Safety and Tolerability of Concentrated Intraventricular Nicardipine for Poor-Grade Aneurysmal Subarachnoid Hemorrhage–Related Vasospasm
Abstract
1. Introduction
2. Materials and Methods
2.1. Study Design
2.2. IVN Concentration and Injection Methodology
2.3. Study Rationale
2.4. EVD Fenestration Ratio on CT as a Model for Drug Delivery
2.5. IVN Concentrated Sterile Drug Preparation and IVN Injection Provider
2.6. Safety and Tolerability of Adverse Events and CSF Utility Definitions
3. Results
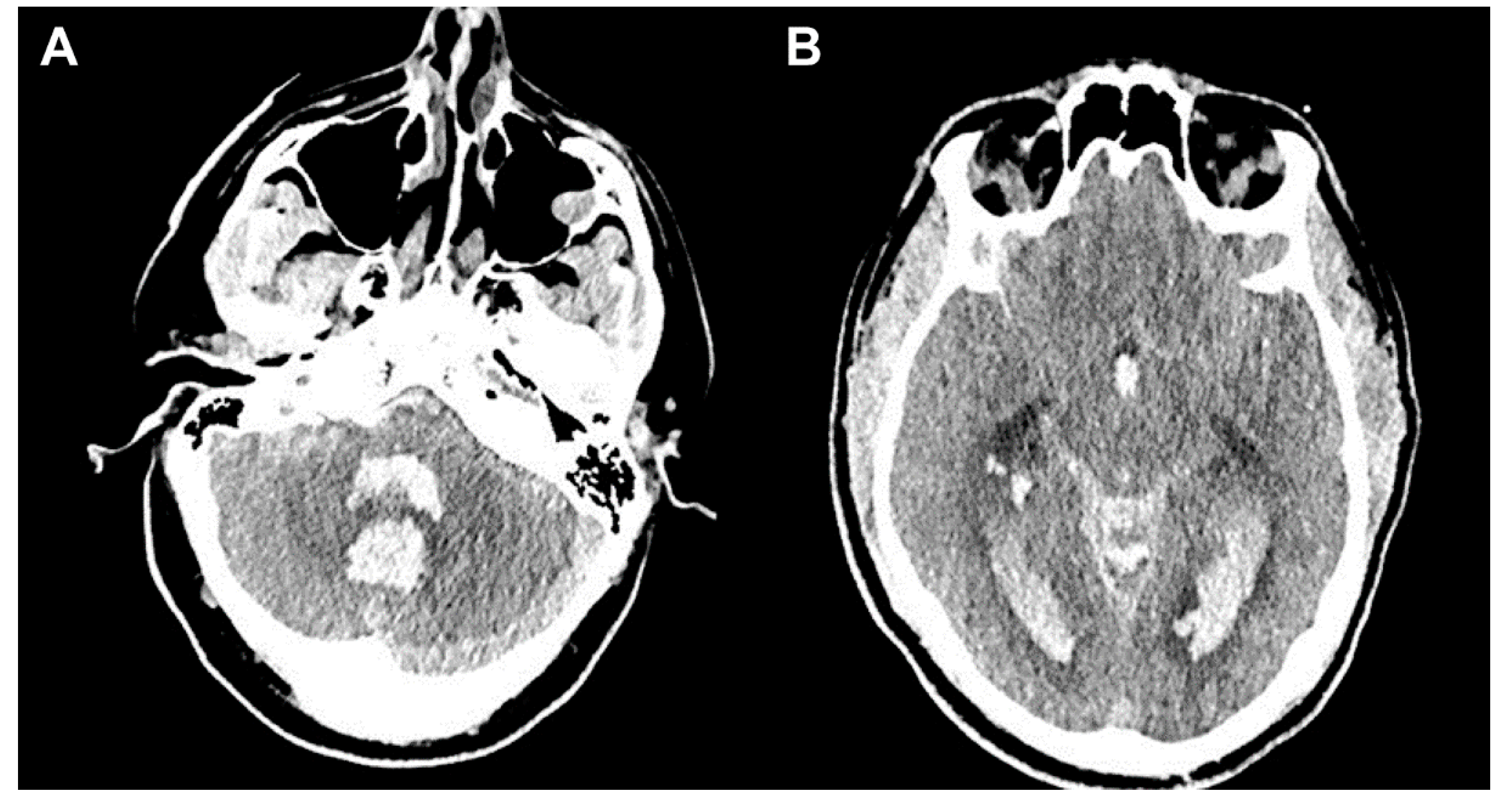
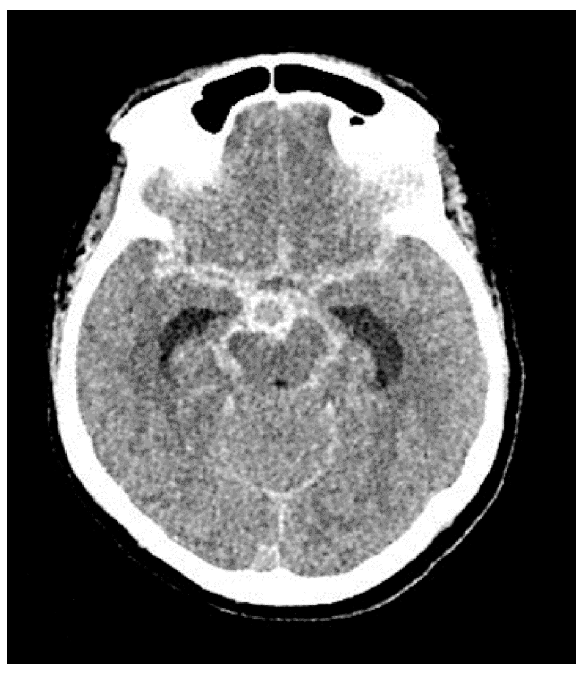
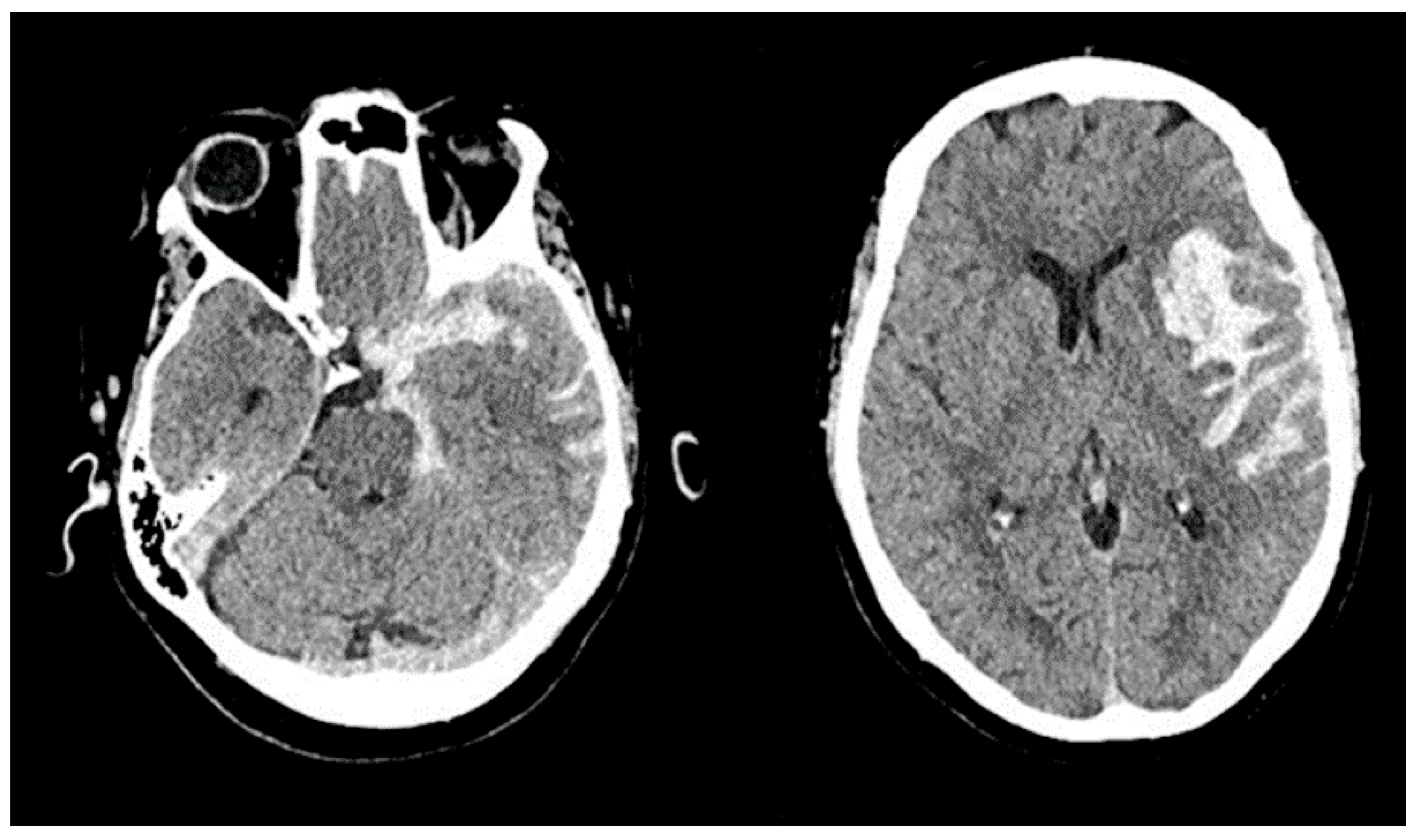
3.1. Case 1
3.2. Case 2
3.3. Case 3
4. Discussion
5. Conclusions
Author Contributions
Funding
Institutional Review Board Statement
Informed Consent Statement
Data Availability Statement
Conflicts of Interest
References
- Mayberg, M.R.; Batjer, H.H.; Dacey, R.; Diringer, M.; Haley, E.C.; Heros, R.C.; Sternau, L.L.; Torner, J.; Adams, H.P., Jr.; Feinberg, W. Guidelines for the management of aneurysmal subarachnoid hemorrhage. A statement for healthcare professionals from a special writing group of the Stroke Council, American Heart Association. Stroke 1994, 25, 2315–2328. [Google Scholar] [CrossRef] [PubMed]
- Vergouwen, M.D.; Vermeulen, M.; van Gijn, J.; Rinkel, G.J.; Wijdicks, E.F.; Muizelaar, J.P.; Mendelow, A.D.; Juvela, S.; Yonas, H.; Terbrugge, K.G.; et al. Definition of delayed cerebral ischemia after aneurysmal subarachnoid hemorrhage as an outcome event in clinical trials and observational studies: Proposal of a multidisciplinary research group. Stroke 2010, 41, 2391–2395. [Google Scholar] [CrossRef] [PubMed]
- Bayer Pharmaceuticals Corporation. NIMOTOP® (nimodipine) CAPSULES For Oral Use. 2005. Available online: https://www.accessdata.fda.gov/drugsatfda_docs/label/2006/018869s014lbl.pdf (accessed on 15 February 2022).
- Freeman, W.D.; Carlen, P.L. Cortical Spreading Depolarizations: Under-Recognized Pathophysiology in Brain Disorders. Can. J. Neurol. Sci. 2021, 48, 7–8. [Google Scholar] [CrossRef] [PubMed]
- Tallarico, R.T.; Pizzi, M.A.; Freeman, W.D. Investigational drugs for vasospasm after subarachnoid hemorrhage. Expert. Opin. Investig. Drugs. 2018, 27, 313–324. [Google Scholar] [CrossRef]
- Sandow, N.; Diesing, D.; Sarrafzadeh, A.; Vajkoczy, P.; Wolf, S. Nimodipine Dose Reductions in the Treatment of Patients with Aneurysmal Subarachnoid Hemorrhage. Neurocrit. Care 2016, 25, 29–39. [Google Scholar] [CrossRef] [PubMed]
- Abboud, T.; Andresen, H.; Koeppen, J.; Czorlich, P.; Duehrsen, L.; Stenzig, J.; Westphal, M.; Regelsberger, J. Serum levels of nimodipine in enteral and parenteral administration in patients with aneurysmal subarachnoid hemorrhage. Acta Neurochir. 2015, 157, 763–767. [Google Scholar] [CrossRef]
- Vinge, E.; Andersson, K.E.; Brandt, L.; Ljunggren, B.; Nilsson, L.G.; Rosendal-Helgesen, S. Pharmacokinetics of nimodipine in patients with aneurysmal subarachnoid haemorrhage. Eur. J. Clin. Pharmacol. 1986, 30, 421–425. [Google Scholar] [CrossRef]
- James, C.L.; Turnbull, M.T.; Freeman, W.D. Nimodipine-induced junctional bradycardia in an elderly patient with subarachnoid hemorrhage. Pharmacogenomics 2020, 21, 387–392. [Google Scholar] [CrossRef]
- Peacock, S.H.; James, C.; Turnbull, M.T.; Cowart, J.B.; Reid, J.M.; Freeman, W.D. Pharmacogenomics of Cytochrome P450 of Nimodipine Metabolism After Aneurysmal Subarachnoid Hemorrhage. J. Neurosci. Nurs. 2019, 51, 238–242. [Google Scholar] [CrossRef]
- Goodson, K.; Lapointe, M.; Monroe, T.; Chalela, J.A. Intraventricular nicardipine for refractory cerebral vasospasm after subarachnoid hemorrhage. Neurocrit. Care 2008, 8, 247–252. [Google Scholar] [CrossRef]
- Lu, N.; Jackson, D.; Luke, S.; Festic, E.; Hanel, R.A.; Freeman, W.D. Intraventricular nicardipine for aneurysmal subarachnoid hemorrhage related vasospasm: Assessment of 90 days outcome. Neurocrit. Care 2012, 16, 368–375. [Google Scholar] [CrossRef] [PubMed]
- Suzuki, M.; Doi, M.; Otawara, Y.; Ogasawara, K.; Ogawa, A. Intrathecal administration of nicardipine hydrochloride to prevent vasospasm in patients with subarachnoid hemorrhage. Neurosurg. Rev. 2001, 24, 180–184. [Google Scholar] [CrossRef] [PubMed]
- Kosteljanetz, M. Intracranial pressure: Cerebrospinal fluid dynamics and pressure-volume relations. Acta Neurol. Scand. Suppl. 1987, 111, 1–23. [Google Scholar] [PubMed]
- Ursino, M.; Iezzi, M.; Stocchetti, N. Intracranial pressure dynamics in patients with acute brain damage: A critical analysis with the aid of a mathematical model. IEEE Trans. Biomed. Eng. 1995, 42, 529–540. [Google Scholar] [CrossRef]
- Ursino, M.; Lodi, C.A. A simple mathematical model of the interaction between intracranial pressure and cerebral hemodynamics. J. Appl. Physiol. 1997, 82, 1256–1269. [Google Scholar] [CrossRef] [PubMed]
- Freeman, W.D. Management of Intracranial Pressure. Continuum 2015, 21, 1299–1323. [Google Scholar] [CrossRef]
- Ziai, W.C.; Thompson, C.B.; Mayo, S.; McBee, N.; Freeman, W.D.; Dlugash, R.; Ullman, N.; Hao, Y.; Lane, K.; Awad, I.; et al. Intracranial Hypertension and Cerebral Perfusion Pressure Insults in Adult Hypertensive Intraventricular Hemorrhage: Occurrence and Associations with Outcome. Crit. Care Med. 2019, 47, 1125–1134. [Google Scholar] [CrossRef]
- Jackson, D.A.; Patel, A.V.; Darracott, R.M.; Hanel, R.A.; Freeman, W.D.; Hanley, D.F. Safety of intraventricular hemorrhage (IVH) thrombolysis based on CT localization of external ventricular drain (EVD) fenestrations and analysis of EVD tract hemorrhage. Neurocrit. Care 2013, 19, 103–110. [Google Scholar] [CrossRef]
- Müller, A.; Mould, W.A.; Freeman, W.D.; McBee, N.; Lane, K.; Dlugash, R.; Thompson, R.; Nekoovaght-Tak, S.; Madan, V.; Ali, H.; et al. The Incidence of Catheter Tract Hemorrhage and Catheter Placement Accuracy in the CLEAR III Trial. Neurocrit. Care 2018, 29, 23–32. [Google Scholar] [CrossRef]
- Avezaat, C.J.; van Eijndhoven, J.H.; Wyper, D.J. Cerebrospinal fluid pulse pressure and intracranial volume-pressure relationships. J. Neurol. Neurosurg. Psychiatry 1979, 42, 687–700. [Google Scholar] [CrossRef]
- Marmarou, A.; Shulman, K.; Rosende, R.M. A nonlinear analysis of the cerebrospinal fluid system and intracranial pressure dynamics. J. Neurosurg. 1978, 48, 332–344. [Google Scholar] [CrossRef] [PubMed]
- Fujiwara, K.; Mikawa, S.; Ebina, T. Continuous intrathecal administration of nicardipine using a portable infusion pump system for management of vasospasm after subarachnoid hemorrhage. No Shinkei Geka 2001, 29, 23–30. [Google Scholar]
- Shibuya, M.; Suzuki, Y.; Enomoto, H.; Okada, T.; Ogura, K.; Sugita, K. Effects of prophylactic intrathecal administrations of nicardipine on vasospasm in patients with severe aneurysmal subarachnoid haemorrhage. Acta Neurochir. 1994, 131, 19–25. [Google Scholar] [CrossRef] [PubMed]
- Webb, A.; Kolenda, J.; Martin, K.; Wright, W.; Samuels, O. The effect of intraventricular administration of nicardipine on mean cerebral blood flow velocity measured by transcranial Doppler in the treatment of vasospasm following aneurysmal subarachnoid hemorrhage. Neurocrit. Care 2010, 12, 159–164. [Google Scholar] [CrossRef] [PubMed]





| Dose Number | CSF Volume Aspirated, mL | Volume 2.5 mg/mL IVN Solution, mL | Volume Saline Flush, mL | Isovolemic Goal, mL a | Pre-Treatment ICP, mm Hg | Post-Treatment ICP, mm Hg |
|---|---|---|---|---|---|---|
| 1 | 4.5 | 2.5 | 2.0 | Yes, 0.0 | 4 | 2 |
| 2 | 4.5 | 2.5 | 2.0 | Yes, 0.0 | 9 | 8 |
| 3 | 2.4 | 1.6 | 0.8 | Yes, 0.0 | 5 | 6 |
| 4 | 5.0 | 1.6 | 1.4 | No, −2.0 | 8 | 7 |
| 5 | 5.0 | 1.6 | 2.0 | No, −1.4 | 10 | 12 |
| 6 | 3.5 | 1.6 | 2.0 | No, +0.1 | 8 | 7 |
| 7 | 1.2 | 1.2 | 1.0 | No, +1.0 | 11 | 11 |
| 8 | 3.0 | 1.6 | 1.5 | No, +0.1 | 9 | 15 |
| 9 | 4.0 | 1.6 | 2.4 | Yes, 0.0 | 10 | 11 |
| 10 | 4.0 | 1.6 | 2.4 | Yes, 0.0 | 14 | 11 |
| 11 | 4.0 | 1.6 | 1.4 | No, −1.0 | 5 | 4 |
| 12 | 3.0 | 1.6 | 1.4 | Yes, 0.0 | 9 | 7 |
| 13 | 3.0 | 1.6 | 1.4 | Yes, 0.0 | 8 | 13 |
| 14 | 2.0 | 2.0 | 1.0 | No, +1.0 | 8 | 9 |
| 15 | 3.0 | 1.6 | 1.4 | Yes, 0.0 | 8 | 10 |
| 16 | 2.8 | 1.6 | 1.4 | No, +0.2 | 6 | 7 |
| 17 | 3.0 | 1.6 | 1.5 | No, +0.1 | 7 | 5 |
| 18 | 3.0 | 1.6 | 1.5 | No, +0.1 | 4 | 4 |
| 19 | 3.0 | 1.6 | 1.4 | Yes, 0.0 | 8 | 6 |
| 20 | 3.0 | 1.6 | 1.4 | Yes, 0.0 | 8 | 6 |
| 21 | 4.0 | 1.6 | 2.4 | Yes, 0.0 | 7 | 9 |
| 22 | 6.0 | 1.6 | 4.4 | Yes, 0.0 | 15 | 14 |
| 23 | 6.0 | 1.6 | 2.0 | No, −2.4 | 12 | 12 |
| 24 | 4.0 | 1.6 | 2.4 | Yes, 0.0 | 9 | 10 |
| 25 | 4.0 | 1.6 | 2.4 | Yes, 0.0 | 6 | 10 |
| 26 | 4.0 | 1.6 | 2.4 | Yes, 0.0 | 1 | 1 |
| Dose Number | CSF Volume Aspirated, mL | Volume 2.5 mg/mL IVN Solution, mL | Volume Saline Flush, mL | Isovolemic Goal, mL a | Pre-Treatment ICP, mm Hg | Post-Treatment ICP, mm Hg |
|---|---|---|---|---|---|---|
| 1 | 4.0 | 1.6 | 2.0 | No, −0.4 | 8 | 11 |
| 2 | 2.0 | 1.6 | 1.0 | No, +0.6 | 15 | 18 |
| 3 | 2.5 | 1.6 | 2.0 | No, +1.1 | 7 | 10 |
| 4 | 6.0 | 1.6 | 2.0 | No, −2.4 | NA | 5 |
| 5 | 5.0 | 1.5 | 2.0 | No, −1.5 | 6 | 8 |
| 6 | 5.0 | 1.6 | 3.4 | Yes, 0.0 | 15 | 16 |
| 7 | 4.0 | 1.6 | 2.0 | No, −0.4 | 10 | 6 |
| 8 | 4.0 | 1.6 | 2.0 | No, −0.4 | 16 | 16 |
| 9 | 4.0 | 1.6 | 2.0 | No, −0.4 | 12 | 10 |
| 10 | 2.0 | 1.6 | 0.4 | Yes, 0.0 | 12 | 10 |
| 11 | 2.0 | 1.6 | 0.4 | Yes, 0.0 | 11 | 11 |
| 12 | 4.0 | 1.6 | 2.4 | Yes, 0.0 | 6 | 6 |
| 13 | 4.0 | 1.6 | 2.4 | Yes, 0.0 | 11 | 10 |
| Dose Number | CSF Volume Aspirated, mL | Volume 2.5 mg/mL IVN Solution, mL | Volume Saline Flush, mL | Isovolemic Goal, mL a | Pre-Treatment ICP, mm Hg | Post-Treatment ICP, mm Hg |
|---|---|---|---|---|---|---|
| 1 | 4.0 | 1.6 | 2.0 | No, −0.4 | 7 | 7 |
| 2 | 4.0 | 1.6 | 2.0 | No, −0.4 | 10 | 7 |
| 3 | 4.0 | 1.6 | 2.0 | No, −0.4 | 10 | 11 |
| 4 | 3.6 | 1.6 | 2.0 | Yes, 0.0 | 7 | 5 |
| 5 | 5.0 | 1.6 | 1.0 | No, −2.4 | 11 | 10 |
| 6 | 6.0 | 1.6 | 2.4 | No. −2.0 | 3 | 5 |
| 7 | 4.0 | 1.6 | 2.4 | Yes, 0.0 | 12 | 14 |
| 8 | 4.0 | 1.6 | 2.4 | Yes, 0.0 | 8 | 9 |
| 9 | 5.5 | 1.6 | 2.0 | No, −1.9 | 7 | 6 |
| 10 | 4.0 | 1.6 | 2.5 | No, +0.1 | 7 | 8 |
| 11 | 5.0 | 1.6 | 3.4 | Yes, 0.0 | 7 | 5 |
| 12 | 5.5 | 1.6 | 2.0 | No, −1.9 | 2 | 6 |
| 13 | 4.0 | 1.6 | 2.5 | No, +0.1 | 6 | 8 |
| 14 | 4.0 | 1.6 | 2.5 | No, +0.1 | 2 | 8 |
| 15 | 5.0 | 1.6 | 3.4 | Yes, 0.0 | 4 | 3 |
| 16 | 3.6 | 1.6 | 2.0 | Yes, 0.0 | 9 | 9 |
| 17 | 3.6 | 1.6 | 2.0 | Yes, 0.0 | 9 | 10 |
| 18 | 3.6 | 1.6 | 2.0 | Yes, 0.0 | 12 | 12 |
| 19 | 4.0 | 1.6 | 2.4 | Yes, 0.0 | 2 | 1 |
| 20 | NA | 1.6 | 2.0 | NA | 13 | 7 |
Disclaimer/Publisher’s Note: The statements, opinions and data contained in all publications are solely those of the individual author(s) and contributor(s) and not of MDPI and/or the editor(s). MDPI and/or the editor(s) disclaim responsibility for any injury to people or property resulting from any ideas, methods, instructions or products referred to in the content. |
© 2023 by the authors. Licensee MDPI, Basel, Switzerland. This article is an open access article distributed under the terms and conditions of the Creative Commons Attribution (CC BY) license (https://creativecommons.org/licenses/by/4.0/).
Share and Cite
Zahra, K.; Domingo, R.A.; Turnbull, M.T.; Santos, C.D.; Peacock, S.H.; Jackson, D.A.; Tawk, R.G.; Siegel, J.L.; Freeman, W.D. Safety and Tolerability of Concentrated Intraventricular Nicardipine for Poor-Grade Aneurysmal Subarachnoid Hemorrhage–Related Vasospasm. J. Pers. Med. 2023, 13, 428. https://doi.org/10.3390/jpm13030428
Zahra K, Domingo RA, Turnbull MT, Santos CD, Peacock SH, Jackson DA, Tawk RG, Siegel JL, Freeman WD. Safety and Tolerability of Concentrated Intraventricular Nicardipine for Poor-Grade Aneurysmal Subarachnoid Hemorrhage–Related Vasospasm. Journal of Personalized Medicine. 2023; 13(3):428. https://doi.org/10.3390/jpm13030428
Chicago/Turabian StyleZahra, Kaneez, Ricardo A. Domingo, Marion T. Turnbull, Christan D. Santos, Sarah H. Peacock, Daniel A. Jackson, Rabih G. Tawk, Jason L. Siegel, and William David Freeman. 2023. "Safety and Tolerability of Concentrated Intraventricular Nicardipine for Poor-Grade Aneurysmal Subarachnoid Hemorrhage–Related Vasospasm" Journal of Personalized Medicine 13, no. 3: 428. https://doi.org/10.3390/jpm13030428
APA StyleZahra, K., Domingo, R. A., Turnbull, M. T., Santos, C. D., Peacock, S. H., Jackson, D. A., Tawk, R. G., Siegel, J. L., & Freeman, W. D. (2023). Safety and Tolerability of Concentrated Intraventricular Nicardipine for Poor-Grade Aneurysmal Subarachnoid Hemorrhage–Related Vasospasm. Journal of Personalized Medicine, 13(3), 428. https://doi.org/10.3390/jpm13030428

