuringiensis Cry1Ab protein (Bt maize). Appl. Environ. Microbiol. 2013, 79, 7735–7744. [Google Scholar] [CrossRef]
- El Aidy, S.; van den Bogert, B.; Kleerebezem, M. The small intestine microbiota, nutritional modulation and relevance for health. Curr. Opin. Biotechnol. 2015, 32, 14–20. [Google Scholar] [CrossRef]
- AOAC Int. Official Methods of Analysis of AOAC Int, 18th ed.; AOAC Int: Gaithersburg, MD, USA, 2007. [Google Scholar]
- Liu, J.B.; Xue, P.C.; Cao, S.C.; Liu, J.; Chen, L.; Zhang, H.F. Effects of dietary phosphorus concentration and body weight on postileal phosphorus digestion in pigs. Anim. Feed. Sci. Tech. 2018, 242, 86–94. [Google Scholar] [CrossRef]
- Liu, J.B.; Yan, H.L.; Cao, S.C.; Liu, J.; Li, Z.X.; Zhang, H.F. The response of performance in grower and finisher pigs to diets formulated to different tryptophan to lysine ratios. Livest. Sci. 2019, 222, 25–30. [Google Scholar] [CrossRef]
- Holst, D.O. Holst filtration apparatus for Van Soest detergent fiber analysis. J. AOAC 1973, 56, 1352–1356. [Google Scholar]
- Yan, H.L.; Zhang, L.; Guo, Z.D.; Zhang, H.F.; Liu, J.B. Production phase affects the bioaerosol microbial composition and functional potential in swine confinement buildings. Animals 2019, 9, 90. [Google Scholar] [CrossRef]
- Muyzer, G.; de Waal, E.C.; Uitterlinden, A.G. Profiling of complex microbial populations by denaturing gradient gel electrophoresis analysis of polymerase chain reaction-amplified genes coding for 16S rRNA. Appl. Environ. Microbiol. 1993, 59, 695–700. [Google Scholar] [PubMed]
- Caporaso, J.G.; Lauber, C.L.; Walters, W.A.; Berg-Lyons, D.; Lozupone, C.A.; Turnbaugh, P.J.; Fierer, N.; Knight, R. Global patterns of 16S rRNA diversity at a depth of millions of sequences per sample. PNAS 2011, 15, 4516–4522. [Google Scholar] [CrossRef] [PubMed]
- Amato, K.R.; Yeoman, C.J.; Kent, A.; Righini, N.; Carbonero, F.; Estrada, A.; Gaskins, H.R.; Stumpf, R.M.; Yildirim, S.; Torralba, M.; et al. Habitat degradation impacts black howler monkey (Alouatta pigra) gastrointestinal microbiomes. ISME J. 2013, 7, 1344–1353. [Google Scholar] [CrossRef]
- Good, I.J. The population frequencies of species and the estimation of population parameters. Biometrika 1953, 40, 237–264. [Google Scholar] [CrossRef]
- Schloss, P.D.; Westcott, S.L.; Ryabin, T.; Hall, J.R.; Hartmann, M.; Hollister, E.B.; Lesniewski, R.A.; Oakley, B.B.; Parks, D.H.; Robinson, C.J.; et al. Introducing mothur: open-source, platform-independent, community-supported software for describing and comparing microbial communities. Appl. Environ. Microbiol. 2009, 5, 7537–7541. [Google Scholar] [CrossRef] [PubMed]
- Schlotzhauer, S.; Litell, R.C. SAS System for Elementary Statistical Analysis, 2nd ed.; SAS Publishing: Cary, NC, USA, 1997. [Google Scholar]
- ILSI. International Life Sciences Institute Crop Composition Database, version 7.0. Available online: http://www.cropcomposition.org (accessed on 7 January 2019).
- Zilic, S.; Milasinovic, M.; Terzic, D.; Barac, M.; Ignjatovic-Micic, D. Grain characteristics and composition of maize specialty hybrids. Span. J. Agric. Res. 2011, 9, 230–241. [Google Scholar] [CrossRef]
- OECD. Safety Assessment of Foods and Feeds Derived from Transgenic Crops, Novel Food and Feed Safety; OECD Publishing: Paris, France, 2015; Volume 1. [Google Scholar]
- Xu, S.; Lin, Y.; Zeng, D.; Zhou, M.; Zeng, Y.; Wang, H.; Zhou, Y.; Zhu, H.; Pan, K.; Jing, B.; et al. Bacillus licheniformis normalize the ileum microbiota of chickens infected with necrotic enteritis. Sci. Rep. 2018, 8, 1744. [Google Scholar] [CrossRef] [PubMed]
- Borda-Molina, D.; Vital, M.; Sommerfeld, V.; Rodehutscord, M.; Camarinha-Silva, A. Insights into broilers’ gut microbiota fed with phosphorus, calcium, and phytase supplemented diets. Front. Microbiol. 2016, 19, 2033. [Google Scholar] [CrossRef]
- Buzoianu, S.G.; Walsh, M.C.; Rea, M.C.; O’Sullivan, O.; Crispie, F.; Cotter, P.D.; Ross, R.P.; Gardiner, G.E.; Lawlor, P.G. The effect of feeding Bt MON810 maize to pigs for 110 days on intestinal microbiota. PLoS ONE 2012, 7, e33668. [Google Scholar] [CrossRef]
- Kollarcikova, M.; Kubasova, T.; Karasova, D.; Crhanova, M.; Cejkova, D.; Sisak, F.; Rychlik, I. Use of 16S rRNA gene sequencing for prediction of new opportunistic pathogens in chicken ileal and cecal microbiota. Poult. Sci. 2019. [Google Scholar] [CrossRef]
- Okazaki, M.; Fujikawa, S.; Matsumoto, N. Effect of xylooligosaccharide on the growth of bifidobacteria. Bifidobact. Microflora. 1990, 9, 77–86. [Google Scholar] [CrossRef]
- Sekirov, I.; Russell, S.L.; Antunes, L.C.; Finlay, B.B. Gut microbiota in health and disease. Physiol. Rev. 2010, 90, 859–904. [Google Scholar] [CrossRef]
- Janda, J.M. New members of the family Enterobacteriaceae. In The Prokaryotes; Springer: New York, NY, USA, 2006; Volume 5. [Google Scholar]
- Mukhopadhya, I.; Hansen, R.; El-Omar, E.M.; Hold, G.L. IBD-what role do Proteobacteria play? Nat. Rev. Gastroenterol. Hepatol. 2012, 9, 219–230. [Google Scholar] [CrossRef]
- Miller, R.A.; Betteken, M.I.; Guo, X.; Altier, C.; Duhamel, G.E.; Wiedmann, M. The Typhoid Toxin Produced by the Nontyphoidal Salmonella enterica Serotype Javiana Is Required for Induction of a DNA Damage Response In Vitro and Systemic Spread In Vivo. mBio 2018, 9, e00467-18. [Google Scholar] [CrossRef]
- Gopinath, S.; Carden, S.; Monack, D. Shedding light on Salmonella carriers. Trends Microbiol. 2012, 20, 320–327. [Google Scholar] [CrossRef]
- Palmela, C.; Chevarin, C.; Xu, Z.; Torres, J.; Sevrin, G.; Hirten, R.; Barnich, N.; Ng, S.C.; Colombel, J.F. Adherent-invasive Escherichia coli in inflammatory bowel disease. Gut 2018, 67, 574–587. [Google Scholar] [CrossRef] [PubMed]
- Mirsepasi-Lauridsen, H.C.; Vallance, B.A.; Krogfelt, K.A.; Petersen, A.M. Escherichia coli pathobionts associated with inflammatory bowel disease. Clin. Microbiol. Rev. 2019, 32, e00060-18. [Google Scholar] [CrossRef] [PubMed]
- Stanley, D.; Hughes, R.J.; Moore, R.J. Microbiota of the chicken gastrointestinal tract: influence on health, productivity and disease. Appl. Environ. Microbiol. 2014, 98, 4301–4310. [Google Scholar] [CrossRef] [PubMed]
- Li, P.; Yang, C.; Yue, R.; Zhen, Y.; Zhuo, Q.; Piao, J.; Yang, X.G.; Xiao, R. Modulation of the fecal microbiota in sprague-dawley rats using genetically modified and isogenic corn lines. J. Agric. Food Chem. 2018, 66, 551–561. [Google Scholar] [CrossRef]
- Patterson, J.A.; Burkholder, K.M. Application of prebiotics and probiotics in poultry production. Poult. Sci. 2003, 82, 627–631. [Google Scholar] [CrossRef] [PubMed]
- Yang, G.; Zhang, P.; Liu, H.; Zhu, X.; Dong, W. Spatial variations in intestinal skatole production and microbial composition in broilers. Anim. Sci. J. 2019. [Google Scholar] [CrossRef] [PubMed]








| Nutrient, g/kg | Maize † | Normal Value (%) (Reference) | ||
|---|---|---|---|---|
| CT | BT | CC | ||
| Dry matter | 866.9 | 867.4 | 865.8 | 856–906 [31] |
| Crude protein | 67 | 74 | 77 | 60–127 [31] |
| Ether extract | 31 | 30 | 32 | 17–60 [29]; 31–58 [31] |
| Ash | 11 | 11 | 11 | 6–60 [29]; 13–15 [31] |
| Starch | 663 | 654 | 669 | 256–754 [29]; 546–699 [31] |
| Neutral detergent fiber | 98 | 101 | 104 | 110–147 [30]; 83–119 [31] |
| Acid detergent fiber | 18 | 17 | 17 | 36–48 [30]; 30–43 [31] |
| Calcium | 0.1 | 0.1 | 0.1 | 0.03–1.0 [31] |
| Total phosphorus | 2.1 | 1.6 | 1.6 | 2.3–7.5 [31] |
| Gross energy, kcal/kg | 3833 | 3848 | 3888 | - |
| Essential amino acids | ||||
| Arginine | 3.5 | 3.4 | 3.7 | 2.2–6.4 [31] |
| Histidine | 2.8 | 3.0 | 3.1 | 1.5–3.8 [31] |
| Isoleucine | 2.9 | 2.6 | 2.9 | 2.2–7.1 [31] |
| Leucine | 9.0 | 9.0 | 10.1 | 7.9–24.1 [31] |
| Lysine | 2.5 | 2.5 | 2.6 | 0.5–5.5 [31] |
| Methionine | 1.2 | 1.2 | 1.2 | 1.0–4.6 [31] |
| Phenylalanine | 4.2 | 4.1 | 4.6 | 2.9–6.4 [31] |
| Threonine | 3.1 | 3.0 | 3.3 | 2.7–5.8 [31] |
| Valine | 4.6 | 4.6 | 4.7 | 2.1–8.5 [31] |
| Non-essential amino acids | ||||
| Alanine | 5.8 | 5.8 | 6.5 | 5.6–10.4 [31] |
| Aspartic acid | 5.0 | 4.9 | 5.4 | 4.8–8.5 [31] |
| Cysteine | 1.5 | 1.5 | 1.5 | 0.8–3.2 [31] |
| Glutamic acid | 14.2 | 14.5 | 15.9 | 12.5–25.8 [31] |
| Glycine | 3.0 | 2.9 | 3.3 | 2.6–4.9 [31] |
| Proline | 7.0 | 6.9 | 8.1 | 6.3–11.6 [31] |
| Serine | 3.9 | 3.9 | 4.3 | 3.5–9.1 [31] |
| Tyrosine | 4.1 | 4.0 | 4.3 | 1.2–7.9 [31] |
| Item | Diet † | SEM | p-Value § | ||
|---|---|---|---|---|---|
| CT | BT | CC | |||
| Villus height (μm) | 688 | 704 | 593 | 32.8 | NS |
| Crypt depth (μm) | 151 | 127 | 132 | 5.5 | NS |
| Villus height/crypt depth | 4.56 | 5.33 | 4.89 | 0.538 | NS |
| Goblet cells/villus | 40.1 | 63.4 | 62.8 | 5.50 | NS |
| Goblet cells/μm villus | 59.8 | 75.4 | 82.3 | 5.23 | NS |
| Microbiota Source and Diversity Measure | Diet † | |||
|---|---|---|---|---|
| CT | BT | CC | p-Value § | |
| Chao 1 richness estimation | 216 | 171 | 153 | NS |
| Shannon diversity index | 3.1 | 1.9 | 2.1 | NS |
| Good’s coverage | 0.997 | 0.998 | 0.998 | NS |
© 2019 by the authors. Licensee MDPI, Basel, Switzerland. This article is an open access article distributed under the terms and conditions of the Creative Commons Attribution (CC BY) license (http://creativecommons.org/licenses/by/4.0/).
Share and Cite
Chen, L.; Zhong, R.; Zhang, L.; Zhang, H. The Chronic Effect of Transgenic Maize Line with mCry1Ac or maroACC Gene on Ileal Microbiota Using a Hen Model. Microorganisms 2019, 7, 92. https://doi.org/10.3390/microorganisms7030092
Chen L, Zhong R, Zhang L, Zhang H. The Chronic Effect of Transgenic Maize Line with mCry1Ac or maroACC Gene on Ileal Microbiota Using a Hen Model. Microorganisms. 2019; 7(3):92. https://doi.org/10.3390/microorganisms7030092
Chicago/Turabian StyleChen, Liang, Ruqing Zhong, Lilan Zhang, and Hongfu Zhang. 2019. "The Chronic Effect of Transgenic Maize Line with mCry1Ac or maroACC Gene on Ileal Microbiota Using a Hen Model" Microorganisms 7, no. 3: 92. https://doi.org/10.3390/microorganisms7030092
APA StyleChen, L., Zhong, R., Zhang, L., & Zhang, H. (2019). The Chronic Effect of Transgenic Maize Line with mCry1Ac or maroACC Gene on Ileal Microbiota Using a Hen Model. Microorganisms, 7(3), 92. https://doi.org/10.3390/microorganisms7030092
