Volume-Associated Clinical and Histopathological Effects of Intranasal Instillation in Syrian Hamsters: Considerations for Infection and Therapeutic Studies
Abstract
1. Introduction
2. Results
2.1. No Volume-Associated Changes Were Seen in Clinical Measures, Oxygenation, or Pulmonary Radiography in Intranasally Instilled Hamsters
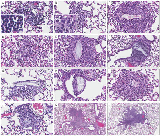
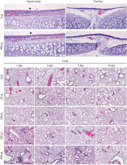
2.2. Volume-Dependent Histopathological Evidence of Foreign Material Aspiration in Intranasally Instilled Hamsters
3. Discussion
4. Materials and Methods
4.1. Intranasal Instillation in Hamsters
4.2. Pulse Oximetry
4.3. Complete Blood Count
4.4. Radiographs
4.5. Histopathology
4.6. Graphing and Statistical Analyses
Author Contributions
Funding
Institutional Review Board Statement
Acknowledgments
Conflicts of Interest
Disclaimer
References
- Smith, C.A.; Kulkarni, U.; Chen, J.; Goldstein, D.R. Influenza virus inoculum volume is critical to elucidate age-dependent mortality in mice. Aging Cell 2019, 18, e12893. [Google Scholar] [CrossRef]
- Smee, D.F.; von Itzstein, M.; Bhatt, B.; Tarbet, E.B. Exacerbation of influenza virus infections in mice by intranasal treatments and implications for evaluation of antiviral drugs. Antimicrob. Agents Chemother. 2012, 56, 6328–6333. [Google Scholar] [CrossRef][Green Version]
- Du, Y.; Xu, Y.; Feng, J.; Hu, L.; Zhang, Y.; Zhang, B.; Guo, W.; Mai, R.; Chen, L.; Fang, J.; et al. Intranasal administration of a recombinant RBD vaccine induced protective immunity against SARS-CoV-2 in mouse. Vaccine 2021, 39, 2280–2287. [Google Scholar] [CrossRef]
- Pechous, R.D. Intranasal Inoculation of Mice with Yersinia pestis and Processing of Pulmonary Tissue for Analysis. Methods Mol. Biol. 2019, 2010, 17–28. [Google Scholar]
- Southam, D.S.; Dolovich, M.; O’Byrne, P.M.; Inman, M.D. Distribution of intranasal instillations in mice: Effects of volume, time, body position, and anesthesia. Am. J. Physiol. Lung Cell. Mol. Physiol. 2002, 282, L833–L839. [Google Scholar] [CrossRef]
- Miller, M.A.; Stabenow, J.M.; Parvathareddy, J.; Wodowski, A.J.; Fabrizio, T.P.; Bina, X.R.; Zalduondo, L.; Bina, J.E. Visualization of murine intranasal dosing efficiency using luminescent Francisella tularensis: Effect of instillation volume and form of anesthesia. PLoS ONE 2012, 7, e31359. [Google Scholar] [CrossRef]
- Moore, I.N.; Lamirande, E.W.; Paskel, M.; Donahue, D.; Kenney, H.; Qin, J.; Subbarao, K. Severity of clinical disease and pathology in ferrets experimentally infected with influenza viruses is influenced by inoculum volume. J. Virol. 2014, 88, 13879–13891. [Google Scholar] [CrossRef]
- Citron, M.P.; Patel, M.; Purcell, M.; Lin, S.-A.; Rubins, D.J.; McQuade, P.; Callahan, C.; Gleason, A.; Petrescu, I.; Knapp, W.; et al. A novel method for strict intranasal delivery of non-replicating RSV vaccines in cotton rats and non-human primates. Vaccine 2018, 36, 2876–2885. [Google Scholar] [CrossRef]
- Creissen, E.; Izzo, L.; Dawson, C.; Izzo, A.A. Guinea Pig Model of Mycobacterium tuberculosis Infection. Curr. Protoc. 2021, 1, e312. [Google Scholar] [CrossRef]
- Braxton, A.M.; Creisher, P.S.; Ruiz-Bedoya, C.A.; Mulka, K.R.; Dhakal, S.; Ordonez, A.A.; Beck, S.E.; Jain, S.K.; Villano, J.S. Hamsters as a Model of Severe Acute Respiratory Syndrome Coronavirus-2. Comp. Med. 2021, 71, 398–410. [Google Scholar] [CrossRef]
- Rosenke, K.; Jarvis, M.A.; Feldmann, F.; Schwarz, B.; Okumura, A.; Lovaglio, J.; Saturday, G.; Hanley, P.W.; Meade-White, K.; Williamson, B.N.; et al. Hydroxychloroquine prophylaxis and treatment is ineffective in macaque and hamster SARS-CoV-2 disease models. JCI Insight 2020, 5, e143174. [Google Scholar] [CrossRef]
- Kaptein, S.J.F.; Jacobs, S.; Langendries, L.; Seldeslachts, L.; Ter Horst, S.; Liesenborghs, L.; Hens, B.; Vergote, V.; Heylen, E.; Barthelemy, K.; et al. Favipiravir at high doses has potent antiviral activity in SARS-CoV-2-infected hamsters, whereas hydroxychloroquine lacks activity. Proc. Natl. Acad. Sci. USA 2020, 117, 26955–26965. [Google Scholar] [CrossRef]
- Miao, J.; Chard, L.S.; Wang, Z.; Wang, Y. Syrian Hamster as an Animal Model for the Study on Infectious Diseases. Front. Immunol. 2019, 10, 2329. [Google Scholar] [CrossRef]
- Geisbert, T.W.; Feldmann, H.; Broder, C.C. Animal challenge models of henipavirus infection and pathogenesis. Curr. Top. Microbiol. Immunol. 2012, 359, 153–177. [Google Scholar]
- Dhondt, K.P.; Horvat, B. Henipavirus infections: Lessons from animal models. Pathogens 2013, 2, 264–287. [Google Scholar] [CrossRef]
- Rockx, B. Recent developments in experimental animal models of Henipavirus infection. Pathog. Dis. 2014, 71, 197–204. [Google Scholar] [CrossRef]
- Iwatsuki-Horimoto, K.; Nakajima, N.; Ichiko, Y.; Sakai-Tagawa, Y.; Noda, T.; Hasegawa, H.; Kawaoka, Y. Syrian Hamster as an Animal Model for the Study of Human Influenza Virus Infection. J. Virol. 2018, 92, e01693-17. [Google Scholar] [CrossRef]
- Sbriccoli, M.; Cardone, F.; Valanzano, A.; Lu, M.; Graziano, S.; De Pascalis, A.; Ingrosso, L.; Zanusso, G.; Monaco, S.; Bentivoglio, M.; et al. Neuroinvasion of the 263K scrapie strain after intranasal administration occurs through olfactory-unrelated pathways. Acta Neuropathol. 2009, 117, 175–184. [Google Scholar] [CrossRef]
- Griffin, B.D.; Warner, B.M.; Chan, M.; Valcourt, E.; Tailor, N.; Banadyga, L.; Leung, A.; He, S.; Boese, A.S.; Audet, J.; et al. Host parameters and mode of infection influence outcome in SARS-CoV-2-infected hamsters. iScience 2021, 24, 103530. [Google Scholar] [CrossRef]
- da Silva-Couto, L.; Ribeiro-Romão, R.P.; Saavedra, A.F.; da Silva Costa Souza, B.L.; Moreira, O.C.; Gomes-Silva, A.; Rossi-Bergmann, B.; Da-Cruz, A.M.; Pinto, E.F. Intranasal vaccination with leishmanial antigens protects golden hamsters (Mesocricetus auratus) against Leishmania (Viannia) Braziliensis infection. PLoS Negl. Trop. Dis. 2015, 9, e3439. [Google Scholar] [CrossRef]
- Welch, S.R.; Spengler, J.R.; Harmon, J.R.; Coleman-McCray, J.D.; Scholte, F.E.M.; Genzer, S.C.; Lo, M.K.; Montgomery, J.M.; Nichol, S.T.; Spiropoulou, C.F. Defective Interfering Viral Particle Treatment Reduces Clinical Signs and Protects Hamsters from Lethal Nipah Virus Disease. mBio 2022, 13, e0329421. [Google Scholar] [CrossRef]
- Park, J.-G.; Oladunni, F.S.; Rohaim, M.A.; Whittingham-Dowd, J.; Tollitt, J.; Hodges, M.D.J.; Fathallah, N.; Assas, M.B.; Alhazmi, W.; Almilaibary, A.; et al. Immunogenicity and protective efficacy of an intranasal live-attenuated vaccine against SARS-CoV-2. iScience 2021, 24, 102941. [Google Scholar] [CrossRef]
- Roberts, A.; Thomas, W.D.; Guarner, J.; Lamirande, E.W.; Babcock, G.J.; Greenough, T.C.; Vogel, L.; Hayes, N.; Sullivan, J.L.; Zaki, S.; et al. Therapy with a severe acute respiratory syndrome-associated coronavirus-neutralizing human monoclonal antibody reduces disease severity and viral burden in golden Syrian hamsters. J. Infect. Dis. 2006, 193, 685–692. [Google Scholar] [CrossRef]
- Neary, M.; Box, H.; Sharp, J.; Tatham, L.; Curley, P.; Herriott, J.; Kijak, E.; Arshad, U.; Hobson, J.J.; Rajoli, R.; et al. Evaluation of intranasal nafamostat or camostat for SARS-CoV-2 chemoprophylaxis in Syrian golden hamsters. bioRxiv 2021. preprint. [Google Scholar]
- Irvin, C.G.; Bates, J.H.T. Measuring the lung function in the mouse: The challenge of size. Respir. Res. 2003, 4, 4. [Google Scholar] [CrossRef]
- Mitzner, W.; Brown, R.; Lee, W. In vivo measurement of lung volumes in mice. Physiol. Genom. 2001, 4, 215–221. [Google Scholar] [CrossRef]
- Marchand, E.; De, L.P.; Gayan-Ramirez, G.; Palecek, F.; Verbeken, E.; Decramer, M. Effects of lung volume reduction surgery in hamsters with elastase-induced emphysema. Eur. Respir. J. 2002, 19, 422–428. [Google Scholar] [CrossRef]
- Kling, M.A. A review of respiratory system anatomy, physiology, and disease in the mouse, rat, hamster, and gerbil. Vet. Clin. N. Am. Exot. Anim. Pract. 2011, 14, 287–337, vi. [Google Scholar] [CrossRef]
- Goldstein, R.H. Response of the aging hamster lung to elastase injury. Am. Rev. Respir. Dis. 1982, 125, 295–298. [Google Scholar]
- Skornik, W.A.; Brain, J.D. Breathing and lung mechanics in hamsters: Effect of pentobarbital anesthesia. J. Appl. Physiol. 1990, 68, 2536–2541. [Google Scholar] [CrossRef]
- Wieling, W.; Jardine, D.L.; de Lange, F.J.; Brignole, M.; Nielsen, H.B.; Stewart, J.; Sutton, R. Cardiac output and vasodilation in the vasovagal response: An analysis of the classic papers. Heart Rhythm 2016, 13, 798–805. [Google Scholar] [CrossRef]
- Secker, C.; Spiers, P. Accuracy of pulse oximetry in patients with low systemic vascular resistance. Anaesthesia 1997, 52, 127–130. [Google Scholar] [CrossRef]
- Phillips, J.H.; Robinson, A.; Davey, G.C. Food hoarding behaviour in the golden hamster (Mesocricetus auratus): Effects of body weight loss and hoard-size discrimination. Q. J. Exp. Psychol. B 1989, 41, 33–47. [Google Scholar]
- Kittel, B.; Ruehl-Fehlert, C.; Morawietz, G.; Klapwijk, J.; Elwell, M.R.; Lenz, B.; O’Sullivan, M.G.; Roth, D.R.; Wadsworth, P.F.; RITA Group; et al. Revised guides for organ sampling and trimming in rats and mice--Part 2. A joint publication of the RITA and NACAD groups. Exp. Toxicol. Pathol. 2004, 55, 413–431. [Google Scholar] [CrossRef]





| Volume (µL) DMEM | Day Post-Instillation | No. Inflammatory Foci (Range) |
|---|---|---|
| 0 µL | 1 | 0 |
| 3 | 0 | |
| 7 | 0 | |
| 14 | 0 | |
| 50 µL | 1 | 0 |
| 3 | 0 | |
| 7 | 0 | |
| 14 | 0 | |
| 100 µL | 1 | 0–1 * |
| 3 | 0–2 * | |
| 7 | 0–3 * | |
| 14 | 0–2 * | |
| 200 µL | 1 | 1–2 |
| 3 | 2–5 | |
| 7 | 0–2 | |
| 14 | 0–1 | |
| 400 µL | 1 | 6–12 |
| 3 | 1–3 | |
| 7 | 4–5 | |
| 14 | 0–1 |
Publisher’s Note: MDPI stays neutral with regard to jurisdictional claims in published maps and institutional affiliations. |
© 2022 by the authors. Licensee MDPI, Basel, Switzerland. This article is an open access article distributed under the terms and conditions of the Creative Commons Attribution (CC BY) license (https://creativecommons.org/licenses/by/4.0/).
Share and Cite
Forero, C.; Ritter, J.M.; Seixas, J.N.; Coleman-McCray, J.D.; Brake, M.; Condrey, J.A.; Tansey, C.; Welch, S.R.; Genzer, S.C.; Spengler, J.R. Volume-Associated Clinical and Histopathological Effects of Intranasal Instillation in Syrian Hamsters: Considerations for Infection and Therapeutic Studies. Pathogens 2022, 11, 898. https://doi.org/10.3390/pathogens11080898
Forero C, Ritter JM, Seixas JN, Coleman-McCray JD, Brake M, Condrey JA, Tansey C, Welch SR, Genzer SC, Spengler JR. Volume-Associated Clinical and Histopathological Effects of Intranasal Instillation in Syrian Hamsters: Considerations for Infection and Therapeutic Studies. Pathogens. 2022; 11(8):898. https://doi.org/10.3390/pathogens11080898
Chicago/Turabian StyleForero, Catalina, Jana M. Ritter, Josilene Nascimento Seixas, JoAnn D. Coleman-McCray, Marie Brake, Jillian A. Condrey, Cassandra Tansey, Stephen R. Welch, Sarah C. Genzer, and Jessica R. Spengler. 2022. "Volume-Associated Clinical and Histopathological Effects of Intranasal Instillation in Syrian Hamsters: Considerations for Infection and Therapeutic Studies" Pathogens 11, no. 8: 898. https://doi.org/10.3390/pathogens11080898
APA StyleForero, C., Ritter, J. M., Seixas, J. N., Coleman-McCray, J. D., Brake, M., Condrey, J. A., Tansey, C., Welch, S. R., Genzer, S. C., & Spengler, J. R. (2022). Volume-Associated Clinical and Histopathological Effects of Intranasal Instillation in Syrian Hamsters: Considerations for Infection and Therapeutic Studies. Pathogens, 11(8), 898. https://doi.org/10.3390/pathogens11080898

