Diabetic Macular Edema Treated with 577-nm Subthreshold Micropulse Laser: A Real-Life, Long-Term Study
Abstract
1. Introduction
2. Materials and Methods
2.1. Study Population
2.2. Laser Treatment Delivery
2.3. Statistical Analysis
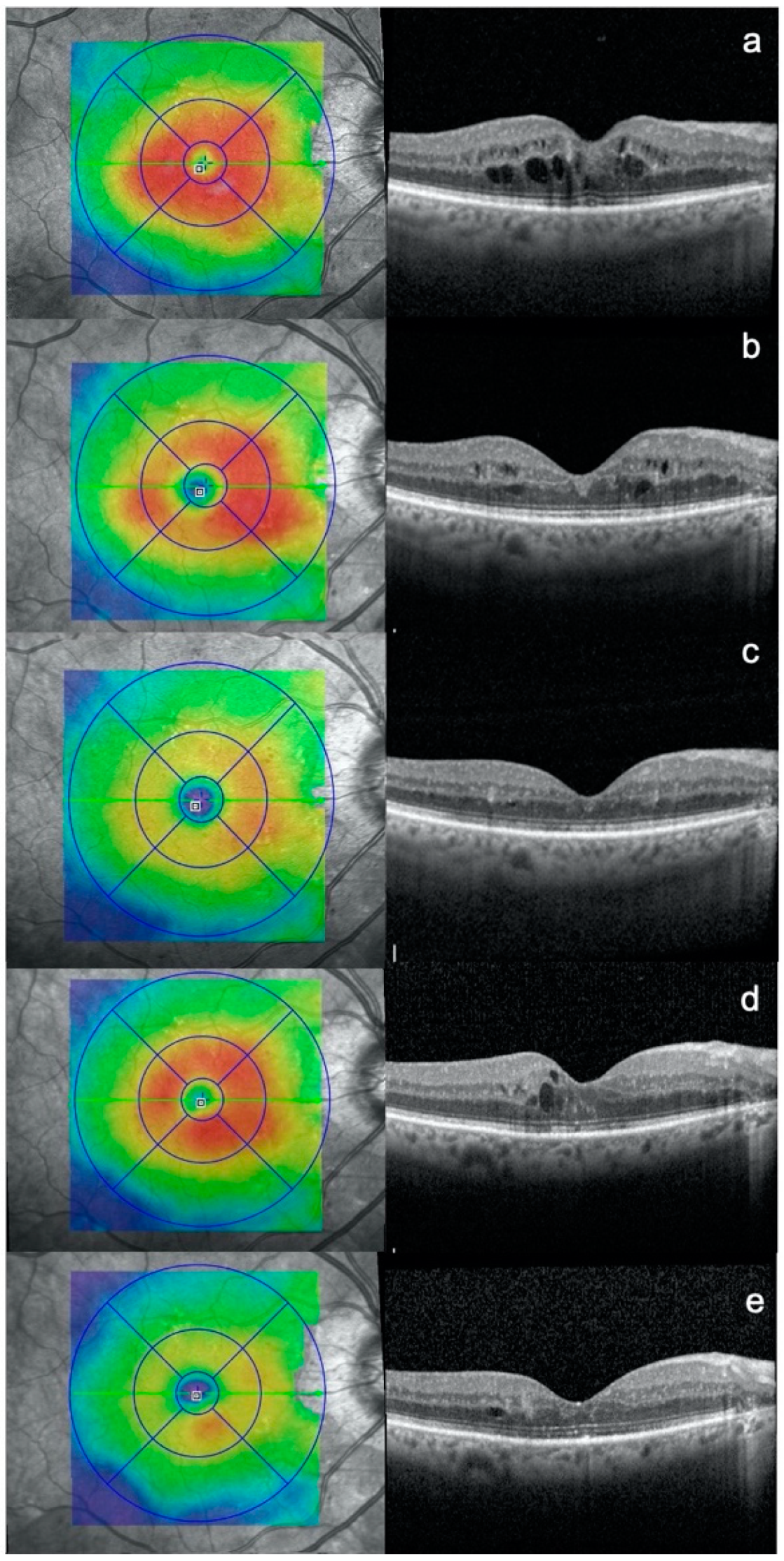
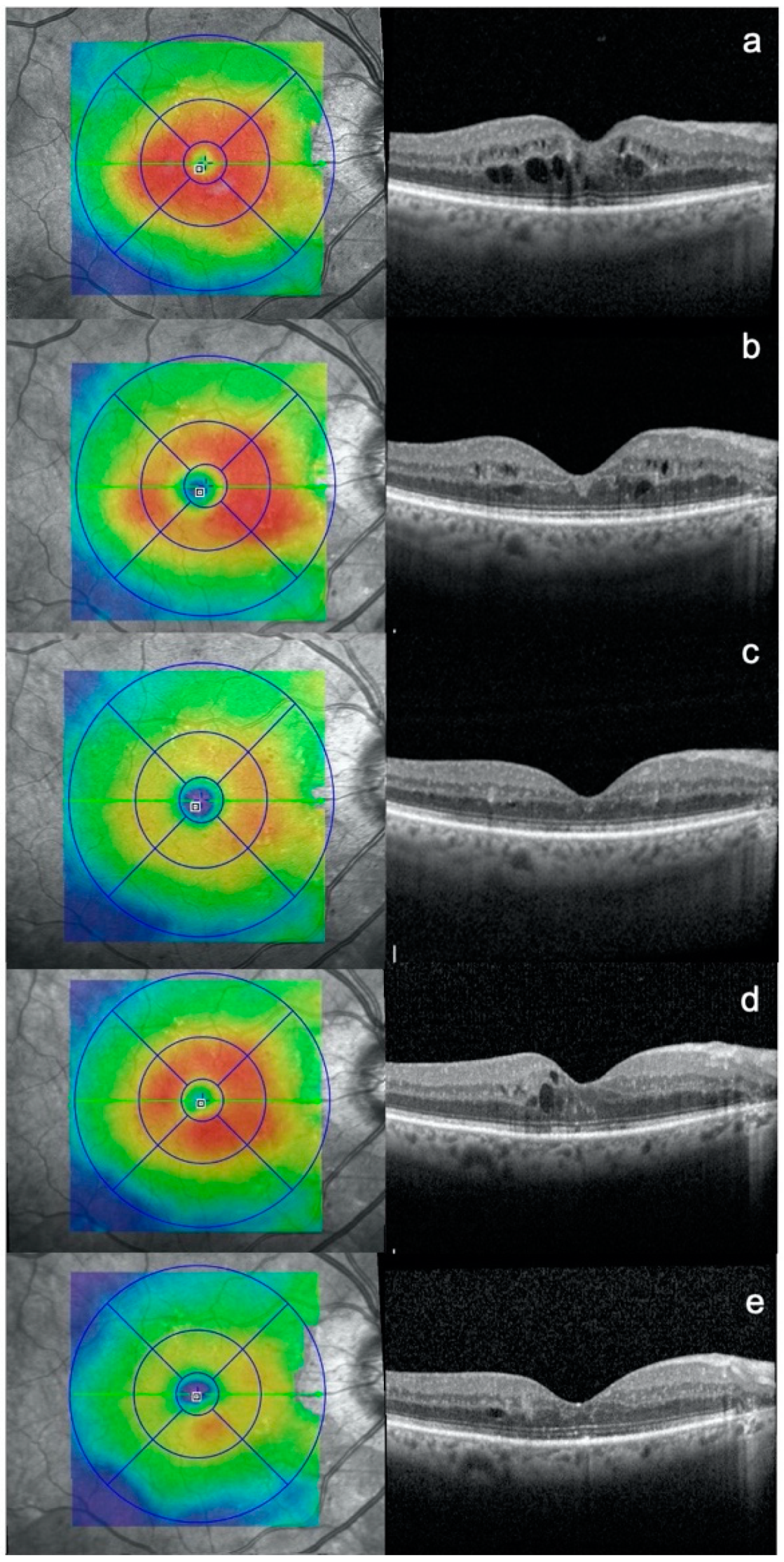
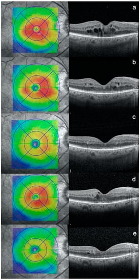
3. Results
4. Discussion
Author Contributions
Funding
Institutional Review Board Statement
Informed Consent Statement
Data Availability Statement
Acknowledgments
Conflicts of Interest
References
- Teo, Z.L.; Tham, Y.-C.; Yu, M.C.Y.; Chee, M.L.; Rim, T.H.; Cheung, N.; Bikbov, M.M.; Wang, Y.X.; Tang, Y.; Lu, Y.; et al. Global Prevalence of Diabetic Retinopathy and Projection of Burden through 2045: Systematic Review and Meta-analysis. Ophthalmology 2021, S0161–6420, 00321–00323. [Google Scholar] [CrossRef]
- Lee, R.; Wong, T.Y.; Sabanayagam, C. Epidemiology of diabetic retinopathy, diabetic macular edema and related vision loss. Eye Vis. 2015, 2, 17. [Google Scholar] [CrossRef]
- Santos, A.R.; Ribeiro, L.; Bandello, F.; Lattanzio, R.; Egan, C.; Frydkjaer-Olsen, U.; García-Arumí, J.; Gibson, J.; Grauslund, J.; Harding, S.P.; et al. Functional and Structural Findings of Neurodegeneration in Early Stages of Diabetic Retinopathy: Cross-sectional Analyses of Baseline Data of the EUROCONDOR Project. Diabetes 2017, 66, 2503–2510. [Google Scholar] [CrossRef] [PubMed]
- Moisseiev, E.; Abbassi, S.; Thinda, S.; Yoon, J.; Yiu, G.; Morse, L.S. Subthreshold micropulse laser reduces anti-VEGF injection burden in patients with diabetic macular edema. Eur. J. Ophthalmol. 2018, 28, 68–73. [Google Scholar] [CrossRef]
- Blinder, K.J.; Dugel, P.U.; Chen, S.; Jumper, J.M.; Walt, J.G.; Hollander, A.D.; Scott, L.C. Anti-VEGF treatment of diabetic macular edema in clinical practice: Effectiveness and patterns of use (ECHO Study Report 1). Clin. Ophthalmol. 2017, 11, 393–401. [Google Scholar] [CrossRef] [PubMed]
- Early Treatment Diabetic Retinopathy Study Research Group. Treatment Techniques and Clinical Guidelines for Photocoagulation of Diabetic Macular Edema. Ophthalmology 1987, 94, 761–774. [Google Scholar] [CrossRef]
- Writing Committee for the Diabetic Retinopathy Clinical Research Network; Fong, D.S.; Strauber, S.F.; Aiello, L.P.; Beck, R.W.; Callanan, D.G.; Danis, R.P.; Davis, M.D.; Feman, S.S.; Ferris, F.; et al. Writing Committee for the Diabetic Retinopathy Clinical Research Network Comparison of the Modified Early Treatment Diabetic Retinopathy Study and Mild Macular Grid Laser Photocoagulation Strategies for Diabetic Macular Edema. Arch. Ophthalmol. 2007, 125, 469–480. [Google Scholar] [CrossRef] [PubMed]
- Dorin, G. Subthreshold and micropulse diode laser photocoagulation. Semin. Ophthalmol. 2003, 18, 147–153. [Google Scholar] [CrossRef] [PubMed]
- Vujosevic, S.; Martini, F.; Longhin, E.; Convento, E.; Cavarzeran, F.; Midena, E. Subthreshold Micropulse Yellow Laser Versus Subthreshold Micropulse Infrared Laser in Center-Involving Diabetic Macular Edema. Retina 2015, 35, 1594–1603. [Google Scholar] [CrossRef]
- Chhablani, J.; Alshareef, R.; Kim, D.T.; Narayanan, R.; Goud, A.; Mathai, A. Comparison of different settings for yellow subthreshold laser treatment in diabetic macular edema. BMC Ophthalmol. 2018, 18, 168. [Google Scholar] [CrossRef] [PubMed]
- Qaseem, A.; Wilt, T.J.; Kansagara, D.; Horwitch, C.; Barry, M.J.; Forciea, M.A. For the Clinical Guidelines Committee of the American College of Physicians Hemoglobin A1c Targets for Glycemic Control With Pharmacologic Therapy for Nonpregnant Adults With Type 2 Diabetes Mellitus: A Guidance Statement Update From the American College of Physicians. Ann. Intern. Med. 2018, 168, 569–576. [Google Scholar] [CrossRef] [PubMed]
- Pilotto, E.; Vujosevic, S.; Melis, R.; Convento, E.; Sportiello, P.; Alemany-Rubio, E.; Segalina, S.; Midena, E. Short wavelength fundus autofluorescence versus near-infrared fundus autofluorescence, with microperimetric correspondence, in patients with geographic atrophy due to age-related macular degeneration. Br. J. Ophthalmol. 2010, 95, 1140–1144. [Google Scholar] [CrossRef]
- Donati, M.C.; Murro, V.; Mucciolo, D.P.; Giorgio, D.; Cinotti, G.; Virgili, G.; Rizzo, S. Subthreshold yellow micropulse laser for treatment of diabetic macular edema: Comparison between fixed and variable treatment regimen. Eur. J. Ophthalmol. 2020, 1120672120915169. [Google Scholar] [CrossRef]
- Sivaprasad, S.; Dorin, G. Subthreshold diode laser micropulse photocoagulation for the treatment of diabetic macular edema. Expert Rev. Med. Devices 2012, 9, 189–197. [Google Scholar] [CrossRef]
- Luttrull, J.K.; Musch, D.C.; Mainster, A.M. Subthreshold diode micropulse photocoagulation for the treatment of clinically significant diabetic macular oedema. Br. J. Ophthalmol. 2005, 89, 74–80. [Google Scholar] [CrossRef]
- Luttrull, J.K. Subthreshold Diode Micropulse Laser Photocoagulation (SDM) as Invisible Retinal Phototherapy for Diabetic Macular Edema: A Review. Curr. Diabetes Rev. 2012, 8, 274–284. [Google Scholar] [CrossRef]
- Latalska, M.; Prokopiuk, A.; Wróbel-Dudzinska, D.; Mackiewicz, J. Subthreshold micropulse yellow 577 nm laser therapy of diabetic macular oedema in rural and urban patients of south-eastern Poland. Ann. Agric. Environ. Med. 2017, 24, 96–99. [Google Scholar] [CrossRef] [PubMed]
- Citirik, M. The impact of central foveal thickness on the efficacy of subthreshold micropulse yellow laser photocoagulation in diabetic macular edema. Lasers Med. Sci. 2018, 34, 907–912. [Google Scholar] [CrossRef]
- Kwon, Y.H.; Lee, D.K.; Kwon, O.W. The Short-term Efficacy of Subthreshold Micropulse Yellow (577-nm) Laser Photocoagulation for Diabetic Macular Edema. Korean J. Ophthalmol. 2014, 28, 379–385. [Google Scholar] [CrossRef] [PubMed][Green Version]
- Vujosevic, S.; Frizziero, L.; Martini, F.; Bini, S.; Convento, E.; Cavarzeran, F.; Midena, E. Single Retinal Layer Changes After Subthreshold Micropulse Yellow Laser in Diabetic Macular Edema. Ophthalmic Surg. Lasers Imaging Retin. 2018, 49, e218–e225. [Google Scholar] [CrossRef]
- Midena, E.; Bini, S.; Martini, F.; Enrica, C.; Pilotto, E.; Micera, A.; Esposito, G.; Vujosevic, S. Changes of Aqueous Humor Müller Cells’ Biomarkers in Human Patients Affected by Diabetic Macular Edema After Subthreshold Micropulse Laser Treatment. Retinal 2020, 40, 126–134. [Google Scholar] [CrossRef] [PubMed]
- Vujosevic, S.; Toma, C.; Villani, E.; Brambilla, M.; Torti, E.; Leporati, F.; Muraca, A.; Nucci, P.; De Cilla, S. Subthreshold Micropulse Laser in Diabetic Macular Edema: 1-Year Improvement in OCT/OCT-Angiography Biomarkers. Transl. Vis. Sci. Technol. 2020, 9, 31. [Google Scholar] [CrossRef] [PubMed]
- Chang, D.B.; Luttrull, J.K. Comparison of Subthreshold 577 and 810 nm Micropulse Laser Effects on Heat-Shock Protein Activation Kinetics: Implications for Treatment Efficacy and Safety. Transl. Vis. Sci. Technol. 2020, 9, 23. [Google Scholar] [CrossRef] [PubMed]
- Luttrull, J.K.; Kent, D. Modern retinal laser for neuroprotection in open-angle glaucoma. In New Concepts in Glaucoma Surgery; Kugler Publications: Amsterdam, The Netherlands, 2019; pp. 255–274. [Google Scholar]
- Lavinsky, D.; Cardillo, J.A., Jr.; Melo, L.A.S.; Dare, A.; Farah, M.E.; Belfprt, R., Jr. Randomized Clinical Trial Evaluating mETDRS versus Normal or High-Density Micropulse Photocoagulation for Diabetic Macular Edema. Investig. Opthalmol. Vis. Sci. 2011, 52, 4314–4323. [Google Scholar] [CrossRef]
- Mansouri, A.; Sampat, K.M.; Malik, K.J.; Steiner, J.N.; Glaser, B.M. Efficacy of subthreshold micropulse laser in the treatment of diabetic macular edema is influenced by pre-treatment central foveal thickness. Eye 2014, 28, 1418–1424. [Google Scholar] [CrossRef] [PubMed]
- Luttrull, J.K.; Spink, C.J. Serial Optical Coherence Tomography of Subthreshold Diode Laser Micropulse Photocoagulation for Diabetic Macular Edema. Ophthalmic Surg. Lasers Imaging Retin. 2006, 37, 370–377. [Google Scholar] [CrossRef]
- Midena, E.; Micera, A.; Frizziero, L.; Pilotto, E.; Esposito, G.; Bini, S. Sub-threshold micropulse laser treatment reduces inflammatory biomarkers in aqueous humour of diabetic patients with macular edema. Sci. Rep. 2019, 9, 1–9. [Google Scholar] [CrossRef]
- Scholz, P.; Altay, L.; Fauser, S. A Review of Subthreshold Micropulse Laser for Treatment of Macular Disorders. Adv. Ther. 2017, 34, 1528–1555. [Google Scholar] [CrossRef]
- Tackenberg, M.A.; Tucker, B.A.; Swift, J.S.; Jiang, C.; Redenti, S.; Greenberg, K.P.; Flannery, J.G.; Reichenbach, A.; Young, M.J. Müller cell activation, proliferation and migration following laser injury. Mol. Vis. 2009, 15, 1886–1896. [Google Scholar]
- Vujosevic, S.; Micera, A.; Bini, S.; Berton, M.; Esposito, G.; Midena, E. Aqueous Humor Biomarkers of Müller Cell Activation in Diabetic Eyes. Investig. Opthalmol. Vis. Sci. 2015, 56, 3913–3918. [Google Scholar] [CrossRef] [PubMed]
- Sędziak-Marcinek, B.; Teper, S.; Chełmecka, E.; Wylęgała, A.; Marcinek, M.; Bas, M.; Wylęgała, E. Diabetic Macular Edema Treatment with Bevacizumab Does Not Depend on the Retinal Nonperfusion Presence. J. Diabetes Res. 2021, 2021, 1–15. [Google Scholar] [CrossRef]
- Borrelli, E.; Parravano, M.; Querques, L.; Sacconi, R.; Giorno, P.; De Geronimo, D.; Bandello, F.; Querques, G. One-year follow-up of ischemic index changes after intravitreal dexamethasone implant for diabetic macular edema: An ultra-widefield fluorescein angiography study. ACTA Diabetol. 2020, 57, 543–548. [Google Scholar] [CrossRef] [PubMed]
- Akhlaghi, M.; Dehghani, A.; Pourmohammadi, R.; Asadpour, L.; Pourazizi, M. Effects of subthreshold diode micropulse laser photocoagulation on treating patients with refractory diabetic macular edema. J. Curr. Ophthalmol. 2019, 31, 157–160. [Google Scholar] [CrossRef] [PubMed]
- Kanar, H.S.; Arsan, A.; Altun, A.; Akı, S.F.; Hacısalihoglu, A. Can subthreshold micropulse yellow laser treatment change the anti-vascular endothelial growth factor algorithm in diabetic macular edema? A randomized clinical trial. Indian J. Ophthalmol. 2020, 68, 145–151. [Google Scholar] [CrossRef] [PubMed]
- Baker, C.W.; Glassman, A.R.; Beaulieu, W.T.; Antoszyk, A.N.; Browning, D.J.; Chalam, K.V.; Grover, S.; Jampol, L.M.; Jhaveri, C.D.; Melia, M.; et al. Effect of Initial Management with Aflibercept vs Laser Photocoagulation vs Observation on Vision Loss Among Patients With Diabetic Macular Edema Involving the Center of the Macula and Good Visual Acuity. JAMA 2019, 321, 1880–1894. [Google Scholar] [CrossRef] [PubMed]
- Vujosevic, S.; Bottega, E.; Casciano, M.; Pilotto, E.; Convento, E.; Midena, E. Microperimetry and Fundus Autofluorescence in Diabetic Macular Edema. Retina 2010, 30, 908–916. [Google Scholar] [CrossRef]

| N. eyes/patients | 134/94 |
| Age, years, mean ± SD | 66.7 ± 9.6 |
| Sex, F:M | 33:61 |
| Type of diabetes, 1:2 | 21:73 |
| BCVA, ETDRS score ± SD | 77.3 ± 4.5 |
| Diabetes duration, years ± SD | 21.2 ± 13.7 |
| HbA1c, mean ± SD | 7.5 ± 1.1 |
| Follow-up, months, mean ± SD | 16.6 ± 6.5 |
| Baseline Thickness (μm, Mean ± SD) | End of Follow-Up Thickness (μm, Mean ± SD) | Thickness Variation (μm, Mean ± SD) | p-Value | |
|---|---|---|---|---|
| CRT | 309.2 ± 45.8 | 304.7 ± 54.6 | −4.4 ± 49.5 | 0.3009 |
| RetMean | 327.2 ± 21.3 | 324.9 ± 27.2 | −2.4 ± 22.9 | 0.2358 |
| RetMax | 373.3 ± 34.2 | 360 ± 41.8 | −12.7 ± 36.2 | <0.0001 |
| Follow-Up Visit | Laser Treatments (Mean ± SD) | Retinal thickness Variation from Baseline (Micrometers, Mean ± SD (p-Value)) | Effect of Number of Laser Treatments on Retinal thickness 1 | Effect of Number of Laser Treatments on Retinal Thickness Variation 2 |
|---|---|---|---|---|
| 1 | 1 | −2.7 ± 8.3 (0.0071) | −0.6925 (0.7204) | 1.5149 (0.2945) |
| 2 | 1.4 ± 0.7 | −3.0 ± 13.9 (0.0246) | −3.5751 (0.0663) | −1.3270 (0.5054) |
| 3 | 1.7 ± 0.8 | −2.1 ± 19.7 (0.2283) | −2.0692 (0.1096) | −2.1302 (0.3151) |
| 4 | 1.9 ± 0.9 | −1.3 ± 23.1 (0.5009) | −1.2346 (0.2912) | −2.7467 (0.2051) |
| 5 | 2.0 ± 1.0 | −1.3 ± 23.2 (0.5273) | −1.5412 (0.1260) | −2.9853 (0.1286) |
| 6 | 2.2 ± 1.2 | −2.0 ± 22.7 (0.3015) | −1.5063 (0.0645) | −2.5123 (0.1316) |
| 7 | 2.2 ± 1.2 | −2.2 ± 22.7 (0.2706) | −1.4373 (0.0635) | −2.2309 (0.1653) |
| 8 | 2.2 ± 1.3 | −2.3 ± 22.8 (0.2504) | −1.5357 (0.0370) | −2.2271 (0.1500) |
| 9 | 2.3 ± 1.3 | −2.4 ± 22.9 (0.2358) | −1.5711 (0.0309) | −2.2756 (0.1397) |
| Follow-Up Visit | Laser Treatments (Mean ± SD) | Retinal Thickness Variation from Baseline (Micrometers, Mean ± SD (p-Value)) | Effect of Number of Laser Treatments on Retinal Thickness 1 | Effect of Number of Laser Treatments on Retinal Thickness Variation 2 |
|---|---|---|---|---|
| 1 | 1 | −9.8 ± 22.4 (0.0005) | 3.7394 (0.4313) | 9.7915 (0.0099) |
| 2 | 1.4 ± 0.7 | −10.2 ± 28.9 (0.0003) | −1.2129 (0.7553) | 2.5570 (0.5176) |
| 3 | 1.7 ± 0.8 | −10.3 ± 34.5 (0.0008) | −3.8937 (0.0929) | −1.4021 (0.6968) |
| 4 | 1.9 ± 0.9 | −10.4 ± 35.9 (0.0010) | −3.3133 (0.0816) | −3.3168 (0.3137) |
| 5 | 2.0 ± 1.0 | −9.8 ± 36.1 (0.0020) | −3.3935 (0.0430) | −4.1176 (0.1761) |
| 6 | 2.2 ± 1.2 | −12.1 ± 35.8 (0.0001) | −4.6878 (0.0005) | −5.6862 (0.0288) |
| 7 | 2.2 ± 1.2 | −12.7 ± 36.2 (<0.0001) | −4.9631 (<0.0001) | −5.7742 (0.0219) |
| 8 | 2.2 ± 1.3 | −13.1 ± 36.5 (<0.0001) | −5.2394 (<0.0001) | −5.8335 (0.0163) |
| 9 | 2.3 ± 1.3 | −13.3 ± 36.5 (<0.0001) | −5.1858 (<0.0001) | −5.6725 (0.0188) |
Publisher’s Note: MDPI stays neutral with regard to jurisdictional claims in published maps and institutional affiliations. |
© 2021 by the authors. Licensee MDPI, Basel, Switzerland. This article is an open access article distributed under the terms and conditions of the Creative Commons Attribution (CC BY) license (https://creativecommons.org/licenses/by/4.0/).
Share and Cite
Frizziero, L.; Calciati, A.; Torresin, T.; Midena, G.; Parrozzani, R.; Pilotto, E.; Midena, E. Diabetic Macular Edema Treated with 577-nm Subthreshold Micropulse Laser: A Real-Life, Long-Term Study. J. Pers. Med. 2021, 11, 405. https://doi.org/10.3390/jpm11050405
Frizziero L, Calciati A, Torresin T, Midena G, Parrozzani R, Pilotto E, Midena E. Diabetic Macular Edema Treated with 577-nm Subthreshold Micropulse Laser: A Real-Life, Long-Term Study. Journal of Personalized Medicine. 2021; 11(5):405. https://doi.org/10.3390/jpm11050405
Chicago/Turabian StyleFrizziero, Luisa, Andrea Calciati, Tommaso Torresin, Giulia Midena, Raffaele Parrozzani, Elisabetta Pilotto, and Edoardo Midena. 2021. "Diabetic Macular Edema Treated with 577-nm Subthreshold Micropulse Laser: A Real-Life, Long-Term Study" Journal of Personalized Medicine 11, no. 5: 405. https://doi.org/10.3390/jpm11050405
APA StyleFrizziero, L., Calciati, A., Torresin, T., Midena, G., Parrozzani, R., Pilotto, E., & Midena, E. (2021). Diabetic Macular Edema Treated with 577-nm Subthreshold Micropulse Laser: A Real-Life, Long-Term Study. Journal of Personalized Medicine, 11(5), 405. https://doi.org/10.3390/jpm11050405

