A Novel Method for Predicting Ideal Postoperative Upper Instrumented Vertebra Tilt to Prevent Lateral Shoulder Imbalance after Scoliosis Correction Surgery
Abstract
1. Introduction
2. Materials and Methods
2.1. Patient Population
2.2. Surgical Technique
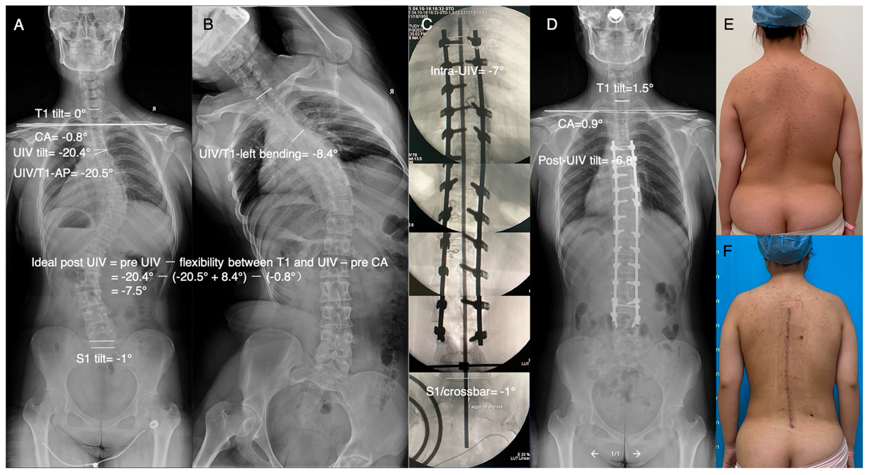
2.3. Radiographic Measurements
2.4. Verification of the Feasibility of This Method in Clinical Practice
2.5. Statistical Analysis
3. Results
4. Discussion
Author Contributions
Funding
Institutional Review Board Statement
Informed Consent Statement
Data Availability Statement
Acknowledgments
Conflicts of Interest
References
- Moorthy, V.; Goh, G.S.; Guo, C.M.; Tan, S.B.; Chen, J.L.; Soh, R.C.C. Risk Factors of Postoperative Shoulder Imbalance in Adolescent Idiopathic Scoliosis: The Role of Sagittal Spinopelvic Parameters and Upper Instrumented Vertebrae Selection. Clin. Spine Surg. 2021, 35, E137–E142. [Google Scholar] [CrossRef] [PubMed]
- Zhang, S.; Zhang, L.; Feng, X.; Yang, H. Incidence and risk factors for postoperative shoulder imbalance in scoliosis: A systematic review and meta-analysis. Eur. Spine J. 2018, 27, 358–369. [Google Scholar] [CrossRef] [PubMed]
- Cao, K.; Watanabe, K.; Hosogane, N.; Toyama, Y.; Yonezawa, I.; Machida, M.; Yagi, M.; Kaneko, S.; Kawakami, N.; Tsuji, T.; et al. Association of postoperative shoulder balance with adding-on in Lenke Type II adolescent idiopathic scoliosis. Spine 2014, 39, E705–E712. [Google Scholar] [CrossRef] [PubMed]
- Ono, T.; Bastrom, T.P.; Newton, P.O. Defining 2 components of shoulder imbalance: Clavicle tilt and trapezial prominence. Spine 2012, 37, E1511–E1516. [Google Scholar] [CrossRef] [PubMed]
- Kwan, M.K.; Wong, K.A.; Lee, C.K.; Chan, C.Y. Is neck tilt and shoulder imbalance the same phenomenon? A prospective analysis of 89 adolescent idiopathic scoliosis patients (Lenke type 1 and 2). Eur. Spine J. 2016, 25, 401–408. [Google Scholar] [CrossRef]
- Chan, C.Y.W.; Chiu, C.K.; Kwan, M.K. Assessing the Flexibility of the Proximal Thoracic Segments Above the “Potential Upper Instrumented Vertebra” Using the Cervical Supine Side Bending Radiographs in Lenke 1 and 2 Curves for Adolescent Idiopathic Scoliosis Patients. Spine 2016, 41, E973–E980. [Google Scholar] [CrossRef]
- Kwan, M.K.; Chan, C.Y. Is there an optimal upper instrumented vertebra (UIV) tilt angle to prevent post-operative shoulder imbalance and neck tilt in Lenke 1 and 2 adolescent idiopathic scoliosis (AIS) patients? Eur. Spine J. 2016, 25, 3065–3074. [Google Scholar] [CrossRef]
- Amir, D.; Yaszay, B.; Bartley, C.E.; Bastrom, T.P.; Newton, P.O. Does Leveling the Upper Thoracic Spine Have Any Impact on Postoperative Clinical Shoulder Balance in Lenke 1 and 2 Patients? Spine 2016, 41, 1122–1127. [Google Scholar] [CrossRef]
- Yang, H.; Im, G.H.; Hu, B.; Wang, L.; Zhou, C.; Liu, L.; Song, Y. Shoulder balance in Lenke type 2 adolescent idiopathic scoliosis: Should we fuse to the second thoracic vertebra? Clin. Neurol. Neurosurg. 2017, 163, 156–162. [Google Scholar] [CrossRef]
- Qiu, X.S.; Ma, W.W.; Li, W.G.; Wang, B.; Yu, Y.; Zhu, Z.Z.; Qian, B.P.; Zhu, F.; Sun, X.; Ng, B.K.; et al. Discrepancy between radiographic shoulder balance and cosmetic shoulder balance in adolescent idiopathic scoliosis patients with double thoracic curve. Eur. Spine J. 2009, 18, 45–51. [Google Scholar] [CrossRef]
- Luhmann, S.J.; Sucato, D.J.; Johnston, C.E.; Richards, B.S.; Karol, L.A. Radiographic Assessment of Shoulder Position in 619 Idiopathic Scoliosis Patients: Can T1 Tilt Be Used as an Intraoperative Proxy to Determine Postoperative Shoulder Balance? J. Pediatr. Orthop. 2016, 36, 691–694. [Google Scholar] [CrossRef]
- Kuklo, T.R.; Lenke, L.G.; Won, D.S.; Graham, E.J.; Sweet, F.A.; Betz, R.R.; Bridwell, K.H.; Blanke, K.M. Spontaneous proximal thoracic curve correction after isolated fusion of the main thoracic curve in adolescent idiopathic scoliosis. Spine 2001, 26, 1966–1975. [Google Scholar] [CrossRef]
- Elfiky, T.A.; Samartzis, D.; Cheung, W.Y.; Wong, Y.W.; Luk, K.D.; Cheung, K.M. The proximal thoracic curve in adolescent idiopathic scoliosis: Surgical strategy and management outcomes. Glob. Spine J. 2011, 1, 27–36. [Google Scholar] [CrossRef]
- Trobisch, P.D.; Ducoffe, A.R.; Lonner, B.S.; Errico, T.J. Choosing fusion levels in adolescent idiopathic scoliosis. J. Am. Acad. Orthop. Surg. 2013, 21, 519–528. [Google Scholar]
- Chan, C.Y.W.; Chiu, C.K.; Ler, X.Y.; Ng, Y.H.; Chian, X.H.; Tan, P.H.; Kwan, M.K. Upper Instrumented Vertebrae (UIV) Tilt Angle Is an Important Postoperative Radiological Parameter That Correlates with Postoperative Neck and Medial Shoulder Imbalance. Spine 2018, 43, E1143–E1151. [Google Scholar] [CrossRef]
- Chung, W.H.; Chiu, C.K.; Ng, S.J.; Goh, S.H.; Chan, C.Y.W.; Kwan, M.K. How Common Is Medial and Lateral Shoulder Discordance in Lenke 1 and 2 Curves?: A Preoperative Analysis of Medial and Lateral Shoulder Balance Among 151 Lenke 1 and 2 Adolescent Idiopathic Scoliosis Patients. Spine 2019, 44, E480–E486. [Google Scholar] [CrossRef]
- Terheyden, J.H.; Wetterkamp, M.; Gosheger, G.; Bullmann, V.; Liljenqvist, U.; Lange, T.; Schulze Bovingloh, A.; Schulte, T.L. Predictors of shoulder level after spinal fusion in adolescent idiopathic scoliosis. Eur. Spine J. 2018, 27, 370–380. [Google Scholar] [CrossRef]
- Kwan, M.K.; Chiu, C.K.; Goh, S.H.; Ng, S.J.; Tan, P.H.; Chian, X.H.; Ng, Y.H.; Ler, X.Y.; Bashir, E.S.; Chan, C.Y.W. The Reliability of Intraoperative Crossbar Technique in Determining the Upper Instrumented Vertebra (UIV) Tilt Angle for Adolescent Idiopathic Scoliosis (AIS) Undergoing Posterior Spinal Fusion. Clin. Spine Surg. 2019, 32, 256–262. [Google Scholar] [CrossRef]
- Sekiya, T.; Aota, Y.; Yamada, K.; Kaneko, K.; Ide, M.; Saito, T. Evaluation of functional and structural leg length discrepancy in patients with adolescent idiopathic scoliosis using the EOS imaging system: A prospective comparative study. Scoliosis Spinal Disord. 2018, 13, 7. [Google Scholar] [CrossRef]
- Chan, C.Y.W.; Naing, K.S.; Chiu, C.K.; Mohamad, S.M.; Kwan, M.K. Pelvic obliquity in adolescent idiopathic scoliosis planned for posterior spinal fusion: A preoperative analysis of 311 lower limb axis films. J. Orthop. Surg. 2019, 27, 2309499019857250. [Google Scholar] [CrossRef]
- Sielatycki, J.A.; Cerpa, M.; Beauchamp, E.C.; Shimizu, T.; Wei, C.; Pongmanee, S.; Wang, H.; Xue, R.; Zhou, R.; Liu, X.; et al. The Amount of Relative Curve Correction Is More Important Than Upper Instrumented Vertebra Selection for Ensuring Postoperative Shoulder Balance in Lenke Type 1 and Type 2 Adolescent Idiopathic Scoliosis. Spine 2019, 44, E1031–E1037. [Google Scholar] [CrossRef] [PubMed]
- Hiett, A.; Tung, R.; Emanuelli, E.; Sherman, A.; Anderson, J.T.; Schwend, R.M. The amount of surgical correction of the main thoracic curve is the best predictor of postoperative clinical shoulder balance in patients with Adolescent Idiopathic Scoliosis. Spine Deform. 2020, 8, 1279–1286. [Google Scholar] [CrossRef] [PubMed]
- Ilharreborde, B.; Even, J.; Lefevre, Y.; Fitoussi, F.; Presedo, A.; Souchet, P.; Pennecot, G.F.; Mazda, K. How to determine the upper level of instrumentation in Lenke types 1 and 2 adolescent idiopathic scoliosis: A prospective study of 132 patients. J. Pediatr. Orthop. 2008, 28, 733–739. [Google Scholar] [CrossRef] [PubMed]
- Hong, J.Y.; Suh, S.W.; Modi, H.N.; Yang, J.H.; Park, S.Y. Analysis of factors that affect shoulder balance after correction surgery in scoliosis: A global analysis of all the curvature types. Eur. Spine J. 2013, 22, 1273–1285. [Google Scholar] [CrossRef] [PubMed]
- Trobisch, P.D.; Samdani, A.F.; Pahys, J.M.; Cahill, P.J. Postoperative trunk shift in Lenke 1 and 2 curves: How common is it? and analysis of risk factors. Eur. Spine J. 2011, 20, 1137–1140. [Google Scholar] [CrossRef]



| Variables | Retrospective Study | Prospective Study | ||
|---|---|---|---|---|
| Whole Group | LSI | LSB | ||
| Age (y) | 14.16 ± 3.15 | 14.42 ± 4.43 | 14.02 ± 2.27 | 13.46 ± 2.26 |
| Sex [n (%)] | ||||
| Male | 16 (21.05) | 3 (11.54) | 13 (26.0) | 2 (15.38) |
| Female | 60 (78.95) | 23 (88.46) | 37 (74.0) | 11 (84.62) |
| UIV [n (%)] | ||||
| T2 | 45 (59.21) | 18 (69.23) | 27 (54.0) | 4 (30.77) |
| T3 | 16 (21.05) | 4 (15.38) | 12 (24.0) | 3 (23.08) |
| T4 | 9 (11.84) | 2 (7.70) | 7 (14.0) | 4 (30.77) |
| T5 | 6 (7.90) | 2 (7.69) | 4 (8.0) | 2 (15.38) |
| Pre-CA | −1.30 ± 3.30 | −0.56 ± 2.15 | −1.69 ± 3.72 | −1.02 ± 1.95 |
| Pre-UIV | −3.35 ± 13.44 | −4.31 ± 15.22 | −2.85 ± 12.55 | −8.73 ± 10.70 |
| (T1/UIV Cobb) in AP | −3.40 ± 10.36 | −5.12 ± 10.71 | −2.50 ± 10.17 | −8.59 ± 8.53 |
| (T1/UIV Cobb) in bending | −1.85 ± 5.62 | −2.68 ± 6.32 | −1.42 ± 5.23 | −2.96 ± 4.95 |
| Post-CA | 1.51 ± 2.38 | 3.45 ± 2.61 | 0.51 ± 1.47 | 0.68 ± 1.27 |
| Post-UIV | 0.89 ± 8.09 | 1.76 ± 10.20 | 0.43 ± 6.81 | −1.48 ± 5.35 |
| Ideal UIV | −0.50 ± 8.38 | −1.31 ± 11.09 | −0.08 ± 6.64 | −2.08 ± 5.34 |
| (Post-Ideal) UIV | 1.47 ± 2.44 | 3.53 ± 2.58 | 0.40 ± 1.51 | 0.60 ± 1.39 |
| (Post-Pre) CA | 2.82 ± 3.64 | 4.01 ± 2.44 | 2.20 ± 4.02 | 1.70 ± 1.68 |
| Pre-T1 | 0.37 ± 6.12 | −0.78 ± 7.25 | 0.96 ± 5.42 | 0.38 ± 5.68 |
| Post-T1 | 3.13 ± 5.66 | 3.30 ± 7.81 | 3.05 ± 4.23 | 1.97 ± 4.98 |
| (Post-Pre) T1 | 2.77 ± 3.68 | 4.08 ± 2.58 | 2.09 ± 3.99 | 1.58 ± 1.91 |
| (Post-Pre) UIV | 4.24 ± 8.03 | 6.07 ± 7.47 | 3.29 ± 8.21 | 7.25 ± 5.91 |
| Intra-UIV | - | - | - | −1.81 ± 5.21 |
| Variables | Correlation Coefficient | p Value |
|---|---|---|
| Pre-T1 vs. Pre-CA | 0.428 ** | 0.000 |
| Post-T1 vs. Post-CA | 0.286 * | 0.012 |
| (Post-Pre) T1 vs. (Post-Pre) CA | 0.990 ** | 0.000 |
| Pre-UIV vs. Pre-CA | 0.411 ** | 0.000 |
| Post-UIV vs. Post-CA | 0.238 * | 0.039 |
| (Post-Pre) UIV vs. (Post-Pre) CA | 0.646 ** | 0.000 |
| Pre-T1 vs. Pre-UIV | 0.339 ** | 0.003 |
| Post-T1 vs. Post-UIV | 0.368 ** | 0.001 |
| (Post-Pre) UIV vs. (Post-Pre) T1 | 0.617 ** | 0.000 |
| (Post-Ideal) UIV vs. Post-CA | 0.981 ** | 0.000 |
| Variables | Correlation Coefficient | p Value |
|---|---|---|
| Pre-T1 vs. Pre-CA | 0.019 | 0.928 |
| Post-T1 vs. Post-CA | 0.296 | 0.142 |
| (Post-Pre) T1 vs. (Post-Pre) CA | 0.980 ** | 0.000 |
| Pre-UIV vs. Pre-CA | 0.392 * | 0.048 |
| Post-UIV vs. Post-CA | 0.211 | 0.301 |
| (Post-Pre) UIV vs. (Post-Pre) CA | 0.466 * | 0.016 |
| Pre-T1 vs. Pre-UIV | 0.025 | 0.904 |
| Post-T1 vs. Post-UIV | 0.182 | 0.373 |
| (Post-Pre) UIV vs. (Post-Pre) T1 | 0.430 * | 0.028 |
| (Post-Ideal) UIV vs. Post-CA | 0.982 ** | 0.000 |
| Variables | Correlation Coefficient | p Value |
|---|---|---|
| Pre-T1 vs. Pre-CA | 0.682 ** | 0.000 |
| Post-T1 vs. Post-CA | 0.413 ** | 0.003 |
| (Post-Pre) T1 vs. (Post-Pre) CA | 0.992 ** | 0.000 |
| Pre-UIV vs. Pre-CA | 0.469 ** | 0.001 |
| Post-UIV vs. Post-CA | 0.276 | 0.052 |
| (Post-Pre) UIV vs. (Post-Pre) CA | 0.692 ** | 0.000 |
| Pre-T1 vs. Pre-UIV | 0.635 ** | 0.000 |
| Post-T1 vs. Post-UIV | 0.635 ** | 0.000 |
| (Post-Pre) UIV vs. (Post-Pre) T1 | 0.663 ** | 0.000 |
| (Post-Ideal) UIV vs. Post-CA | 0.953 ** | 0.000 |
| Variables | Correlation Coefficient | p Value |
|---|---|---|
| Pre-T1 vs. Pre-CA | 0.702 ** | 0.007 |
| Post-T1 vs. Post-CA | 0.425 | 0.148 |
| (Post-Pre) T1 vs. (Post-Pre) CA | 0.976 ** | 0.000 |
| Pre-UIV vs. Pre-CA | 0.666 * | 0.013 |
| Post-UIV vs. Post-CA | 0.198 | 0.517 |
| (Post-Pre) UIV vs. (Post-Pre) CA | 0.577 * | 0.039 |
| Pre-T1 vs. Pre-UIV | 0.746 ** | 0.003 |
| Post-T1 vs. Post-UIV | 0.697 ** | 0.008 |
| (Post-Pre) UIV vs. (Post-Pre) T1 | 0.587 * | 0.035 |
| (Post-Ideal) UIV vs. Post-CA | 0.939 ** | 0.000 |
| Ideal UIV vs. Post-UIV | 0.966 ** | 0.000 |
| Ideal UIV vs. Intra-UIV | 0.997 ** | 0.000 |
| Post-UIV vs. Intra-UIV | 0.982 ** | 0.000 |
Disclaimer/Publisher’s Note: The statements, opinions and data contained in all publications are solely those of the individual author(s) and contributor(s) and not of MDPI and/or the editor(s). MDPI and/or the editor(s) disclaim responsibility for any injury to people or property resulting from any ideas, methods, instructions or products referred to in the content. |
© 2023 by the authors. Licensee MDPI, Basel, Switzerland. This article is an open access article distributed under the terms and conditions of the Creative Commons Attribution (CC BY) license (https://creativecommons.org/licenses/by/4.0/).
Share and Cite
Zhang, W.; Xu, M.; Zhang, W.; Li, T.; Lai, Y.; Chen, F.; Sun, M.; Wang, H.; Sun, J.; Cui, X.; et al. A Novel Method for Predicting Ideal Postoperative Upper Instrumented Vertebra Tilt to Prevent Lateral Shoulder Imbalance after Scoliosis Correction Surgery. J. Pers. Med. 2023, 13, 393. https://doi.org/10.3390/jpm13030393
Zhang W, Xu M, Zhang W, Li T, Lai Y, Chen F, Sun M, Wang H, Sun J, Cui X, et al. A Novel Method for Predicting Ideal Postoperative Upper Instrumented Vertebra Tilt to Prevent Lateral Shoulder Imbalance after Scoliosis Correction Surgery. Journal of Personalized Medicine. 2023; 13(3):393. https://doi.org/10.3390/jpm13030393
Chicago/Turabian StyleZhang, Wen, Mengmeng Xu, Weimin Zhang, Tao Li, Yudong Lai, Fei Chen, Mingtong Sun, Haoyu Wang, Jianmin Sun, Xingang Cui, and et al. 2023. "A Novel Method for Predicting Ideal Postoperative Upper Instrumented Vertebra Tilt to Prevent Lateral Shoulder Imbalance after Scoliosis Correction Surgery" Journal of Personalized Medicine 13, no. 3: 393. https://doi.org/10.3390/jpm13030393
APA StyleZhang, W., Xu, M., Zhang, W., Li, T., Lai, Y., Chen, F., Sun, M., Wang, H., Sun, J., Cui, X., & Jiang, Z. (2023). A Novel Method for Predicting Ideal Postoperative Upper Instrumented Vertebra Tilt to Prevent Lateral Shoulder Imbalance after Scoliosis Correction Surgery. Journal of Personalized Medicine, 13(3), 393. https://doi.org/10.3390/jpm13030393

