Efficacy and Cognitive Outcomes of Gamma Knife Radiosurgery in Glioblastoma Management for Elderly Patients
Abstract
1. Introduction
Opening Statement
2. Materials and Methods
2.1. Statistical Analysis
2.2. Patient Selection
- Age: patients aged 55 years or older.
- Diagnosis: histopathologically confirmed diagnosis of glioblastoma [23].
- Treatment history: no prior radiotherapy.
- No prior history of radiotherapy or treatment with Optune.
- Protocol adherence: conformity to the modified STUPP protocol, which comprises maximal surgical resection followed by GKRS and adjuvant chemotherapy.
- Cognitive concerns and patient preference: given concerns about the cognitive impairment associated with conventional radiotherapy and at the patients’ request, a radiosurgery plan was offered.
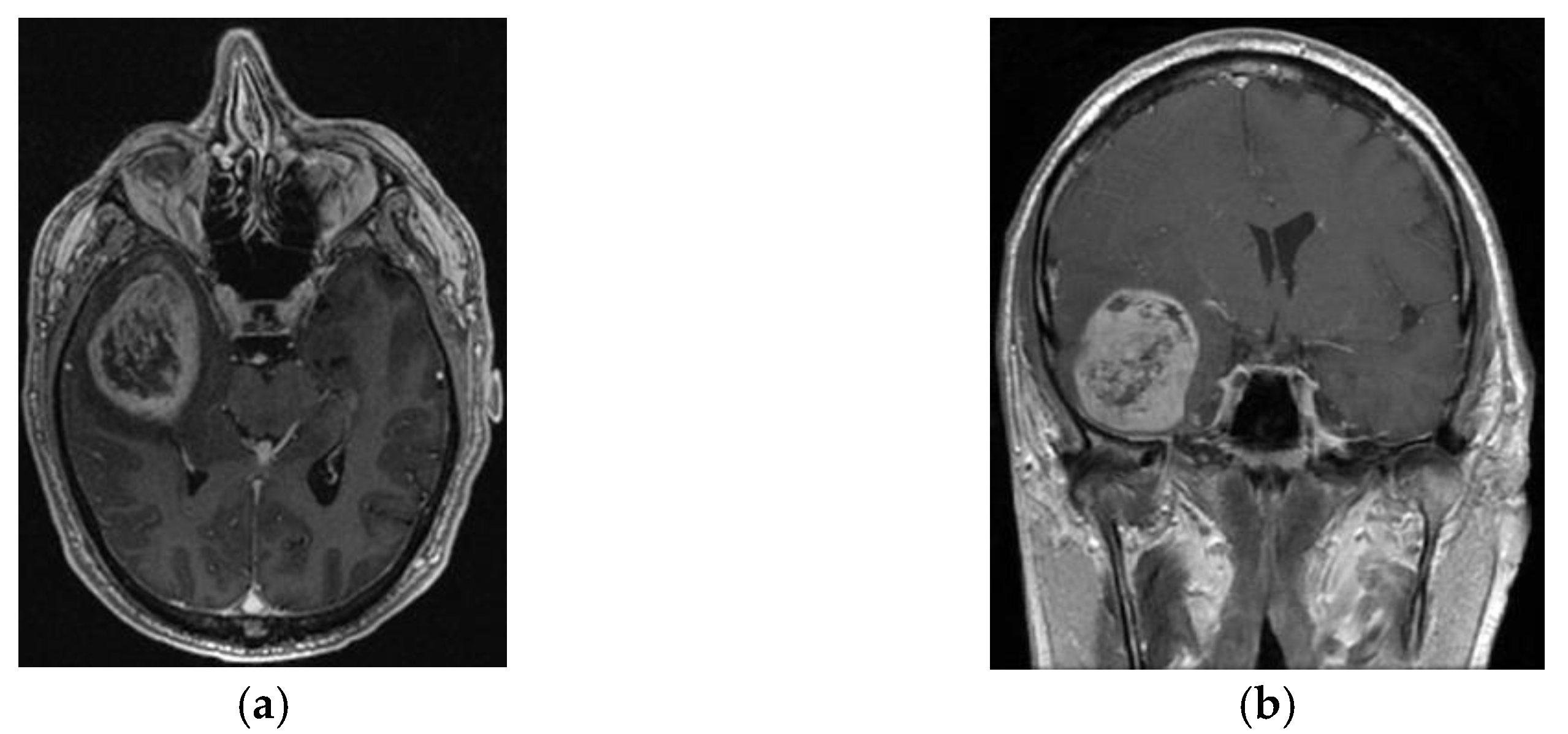
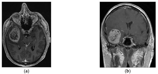
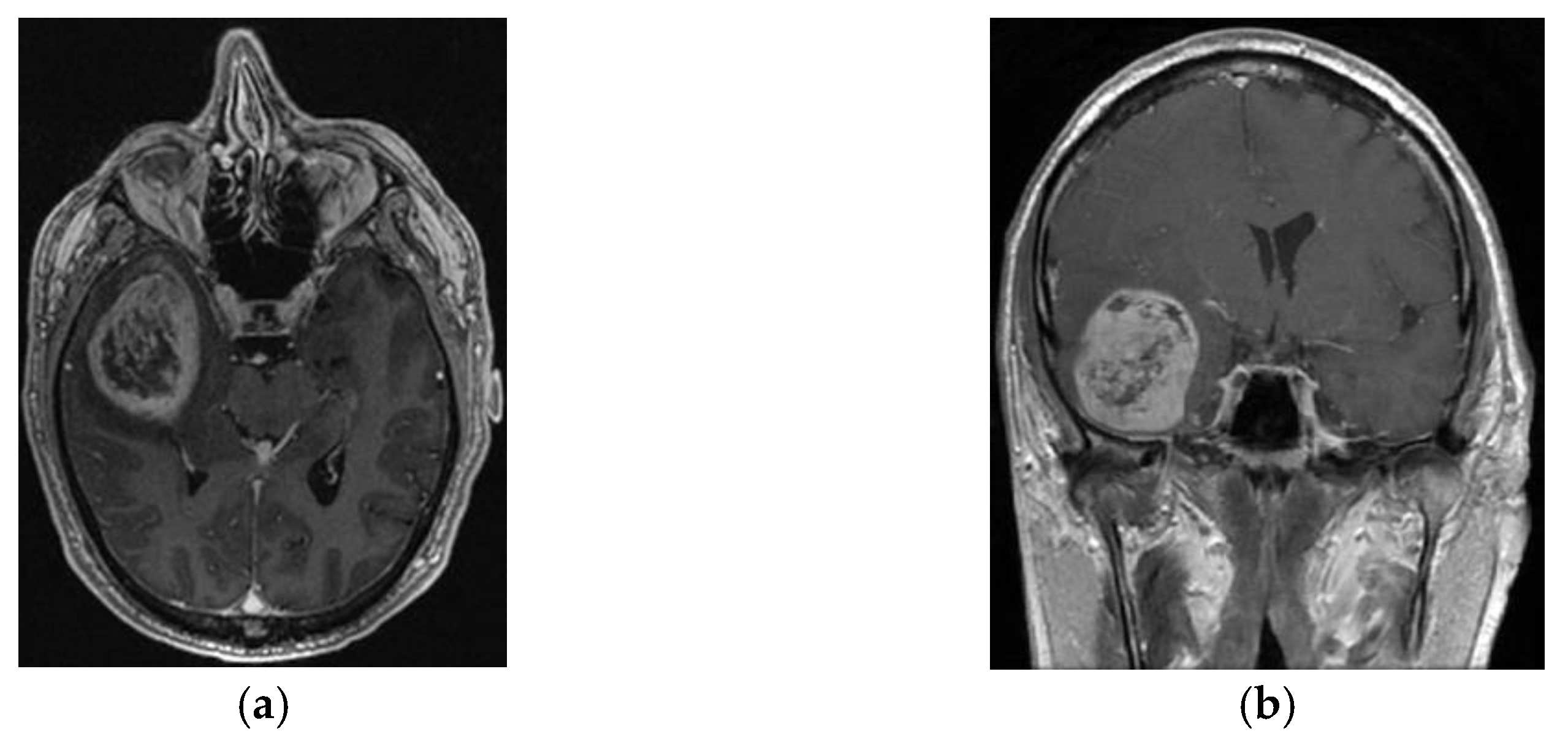
3. Results
3.1. Patient Background and Clinical Features
3.2. Gamma Knife Radiosurgery Characteristics
3.3. Survival and Recurrence Analysis
3.4. Cognitive Outcomes
3.5. Notes
Cohort Characteristics
- Number of patients assessed with GKRS: 49 (18 males, 31 females).
- Number of patients assessed with conventional radiotherapy (historical controls): 50.
- Cognitive function was assessed at baseline, prior to treatment, and at regular follow-up intervals using standardized neurocognitive examinations, which encompass the Montreal Cognitive Assessment (MoCA) and the Mini-Mental State Examination (MMSE).
- Patients treated with GKRS showed significantly less cognitive decline compared to historical controls treated with conventional radiotherapy.
- The median MMSE score for the GKRS cohort declined by only 1.9 points over a 12-month period, compared to a decline of 4.8 points typically observed in the conventional radiotherapy cohort.
- Male patients in the GKRS group showed a median decline of 1.8 points, while female patients showed a decline of 2.0 points.
- In the conventional radiotherapy group, male patients showed a median decline of 4.7 points, while female patients showed a decline of 4.9 points.
- Similarly, MoCA scores for the GKRS cohort showed a median decline of 2.9 points, compared to a 6.5-point decline in the conventional radiotherapy cohort.
- Male patients in the GKRS group showed a median decline of 2.8 points, while female patients showed a decline of 3.0 points.
- In the conventional radiotherapy group, male patients showed a median decline of 6.3 points, while female patients showed a decline of 6.6 points.
- The decision to utilize GKRS over conventional radiotherapy was influenced by concerns regarding cognitive impairment, which is particularly relevant for the elderly population involved in this study.
- Regular neurocognitive assessments and follow-up intervals provided robust data supporting the neuroprotective benefits of GKRS in the treatment of glioblastoma.
3.6. Additional Treatment Modalities and Follow-Up
4. Discussion
4.1. Rationale for Integrating GKRS in Treatment Protocols
4.2. Survival Outcomes with GKRS
4.3. Cognitive Function Preservation
- The comparison of cognitive decline between GKRS and conventional radiotherapy.
- The implications for patients’ quality of life.
4.4. Limitations
5. Conclusions
Author Contributions
Funding
Institutional Review Board Statement
Informed Consent Statement
Data Availability Statement
Acknowledgments
Conflicts of Interest
References
- Morgan, L.L. The epidemiology of glioma in adults: A state of the science review. Neuro Oncol. 2015, 17, 623–624. [Google Scholar] [CrossRef]
- Mallick, S.; Benson, R.; Hakim, A.; Rath, G.K. Management of glioblastoma after recurrence: A changing paradigm. J. Egypt. Natl. Cancer Inst. 2016, 28, 199–210. [Google Scholar] [CrossRef]
- Nabors, L.B.; Portnow, J.; Ahluwalia, M.; Baehring, J.; Brem, H.; Brem, S.; Butowski, N.; Campian, J.L.; Clark, S.W.; Fabiano, A.J.; et al. Central Nervous System Cancers, Version 3.2020, NCCN Clinical Practice Guidelines in Oncology. J. Natl. Compr. Cancer Netw. 2020, 18, 1537–1570. [Google Scholar] [CrossRef]
- Shergalis, A.; Bankhead, A., 3rd; Luesakul, U.; Muangsin, N.; Neamati, N. Current Challenges and Opportunities in Treating Glioblastoma. Pharmacol. Rev. 2018, 70, 412–445. [Google Scholar] [CrossRef]
- Xu, S.; Tang, L.; Li, X.; Fan, F.; Liu, Z. Immunotherapy for glioma: Current management and future application. Cancer Lett. 2020, 476, 1–12. [Google Scholar] [CrossRef]
- Mahmoud, A.B.; Ajina, R.; Aref, S.; Darwish, M.; Alsayb, M.; Taher, M.; AlSharif, S.A.; Hashem, A.M.; Alkayyal, A.A. Advances in immunotherapy for glioblastoma multiforme. Front. Immunol. 2022, 13, 944452. [Google Scholar] [CrossRef]
- Mahajan, A.; McCutcheon, I.E.; Suki, D.; Chang, E.L.; Hassenbusch, S.J.; Weinberg, J.S.; Shiu, A.; Maor, M.H.; Woo, S.Y. Case-control study of stereotactic radiosurgery for recurrent glioblastoma multiforme. J. Neurosurg. 2005, 103, 210–217. [Google Scholar] [CrossRef]
- Monaco, E.A.; Grandhi, R.; Niranjan, A.; Lunsford, L.D. The past, present and future of Gamma Knife radiosurgery for brain tumors: The Pittsburgh experience. Expert. Rev. Neurother. 2012, 12, 437–445. [Google Scholar] [CrossRef]
- Sun, Y.; Liu, P.; Wang, Z.; Zhang, H.; Xu, Y.; Hu, S.; Yan, Y. Efficacy and indications of gamma knife radiosurgery for recurrent low-and high-grade glioma. BMC Cancer 2024, 24, 37. [Google Scholar] [CrossRef]
- Alvarez-Pinzon, A.M.; Wolf, A.; Valerio, J.E.; Borro, M.; Herrera, D.; Alonso, J.R. Gamma knife stereotactic radiosurgery as an effective tool in primary CNS lymphoma: Evaluation of stereotactic radiosurgery and methotrexate treatment in a prospective and observational clinical research study. Clin. Neurol. Neurosurg. 2021, 201, 106457. [Google Scholar] [CrossRef]
- Park, K.-J.; Kano, H.; Iyer, A.; Liu, X.; Niranjan, A.; Flickinger, J.C.; Lieberman, F.S.; Lunsford, L.D.; Kondziolka, D. Salvage gamma knife stereotactic radiosurgery followed by bevacizumab for recurrent glioblastoma multiforme: A case-control study. J. Neurooncol. 2012, 107, 323–333. [Google Scholar] [CrossRef]
- Imber, B.S.; Kanungo, I.; Braunstein, S.; Barani, I.J.; Fogh, S.E.; Nakamura, J.L.; Berger, M.S.; Chang, E.F.; Molinaro, A.M.; Cabrera, J.R.; et al. Indications and efficacy of gamma knife stereotactic radiosurgery for recurrent glioblastoma: 2 decades of institutional experience. Neurosurgery 2017, 80, 129–139. [Google Scholar] [CrossRef]
- Valerio, J.E.; Ochoa, S.; Alvarez, S.; Borro, M.; Alvarez-Pinzon, A.M. 5-Aminolevulinic Acid-A Biomarker for Worse Prognosis in IDH-Wildtype II Tumors? Evolution of a Fluorescence-Positive Diffuse Astrocytoma: A Case Report. J. Neurol. Surg. Rep. 2022, 83, e95–e99. [Google Scholar] [CrossRef] [PubMed] [PubMed Central]
- Hatiboglu, M.A.; Tuzgen, S.; Akdur, K.; Chang, E.L. Treatment of high numbers of brain metastases with Gamma Knife radiosurgery: A review. Acta Neurochir. 2016, 158, 625–634. [Google Scholar] [CrossRef]
- Sadik, Z.H.A.; Hanssens, P.E.J.; Verheul, J.B.; Beute, G.N.; Lie, S.T.; Leenstra, S.; Ardon, H. Gamma knife radiosurgery for recurrent gliomas. J. Neurooncol. 2018, 140, 615–622. [Google Scholar] [CrossRef]
- Dodoo, E.; Huffmann, B.; Peredo, I.; Grinaker, H.; Sinclair, G.; Machinis, T.; Enger, P.Ø.; Skeie, B.S.; Pedersen, P.-H.; Ohlsson, M.; et al. Increased survival using delayed gamma knife radiosurgery for recurrent high-grade glioma: A feasibility study. World Neurosurg. 2014, 82, e623–e632. [Google Scholar] [CrossRef]
- Koga, T.; Saito, N. Efficacy and limitations of stereotactic radiosurgery in the treatment of glioblastoma. Neurol. Med. Chir. 2012, 52, 548–552. [Google Scholar] [CrossRef][Green Version]
- Sharma, M.; Schroeder, J.L.; Elson, P.; Meola, A.; Barnett, G.H.; Vogelbaum, M.A.; Suh, J.H.; Chao, S.T.; Mohammadi, A.M.; Stevens, G.H.J.; et al. Outcomes and prognostic stratification of patients with recurrent glioblastoma treated with salvage stereotactic radiosurgery. J. Neurosurg. 2018, 131, 489–499. [Google Scholar] [CrossRef]
- Larson, D.A.; Gutin, P.H.; McDermott, M.; Lamborn, K.; Sneed, P.K.; Wara, W.M.; Flickinger, J.C.; Kondziolka, D.; Lunsford, L.D.; Hudgins, W.R.; et al. Gamma knife for glioma: Selection factors and survival. Int. J. Radiat. Oncol. Biol. Phys. 1996, 36, 1045–1053. [Google Scholar] [CrossRef]
- Larson, E.W.; Peterson, H.E.; Lamoreaux, W.T.; MacKay, A.R.; Fairbanks, R.K.; Call, J.A.; Carlson, J.D.; Ling, B.C.; Demakas, J.J.; Cooke, B.S.; et al. Clinical outcomes following salvage Gamma Knife radiosurgery for recurrent glioblastoma. World J. Clin. Oncol. 2014, 5, 142–148. [Google Scholar] [CrossRef]
- Kazmi, F.; Soon, Y.Y.; Leong, Y.H.; Koh, W.Y.; Vellayappan, B. Re-irradiation for recurrent glioblastoma (GBM): A systematic review and meta-analysis. J. Neurooncol. 2019, 142, 79–90. [Google Scholar] [CrossRef]
- Niranjan, A.; Kano, H.; Iyer, A.; Kondziolka, D.; Flickinger, J.C.; Lunsford, L.D. Role of adjuvant or salvage radiosurgery in the management of unresected residual or progressive glioblastoma multiforme in the pre-bevacizumab era. J. Neurosurg. 2015, 122, 757–765. [Google Scholar] [CrossRef]
- Gladson, C.L.; Prayson, R.A.; Liu, W.M. The pathobiology of glioma tumors. Annu. Rev. Pathol. 2010, 5, 33–50. [Google Scholar] [CrossRef]
- Louis, D.N.; Perry, A.; Wesseling, P.; Brat, D.J.; Cree, I.A.; Figarella-Branger, D.; Hawkins, C.; Ng, H.K.; Pfister, S.M.; Reifenberger, G.; et al. The 2021 WHO classification of tumors of the central nervous system: A summary. Neuro Oncol. 2021, 23, 1231–1251. [Google Scholar] [CrossRef]
- Crowley, R.W.; Pouratian, N.; Sheehan, J.P. Gamma knife surgery for glioblastoma multiforme. Neurosurg. Focus. 2006, 20, E17. [Google Scholar] [CrossRef]
- Perry, J.R.; Laperriere, N.; O’Callaghan, C.J.; Brandes, A.A.; Menten, J.; Phillips, C.; Fay, M.; Nishikawa, R.; Cairncross, J.G.; Roa, W.; et al. Short-Course Radiation plus Temozolomide in Elderly Patients with Glioblastoma. N. Engl. J. Med. 2017, 376, 1027–1037. [Google Scholar] [CrossRef]
- Rodríguez-Camacho, A.; Flores-Vázquez, J.G.; Moscardini-Martelli, J.; Torres-Ríos, J.A.; Olmos-Guzmán, A.; Ortiz-Arce, C.S.; Cid-Sánchez, D.R.; Rosales Pérez, S.; Macías-González, M.D.S.; Hernández-Sánchez, L.C.; et al. Glioblastoma Treatment: State-of-the-Art and Future Perspectives. Int. J. Mol. Sci. 2022, 23, 7207. [Google Scholar] [CrossRef]
- Romanelli, P.; Conti, A.; Pontoriero, A.; Ricciardi, G.K.; Tomasello, F.; De Renzis, C.; Innocenzi, G.; Esposito, V.; Cantore, G. Role of stereotactic radiosurgery and fractionated stereotactic radiotherapy for the treatment of recurrent glioblastoma multiforme. Neurosurg. Focus 2009, 27, E8. [Google Scholar] [CrossRef]
- Frischer, J.M.; Marosi, C.; Woehrer, A.; Hainfellner, J.A.; Dieckmann, K.U.; Eiter, H.; Wang, W.-T.; Mallouhi, A.; Ertl, A.; Knosp, E.; et al. Gamma Knife Radiosurgery in Recurrent Glioblastoma. Stereotact. Funct. Neurosurg. 2016, 94, 265–272. [Google Scholar] [CrossRef]
- Bi, J.; Chowdhry, S.; Wu, S.; Zhang, W.; Masui, K.; Mischel, P.S. Altered cellular metabolism in gliomas—An emerging landscape of actionable co-dependency targets. Nat. Rev. Cancer 2020, 20, 57–70. [Google Scholar] [CrossRef]
- Frosina, G. Radiotherapy of high-grade gliomas: First half of 2021 update with special reference to radiosensitization studies. Int. J. Mol. Sci. 2021, 22, 8487. [Google Scholar] [CrossRef]
- Sinclair, G.; Benmakhlouf, H.; Martin, H.; Maeurer, M.; Dodoo, E. Adaptive hypofractionated gamma knife radiosurgery in the acute management of brainstem metastases. Surg. Neurol. Int. 2019, 10, 14. [Google Scholar]
- Jung, E.W.; Rakowski, J.T.; Delly, F.; Jagannathan, J.; Konski, A.A.; Guthikonda, M.; Kim, H.; Mittal, S. Gamma Knife radiosurgery in the management of brainstem metastases. Clin. Neurol. Neurosurg. 2013, 115, 2023–2028. [Google Scholar] [CrossRef]
- Scoccianti, S.; Francolini, G.; Carta, G.A.; Greto, D.; Detti, B.; Simontacchi, G.; Visani, L.; Baki, M.; Poggesi, L.; Bonomo, P.; et al. Re-irradiation as salvage treatment in recurrent glioblastoma: A comprehensive literature review to provide practical answers to frequently asked questions. Crit. Rev. Oncol. Hematol. 2018, 126, 80–91. [Google Scholar] [CrossRef]
- Server, A.; Kulle, B.; Gadmar, Ø.B.; Josefsen, R.; Kumar, T.; Nakstad, P.H. Measurements of diagnostic examination performance using quantitative apparent diffusion coefficient and proton MR spectroscopic imaging in the preoperative evaluation of tumor grade in cerebral gliomas. Eur. J. Radiol. 2011, 80, 462–470. [Google Scholar] [CrossRef]
- Wu, H.; Guo, C.; Wang, C.; Xu, J.; Zheng, S.; Duan, J.; Li, Y.; Bai, H.; Xu, Q.; Ning, F.; et al. Single-cell RNA sequencing reveals tumor heterogeneity, microenvironment, and drug-resistance mechanisms of recurrent glioblastoma. Cancer Sci. 2023, 114, 2609–2621. [Google Scholar] [CrossRef]
- Di Nunno, V.; Franceschi, E.; Tosoni, A.; Di Battista, M.; Gatto, L.; Lamperini, C.; Minichillo, S.; Mura, A.; Bartolini, S.; Brandes, A.A. Treatment of recurrent glioblastoma: State-of-the-art and future perspectives. Expert. Rev. Anticancer. Ther. 2020, 20, 785–795. [Google Scholar] [CrossRef]
- Park, K.Y.; Snyder, A.Z.; Olufawo, M.; Trevino, G.; Luckett, P.H.; Lamichhane, B.; Xie, T.; Lee, J.J.; Shimony, J.S.; Leuthardt, E.C. Glioblastoma induces whole-brain spectral change in resting state fMRI: Associations with clinical comorbidities and overall survival. Neuroimage Clin. 2023, 39, 103476. [Google Scholar] [CrossRef]
- Sheehan, J.P.; Lee, C.C.; Xu, Z.; Przybylowski, C.J.; Melmer, P.D.; Schlesinger, D. Edema following Gamma Knife radiosurgery for parasagittal and parafalcine meningiomas. J. Neurosurg. 2015, 123, 1287–1293. [Google Scholar] [CrossRef]
- Haque, W.; Butler, E.B.; Teh, B.S. Personalized radiation therapy for glioblastoma. Chin. Clin. Oncol. 2024, 13, 11. [Google Scholar] [CrossRef]
- Minniti, G.; Niyazi, M.; Alongi, F.; Navarria, P.; Belka, C. Current status and recent advances in reirradiation of glioblastoma. Radiat. Oncol. 2021, 16, 36. [Google Scholar] [CrossRef]
- Le Ba Thai, N.; Mai, N.Y.; Vuong, N.L.; Tin, N.M.; Karam, D.; Refaey, M.A.; Shahin, K.M.; Soliman, A.L.; Al Khudari, R.; Thuan, T.M.; et al. Treatment for vestibular schwannoma: Systematic review and single arm meta-analysis. Am. J. Otolaryngol. 2022, 43, 103337. [Google Scholar] [CrossRef]
- Schimmel, W.C.M.; Verhaak, E.; Bakker, M.; Hanssens, P.E.J.; Sitskoorn, M.M.; Gehring, K. Group and Individual Change in Cognitive Functioning in Patients With 1 to 10 Brain Metastases Following Gamma Knife Radiosurgery. Clin. Oncol. (R Coll. Radiol.) 2021, 33, 314–321. [Google Scholar] [CrossRef]
- Chen, H.C.; Hu, C.J.; Pan, D.H. Stereotactic gamma knife radiosurgery for orbital cavernous hemangioma: Clinical outcome and visual function protection. J. Neurooncol. 2021, 152, 183–193. [Google Scholar] [CrossRef]
- Guan, Y.; Xiong, J.; Pan, M.; Shi, W.; Li, J.; Zhu, H.; Gong, X.; Li, C.; Mei, G.; Liu, X.; et al. Safety and efficacy of Hypofractionated stereotactic radiosurgery for high-grade Gliomas at first recurrence: A single-center experience. BMC Cancer 2021, 21, 123. [Google Scholar] [CrossRef]
- Valerio, J.E.; Wolf, A.; Wu, X.; Santiago Rea, N.; Fernandez Gomez, M.; Borro, M.; Alvarez-Pinzon, A.M. Assessment of Gamma Knife Stereotactic Radiosurgery as an Adjuvant Therapy in First-Line Management of Newly Diagnosed Glioblastoma: Insights from Ten Years at a Neuroscience Center. Int. J. Transl. Med. 2024, 4, 298–308. [Google Scholar] [CrossRef]
- Verhaak, E.; Schimmel, W.C.M.; Gehring, K.; Hanssens, P.E.J.; Sitskoorn, M.M. Cognitive Functioning and Health-Related Quality of Life of Long-Term Survivors With Brain Metastases Up to 21 Months After Gamma Knife Radiosurgery. Neurosurgery 2021, 88, E396–E405. [Google Scholar] [CrossRef]
- Dono, A.; Mitra, S.; Shah, M.; Takayasu, T.; Zhu, J.-J.; Tandon, N.; Patel, C.B.; Esquenazi, Y.; Ballester, L.Y. PTEN mutations predict benefit from Tumor treating fields (TTFields) therapy in patients with recurrent glioblastoma. J. Neurooncol. 2021, 153, 153–160. [Google Scholar] [CrossRef]
- Bortoletto, P.; Wolf, A.L.; Wolf, A.; Coy, S.; Blach, L.; Amendola, B.; Negret, L.; Valdez-Albini, F. Radiosurgery with Chemotherapy as an Alternative to RT for Glioblastoma Multiforme Patients 65 Years Old or Older: A Prospective Review of 40 Patients. Cureus 2011, 3, e38. [Google Scholar] [CrossRef]
- Hatiboglu, M.A.; Akdur, K.; Sakarcan, A.; Seyithanoglu, M.H.; Turk, H.M.; Sinclair, G.; Oztanir, M.N. Promising outcome of patients with recurrent glioblastoma after Gamma Knife-based hypofractionated radiotherapy. Neurochirurgie 2024, 70, 101532. [Google Scholar] [CrossRef]
- Khan, K.I.; Ramesh, P.; Kanagalingam, S.; Ul Haq, F.N.Z.; Srinivasan, N.V.; Khan, A.I.; Mashat, G.D.; Hazique, M.; Khan, S. Bevacizumab-induced hypertension as a potential physiological clinical biomarker for improved outcomes in patients with recurrent Glioblastoma Multiforme: A systematic review. Cureus 2022, 14, e29269. [Google Scholar] [CrossRef]
- She, L.; Su, L.; Liu, C. Bevacizumab combined with re-irradiation in recurrent glioblastoma. Front. Oncol. 2022, 12, 961014. [Google Scholar] [CrossRef]
- Szklener, K.; Bilski, M.; Nieoczym, K.; Mańdziuk, D.; Mańdziuk, S. Enhancing glioblastoma treatment through the integration of tumor-treating fields. Front. Oncol. 2023, 13, 1274587. [Google Scholar] [CrossRef]
- Nieder, C.; Andratschke, N.H.; Grosu, A.L. Brain Metastases: Is There Still a Role for Whole-Brain Radiation Therapy? Semin. Radiat. Oncol. 2023, 33, 129–138. [Google Scholar] [CrossRef]
- Larson, E.W.; Peterson, H.E.; Fairbanks, R.K.; Lamoreaux, W.T.; Mackay, A.R.; Call, J.A.; Demakas, J.J.; Cooke, B.S.; Lee, C.M. Long-Term Survival and Improved Quality of Life following Multiple Repeat Gamma Knife Radiosurgeries for Recurrent Glioblastoma Multiforme: A Case Report and Review of the Literature. Case Rep. Oncol. Med. 2013, 2013, 431857. [Google Scholar] [CrossRef]
- Elaimy, A.L.; Mackay, A.R.; Lamoreaux, W.T.; Demakas, J.J.; Fairbanks, R.K.; Cooke, B.S.; Lamm, A.F.; Lee, C.M. Clinical outcomes of gamma knife radiosurgery in the salvage treatment of patients with recurrent high-grade glioma. World Neurosurg. 2013, 80, 872–878. [Google Scholar] [CrossRef]
- Valerio, J.E.; Ramirez-Velandia, F.; Fernandez-Gomez, M.P.; Rea, N.S.; Alvarez-Pinzon, A.M. Bridging the Global Technology Gap in Neurosurgery: Disparities in Access to Advanced Tools for Brain Tumor Resection. Neurosurg. Pract. 2024, 5, e00090. [Google Scholar] [CrossRef]


| Criteria | Value |
|---|---|
| Patients, n | 49 |
| Female, n | 31 |
| Male, n | 18 |
| Histopathological confirmed diagnosis, n Glioblastomas | 49 |
| Age at first GKRS procedure, median | 59 years |
| Range for full cohort | 4–14 weeks |
| Extent of first surgical procedure, n | |
| Subtotal | 7 |
| Near total | 14 |
| Gross total | 28 |
| Upfront chemotherapy regimen, n | |
| Regimen contained temozolomide | 49 |
| Regimen did not contain temozolomide | 0 |
| No upfront chemotherapy (In the first 3 months) | 4 |
| Upfront chemotherapy history not available | 0 |
| GK characteristics | |
| Duration of time between initial diagnosis and GK (median), mo | 2.5 |
| Single lesion targeted with GK, n | 44 |
| Multiple lesions targeted with GK, n | 5 |
| GK total treatment volume, cm3 | |
| Median volume | 5.4 cm3 |
| Minimum volume | 1.6 cm3 |
| Maximum volume | 39 cm3 |
| GK prescription dose, Gy | |
| Median marginal prescription dose | 12 |
| Minimum marginal prescription dose | 10 |
| Maximum marginal prescription dose | 17 |
| Adjuvant chemotherapy with GK, n | |
| Received adjuvant chemotherapy | 49 |
| Adjuvant chemotherapy history not available | 0 |
| Cognitive Outcomes | Gamma Knife Radiosurgery (GKRS) | Conventional Radiotherapy [25,26] | ||
|---|---|---|---|---|
| Assessment Method | Baseline Score | 12-Month Decline | Baseline Score | 12-Month Decline |
| Mini-Mental State Examination (MMSE) | ||||
| Overall (n = 49) | 27.4 | 1.9 points | 27.5 | 4.8 points |
| Male Patients (n = 18) | 27.3 | 1.8 points | 27.4 | 4.7 points |
| Female Patients (n = 31) | 27.5 | 2.0 points | 27.6 | 4.9 points |
| Overall (n = 49) | 27.4 | 1.9 points | 27.5 | 4.8 points |
| Montreal Cognitive Assessment (MoCA) | ||||
| Overall (n = 49) | 25.1 | 2.9 points | 25.3 | 6.5 points |
| Male Patients (n = 18) | 25.0 | 2.8 points | 25.2 | 6.3 points |
| Female Patients (n = 31) | 25.2 | 3.0 points | 25.4 | 6.6 points |
Disclaimer/Publisher’s Note: The statements, opinions and data contained in all publications are solely those of the individual author(s) and contributor(s) and not of MDPI and/or the editor(s). MDPI and/or the editor(s) disclaim responsibility for any injury to people or property resulting from any ideas, methods, instructions or products referred to in the content. |
© 2024 by the authors. Licensee MDPI, Basel, Switzerland. This article is an open access article distributed under the terms and conditions of the Creative Commons Attribution (CC BY) license (https://creativecommons.org/licenses/by/4.0/).
Share and Cite
Valerio, J.E.; Wolf, A.L.; Mantilla-Farfan, P.; Aguirre Vera, G.d.J.; Fernández-Gómez, M.P.; Alvarez-Pinzon, A.M. Efficacy and Cognitive Outcomes of Gamma Knife Radiosurgery in Glioblastoma Management for Elderly Patients. J. Pers. Med. 2024, 14, 1049. https://doi.org/10.3390/jpm14101049
Valerio JE, Wolf AL, Mantilla-Farfan P, Aguirre Vera GdJ, Fernández-Gómez MP, Alvarez-Pinzon AM. Efficacy and Cognitive Outcomes of Gamma Knife Radiosurgery in Glioblastoma Management for Elderly Patients. Journal of Personalized Medicine. 2024; 14(10):1049. https://doi.org/10.3390/jpm14101049
Chicago/Turabian StyleValerio, José E., Aizik L. Wolf, Penelope Mantilla-Farfan, Guillermo de Jesús Aguirre Vera, María P. Fernández-Gómez, and Andrés M. Alvarez-Pinzon. 2024. "Efficacy and Cognitive Outcomes of Gamma Knife Radiosurgery in Glioblastoma Management for Elderly Patients" Journal of Personalized Medicine 14, no. 10: 1049. https://doi.org/10.3390/jpm14101049
APA StyleValerio, J. E., Wolf, A. L., Mantilla-Farfan, P., Aguirre Vera, G. d. J., Fernández-Gómez, M. P., & Alvarez-Pinzon, A. M. (2024). Efficacy and Cognitive Outcomes of Gamma Knife Radiosurgery in Glioblastoma Management for Elderly Patients. Journal of Personalized Medicine, 14(10), 1049. https://doi.org/10.3390/jpm14101049

