Helicobacter pylori Virulence Factors and Clarithromycin Resistance-Associated Mutations in Mexican Patients
Abstract
1. Introduction
2. Materials and Methods
2.1. Study Population, Gastric Biopsies, and DNA Extraction
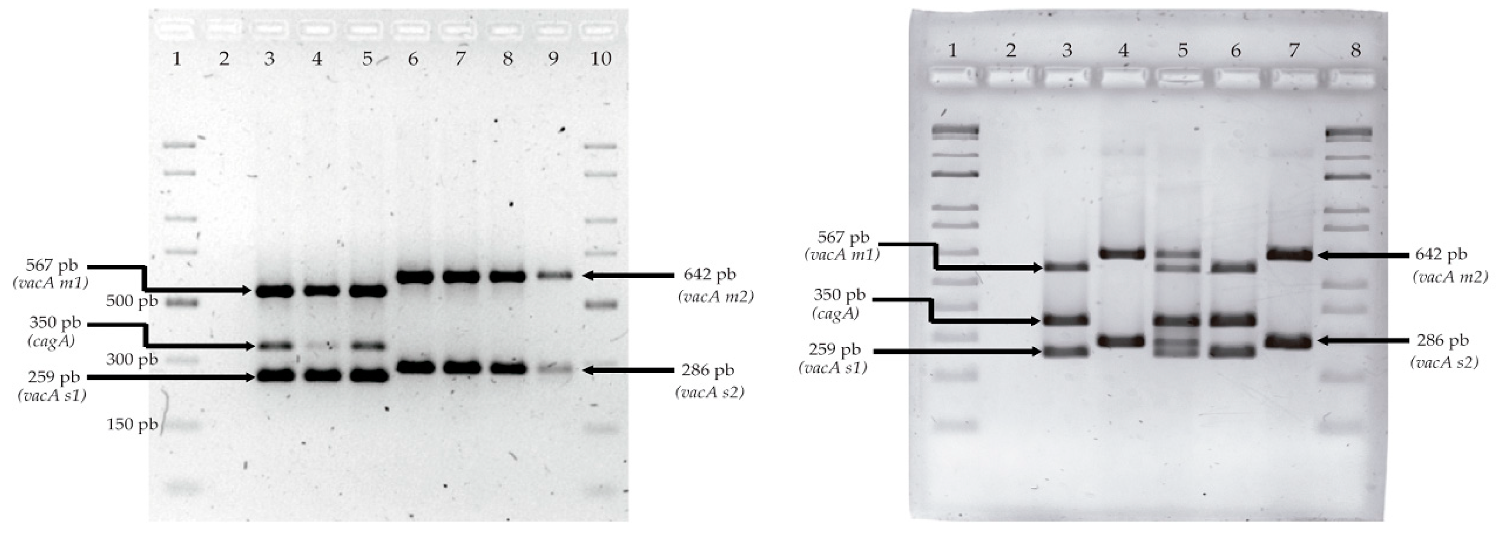
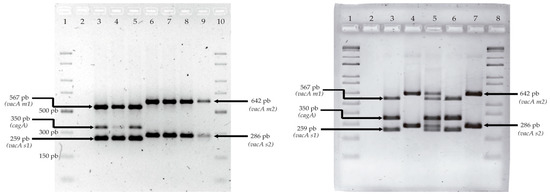
2.2. Detection of Helicobacter Pylori and Virulence Markers by PCR
2.3. Determination of Clarithromycin Resistance Mutations by qPCR
2.4. Statistical Analysis
3. Results
4. Discussion
Supplementary Materials
Author Contributions
Funding
Institutional Review Board Statement
Informed Consent Statement
Data Availability Statement
Acknowledgments
Conflicts of Interest
References
- Zamani, M.; Ebrahimtabar, F.; Zamani, V.; Miller, W.H.; Alizadeh-Navaei, R.; Shokri-Shirvani, J.; Derakhshan, M.H. Systematic review with meta-analysis: The worldwide prevalence of Helicobacter pylori infection. Aliment. Pharmacol. Ther. 2018, 47, 868–876. [Google Scholar] [CrossRef] [PubMed]
- Hooi, J.K.Y.; Lai, W.Y.; Ng, W.K.; Suen, M.M.Y.; Underwood, F.E.; Tanyingoh, D.; Malfertheiner, P.; Graham, D.Y.; Wong, V.W.S.; Wu, J.C.Y.; et al. Global Prevalence of Helicobacter pylori Infection: Systematic Review and Meta-Analysis. Gastroenterology 2017, 153, 420–429. [Google Scholar] [CrossRef] [PubMed]
- Salama, N.R.; Hartung, M.; Muller, A. Life in the human stomach: Persistence strategies of the bacterial pathogen Helicobacter pylori. Nat. Rev. Microbiol. 2013, 11, 385–399. [Google Scholar] [CrossRef] [PubMed]
- Wen, S.; Moss, S. Helicobacter pylori virulence factors in gastric carcinogenesis. Cancer Lett. 2009, 282, 1–8. [Google Scholar] [CrossRef] [PubMed]
- Nahid-Samiei, M.; Rahimian, G.; Shafigh, M.; Taheri, F.; Karami-Hurestani, M.; Sanaei, M.J.; Heshmati, M.; Bagheri, N. Enhanced Frequency of CD19(+)IL-10(+)B Cells in Human Gastric Mucosa Infected by Helicobacter pylori. Am. J. Med. Sci. 2020, 359, 347–353. [Google Scholar] [CrossRef]
- Sanaii, A.; Shirzad, H.; Haghighian, M.; Rahimian, G.; Soltani, A.; Shafigh, M.; Tahmasbi, K.; Bagheri, N. Role of Th22 cells in Helicobacter pylori—Related gastritis and peptic ulcer diseases. Mol. Biol. Rep. 2019, 46, 5703–5712. [Google Scholar] [CrossRef]
- Trang, T.T.H.; Binh, T.T.; Yamaoka, Y. Relationship between vacA Types and Development of Gastroduodenal Diseases. Toxins 2016, 8, 182. [Google Scholar] [CrossRef]
- Ohnishi, N.; Yuasa, H.; Tanaka, S.; Sawa, H.; Miura, M.; Matsui, A.; Higashi, H.; Musashi, M.; Iwabuchi, K.; Suzuki, M.; et al. Transgenic expression of Helicobacter pylori CagA induces gastrointestinal and hematopoietic neoplasms in mouse. Proc. Natl. Acad. Sci. USA 2008, 105, 1003–1008. [Google Scholar] [CrossRef]
- Leja, M.; Grinberga-Derica, I.; Bilgilier, C.; Steininger, C. Review: Epidemiology of Helicobacter pylori infection. Helicobacter 2019, 24 (Suppl. 1), e12635. [Google Scholar] [CrossRef]
- Thung, I.; Aramin, H.; Vavinskaya, V.; Gupta, S.; Park, J.Y.; Crowe, S.E.; Valasek, M.A. Review article: The global emergence of Helicobacter pylori antibiotic resistance. Aliment. Pharmacol. Ther. 2016, 43, 514–533. [Google Scholar] [CrossRef]
- Camargo, M.C.; Garcia, A.; Riquelme, A.; Otero, W.; Camargo, C.A.; Hernandez-Garcia, T.; Candia, R.; Bruce, M.G.; Rabkin, C.S. The problem of Helicobacter pylori resistance to antibiotics: A systematic review in Latin America. Am. J. Gastroenterol. 2014, 109, 485–495. [Google Scholar] [CrossRef] [PubMed]
- Bujanda, L.; Nyssen, O.P.; Vaira, D.; Saracino, I.M.; Fiorini, G.; Lerang, F.; Georgopoulos, S.; Tepes, B.; Heluwaert, F.; Gasbarrini, A.; et al. Antibiotic Resistance Prevalence and Trends in Patients Infected with Helicobacter pylori in the Period 2013-2020: Results of the European Registry on H. pylori Management (Hp-EuReg). Antibiotics 2021, 10, 1058. [Google Scholar] [CrossRef] [PubMed]
- Megraud, F.; Bruyndonckx, R.; Coenen, S.; Wittkop, L.; Huang, T.D.; Hoebeke, M.; Benejat, L.; Lehours, P.; Goossens, H.; Glupczynski, Y.; et al. Helicobacter pylori resistance to antibiotics in Europe in 2018 and its relationship to antibiotic consumption in the community. Gut 2021, 70, 1815–1822. [Google Scholar] [CrossRef] [PubMed]
- Malfertheiner, P.; Megraud, F.; Rokkas, T.; Gisbert, J.P.; Liou, J.M.; Schulz, C.; Gasbarrini, A.; Hunt, R.H.; Leja, M.; O’Morain, C.; et al. Management of Helicobacter pylori infection: The Maastricht VI/Florence consensus report. Gut 2022, 71, 1724–1762. [Google Scholar] [CrossRef]
- Francesco, V.D.; Zullo, A.; Hassan, C.; Giorgio, F.; Rosania, R.; Ierardi, E. Mechanisms of Helicobacter pylori antibiotic resistance: An updated appraisal. World J. Gastrointest. Pathophysiol. 2011, 2, 35–41. [Google Scholar] [CrossRef]
- Ansari, S.; Yamaoka, Y. Helicobacter pylori Infection, Its Laboratory Diagnosis, and Antimicrobial Resistance: A Perspective of Clinical Relevance. Clin. Microbiol. Rev. 2022, 35, e0025821. [Google Scholar] [CrossRef] [PubMed]
- Harrison, U.; Fowora, M.A.; Seriki, A.T.; Loell, E.; Mueller, S.; Ugo-Ijeh, M.; Onyekwere, C.A.; Lesi, O.A.; Otegbayo, J.A.; Akere, A.; et al. Helicobacter pylori strains from a Nigerian cohort show divergent antibiotic resistance rates and a uniform pathogenicity profile. PLoS ONE 2017, 12, e0176454. [Google Scholar] [CrossRef]
- Rimbara, E.; Noguchi, N.; Kawai, T.; Sasatsu, M. Novel mutation in 23S rRNA that confers low-level resistance to clarithromycin in Helicobacter pylori. Antimicrob. Agents Chemother. 2008, 52, 3465–3466. [Google Scholar] [CrossRef] [PubMed]
- Marques, A.T.; Vitor, J.M.B.; Santos, A.; Oleastro, M.; Vale, F.F. Trends in Helicobacter pylori resistance to clarithromycin: From phenotypic to genomic approaches. Microb. Genom. 2020, 6, e000344. [Google Scholar] [CrossRef]
- Karabiber, H.; Selimoglu, M.A.; Otlu, B.; Yildirim, O.; Ozer, A. Virulence factors and antibiotic resistance in children with Helicobacter pylori gastritis. J. Pediatr. Gastroenterol. Nutr. 2014, 58, 608–612. [Google Scholar] [CrossRef]
- Agudo, S.; Perez-Perez, G.; Alarcon, T.; Lopez-Brea, M. High prevalence of clarithromycin-resistant Helicobacter pylori strains and risk factors associated with resistance in Madrid, Spain. J. Clin. Microbiol. 2010, 48, 3703–3707. [Google Scholar] [CrossRef] [PubMed]
- Elviss, N.C.; Owen, R.J.; Xerry, J.; Walker, A.M.; Davies, K. Helicobacter pylori antibiotic resistance patterns and genotypes in adult dyspeptic patients from a regional population in North Wales. J. Antimicrob. Chemother. 2004, 54, 435–440. [Google Scholar] [CrossRef] [PubMed]
- Chattopadhyay, S.; Patra, R.; Ramamurthy, T.; Chowdhury, A.; Santra, A.; Dhali, G.K.; Bhattacharya, S.K.; Berg, D.E.; Nair, G.B.; Mukhopadhyay, A.K. Multiplex PCR assay for rapid detection and genotyping of Helicobacter pylori directly from biopsy specimens. J. Clin. Microbiol. 2004, 42, 2821–2824. [Google Scholar] [CrossRef] [PubMed]
- Kargar, M.; Doosti, A.; Ghorbani-Dalini, S. Detection of four clarithromycin resistance point mutations in Helicobacter pylori: Comparison of real-time PCR and PCR-RFLP methods. Comp. Clin. Pathol. 2013, 22, 1007–1013. [Google Scholar] [CrossRef]
- De Francesco, V.; Zullo, A.; Ierardi, E.; Giorgio, F.; Perna, F.; Hassan, C.; Morini, S.; Panella, C.; Vaira, D. Phenotypic and genotypic Helicobacter pylori clarithromycin resistance and therapeutic outcome: Benefits and limits. J. Antimicrob. Chemother. 2010, 65, 327–332. [Google Scholar] [CrossRef] [PubMed]
- Roman-Roman, A.; Giono-Cerezo, S.; Camorlinga-Ponce, M.; Martinez-Carrillo, D.N.; Loaiza-Loeza, S.; Fernandez-Tilapa, G. vacA genotypes of Helicobacter pylori in the oral cavity and stomach of patients with chronic gastritis and gastric ulcer. Enferm. Infecc. Microbiol. Clin. 2013, 31, 130–135. [Google Scholar] [CrossRef]
- World Gastroenterology Organization. World Gastroenterology Organization Global Guideline: Helicobacter pylori in developing countries. J. Clin. Gastroenterol. 2011, 45, 383–388. [Google Scholar] [CrossRef]
- Idowu, A.; Mzukwa, A.; Harrison, U.; Palamides, P.; Haas, R.; Mbao, M.; Mamdoo, R.; Bolon, J.; Jolaiya, T.; Smith, S.; et al. Detection of Helicobacter pylori and its virulence genes (cagA, dupA, and vacA) among patients with gastroduodenal diseases in Chris Hani Baragwanath Academic Hospital, South Africa. BMC Gastroenterol. 2019, 19, 73. [Google Scholar] [CrossRef]
- Oktem-Okullu, S.; Cekic-Kipritci, Z.; Kilic, E.; Seymen, N.; Mansur-Ozen, N.; Sezerman, U.; Gurol, Y. Analysis of Correlation between the Seven Important Helicobacter pylori (H. pylori) Virulence Factors and Drug Resistance in Patients with Gastritis. Gastroenterol. Res. Pract. 2020, 2020, 3956838. [Google Scholar] [CrossRef]
- Alarcon-Millan, J.; Fernandez-Tilapa, G.; Cortes-Malagon, E.M.; Castanon-Sanchez, C.A.; De Sampedro-Reyes, J.; Cruz-Del Carmen, I.; Betancourt-Linares, R.; Roman-Roman, A. Clarithromycin resistance and prevalence of Helicobacter pylori virulent genotypes in patients from Southern Mexico with chronic gastritis. Infect. Genet. Evol. 2016, 44, 190–198. [Google Scholar] [CrossRef]
- Martinez-Carrillo, D.N.; Atrisco-Morales, J.; Hernandez-Pando, R.; Reyes-Navarrete, S.; Betancourt-Linares, R.; Cruz-del Carmen, I.; Illades Aguiar, B.; Roman-Roman, A.; Fernandez-Tilapa, G. Helicobacter pylori vacA and cagA genotype diversity and interferon gamma expression in patients with chronic gastritis and patients with gastric cancer. Rev. Gastroenterol. Mex. 2014, 79, 220–228. [Google Scholar] [CrossRef] [PubMed]
- Roman-Roman, A.; Martinez-Carrillo, D.N.; Atrisco-Morales, J.; Azucar-Heziquio, J.C.; Cuevas-Caballero, A.S.; Castanon-Sanchez, C.A.; Reyes-Rios, R.; Betancourt-Linares, R.; Reyes-Navarrete, S.; Cruz-Del Carmen, I.; et al. Helicobacter pylori vacA s1m1 genotype but not cagA or babA2 increase the risk of ulcer and gastric cancer in patients from Southern Mexico. Gut Pathog. 2017, 9, 18. [Google Scholar] [CrossRef] [PubMed]
- Li, Y.; Lin, R.; Jin, Y.; Jin, S.; Chen, B.; Wu, X. Genotyping Helicobacter pylori antibiotic resistance and virulence-associated genes in patients with gastric cancer in Wenzhou, China. Arab. J. Gastroenterol. 2021, 22, 267–271. [Google Scholar] [CrossRef] [PubMed]
- Nguyen, T.H.; Ho, T.T.M.; Nguyen-Hoang, T.P.; Qumar, S.; Pham, T.T.D.; Bui, Q.N.; Bulach, D.; Nguyen, T.V.; Rahman, M. The endemic Helicobacter pylori population in Southern Vietnam has both South East Asian and European origins. Gut Pathog. 2021, 13, 57. [Google Scholar] [CrossRef] [PubMed]
- Fernandez-Reyes, M.M.; Tamayo, E.; Rojas-Rengifo, D.; Fischer, W.; Carrasco-Garcia, E.; Alonso, M.; Lizasoain, J.; Bujanda, L.; Cosme, A.; Montes, M. Helicobacter pylori pathogenicity and primary antimicrobial resistance in Northern Spain. Eur. J. Clin. Invest. 2019, 49, e13150. [Google Scholar] [CrossRef] [PubMed]
- Yin, L.; Liu, F.; Guo, C.; Wang, Q.; Pan, K.; Xu, L.; Xiong, Y.; Chen, Y.; Chen, Z. Analysis of virulence diversity of 73 Helicobacter pylori strains isolated in Guizhou province, China. Mol. Med. Rep. 2018, 18, 4611–4620. [Google Scholar] [CrossRef]
- Queiroz, D.M.; Silva, C.I.; Goncalves, M.H.; Braga-Neto, M.B.; Fialho, A.B.; Fialho, A.M.; Rocha, G.A.; Rocha, A.M.; Batista, S.A.; Guerrant, R.L.; et al. Higher frequency of cagA EPIYA-C phosphorylation sites in H. pylori strains from first-degree relatives of gastric cancer patients. BMC Gastroenterol. 2012, 12, 107. [Google Scholar] [CrossRef]
- Secka, O.; Antonio, M.; Berg, D.E.; Tapgun, M.; Bottomley, C.; Thomas, V.; Walton, R.; Corrah, T.; Thomas, J.E.; Adegbola, R.A. Mixed infection with cagA positive and cagA negative strains of Helicobacter pylori lowers disease burden in The Gambia. PLoS ONE 2011, 6, e27954. [Google Scholar] [CrossRef]
- Lopez-Vidal, Y.; Ponce-de-Leon, S.; Castillo-Rojas, G.; Barreto-Zuniga, R.; Torre-Delgadillo, A. High diversity of vacA and cagA Helicobacter pylori genotypes in patients with and without gastric cancer. PLoS ONE 2008, 3, e3849. [Google Scholar] [CrossRef]
- Arslan, N.; Yilmaz, O.; Demiray-Gurbuz, E. Importance of antimicrobial susceptibility testing for the management of eradication in Helicobacter pylori infection. World J. Gastroenterol. 2017, 23, 2854–2869. [Google Scholar] [CrossRef]
- Wang, Y.H.; Wang, Y.H.; Li, Z.; Wang, L.; Zhu-Ge, L.Y.; Zhao, R.L.; Wu, S.; Wang, Y.; An, Y.; Xie, Y. A systematic review and meta-analysis of genotypic methods for detecting antibiotic resistance in Helicobacter pylori. Helicobacter 2018, 23, e12467. [Google Scholar] [CrossRef] [PubMed]
- Tshibangu-Kabamba, E.; Yamaoka, Y. Helicobacter pylori infection and antibiotic resistance—from biology to clinical implications. Nat. Rev. Gastroenterol. Hepatol. 2021, 18, 613–629. [Google Scholar] [CrossRef] [PubMed]
- Monno, R.; Giorgio, F.; Carmine, P.; Soleo, L.; Cinquepalmi, V.; Ierardi, E. Helicobacter pylori clarithromycin resistance detected by Etest and TaqMan real-time polymerase chain reaction: A comparative study. APMIS 2012, 120, 712–717. [Google Scholar] [CrossRef]
- Binmaeil, H.; Hanafiah, A.; Mohamed Rose, I.; Raja Ali, R.A. Development and Validation of Multiplex Quantitative PCR Assay for Detection of Helicobacter pylori and Mutations Conferring Resistance to Clarithromycin and Levofloxacin in Gastric Biopsy. Infect. Drug Resist. 2021, 14, 4129–4145. [Google Scholar] [CrossRef]
- Camorlinga-Ponce, M.; Gomez-Delgado, A.; Aguilar-Zamora, E.; Torres, R.C.; Giono-Cerezo, S.; Escobar-Ogaz, A.; Torres, J. Phenotypic and Genotypic Antibiotic Resistance Patterns in Helicobacter pylori Strains from Ethnically Diverse Population in Mexico. Front. Cell Infect. Microbiol. 2020, 10, 539115. [Google Scholar] [CrossRef] [PubMed]
- Kim, S.Y.; Park, J.M.; Lim, C.H.; Lee, H.A.; Shin, G.Y.; Choe, Y.; Cho, Y.K.; Choi, M.G. Types of 23S Ribosomal RNA Point Mutations and Therapeutic Outcomes for Helicobacter pylori. Gut Liver 2021, 15, 528–536. [Google Scholar] [CrossRef] [PubMed]
- Liu, Z.; Shen, J.; Zhang, L.; Shen, L.; Li, Q.; Zhang, B.; Zhou, J.; Gu, L.; Feng, G.; Ma, J.; et al. Prevalence of A2143G mutation of H. pylori-23S rRNA in Chinese subjects with and without clarithromycin use history. BMC Microbiol. 2008, 8, 81. [Google Scholar] [CrossRef] [PubMed]
- Alfizah, H.; Norazah, A.; Hamizah, R.; Ramelah, M. Resistotype of Helicobacter pylori isolates: The impact on eradication outcome. J. Med. Microbiol. 2014, 63 Pt 5, 703–709. [Google Scholar] [CrossRef]
- Keshavarz Azizi Raftar, S.; Moniri, R.; Saffari, M.; Razavi Zadeh, M.; Arj, A.; Mousavi, S.G.; Mirzaei Ghazi Kalayeh, H.; Dastehgoli, K. The Helicobacter pylori resistance rate to clarithromycin in Iran. Microb. Drug Resist. 2015, 21, 69–73. [Google Scholar] [CrossRef]
- Yousefi, A.; Eslami, S.; Noorbakhsh, S.; Haghighi, M.; TaheriNia, L.; Ehsanipour, F.; Ashouri, S. The Resistance Rate of Helicobacter pylori to Clarithromycin and Main Mutations on Bacterial Genomic Responsible for Bacterial Resistance: A Comparative Study in Children and Adults, Tehran and Iran. Infect. Disord. Drug Targets 2019, 19, 394–397. [Google Scholar] [CrossRef]
- Vazirzadeh, J.; Falahi, J.; Moghim, S.; Narimani, T.; Rafiei, R.; Karbasizadeh, V. Molecular Assessment of Resistance to Clarithromycin in Helicobacter pylori Strains Isolated from Patients with Dyspepsia by Fluorescent In Situ Hybridization in the Center of Iran. Biomed. Res. Int. 2020, 2020, 2304173. [Google Scholar] [CrossRef] [PubMed]
- Martins, G.M.; Sanches, B.S.; Moretzsohn, L.D.; Lima, K.S.; Cota, B.D.; Coelho, L.G. Molecular Detection of Clarithromycin and Fluoroquinolones Resistance in Helicobacter pylori Infection, Directly Applied to Gastric Biopsies, in an Urban Brazilian Population. Arq. Gastroenterol. 2016, 53, 113–117. [Google Scholar] [CrossRef] [PubMed]
- Krashias, G.; Bashiardes, S.; Potamitou, A.; Potamitis, G.S.; Christodoulou, C. Prevalence of Helicobacter pylori cagA and vacA genes in Cypriot patients. J. Infect. Dev. Ctries. 2013, 7, 642–650. [Google Scholar] [CrossRef] [PubMed]
- Seo, S.I.; Do, B.J.; Kang, J.G.; Kim, H.S.; Jang, M.K.; Kim, H.Y.; Shin, W.G. Helicobacter pylori Eradication According to Sequencing-Based 23S Ribosomal RNA Point Mutation Associated with Clarithromycin Resistance. J. Clin. Med. 2019, 9, 54. [Google Scholar] [CrossRef] [PubMed]
- Mi, M.; Wu, F.; Zhu, J.; Liu, F.; Cui, G.; Wen, X.; Hu, Y.; Deng, Z.; Wu, X.; Zhang, Z.; et al. Heterogeneity of Helicobacter pylori Strains Isolated from Patients with Gastric Disorders in Guiyang, China. Infect. Drug Resist. 2021, 14, 535–545. [Google Scholar] [CrossRef] [PubMed]
- Sugimoto, M.; Yamaoka, Y. Virulence factor genotypes of Helicobacter pylori affect cure rates of eradication therapy. Arch. Immunol. Ther. Exp. 2009, 57, 45–56. [Google Scholar] [CrossRef]
- Dai, J.; Zhao, J.; Mao, L.; Hu, Y.; Lv, B. Study on the value of antibiotic-resistant gene detection in Helicobacter pylori in China. Exp. Ther. Med. 2022, 23, 228. [Google Scholar] [CrossRef]
- Alavifard, H.; Mirzaei, N.; Yadegar, A.; Baghaei, K.; Smith, S.M.; Sadeghi, A.; Zali, M.R. Investigation of Clarithromycin Resistance-Associated Mutations and Virulence Genotypes of Helicobacter pylori Isolated from Iranian Population: A Cross-Sectional Study. Curr. Microbiol. 2021, 78, 244–254. [Google Scholar] [CrossRef]


| Target | Primer/Probe | Size (bp) | Reference |
|---|---|---|---|
| 16S rRNA | 5′-CTGGAGAGACTA AGCCCTCC-3′ 5′-ATTACTGACGCTGATTGTGC-3 | 109 | [24] |
| vacA s1/s2 | 5′-ATGGAAATACAACAAACACAC-3′ 5′-CTGCTTGAATGCGCCAAAC-3′ | 259/286 | [23] |
| vacA m1/m2 | 5′-CAATCTGTCCAATCAAGCGAG-3′ 5′-GCGTCAAAATAATTCCAAGG-3′ | 567/642 | [23] |
| cagA | 5′-GTTGATAACGCTGTCGCTTC-3′ 5′-GGGTTGTATGATATTTTCCATAA-3′ | 350 | [23] |
| 23S rRNA | 5′-TCAGTGAAATTGTAGTGGAGGTGAAA-3 5′-CAGTGCTAAGTTGTAGTAAAGGTCCA-3′ | [24,25] | |
| Wild type | VIC-AAGACGGAAAGACC-MGBNFQ | ||
| A2142G | FAM-AAGACGGGAAGACC-MGBNFQ | ||
| A2142C | FAM-CAAGACGGCAAGACC-MGBNFQ | ||
| A2143G | FAM-CAAGACGGAGAGACC-MGBNFQ | ||
| A2143C | FAM-CAAGACGGACAGACC-MGBNFQ | ||
| A2144G | FAM-CAAGACGGAAGGACC-MGBNFQ |
| Parameter | Clinical Diagnosis n = 91 | |||
|---|---|---|---|---|
| AG n = 27 (29.7%) | CG n = 47 (51.6%) | D n = 7 (7.7%) | GERD n = 10 (11%) | |
| Mean age ± SD (year) | 52.6 ± 13.6 | 48.9 ± 14.1 | 57.9 ± 9.8 | 55.6 ± 14.0 |
| Age range (year) | 21–78 | 18–88 | 47–71 | 25–74 |
| Female (%) | 19 (20.9) | 36 (39.5) | 2 (28.6) | 7 (7.7) |
| Male (%) | 8 (8.8) | 11 (12.1) | 5 (71.4) | 3 (3.3) |
| Genotype | Antrum/Corpus n (%) | Gastric Disease n(%) |
|---|---|---|
| vacA s1m1/cagA+ | 30 (44.8) | AG 16 (23.8) CG 14 (21.0) |
| vacA s1m1/cagA− | 7 (10.4) | AG 1 (1.5) CG 6 (8.9) |
| vacA s2m2/cagA+ | 1 (1.5) | CG 1 (1.5) |
| vacA s2m2/cagA− | 6 (9.0) | CG 4 (6.0) D 1 (1.5) GERD 1 (1.5) |
| vacA s1m2/cagA− | 2 (3.0) | CG 2 (3.0) |
| vacA s1m1/s2m2/cagA− | 2 (3.0) | CG 2 (3.0) |
| vacA s1/cagA+ | 9 (13.4) | AG 2 (3.0) CG 4 (6.0) GERD 3 (4.4) |
| vacA s1/cagA− | 1 (1.5) | GERD 1 (1.5) |
| vacA s1/s2/cagA− | 1 (1.5) | CG 1 (1.5) |
| cagA+ | 8 (11.9) | AG 1 (1.5) CG 1 (1.5) D 2 (3.0) GERD 4 (5.9) |
| Total | 67 (100) | AG 20 (30.0) CG 35 (52.2) D 3 (4.5) GERD 9 (13.3) |
| Patient Code | Genotype | Gastric Disease | ||
|---|---|---|---|---|
| Antrum | Corpus | |||
| 1 | 901616 | vacA s1m1/cagA+ | vacA s1/cagA− | CG |
| 2 | 901617 | vacA s1m1/cagA+ | vacA s1/cagA− | CG |
| 3 | 898796 | cagA− | vacA s2m2/cagA− | CG |
| 4 | 898053 | vacA s1/cagA− | vacA s1m1/s1m2/cagA− | CG |
| 5 | 905946 | vacA s1m1/s2m2/cagA+ | vacA s1m1/s2m2/cagA− | CG |
| 6 | 916426 | vacA s1m1/cagA− | vacA s1/cagA− | AG |
| 7 | 920465 | vacA m1/cagA+ | vacA s1m1/cagA− | D |
| 8 | 920133 | vacA m1/cagA− | vacA s1m1/cagA− | AG |
| 9 | 901618 | vacA s1m1/cagA+ | vacA s1/cagA− | CG |
| 10 | 898054 | vacA s1/cagA− | vacA s1m1/s1m2/cagA− | CG |
| 11 | 429322 | vacA s1/cagA+ | vacA s2m2/cagA− | D |
| 12 | 924536 | cagA− | vacA s1/cagA+ | D |
| 13 | 258914 | vacA s1m1/cagA− | vacA s1/cagA+ | AG |
| 14 | 939365 | vacA s1m1/cagA+ | cagA+ | AG |
| 15 | 942220 | vacA s1m1/cagA+ | cagA− | CG |
| 16 | 892921 | vacA s1m1/cagA+ | Hp (−) | CG |
| 17 | 936256 | vacA s1m1/cagA+ | Hp (−) | AG |
| 18 | 945229 | vacA s1m1/cagA+ | Hp (−) | AG |
| 19 | 944089 | vacA s1m1/cagA+ | Hp (−) | D |
| 20 | 944392 | cagA+ | Hp (−) | GERD |
| 21 | 57013 | Hp (−) | vacA s2m2/cagA− | CG |
| 22 | 916308 | Hp (−) | vacA s1/cagA+ | AG |
| 23 | 895973 | Hp (−) | vacA s1/cagA+ | CG |
| 24 | 947987 | Hp (−) | vacA s1/cagA+ | CG |
| Patient Code | 23S rRNA Mutations/Genotype | ||
|---|---|---|---|
| Antrum | Corpus | ||
| 1 | 886725 | A2143G/vacA s1m1/cagA+ | A2143G/vacA s1m1/cagA+ |
| 2 | 913514 | A2143G/vacA s2m2/cagA+ | A2143G/vacA s2m2/cagA+ |
| 3 | 787261 | A2143G/vacA s2m2/cagA− | A2143G/vacA s2m2/cagA− |
| 4 | 919583 | A2143G/vacA s2m2/cagA− | A2143G/vacA s2m2/cagA− |
| 5 | 804158 | A2143G/vacA s1m2/cagA− | A2143G/vacA s1m2/cagA− |
| 6 | 945776 | A2143G/vacA s1/cagA+ | A2143G/vacA s1/cagA+ |
| 7 | 905946 | A2143G/vacA s1m1/s2m2/cagA+ | A2143G/vacA s1m1/s2m2/cagA+ |
| 8 | 939365 | A2143G/vacA s1m1/cagA+ | A2143G/vacA−/cagA+ |
| 9 | 897467 | A2143G/vacA s1m2/cagA− | A2143C/A2144G/vacA s1m2/cagA− |
| 10 | 910108 | A2142G/vacA s1m1/cagA+ | A2142G/vacA s1m1/cagA+ |
| 11 | 910242 | A2142G/vacA s1m1/cagA+ | A2142G/vacA s1m1/cagA+ |
| 12 | 940196 | A2142G/vacA s1m1/cagA+ | A2142G/vacA s1m1/cagA+ |
| 13 | 943311 | A2142G/vacA s1m1/cagA+ | A2142G/vacA s1m1/cagA+ |
| 14 | 898796 | A2142C/cagA− | Wt/vacA s2m2/cagA− |
| 15 | 60702 | A2143G/A2142G/vacA s2m2/cagA− | A2143G/A2142G/vacA s2m2/cagA− |
| 16 | 0214F | Wt/cagA+ | A2143G/A2142G/A2142C/cagA+ |
| 17 | 936256 | A2143G/A2142G/A2142C/vacA s1m1/cagA+ | Hp (−) |
| 18 | 895973 | Hp (−) | A2143G/A2142G/A2142C/vacA s1/cagA+ |
Disclaimer/Publisher’s Note: The statements, opinions and data contained in all publications are solely those of the individual author(s) and contributor(s) and not of MDPI and/or the editor(s). MDPI and/or the editor(s) disclaim responsibility for any injury to people or property resulting from any ideas, methods, instructions or products referred to in the content. |
© 2023 by the authors. Licensee MDPI, Basel, Switzerland. This article is an open access article distributed under the terms and conditions of the Creative Commons Attribution (CC BY) license (https://creativecommons.org/licenses/by/4.0/).
Share and Cite
Alarcón-Millán, J.; Bonilla-Delgado, J.; Fernández-Tilapa, G.; Nieto-Velázquez, N.G.; Sierra-Martínez, M.; Alvarado-Castro, V.M.; Cortés-Malagón, E.M. Helicobacter pylori Virulence Factors and Clarithromycin Resistance-Associated Mutations in Mexican Patients. Pathogens 2023, 12, 234. https://doi.org/10.3390/pathogens12020234
Alarcón-Millán J, Bonilla-Delgado J, Fernández-Tilapa G, Nieto-Velázquez NG, Sierra-Martínez M, Alvarado-Castro VM, Cortés-Malagón EM. Helicobacter pylori Virulence Factors and Clarithromycin Resistance-Associated Mutations in Mexican Patients. Pathogens. 2023; 12(2):234. https://doi.org/10.3390/pathogens12020234
Chicago/Turabian StyleAlarcón-Millán, Judit, José Bonilla-Delgado, Gloria Fernández-Tilapa, Nayeli Goreti Nieto-Velázquez, Mónica Sierra-Martínez, Víctor Manuel Alvarado-Castro, and Enoc Mariano Cortés-Malagón. 2023. "Helicobacter pylori Virulence Factors and Clarithromycin Resistance-Associated Mutations in Mexican Patients" Pathogens 12, no. 2: 234. https://doi.org/10.3390/pathogens12020234
APA StyleAlarcón-Millán, J., Bonilla-Delgado, J., Fernández-Tilapa, G., Nieto-Velázquez, N. G., Sierra-Martínez, M., Alvarado-Castro, V. M., & Cortés-Malagón, E. M. (2023). Helicobacter pylori Virulence Factors and Clarithromycin Resistance-Associated Mutations in Mexican Patients. Pathogens, 12(2), 234. https://doi.org/10.3390/pathogens12020234

