Forsythoside A Alleviates Imiquimod-Induced Psoriasis-like Dermatitis in Mice by Regulating Th17 Cells and IL-17A Expression
Abstract
1. Introduction
2. Materials and Methods
2.1. IMQ-Induced Psoriasis-like Dermatitis Model
2.2. Flow Cytometry and Intracellular Staining (ICS)
2.3. Cell Viability and Flow Cytometry Analysis of Apoptosis
2.4. Histological and Immunohistochemical Stain
2.5. In Vitro Lymphocyte Culture and ELISA
2.6. Statistics
3. Results
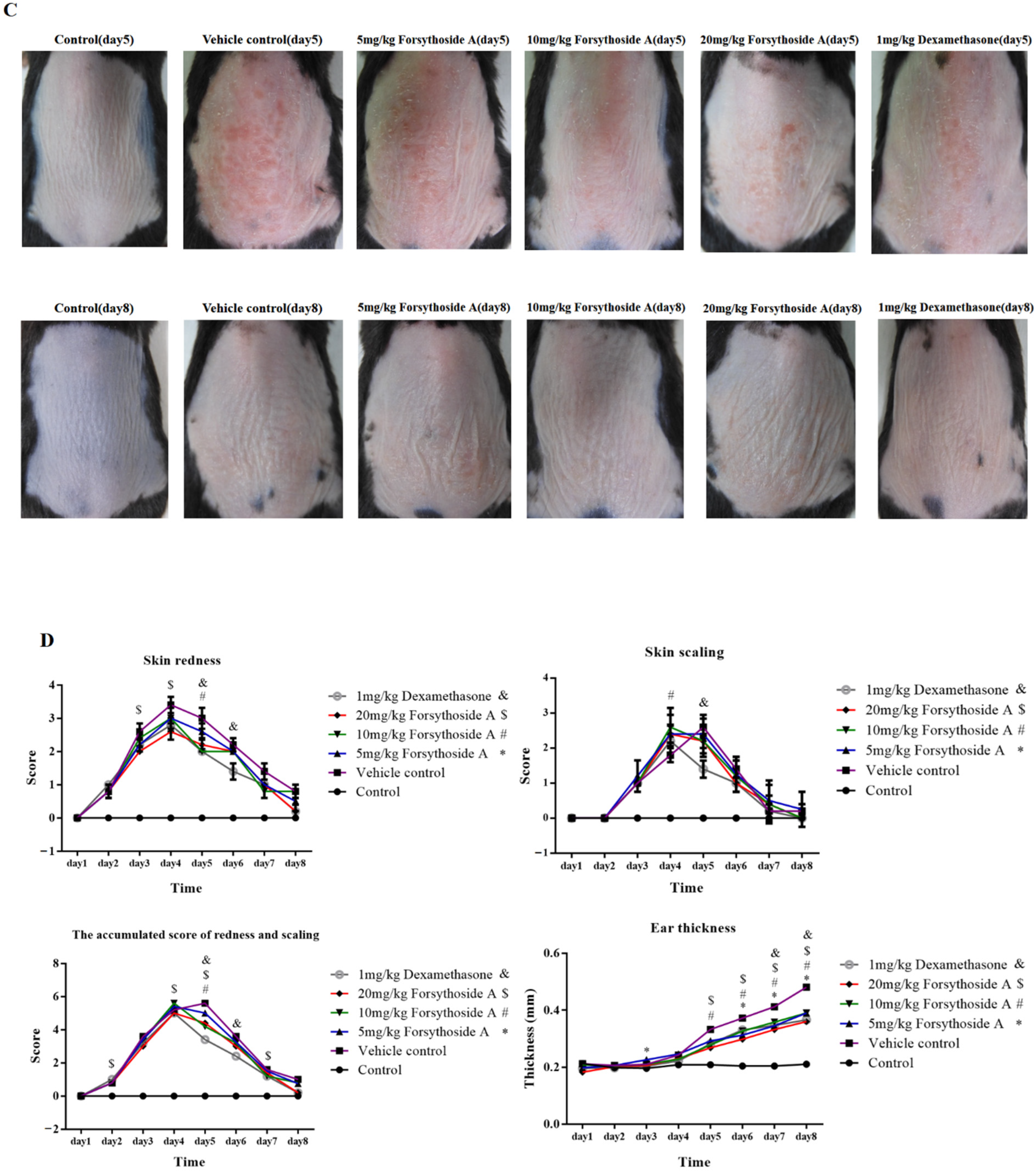
3.1. Forsythoside A Relieves the Symptoms of Imiquimod-Induced Psoriasis-like Dermatitis
3.2. Forsythoside A Reduces Keratinocyte Proliferation and Pro-Inflammatory Cytokine Expression in Imiquimod-Induced Psoriasis-like Dermatitis
3.3. Forsythoside A Reduces Th17 Cells in Inguinal Lymph Nodes
3.4. Forsythoside A Suppresses the Secretion of IL-17A In Vitro
4. Discussion
5. Conclusions
Author Contributions
Funding
Institutional Review Board Statement
Informed Consent Statement
Data Availability Statement
Conflicts of Interest
References
- Parisi, R.; Symmons, D.P.; Griffiths, C.E.; Ashcroft, D.M. Global epidemiology of psoriasis: A systematic review of incidence and prevalence. J. Investig. Dermatol. 2013, 133, 377–385. [Google Scholar] [CrossRef] [PubMed]
- Michalek, I.M.; Loring, B.; John, S.M. A systematic review of worldwide epidemiology of psoriasis. J. Eur. Acad. Dermatol. Venereol. JEADV 2017, 31, 205–212. [Google Scholar] [CrossRef]
- Langley, R.G.; Krueger, G.G.; Griffiths, C.E. Psoriasis: Epidemiology, clinical features, and quality of life. Ann. Rheum. Dis. 2005, 64, ii18–ii23. [Google Scholar] [CrossRef] [PubMed]
- Rendon, A.; Schäkel, K. Psoriasis pathogenesis and treatment. Int. J. Mol. Sci. 2019, 20, 1475. [Google Scholar] [CrossRef]
- Takeshita, J.; Grewal, S.; Langan, S.M.; Mehta, N.N.; Ogdie, A.; Van Voorhees, A.S.; Gelfand, J.M. Psoriasis and comorbid diseases: Epidemiology. J. Am. Acad. Dermatol. 2017, 76, 377–390. [Google Scholar] [CrossRef]
- Hawkes, J.E.; Chan, T.C.; Krueger, J.G. Psoriasis pathogenesis and the development of novel targeted immune therapies. J. Allergy Clin. Immunol. 2017, 140, 645–653. [Google Scholar] [CrossRef] [PubMed]
- Hawkes, J.E.; Yan, B.Y.; Chan, T.C.; Krueger, J.G. Discovery of the il-23/il-17 signaling pathway and the treatment of psoriasis. J. Immunol. 2018, 201, 1605–1613. [Google Scholar] [CrossRef]
- Wollina, U.; Tirant, M.; Vojvodic, A.; Lotti, T. Treatment of psoriasis: Novel approaches to topical delivery. Open Access Maced. J. Med. Sci. 2019, 7, 3018–3025. [Google Scholar] [CrossRef]
- Gisondi, P.; Del Giglio, M.; Girolomoni, G. Treatment approaches to moderate to severe psoriasis. Int. J. Mol. Sci. 2017, 18, 2427. [Google Scholar] [CrossRef]
- Sung, Y.Y.; Yoon, T.; Jang, S.; Kim, H.K. Forsythia suspensa suppresses house dust mite extract-induced atopic dermatitis in nc/nga mice. PLoS ONE 2016, 11, e0167687. [Google Scholar] [CrossRef]
- Deng, L.; Pang, P.; Zheng, K.; Nie, J.; Xu, H.; Wu, S.; Chen, J.; Chen, X. Forsythoside a controls influenza a virus infection and improves the prognosis by inhibiting virus replication in mice. Molecules 2016, 21, 524. [Google Scholar] [CrossRef]
- Leung, S.; Liu, X.; Fang, L.; Chen, X.; Guo, T.; Zhang, J. The cytokine milieu in the interplay of pathogenic th1/th17 cells and regulatory t cells in autoimmune disease. Cell. Mol. Immunol. 2010, 7, 182–189. [Google Scholar] [CrossRef]
- Furue, M.; Furue, K.; Tsuji, G.; Nakahara, T. Interleukin-17a and keratinocytes in psoriasis. Int. J. Mol. Sci. 2020, 21, 1275. [Google Scholar] [CrossRef]
- Zhang, X.T.; Ding, Y.; Kang, P.; Zhang, X.Y.; Zhang, T. Forsythoside a modulates zymosan-induced peritonitis in mice. Molecules 2018, 23, 593. [Google Scholar] [CrossRef] [PubMed]
- Guo, Y.P.; Lin, L.G.; Wang, Y.T. Chemistry and pharmacology of the herb pair Flos Lonicerae japonicae-Forsythiae fructus. Chin. Med. 2015, 10, 16. [Google Scholar] [CrossRef] [PubMed]
- Zeng, X.Y.; Yuan, W.; Zhou, L.; Wang, S.X.; Xie, Y.; Fu, Y.J. Forsythoside a exerts an anti-endotoxin effect by blocking the lps/tlr4 signaling pathway and inhibiting tregs in vitro. Int. J. Mol. Med. 2017, 40, 243–250. [Google Scholar] [CrossRef][Green Version]
- Zheng, X.; Fu, Y.; Shi, S.S.; Wu, S.; Yan, Y.; Xu, L.; Wang, Y.; Jiang, Z. Effect of forsythiaside a on the rlrs signaling pathway in the lungs of mice infected with the influenza a virus fm1 strain. Molecules 2019, 24, 4219. [Google Scholar] [CrossRef] [PubMed]
- Han, J.; Zhang, Y.; Pan, C.; Xian, Z.; Pan, C.; Zhao, Y.; Li, C.; Yi, Y.; Wang, L.; Tian, J.; et al. Forsythoside a and forsythoside b contribute to shuanghuanglian injection-induced pseudoallergic reactions through the rhoa/rock signaling pathway. Int. J. Mol. Sci. 2019, 20, 6266. [Google Scholar] [CrossRef] [PubMed]
- Yang, B.Y.; Cheng, Y.G.; Liu, Y.; Liu, Y.; Tan, J.Y.; Guan, W.; Guo, S.; Kuang, H.X. Datura Metel L. Ameliorates imiquimod-induced psoriasis-like dermatitis and inhibits inflammatory cytokines production through tlr7/8-myd88-nf-κb-nlrp3 inflammasome pathway. Molecules 2019, 24, 2157. [Google Scholar] [CrossRef]
- Wu, S.; Zhao, M.; Sun, Y.; Xie, M.; Le, K.; Xu, M.; Huang, C. The potential of diosgenin in treating psoriasis: Studies from hacat keratinocytes and imiquimod-induced murine model. Life Sci. 2020, 241, 117115. [Google Scholar] [CrossRef] [PubMed]
- Lowes, M.A.; Kikuchi, T.; Fuentes-Duculan, J.; Cardinale, I.; Zaba, L.C.; Haider, A.S.; Bowman, E.P.; Krueger, J.G. Psoriasis vulgaris lesions contain discrete populations of th1 and th17 t cells. J. Investig. Dermatol. 2008, 128, 1207–1211. [Google Scholar] [CrossRef] [PubMed]
- Di Cesare, A.; Di Meglio, P.; Nestle, F.O. The il-23/th17 axis in the immunopathogenesis of psoriasis. J. Investig. Dermatol. 2009, 129, 1339–1350. [Google Scholar] [CrossRef]
- Kimura, A.; Kishimoto, T. Il-6: Regulator of treg/th17 balance. Eur. J. Immunol. 2010, 40, 1830–1835. [Google Scholar] [CrossRef] [PubMed]
- Heink, S.; Yogev, N.; Garbers, C.; Herwerth, M.; Aly, L.; Gasperi, C.; Husterer, V.; Croxford, A.L.; Möller-Hackbarth, K.; Bartsch, H.S.; et al. Trans-presentation of il-6 by dendritic cells is required for the priming of pathogenic t(h)17 cells. Nat. Immunol. 2017, 18, 74–85. [Google Scholar] [CrossRef]
- Goodman, W.A.; Levine, A.D.; Massari, J.V.; Sugiyama, H.; McCormick, T.S.; Cooper, K.D. Il-6 signaling in psoriasis prevents immune suppression by regulatory t cells. J. Immunol. 2009, 183, 3170–3176. [Google Scholar] [CrossRef]
- Sun, X.; Kaufman, P.D. Ki-67: More than a proliferation marker. Chromosoma 2018, 127, 175–186. [Google Scholar] [CrossRef] [PubMed]
- Kee, N.; Sivalingam, S.; Boonstra, R.; Wojtowicz, J.M. The utility of ki-67 and brdu as proliferative markers of adult neurogenesis. J. Neurosci. Methods 2002, 115, 97–105. [Google Scholar] [CrossRef]
- Jesionek-Kupnicka, D.; Chomiczewska-Skóra, D.; Rotsztejn, H. Influence of phototherapy in psoriasis on ki-67 antigen expression: A preliminary study. Pol. J. Pathol. Off. J. Pol. Soc. Pathol. 2013, 64, 96–103. [Google Scholar] [CrossRef]
- Jang, H.S.; Oh, C.K.; Jo, J.H.; Kim, Y.S.; Kwon, K.S. Detection of telomerase activity in psoriasis lesional skin and correlation with ki-67 expression and suppression by retinoic acid. J. Korean Med. Sci. 2001, 16, 623–629. [Google Scholar] [CrossRef]
- Brembilla, N.C.; Senra, L.; Boehncke, W.H. The il-17 family of cytokines in psoriasis: Il-17a and beyond. Front. Immunol. 2018, 9, 1682. [Google Scholar] [CrossRef]
- Martin, D.A.; Towne, J.E.; Kricorian, G.; Klekotka, P.; Gudjonsson, J.E.; Krueger, J.G.; Russell, C.B. The emerging role of il-17 in the pathogenesis of psoriasis: Preclinical and clinical findings. J. Investig. Dermatol. 2013, 133, 17–26. [Google Scholar] [CrossRef] [PubMed]








Publisher’s Note: MDPI stays neutral with regard to jurisdictional claims in published maps and institutional affiliations. |
© 2022 by the authors. Licensee MDPI, Basel, Switzerland. This article is an open access article distributed under the terms and conditions of the Creative Commons Attribution (CC BY) license (https://creativecommons.org/licenses/by/4.0/).
Share and Cite
Lin, H.; Li, C.-L.; Yen, L.-J.; Lu, L.-Y.; Huang, H.-S.; Liao, E.-C.; Yu, S.-J. Forsythoside A Alleviates Imiquimod-Induced Psoriasis-like Dermatitis in Mice by Regulating Th17 Cells and IL-17A Expression. J. Pers. Med. 2022, 12, 62. https://doi.org/10.3390/jpm12010062
Lin H, Li C-L, Yen L-J, Lu L-Y, Huang H-S, Liao E-C, Yu S-J. Forsythoside A Alleviates Imiquimod-Induced Psoriasis-like Dermatitis in Mice by Regulating Th17 Cells and IL-17A Expression. Journal of Personalized Medicine. 2022; 12(1):62. https://doi.org/10.3390/jpm12010062
Chicago/Turabian StyleLin, Hsuan, Chia-Ling Li, Ling-Jung Yen, Ling-Ying Lu, Hung-Sen Huang, En-Chih Liao, and Sheng-Jie Yu. 2022. "Forsythoside A Alleviates Imiquimod-Induced Psoriasis-like Dermatitis in Mice by Regulating Th17 Cells and IL-17A Expression" Journal of Personalized Medicine 12, no. 1: 62. https://doi.org/10.3390/jpm12010062
APA StyleLin, H., Li, C.-L., Yen, L.-J., Lu, L.-Y., Huang, H.-S., Liao, E.-C., & Yu, S.-J. (2022). Forsythoside A Alleviates Imiquimod-Induced Psoriasis-like Dermatitis in Mice by Regulating Th17 Cells and IL-17A Expression. Journal of Personalized Medicine, 12(1), 62. https://doi.org/10.3390/jpm12010062

