Abstract
The present article presents a case report and literature review concerning the Streptococcus equi subspecies zooepidemicus (SEZ), a rare zoonotic pathogen in humans. The case involves a 62-year-old man with no prior heart disease, presenting with endocarditis, pneumonia, and meningitis following close contact with a horse. The patient underwent urgent aortic valve replacement due to severe valvular damage caused by the infection. Blood and cerebrospinal fluid cultures confirmed the presence of SEZ, and the patient was treated with a combination of antibiotics, followed by a successful step-down to oral therapy using linezolid. A review of 25 additional Streptococcus equi endocarditis cases highlights the rarity of the condition, its association with animal contact, and its tendency to cause multi-site infections, such as pneumonia and meningitis. Early diagnosis, appropriate antibiotic therapy, and, in severe cases, surgical intervention are critical for a favorable outcome. This report emphasizes the importance of recognizing zoonotic infections in at-risk populations and the potential need for public health surveillance in these scenarios.
1. Introduction
Streptococcus equi (S. equi) is a Gram-positive non-spore-forming coccus, which is part of the pyogenic streptococci group. Based on the hemolysis patterns on blood agar plates, it is classified as a β-hemolytic (complete lysis) bacterium and can be further differentiated by carbohydrate group antigens of Lancefield group C.
Three different subspecies have been recognized: S. equi subsp. equi (S. epidemicus (SEE)), S. equi subsp. zooepidemicus (S. zooepidemicus (SEZ)), and S. equi subsp. ruminatorum (S. ruminatorum (SER)).
Among the subspecies of S. equi, SEE is primarily a pathogen of horses and is responsible for strangles, a highly contagious infection of the upper respiratory tract associated with the lymph nodes of solipeds [1].
SER was identified for the first time in 2004, isolated from mastitis in small ruminants [2]. Although only a few cases have been reported in the literature, SER has the potential to cause zoonotic infections in humans [3].
SEZ was first isolated in 1934 by P. R. Edwards and was initially named animal pyogens A [4]. It is a part of the mucosal flora in horses and is considered an opportunistic pathogen. Although usually a harmless commensal, S. zooepidemicus can occasionally become an important cause of respiratory disease and metritis in horses and cause a wide variety of infections in pigs, sheep, cows, goats, and several other mammalian species [5,6,7].
Transmission to humans is rare and is related to close contacts with horses [8] and the consumption of unpasteurized dairy products [9,10], goat cheese [11], or pork [12].
Between November 2021 and May 2022, Italy experienced an outbreak of SEZ infection, involving a total of thirty-seven clinical cases in the central region of the country, resulting in the death of five patients due to meningitis [13].
Additionally, other severe infections, such as infective endocarditis (IE) [10], septic arthrtis [14] and pneumonia [15], and post-streptococcal complications, such as glomerulonephritis [16] and rheumatic fever [8], have also been identified.
IE is a severe disease that is associated with high morbidity and mortality rates, and according to the latest clinical guidelines [17,18], the diagnosis of IE relies on a combination of clinical, microbiological, and imaging criteria, with the modified Duke criteria being the standard diagnostic framework.
In 2009, the International Collaboration on Endocarditis Prospective Cohort Study (ICE-PCS) showed that the most frequent microorganisms causing IE were S. aureus (31%), followed by the viridans group streptococci (17%) and Coagulase-Negative Staphylococci (11%) [19]. Similar results were reported in the EURO-ENDO registry [20].
IE, due to group A, B, C, or G streptococci, including the Streptococcus anginosus group (S. constellatus, S. anginosus, and S. intermedius) is relatively rare [21,22]. The previous analysis of 88 patients with group C Streptococcal bloodstream infection (BSI) revealed that IE was the most frequently reported clinical manifestation, occurring in 27.3% of the cases, and SER was isolated in 17.1% of whole cohort with BSI [23]. Mortality was high (25.0%), especially among the older patients and the patients with endocarditis, meningitis, and disseminated infection. Indeed, group C streptococcal bacteremia does not differ from BSI caused by other β-hemolytic streptococci in terms of clinical presentation, treatment, or outcome.
Among streptococci IE infections, the most common organisms belong to the viridans group (VGS) [19]. β-hemolytic streptococci (BHS) are recognized for their pathogenic role mainly in skin and soft tissue infections and are an uncommon cause of IE. Fernández Hidalgo [21] studied the data from the ICE-PCS cohort; among 4794 cases of definite IE, 1336 (27,9%) cases were caused by streptococci, of which 823 (61,6%) were caused by VGS, and 147 (11%) by BHS. S. agalactiae (group B) was the most common pathogen among the BHS cases. Overall, IE caused by BHS represented 3.1% of all the IE episodes. These findings show that BHS IE is an aggressive disease characterized by an acute presentation and higher rates of stroke, systemic emboli, and in-hospital mortality than those of the viridans group streptococci IE.
One of the primary challenges is the lack of comprehensive data on the clinical presentation, therapy, and outcomes of S. equi-related IE.
Our goal is to address these gaps by presenting a detailed case report of an immunocompetent patient and conducting a literature review to summarize the clinical characteristics, treatment approaches, and outcomes of this specific zoonotic infection.
2. Materials and Methods
We conducted a literature review of the cases of infective endocarditis caused by S. equi spp.
Bibliographic research was carried out on the PubMed, ScienceDirect, Google Scholar, ResearchGate, and Jstor Databases on 1 September 2024 by seeking combinations of the following keywords: “Streptococcus equi” and “Endocarditis”. We included articles written in all languages and excluded case reports with insufficient key elements, such as detailed clinical characteristics, demographic data, therapeutic approaches, or patient outcomes. Table 1 reports the clinical cases.
Table 1.
Published cases of infective endocarditis due to Streptococcus equi spp.
Based on the above-mentioned criteria, we selected 21 articles describing 24 patients with endocarditis caused by S. equi. Including our patient, a total of 25 patients were counted in analyses. The first study was published in 1982, and the last one in September 2023. S. equi endocarditis was reported in 12 countries: 11 from North and South America, 12 from Europe, 1 from Australia, and 1 from Turkey. Twenty studies described only 1 case, while one study described 4 cases. Seventeen articles were written in English, three in Spanish, and one in Turkish. Three articles were posters, while eighteen were published in scientific journals.
3. Case Report Description
On 12 May 2024, a 62-year-old male presented to the emergency department in a tertiary care hospital in Central–Northern Italy, with intermittent high fever, a cough, and reporting memory deficits and confusion.
Past medical history included hypertension and hypercholesterolemia. His symptoms started two weeks before and had worsened despite taking self-administered medications.
Initial laboratory investigation showed a white blood cell (WBC) count of 16,730/mm3 (92% neutrophils); the C-reactive protein concentration (CRP) was 23.3 mg/dL (normal < 0.7 mg/dL).
After brain computed tomography (CT), which showed no parenchymal lesions of hemorrhagic or ischemic origin, lumbar puncture was performed. The cerebrospinal fluid (CSF) obtained was slightly turbid, with a WBC count of 351/mm3 and with clear neutrophil prevalence, a glucose level of 31 mg/dL, and a protein level of 145 mg/dL (normal 20 mg/dL to 50 mg/dL). Then, empiric therapy for bacterial meningitis was started, including 2 g IV ceftriaxone every 12 h, 3 g IV Ampicillin every 8 h, and 10 g IV dexamethasone every 6 h, pending the results of Gram stain and culture. PCR FilmArray performed on CSF was negative.
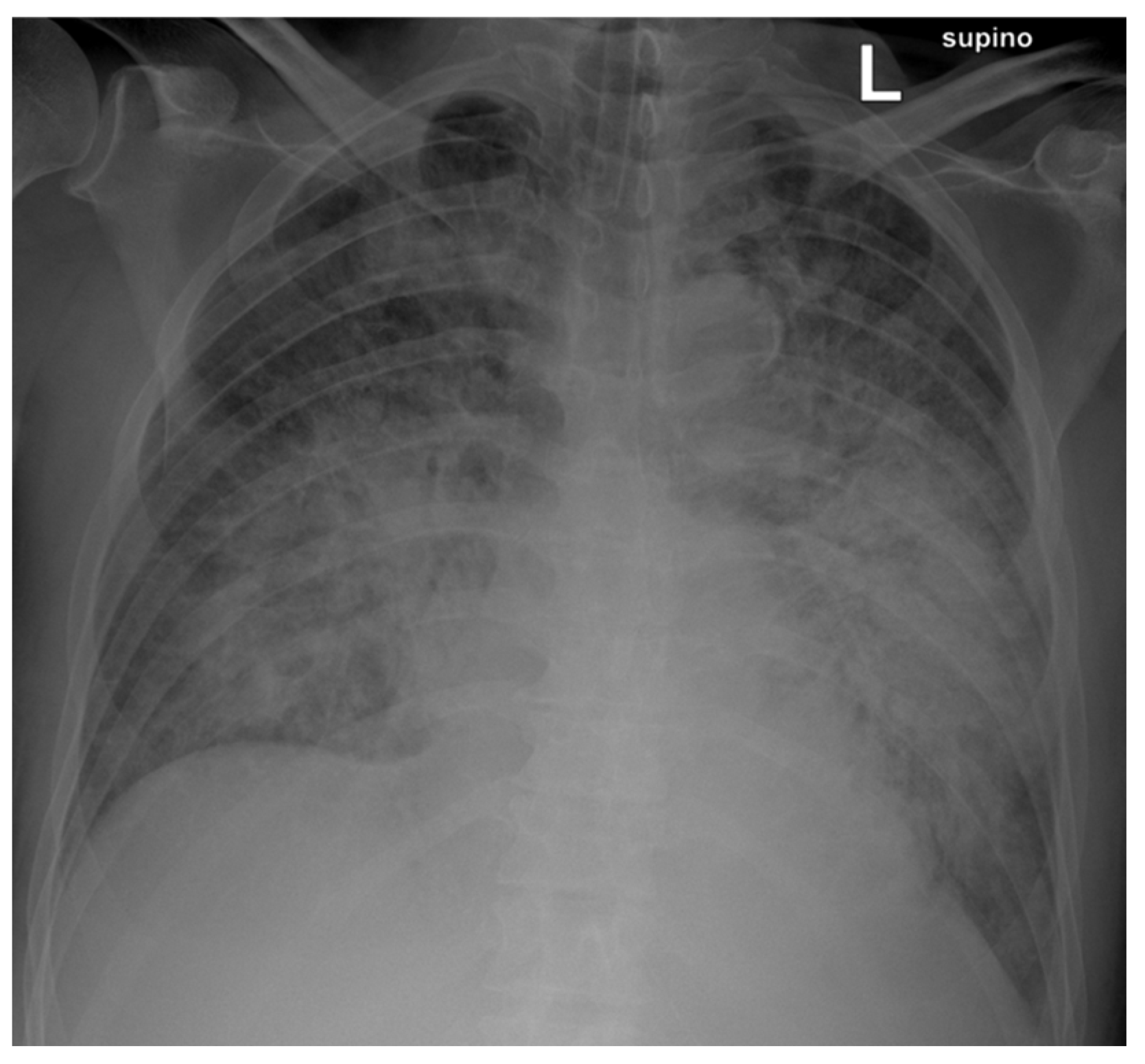
Two days after admission, the patient was transferred to the intensive care unit due to acute pulmonary edema and consequent worsening respiratory dynamics and underwent intubation and mechanical ventilation. Levofloxacin 750 mg was empirically administered for pneumonia (Figure 1).
Figure 1.
Chest X-ray shows multiple bilaterally diffused areas of predominantly perihilar interstitial–alveolar involvement, with near-complete opacification of both lungs.
The same day, transthoracic and transesophageal echocardiograms (TTEs and TOEs) showed large-scale vegetation on the aortic valve (8.63 mm × 18.48 mm), with concomitant severe aortic insufficiency and cusp perforation consistent with the diagnosis of IE (Figure 2).
Figure 2.
TTE reveals mobile vegetation on aortic valve measuring (a) 8.63 mm and (b) 18.48 mm. Left Ventricle (LV), Ascending Aorta (AsAo).
Blood cultures drawn on admission reported Gram-positive coccus chain growth in 9 h. Matrix-assisted laser desorption ionization–time-of-flight mass spectrometry (MALDI-TOF MS) was performed, and SEZ was identified in both the CSF and aerobic and anaerobic blood cultures bottles.
The pathogen was susceptible to β-lactams, fluoroquinolones, glycopeptides, linezolid, and rifampin, but was resistant to macrolides, tetracyclin, co-trimoxazole, and clindamycin. The follow-up blood cultures obtained after 48 h of treatment were negative.
Antibiotic therapy was tailored according to susceptibility testing to 3 g cefotaxime every 6 h and 5 mg/kg/day gentamicin.
On day 2 of hospitalization, the patient underwent urgent aortic valve replacement with a 23 mm Edwards Resilia biological prosthesis. Recovery after cardiac surgery was uneventful, and valve culture remained negative.
Cefotaxime was continued at 3 g four times a day, and gentamicin was discontinued after 2 weeks.
The thoraco-abdominal CT scan with contrast performed on day 17 post admission showed normal findings post-aortic valve replacement, no further valve vegetation, and no focal lesions in the liver, spleen, pancreas, kidneys, or adrenals.
Follow-up TOE showed a well-functioning prosthetic valve and preserved systolic function, with an ejection fraction of 55%.
Thus, the patient was discharged 19 days after admission; antibiotic therapy was administered orally with 600 mg linezolid every 12 h for an additional two weeks.
The patient reported owning a horse, and upon further questioning, revealed that he had administered aerosol therapy on his horse for upper respiratory symptoms some weeks before admission.
Therefore, the case was reported to the veterinary public health surveillance service for further investigation. No additional regulatory actions were required, as the infection is not classified as a transmissible animal disease according to the “Animal Health Law” (Regulation (EU) 2016/429) [41].
4. Literature Review
4.1. Demographic and Clinical Characteristics of the Cases Reviewed
Table 2 summarizes the demographic characteristics of the 25 patients with IE, the amount of multifocal infections, the valves affected, the diagnostic approaches, the antibiotic therapy (ABT) administrated, the frequency of heart valve replacement, their outcome of acute infection, and the presence of long-term injury.
Table 2.
Patient demographics and infection characteristics of 25 cases of St. equi endocarditis described in literature.
Nineteen (76.0%) patients were male, with a mean age of 65 years (IQR 57–73). IE was caused by SEZ in twenty (88.0%) cases and by SER in two (8.0%) cases, while in one case (4.0%), the subspecies could not be established. We analyzed the source of infection among the case reports.
On admission, the patients had an average C-reactive protein (CRP) level of 279.5 mg/L and an average white blood cell (WBC) count of 13.5 × 103 cells/mm3.
All the patients (n = 25, 100%) had positive blood cultures for S. equi. However, only one patient had a positive valve culture, while another patient had a negative valve culture, but was positive in molecular testing.
4.2. Risk Factors and Comorbidities
The analysis of potential risk factors revealed that fourteen patients (60.0%) had contact (direct or undirect) with horses, while in seven cases (28.0%), the consumption of unpasteurized milk or dairy products was not reported as the main risk factor for transmission. In three cases, it was not possible to identify any potential infectious source.
The cohort exhibited a moderate level of comorbidity, with a mean Charlson Comorbidity Index (CCI) of 2.72 [42].
Nine patients (36.0%) suffered from hypertension, but otherwise showed a low prevalence for other pre-existing diseases, such as diabetes mellitus (n = 2, 8.0%) or chronic kidney disease (n = 2, 8.0).
On the other hand, in almost one third of the patients (n = 8, 32.0%), a high-risk condition was observed, such as prosthetic valve replacement [43,44] (n = 6, 24.0%), and other predisposing factors, like congenital valve anomalies (n = 1, 4.0%) and rheumatic heart disease (n = 1, 4%) [45,46].
4.3. Multifocal Infections and Valve Involvement
Sixteen (64.0%) patients had multi-site infections, with at least one organ affected. Pneumonia (n = 9, 36.0%), meningitis (n = 7, 28.0%), arthritis (n = 3, 12.0%) and spondylodiscitis (n = 3, 12.0%) were the most common multifocal infections.
Regarding the clinical features of S. equi spp. IE, the aortic valve was affected in fifteen (60.0%) cases, and the mitral valve in six (24.0%). Septic emboli were present in 14 (56.0%) patients.
4.4. Antibiotic Therapy and Outcomes
Combination ABT was the most common treatment approach (n = 18, 72%), and Benzylpenicillin (PenG) was the most commonly prescribed ABT in 26.8% of the total prescriptions, followed by a third-generation cephalosporin (CEP) in 24.3%.
Concerning simultaneous antibiotic administration, gentamicin was prescribed a total of ten times (24.3%), and half of the prescriptions (n = 5, 50.0%) were given in combination with PenG.
The median duration of antibiotic treatment was 6 weeks, with a range of 4–16 weeks. Valve replacement surgery was performed in eight (32.0%) cases.
The mortality rate was 20%, while six (24.0%) survivors had residual injuries, and nine (36.0%) survived without any sequelae.
5. Discussion
To the best of our knowledge, this is the first S. equi spp. IE literature review.
When comparing the characteristics of our study population with the Danish cohort studied by Chamat-Hedemand [47], which investigated the prevalence of infective endocarditis in 6506 cases of streptococcal bloodstream infections (BSIs), our sample, although significantly smaller, shows a slightly lower mean age (65.5 vs. 68.1 years).
Furthermore, S. equi spp. IE compared to that in the Danish study exhibits a marked male predominance (76.0% vs. 52.8%). This pronounced difference is likely due to occupational exposure, as men are more frequently involved in activities that involve contact with horses, such as those occurring in stables or rural settings.
Indeed, our literature review, as well as our case report, clearly indicates that this zoonosis is closely associated with contact with animals (predominantly livestock) or the consumption of unpasteurized dairy products.
Nearly all IE cases caused by S. equi are attributable to SEZ, consistent with the literature reports highlighting the greater pathogenicity of this subspecies compared to that of others due to several virulence factors that contribute to invasive diseases [10].
Another aspect to highlight in our literature review is that the patients had a moderately average Charlson Comorbidity Index and few other pre-existing conditions, indicating that they were mostly healthy individuals.
However, it is clear that S. equi IE follows the typical pathogenesis of endocarditis; a significant portion of the subjects had pre-existing valvular abnormalities, which represent locus minoris resistentiae and facilitate the adherence of S. equi bacteremia to the endothelial surface [20].
Furthermore, our literature review demonstrates that S. equi, similar to other Gram-positive cocci, such as S. aureus [48] and S. gallolyticus [49], possesses a wide array of virulence and adhesiveness mechanisms. In fact, approximately two out of three patients in our review presented with concomitant S. equi infection in another organ in addition to endocarditis.
Regardless of the portal of entry, pneumonia is the most frequently observed multifocal infection in cases of S. equi IE. Moreover, consistent with the other literature data regard BHS IE [21], S. equi shares with them greatly pathogenic characteristics, and septic emboli were observed in more than half of our study populations. The excessive rates of systemic embolization and congestive heart failure in BHS IE suggests that early surgery may be important to prevent the progression of disease [21].
In 12 out of 25 cases, diagnosis was made using TTE. However, it is important to note that in three cases, which represents 20% of the total TTE incidences in our literature review, were negative. In these instances of the strong suspicion of IE, diagnosis was ultimately confirmed through TOE.
According to the literature, TTE demonstrates low sensitivity, but good specificity as compared with those of TOE when evaluating IE, particularly in cases involving prosthetic valves [47,50,51]. As recommended in the 2023 ESC Guidelines [51], our findings confirm the role of TOE when the TTE results are inconclusive and in patients with a negative TTE and a strong suspicion of IE.
The antibiotic treatment of BHS IE is similar to that of oral streptococci, except that short-term 2-week therapy is not recommended, and gentamicin should be given for 2 weeks. The treatment in our literature review aligned with the 2023 ESC Guidelines [18] as PenG and third-generation CEP were the primary antibiotics prescribed in the case reports.
In our case, the strain was fully susceptible to penicillin, but given concomitant meningitis, PenG was avoided because of its poor penetration into the CSF, and we replaced it with third-generation CEP [52]. Gentamicin was administered for two weeks to synergize with the cell wall inhibitors for bactericidal activity. Surgery contributed by removing the infected material.
In adherence with the POET trial [53], our strategy involved step-down outpatient oral antibiotic treatment once the patient was clinically stable and the follow-up TOE was negative.
This case report represents the first documented instance of S. equi IE successfully treated with step-down oral therapy using linezolid tablets.
This choice was determined due to its status as one of the few oral agents fully effective against both the strains isolated from the CSF and blood.
Furthermore, our choice of linezolid was based on its pharmacokinetic/pharmacodynamic properties. Although it is a bacteriostatic antibiotic, its small molecular size and moderate lipophilicity allow for good tissue distribution [54]. Considering the multifocal dissemination described in our case report, our goal was to maintain adequate drug concentrations in all the tissues throughout the entire duration of antibiotic therapy.
Our strategy was effective; the infection was effectively treated, and the follow-up visits revealed the complete eradication of infection. The treatment successfully cured IE, pneumonia, and meningitis.
6. Conclusions
Of all the group C streptococcal subspecies, SEZ is probably the most aggressive human pathogen, and several outbreaks and sporadic cases of severe infection due to this microorganism have been reported. In most cases, SEZ leads to fulminant infection.
SEZ represents a significant zoonotic threat, particularly for individuals who undergo occupational or environmental exposure to horses or unpasteurized dairy products. This case report highlights the importance of timely diagnosis and treatment to prevent severe outcomes, such as multi-site infections and valvular damage. Early recognition and the appropriate use of antibiotics, along with surgical intervention when necessary, are crucial for patients’ recovery.
Finally, our case report suggests that linezolid is an effective option for oral switch therapy after initial intravenous treatment in streptococcal IE, providing adequate coverage and tissue penetration in the case of multifocal infections.
Further studies are needed to improve our understanding of the clinical management of such rare, but serious infections.
Author Contributions
Conceptualization, G.F. and A.S.; methodology, G.F. and A.S.; investigation, G.F.; resources, M.M. (Marianna Meschiari) and C.M.; data curation, G.F.; contribution to data collection, clinical management of the patient and data interpretation, G.F., A.S., M.S., M.M. (Matteo Mantovani), F.P. and M.D.; writing—original draft preparation, G.F. and A.S.; writing—review and editing, M.M. (Marianna Meschiari); supervision, M.M. (Marianna Meschiari), A.B. and C.M. All authors have read and agreed to the published version of the manuscript.
Funding
This research received no external funding.
Data Availability Statement
The data presented in this study are available on request from the corresponding author due to privacy restrictions.
Conflicts of Interest
The authors declare no conflicts of interest.
References
- Timoney, J.F. The pathogenic equine streptococci. Vet. Res. 2004, 35, 397–409. [Google Scholar] [CrossRef] [PubMed]
- Fernández, E.; Blume, V.; Garrido, P.; Collins, M.D.; Mateos, A.; Domínguez, L.; Fernandez-Garayzabal, J.F. Streptococcus equi subsp. ruminatorum subsp. nov., isolated from mastitis in small ruminants. Int. J. Syst. Evol. Microbiol. 2004, 54, 2291–2296. [Google Scholar] [PubMed]
- Marchandin, H.; Jumas-Bilak, E.; Boumzebra, A.; Vidal, D.; Jonquet, O.; Corne, P. Fatal Streptococcus equi subsp. ruminatorum Infection in a Man. Emerg. Infect. Dis. 2007, 13, 1964–1966. [Google Scholar] [CrossRef] [PubMed]
- Beres, S.B.; Sesso, R.; Pinto, S.W.L.; Hoe, N.P.; Porcella, S.F.; DeLeo, F.R.; Musser, J.M. Genome Sequence of a Lancefield Group C Streptococcus zooepidemicus Strain Causing Epidemic Nephritis: New Information about an Old Disease. PLoS ONE 2008, 3, e3026. [Google Scholar] [CrossRef]
- Soedarmanto, I.; Pasaribu, F.H.; Wibawan, I.W.; Lämmler, C. Identification and molecular characterization of serological group C streptococci isolated from diseased pigs and monkeys in Indonesia. J. Clin. Microbiol. 1996, 34, 2201–2204. [Google Scholar] [CrossRef]
- Las Heras, A.; Vela, A.I.; Fernández, E.; Legaz, E.; Domínguez, L.; Fernández-Garayzábal, J.F. Unusual Outbreak of Clinical Mastitis in Dairy Sheep Caused by Streptococcus equi subsp. zooepidemicus. J. Clin. Microbiol. 2002, 40, 1106–1108. [Google Scholar] [CrossRef]
- Chalker, V.J.; Brooks, H.W.; Brownlie, J. The association of Streptococcus equi subsp. zooepidemicus with canine infectious respiratory disease. Vet. Microbiol. 2003, 95, 149–156. [Google Scholar] [CrossRef]
- Pelkonen, S.; Lindahl, S.B.; Suomala, P.; Karhukorpi, J.; Vuorinen, S.; Koivula, I.; Väisänen, T.; Pentikäinen, J.; Autio, T.; Tuuminen, T. Transmission of Streptococcus equi Subspecies zooepidemicus Infection from Horses to Humans. Emerg. Infect. Dis. 2013, 19, 1041–1048. [Google Scholar] [CrossRef]
- Edwards, A.T.; Roulson, M.; Ironside, M.J. A milk-borne outbreak of serious infection due to Streptococcus zooepidemicus (Lancefield Group C). Epidemiol. Infect. 1988, 101, 43–51. [Google Scholar] [CrossRef]
- Bordes-Benítez, A.; Sánchez-Oñoro, M.; Suárez-Bordón, P.; García-Rojas, A.J.; Saéz-Nieto, J.A.; González-García, A.; Álamo-Antúnez, I.; Sánchez-Maroto, A.; Bolaños-Rivero, M. Outbreak of Streptococcus equi subsp. zooepidemicus infections on the island of Gran Canaria associated with the consumption of inadequately pasteurized cheese. Eur. J. Clin. Microbiol. Infect. Dis. 2006, 25, 242–246. [Google Scholar] [CrossRef]
- Kuusi, M.; Lahti, E.; Virolainen, A.; Hatakka, M.; Vuento, R.; Rantala, L.; Vuopio-Varkila, J.; Seuna, E.; Karppelin, M.; Hakkinen, M.; et al. An outbreak of Streptococcus equi subspecies zooepidemicusassociated with consumption of fresh goat cheese. BMC Infect. Dis. 2006, 6, 36. [Google Scholar] [CrossRef] [PubMed]
- Yuen, K.Y. Streptococcus zooepidemicus (Lancefield group C) septicaemia in Hong Kong. J. Infect. 1990, 21, 241–250. [Google Scholar] [CrossRef] [PubMed]
- Bosica, S.; Chiaverini, A.; De Angelis, M.E.; Petrini, A.; Averaimo, D.; Martino, M.; Rulli, M.; Saletti, M.A.; Cantelmi, M.C.; Ruggeri, F.; et al. Severe Streptococcus equi Subspecies zooepidemicus Outbreak from Unpasteurized Dairy Product Consumption, Italy. Emerg. Infect. Dis. 2023, 29, 1020–1024. [Google Scholar] [CrossRef] [PubMed]
- Friederichs, J.; Hungerer, S.; Werle, R.; Militz, M.; Bühren, V. Human bacterial arthritis caused by Streptococcus zooepidemicus: Report of a case. Int. J. Infect. Dis. 2010, 14, e233–e235. [Google Scholar] [CrossRef][Green Version]
- Høyer-Nielsen, A.K.; Gaini, S.; Kjerulf, A.; Kollslíð, R.; Steig, T.A.; Stegger, M.; Joanesarson, J. Sepsis, Endocarditis, and Purulent Arthritis due to a Rare Zoonotic Infection with Streptococcus equi subspecies zooepidemicus. Case Rep. Infect. Dis. 2018, 2018, 3265701. [Google Scholar] [CrossRef]
- Francis, A.J.; Nimmo, G.R.; Efstratiou, A.; Galanis, V.; Nuttall, N. Investigation of milk-borne Streptococcus zooepidemicus infection associated with glomerulonephritis in Australia. J. Infect. 1993, 27, 317–323. [Google Scholar] [CrossRef]
- Fowler, V.G.; Durack, D.T.; Miro, J.M. The 2023 Duke-International Society for Cardiovascular Infectious Diseases Criteria for Infective Endocarditis: Updating the Modified Duke Criteria. Clin. Infect. Dis. 2023, 77, 518–526. [Google Scholar] [CrossRef]
- Delgado, V.; Marsan, N.A.; Waha, S.; Bonaros, N.; Brida, M.; Burri, H.; Caselli, S.; Doenst, T.; Ederhy, S.; Erba, P.A.; et al. ESC Scientific Document Group, 2023 ESC Guidelines for the management of endocarditis: Developed by the task force on the management of endocarditis of the European Society of Cardiology (ESC) Endorsed by the European Association for Cardio-Thoracic Surgery (EACTS) and the European Association of Nuclear Medicine (EANM). Eur. Heart J. 2023, 44, 3948–4042. [Google Scholar]
- Murdoch, D.R. Clinical Presentation, Etiology, and Outcome of Infective Endocarditis in the 21st Century: The International Collaboration on Endocarditis–Prospective Cohort Study. Arch. Intern. Med. 2009, 169, 463. [Google Scholar] [CrossRef]
- Habib, G.; Erba, P.A.; Iung, B.; Donal, E.; Cosyns, B.; Laroche, C.; Popescu, B.A.; Prendergast, B.; Tornos, P.; Sadeghpour, A.; et al. Clinical presentation, aetiology and outcome of infective endocarditis. Results of the ESC-EORP EURO-ENDO (European infective endocarditis) registry: A prospective cohort study. Eur. Heart J. 2019, 40, 3222–3232. [Google Scholar] [CrossRef]
- Fernández Hidalgo, N.; Gharamti, A.A.; Aznar, M.L.; Almirante, B.; Yasmin, M.; Fortes, C.Q.; Plesiat, P.; Doco-Lecompte, T.; Rizk, H.; Wray, D.; et al. Beta-Hemolytic Streptococcal Infective Endocarditis: Characteristics and Outcomes from a Large, Multinational Cohort. Open Forum Infect. Dis. 2020, 7, ofaa120. [Google Scholar] [CrossRef] [PubMed]
- Lefort, A.; Lortholary, O.; Casassus, P.; Selton-Suty, C.; Guillevin, L.; Mainardi, J.L.; β-Hemolytic Streptococci Infective Endocarditis Study Group. Comparison Between Adult Endocarditis Due to β-Hemolytic Streptococci (Serogroups A, B, C, and G) and Streptococcus milleri. Arch. Intern. Med. 2002, 162, 2450–2456. [Google Scholar] [CrossRef] [PubMed]
- Bradley, S.F.; Gordon, J.J.; Baumgartner, D.D.; Marasco, W.A.; Kauffman, C.A. Group C Streptococcal Bacteremia: Analysis of 88 Cases. Clin. Infect. Dis. 1991, 13, 270–280. [Google Scholar] [CrossRef] [PubMed]
- Arif, M.; Akram, A.; Rashid, M. Strangled Heart: A Rare Case of Streptococcus equi Endocarditis. Chest 2023, 164, A614–A615. [Google Scholar] [CrossRef]
- Ricardo, L.S.; Pasiminio, J.C.; Castell, C.D.; Amor, C.S.; Hurtado, A.J.A.; Pérez, T.A. Endocarditis Por Streptococcus equi: Un Caso Clinico Streptococcus equi Endocarditis: A Clinical Case. Arch. Med. 2022, 18, 2. [Google Scholar]
- Elde, S.F.T.; Guenthart, B.A.; de Biasi, A.; Dalal, A.R.; Casselman, K.G.; Hiesinger, W.; Burton, É.C. Type A Aortic Dissection with Concurrent Aortic Valve Endocarditis, Subarachnoid Hemorrhage, and Disseminated Intravascular Coagulation. JACC Case Rep. 2022, 4, 839–843. [Google Scholar] [CrossRef]
- Gilbert, N.; Kennedy, R.; Hastings, A. Prosthetic Valve Endocarditis Caused by Strep Equi. Chest 2021, 160, A181. [Google Scholar] [CrossRef]
- Garcia, E.; Zuluaga, M. Disseminated Streptococcus equi subspecies zooepidermicus infection in an immunocompetent patient. Med. Clínica (Engl. Ed.) 2020, 155, 368–369. [Google Scholar] [CrossRef]
- Sleutjens, J.; Meijer, D.; Meregalli, P.G.; Bakker, L.; Wagenaar, J.A.; Duim, B.; Zomer, A. Zoonotic Endocarditis in a Man, the Netherlands. Emerg. Infect. Dis. 2019, 25, 180–182. [Google Scholar] [CrossRef]
- Chang, A.; Webster, D. An Atlantic Canada case of disseminated Streptococcus equi subspecies zooepidemicus infection. Off. J. Assoc. Med. Microbiol. Infect. Dis. Can. 2018, 3, 238–243. [Google Scholar] [CrossRef]
- Kutlu, M.; Sayın Kutlu, S.; Emrecan, B.; Kocaoğlu, C.; Cevahir, N.; Herek, D. Prosthetic Valve Endocarditis and Disseminated Infection Caused by Streptococcus equi. Klimik Derg. 2018, 31, 61–63. [Google Scholar] [CrossRef]
- Sargsyan, E. Endocarditis with Streptococcus zooepidemicus: Equine zoonotic transmission. J. Hosp. Med. 2017, 12, 702. Available online: https://shmabstracts.org/abstract/endocarditis-with-streptococcus-zooepidemicus-equine-zoonotic-transmission/ (accessed on 15 July 2024).
- Redondo Calvo, F.J.; Valencia Echeverri, J.D.; Esteban Alvarez, V.; González Rodriguez, J.C. Fiebre prolongada por Streptococcus equi spp. zooepidemicus (endocarditis aórtica complicada con aneurisma micótico infrarrenal). Enfermedades Infecc. Microbiol. Clínica 2016, 34, 72–73. [Google Scholar] [CrossRef]
- Daubié, A.S.; Defrance, C.; Renvoisé, A.; Barreda, E.; D’Alessandro, C.; Brossier, F.; Jarlier, V.; Aubry, A. Illustration of the Difficulty of Identifying Streptococcus equi Strains at the Subspecies Level through a Case of Endocarditis in an Immunocompetent Man. J. Clin. Microbiol. 2014, 52, 688–691. [Google Scholar] [CrossRef]
- Villamil, I.; Serrano, M.; Prieto, E. Endocarditis por Streptococcus equi subsp. zooepidemicus. Rev. Chil. Infectol. 2015, 32, 240–241. [Google Scholar] [CrossRef]
- Bîrlu, V.; Bîrlu, M. Endocardita Cu Streptococcus equi Prezentare De Caz. Available online: https://www.amtsibiu.ro/Arhiva/2013/Nr1-ro/Barlutiu_pdf.pdf (accessed on 15 July 2024).
- Meyer, A.; Messer, L.; De Briel, D.; Moreau, P. Second reported case of human infection with Streptococcus equi subsp. ruminatorum. Jt. Bone Spine 2011, 78, 303–305. [Google Scholar] [CrossRef]
- Poulin, M.-F.; Boivin, G. A Case of Disseminated Infection Caused by Streptococcus equi Subspecies zooepidemicus. Can. J. Infect. Dis. Med. Microbiol. 2009, 20, 59–61. [Google Scholar] [CrossRef]
- Lee, A.S.; Dyer, J.R. Severe Streptococcus zooepidemicus infection in a gardener. Med. J. Aust. 2004, 180, 366. [Google Scholar] [CrossRef]
- Martinez-Luengas, F.; Inclan, G.M.; Pastor, A.; Montejo, M.; Barron, J.; Baroja, A.; Aguirre, C. Endocarditis due to Streptococcus zooepidemicus. Can. Med. Assoc. J. 1982, 127, 13. [Google Scholar]
- European Parliament and the Council. EU Investment Protection Law: Article-by-Article Commentary; Bloomsbury Publishing: London, UK, 2023; Available online: http://data.europa.eu/eli/reg/2016/429/oj (accessed on 1 July 2024).
- Charlson, M.E.; Pompei, P.; Ales, K.L.; MacKenzie, C.R. A new method of classifying prognostic comorbidity in longitudinal studies: Development and validation. J. Chronic Dis. 1987, 40, 373–383. [Google Scholar] [CrossRef]
- SaleSalem, M.; Friedrich, C.; Saad, M.; Frank, D.; Salem, M.; Puehler, T.; Schoettler, J.; Schoeneich, F.; Cremer, J.; Haneya, A. Active Infective Native and Prosthetic Valve Endocarditis: Short- and Long-Term Outcomes of Patients after Surgical Treatment. J. Clin. Med. 2021, 10, 1868. [Google Scholar] [CrossRef] [PubMed]
- Luehr, M.; Bauernschmitt, N.; Peterss, S.; Li, Y.; Heyn, O.; Dashkevich, A.; Oberbach, A.; Bagaev, E.; Pichlmaier, M.A.; Juchem, G.; et al. Incidence and Surgical Outcomes of Patients with Native and Prosthetic Aortic Valve Endocarditis. Ann. Thorac. Surg. 2020, 110, 93–101. [Google Scholar] [CrossRef]
- Thornhill, M.H.; Jones, S.; Prendergast, B.; Baddour, L.M.; Chambers, J.B.; Lockhart, P.B.; Dayer, M.J. Quantifying infective endocarditis risk in patients with predisposing cardiac conditions. Eur. Heart J. 2018, 39, 586–595. [Google Scholar] [CrossRef]
- Russell, E.A.; Walsh, W.F.; Costello, B.; McLellan, A.J.A.; Brown, A.; Reid, C.M.; Tran, L.; Maguire, G.P. Medical Management of Rheumatic Heart Disease: A Systematic Review of the Evidence. Cardiol. Rev. 2018, 26, 187–195. [Google Scholar] [CrossRef]
- Chamat-Hedemand, S.; Dahl, A.; Østergaard, L.K.M.; Arpi, M.; Fosbøl, E.; Boel, J.; Oestergaard, L.B.; Lauridsen, T.K.; Gislason, G.; Torp-Pedersen, C.; et al. Prevalence of Infective Endocarditis in Streptococcal Bloodstream Infections Is Dependent on Streptococcal Species. Circulation 2020, 142, 720–730. [Google Scholar] [CrossRef]
- Selton-Suty, C.; Célard, M.; Le Moing, V.; Doco-Lecompte, T.; Chirouze, C.; Iung, B.; Strady, C.; Revest, M.; Vandenesch, F.; Bouvet, A.; et al. Preeminence of Staphylococcus aureus in Infective Endocarditis: A 1-Year Population-Based Survey. Clin. Infect. Dis. 2012, 54, 1230–1239. [Google Scholar] [CrossRef]
- Pasquereau-Kotula, E.; Martins, M.; Aymeric, L.; Dramsi, S. Significance of Streptococcus gallolyticus subsp. gallolyticus Association with Colorectal Cancer. Front. Microbiol. 2018, 9, 614. [Google Scholar] [CrossRef]
- Bai, A.D.; Steinberg, M.; Showler, A.; Burry, L.; Bhatia, R.S.; Tomlinson, G.A.; Bell, C.M.; Morris, A.M. Diagnostic Accuracy of Transthoracic Echocardiography for Infective Endocarditis Findings Using Transesophageal Echocardiography as the Reference Standard: A Meta-Analysis. J. Am. Soc. Echocardiogr. 2017, 30, 639–646.e8. [Google Scholar] [CrossRef]
- Young, W.J.; Jeffery, D.; Hua, A.; Primus, C.; Wani, R.S.; Das, S.; Wong, K.; Uppal, R.; Thomas, M.; Davies, C.; et al. Echocardiography in Patients with Infective Endocarditis and the Impact of Diagnostic Delays on Clinical Outcomes. Am. J. Cardiol. 2018, 122, 650–655. [Google Scholar] [CrossRef]
- Van Ettekoven, C.N.; Van De Beek, D.; Brouwer, M.C. Update on community-acquired bacterial meningitis: Guidance and challenges. Clin. Microbiol. Infect. 2017, 23, 601–606. [Google Scholar] [CrossRef]
- Iversen, K.; Ihlemann, N.; Gill, S.U.; Madsen, T.; Elming, H.; Jensen, K.T.; Bruun, N.E.; Høfsten, D.E.; Fursted, K.; Christensen, J.J.; et al. Partial Oral versus Intravenous Antibiotic Treatment of Endocarditis. N. Engl. J. Med. 2019, 380, 415–424. [Google Scholar] [CrossRef] [PubMed]
- MacGowan, A.P. Pharmacokinetic and pharmacodynamic profile of linezolid in healthy volunteers and patients with Gram-positive infections. J. Antimicrob. Chemother. 2003, 51, ii17–ii25. [Google Scholar] [CrossRef]
Disclaimer/Publisher’s Note: The statements, opinions and data contained in all publications are solely those of the individual author(s) and contributor(s) and not of MDPI and/or the editor(s). MDPI and/or the editor(s) disclaim responsibility for any injury to people or property resulting from any ideas, methods, instructions or products referred to in the content. |
© 2024 by the authors. Licensee MDPI, Basel, Switzerland. This article is an open access article distributed under the terms and conditions of the Creative Commons Attribution (CC BY) license (https://creativecommons.org/licenses/by/4.0/).

