Toxoplasma gondii Genetic Diversity in Mediterranean Dolphins
Abstract
:1. Introduction
2. Results
2.1. Parasite Detection
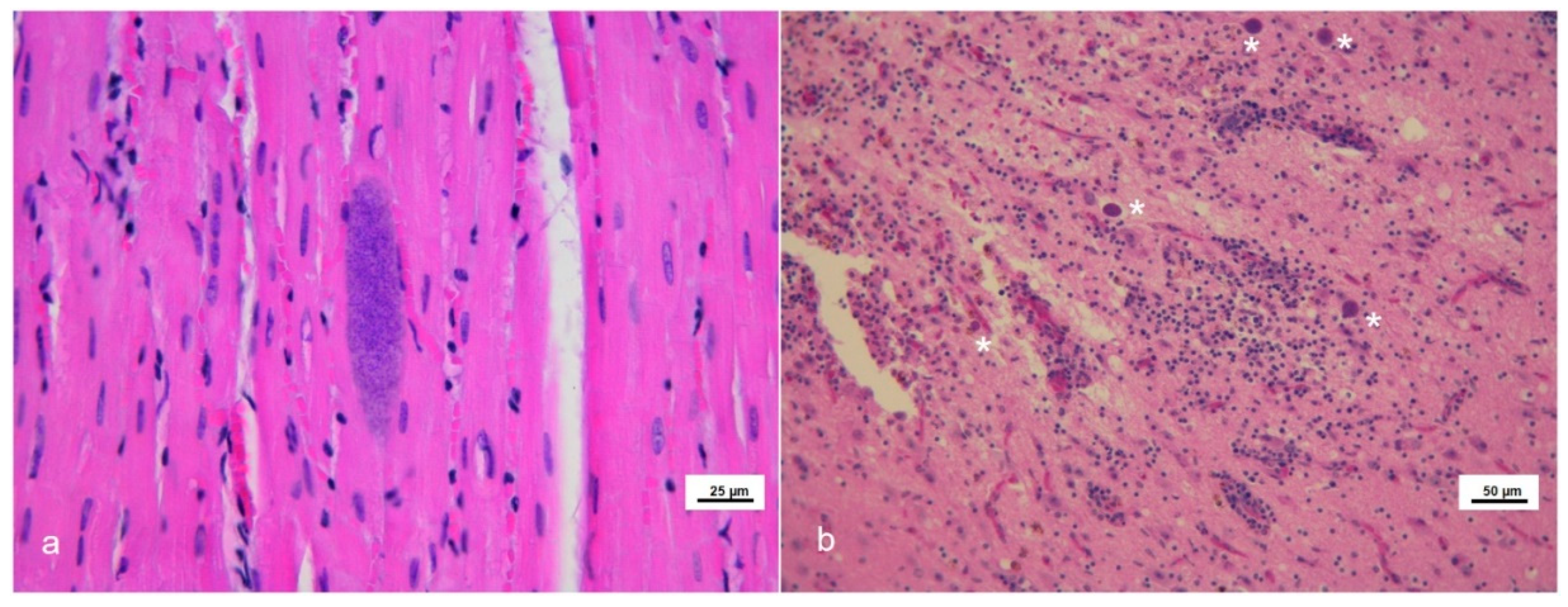
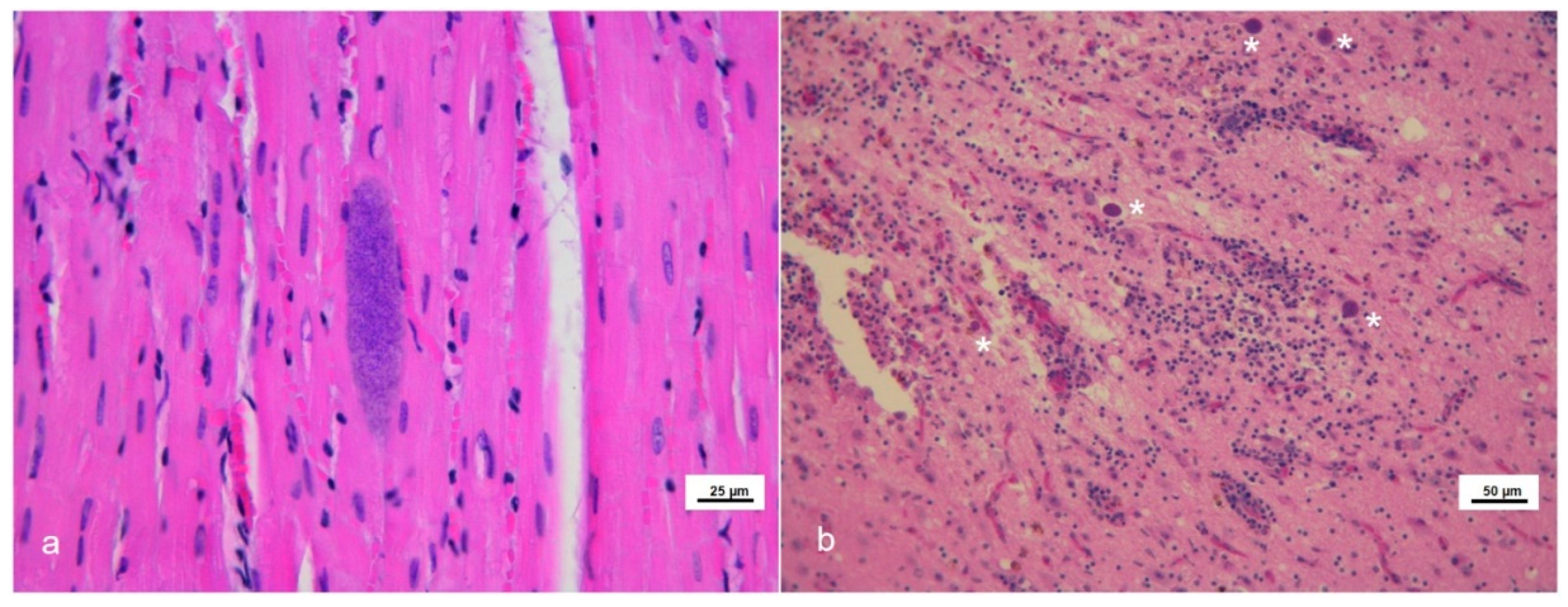
2.2. Histological and Parasite Burden Findings
2.3. Genotyping Results
2.4. Phylogenetic Analyses
3. Discussion
4. Materials and Methods
4.1. Materials
4.2. DNA Extraction from Tissues
4.3. Parasite Quantification in Tissues
4.4. Molecular Characterization-Genotyping of T. gondii Strains (Organisms)
4.5. Phylogenetic Analyses
5. Conclusions
Supplementary Materials
Author Contributions
Funding
Institutional Review Board Statement
Informed Consent Statement
Data Availability Statement
Acknowledgments
Conflicts of Interest
References
- Dubey, J.P. Toxoplasmosis Of Animals And Humans, 3rd ed.; CRC Press: Boca Raton, FL, USA, 2022; pp. 1–542. [Google Scholar]
- Di Guardo, G.; Proietto, U.; Di Francesco, C.E.; Marsilio, F.; Zaccaroni, A.; Scaravelli, D.; Mignone, W.; Garibaldi, F.; Kennedy, S.; Forster, F.; et al. Cerebral Toxoplasmosis in Striped Dolphins (Stenella coeruleoalba) Stranded along the Ligurian Sea Coast of Italy. Vet. Pathol. 2010, 47, 245–253. [Google Scholar] [CrossRef] [PubMed]
- Pintore, M.D.; Mignone, W.; Di Guardo, G.; Mazzariol, S.; Ballardini, M.; Florio, C.L.; Goria, M.; Romano, A.; Caracappa, S.; Giorda, F.; et al. Neuropathologic findings in cetaceans stranded in Italy (2002–2014). J. Wildl. Dis. 2018, 54, 295–303. [Google Scholar] [CrossRef]
- Sierra, E.; Fernández, A.; Felipe-Jiménez, I.; Zucca, D.; Díaz-Delgado, J.; Puig-Lozano, R.; Câmara, N.; Consoli, F.; Díaz-Santana, P.; Suárez-Santana, C.; et al. Histopathological Differential Diagnosis of Meningoencephalitis in Cetaceans: Morbillivirus, Herpesvirus, Toxoplasma gondii, Brucella sp., and Nasitrema sp. Front. Vet. Sci. 2020, 7, 650. [Google Scholar] [CrossRef]
- Giorda, F.; Crociara, P.; Iulini, B.; Gazzuola, P.; Favole, A.; Goria, M.; Serracca, L.; Dondo, A.; Crescio, M.I.; Audino, T.; et al. Neuropathological Characterization of Dolphin Morbillivirus Infection in Cetaceans Stranded in Italy. Animals 2022, 12, 452. [Google Scholar] [CrossRef]
- Dardé, M.L.; Mercier, A.; Su, C.; Khan, A.; Grigg, M.E. Chapter 3: Molecular Epidemiology and Population Structure of Toxoplasma gondii. In Toxoplasma gondii: The Model Apicomplexan—Perspectives and Methods, 3rd ed.; Weiss, L.M., Kim, K., Eds.; Academic Press: New York, NY, USA, 2020; pp. 1–1222. [Google Scholar]
- Calero-Bernal, R.; Fernández-Escobar, M.; Katzer, F.; Su, C.; Ortega-Mora, L.M. Unifying Virulence Evaluation in Toxoplasma gondii: A Timely Task. Front. Cell. Infect. Microbiol. 2022, 12, 868727. [Google Scholar] [CrossRef] [PubMed]
- Dubey, J.P.; Murata, F.H.A.; Cerqueira-Cézar, C.K.; Kwok, O.C.H.; Grigg, M.E. Recent epidemiologic and clinical importance of Toxoplasma gondii infections in marine mammals: 2009–2020. Vet. Parasitol. 2020, 288, 109296. [Google Scholar] [CrossRef] [PubMed]
- Giorda, F.; Romani-Cremaschi, U.; Marsh, A.E.; Grattarola, C.; Iulini, B.; Pautasso, A.; Varello, K.; Berio, E.; Gazzuola, P.; Marsili, L.; et al. Evidence for Unknown Sarcocystis-Like Infection in Stranded Striped Dolphins (Stenella coeruleoalba) from the Ligurian Sea, Italy. Animals 2021, 11, 1201. [Google Scholar] [CrossRef] [PubMed]
- Fernández-Escobar, M.; Schares, G.; Maksimov, P.; Joeres, M.; Ortega-Mora, L.M.; Calero-Bernal, R. Toxoplasma gondii Genotyping: A Closer Look Into Europe. Front. Cell. Infect. Microbiol. 2022, 12, 842595. [Google Scholar] [CrossRef] [PubMed]
- Pena, H.F.; Gennari, S.M.; Dubey, J.P.; Su, C. Population structure and mouse-virulence of Toxoplasma gondii in Brazil. Int. J. Parasitol. 2008, 38, 561–569. [Google Scholar] [CrossRef] [PubMed]
- Fernández-Escobar, M.; Calero-Bernal, R.; Benavides, J.; Regidor-Cerrillo, J.; Guerrero-Molina, M.C.; Gutiérrez-Expósito, D.; Collantes-Fernández, E.; Ortega-Mora, L.M. Isolation and genetic characterization of Toxoplasma gondii in Spanish sheep flocks. Parasit Vectors 2020, 13, 396. [Google Scholar] [CrossRef]
- Di Guardo, G.; Di Cesare, A.; Otranto, D.; Casalone, C.; Iulini, B.; Mignone, W.; Tittarelli, C.; Meloni, S.; Castagna, G.; Forster, F.; et al. Genotyping of Toxoplasma gondii isolates in meningo-encephalitis affected striped dolphins (Stenella coeruleoalba) from Italy. Vet. Parasitol. 2011, 183, 31–36. [Google Scholar] [CrossRef]
- Grattarola, C.; Giorda, F.; Iulini, B.; Pintore, M.D.; Pautasso, A.; Zoppi, S.; Goria, M.; Romano, A.; Peletto, S.; Varello, K.; et al. Meningoencephalitis and Listeria monocytogenes, Toxoplasma gondii and Brucella spp. coinfection in a dolphin in Italy. Dis. Aquat. Organ. 2016, 118, 169–174. [Google Scholar] [CrossRef]
- Bigal, E.; Morick, D.; Scheinin, A.P.; Salant, H.; Berkowitz, A.; King, R.; Levy, Y.; Melero, M.; Sánchez-Vizcaíno, J.M.; Goffman, O.; et al. Detection of Toxoplasma gondii in three common bottlenose dolphins (Tursiops truncatus); A first description from the Eastern Mediterranean Sea. Vet Parasitol. 2018, 258, 74–78. [Google Scholar] [CrossRef] [PubMed]
- Jardine, J.E.; Dubey, J.P. Congenital toxoplasmosis in a Indo-Pacific bottlenose dolphin (Tursiops aduncus). J. Parasitol. 2002, 88, 197–199. [Google Scholar] [CrossRef]
- Resendes, A.R.; Almería, S.; Dubey, J.P.; Obon, E.; Juan-Salles, C.; Degollada, E.; Alegre, F.; Cabezon, O.; Pont, S.; Domingo, M. Disseminated toxoplasmosis in a Mediterranean pregnant Risso’s dolphin (Grampus griseus) with transplacental fetal infection. J. Parasitol. 2002, 88, 1029–1032. [Google Scholar] [CrossRef]
- Miller, M.A.; Sverlow, K.; Crosbie, P.R.; Barr, B.C.; Lowenstine, L.J.; Gulland, F.M.; Packham, A.; Conrad, P.A. Isolation and characterization of two parasitic protozoa from a Pacific harbor seal (Phoca vitulina richardsi) with meningoencephalomyelitis. J. Parasitol. 2001, 87, 816–822. [Google Scholar] [CrossRef]
- Gonzales-Viera, O.; Marigo, J.; Ruoppolo, V.; Rosas, F.C.W.; Kanamura, C.T.; Takakura, C.; Fernández, A.; Catão-Dias, J.L. Toxoplasmosis in a Guiana dolphin (Sotalia guianensis) from Parana, Brazil. Vet. Parasitol. 2013, 191, 358–362. [Google Scholar] [CrossRef]
- Galal, L.; Ajzenberg, D.; Hamidović, A.; Durieux, M.F.; Dardé, M.L.; Mercier, A. Toxoplasma and Africa: One Parasite, Two Opposite Population Structures. Trends Parasitol. 2018, 34, 140–154. [Google Scholar] [CrossRef] [PubMed]
- Laran, S.; Dulau, V. Seasonal variation of striped dolphins, fin- and sperm whales’ abundance in the Ligurian Sea (Mediterranean Sea). J. Mar. Biol. Assoc. U. K. 2007, 87, 345–352. [Google Scholar] [CrossRef]
- Meissner, A.M.; Macleod, C.D.; Richard, P.; Ridoux, V.; Pierce, G. Feeding ecology of striped dolphins, Stenella coeruleoalba, in the north-western Mediterranean Sea based on stable isotope analyses. J. Mar. Biol. Assoc. U. K. 2012, 8, 1677–1687. [Google Scholar] [CrossRef]
- Marini, C.; Fossa, F.; Paoli, C.; Bellingeri, M.; Gnone, G.; Vassallo, P. Predicting bottlenose dolphin distribution along Liguria coast (northwestern Mediterranean Sea) through different modeling techniques and indirect predictors. J. Environ. Manag. 2015, 150, 9–20. [Google Scholar] [CrossRef]
- Di Guardo, G.; Falconi, A.; Di Francesco, A.; Mazzariol, S.; Centelleghe, C.; Casalone, C.; Pautasso, A.; Cocumelli, C.; Eleni, C.; Petrella, A.; et al. Western blot expression of 5-lipoxygenase in the brain from striped dolphins (Stenella coeruleoalba) and bottlenose dolphins (Tursiops truncatus) with or without encephalitis/meningo-encephalitis of infectious nature. J. Biol. Regul. Homeost. Agents. 2015, 29, 245–250. [Google Scholar]
- Shwab, E.K.; Zhu, X.Q.; Majumdar, D.; Pena, H.F.; Gennari, S.M.; Dubey, J.P.; Su, C. Geographical patterns of Toxoplasma gondii genetic diversity revealed by multilocus PCR-RFLP genotyping. Parasitology 2014, 141, 453–461. [Google Scholar] [CrossRef]
- Dubey, J.P.; Fair, P.A.; Sundar, N.; Velmurugan, G.; Kwok, O.C.H.H.; McFee, W.E.; Majumdar, D.; Su, C. Isolation of Toxoplasma gondii From Bottlenose Dolphins (Tursiops truncatus). J. Parasitol. 2008, 94, 821–823. [Google Scholar] [CrossRef]
- Dubey, J.P.; Morales, J.A.; Sundar, N.; Velmurugan, G.V.; González-Barrientos, C.R.; Hernández-Mora, G.; Su, C. Isolation and genetic characterization of Toxoplasma gondii from striped dolphin (Stenella coeruleoalba) from Costa Rica. J. Parasitol. 2007, 93, 710–711. [Google Scholar] [CrossRef]
- Terracciano, G.; Fichi, G.; Comentale, A.; Ricci, E.; Mancusi, C.; Perrucci, S. Dolphins Stranded along the Tuscan Coastline (Central Italy) of the Pelagos Sanctuary: A Parasitological Investigation. Pathogens 2020, 9, 612. [Google Scholar] [CrossRef]
- Dubey, J.P.; Mergi, J.; Gehring, E.; Sundar, N.; Velmurugan, G.V.; Kwok, O.C.H.; Grigg, M.E.; Su, C.; Martineau, D. Toxoplasmosis in captive dolphins (Tursiops truncatus) and Walrus (Odobenus rosmarus). J. Parasitol. 2009, 95, 82–85. [Google Scholar] [CrossRef]
- Roe, W.D.; Howe, L.; Baker, E.J.; Burrows, L.; Hunter, S.A. An atypical genotype of Toxoplasma gondii as a cause of mortality in Hector’ dolphins (Cephalorhynchus hectori). Vet. Parasitol. 2013, 192, 67–74. [Google Scholar] [CrossRef]
- Herder, V.; van de Velde, N.; Højer Kristensen, J.; van Elk, C.; Peters, M.; Kilwinski, J.; Schares, G.; Siebert, U.; Wohlsein, P. Fatal Disseminated Toxoplasma gondii Infection in a Captive Harbour Porpoise (Phocoena phocoena). J. Comp. Pathol. 2015, 153, 357–362. [Google Scholar] [CrossRef]
- Marcer, F.; Marchiori, E.; Centelleghe, C.; Ajzenberg, D.; Gustinelli, A.; Meroni, V.; Mazzariol, S. Parasitological and pathological findings in fin whales Balaenoptera physalus stranded along Italian coastlines. Dis. Aquat. Organ. 2019, 133, 25–37. [Google Scholar] [CrossRef]
- Marino, A.M.F.; Giunta, R.P.; Salvaggio, A.; Castello, A.; Alfonzetti, T.; Barbagallo, A.; Aparo, A.; Scalzo, F.; Reale, S.; Buffolano, W.; et al. Toxoplasma gondii in edible fishes captured in the Mediterranean basin. Zoonoses Public Health 2019, 66, 826–834. [Google Scholar] [CrossRef]
- Lachkhem, A.; Galal, L.; Lahmar, I.; Passebosc, K.; Riahi, H.; Plault, N.; Dardé, M.L.; Mercier, A.; Babba, H. First isolation and genotyping of Toxoplasma gondii strains from domestic animals in Tunisia. Sci. Rep. 2021, 11, 9328. [Google Scholar] [CrossRef]
- Geraci, J.R.; Lounsbury, V.J.; Texas A & M University. Sea Grant College Program. In Marine Mammals Ashore: A Field Guide for Strandings, 2nd ed.; National Aquarium in Baltimore: Baltimore, MD, USA, 2005; Volume 486, ISBN 9780977460908. [Google Scholar]
- Carlini, R.; de Francesco, M.C.; Libera, S. Della Biometric measures indicating sexual dimorphism in Stenella coeruleoalba (Meyen, 1833) (Delphinidae) in the north-central Tyrrhenian sea. Aquat. Mamm. 2014, 40, 59–68. [Google Scholar] [CrossRef]
- IJsseldijk, L.L.; Brownlow, A.C.; Mazzariol, S. Best Practice on Cetacean Post Mortem Investigation and Tissue Sampling. In Proceedings of the 25th Meeting of the Advisory Committee, Stralsund, Germany, 17–19 September 2019; p. 73. [Google Scholar]
- Vitale, M.; Galluzzo, P.; Currò, V.; Gozdzik, K.; Schillaci, D.; Di Marco Lo Presti, V. A high sensitive nested PCR for Toxoplasma gondii detection in animal and food samples. J. Microb. Biochem. Technol. 2013, 5, 39–41. [Google Scholar] [CrossRef]
- Díaz-Delgado, J.; Groch, K.R.; Hernani, H.G.C.; Castaldo Colosio, A.; Farias Alves, B.; Pena, H.; Catão-Dias, J. Fatal Systemic Toxoplasmosis by a Novel Non-archetypal Toxoplasma gondii in a Bryde’s Whale (Balaenoptera edeni). Front. Mar. Sci. 2020, 7, 336. [Google Scholar] [CrossRef]
- Slany, M.; Dziedzinska, R.; Babak, V.; Kralik, P.; Moravkova, M.; Slana, I. Toxoplasma gondii in vegetables from fields and farm storage facilities in the Czech Republic. FEMS Microbiol. Lett. 2019, 366, fnz170. [Google Scholar] [CrossRef]
- Slana, I.; Kralik, P.; Kralova, A.; Pavlik, I. On-farm spread of Mycobacterium avium subsp. paratuberculosis in raw milk studied by IS900 and F57 competitive real time quantitative PCR and culture examination. Int. J. Food Microbiol. 2008, 128, 250–257. [Google Scholar] [CrossRef]
- Su, C.; Shwab, E.K.; Zhou, P.; Zhu, X.Q.; Dubey, J.P. Moving towards an integrated approach to molecular detection and identification of Toxoplasma gondii. Parasitology 2010, 137, 1–11. [Google Scholar] [CrossRef]
- Bottós, J.; Miller, R.H.; Belfort, R.N.; Macedo, A.C.; UNIFESP Toxoplasmosis Group; Belfort, R., Jr.; Grigg, M.E. Bilateral retinochoroiditis caused by an atypical strain of Toxoplasma gondii. Br. J. Ophthalmol. 2009, 93, 1546–1550. [Google Scholar] [CrossRef]
- Fernández-Escobar, M.; Calero-Bernal, R.; Regidor-Cerrillo, J.; Vallejo, R.; Benavides, J.; Collantes-Fernández, E.; Ortega-Mora, L.M. In vivo and in vitro models show unexpected degrees of virulence among Toxoplasma gondii type II and III isolates from sheep. Vet. Res. 2021, 52, 82. [Google Scholar] [CrossRef]
- Hall, T.A. BioEdit: A user-friendly biological sequence alignment editor and analysis program for windows 95/98/NT. Nucleic Acids Symp. Ser. 1999, 41, 95–98. [Google Scholar]
- Vincze, T.; Posfai, J.; Roberts, R.J. NEBcutter: A program to cleave DNA with restriction enzymes. Nucleic Acids Res. 2003, 31, 3688–3691. [Google Scholar] [CrossRef]
- Saitou, N.; Nei, M. The neighbor-joining method: A new method for reconstructing phylogenetic trees. Mol. Biol. Evol. 1987, 4, 406–425. [Google Scholar]
- Felsenstein, J. Confidence Limits On Phylogenies: An Approach Using The Bootstrap. Evolution 1985, 39, 783–791. [Google Scholar] [CrossRef]
- Tamura, K.; Nei, M.; Kumar, S. Prospects for inferring very large phylogenies by using the neighbor-joining method. Proc. Natl. Acad. Sci. USA 2004, 101, 11030–11035. [Google Scholar] [CrossRef] [PubMed]
- Tamura, K.; Stecher, G.; Kumar, S. MEGA11: Molecular Evolutionary Genetics Analysis Version 11. Mol. Biol. Evol. 2021, 38, 3022–3027. [Google Scholar] [CrossRef] [PubMed]
- Cerutti, F.; Giorda, F.; Grattarola, C.; Mignone, W.; Beltramo, C.; Keck, N.; Lorusso, A.; Di Francesco, G.; Di Renzo, L.; Di Guardo, G.; et al. Specific capture and whole-genome phylogeography of Dolphin morbillivirus. Sci Rep. 2020, 10, 20831. [Google Scholar] [CrossRef]
- Garofolo, G.; Petrella, A.; Lucifora, G.; Di Francesco, G.; Di Guardo, G.; Pautasso, A.; Iulini, B.; Varello, K.; Giorda, F.; Goria, M.; et al. Occurrence of Brucella ceti in striped dolphins from Italian Seas. PLoS ONE 2020, 15, e0240178. [Google Scholar] [CrossRef] [PubMed]



| Case# (ID) | Tissue Samples Tested for T. gondii during Necropsy Procedures * | Histological Examination | Parasite Load by qPCR (Zoites/mg) ** | ||
|---|---|---|---|---|---|
| Tissue Submitted to Molecular Characterization | H&E Lesions Compatible with T. gondii Infection | T. gondii-like Tissue Cysts Observed? (Yes/No) | |||
| #1 (547/15) | CNS, lung, heart, liver a, prescapular LN, skeletal muscle b | CNS | Moderate NS encephalitis | Y | 28.60 |
| Prescapular LN | None | N | 13.21 | ||
| Lung | Hemorrhages | N | 103.01 | ||
| #2 (3908/15) | CNS, lung, spleen, liver, prescapular LN, skeletal muscle | Lung | None | N | 8.50 |
| Spleen | None | N | 0.44 | ||
| #3 (40548/15) | CNS, lung, spleen, liver, heart a, prescapular LN a, skeletal muscle | Spleen | None | N | Not detected |
| #4 (1267/15) | CNS, heart, spleen, liver, prescapular LN, skeletal muscle | CNS | Severe NS meningoencephalitis | Y | 3.27 |
| Liver | Foci of necrosis | N | 16.56 | ||
| Prescapular LN | None | N | 0.83 | ||
| #5 (14879/16) | CNS, spleen, liver, prescapular LN, heart. skeletal muscle | CNS | Moderate NS meningoencephalitis | Y | 3.34 |
| #6 (16769/17) | CNS, heart, spleen, liver, bronchial and pulmonary LN, skeletal muscle | CNS | Moderate NS meningoencephalitis | Y | 167.40 |
| Liver | Foci of necrosis associated with mixed inflammatory infiltrate | N | 5.76 | ||
| Pulmonary LN | Necrotizing lymphadenitis | N | 4.18 | ||
| Skeletal muscle | NS myositis | Y | 1.84 | ||
| #7 (78983/17) | CNS, heart a, spleen, liver, prescapular and bronchial LN, skeletal muscle | CNS | Severe NS necrotizing meningoencephalitis | Y | 17.95 |
| #8 (50099/18) | Liver, prescapular and bronchial a LN, spleen, muscle | Prescapular LN | None | N | Not detected |
| #9 (62728/18) | CNS, lung, heart, spleen, liver, prescapular LN, skeletal muscle | CNS | Mild NS meningoencephalitis | N | 6.56 |
| #10 (92929/18) | CNS | CNS | Severe NS meningoencephalitis | Y | 83.13 |
| #11 (95661/19) | CNS, lung, heart, spleen, liver, thymus, prescapular LN, skeletal muscle | CNS | Severe NS necrotizing meningoencephalitis | Y | 16.21 |
| #12 (24676/20) | CNS, spleen a, prescapular LN a | CNS | Moderate NS meningoencephalitis | Y | 1.99 |
| #13 (38325/20) | CNS, spleen, kidney, prescapular LN | CNS | Severe NS encephalitis | Y | 5507.32 |
| #14 (51352/20) | CNS, heart a, spleen, mesenteric and pulmonary LN, skeletal muscle | CNS | Mild NS meningoencephalitis | Y | 23.58 |
| Skeletal muscle | None | N | 6.96 | ||
| Pulmonary LN | None | N | Not detected | ||
| Spleen | None | N | 0.03 | ||
| #15 (2564/21) | CNS, lung, spleen, liver, prescapular LN, skeletal muscle | CNS | Severe pyogranulomatous encephalitis associated with mild meningitis | Y | 316.06 |
| Spleen | NP | Not detected | |||
| #16 (24621/21) | CNS, lung, heart, spleen, liver, prescapular LN, skeletal muscle | CNS | Severe NS meningoencephalitis | Y | 1537.23 |
| Case# (ID) | Tissue * | SAG1 | 3′-SAG2 | 5′-SAG2 | Alt. SAG2 | SAG3 | BTUB | GRA6 | c22-8 | C29-2 | L358 | PK1 | Apico | GRA7 | CS3 | ToxoDB # |
|---|---|---|---|---|---|---|---|---|---|---|---|---|---|---|---|---|
| Reference strain RH | - | I | I/III | I/II | I | I | I | I | I | I | I | I | I | I | I | #10 |
| Reference strain Me-49 | - | II/III | II | I/II | II | IIa | II | II | II | II | II | II | II | II | II | #1 |
| Reference strain NED | - | II/III | I/III | III | III | III | III | III | III | III | III | III | III | III | III | #2 |
| #1 (547/15) | CNS | II/III | II | I/II | II | IIa | II | II | II | II | II | II | I | II | II | #3 |
| #2 (3908/15) | Lung | - | II | - | - | IIa | - | - | - | - | - | - | I | - | - | Likely #3 |
| #4 (1267/17) | Liver | II/III | II | I/II | II + III | IIb | II | II | II + III | II | II | II | I | II | II | Likely mixed |
| #6 (16769/17) | CNS | II/III | II | I/II | II | IIa | II | II | II | II | II | II | I | II | II | #3 |
| #7 (78983/17) | CNS | II/III | II | I/II | II | IIb | II | II | II | II | II | II | I | II | II | #3 |
| #9 (62728/18) | CNS | - | - | - | - | IIa | - | - | II | - | - | - | I | - | - | Likely #3 |
| #10 (92929/18) | CNS | II/III | II | I/II | II | IIa | II | II | II | II | II | II | I | II | II | #3 |
| #11 (95661/19) | CNS | II/III | II | I/II | II | IIb | II | II | II | II | - | II | I | II | II | Likely #3 |
| #13 (38325/20) | CNS | II/III | I/III | III | III | III | III | III | III | III | III | III | III | III | III | #2 |
| #14 (51352/20) | CNS | II/III | II | I/II | II | IIb | II | II | II | II | II | II | I | II | II | #3 |
| #15 (2564/21) | CNS | II/III | II | I/II | II | IIa | II | II | II | II | II | II | I | II | II | #3 |
| #16 (24621/21) | CNS | II/III | I/III | III | III | III | III | III | III | III | III | III | III | III | III | #2 |
Publisher’s Note: MDPI stays neutral with regard to jurisdictional claims in published maps and institutional affiliations. |
© 2022 by the authors. Licensee MDPI, Basel, Switzerland. This article is an open access article distributed under the terms and conditions of the Creative Commons Attribution (CC BY) license (https://creativecommons.org/licenses/by/4.0/).
Share and Cite
Fernández-Escobar, M.; Giorda, F.; Mattioda, V.; Audino, T.; Di Nocera, F.; Lucifora, G.; Varello, K.; Grattarola, C.; Ortega-Mora, L.M.; Casalone, C.; et al. Toxoplasma gondii Genetic Diversity in Mediterranean Dolphins. Pathogens 2022, 11, 909. https://doi.org/10.3390/pathogens11080909
Fernández-Escobar M, Giorda F, Mattioda V, Audino T, Di Nocera F, Lucifora G, Varello K, Grattarola C, Ortega-Mora LM, Casalone C, et al. Toxoplasma gondii Genetic Diversity in Mediterranean Dolphins. Pathogens. 2022; 11(8):909. https://doi.org/10.3390/pathogens11080909
Chicago/Turabian StyleFernández-Escobar, Mercedes, Federica Giorda, Virgina Mattioda, Tania Audino, Fabio Di Nocera, Giuseppe Lucifora, Katia Varello, Carla Grattarola, Luis Miguel Ortega-Mora, Cristina Casalone, and et al. 2022. "Toxoplasma gondii Genetic Diversity in Mediterranean Dolphins" Pathogens 11, no. 8: 909. https://doi.org/10.3390/pathogens11080909
APA StyleFernández-Escobar, M., Giorda, F., Mattioda, V., Audino, T., Di Nocera, F., Lucifora, G., Varello, K., Grattarola, C., Ortega-Mora, L. M., Casalone, C., & Calero-Bernal, R. (2022). Toxoplasma gondii Genetic Diversity in Mediterranean Dolphins. Pathogens, 11(8), 909. https://doi.org/10.3390/pathogens11080909

