Complete and Durable Response to Combined Chemo/Radiation Therapy in EGFR Wild-Type Lung Adenocarcinoma with Diffuse Brain Metastases
Abstract
:1. Introduction
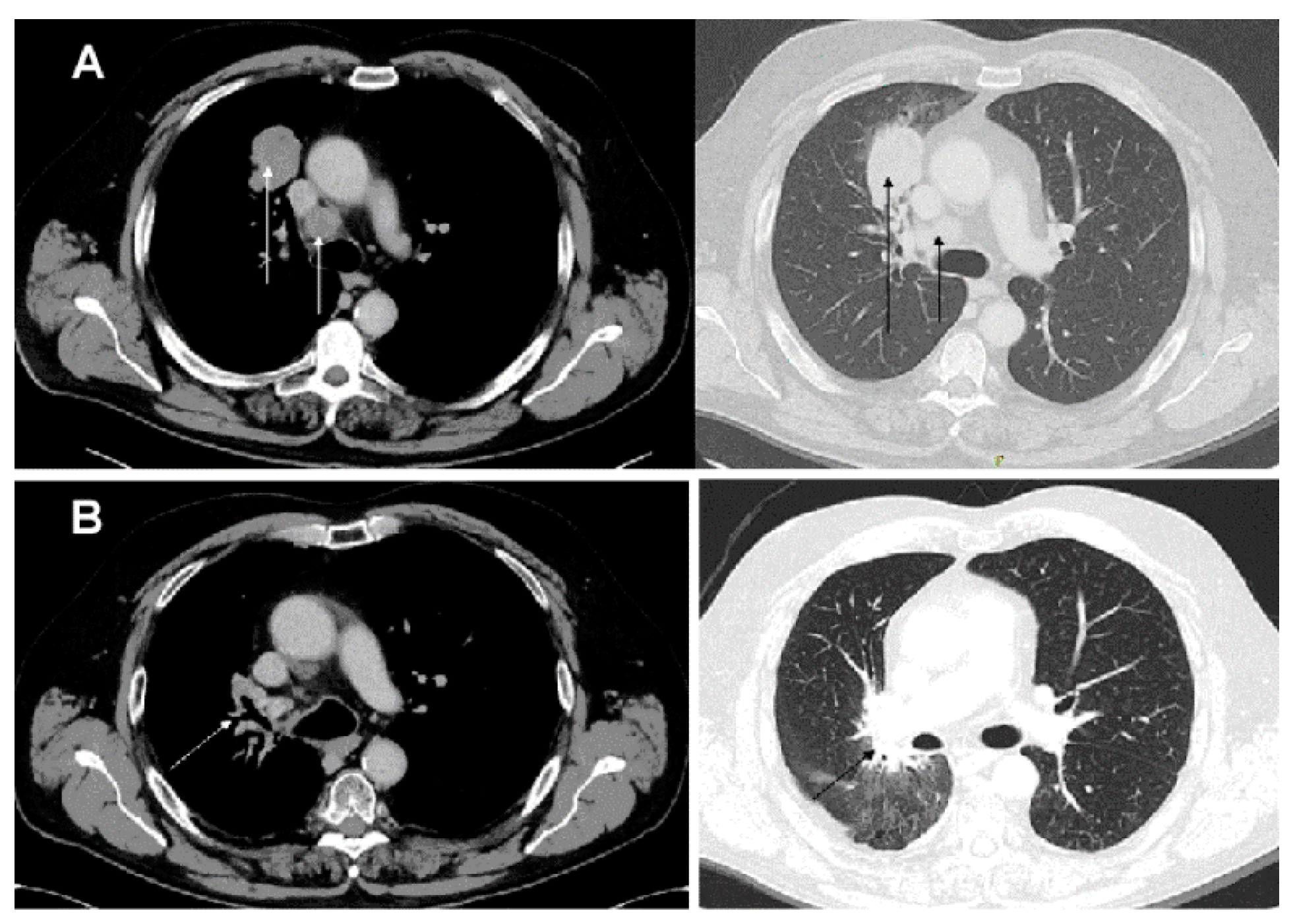
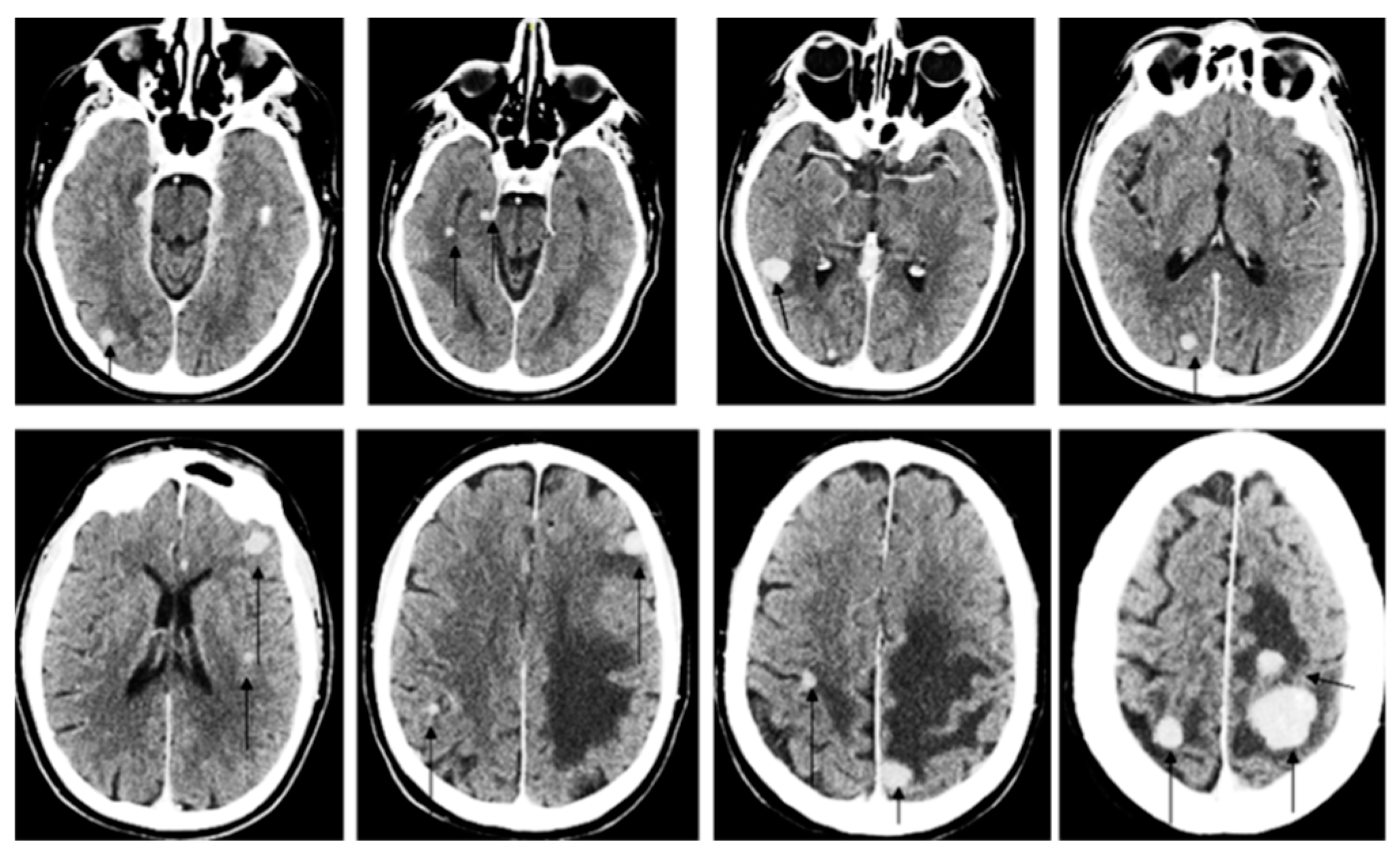
2. Case Report
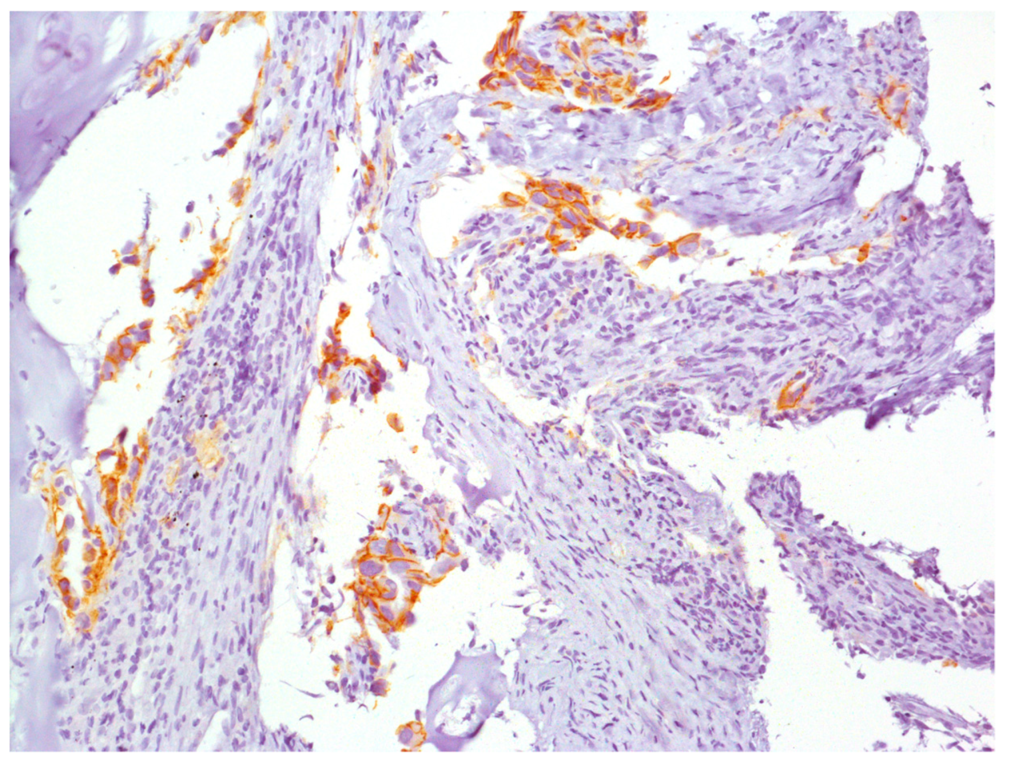
3. Genetic Analyses
4. Results
5. Discussion
Author Contributions
Acknowledgments
Conflicts of Interest
Abbreviations
| NSCLC | non-small-cell lung cancer |
| EGFR | Epidermal Growth Factor Receptor |
| BM | brain metastases |
| WBRT | whole brain radiotherapy |
| TKI | tyrosine kinase inhibitor |
| PFS | progression free survival |
| CT | computed tomography |
| IMRT | intensity-modulated radiation therapy |
| RMI | magnetic resonance imaging |
| HT | helical tomotherapy |
| FFPE | formalin-fixed paraffin-embedded |
| FISH | fluorescence in situ hybridization |
| NGS | next-generation sequencing |
| IHC | immunohistochemical |
| TMB | tumor mutational burden |
| BBB | blood-brain barrier |
References
- Peters, S.; Bexelius, C.; Munk, V.; Leighl, N. The impact of brain metastasis on quality of life, resource utilization and survival in patients with non-small-cell lung cancer. Cancer Treat. Rev. 2016, 45, 139–162. [Google Scholar] [CrossRef] [PubMed]
- Zimm, S.; Wampler, G.L.; Stablein, D.; Hazra, T.; Young, H.F. Intracerebral metastases in solid-tumor patients: Natural history and results of treatment. Cancer 1981, 48, 384–394. [Google Scholar] [CrossRef]
- Owonikoko, T.K.; Arbiser, J.; Zelnak, A.; Shu, H.-K.G.; Shim, H.; Robin, A.M.; Kalkanis, S.N.; Whitsett, T.G.; Salhia, B.; Tran, N.L.; et al. Current approaches to the treatment of metastatic brain tumours. Nat. Rev. Clin. Oncol. 2014, 11, 203–222. [Google Scholar] [CrossRef]
- Won, Y.K.; Lee, J.Y.; Kang, Y.N.; Jang, J.S.; Kang, J.-H.; Jung, S.-L.; Sung, S.Y.; Jo, I.Y.; Park, H.H.; Lee, D.-S.; et al. Stereotactic radiosurgery for brain metastasis in non-small cell lung cancer. Radiat. Oncol. J. 2015, 33, 207–216. [Google Scholar] [CrossRef] [PubMed]
- Bui, N.; Woodward, B.; Johnson, A.; Husain, H. Novel Treatment Strategies for Brain Metastases in Non-small-cell Lung Cancer. Curr. Treat. Options Oncol. 2016, 17, 25. [Google Scholar] [CrossRef]
- Bearz, A.; Garassino, I.; Tiseo, M.; Caffo, O.; Soto-Parra, H.; Boccalon, M.; Talamini, R.; Santoro, A.; Bartolotti, M.; Murgia, V.; et al. Activity of Pemetrexed on brain metastases from Non-Small Cell Lung Cancer. Lung Cancer 2010, 68, 264–268. [Google Scholar] [CrossRef]
- He, G.; Xiao, X.; Zou, M.; Zhang, C.; Xia, S. Pemetrexed/cisplatin as first-line chemotherapy for advanced lung cancer with brain metastases: A case report and literature review. Medicine 2016, 95, e4401. [Google Scholar] [CrossRef] [PubMed]
- Zhu, W.; Røe, O.D.; Wu, C.; Li, W.; Guo, R.; Gu, Y.; Liu, Y.; Shu, Y.; Chen, X. Activity of pemetrexed-based regimen as first-line chemotherapy for advanced non-small cell lung cancer with asymptomatic inoperable brain metastasis: A retrospective study. J. Chemother. 2015, 27, 221–226. [Google Scholar] [CrossRef]
- Yu, X.; Fan, Y. Effect of pemetrexed on brain metastases from nonsmall cell lung cancer with wild-type and unknown EGFR status. Medicine 2019, 98, e14110. [Google Scholar] [CrossRef]
- Kumthekar, P.; Grimm, S.A.; Avram, M.J.; Kaklamani, V.; Helenowski, I.; Rademaker, A.; Cianfrocca, M.; Gradishar, W.; Patel, J.; Mulcahy, M.; et al. Pharmacokinetics and efficacy of pemetrexed in patients with brain or leptomeningeal metastases. J. Neurooncol. 2013, 112, 247–255. [Google Scholar] [CrossRef] [PubMed]
- Scagliotti, G.V.; Parikh, P.; von Pawel, J.; Biesma, B.; Vansteenkiste, J.; Manegold, C.; Serwatowski, P.; Gatzemeier, U.; Digumarti, R.; Zukin, M.; et al. Phase III study comparing cisplatin plus gemcitabine with cisplatin plus pemetrexed in chemotherapy-naive patients with advanced-stage non-small-cell lung cancer. J. Clin. Oncol. 2008, 26, 3543–3551. [Google Scholar] [CrossRef] [PubMed]
- Paz-Ares, L.; de Marinis, F.; Dediu, M.; Thomas, M.; Pujol, J.-L.; Bidoli, P.; Molinier, O.; Sahoo, T.P.; Laack, E.; Reck, M.; et al. Maintenance therapy with pemetrexed plus best supportive care versus placebo plus best supportive care after induction therapy with pemetrexed plus cisplatin for advanced non-squamous non-small-cell lung cancer (PARAMOUNT): A double-blind, phase 3, randomised controlled trial. Lancet Oncol. 2012, 13, 247–255. [Google Scholar] [PubMed]
- Tomasini, P.; Serdjebi, C.; Khobta, N.; Metellus, P.; Ouafik, L.; Nanni, I.; Greillier, L.; Loundou, A.; Fina, F.; Mascaux, C.; et al. EGFR and KRAS Mutations Predict the Incidence and Outcome of Brain Metastases in Non-Small Cell Lung Cancer. Int. J. Mol. Sci. 2016, 17, 2132. [Google Scholar] [CrossRef]
- Zimmermann, S.; Dziadziuszko, R.; Peters, S. Indications and limitations of chemotherapy and targeted agents in non-small cell lung cancer brain metastases. Cancer Treat. Rev. 2014, 40, 716–722. [Google Scholar] [CrossRef]
- Lee, C.K.; Brown, C.; Gralla, R.J.; Hirsh, V.; Thongprasert, S.; Tsai, C.-M.; Tan, E.H.; Ho, J.C.-M.; Chu, D.T.; Zaatar, A.; et al. Impact of EGFR inhibitor in non-small cell lung cancer on progression-free and overall survival: A meta-analysis. J. Natl. Cancer Inst. 2013, 105, 595–605. [Google Scholar] [CrossRef]
- Zhou, C.; Wu, Y.L.; Chen, G.; Feng, J.; Liu, X.-Q.; Wang, C.; Zhang, S.; Wang, J.; Zhou, S.; Ren, S.; et al. Final overall survival results from a randomised, phase III study of erlotinib versus chemotherapy as first-line treatment of EGFR mutation-positive advanced non-small-cell lung cancer (OPTIMAL, CTONG-0802). Ann. Oncol. 2015, 26, 1877–1883. [Google Scholar] [CrossRef]
- Jiang, T.; Su, C.; Li, X.; Zhao, C.; Zhou, F.; Ren, S.; Zhou, C.; Zhang, J. EGFR TKIs plus WBRT Demonstrated No Survival Benefit Other Than That of TKIs Alone in Patients with NSCLC and EGFR Mutation and Brain Metastases. J. Thorac. Oncol. 2016, 11, 1718–1728. [Google Scholar] [CrossRef]
- Gridelli, C.; Ciardiello, F.; Gallo, C.; Feld, R.; Butts, C.; Gebbia, V.; Maione, P.; Morgillo, F.; Genestreti, G.; Favaretto, A.; et al. First-line erlotinib followed by second-line cisplatin-gemcitabine chemotherapy in advanced non-small-cell lung cancer: The TORCH randomized trial. J. Clin. Oncol. 2012, 30, 3002–3011. [Google Scholar] [CrossRef]
- Gibbons, D.L.; Byers, L.A.; Kurie, J.M. Smoking, p53 mutation, and lung cancer. Mol. Cancer Res. 2014, 12, 3–13. [Google Scholar] [CrossRef]
- Yu, Q.; Guo, Q.; Chen, L.; Liu, S. Clinicopathological significance and potential drug targeting of CDH1 in lung cancer: A meta-analysis and literature review. Drug Des. Dev. Ther. 2015, 9, 2171–2178. [Google Scholar]
- Lim, S.M.; Chang, H.; Cha, Y.J.; Liang, S.; Tai, Y.C.; Li, G.; Pestova, E.; Policht, F.; Perez, T.; Soo, R.A.; et al. Validation of ALK/ROS1 Dual Break Apart FISH Probe probe in non-small-cell lung cancer. Lung Cancer 2017, 111, 79–83. [Google Scholar] [CrossRef] [PubMed]
- Sini, M.C.; Doneddu, V.; Paliogiannis, P.; Casula, M.; Colombino, M.; Manca, A.; Botti, G.; Ascierto, P.A.; Lissia, A.; Cossu, A.; et al. Genetic alterations in main candidate genes during melanoma progression. Oncotarget 2018, 9, 8531–8541. [Google Scholar] [CrossRef] [PubMed]
- Garziera, M.; Canzonieri, V.; Cannizzaro, R.; Geremia, S.; Caggiari, L.; De Zorzi, M.; Maiero, S.; Orzes, E.; Perin, T.; Zanussi, S.; et al. Identification and characterization of CDH1 germline variants in sporadic gastric cancer patients and in individuals at risk of gastric cancer. PLoS ONE 2013, 8, e77035. [Google Scholar] [CrossRef] [PubMed]
- Beck, T.F.; Mullikin, J.C.; NISC Comparative Sequencing Program; Biesecker, L.G. Systematic Evaluation of Sanger Validation of Next-Generation Sequencing Variants. Clin. Chem. 2016, 62, 647–654. [Google Scholar] [CrossRef] [PubMed]
- Ludovini, V.; Pistola, L.; Gregorc, V.; Floriani, I.; Rulli, E.; Piattoni, S.; Di Carlo, L.; Semeraro, A.; Darwish, S.; Tofanetti, F.R.; et al. Plasma DNA, microsatellite alterations, and p53 tumor mutations are associated with disease-free survival in radically resected non-small cell lung cancer patients: A study of the perugia multidisciplinary team for thoracic oncology. J. Thorac. Oncol. 2008, 3, 365–373. [Google Scholar] [CrossRef]
- Gu, J.; Zhou, Y.; Huang, L.; Ou, W.; Wu, J.; Li, S.; Xu, J.; Feng, J.; Liu, B. TP53 mutation is associated with a poor clinical outcome for non-small cell lung cancer: Evidence from a meta-analysis. Mol. Clin. Oncol. 2016, 5, 705–713. [Google Scholar] [CrossRef] [PubMed]
- Wu, M.; Wang, X.; McGregor, N.; Pienta, K.J.; Zhang, J. Dynamic regulation of Rad51 by E2F1 and p53 in prostate cancer cells upon drug-induced DNA damage under hypoxia. Mol. Pharmacol. 2014, 85, 866–876. [Google Scholar] [CrossRef]
- Owada-Ozaki, Y.; Muto, S.; Takagi, H.; Inoue, T.; Watanabe, Y.; Fukuhara, M.; Yamaura, T.; Okabe, N.; Matsumura, Y.; Hasegawa, T.; et al. Prognostic Impact of Tumor Mutation Burden in Patients With Completely Resected Non-Small Cell Lung Cancer: Brief Report. J. Thorac. Oncol. 2018, 13, 1217–1221. [Google Scholar] [CrossRef]
- Giordano, F.A.; Veldwijk, M.R.; Herskind, C.; Wenz, F. Radiotherapy, tumor mutational burden, and immune checkpoint inhibitors: Time to do the math. Strahlenther. Onkol. 2018, 194, 873–875. [Google Scholar] [CrossRef]
- Frey, B.; Rubner, Y.; Wunderlich, R.; Weiss, E.-M.; Pockley, A.G.; Fietkau, R.; Gaipl, U.S. Induction of abscopal anti-tumor immunity and immunogenic tumor cell death by ionizing irradiation—Implications for cancer therapies. Curr. Med. Chem. 2012, 19, 1751–1764. [Google Scholar] [CrossRef]




| # Locus | Gene | Exon | c.DNA Change | Protein Change | Coverage | % Allelic Variant | Function |
|---|---|---|---|---|---|---|---|
| chr17: 7579868 | TP53 | 2 | c.44_45 insC | p.Gln16Ser fs*13 | 1834 | 18.1 | Frameshift Insertion |
| chr16: 68835623 | CDH1 | 3 | c.214G>A (rs35606263) | p.Asp72Asn | 420 | 44.7 | missense |
| chr16: 68835615 | CDH1 | 3 | c.208_211delTCCCinsCCTT | p.Ser70_Leu71delins ProPhe | 343 | 47.7 | deletion/insertion |
© 2019 by the authors. Licensee MDPI, Basel, Switzerland. This article is an open access article distributed under the terms and conditions of the Creative Commons Attribution (CC BY) license (http://creativecommons.org/licenses/by/4.0/).
Share and Cite
Santeufemia, D.A.; Palmieri, G.; Cossu, A.; De Re, V.; Caggiari, L.; De Zorzi, M.; Casula, M.; Sini, M.C.; Baldino, G.; Dedola, M.F.; et al. Complete and Durable Response to Combined Chemo/Radiation Therapy in EGFR Wild-Type Lung Adenocarcinoma with Diffuse Brain Metastases. Diagnostics 2019, 9, 42. https://doi.org/10.3390/diagnostics9020042
Santeufemia DA, Palmieri G, Cossu A, De Re V, Caggiari L, De Zorzi M, Casula M, Sini MC, Baldino G, Dedola MF, et al. Complete and Durable Response to Combined Chemo/Radiation Therapy in EGFR Wild-Type Lung Adenocarcinoma with Diffuse Brain Metastases. Diagnostics. 2019; 9(2):42. https://doi.org/10.3390/diagnostics9020042
Chicago/Turabian StyleSanteufemia, Davide Adriano, Giuseppe Palmieri, Antonio Cossu, Valli De Re, Laura Caggiari, Mariangela De Zorzi, Milena Casula, Maria Cristina Sini, Giovanni Baldino, Maria Filomena Dedola, and et al. 2019. "Complete and Durable Response to Combined Chemo/Radiation Therapy in EGFR Wild-Type Lung Adenocarcinoma with Diffuse Brain Metastases" Diagnostics 9, no. 2: 42. https://doi.org/10.3390/diagnostics9020042
APA StyleSanteufemia, D. A., Palmieri, G., Cossu, A., De Re, V., Caggiari, L., De Zorzi, M., Casula, M., Sini, M. C., Baldino, G., Dedola, M. F., Corona, G., & Miolo, G. (2019). Complete and Durable Response to Combined Chemo/Radiation Therapy in EGFR Wild-Type Lung Adenocarcinoma with Diffuse Brain Metastases. Diagnostics, 9(2), 42. https://doi.org/10.3390/diagnostics9020042

