A LAMP Assay for the Detection of Thecodiplosis japonensis, an Alien Gall Midge Species Pest of Pine Trees
Abstract
Simple Summary
Abstract
1. Introduction
2. Materials and Methods
2.1. Samples Examined
2.2. LAMP Primer Design
2.3. LAMP Assay
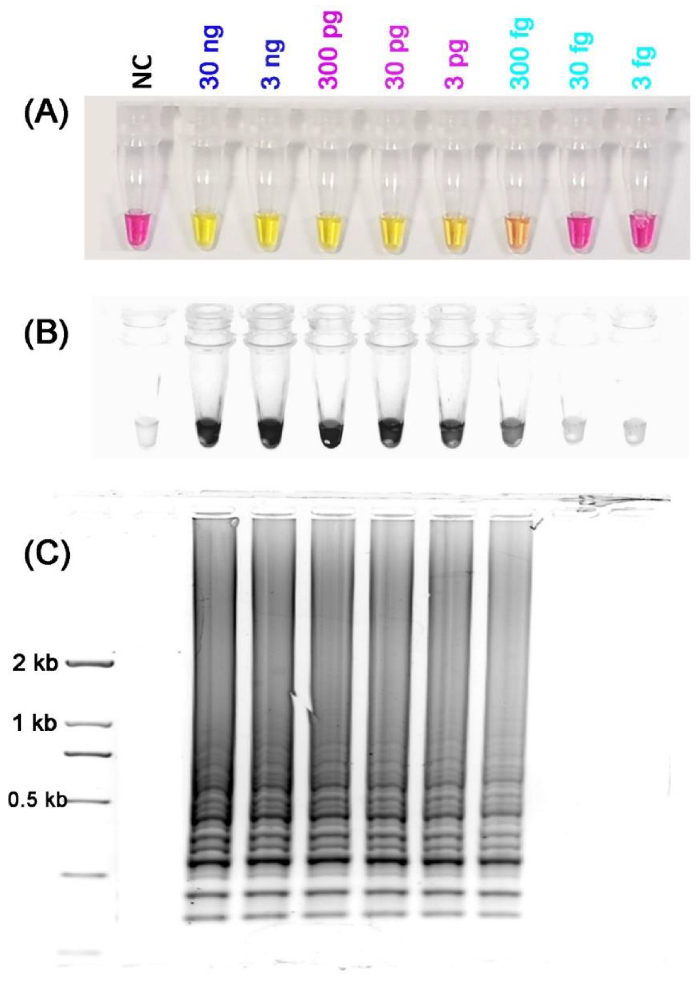
2.4. Analytical Detection Limit of the LAMP Assay
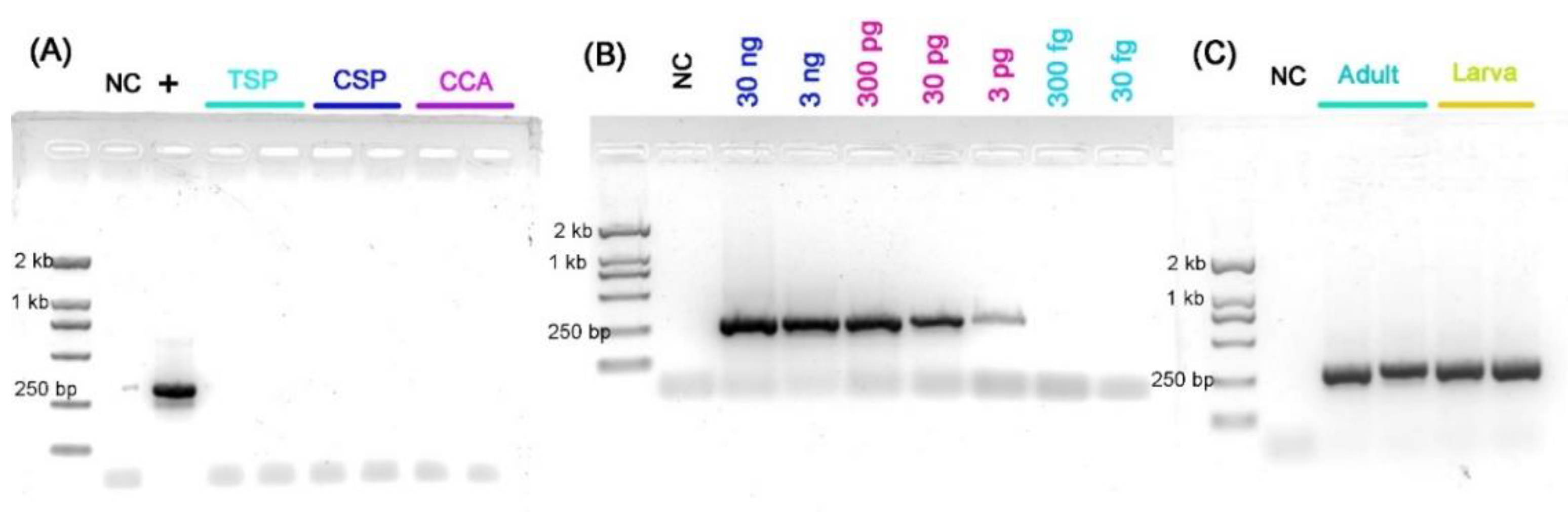
2.5. Species-Specific PCR Assay
3. Results
3.1. Specimens Examined
3.2. Development of the LAMP Assay
3.3. Performance of the LAMP Assay
3.4. Performance of Species-Specific PCR Assay
4. Discussion
5. Conclusions
Supplementary Materials
Author Contributions
Funding
Institutional Review Board Statement
Informed Consent Statement
Conflicts of Interest
References
- Gagné, R.J.; Jaschhof, M. A Catalog of the Cecidomyiidae (Diptera) of the World, 5th ed.; USDA (United States Department of Agriculture): Washington, DC, USA, 2021; 814p. Available online: https://www.ars.usda.gov/ARSUserFiles/80420580/Gagne_Jaschhof_2021_World_Cat_5th_Ed.pdf (accessed on 1 May 2022).
- Sikora, T.; Jaschhof, M.; Mantič, M.; Kaspřák, D.; Ševčík, J. Considerable congruence, enlightening conflict: Molecular analysis largely supports morphology-based hypotheses on Cecidomyiidae (Diptera) phylogeny. Zool. J. Linn. Soc. 2019, 185, 98–110. [Google Scholar] [CrossRef]
- Dorchin, N.; Harris, K.M.; Stireman, J.O. Phylogeny of the gall midges (Diptera, Cecidomyiidae, Cecidomyiinae): Systematics, evolution of feeding modes and diversification rates. Mol. Phylogenetics Evol. 2019, 140, 106602. [Google Scholar] [CrossRef] [PubMed]
- Kearby, W.H.; Benjamin, D.M. Parasites Associated with the Red-Pine Needle Midge Thecodiplosis piniresinosae Kearby. J. Econ. Entomol. 1965, 58, 166–168. [Google Scholar] [CrossRef]
- Haddow, W.R.; Adamson, M.A. Note on the occurrence of needle blight and late fall browning in red pine (Pinus resinosa Ait.). For. Chron. 1939, 15, 107–110. [Google Scholar] [CrossRef][Green Version]
- Glynn, C.; Lindelöw, Å. Defoliation by the Needle-shortening Pine Gall Midge, Thecodiplosis brachyntera, on Pines in Central Sweden. Scand. J. Forest Res. 2002, 17, 150–157. [Google Scholar] [CrossRef]
- Lee, B.Y. Ecological characteristics of the local pine needle gall midge, Thecodiplosis japonensis, population in Cheju Island. Res. Rep. For. Res. Inst. 1994, 49, 65–72. [Google Scholar]
- Jiao, J.P.; Wu, H.W.; Ren, L.L.; Chen, R.M.; Luo, Y.Q. Reports on the discovery and preliminary studies of the invasive species Thecodiplosis japonensis (Uchida & Inouye) in Huangdao area of Shandong province. Chin. J. Appl. Entomol. 2017, 54, 915–923. [Google Scholar]
- Kim, C.W. Thecodiplosis pinicola n. sp. Bull. Coll. Lit. Sci. Korea Univ. 1955, 1, 1–12. [Google Scholar]
- Lee, S.H. Biology and Control of Pine Gall Midge; Office of Forestry: Seoul, Korea, 1981. [Google Scholar]
- Furuno, T. Studies on the insect damage to exotic pine species introduced in Japan. (No. 8) Further report on Japanese pine needle gall midge, Thecodiplosis japonensis Uchida et Inouye. Bull. Kyoto Univ. For. 1987, 59, 16–30. [Google Scholar]
- Ko, J.H.; Lee, B.Y. Influence of the wind on the dispersion of the pine gall-midge (Thecodiplosis japonensis)-tested in the wind tunnel. Korean J. Entomol. 1975, 5, 13–16. [Google Scholar]
- Jiao, J.P. Identification and Biological Characteristics of Thecodiplosis japonensis (Uchida & Inouye); Beijing Forestry University: Beijing, China, 2019; Available online: https://kns.cnki.net/KCMS/detail/detail.aspx?dbname=CMFD202001&filename=1019195141.nh (accessed on 15 May 2022).
- Skuhravá, M.; Roques, A. Palaearctic Dipteran Forest Pests. In Manual of Palaearctic Diptera; Science Heraid: Budapest, Hungary, 2000; pp. 651–692. [Google Scholar]
- Furono, T.; Sone, K. Studies on the insect damage upon the pine species imported in Japan. (No. 5) On Japanese pine needle gall midge, Thecodiplosis japonensis Uchida et Inouye. Bull. Kyoto Univ. For. 1978, 50, 12–23. [Google Scholar]
- Sheng, Y.A. Study on the bionomics and control of Thecodiplosis japonensis Uchida & Inouye. J. Fujian Coll. For. 1999, 19, 50–53. [Google Scholar]
- Armstrong, K.F.; Ball, S.L. DNA barcodes for biosecurity: Invasive species identification. Philos. Trans. R. Soc. B Biol. Sci. 2005, 360, 1813–1823. [Google Scholar] [CrossRef] [PubMed]
- Krosch, M.N.; Strutt, F.; Blacket, M.J.; Batovska, J.; Starkie, M.; Clarke, A.R.; Cameron, S.L.; Schutze, M.K. Development of internal COI primers to improve and extend barcoding of fruit flies (Diptera: Tephritidae: Dacini). Insect Sci. 2020, 27, 143–158. [Google Scholar] [CrossRef] [PubMed]
- Dhami, M.K.; Gunawardana, D.N.; Voice, D.; Kumarasinghe, L. A real-time PCR toolbox for accurate identification of invasive fruit fly species. J. Appl. Entomol. 2016, 140, 536–552. [Google Scholar] [CrossRef]
- Notomi, T.; Okayama, H.; Masubuchi, H.; Yonekawa, T.; Watanabe, K.; Amino, N.; Hase, T. Loop-mediated isothermal amplification of DNA. Nucleic Acids Res. 2000, 28, E63. [Google Scholar] [CrossRef]
- Tomita, N.; Mori, Y.; Kanda, H.; Notomi, T. Loop-mediated isothermal amplification (LAMP) of gene sequences and simple visual detection of products. Nat. Protoc. 2008, 3, 877–882. [Google Scholar] [CrossRef]
- Esmatabadi, M.J.D.; Bozorgmehr, A.; Zadeh, H.M.; Bodaghabadi, N.; Farhangi, B.; Babashah, S.; Sadeghizadeh, M. Techniques for evaluation of LAMP amplicons and their applications in molecular biology. Asian Pac. J. Cancer Prev. 2015, 16, 7409–7414. [Google Scholar] [CrossRef]
- Sial, M.U.; Zhao, Z.; Zhang, L.; Zhang, Y.; Mao, L.; Jiang, H. Loop-mediated isothermal amplification for the detection of R81T mutation in nAChR with crude genomic DNA extracted from individual Myzus persicae. J. Pest. Sci. 2020, 93, 531–541. [Google Scholar] [CrossRef]
- Kim, J.; Nam, H.Y.; Kwon, M.; Kim, H.J.; Yi, H.J.; Haenniger, S.; Unbehend, M.; Heckel, D.G. Development of a simple and accurate molecular tool for Spodoptera frugiperda species identification using LAMP. Pest. Manag. Sci. 2021, 77, 3145–3153. [Google Scholar] [CrossRef]
- Rako, L.; Agarwal, A.; Semeraro, L.; Broadley, A.; Rodoni, B.C.; Blacket, M.J. A LAMP (loop-mediated isothermal amplification) test for rapid identification of Khapra beetle (Trogoderma granarium). Pest. Manag. Sci. 2021, 77, 5509–5521. [Google Scholar] [CrossRef] [PubMed]
- Blacket, M.J.; Agarwal, A.; Zheng, L.; Cunningham, J.P.; Britton, D.; Schneider, I.; Rodoni, B.C. A LAMP assay for the detection of Bactrocera tryoni Queensland fruit fly (Diptera: Tephritidae). Sci. Rep. 2020, 10, 9554. [Google Scholar] [CrossRef] [PubMed]
- Nam, H.Y.; Kim, J.H.; Lee, S.H.; Heckel, D.G.; Kim, J. Development of a LAMP-Based molecular species diagnosis method for four major agricultural pests in the genus spodoptera (Lepidoptera: Noctuidae). Insects 2021, 12, 883. [Google Scholar] [CrossRef] [PubMed]
- Nam, H.Y.; Kwon, M.; Kim, H.J.; Kim, J. Development of a species diagnostic molecular tool for an invasive pest, mythimna loreyi, using LAMP. Insects 2020, 11, 817. [Google Scholar] [CrossRef]
- Simon, C.; Buckley, T.R.; Frati, F.; Stewart, J.B.; Beckenbach, A.T. Incorporating molecular evolution into phylogenetic analysis, and a new compilation of conserved polymerase chain reaction primers for animal mitochondrial DNA. Annu. Rev. Ecol. Evol. Syst. 2006, 37, 545–579. [Google Scholar] [CrossRef]
- Zieritz, A.; Yasaeng, P.; Razak, N.F.A.; Hongtrakul, V.; Kovitvadhi, U.; Kanchanaketu, T. Development and evaluation of hotshot protocols for cost-and time-effective extraction of PCR-ready DNA from single freshwater mussel larvae (Bivalvia: Unionida). J. Mollus. Stud. 2018, 84, 198–201. [Google Scholar] [CrossRef]
- Nagamine, K.; Hase, T.; Notomi, T. Accelerated reaction by loopmediated isothermal amplification using loop primers. Mol. Cell. Probes. 2002, 16, 223–229. [Google Scholar] [CrossRef]
- Lee, P.L.M. DNA amplification in the field: Move over PCR, here comes LAMP. Mol. Ecol. Resour. 2017, 17, 138–141. [Google Scholar] [CrossRef]
- Mori, Y.; Notomi, T. Loop-mediated isothermal amplification (LAMP): A rapid, accurate, and cost-effective diagnostic method for infectious diseases. J. Infect. Chemother. 2009, 15, 62–69. [Google Scholar] [CrossRef]
- Zhang, X.; Lowe, S.B.; Gooding, J.J. Brief review of monitoring methods for loop-mediated isothermal amplification (LAMP). Biosens. Bioelectron. 2014, 61, 491–499. [Google Scholar] [CrossRef]
- Notomi, T.; Mori, Y.; Tomita, N.; Kanda, H. Loop-mediated isothermal amplification (LAMP): Principle, features, and future prospects. J. Microbiol. 2015, 53, 1–5. [Google Scholar] [CrossRef] [PubMed]
- Sevcik, J.; Kasprak, D.; Mantic, M.; Fitzgerald, S.; Sevcikova, T.; Tothova, A.; Jaschhof, M. Molecular phylogeny of the megadiverse insect infraorder Bibionomorpha sensu lato (Diptera). PeerJ 2016, 4, e2563. [Google Scholar] [CrossRef] [PubMed]







| Genus | Species | Stage and Amount | Collection Date | Location Information |
|---|---|---|---|---|
| Thecodiplosis | T. japonensis | Adult/Larvae (58/52) | June 2020 | Shandong China (33°230′18″ N, 126°370′40″ E) |
| Thecodiplosis sp. | Adult/Larvae (24/98) | March 2020 | Fujian China (24°37′29″ N, 116°54′40″ E) | |
| Contarinia | Contarinia sp. | Larvae (21) | April 2018 | Xinjiang China (41°9′34″ N, 80°10′14″ E) |
| Contarini caryafloralis | Larvae (85) | August 2018 | Anhui China (30°20′23″ N, 118°44′23″ E) |
| Assay | Primer Name | Sequence (5′-3′) |
|---|---|---|
| LAMP | Tjap_F3 | CGTTTAGAATTAAGTTCTGTATCTAATTTAATTGG |
| Tjap_B3 | CTGCTAATACAGGTAAAGAAAGTAAAAGTAGAA | |
| Tjap_FIP | CCTGTTCCTGTTCCTGTTTCAACTATTCTTCGATTACTTCCCCCCTCTATTTCTTT | |
| Tjap_BIP | GAACTGTTTATCCTCCTCTTTCTTCAATTATTGCTCAGAAAAAATTGAAAAATCTACAGATGTTCTAG | |
| Tjap_LF | CCTGTTCCTGTTTCAACTATTCTTCTAATTAATAAT | |
| Tjap_LB | GTTTATCCTCCTCTTTCTTCAATTATTGCTCATA | |
| SS-COI PCR | COⅠ-F | CAGGTAAAGAAAGTAAAAGTAGAATTGTTGTAATT |
| COⅠ-R | GATTTTGATTACTTCCCCCCTCTATTTC |
| LAMP Components | Concentrations Used for Optimization | Final Concentrations Used in LAMP |
|---|---|---|
| WarmStart®LAMP Master Mix | 2× | 1× |
| F3 | 10 μM | 0.2 μM |
| B3 | 10 μM | 0.2 μM |
| FIP | 10 μM | 1.6 μM |
| BIP | 10 μM | 1.6 μM |
| DNA sample | Variable | Variable |
Publisher’s Note: MDPI stays neutral with regard to jurisdictional claims in published maps and institutional affiliations. |
© 2022 by the authors. Licensee MDPI, Basel, Switzerland. This article is an open access article distributed under the terms and conditions of the Creative Commons Attribution (CC BY) license (https://creativecommons.org/licenses/by/4.0/).
Share and Cite
Jiao, J.; Ren, L.; Chen, R.; Tao, J.; Luo, Y. A LAMP Assay for the Detection of Thecodiplosis japonensis, an Alien Gall Midge Species Pest of Pine Trees. Insects 2022, 13, 540. https://doi.org/10.3390/insects13060540
Jiao J, Ren L, Chen R, Tao J, Luo Y. A LAMP Assay for the Detection of Thecodiplosis japonensis, an Alien Gall Midge Species Pest of Pine Trees. Insects. 2022; 13(6):540. https://doi.org/10.3390/insects13060540
Chicago/Turabian StyleJiao, Jipeng, Lili Ren, Rumin Chen, Jing Tao, and Youqing Luo. 2022. "A LAMP Assay for the Detection of Thecodiplosis japonensis, an Alien Gall Midge Species Pest of Pine Trees" Insects 13, no. 6: 540. https://doi.org/10.3390/insects13060540
APA StyleJiao, J., Ren, L., Chen, R., Tao, J., & Luo, Y. (2022). A LAMP Assay for the Detection of Thecodiplosis japonensis, an Alien Gall Midge Species Pest of Pine Trees. Insects, 13(6), 540. https://doi.org/10.3390/insects13060540

