When Salmonella Strikes the Brain: A Systematic Review of Non-Typhoidal Salmonella Infections with Central Nervous System Involvement in Immunosuppressed Patients
Abstract
1. Introduction
2. Methods
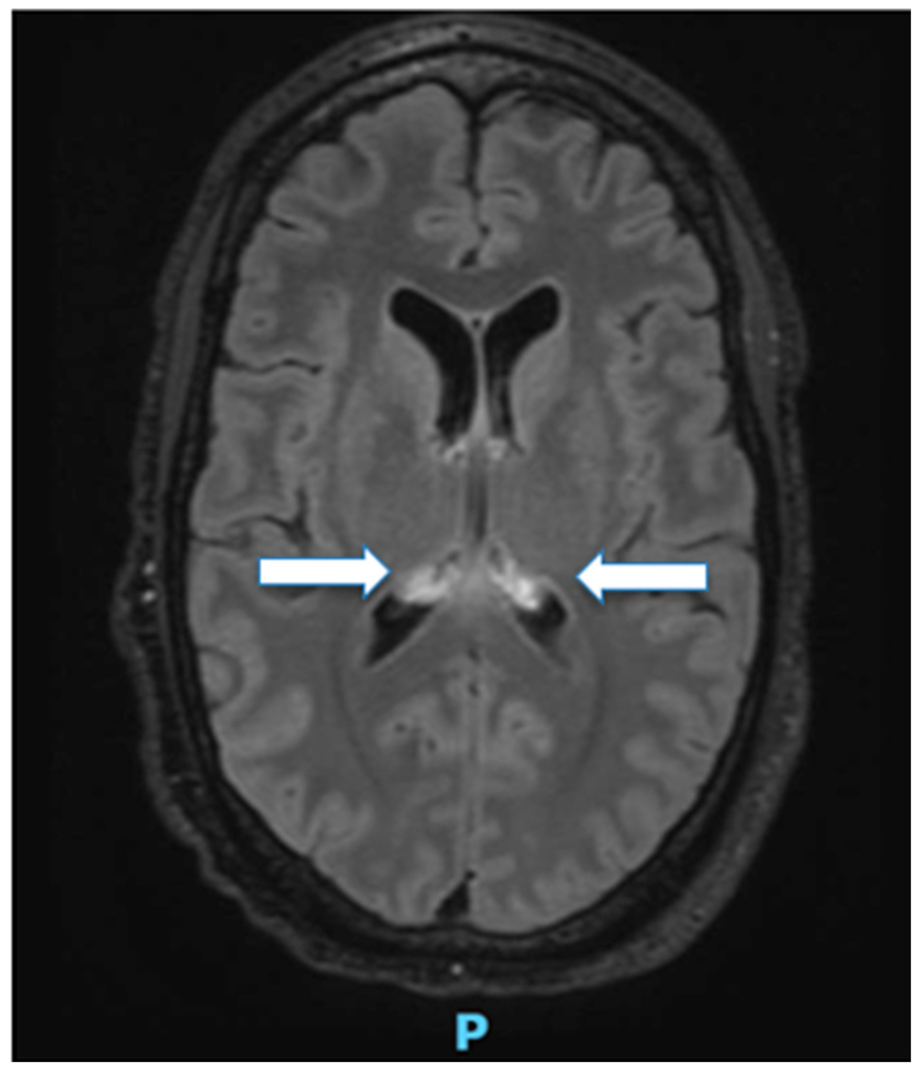
3. A Patognomonic Clinical Case
4. Systematic Review of the Literature
5. Discussion
6. Conclusions
Author Contributions
Funding
Institutional Review Board Statement
Informed Consent Statement
Data Availability Statement
Conflicts of Interest
References
- Crump, J.A.; Sjolund-Karlsonn, M.; Gordon, M.A.; Parry, C.M. Epidemiology, Clinical Presentation, Laboratory Diagnosis, Antimicrobial Resistance, and Antimicrobial Management of Invasive Salmonella Infections. Clin. Microbiol. Rev. 2015, 28, 901–937. [Google Scholar] [CrossRef]
- Fierer, J. Invasive Non-typhoidal Salmonella (iNTS) Infections. Clin. Infect. Dis. 2022, 75, 732–738. [Google Scholar] [CrossRef]
- Keil, E. A Warning Against Antibiotic Treatment for Gastrointestinal Non-Typhoidal Salmonella Infections in Immunocompetent Adults: A Case Report and Review of the Literature. Cureus 2024, 16, e75953. [Google Scholar] [CrossRef]
- Marchello, C.S.; Birkhold, M.; Crump, J.A.; Vacc-iNTS Consortium Collaborators. Complications and mortality of non-typhoidal salmonella invasive disease: A global systematic review and meta-analysis. Lancet Infect. Dis. 2022, 22, 692–705. [Google Scholar] [CrossRef]
- Mori, N.; Szvalb, A.D.; Adachi, J.A.; Tarrand, J.J.; Mulanovich, V.E. Clinical presentation and outcomes of non-typhoidal Salmonella infections in patients with cancer. BMC Infect. Dis. 2021, 21, 1021. [Google Scholar] [CrossRef] [PubMed]
- Haselbeck, A.H.; Panzner, U.; Im, J.; Baker, S.; Meyer, C.G.; Marks, F. Current perspectives on invasive nontyphoidal salmonella disease. Curr. Opin. Infect. Dis. 2017, 30, 498–503. [Google Scholar] [CrossRef]
- Johnston, P.I.; Chisala, W.; Hinchcliffe, A.; Mhango, C.; Jambo, N.; Cooper, M.R.; Shahi, F.; Gordon, M.A.; Darton, T.C. HIV status and the risk of typhoid fever and iNTS: A systematic review and meta-analysis. J. Infect. 2025, 91, 106572. [Google Scholar] [CrossRef] [PubMed]
- Pasquier, F.; Catanzariti, J.F.; Petit, H. Meningitis caused by Salmonella enteritidis in an adult. Acta Clin. Belg. 1992, 47, 215–216. [Google Scholar] [CrossRef] [PubMed]
- Jones, J.L.; Hanson, D.L.; Dworkin, M.S.; Alderton, D.L.; Fleming, P.L.; Kaplan, J.E.; Ward, J. Surveillance for AIDS-Defining Opportunistic Illnesses, 1992–1997. MMWR CDC Surveill. Summ. 1999, 48, 1–22. [Google Scholar] [CrossRef] [PubMed]
- CDC. 1993 revised classification system for HIV infection and expanded surveillance case definition for AIDS among adolescents and adults. MMWR Recomm. Rep. 1992, 41, 1–19. [Google Scholar]
- Emary, K.; Bentsi-Enchill, A.D.; Giersing, B.K.; Gordon, M.; Dale, H.; Chirwa, E.B.; Johnston, P.; MacLennan, C.A.; Kariuki, S.; Excler, J.L.; et al. Landscape analysis of invasive non-typhoidal salmonella (iNTS) disease and iNTS vaccine use case and demand: Report of a WHO expert consultation. Vaccine 2025, 55, 127008. [Google Scholar] [CrossRef] [PubMed]
- Bayón-Gil, Á.; Martinez-Picado, J.; Puertas, M.C. Viremic non-progression in HIV/SIV infection: A tied game between virus and host. Cell Rep. Med. 2025, 6, 101921. [Google Scholar] [CrossRef]
- Swinkels, H.M.; Nguyen, A.D.; Gulick, P.G. HIV and AIDS. In StatPearls; StatPearls Publishing: Treasure Island, FL, USA, 2025. [Google Scholar]
- Dropulic, L.K.; Lederman, H.M. Overview of Infections in the Immunocompromised Host. Microbiol Spectr. 2016, 4, 1–50. [Google Scholar] [CrossRef] [PubMed]
- Gordon, M.A. Salmonella infections in immunocompromised adults. J. Infect. 2008, 56, 413–422. [Google Scholar] [CrossRef] [PubMed]
- Moors, S.; Nakhostin, D.; Ilchenko, D.; Kulcsar, Z.; Starkey, J.; Winklhofer, S.; Ineichen, B.V. Cytotoxic lesions of the corpus callosum: A systematic review. Eur. Radiol. 2024, 34, 4628–4637. [Google Scholar] [CrossRef] [PubMed]
- Forestier, G.; de Beaurepaire, I.; Bornet, G.; Boulois, G. Cytotoxic lesion of the corpus callosum as presenting neuroradiological manifestation of COVID-2019 infection. J. Neurol. 2021, 268, 1595–1597. [Google Scholar] [CrossRef]
- Kopyta, I.; Siemek-Mitela, J.; Damps, M.; Machnikowska-Sokolowska, M.; Gruszczynska, K. Cytotoxic Lesions of the Corpus Callosum (CLOCCs) in a Patient with Epstein-Barr Infection: A Case Report and Literature Review. Brain Sci. 2025, 15, 260. [Google Scholar] [CrossRef]
- Park, H.J.; Song, S.H.; Suh, S.H.; Choi, H.S.; Bae, E.H.; Ma, S.K.; Kim, S.W.; Kim, C.S. Cytotoxic Lesions of the Corpus Callosum Preceding Osmotic Demyelination Syndrome in Hypernatremia and Hyperosmolar Hyperglycemic State: A Case Report. Electrolyte Blood Press. 2025, 23, 11–16. [Google Scholar] [CrossRef]
- Ahmed, T.; Ahmed, T. Salmonella Meningitis Complicated by Ventriculitis and Brain Abscesses in an HIV Positive Adult Patient. Cureus 2020, 12, e11223. [Google Scholar] [CrossRef]
- Leonard, M.K.; Murrow, J.R.; Jurado, R.; Gaynes, R. Salmonella meningitis in adults infected with HIV: Case report and review of the literature. Am. J. Med. Sci. 2002, 323, 266–268. [Google Scholar] [CrossRef]
- Xu, J.; Chen, Y.; Yu, J.; Liu, S.; Meng, Y.; Li, C. Clinical Characteristics, Serotypes and Antimicrobial Resistance of Invasive Salmonella Infections in HIV-Infected Patients in Hangzhou, China, 2012–2023. Infect. Drug Resist. 2024, 17, 3839–3849. [Google Scholar] [CrossRef] [PubMed]
- Keddy, K.H.; Sooka, A.; Musekiwa, A.; Smith, A.M.; Ismail, H.; Tau, N.P.; Crowther-Gibson, P.; Angulo, F.J.; Klugman, K.P.; GERMS-SA Group. Clinical and microbiological features of Salmonella meningitis in a South African population, 2003–2013. Clin. Infect. Dis. 2015, 61, S272–S282. [Google Scholar] [CrossRef]
- Belloso, W.H.; Romano, M.; Greco, G.S.; Davey, R.T.; Perelsztein, A.G.; Sánchez, M.L.; Ajzenszlos, M.R.; Otegui, I.M. Recurrent meningitis and subarachnoid hemorrhage due to Salmonella in an HIV-positive patient: Case report and mini-review of the literature. Open AIDS J. 2011, 5, 62–66. [Google Scholar] [CrossRef]
- Subramoney, E.L. Non-typhoidal Salmonella infections in HIV-positive adults. S. Afr. Med. J. 2015, 105, 805–807. [Google Scholar] [CrossRef]
- Fernández Guerrero, M.L.; Ramos, J.M.; Núñez, A.; Cuenca, M.; de Górgolas, M. Focal infections due to non-typhi Salmonella in patients with AIDS: Report of 10 cases and review. Clin. Infect. Dis. 1997, 25, 690–697. [Google Scholar] [CrossRef]
- Hajra, D.; Nair, A.V.; Chakravortty, D. Decoding the invasive nature of a tropical pathogen of concern: The invasive non-typhoidal Salmonella strains causing host-restricted extraintestinal infections worldwide. Microbiol. Res. 2023, 277, 127488. [Google Scholar] [CrossRef]
- Katsenos, C.; Anastasopoulos, N.; Patrani, M.; Mandragos, C. Salmonella enteritidis meningitis in a first-time diagnosed AIDS patient: Case report. Cases J. 2008, 1, 5. [Google Scholar] [CrossRef]
- Gutiérrez, A.; Teira, R.; Varona, M.; González de Etxabarri, S.; Santamaría, J.M. Recurrent Salmonella enteritidis meningitis in a patient with AIDS. Scand. J. Infect. Dis. 1995, 27, 177–178. [Google Scholar] [CrossRef] [PubMed]
- Elton, A.C.; Levin, J.; Lazio, M.P. New diagnosis of AIDS based on Salmonella enterica subsp. enterica Enteritidis meningitis in a previously immunocompetent adult in the United States. Case Rep. Infect. Dis. 2017, 2017, 1051975. [Google Scholar] [CrossRef] [PubMed]
- Sait, M.; Rahmathulla, G.; Chen, T.L.; Barnett, G.H. Rare case of intracranial Salmonella enteritidis abscess following glioblastoma resection: Case report and review of the literature. Surg. Neurol. Int. 2011, 2, 149. [Google Scholar] [CrossRef]
- Swe, K.S.; Nagel, G.; Van der Westhuizen, M.; Hoosen, A.A. Salmonella typhimurium meningitis in an adult patient with AIDS. J. Clin. Pathol. 2008, 61, 138–139. [Google Scholar] [CrossRef]
- Grant, A.D.; Djomand, G.; Smets, P.; Kadio, A.; Coulibaly, M.; Kakou, A.; Maurice, C.; Whitaker, J.P.; Sylla-Koko, F.; Bonard, D.; et al. Profound immunosuppression across the spectrum of opportunistic disease among hospitalized HIV-infected adults in Abidjan, Côte d’Ivoire. AIDS 1997, 11, 1357–1364. [Google Scholar] [CrossRef]
- Mbelesso, P.; Tatangba-Bakozo, A.; Fikouma, V. Bacterial meningitis in adult patients in Central African hospitals. Bull. Soc. Pathol. Exot. 2006, 99, 261–263. [Google Scholar] [PubMed]
- Zouiten, F.; Ben Said, A.; Ammari, L.; Slim, A.; Kanoun, F.; Ben Chaabane, T. AIDS in Tunisian women: Study of 92 cases. Tunis Med. 2002, 80, 402–406. [Google Scholar] [PubMed]
- Cohen, W.A. Intracranial bacterial infections in patients with AIDS. Neuroimaging Clin. N. Am. 1997, 7, 223–229. [Google Scholar] [CrossRef] [PubMed]
- Dower, J.; Lerner, D.P.; Geva, T.; Wener, K. The risk of immunosuppression: A case of Salmonella meningitis. Case Rep. Infect. Dis. 2018, 2018, 4874575. [Google Scholar] [CrossRef]
- Rezaei, S.J.; Mateen, F.J. Encephalitis and meningitis in Western Africa: A scoping review of pathogens. Trop. Med. Int. Health 2021, 26, 388–396. [Google Scholar] [CrossRef]
- Ikejiri, K.; Suzuki, K.; Ito, A.; Yasuda, K.; Shindo, A.; Ishikura, K.; Imai, H. Invasive Salmonella enteritidis infection complicated by bacterial meningitis and vertebral osteomyelitis shortly after influenza A infection in an immunocompetent young adult. J. Infect. Chemother. 2020, 26, 269–273. [Google Scholar] [CrossRef] [PubMed]
- Gille-Johnson, P.; Kövamees, J.; Lindgren, V.; Aufwerber, E.; Struve, J. Salmonella virchow meningitis in an adult. Scand. J. Infect. Dis. 2000, 32, 431–433. [Google Scholar] [CrossRef] [PubMed]
- Yang, C.; Xiang, Y.; Qiu, S. Resistance in Enteric Shigella and nontyphoidal Salmonella: Emerging concepts. Curr. Opin. Infect. Dis. 2023, 36, 360–365. [Google Scholar] [CrossRef]
- Huber, L.; Agunos, A.; Gow, S.P.; Carson, C.A.; Van Boeckel, T.P. Reduction in Antimicrobial Use and Resistance to Salmonella, Campylobacter, and Escherichia coli in Broiler Chickens, Canada, 2013–2019. Emerg. Infect. Dis. 2021, 27, 2434–2444. [Google Scholar] [CrossRef]
- GBD 2021 Antimicrobial Resistance Collaborators. Global burden of bacterial antimicrobial resistance 1990–2021: A systematic analysis with forecasts to 2050. Lancet 2024, 404, 1199–1226. [Google Scholar] [CrossRef] [PubMed]
- Available online: https://www.anresis.ch/it/lantibiotico-resistenza/resistance-data-human-medicine/ (accessed on 12 November 2025).
- Grant, A.D.; Djomand, G.; De Cock, K.M. Natural history and spectrum of disease in adults with HIV/AIDS in Africa. AIDS 1997, 11, S43–S54. [Google Scholar] [PubMed]
- Popa, G.L.; Papa, M.I. Salmonella spp. infection—A continuous threat worldwide. Germs 2021, 11, 88–96. [Google Scholar] [CrossRef] [PubMed]


| Study | Study Design/Setting/Year | N Patients (CNS) | Cause of Immunosuppression | HIV Status | Symptoms/Clinical Presentation | Diagnostic Method (CSF/Culture/Imaging) | Outcome |
|---|---|---|---|---|---|---|---|
| Ahmed et al. [20] | Case report | 1 | HIV infection | CD4+: 10 cells/mmc HIV-RNA: NR | Confusion, ventriculitis, brain abscess(es) | Blood and CSF culture positive; CT/MRI | Gradual improvement; discharged after prolonged admission |
| Leonard et al. [21] | Case report + literature review | 1 | HIV infection | CD4+: 294 cells/mmc HIV-RNA: 24,666 cp/mL | Fever, headache, neck stiffness | CSF culture positive (Salmonella infantis) | Recovery; no relapse at 12 months |
| Xu et al. [22] | Retrospective case series | NR (CNS subset not explicit in abstract) | HIV infection (CD4 < 100 associated) | CD4+: 20 cells/mmc (median) HIV-RNA: <100 IU/mL: 10 | Nonspecific invasive Salmonella presentations | Blood/CSF culture; serotyping | Variable; antimicrobial resistance concern |
| Keddy et al. [23] | Surveillance/case series | 278 iNTS meningitis cases identified | High HIV prevalence among adult cases | CD4+ < 200 cells/mmc: 26 HIV-RNA: NR | Typical meningitis; low GCS predicts mortality | CSF/blood cultures; serotyping | Mortality associated with clinical severity |
| Belloso et al. [24] | Case report + mini-review | 1 (recurrent meningitis with subarachnoid hemorrhage) | HIV infection) | CD4+: 341 cells/mmc HIV-RNA: 3.7–4.2 log cp/mL | Recurrent meningitis (multiple episodes) | CSF cultures and imaging across episodes | Variable; highlights recurrence risk |
| Subramoney [25] | Review/Forum | NR (review) | HIV infection (discusses iNTS in HIV-positive adults) | CD4+: 96 cells/mmc HIV-RNA: suppressed | Bacteraemia and focal complications, including meningitis (rare) | Culture-based diagnosis | Review-level statements (higher complication rates in HIV) |
| Fernández-Guerrero et al. [26] | Case series + review | 10 focal infections among HIV patients (includes meningitis/abscess) | HIV/AIDS (many with CD4 < 100) | CD4+: 172 cells/mmc (mean) HIV-RNA: NR | Focal suppurative infections, including intracranial disease | Culture from focus/CSF; imaging for abscesses | High morbidity/mortality (pre-ART era) |
| Hajra et al. [27] | Narrative review on iNTS strains | NR (microbiologic focus) | Discusses host factors, including HIV | CD4+: NR HIV-RNA: NR | Extra-intestinal invasive disease is described | Molecular/serotyping methods discussed | NR |
| Katsenos et al. [28] | Case report | 1 | Newly diagnosed HIV infection during workup | CD4+: 16 cells/mmc HIV-RNA: NR | Fever, nuchal rigidity, confusion; progressed to septic shock | CSF and blood cultures were positive for S. enteritidis | Severe course with septic shock; details in full text |
| Gutiérrez et al. [29] | Case report | 1 (recurrent meningitis in an AIDS patient) | AIDS | CD4+: NR HIV-RNA: NR | Recurrent meningitis despite therapy | CSF culture positive | Recurrence |
| Elton et al. [30] | Case report | 1 | New AIDS diagnosis | CD4+: 3 cells/mmc HIV-RNA: 560,000 cp/mL | Altered mental status, fever; cloudy CSF with Gram-negative rods | CSF culture positive for S. enterica | ICU care required; case report documents clinical course |
| Sait et al. [31] | Case report | 1 (intracranial abscess post-glioblastoma resection) | Post-surgical (iatrogenic), not HIV-related | HIV negative | Post-op focal deficits; imaging consistent with abscess | Imaging and abscess culture positive for S. enteritidis | Recovery after intervention |
| Swe et al. [32] | Case report | 1 | AIDS | CD4+: 2 cells/mmc HIV-RNA: 99,658 cp/mL | Fever, diarrhea, neck stiffness, oral thrush | CSF and blood culture were positive for S. typhimurium | NR |
| Grant et al. [33] | Hospital-based study | NR (epidemiologic study of HIV opportunistic disease) | HIV infection | CD4+: NR HIV-RNA: NR | Opportunistic infections and spectrum reported | NR | NR |
| Mbelesso et al. [34] | Retrospective study | 502 adult meningitis cases over 5 years (not Salmonella-specific) | HIV discussed regionally; not Salmonella-specific | CD4+: NR HIV-RNA: NR | Typical bacterial meningitis presentations; seasonal peaks | Hospital diagnostics; culture data summarized | NR |
| Zouiten et al. [35] | Retrospective cohort | 92 women with AIDS in the cohort; CNS Salmonella cases not explicitly listed | AIDS | CD4+: NR HIV-RNA: NR | Spectrum of opportunistic infections; high proportion of AIDS | NR | NR |
| Cohen [36] | Review; | NR | HIV/AIDS | CD4+: NR HIV-RNA: NR | Imaging patterns described for intracranial bacterial disease | Neuroimaging + culture correlation | NR |
| Dower et al. [37] | Case report | 1 (elderly female) | TNF-antagonist therapy for rheumatoid arthritis (iatrogenic) | HIV negative | Back/leg pain, then meningitis signs; altered function | CSF and blood cultures were positive for Salmonella spp. | Slow improvement; illustrates non-HIV immunosuppression risk |
| Rezaei et al. [38] | Scoping review; | NR | Immunocompromised patients | CD4+: NR HIV-RNA: NR | Varied; reports included Salmonella species in case reports/series | Depends on included reports | NR |
| Ikejiri et al. [39] | Case report | 1 | Influenza A immediately prior to infection | CD4+: NR HIV-RNA: NR | Sepsis, meningitis, vertebral osteomyelitis | Blood/CSF cultures; imaging for osteomyelitis | Recovery |
| Gille-Johnson et al. [40] | Case report | 1 | None reported | CD4+: NR HIV-RNA: NR | Meningitis features | CSF culture positive for S. virchow | Full recovery |
Disclaimer/Publisher’s Note: The statements, opinions and data contained in all publications are solely those of the individual author(s) and contributor(s) and not of MDPI and/or the editor(s). MDPI and/or the editor(s) disclaim responsibility for any injury to people or property resulting from any ideas, methods, instructions or products referred to in the content. |
© 2025 by the authors. Licensee MDPI, Basel, Switzerland. This article is an open access article distributed under the terms and conditions of the Creative Commons Attribution (CC BY) license.
Share and Cite
Turicchi, G.; Bongiovanni, M. When Salmonella Strikes the Brain: A Systematic Review of Non-Typhoidal Salmonella Infections with Central Nervous System Involvement in Immunosuppressed Patients. Pathogens 2026, 15, 19. https://doi.org/10.3390/pathogens15010019
Turicchi G, Bongiovanni M. When Salmonella Strikes the Brain: A Systematic Review of Non-Typhoidal Salmonella Infections with Central Nervous System Involvement in Immunosuppressed Patients. Pathogens. 2026; 15(1):19. https://doi.org/10.3390/pathogens15010019
Chicago/Turabian StyleTuricchi, Giulia, and Marco Bongiovanni. 2026. "When Salmonella Strikes the Brain: A Systematic Review of Non-Typhoidal Salmonella Infections with Central Nervous System Involvement in Immunosuppressed Patients" Pathogens 15, no. 1: 19. https://doi.org/10.3390/pathogens15010019
APA StyleTuricchi, G., & Bongiovanni, M. (2026). When Salmonella Strikes the Brain: A Systematic Review of Non-Typhoidal Salmonella Infections with Central Nervous System Involvement in Immunosuppressed Patients. Pathogens, 15(1), 19. https://doi.org/10.3390/pathogens15010019

