Experimental Infections of Pigs with Japanese Encephalitis Virus Genotype 4
Abstract
1. Introduction
2. Materials and Methods
2.1. Source and Management of Pigs
2.2. Experiment Design
2.3. JEV Infection Challenge
2.4. Laboratory Assays
2.4.1. Real-Time Reverse Transcription PCR (qRT-PCR)
2.4.2. Blocking ELISAs for Antibodies to JEV and Other Flaviviruses
2.4.3. JEV Virus Isolation, Amplification and Titration
2.5. Post-Mortem Examination and Histopathological Evaluation
3. Results
3.1. Acquisition of Pigs and JEV Inoculum
3.2. Clinical Observations
3.3. Onset and Duration of Viraemia
3.4. Detection of JEV RNA in Ante-Mortem and Post-Mortem Samples
3.5. Serological Response
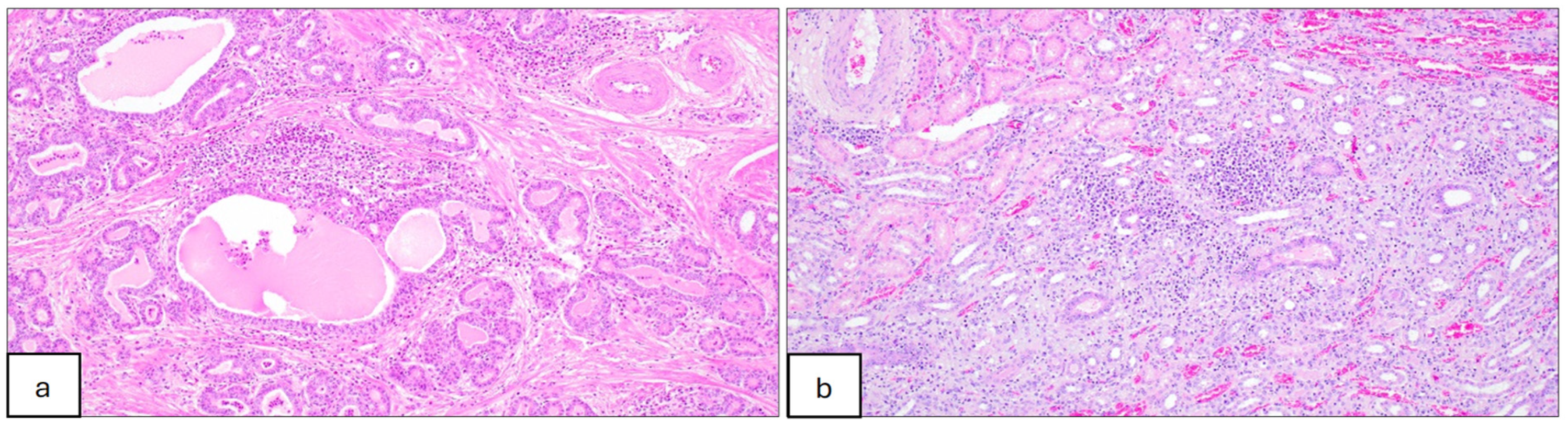
3.6. Pathology
4. Discussion
5. Conclusions
Author Contributions
Funding
Data Availability Statement
Acknowledgments
Conflicts of Interest
References
- Campbell, G.L.; Hills, S.L.; Fischer, M.; Jacobson, J.A.; Hoke, C.H.; Hombach, J.M.; Marfin, A.A.; Solomon, T.; Tsai, T.F.; Tsu, V.D.; et al. Estimated global incidence of Japanese encephalitis: A systematic review. Bull. World Health Organ. 2011, 89, 774a–774e. [Google Scholar] [CrossRef] [PubMed]
- Park, S.L.; Huang, Y.-J.S.; Vanlandingham, D.L. Re-examining the importance of pigs in the transmission of Japanese encephalitis virus. Pathogens 2022, 11, 575. [Google Scholar] [CrossRef] [PubMed]
- Williams, D.T.; Mackenzie, J.S.; Bingham, J. Flaviviruses. Dis. Swine 2019, 33, 530–543. [Google Scholar]
- Hanna, J.N.; Ritchie, S.A.; Hills, S.L.; van den Hurk, A.F.; Phillips, D.A.; Pyke, A.T.; Lee, J.M.; Johansen, C.A.; Mackenzie, J.S. Japanese encephalitis in north Queensland, Australia, 1998. Med. J. Aust. 1999, 170, 533–536. [Google Scholar] [CrossRef]
- Zhang, W.; Yin, Q.; Wang, H.; Liang, G. The reemerging and outbreak of genotypes 4 and 5 of Japanese encephalitis virus. Front. Cell. Infect. Microbiol. 2023, 13, 1292693. [Google Scholar] [CrossRef]
- Mackenzie, J.S.; Williams, D.T.; van den Hurk, A.F.; Smith, D.W.; Currie, B.J. Japanese Encephalitis Virus: The Emergence of Genotype IV in Australia and Its Potential Endemicity. Viruses 2022, 14, 2480. [Google Scholar] [CrossRef]
- Vallis, R.; Byrne, N.; Sanderson, J. Australian Government, Department of Agriculture, Fisheries and Forestry, Emergency Animal Disease Bulletin No. 125. 2022. Available online: https://www.agriculture.gov.au/biosecurity-trade/pests-diseases-weeds/animal/ead-bulletin/ead-bulletin-no-125 (accessed on 23 February 2023).
- Animal Health Australia. Response Strategy: Japanese Encephalitis (Version 5.0). In Australian Veterinary Emergency Plan (AUSVETPLAN), 5th ed.; ACT: Canberra, Australia, 2020. [Google Scholar]
- Cook, H.; Hayes, D.; Myer, S.; Weaver, M.; Wagstrom, L. Potential Impacts of Introduction and Establishment of Japanese Encephalitis Virus in the United States Swine Herd. Swine Health Information Centre. 2023. Available online: https://www.swinehealth.org/wp-content/uploads/2024/03/2024-JEV-Economic-Assessment-SHIC-White-Paper-Final.pdf (accessed on 23 February 2023).
- Zheng, B.; Wang, X.; Liu, Y.; Li, Y.; Long, S.; Gu, C.; Ye, J.; Xie, S.; Cao, S. Japanese Encephalitis Virus infection induces inflammation of swine testis through RIG-I-NF-ĸB signaling pathway. Vet. Microbiol. 2019, 238, 108430. [Google Scholar] [CrossRef] [PubMed]
- Mansfield, K.L.; Hernández-Triana, L.M.; Banyard, A.C.; Fooks, A.R.; Johnson, N. Japanese encephalitis virus infection, diagnosis and control in domestic animals. Vet. Microbiol. 2017, 201, 85–92. [Google Scholar] [CrossRef] [PubMed]
- Furlong, M.; Adamu, A.M.; Hoskins, A.; Russell, T.L.; Gummow, B.; Golchin, M.; Hickson, R.I.; Horwood, P.F. Japanese Encephalitis Enzootic and Epidemic Risks across Australia. Viruses 2023, 15, 450. [Google Scholar] [CrossRef]
- Nah, J.J.; Yang, D.K.; Kim, H.H.; Song, J.Y. The present and future of veterinary vaccines for Japanese encephalitis in Korea. Clin. Exp. Vaccine Res. 2015, 4, 130–136. [Google Scholar] [CrossRef]
- Morita, K.; Nabeshima, T.; Buerano, C.C. Japanese encephalitis. Rev. Sci. Tech. 2015, 34, 441–452. [Google Scholar] [CrossRef] [PubMed]
- Yang, D.K.; Nah, J.J.; Kim, H.H.; Song, J.Y. Inactivated genotype 1 Japanese encephalitis vaccine for swine. Clin. Exp. Vaccine Res. 2014, 3, 212–219. [Google Scholar] [CrossRef] [PubMed]
- Fan, Y.-C.; Chen, J.-M.; Lin, J.-W.; Chen, Y.-Y.; Wu, G.-H.; Su, K.-H.; Chiou, M.-T.; Wu, S.-R.; Yin, J.-H.; Liao, J.-W.; et al. Genotype I of Japanese Encephalitis Virus Virus-like Particles Elicit Sterilizing Immunity against Genotype I and III Viral Challenge in Swine. Sci. Rep. 2018, 8, 7481. [Google Scholar] [CrossRef]
- Kirkland, P.D.; Farrugia, B.; Frost, M.J.; Zhang, C.; Finlaison, D.S. Multiplexed serotype-specific real-time polymerase chain reaction assays—A valuable tool to support large-scale surveillance for bluetongue virus infection. Transbound. Emerg. Dis. 2022, 69, E2590–E2601. [Google Scholar] [CrossRef]
- Shao, N.; Li, F.; Nie, K.; Fu, S.H.; Zhang, W.J.; He, Y.; Lei, W.W.; Wang, Q.Y.; Liang, G.D.; Cao, Y.X.; et al. TaqMan Real-time RT-PCR Assay for Detecting and Differentiating Japanese Encephalitis Virus. Biomed. Environ. Sci. 2018, 31, 208–214. [Google Scholar] [CrossRef]
- Gu, X.; Davis, R.J.; Walsh, S.J.; Melville, L.F.; Kirkland, P.D. Longitudinal study of the detection of Bluetongue virus in bull semen and comparison of real-time polymerase chain reaction assays. J. Vet. Diagn. Investig. 2014, 26, 18–26. [Google Scholar] [CrossRef] [PubMed]
- Read, A.; Finlaison, D.; Gu, X.; Hick, P.; Moloney, B.; Wright, T.; Kirkland, P. Clinical and epidemiological features of West Nile virus equine encephalitis in New South Wales, Australia, 2011. Aust. Vet. J. 2019, 97, 133–143. [Google Scholar] [CrossRef]
- Harrison, J.J.; Nguyen, W.; Morgan, M.S.; Tang, B.; Habarugira, G.; de Malmanche, H.; Freney, M.E.; Modhiran, N.; Watterson, D.; Cox, A.L.; et al. An Australian genotype IV Japanese encephalitis virus chimeric vaccine protects mice against lethal challenge. NPJ Vaccines 2024, 9, 134. [Google Scholar] [CrossRef]
- Gould, E.A.; Buckley, A.; Higgs, S.; Sy, G. Antigenicity of flaviviruses. In Hemorrhagic Fever with Renal Syndrome, Tick- and Mosquito-Borne Viruses; Archives of Virology Supplementum; Springer: Vienna, Austria, 1990; pp. 137–152. [Google Scholar]
- Higgs, S.; Gould, E.A. Differences in fusogenicity and mouse neurovirulence of Japanese encephalitis viruses. Arch. Virol. 1991, 119, 119–133. [Google Scholar] [CrossRef]
- Hawkes, R.A.; Roehrig, J.T.; Boughton, C.R.; Naim, H.M.; Orwell, R.; Anderson-Stuart, P. Defined epitope blocking with Murray Valley encephalitis virus and monoclonal antibodies: Laboratory and field studies. J. Med. Virol. 1990, 32, 31–38. [Google Scholar] [CrossRef]
- Kirkland, P.D.; MacKintosh, S.G. Australian and New Zealand Standard Diagnostic Procedure (ANZSDP). Ruminant Pestivirus Infections. 2006. Available online: https://www.agriculture.gov.au/agriculture-land/animal/health/laboratories/procedures/anzsdp/pestiviruses (accessed on 23 February 2023).
- Nguyen, W.; Gyawali, N.; Stewart, R.; Tang, B.; Cox, A.L.; Yan, K.; Larcher, T.; Bishop, C.R.; Wood, N.; Devine, G.J.; et al. Characterisation of a Japanese Encephalitis virus genotype 4 isolate from the 2022 Australian outbreak. NPJ Viruses 2024, 2, 15. [Google Scholar] [CrossRef]
- Lyons, A.C.; Huang, Y.-J.S.; Park, S.L.; Ayers, V.B.; Hettenbach, S.M.; Higgs, S.; McVey, D.S.; Noronha, L.; Hsu, W.-W.; Vanlandingham, D.L. Shedding of Japanese Encephalitis Virus in Oral Fluid of Infected Swine. Vector-Borne Zoonotic Dis. 2018, 18, 469–474. [Google Scholar] [CrossRef] [PubMed]
- Ricklin, M.E.; García-Nicolás, O.; Brechbühl, D.; Python, S.; Zumkehr, B.; Nougairede, A.; Charrel, R.N.; Posthaus, H.; Oevermann, A.; Summerfield, A. Vector-free transmission and persistence of Japanese encephalitis virus in pigs. Nat. Commun. 2016, 7, 10832. [Google Scholar] [CrossRef]
- Ricklin, M.E.; Garcìa-Nicolàs, O.; Brechbühl, D.; Python, S.; Zumkehr, B.; Posthaus, H.; Oevermann, A.; Summerfield, A. Japanese encephalitis virus tropism in experimentally infected pigs. Vet. Res. 2016, 47, 34. [Google Scholar] [CrossRef]
- Park, S.L.; Huang, Y.-J.S.; Lyons, A.C.; Ayers, V.B.; Hettenbach, S.M.; McVey, D.S.; Burton, K.R.; Higgs, S.; Vanlandingham, D.L. North American domestic pigs are susceptible to experimental infection with Japanese encephalitis virus. Sci. Rep. 2018, 8, 7951. [Google Scholar] [CrossRef] [PubMed]
- Bjustrom-Kraft, J.; Christopher-Hennings, J.; Daly, R. The use of oral fluid diagnostics in swine medicine. J. Swine Helath Prod. 2018, 26, 262–269. [Google Scholar] [CrossRef]
- Yamada, M.; Nakamura, K.; Yoshii, M.; Kaku, Y. Nonsuppurative Encephalitis in Piglets after Experimental Inoculation of Japanese Encephalitis Flavivirus Isolated from Pigs. Vet. Pathol. 2004, 41, 62–67. [Google Scholar] [CrossRef]
- Williams, D.T.; Daniels, P.W.; Lunt, R.A.; Wang, L.F.; Newberry, K.M.; Mackenzie, J.S. Experimental infections of pigs with Japanese encephalitis virus and closely related Australian flaviviruses. Am. J. Trop. Med. Hyg. 2001, 65, 379–387. [Google Scholar] [CrossRef]
- Makino, Y.; Tadano, M.; Saito, M.; Maneekarn, N.; Sittisombut, N.; Sirisanthana, V.; Poneprasert, B.; Fukunaga, T. Studies on serological cross-reaction in sequential flavivirus infections. Microbiol. Immunol. 1994, 38, 951–955. [Google Scholar] [CrossRef]
- Pham, D.; Howard-Jones, A.R.; Hueston, L.; Jeoffreys, N.; Doggett, S.; Rockett, R.J.; Eden, J.-S.; Sintchenko, V.; C-A. Chen, S.; O’Sullivan, M.V.; et al. Emergence of Japanese encephalitis in Australia: A diagnostic perspective. Pathology 2022, 54, 669–677. [Google Scholar] [CrossRef]



| Age at Challenge | Challenge Method | Dose of JEV (TCID50/Pig) | No. Infected/No. Challenged | End-Trial Day (n) | Samples | Indicator of JEV Infection (n) | ||
|---|---|---|---|---|---|---|---|---|
| Viraemia | Tonsil a | Seroconversion | ||||||
| 5 weeks | Intradermal | 1 × 105.5 | 4/4 | 10 (2), 28 (2) | Oral and nasal swabs (Days 1–10) EDTA blood (Days 1–10) Serum (every 7 days) Oral fluid, tissues | 4 | 4 (1/2) | 4 |
| 1 × 104.5 | 5/5 | 10 (1), 28 (4) | 5 | 4 (2/4) | 5 | |||
| Nasal | 1 × 105.5 | 3/4 | 10 (2), 28 (2) | 3 | 3 (1/1) | 3 | ||
| 1 × 104.5 | 1/5 | 10 (1), 28 (4) | 1 | 1 | 1 | |||
| None | No JEV | 0/9 | n/t | Serum (every 7 days) | n/t | n/t | n/t | |
| 11 weeks | Intradermal | 1 × 105.0 | 9/9 | 19 (9) | EDTA blood (Days 1–8, 10, 12, 14), serum (every 7 days) Oral fluid, tissues | 9 | 9 (9) | 9 |
| Control | - | 0/9 | 23 (3) | 0 | 0 | 0 | ||
| Challenge Method | Age at Challenge | Dose of JEV (TCID50/Pig) | Pig No. | Day 0 | Day 1 | Day 2 | Day 3 | Day 4 | Day 5 | Day 6 | Day 7 | Day 8 | Day 9 | Day 10 |
|---|---|---|---|---|---|---|---|---|---|---|---|---|---|---|
| Intradermal | 5 weeks | 1 × 104.5 | 1 | Neg | Neg | 34.2 | 35.6 | 34.4 | 35.7 | Neg | Neg | Neg | Neg | Neg |
| 2 | Neg | Neg | 35.0 | 29.3 | 35.1 | Neg | Neg | Neg | Neg | Neg | Neg | |||
| 3 | Neg | 36.9 | 32.1 | 29.0 | 37.3 | Neg | 36.3 | Neg | Neg | Neg | Neg | |||
| 4 | Neg | Neg | 31.9 | 28.8 | 32.4 | Neg | Neg | Neg | Neg | Neg | Neg | |||
| 5 | Neg | Neg | 29.9 | 29.0 | Neg | Neg | Neg | Neg | Neg | Neg | Neg | |||
| 1 × 105.5 | 6 | Neg | 34.4 | 30.0 | 28.6 | 30.9 | 37.2 | Neg | Neg | Neg | Neg | Neg | ||
| 7 | Neg | Neg | Neg | 36.2 | 34.3 | 33.9 | Neg | Neg | Neg | Neg | Neg | |||
| 8 | Neg | Neg | 32.0 | 30.2 | 33.4 | Neg | Neg | Neg | Neg | Neg | Neg | |||
| 9 | Neg | Neg | 32.1 | 28.1 | 30.8 | 36.1 | Neg | Neg | Neg | Neg | Neg | |||
| 11 weeks | 1 × 105.0 | 10 | Neg | Neg | Neg | 31.0 | 32.9 | 34.6 | Neg | 36.6 | Neg | Neg | Neg | |
| 11 | Neg | Neg | Neg | 36.0 | 32.9 | 37.0 | Neg | Neg | Neg | Neg | Neg | |||
| 12 | Neg | Neg | Neg | 35.2 | 33.1 | 36.7 | Neg | Neg | Neg | Neg | Neg | |||
| 13 | Neg | Neg | Neg | 33.7 | 35.0 | Neg | Neg | Neg | Neg | Neg | Neg | |||
| 14 | Neg | 35.5 | 36.5 | 35.3 | 36.0 | Neg | Neg | Neg | Neg | Neg | Neg | |||
| 15 | Neg | Neg | Neg | Neg | 36.8 | 33.2 | Neg | Neg | Neg | Neg | Neg | |||
| 16 | Neg | Neg | 34.8 | 30.3 | 33.2 | Neg | 36.6 | Neg | Neg | Neg | Neg | |||
| 17 | Neg | Neg | Neg | 33.8 | 34.0 | 35.5 | Neg | Neg | Neg | Neg | Neg | |||
| 18 | Neg | Neg | Neg | 30.2 | 31.2 | Neg | Neg | Neg | Neg | Neg | Neg | |||
| Intranasal | 5 weeks | 1 × 104.5 | 19 | Neg | Neg | Neg | Neg | 36.4 | 33.4 | 33.8 | Neg | Neg | Neg | Neg |
| 20 | Neg | Neg | Neg | Neg | Neg | Neg | Neg | 29.4 | Neg | Neg | Neg | |||
| 21 | Neg | Neg | Neg | Neg | Neg | Neg | 36.3 | Neg | Neg | Neg | Neg | |||
| 22 | Neg | Neg | Neg | Neg | Neg | Neg | Neg | Neg | Neg | Neg | Neg | |||
| 23 | Neg | Neg | Neg | Neg | Neg | Neg | Neg | Neg | Neg | Neg | Neg | |||
| 1 × 105.5 | 24 | Neg | Neg | Neg | Neg | Neg | 31.3 | 28.0 | Neg | 36.2 | Neg | Neg | ||
| 25 | Neg | Neg | 31.0 | 27.8 | Neg | Neg | Neg | Neg | Neg | Neg | Neg | |||
| 26 | Neg | Neg | Neg | Neg | Neg | 31.3 | 29.0 | 33.25 | Neg | 34.7 | Neg | |||
| 27 | Neg | Neg | Neg | Neg | Neg | Neg | Neg | Neg | Neg | Neg | Neg |
| Age at Challenge | Group | Time (Days) | qRT-PCR Result (Ct) | Antibody ELISA | |
|---|---|---|---|---|---|
| Result | (PI) | ||||
| 5 weeks | 12 piglets, 7 infected | 17 | 36.6 | Pos | 74 |
| 18 | Neg | Pos | 84 | ||
| 19 | Neg | Pos | 84 | ||
| 20 | 35.9 | Pos | 84 | ||
| 21 | Neg | Pos | 87 | ||
| 24 | 37.2 | Pos | 92 | ||
| 25 | Neg | Pos | 88 | ||
| 26 | Neg | Pos | 87 | ||
| 27 | Neg | Pos | 86 | ||
| 11 weeks | 9 pigs, all infected | 4 | 35.5 | n/t | n/t |
| 5 | 32.5 | n/t | n/t | ||
| 6 | 32.6 | n/t | n/t | ||
| 7 | 36.2 | n/t | n/t | ||
| 8 | 36.8 | n/t | n/t | ||
| 9 | 33.7 | Pos | 66 | ||
| 10 | Neg | Pos | 76 | ||
| 11 | 35.0 | n/t | n/t | ||
| 12 | Neg | Pos | 61 | ||
| 14 | Neg | Inc | 52 | ||
| 21 | Neg | n/t | n/t | ||
| Challenge Method | Age at Challenge | Days After Challenge | No. of Infected Pigs Examined a | Tonsil | Spleen | Thymus | Kidney | Ileum | Lymph Node | Spinal Cord—Cervical | Prostate | |
|---|---|---|---|---|---|---|---|---|---|---|---|---|
| Mesenteric | Sub-Mandibular | |||||||||||
| Intradermal | 5 weeks | 10 | 3 | 3 | 0 | 0 | 1 | 0 | 1 | 0 | 0 | 0 |
| 28.0–29.7 | - | - | 33.7 | - | 33.7 | - | - | - | ||||
| 28 | 6 | 5 | 0 | 1 | 0 | 1 | 1 | 3 | 1 | 0 | ||
| 25.0–36.3 | - | 32.9 | 34.4 | 36.8 | 33.6–37.3 | 37.0 | - | |||||
| 11 weeks | 19 | 9 | 9 | 0 | 0 | 0 | 0 | n/t | n/t | 2 | 1 | |
| 26.3–34.6 | - | - | - | - | - | - | 36.3–39.4 | 29.2 | ||||
| Intranasal | 5 weeks | 10 | 3 | 3 | 2 | 0 | 0 | 1 | 1 | 0 | 0 | 0 |
| 28.3–32.3 | 33.6–35.7 | - | - | 36.5 | 33.3 | - | - | - | ||||
| Challenge Method | Age at Challenge | Dose of JEV (TCID50/Pig) | Pig No. | Day 0 | Day 3 | Day 5 | Day 6 | Day 7 | Day 8 | Day 9 | Day 10 a | Day 14 | Day 19/21 | Day 28 |
|---|---|---|---|---|---|---|---|---|---|---|---|---|---|---|
| Intradermal | 5 weeks | 1 × 104.5 | 1 | Neg | Neg | 40 | 160 | 640 | 1280 | 1280 | 320a | 640 | 640 | 640 |
| 2 | Neg | Neg | 160 | 1280 | 5120 | 5120 | 2560 | 1280 | 1280 | 1280 | 1280 | |||
| 3 | Neg | Neg | 320 | 1280 | 10,240 | 10,240 | 5120 | 2560 | 2560 | 5120 | 2560 | |||
| 4 | Neg | Neg | 80 | 640 | 2560 | 5120 | 5120 | 1280 | NS | NS | NS | |||
| 5 | Neg | Neg | 320 | 1280 | 10,240 | 5120 | 5120 | 5120 | 640 | 1280 | 2560 | |||
| 1 × 105.5 | 6 | Neg | Neg | 320 | 1280 | 5120 | 2560 | 2560 | 640 | NS | NS | NS | ||
| 7 | Neg | Neg | 20 | 160 | 1280 | 2560 | 2560 | 640 | 640 | 640 | 1280 | |||
| 8 | Neg | Neg | 160 | 1280 | 5120 | 5120 | 2560 | 1280 | NS | NS | NS | |||
| 9 | Neg | Neg | 320 | 1280 | 10,240 | 5120 | 5120 | 1280 | 2560 | 2560 | 5120 | |||
| 11 weeks | 1 × 105.0 | 10 | Neg | Neg | 160 | 640 | 2560 | NS | 2560 | 1280 | 640 | 1280 | NS | |
| 11 | Neg | Neg | 20 | 80 | 640 | NS | 2560 | 1280 | 320 | 1280 | NS | |||
| 12 | Neg | Neg | 80 | 320 | 1280 | NS | 1280 | 640 | 320 | 640 | NS | |||
| 13 | Neg | Neg | 80 | 320 | 1280 | NS | 1280 | 640 | 160 | 320 | NS | |||
| 14 | Neg | Neg | 80 | 320 | 1280 | NS | 1280 | 1280 | 320 | 640 | NS | |||
| 15 | Neg | 10 | 40 | 40 | 320 | NS | 1280 | 1280 | 640 | 320 | NS | |||
| 16 | Neg | Neg | 160 | 640 | 10,240 | NS | 10,240 | 640 | 640 | 1280 | NS | |||
| 17 | Neg | Neg | 80 | 320 | 1280 | NS | 1280 | 1280 | 320 | 640 | NS | |||
| 18 | Neg | Neg | 21 | 80 | 640 | NS | 1280 | 640 | 320 | 640 | NS | |||
| Intranasal | 5 weeks | 1 × 104.5 | 19 | Neg | Neg | Neg | Neg | 10 | 80 | 640 | 2560 | NS | NS | NS |
| 20 | Neg | Neg | Neg | Neg | Neg | Neg | Neg | Neg | Neg | Neg | Neg | |||
| 21 | Neg | Neg | Neg | Neg | Neg | Neg | Neg | Neg | Neg | Neg | Neg | |||
| 22 | Neg | Neg | Neg | Neg | Neg | Neg | Neg | Neg | NS | Neg | Neg | |||
| 23 | Neg | Neg | Neg | Neg | Neg | Neg | Neg | Neg | Neg | Neg | Neg | |||
| 1 × 105.5 | 24 | Neg | Neg | Neg | Neg | Neg | Neg | 40 | 1280 | NS | NS | NS | ||
| 25 | Neg | Neg | Neg | 160 | 2560 | 5120 | 5120 | 10,240 | NS | NS | NS | |||
| 26 | Neg | Neg | Neg | Neg | Neg | 10 | 40 | 1280 | 5120 | 1280 | 5120 | |||
| 27 | Neg | Neg | Neg | Neg | Neg | Neg | Neg | Neg | Neg | Neg | Neg |
| Pig No. | Day 0 | Day 26 | Day 35 | |||||||||
|---|---|---|---|---|---|---|---|---|---|---|---|---|
| JEV PI | JEV Titre | MVEV PI | MVEV Titre | JEV PI | JEV Titre | MVEV PI | MVEV Titre | JEV PI | JEV Titre | MVEV PI | MVEV Titre | |
| 1 | 24.8 | <10 | 6.5 | <10 | 93.2 | 1280 | 65.1 | 20 | 95.0 | 1280 | 74.0 | 40 |
| 2 | −2.7 | <10 | −7.2 | <10 | 84.3 | 640 | 36.5 | <10 | 87.8 | 640 | 23.9 | <10 |
| 3 | 29.6 | <10 | 11.6 | <10 | 87.9 | 1280 | 57.7 | 20 | 94.7 | 2560 | 49.0 | 10 |
| 4 | −2.2 | <10 | −1.1 | <10 | 92.9 | 1280 | 61.1 | 20 | 95.0 | 2560 | 43.5 | 10 |
| 5 | 3.3 | <10 | 7.4 | <10 | 92.8 | 640 | 39.3 | <10 | 95.3 | 1280 | 56.3 | 10 |
| 6 | −1.6 | <10 | 24.4 | <10 | 93.5 | 1280 | 23.8 | <10 | 94.6 | 2560 | 41.8 | 10 |
| 7 | 1.2 | <10 | 14.3 | <10 | 86.6 | 640 | 29.5 | <10 | 92.8 | 1280 | 15.8 | <10 |
| 8 | 1.3 | <10 | 7.3 | <10 | 91.4 | 2560 | 84.1 | 80 | 94.4 | 2560 | 82.7 | 80 |
| 9 | 26.7 | <10 | −2.8 | <10 | 92.5 | 320 | 30.0 | <10 | 93.8 | 320 | 37.1 | <10 |
| 10 | 21.2 | <10 | −0.2 | <10 | 87.4 | 640 | 49.7 | 10 | 87.2 | 640 | 66.7 | 20 |
| 11 | 30.5 | <10 | −6.2 | <10 | 88.3 | 320 | 38.6 | <10 | 94.4 | 640 | 49.1 | 10 |
| 12 | 21.6 | <10 | −6.5 | <10 | 90.7 | 1280 | 44.3 | 20 | 95.1 | 1280 | 40.3 | 10 |
| 13 | 16 | <10 | 6.0 | <10 | 93.9 | 640 | 55.7 | 10 | 86.8 | 1280 | 75.0 | 40 |
| 14 | −1.6 | <10 | 10.1 | <10 | 92.8 | 1280 | 38.5 | <10 | 95.0 | 1280 | 47.4 | 20 |
| 15 | −1.1 | <10 | 1.7 | <10 | 93.2 | 2560 | 72.3 | 40 | 95.3 | 2560 | 66.8 | 40 |
| 16 | −3.2 | <10 | −29.8 | <10 | 93.6 | 2560 | 50.7 | 10 | 94.7 | 2560 | 60.3 | 40 |
| 17 | −0.4 | <10 | −7.1 | <10 | 93.2 | 1280 | 79.4 | 40 | 95.2 | 2560 | 83.7 | 40 |
| 18 | 22.3 | <10 | −7.6 | <10 | 93.1 | 640 | 24.8 | <10 | 95.2 | 1280 | 51.3 | 20 |
| 19 | 19.4 | <10 | −20.1 | <10 | 90.6 | 640 | 57.9 | 20 | 90.6 | 640 | 53.0 | 10 |
| 20 | 28.1 | <10 | −7.0 | <10 | 92.1 | 1280 | 45.7 | 10 | 95.1 | 1280 | 57.7 | 20 |
| (a) | Challenge Method | Age at Challenge | Dose of JEV (TCID50/Pig) | Days after Challenge | No. of Infected Pigs Examined | Lymphoplasmacytic Meningitis | Lymphoplasmacytic Encephalitis | Gliosis | Malacia |
| Intradermal | 5 weeks | 1 × 104.5 | 10 | 1 | ++ | ++ | ++ | − | |
| 28 | 4 | + | − | − | − | ||||
| − | + | − | − | ||||||
| − | + | + | − | ||||||
| − | − | − | − | ||||||
| 1 × 105.5 | 10 | 2 | − | ++ | + | − | |||
| − | + | ++ | − | ||||||
| 28 | 2 | + | + | ++ | − | ||||
| − | − | − | − | ||||||
| 11 weeks | 1 × 105.0 | 19 | 1 | +++ | + | ++ | − | ||
| 2 | ++ | + | + | − | |||||
| 3 | ++ | + | − | − | |||||
| 4 | ++ | + | + | − | |||||
| 5 | + | + | + | − | |||||
| 6 | + | ++ | ++ | − | |||||
| 7 | − | + | + | − | |||||
| 8 | − | ++ | ++ | − | |||||
| 9 | − | + | + | − | |||||
| Intranasal | 5 weeks | 1 × 104.5 | 10 | 1 | ++ | +++ | +++ | +++ | |
| 1 × 105.5 | 10 | 2 | + | + | + | − | |||
| − | − | + | − | ||||||
| (b) | Anatomical location | Challenge Age: 5 weeks | Challenge Age: 11 weeks | ||||||
|
10 days after challenge (n = 6) |
28 days after challenge (n = 6) | 19 days after challenge (n = 9) | |||||||
| Cerebral cortex | rostral | +++ | − | ++ | |||||
| mid | +++ | + | +++ | ||||||
| caudal | ++ | + | + | ||||||
| Diencephalon | ++ | + | +++ | ||||||
| Hippocampus | ++ | + | + | ||||||
| Midbrain | ++ | − | ++ | ||||||
| Brainstem | +++ | + | ++ | ||||||
| Cerebellum | ++ | + | − | ||||||
| Spinal cord | cervical | +++ | − | ++ | |||||
| thoracic | + | − | + | ||||||
| lumbar | − | − | ++ | ||||||
Disclaimer/Publisher’s Note: The statements, opinions and data contained in all publications are solely those of the individual author(s) and contributor(s) and not of MDPI and/or the editor(s). MDPI and/or the editor(s) disclaim responsibility for any injury to people or property resulting from any ideas, methods, instructions or products referred to in the content. |
© 2024 by the authors. Licensee MDPI, Basel, Switzerland. This article is an open access article distributed under the terms and conditions of the Creative Commons Attribution (CC BY) license (https://creativecommons.org/licenses/by/4.0/).
Share and Cite
Hick, P.M.; Finlaison, D.S.; Parrish, K.; Gu, X.; Hayton, P.; O’Connor, T.; Read, A.; Zhang, J.; Spiers, Z.B.; Pinczowski, P.; et al. Experimental Infections of Pigs with Japanese Encephalitis Virus Genotype 4. Microorganisms 2024, 12, 2163. https://doi.org/10.3390/microorganisms12112163
Hick PM, Finlaison DS, Parrish K, Gu X, Hayton P, O’Connor T, Read A, Zhang J, Spiers ZB, Pinczowski P, et al. Experimental Infections of Pigs with Japanese Encephalitis Virus Genotype 4. Microorganisms. 2024; 12(11):2163. https://doi.org/10.3390/microorganisms12112163
Chicago/Turabian StyleHick, Paul M., Deborah S. Finlaison, Kate Parrish, Xingnian Gu, Philip Hayton, Tiffany O’Connor, Andrew Read, Jing Zhang, Zoe B. Spiers, Pedro Pinczowski, and et al. 2024. "Experimental Infections of Pigs with Japanese Encephalitis Virus Genotype 4" Microorganisms 12, no. 11: 2163. https://doi.org/10.3390/microorganisms12112163
APA StyleHick, P. M., Finlaison, D. S., Parrish, K., Gu, X., Hayton, P., O’Connor, T., Read, A., Zhang, J., Spiers, Z. B., Pinczowski, P., Ngo, A. L., & Kirkland, P. D. (2024). Experimental Infections of Pigs with Japanese Encephalitis Virus Genotype 4. Microorganisms, 12(11), 2163. https://doi.org/10.3390/microorganisms12112163

