Invasive Ductal Breast Cancer with Osteoclast-Like Giant Cells: A Case Report Based on the Gene Expression Profile for Changes in Management
Abstract
1. Introduction
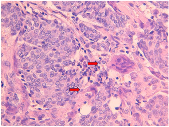
2. Case Report
3. Discussion
4. Conclusions
Author Contributions
Funding
Informed Consent Statement
Data Availability Statement
Conflicts of Interest
References
- Cardoso, F.; Kyriakides, S.; Ohno, S.; Penault-Llorca, F.; Poortmans, P.; Rubio, I.; Zackrisson, S.; Senkus, E. Early breast cancer: ESMO Clinical Practice Guidelines for diagnosis, treatment and follow-up. Ann. Oncol. 2019, 30, 1194–1220. [Google Scholar] [CrossRef]
- Irelli, A.; Sirufo, M.M.; Scipioni, T.; De Pietro, F.; Pancotti, A.; Ginaldi, L.; De Martinis, M. Denosumab in breast cancer patients receiving aromatase inhibitors: A single-center observational study of effectiveness in adjuvant setting. Indian J. Cancer 2020. [Google Scholar] [CrossRef]
- Irelli, A.; Sirufo, M.M.; D’Ugo, C.; Ginaldi, L.; De Martinis, M. Real-life use of denosumab 120 mg every 12 weeks in prolonged treatment over 2 years of patients with breast cancer bone metastases. J. BUON 2020, 25, 1799–1804. [Google Scholar]
- Irelli, A.; Sirufo, M.M.; Scipioni, T.; De Pietro, F.; Pancotti, A.; Ginaldi, L.; De Martinis, M. Breast cancer patients receiving denosumab during adjuvant aromatase inhibitors treatment: Who are the "inadequate responders" patients to denosumab? J. BUON 2020, 25, 648–654. [Google Scholar]
- Gori, S.; Dieci, M.V.; Modena, A.; AIRTUM Working Group. Neoplasie per single sedi. Mammella. I numeri del cancro in Italia 2020. Intermedia Editore 2020. Available online: https://www.registri-tumori.it/cms/sites/default/files/pubblicazioni/new_NDC2020-operatori-web.pdf (accessed on 11 January 2021).
- Siegel, R.L.; Miller, K.D.; Jemal, A. Cancer statistics, 2020. CA Cancer J. Clin. 2020, 70, 7–30. [Google Scholar] [CrossRef] [PubMed]
- Irelli, A.; Sirufo, M.M.; Morelli, L.; D’Ugo, C.; Ginaldi, L.; De Martinis, M. Neuroendocrine Cancer of the Breast: A Rare Entity. J. Clin. Med. 2020, 9, 1452. [Google Scholar] [CrossRef]
- Wilson, P.C.; Chagpar, A.B.; Cicek, A.F.; Bossuyt, V.; Buza, N.; Mougalian, S.; Killelea, B.K.; Patel, N.; Harigopal, M. Breast cancer histopathology is predictive of low-risk Oncotype Dx recurrence score. Breast J. 2018, 24, 976–980. [Google Scholar] [CrossRef]
- Parmelee, P.A.; Thuras, P.D.; Katz, I.R.; Lawton, M.P. Validation of the Cumulative Illness Rating Scale in a Geriatric Residential Population. J. Am. Geriatr. Soc. 1995, 43, 130–137. [Google Scholar] [CrossRef] [PubMed]
- Katz, S.; Downs, T.D.; Cash, H.R.; Grotz, R.C. Progress in Development of the Index of ADL. Gerontologist 1970, 10, 20–30. [Google Scholar] [CrossRef]
- Lawton, M.P.; Brody, E.M. Assessment of Older People: Self-Maintaining and Instrumental Activities of Daily Living. Gerontol. 1969, 9, 179–186. [Google Scholar] [CrossRef]
- Irelli, A.; Sirufo, M.M.; Scipioni, T.; Aielli, F.; Martella, F.; Ginaldi, L.; Pancotti, A.; De Martinis, M. The VES-13 test as a predictor of toxicity associated with aromatase inhibitors in the adjuvant treatment of breast cancer in elderly patients: A single-center study. Indian J. Cancer 2020. (In press)
- Irelli, A.; Sirufo, M.M.; D’Ugo, C.; Ginaldi, L.; De Martinis, M. Sex and Gender Influences on Cancer Immunotherapy Response. Biomedicines 2020, 8, 232. [Google Scholar] [CrossRef]
- Zhang, L.; Hsieh, M.-C.; Petkov, V.; Yu, Q.; Chiu, Y.-W.; Wu, X.-C. Trend and survival benefit of Oncotype DX use among female hormone receptor-positive breast cancer patients in 17 SEER registries, 2004–2015. Breast Cancer Res. Treat. 2020, 180, 491–501. [Google Scholar] [CrossRef]
- Gori, S.; Dieci, M.V.; Biganzoli, L.; Calabrese, M.; Cortesi, L.; Criscitiello, C.; Del Mastro, L.; Dellepiane, C.; Fortunato, L.; Franco, P.; et al. Breast Neoplasms Guidelines, 2020 ed. Available online: https://www.aiom.it/wp-content/uploads/2020/10/20201218_LG_AIOM_NeoplasieMammella.pdf (accessed on 11 January 2021).
- Bomeisl, P.E.; Thompson, C.L.; Harris, L.N.; Gilmore, H.L. Comparison of Oncotype DX Recurrence Score by Histologic Types of Breast Carcinoma. Arch. Pathol. Lab. Med. 2015, 139, 1546–1549. [Google Scholar] [CrossRef] [PubMed]
- Christgen, M.; Gluz, O.; Harbeck, N.; Kates, R.E.; Raap, M.; Christgen, H.; Clemens, M.; Malter, W.; Nuding, B.; Aktas, B.; et al. West German Study Group PlanB Investigators. Differential impact of prognostic parameters in hor-mone receptor-positive lobular breast cancer. Cancer 2020, 126, 4847–4858. [Google Scholar] [CrossRef] [PubMed]
- Singh, K.; He, X.; Kalife, E.T.; Ehdaivand, S.; Wang, Y.; Sung, C.J. Relationship of histologic grade and histologic sub-type with oncotype Dx recurrence score; retrospective review of 863 breast cancer oncotype Dx results. Breast Cancer Res. Treat. 2018, 168, 29–34. [Google Scholar] [CrossRef] [PubMed]
- Sparano, J.A.; Gray, R.J.; Ravdin, P.M.; Makower, D.F.; Pritchard, K.I.; Albain, K.S.; Hayes, D.F.; Geyer, C.E.; Dees, E.C.; Goetz, M.P.; et al. Clinical and Genomic Risk to Guide the Use of Adjuvant Therapy for Breast Cancer. N. Engl. J. Med. 2019, 380, 2395–2405. [Google Scholar] [CrossRef]
- Albawardi, A.S.; Awwad, A.A.; Almarzooqi, S.S. Mammary carcinoma with osteoclast-like giant cells: A case report. Int. J. Clin. Exp. Pathol. 2014, 7, 9038–9043. [Google Scholar] [PubMed]
- Agnantis, N.T.; Rosen, P.P. Mammary carcinoma with osteoclast-like giant cells. A study of eight cases with fol-low-up data. Am. J. Clin. Pathol. 1979, 72, 383–389. [Google Scholar] [CrossRef] [PubMed]
- Holland, R.; van Haelst, U.J. Mammary carcinoma with osteoclast-like giant cells. Additional observations on six cases. Cancer 1984, 53, 1963–1973. [Google Scholar] [CrossRef]
- Pettinato, G.; Manivel, J.; Picone, A.; Petrella, G.; Insabato, L. Alveolar variant of infiltrating lobular carcinoma of the breast with stromal osteoclast-like giant cells. Pathol. Res. Pr. 1989, 185, 388–394. [Google Scholar] [CrossRef]
- Athanasou, N.A.; Wells, C.A.; Quinn, J.; Ferguson, D.P.; Heryet, A.; McGee, J.O. The origin and nature of stromal osteo-clast-like multinucleated giant cells in breast carcinoma: Implications for tumour osteolysis and macrophage biology. Br. J. Cancer. 1989, 59, 491–498. [Google Scholar] [CrossRef]
- Takahashi, T.; Moriki, T.; Hiroi, M.; Nakayama, H. Invasive Lobular Carcinoma of the Breast with Osteoclastlike Giant Cells. Acta Cytol. 1998, 42, 734–741. [Google Scholar] [CrossRef] [PubMed]
- Niu, Y.; Liao, X.; Li, X.; Zhao, L. Breast carcinoma with osteoclastic giant cells: Case report and review of the litera-ture. Int. J. Clin. Exp. Pathol. 2014, 7, 1788–1791. [Google Scholar]
- Khong, K.; Zhang, Y.; Tomic, M.; Lindfors, K.K.; Aminololama-Shakeri, S. Aggressive Metaplastic Carcinoma of the Breast with Osteoclastic Giant Cells. J. Radiol. Case Rep. 2015, 9, 11–19. [Google Scholar] [CrossRef] [PubMed]
- Peña-Jaimes, L.; González-García, I.; Reguero-Callejas, M.E.; Pinilla-Pagnon, I.; Pérez-Mies, B.; Albarrán-Artahona, V.; Martínez-Jañez, N.; Rosa-Rosa, J.M.; Palacios, J. Pleomorphic lobular carcinoma of the breast with osteoclast-like giant cells: A case report and review of the literature. Diagn. Pathol. 2018, 13, 62. [Google Scholar] [CrossRef]
- Zhou, S.; Yu, L.; Zhou, R.; Li, X.; Yang, W. Invasive breast carcinomas of no special type with osteoclast-like giant cells frequently have a luminal phenotype. Virchows Arch. 2014, 464, 681–688. [Google Scholar] [CrossRef] [PubMed]
- Shishido-Hara, Y.; Kurata, A.; Fujiwara, M.; Itoh, H.; Imoto, S.; Kamma, H. Two cases of breast carcinoma with osteo-clastic giant cells: Are the osteoclastic giant cells pro-tumoural differentiation of macrophages? Diagn Pathol. 2010, 23, 55. [Google Scholar] [CrossRef] [PubMed]
- Ohashi, R.; Yanagihara, K.; Namimatsu, S.; Sakatani, T.; Takei, H.; Naito, Z.; Shimizu, A. Osteoclast-like giant cells in invasive breast cancer predominantly possess M2-macrophage phenotype. Pathol. Res. Pr. 2018, 214, 253–258. [Google Scholar] [CrossRef]
- Ohashi, R.; Hayama, A.; Matsubara, M.; Watarai, Y.; Sakatani, T.; Naito, Z.; Shimizu, A. Breast carcinoma with osteo-clast-like giant cells: A cytological-pathological correlation with a literature review. Ann. Diagn Pathol. 2018, 33, 1–5. [Google Scholar] [CrossRef]
- Güth, U.; Borovecki, A.; Amann, E.; Rechsteiner, M.; Tinguely, M. Pleomorphic lobular breast carcinoma with osteo-clast like giant cells in the era of genomic testing. Curr. Probl. Cancer Case Rep. 2020, 1, 100008. [Google Scholar] [CrossRef]
- Stratton, A.; Plackett, T.P.; Belnap, C.M.; Lin-Hurtubise, K.M. Infiltrating Mammary Carcinoma with Osteoclast-like Giant Cells. Hawaii Med. J. 2010, 69, 284–285. [Google Scholar]
- Zagelbaum, N.K.; Ward, M.F.; Okby, N.; Karpoff, H. Invasive ductal carcinoma of the breast with osteoclast-like giant cells and clear cell features: A case report of a novel finding and review of the literature. World J. Surg. Oncol. 2016, 14, 227. [Google Scholar] [CrossRef]
- Jamiyan, T.; Kuroda, H.; Hayashi, M.; Abe, A.; Shimizu, K.; Imai, Y. Ductal carcinoma in situ of the breast with osteoclast-like giant cells: A case report with immunohistochemical analysis. Hum. Pathol. Case Rep. 2020, 20, 200383. [Google Scholar] [CrossRef]
- Andre, F.; Ismaila, N.; Henry, N.L.; Somerfield, M.R.; Bast, R.C.; Barlow, W.; Collyar, D.E.; Hammond, M.E.; Kuderer, N.M.; Liu, M.C.; et al. Use of Biomarkers to Guide Decisions on Adjuvant Systemic Therapy for Women With Early-Stage Invasive Breast Cancer: ASCO Clinical Practice Guideline Up-date-Integration of Results From TAILORx. J. Clin. Oncol. 2019, 37, 1956–1964. [Google Scholar] [CrossRef] [PubMed]
- Sparano, J.A.; Gray, R.J.; Makower, D.F.; Pritchard, K.I.; Albain, K.S.; Hayes, D.F.; Geyer, C.E.; Dees, E.C.; Perez, E.A.; Olson, J.A.; et al. Prospective Validation of a 21-Gene Expression Assay in Breast Cancer. N. Engl. J. Med. 2015, 373, 2005–2014. [Google Scholar] [CrossRef]
- Sparano, J.A.; Gray, R.J.; Makower, D.F.; Pritchard, K.I.; Albain, K.S.; Hayes, D.F.; Geyer, C.E., Jr.; Dees, E.C.; Goetz, M.P.; Olson, J.A., Jr.; et al. Adjuvant Chemotherapy Guided by a 21-Gene Expression Assay in Breast Cancer. N. Engl. J. Med. 2018, 379, 111–121. [Google Scholar] [CrossRef]
- Dieci, M.V.; Guarneri, V.; Zustovich, F.; Mion, M.; Morandi, P.; Bria, E.; Merlini, L.; Bullian, P.; Oliani, C.; Gori, S.; et al. Impact of 21-Gene Breast Cancer Assay on Treatment Decision for Patients with T1–T3, N0–N1, Estrogen Receptor-Positive/Human Epidermal Growth Receptor 2-Negative Breast Cancer: Final Results of the Prospective Multicenter ROXANE Study. Oncologist 2019, 24, 1424–1431. [Google Scholar] [CrossRef] [PubMed]
- Mizuno, Y.; Fuchikami, H.; Takeda, N.; Yamada, J.; Inoue, Y.; Seto, H.; Sato, K. Comparing Oncotype DX Recurrence Score Categories with Immunohistochemically Defined Luminal Subtypes. J. Cancer Ther. 2016, 7, 223–231. [Google Scholar] [CrossRef]
- Acs, G.; Esposito, N.N.; Kiluk, J.; Loftus, L.; Laronga, C. A mitotically active, cellular tumor stroma and/or inflammatory cells associated with tumor cells may contribute to intermediate or high Oncotype DX Recurrence Scores in low-grade invasive breast carcinomas. Mod. Pathol. 2011, 25, 556–566. [Google Scholar] [CrossRef] [PubMed][Green Version]
- Acs, G.; Kiluk, J.; Loftus, L.; Laronga, C. Comparison of Oncotype DX and Mammostrat risk estimations and corre-lations with histologic tumor features in low-grade, estrogen receptor-positive invasive breast carcinomas. Mod. Pathol. 2013, 26, 1451–1460. [Google Scholar] [CrossRef] [PubMed][Green Version]
).
).
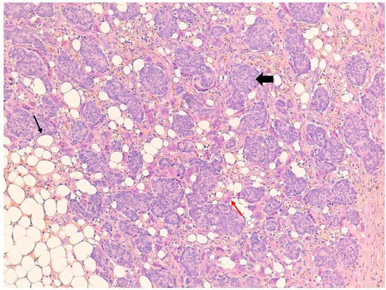
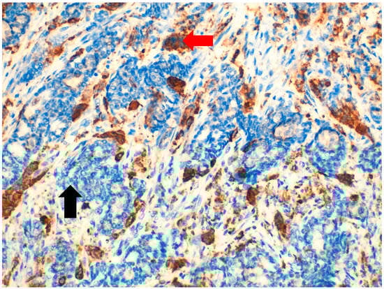
) are present immersed in the stroma containing adipocytes (↑).
) are present immersed in the stroma containing adipocytes (↑).
), unlike neoplastic cells, which are CD68-negative (
).
), unlike neoplastic cells, which are CD68-negative (
).
), unlike neoplastic cells, which are CD163-negative (
).
), unlike neoplastic cells, which are CD163-negative (
).
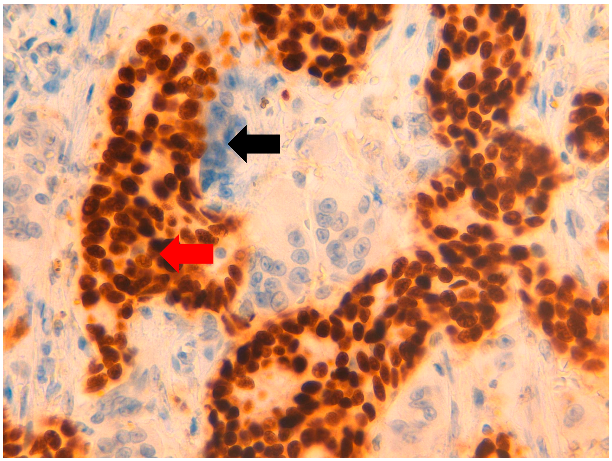
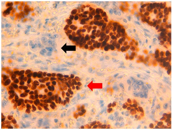
), unlike OGCs, which are E-cadherin-negative (
).
), unlike OGCs, which are E-cadherin-negative (
).
), unlike OGCs, which are estrogen receptor-negative (
).
), unlike OGCs, which are estrogen receptor-negative (
).
), unlike OGCs which are progesterone receptor-negative (
).
), unlike OGCs which are progesterone receptor-negative (
).
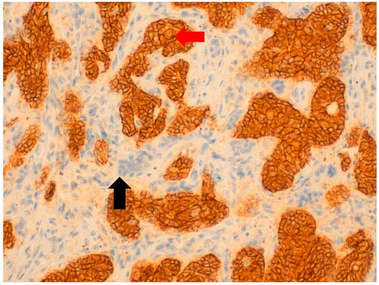
) and OGCs (
).
) and OGCs (
).
| Cancer Cells | Osteoclast-Like Giant Cells | |
|---|---|---|
| Estrogen Receptor | + | - |
| Progesterone Receptor | + | - |
| Human Epidermal Growth Factor Receptor 2 | - | - |
| E-cadherin | + | - |
| CD68 | - | + |
| CD163 | - | + |
Publisher’s Note: MDPI stays neutral with regard to jurisdictional claims in published maps and institutional affiliations. |
© 2021 by the authors. Licensee MDPI, Basel, Switzerland. This article is an open access article distributed under the terms and conditions of the Creative Commons Attribution (CC BY) license (http://creativecommons.org/licenses/by/4.0/).
Share and Cite
Irelli, A.; Sirufo, M.M.; Quaglione, G.R.; De Pietro, F.; Bassino, E.M.; D’Ugo, C.; Ginaldi, L.; De Martinis, M. Invasive Ductal Breast Cancer with Osteoclast-Like Giant Cells: A Case Report Based on the Gene Expression Profile for Changes in Management. J. Pers. Med. 2021, 11, 156. https://doi.org/10.3390/jpm11020156
Irelli A, Sirufo MM, Quaglione GR, De Pietro F, Bassino EM, D’Ugo C, Ginaldi L, De Martinis M. Invasive Ductal Breast Cancer with Osteoclast-Like Giant Cells: A Case Report Based on the Gene Expression Profile for Changes in Management. Journal of Personalized Medicine. 2021; 11(2):156. https://doi.org/10.3390/jpm11020156
Chicago/Turabian StyleIrelli, Azzurra, Maria Maddalena Sirufo, Gina Rosaria Quaglione, Francesca De Pietro, Enrica Maria Bassino, Carlo D’Ugo, Lia Ginaldi, and Massimo De Martinis. 2021. "Invasive Ductal Breast Cancer with Osteoclast-Like Giant Cells: A Case Report Based on the Gene Expression Profile for Changes in Management" Journal of Personalized Medicine 11, no. 2: 156. https://doi.org/10.3390/jpm11020156
APA StyleIrelli, A., Sirufo, M. M., Quaglione, G. R., De Pietro, F., Bassino, E. M., D’Ugo, C., Ginaldi, L., & De Martinis, M. (2021). Invasive Ductal Breast Cancer with Osteoclast-Like Giant Cells: A Case Report Based on the Gene Expression Profile for Changes in Management. Journal of Personalized Medicine, 11(2), 156. https://doi.org/10.3390/jpm11020156

