Skin Microbial Community Associated to Strawberry Disease in Farmed Rainbow Trout (Oncorhynchus mykiss Walbaum, 1792)
Abstract
1. Introduction
2. Materials and Methods
2.1. Samples
2.2. Skin Sampling
2.3. Histological Examination
2.4. RNA Extraction and PCR Amplification
2.5. Bioinformatic Analysis
3. Results
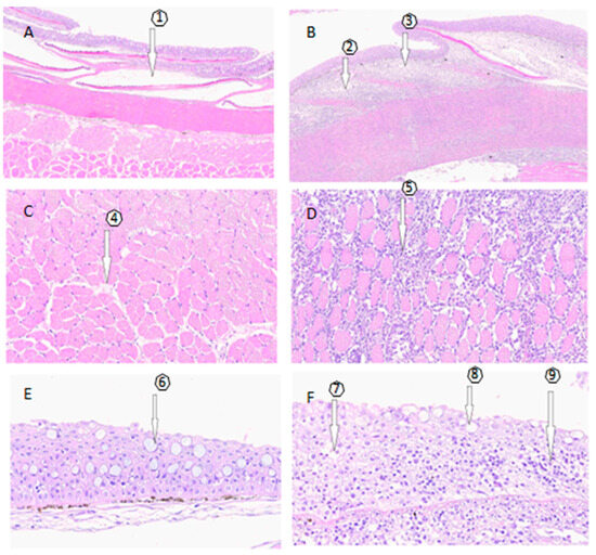
3.1. Histological Analysis
3.2. Sequencing Results
3.3. Bacterial Diversity of Skin Microbiota
3.4. Microbial Composition of the Skin Microbiota
4. Discussion
5. Conclusions
Supplementary Materials
Author Contributions
Funding
Data Availability Statement
Acknowledgments
Conflicts of Interest
References
- Schmidt, J.G.; Thompson, K.D.; Padros, F. Emerging skin diseases in aquaculture. Bull. Eur. Assoc. Fish Pathol. 2018, 38, 122–129. [Google Scholar]
- Lloyd, S.; LaPatra, S.; Snekvik, K.; St-Hilaire, S.; Cain, K.; Call, D.R. Strawberry disease lesions in rainbow trout from southern Idaho are associated with DNA from a Rickettsia-like organism. Dis. Aquat. Org. 2008, 82, 111–118. [Google Scholar] [CrossRef] [PubMed]
- Sasani, F.; Shokrpoor, S.; Rahmati-Holasoo, H.; Zargar, A. Appearance of Red Mark Syndrome in cultured rainbow trout (Oncorhynchus mykiss Walbaum, 1792) in Iran. Bull. Eur. Ass. Fish Pathol. 2016, 36, 86–90. [Google Scholar]
- Sandoval, C.; Infante, J.; Abad, J.; Ferguson, H.W.; Paredes, E.; Valdebenito, S.; Yáñez, A.J.; Ilardi, P.; Avendaño-Herrera, R. Case report: Strawberry disease in farmed chilean rainbow trout. J. Aquat. Anim. Health 2016, 28, 1–10. [Google Scholar] [CrossRef] [PubMed]
- Galeotti, M.; Orioles, M.; Saccà, E.; Byadgi, O.; Pesaro, S.; Di Cerbo, A.; Magi, G.E. Understanding the Pathogenesis of Red Mark Syndrome in Rainbow Trout (Oncorhynchus mykiss) through an Integrated Morphological and Molecular Approach. Animals 2023, 13, 1103. [Google Scholar] [CrossRef] [PubMed]
- Davis, H.S. Care and Diseases of Trout; 12 US Goverment Printing Office: Washington, DC, USA, 1946. [Google Scholar]
- Ortega, Y.; Sandoval, N.; Orioles, M. Red Mark Syndrome (RMS) in Farmed Rainbow Trout (Oncorhynchus mykiss): First Report of Outbreak in Peruvian Salmonid Aquaculture. Bull. Eur. Assoc. Fish Pathol. 2023. [Google Scholar] [CrossRef]
- Metselaar, M.; Thompson, K.D.; Gratacap, R.M.L.; Kik, M.J.L.; LaPatra, S.E.; Lloyd, S.J.; Call, D.R.; Smith, P.D.; Adams, A. Association of red-mark syndrome with a Rickettsia-like organism and its connection with strawberry disease in the USA. J. Fish Dis. 2010, 33, 849–858. [Google Scholar] [CrossRef]
- Oidtmann, B.; LaPatra, S.E.; Verner-Jeffreys, D.; Pond, M.; Peeler, E.J.; Noguera, P.A.; Bruno, D.W.; St-Hilaire, S.; Schubinger, C.; Snekvik, K.; et al. Differential characterisation of emerging diseases affecting rainbow trout skin—A standardised approach to capturing disease characteristics and developing case de- finitions. J. Fish Dis. 2013, 36, 921–937. [Google Scholar] [CrossRef]
- Oh, W.T.; Giri, S.S.; Yun, S.; Kim, H.J.; Kim, S.G.; Kim, S.W.; Kang, J.W.; Han, S.J.; Kwon, J.; Jun, J.W.; et al. Emergence of Rickettsial Infection in Rainbow Trout (Oncorhynchus mykiss) Fry Displaying the Appearance of Red Mark Syndrome in Korea. Microorganisms 2019, 7, 302. [Google Scholar] [CrossRef]
- Ferguson, H.W.; Girons, A.; Rizgalla, G.; LaPatra, S.E.; Branson, E.J.; MacKenzie, K.; Davies, M.; Collins, R.O.; Diab, A.M.; Crumlish, M. Strawberry disease in rainbow trout in Scotland: Pathology and association with Flavobacterium psychrophilum. Vet. Rec. 2006, 158, 630–632. [Google Scholar] [CrossRef]
- Verner-Jeffreys, D.; Pond, M.; Peeler, E.; Rimmer, G.; Oidtmann, B.; Way, K.; Mewett, J.; Jeffrey, K.; Bateman, K.; Reese, R.; et al. Emergence of cold water strawberry disease of rainbow trout Oncorynchus mykiss in England and Wales: Outbreak investigations and transmission studies. Dis. Aquat. Org. 2008, 79, 207–218. [Google Scholar] [CrossRef] [PubMed]
- Lloyd, S.J.; LaPatra, S.E.; Snekvik, K.R.; Cain, K.D.; Call, D.R. Quantitative PCR demonstrates a positive correlation between a Rickettsia-like organism and severity of strawberry disease lesions in rainbow trout (Oncorhynchus mykiss (Wal-baum)). J. Fish Dis. 2011, 34, 701–709. [Google Scholar] [CrossRef]
- Gomez, D.; Sunyer, J.O.; Salinas, I. The mucosal immune system of fish: The evolution of tolerating commensals while fighting pathogens. Fish Shellfish Immunol. 2013, 35, 1729–1739. [Google Scholar] [CrossRef] [PubMed]
- Easy, R.H.; Ross, N.W. Changes in Atlantic salmon (Salmo salar) epidermal mucus protein composition profiles following infection with sea lice (Lepeophtheirus salmonis). Comp. Biochem. Physiol. Part D Genom. Proteom. 2009, 4, 159–167. [Google Scholar] [CrossRef] [PubMed]
- Reverter, M.; Tapissier-Bontemps, N.; Lecchini, D.; Banaigs, B.; Sasal, P. Biological and Ecological Roles of External Fish Mucus: A Review. Fishes 2018, 3, 41. [Google Scholar] [CrossRef]
- Gomez, J.A.; Primm, T.P. A Slimy Business: The future of fish skin microbiome studies. Microb. Ecol. 2021, 82, 275–287. [Google Scholar] [CrossRef] [PubMed]
- Larsen, A.; Tao, Z.; Bullard, S.A.; Arias, C.R. Diversity of the skin microbiota of fishes: Evidence for host species specificity. FEMS Microbiol. Ecol. 2013, 85, 483–494. [Google Scholar] [CrossRef]
- Berggren, H.; Tibblin, P.; Yıldırım, Y.; Broman, E.; Larsson, P.; Lundin, D.; Forsman, A. Fish skin microbiomes are highly variable among individuals and populations but not within individuals. Front. Microbiol. 2021, 12, 767770. [Google Scholar] [CrossRef]
- Ingerslev, H.-C.; Jørgensen, L.V.G.; Strube, M.L.; Larsen, N.; Dalsgaard, I.; Boye, M.; Madsen, L. The development of the gut microbiota in rainbow trout (Oncorhynchus mykiss) is affected by first feeding and diet type. Aquaculture 2014, 424–425, 24–34. [Google Scholar] [CrossRef]
- Karlsen, C.; Ottem, K.F.; Brevik, Ø.J.; Davey, M.; Sørum, H.; Winther-Larsen, H.C. The environmental and host-associated bacterial microbiota of Arctic seawater-farmed Atlantic salmon with ulcerative disorders. J. Fish Dis. 2017, 40, 1645–1663. [Google Scholar] [CrossRef]
- Jurado, J.; Fuentes-Almagro, C.A.; Guardiola, F.A.; Cuesta, A.; Esteban, M.; Prieto-Álamo, M.-J. Proteomic profile of the skin mucus of farmed gilthead seabream (Sparus aurata). J. Proteom. 2015, 120, 21–34. [Google Scholar] [CrossRef] [PubMed]
- Côte, J.; Jacquin, L.; Veyssière, C.; Manzi, S.; Etienne, R.; Perrault, A.; Cambon, M.C.; Jean, S.; White, J. Changes in fish skin microbiota along gradients of eutrophication in human-altered rivers. FEMS Microbiology Ecology 2022, 98(1), fiac006. [Google Scholar] [CrossRef] [PubMed]
- Pardo, A.; Villasante, A.; Romero, J. Skin Microbiota of Salmonids: A Procedure to Examine Active Bacterial Populations Using an RNA-Based Approach. Appl. Microbiol. 2023, 3, 485–492. [Google Scholar] [CrossRef]
- Villasante, A.; Ramírez, C.; Rodríguez, H.; Dantagnan, P.; Hernández, A.; Figueroa, E.; Romero, J. Dietary carbohydrate-to-protein ratio influences growth performance, hepatic health and dynamic of gut microbiota in atlantic salmon (Salmo salar). Anim. Nutr. 2022, 10, 261–279. [Google Scholar] [CrossRef] [PubMed]
- Galeotti, M.; Sarli, G.; Sirri, R.; Mandrioli, L.; Beraldo, P.; Bronzatti, P.; Giavenni, R.; Orioles, M.; Magi, G.; Volpatti, D. Red mark syndrome of trout (Oncorhynchus mykiss; Walbaum, 1792): Histopathological scoring and correlation with gross lesions. J. Fish Dis. 2021, 44, 1325–1336. [Google Scholar] [CrossRef] [PubMed]
- Metselaar, M.; Orioles, M.; Galeotti, M.; Adams, A.; Thompson, K.D. Red mark syndrome—Current state of knowledge. In Aquaculture; Elsevier B.V.: Amsterdam, The Netherlands, 2022; Volume 549. [Google Scholar] [CrossRef]
- Godoy, M.; Coca, Y.; Suárez, R.; Montes de Oca, M.; Bledsoe, J.W.; Burbulis, I.; Caro, D.; Pontigo, J.P.; Maracaja-Coutinho, V.; Arias-Carrasco, R.; et al. Salmo salar Skin and Gill Microbiome during Piscirickettsia salmonis Infection. Animals 2024, 14, 97. [Google Scholar] [CrossRef] [PubMed]
- Rojas, V.; Sánchez, D.; Gallardo, J.A.; Mercado, L. Histopathological changes induced by Caligus rogercresseyi in rainbow trout (Oncorhynchus mykiss). Lat. Am. J. Aquat. Res. 2018, 46, 843–848. [Google Scholar] [CrossRef]
- Soliman, A.M.; Barreda, D.R. The acute inflammatory response of teleost fish. Dev. Comp. Immunol. 2023, 146, 104731. [Google Scholar] [CrossRef]
- Sultana, S.; Khan, N.; Hossain, M.S.; Dai, J.; Rahman, M.S. Salimullah Community Structure and Functional Annotations of the Skin Microbiome in Healthy and Diseased Catfish, Heteropneustes fossilis. Front. Microbiol. 2022, 13, 856014. [Google Scholar] [CrossRef]
- Sylvain, F.; Derome, N. Vertically and horizontally transmitted microbial symbionts shape the gut microbiota ontogenesis of a skin-mucus feeding discus fish progeny. Sci. Rep. 2017, 7, 5263. [Google Scholar] [CrossRef]
- Segata, N.; Izard, J.; Waldron, L.; Gevers, D.; Miropolsky, L.; Garrett, W.S.; Huttenhower, C. Metagenomic biomarker discovery and explanation. Genome Biol. 2011, 12, R60. [Google Scholar] [CrossRef] [PubMed]
- Legrand, T.P.R.A.; Wynne, J.W.; Weyrich, L.S.; Oxley, A.P.A. Investigating both mucosal immunity and microbiota in response to gut enteritis in yellowtail kingfish. Microorganisms 2020, 8, 1267. [Google Scholar] [CrossRef] [PubMed]
- Lokesh, J.; Kiron, V. Transition from freshwater to seawater reshapes the skin-associated microbiota of Atlantic salmon. Sci. Rep. 2016, 6, 19707. [Google Scholar] [CrossRef] [PubMed]
- Lowrey, L.; Woodhams, D.C.; Tacchi, L.; Salinas, I. Topographical mapping of the rainbow trout (Oncorhynchus mykiss) microbiome reveals a diverse bacterial community with antifungal properties in the skin. Appl. Environ. Microbiol. 2015, 81, 6915–6925. [Google Scholar] [CrossRef] [PubMed]
- Gomila, M.; Peña, A.; Mulet, M.; Lalucat, J.; García-Valdés, E. Phylogenomics and systematics in Pseudomonas. Front. Microbiol. 2015, 6, 214. [Google Scholar] [CrossRef] [PubMed]
- Rosado, D.; Pérez-Losada, M.; Severino, R.; Cable, J.; Xavier, R. Characterization of the skin and gill microbiomes of the farmed seabass (Dicentrarchus labrax) and seabream (Sparus aurata). Aquaculture 2019, 500, 57–64. [Google Scholar] [CrossRef]
- Takeuchi, M.; Fujiwara-Nagata, E.; Katayama, T.; Suetake, H. Skin bacteria of rainbow trout antagonistic to the fish pathogen Flavobacterium psychrophilum. Sci. Rep. 2021, 11, 7518. [Google Scholar] [CrossRef]
- Metselaar, M.; Thompson, K.D.; Paley, R.; Green, D.M.; Verner-Jeffreys, D.; Feist, S.; Adams, A. Investigating the involvement of a Midichloria -like organism (MLO) in red mark syndrome in rainbow trout Oncorhynchus mykiss. Aquaculture 2020, 528, 735485. [Google Scholar] [CrossRef]
- Sgroi, G.; Iatta, R.; Lovreglio, P.; Stufano, A.; Laidoudi, Y.; Mendoza-Roldan, J.A.; Bezerra-Santos, M.A.; Veneziano, V.; Di Gennaro, F.; Saracino, A.; et al. Detection of Endosymbiont Candidatus Midichloria mitochondrii and Tickborne Pathogens in Humans Exposed to Tick Bites, Italy. Emerg. Infect. Dis. 2022, 28, 1824–1832. [Google Scholar] [CrossRef]
- Qiu, Y.; Simuunza, M.; Kajihara, M.; Ndebe, J.; Saasa, N.; Kapila, P.; Furumoto, H.; Lau, A.C.C.; Nakao, R.; Takada, A.; et al. Detection of Tick-Borne Bacterial and Protozoan Pathogens in Ticks from the Zambia–Angola Border. Pathogens 2022, 11, 566. [Google Scholar] [CrossRef]
- Villasante, A.; Catalán, N.; Rojas, R.; Lohrmann, K.B.; Romero, J. Microbiota of the Digestive Gland of Red Abalone (Haliotis rufescens) Is Affected by Withering Syndrome. Microorganisms 2020, 8, 1411. [Google Scholar] [CrossRef] [PubMed]
- Gollas-Galván, T.; Avila-Villa, L.A.; Martínez-Porchas, M.; Hernandez-Lopez, J. Rickettsia-like organisms from cultured aquatic organisms, with emphasis on necrotizing hepatopancreatitis bacterium affecting penaeid shrimp: An overview on an emergent concern. Rev. Aquac. 2013, 6, 256–269. [Google Scholar] [CrossRef]
- Pasqualetti, C.; Schmidt, J.G.; Cafiso, A.; Gammuto, L.; Lanzoni, O.; Sepulveda, D.; Manfrin, A.; Cecchi, L.B.; Olesen, N.J.; Bazzocchi, C.; et al. Double trouble: Could Ichthyophthirius multifiliis be a vehicle for the bacterium associated with red mark syndrome in rainbow trout, Oncorhynchus mykiss? Aquaculture 2020, 533, 736230. [Google Scholar] [CrossRef]
- Zaila, K.E.; Doak, T.G.; Ellerbrock, H.; Tung, C.-H.; Martins, M.L.; Kolbin, D.; Yao, M.-C.; Cassidy-Hanley, D.M.; Clark, T.G.; Chang, W.-J. Diversity and universality of endosymbiotic rickettsia in the fish parasite Ichthyophthirius multifiliis. Front. Microbiol. 2017, 8, 189. [Google Scholar] [CrossRef] [PubMed]
- Cafiso, A.; Sassera, D.; Serra, V.; Bandi, C.; McCarthy, U.; Bazzocchi, C. Molecular evidence for a bacterium of the family Midichloriaceae (order Rickettsiales) in skin and organs of the rainbow trout Oncorhynchus mykiss (Walbaum) affected by red mark syndrome. J. Fish Dis. 2016, 39, 497–501. [Google Scholar] [CrossRef]
- Galeotti, M.; Volpatti, D.; Beraldo, P.; Brunetti, B.; Galletti, E.; Feist, S. Red Mark Syndrome in Rainbow Trout (Oncorhynchus mykiss) Farmed in Italy: Anatomohistopathological Investigations. J. Comp. Pathol. 2013, 148, 54. [Google Scholar] [CrossRef]
- Orioles, M.; Saccà, E.; Metselaar, M.; Bulfoni, M.; Cesselli, D.; Galeotti, M. Observations on Red Mark Syndrome in juvenile rainbow trout farmed in RAS system. J. Fish Dis. 2022, 45, 1889–1892. [Google Scholar] [CrossRef]
- Galeotti, M.; Manzano, M.; Beraldo, P.; Bulfon, C.; Rossi, G.; Volpatti, D.; E Magi, G. Ultrastructural and biomolecular detection of Rickettsiales-like organisms in tissues of rainbow trout with Red Mark Syndrome. J. Fish Dis. 2017, 40, 907–917. [Google Scholar] [CrossRef]
- Evans, D.H. Osmotic, ionic and nitrogenous-waste balance|Osmoregulation in Fishes: An Introduction. In Encyclopedia of Fish Physiology: From Genome to Environment; Elsevier: Amsterdam, The Netherlands, 2011; Volume 1–3, pp. 1348–1353. [Google Scholar] [CrossRef]
- Olson, D.P.; Beleau, M.H.; Busch, R.A.; Roberts, S.; Krieger, R.I. Strawberry disease in rainbow trout, Salmo gairdneri Richardson. J. Fish Dis. 1985, 8, 103–111. [Google Scholar] [CrossRef]






Disclaimer/Publisher’s Note: The statements, opinions and data contained in all publications are solely those of the individual author(s) and contributor(s) and not of MDPI and/or the editor(s). MDPI and/or the editor(s) disclaim responsibility for any injury to people or property resulting from any ideas, methods, instructions or products referred to in the content. |
© 2024 by the authors. Licensee MDPI, Basel, Switzerland. This article is an open access article distributed under the terms and conditions of the Creative Commons Attribution (CC BY) license (https://creativecommons.org/licenses/by/4.0/).
Share and Cite
Pardo, A.; Villasante, A.; Romero, J. Skin Microbial Community Associated to Strawberry Disease in Farmed Rainbow Trout (Oncorhynchus mykiss Walbaum, 1792). Microorganisms 2024, 12, 217. https://doi.org/10.3390/microorganisms12010217
Pardo A, Villasante A, Romero J. Skin Microbial Community Associated to Strawberry Disease in Farmed Rainbow Trout (Oncorhynchus mykiss Walbaum, 1792). Microorganisms. 2024; 12(1):217. https://doi.org/10.3390/microorganisms12010217
Chicago/Turabian StylePardo, Alda, Alejandro Villasante, and Jaime Romero. 2024. "Skin Microbial Community Associated to Strawberry Disease in Farmed Rainbow Trout (Oncorhynchus mykiss Walbaum, 1792)" Microorganisms 12, no. 1: 217. https://doi.org/10.3390/microorganisms12010217
APA StylePardo, A., Villasante, A., & Romero, J. (2024). Skin Microbial Community Associated to Strawberry Disease in Farmed Rainbow Trout (Oncorhynchus mykiss Walbaum, 1792). Microorganisms, 12(1), 217. https://doi.org/10.3390/microorganisms12010217

