Transcranial Color Doppler for Assessing Cerebral Venous Outflow in Critically Ill and Surgical Patients
Abstract
1. Introduction
2. Materials and Methods
3. Results
3.1. Cerebral Venous Drainage Monitoring in Critical Care Patients
3.1.1. Mechanical Ventilation (MV)
3.1.2. Cardiovascular Diseases
3.1.3. Increased Abdominal Pressure (IAP)
3.1.4. Intracranial or Extracranial Venous Obstructions
3.1.5. Centrally Inserted Central Catheters (CICC)
3.1.6. Postural Changes
3.2. Cerebral Venous Drainage Monitoring in Surgical Patients
3.3. Clinical Utility of Venous TCCD: Representative Cases from Surgical and Critical Care Settings
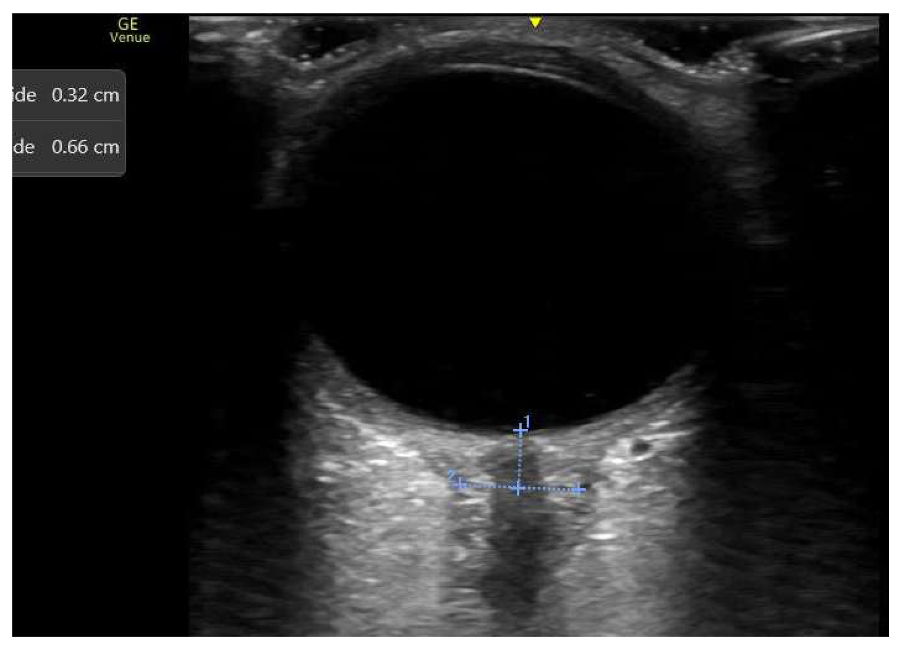
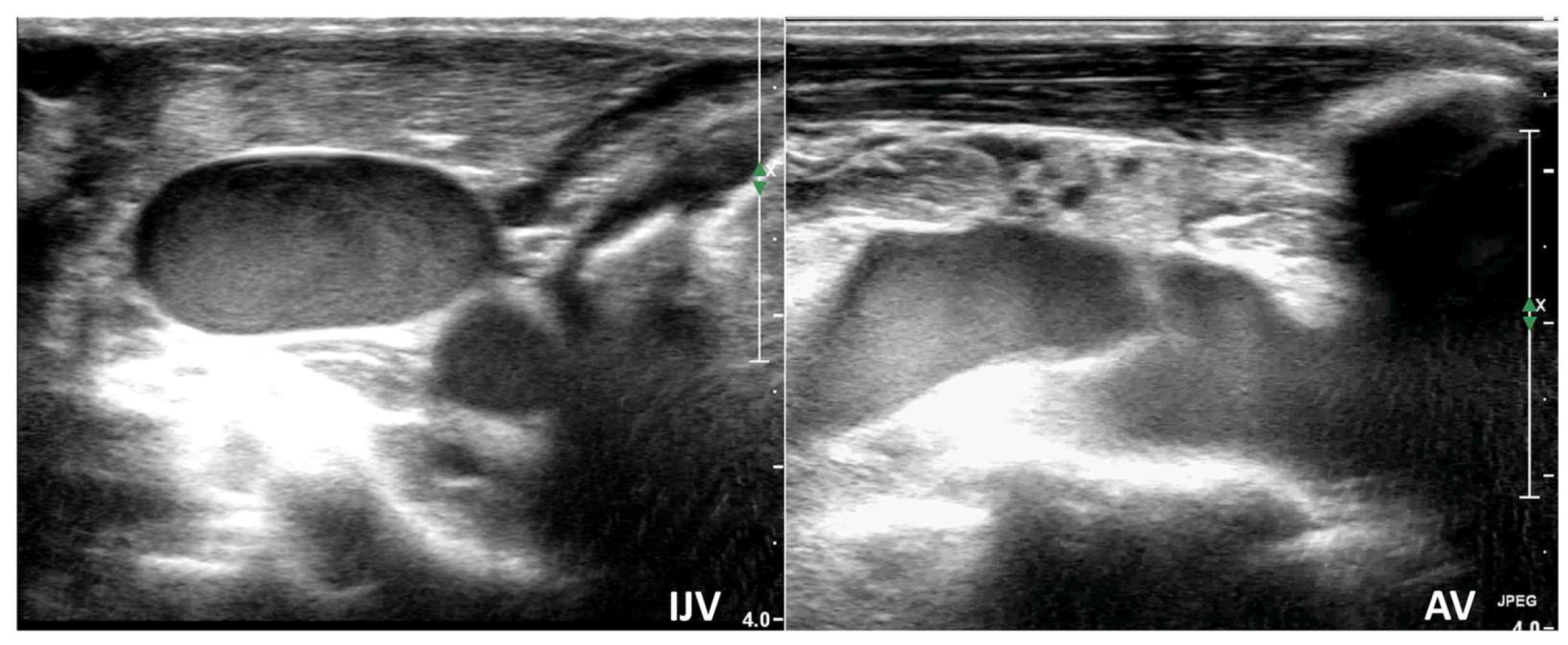
3.3.1. Case 1
3.3.2. Case 2
3.4. Limitations of Venous TCCD in Clinical Practice
4. Conclusions
Key Messages
- Cerebral venous outflow plays a pivotal role in intracranial hemodynamics and is implicated in IH and neurological complications.
- Despite the widespread use of arterial Transcranial Color Doppler (TCCD) for neuromonitoring, the assessment of cerebral venous outflow remains largely underrepresented in current clinical protocols.
- Venous TCCD, combined with IJV ultrasound, offers real-time, early detection of cerebral venous outflow impairment, allowing timely and targeted adjustments to prevent secondary IH in critically ill and surgical patients.
- Integrated venous TCCD offers a novel approach to guide interventions (e.g., ventilation, posture) in patients at risk of impaired cerebral venous outflow. Further studies are needed for broader validation and adoption.
Supplementary Materials
Author Contributions
Funding
Institutional Review Board Statement
Informed Consent Statement
Data Availability Statement
Conflicts of Interest
Abbreviations
| ABI | Acute Brain Injury |
| ACS | Abdominal Compartment Syndrome |
| CBF | Cerebral Blood Flow |
| CICC | Centrally Inserted Central Catheters |
| CVC | Central Venous Catheter |
| ESICM | European Society of Intensive Care Medicine |
| ESP | Expiration |
| FOCUS | Focused Cardiac Ultrasound |
| IAP | Increased Abdominal Pressure |
| IH | Intracranial Hypertension |
| ICP | Intracranial Pressure |
| ICU | Intensive Care Unit |
| IJV | Internal Jugular Vein |
| iVM | Induced Valsalva Maneuver |
| LT | Liver Transplantation |
| MCA | Middle Cerebral Artery |
| MES | Microembolic Signals |
| MV | Mechanical Ventilation |
| mV | mean Velocity in Rosenthal Vein |
| ONSD | Optic Nerve Sheath Diameter |
| PCA | Posterior Cerebral Artery |
| PEEP | Positive End-Expiratory Pressure |
| PI | Pulsatility Index |
| POCUS | Point of Care UltrasoundRaCeVa |
| RaCeVa | Rapid Assessment of Cerebral Venous Anatomy |
| SVC | Superior Vena Cava |
| TCCD | Transcranial Color Doppler |
| TCD | Transcranial Doppler |
| TEE | Transesophageal Echocardiography |
| TV | Tidal Volume |
| VM | Valsalva Maneuver |
References
- Rajagopalan, S.; Sarwal, A. Neuromonitoring in Critically Ill Patients. Crit. Care Med. 2023, 51, 525–542. [Google Scholar] [CrossRef] [PubMed]
- Blanco, P.; Abdo-Cuza, A. Transcranial Doppler ultrasound in neurocritical care. J. Ultrasound 2018, 21, 1–16. [Google Scholar] [CrossRef] [PubMed] [PubMed Central]
- Bonow, R.H.; Young, C.C.; Bass, D.I.; Moore, A.; Levitt, M.R. Transcranial Doppler ultrasonography in neurological surgery and neurocritical care. Neurosurg. Focus 2019, 47, E2. [Google Scholar] [CrossRef] [PubMed]
- Shahripour, R.B.; Azarpazhooh, M.R.; Akhuanzada, H.; Labin, E.; Borhani-Haghighi, A.; Agrawal, K.; Meyer, D.; Meyer, B.; Hemmen, T. Transcranial Doppler to evaluate postreperfusion therapy following acute ischemic stroke: A literature review. J. Neuroimaging 2021, 31, 849–857. [Google Scholar] [CrossRef] [PubMed]
- Hoh, B.L.; Ko, N.U.; Amin-Hanjani, S.; Chou, S.H.-Y.; Cruz-Flores, S.; Dangayach, N.S.; Derdeyn, C.P.; Du, R.; Hänggi, D.; Hetts, S.W.; et al. Guideline for the Management of Patients with Aneurysmal Subarachnoid Hemorrhage: A Guideline from the American Heart Association/American Stroke Association. Stroke 2023, 54, e314–e370, Erratum in Stroke 2023, 54, e516. https://doi.org/10.1161/STR.0000000000000449. PMID: 37212182.. [Google Scholar] [CrossRef] [PubMed]
- Cho, S.M.; Hwang, J.; Chiarini, G.; Amer, M.; Antonini, M.V.; Barrett, N.; Belohlavek, J.; Blatt, J.E.; Brodie, D.; Dalton, H.J.; et al. Neurological Monitoring and Management for Adult Extracorporeal Membrane Oxygenation Patients: Extracorporeal Life Support Organization Consensus Guidelines. ASAIO J. 2024, 70, e169–e181. [Google Scholar] [CrossRef] [PubMed] [PubMed Central]
- Greer, D.M.; Kirschen, M.P.; Lewis, A.; Gronseth, G.S.; Rae-Grant, A.; Ashwal, S.; Babu, M.A.; Bauer, D.F.; Billinghurst, L.; Corey, A.; et al. Pediatric and Adult Brain Death/Death by Neurologic Criteria Consensus Guideline. Neurology 2023, 101, 1112–1132, Erratum in Neurology 2024, 102, e208108. https://doi.org/10.1212/WNL.0000000000208108. PMID: 37821233; PMCID: PMC10791061.. [Google Scholar] [CrossRef] [PubMed]
- Lanza, G.; Orso, M.; Alba, G.; Bevilacqua, S.; Capoccia, L.; Cappelli, A.; Carrafiello, G.; Cernetti, C.; Diomedi, M.; Dorigo, W.; et al. Guideline on carotid surgery for stroke prevention: Updates from the Italian Society of Vascular and Endovascular Surgery. A trend towards personalized medicine. J. Cardiovasc. Surg. 2022, 63, 471–491. [Google Scholar] [CrossRef] [PubMed]
- Kietaibl, C.; Engel, A.; Horvat Menih, I.; Huepfl, M.; Erdoes, G.; Kubista, B.; Ullrich, R.; Windhager, R.; Markstaller, K.; Klein, K.U. Detection and differentiation of cerebral microemboli in patients undergoing major orthopaedic surgery using transcranial Doppler ultrasound. Br. J. Anaesth. 2017, 118, 400–406. [Google Scholar] [CrossRef] [PubMed]
- Ackerstaff, R.G.; Jansen, C.; Moll, F.L.; Vermeulen, F.E.; Hamerlijnck, R.P.; Mauser, H.W. The significance of microemboli detection by means of transcranial Doppler ultrasonography monitoring in carotid endarterectomy. J. Vasc. Surg. 1995, 21, 963–969. [Google Scholar] [CrossRef] [PubMed]
- Bianchini, A.; Vitale, G.; Romano, S.; Sbaraini Zernini, I.; Galeotti, L.; Cescon, M.; Ravaioli, M.; Siniscalchi, A. Transcranial Doppler Ultrasound and Transesophageal Echocardiography for Intraoperative Diagnosis and Monitoring of Patent Foramen Ovale in Non-Cardiac Surgery. Appl. Sci. 2024, 14, 4590. [Google Scholar] [CrossRef]
- Caldas, J.R.; Haunton, V.J.; Panerai, R.B.; Hajjar, L.A.; Robinson, T.G. Cerebral autoregulation in cardiopulmonary bypass surgery: A systematic review. Interact. Cardiovasc. Thorac. Surg. 2018, 26, 494–503. [Google Scholar] [CrossRef] [PubMed]
- Thudium, M.; Ellerkmann, R.K.; Heinze, I.; Hilbert, T. Relative cerebral hyperperfusion during cardiopulmonary bypass is associated with risk for postoperative delirium: A cross-sectional cohort study. BMC Anesthesiol. 2019, 19, 35. [Google Scholar] [CrossRef] [PubMed] [PubMed Central]
- Cardim, D.; Robba, C.; Schmidt, E.; Schmidt, B.; Donnelly, J.; Klinck, J.; Czosnyka, M. Transcranial Doppler Non-invasive Assessment of Intracranial Pressure, Autoregulation of Cerebral Blood Flow and Critical Closing Pressure during Orthotopic Liver Transplant. Ultrasound Med. Biol. 2019, 45, 1435–1445. [Google Scholar] [CrossRef] [PubMed]
- Razumovsky, A.Y.; Jahangiri, F.R.; Balzer, J.; Alexandrov, A.V. ASNM and ASN joint guidelines for transcranial Doppler ultrasonic monitoring: An update. J. Neuroimaging 2022, 32, 781–797. [Google Scholar] [CrossRef] [PubMed]
- Robba, C.; Wong, A.; Poole, D.; Al Tayar, A.; Arntfield, R.T.; Chew, M.S.; Corradi, F.; Douflé, G.; Goffi, A.; Lamperti, M.; et al. Basic ultrasound head-to-toe skills for intensivists in the general and neuro intensive care unit population: Consensus and expert recommendations of the European Society of Intensive Care Medicine. Intensive Care Med. 2021, 47, 1347–1367. [Google Scholar] [CrossRef] [PubMed] [PubMed Central]
- Goossen, R.L.; Schultz, M.J.; van Meenen, D.M.P.; Horn, J.; Rocco, P.R.; Robba, C. Optimizing protective ventilation in adults with acute brain injury-challenging misconceptions and prioritizing neuromonitoring. Expert Rev. Respir. Med. 2024, 18, 929–933. [Google Scholar] [CrossRef] [PubMed]
- Robba, C.; Cardim, D.; Sekhon, M.; Budohoski, K.; Czosnyka, M. Transcranial Doppler: A stethoscope for the brain-neurocritical care use. J. Neurosci. Res. 2018, 96, 720–730. [Google Scholar] [CrossRef] [PubMed]
- Wilson, M.H. Monro-Kellie. 2.0: The dynamic vascular and venous pathophysiological components of intracranial pressure. J. Cereb. Blood Flow Metab. 2016, 36, 1338–1350. [Google Scholar] [CrossRef] [PubMed] [PubMed Central]
- Arun, A.; Amans, M.R.; Higgins, N.; Brinjikji, W.; Sattur, M.; Satti, S.R.; Nakaji, P.; Luciano, M.; Huisman, T.A.; Moghekar, A.; et al. A proposed framework for cerebral venous congestion. Neuroradiol. J. 2022, 35, 94–111. [Google Scholar] [CrossRef] [PubMed] [PubMed Central]
- Bateman, G.A. Vascular hydraulics associated with idiopathic and secondary intracranial hypertension. AJNR Am. J. Neuroradiol. 2002, 23, 1180–1186. [Google Scholar] [PubMed] [PubMed Central]
- Wang, J.; Manaenko, A.; Hu, Q.; Zhang, X. Cerebral venous impairment and cerebral venous sinus thrombosis. Brain Hemorrhages 2024, 5, 131–142. [Google Scholar] [CrossRef]
- Stolz, E.; Gerriets, T.; Bödeker, R.H.; Hügens-Penzel, M.; Kaps, M. Intracranial venous hemodynamics is a factor related to a favorable outcome in cerebral venous thrombosis. Stroke 2002, 33, 1645–1650. [Google Scholar] [CrossRef] [PubMed]
- Stolz, E. Intracranial pressure and veins. Vasa 2022, 51, 329–332. [Google Scholar] [CrossRef] [PubMed]
- Schoser, B.G.; Riemenschneider, N.; Hansen, H.C. The impact of raised intracranial pressure on cerebral venous hemodynamics: A prospective venous transcranial Doppler ultrasonography study. J. Neurosurg. 1999, 91, 744–749. [Google Scholar] [CrossRef] [PubMed]
- Mursch, K.; Müller, C.A.; Buhre, W.; Lang, J.K.; Vatter, H.; BehnkeMursch, J. Blood flow velocities in the basal cerebral vein after head trauma: A prospective study in 82 patients. J. Neuroimaging 2002, 12, 325–329. [Google Scholar] [CrossRef]
- Niesen, W.D.; Rosenkranz, M.; Schummer, W.; Weiller, C.; Sliwka, U. Cerebral venous flow velocity predicts poor outcome in subarachnoid hemorrhage. Stroke 2004, 35, 1873–1878. [Google Scholar] [CrossRef]
- Mursch, K.; Wachter, A.; Radke, K.; Buhre, W.; Al-Sufi, S.; Munzel, U.; Behnke-Mursch, J.; Kolenda, H. Blood flow velocities in the basal vein after subarachnoid haemorrhage. A prospective study using transcranial duplex sonography. Acta Neurochir. 2001, 143, 793–800. [Google Scholar] [CrossRef]
- Pan, Y.; Wan, W.; Xiang, M.; Guan, Y. Transcranial Doppler Ultrasonography as a Diagnostic Tool for Cerebrovascular Disorders. Front. Hum. Neurosci. 2022, 16, 841809. [Google Scholar] [CrossRef] [PubMed] [PubMed Central]
- Connolly, F.; Schreiber, S.J.; Leithner, C.; Bohner, G.; Vajkoczy, P.; Valdueza, J.M. Assessment of intracranial venous blood flow after subarachnoid hemorrhage: A new approach to diagnose vasospasm with transcranial color-coded duplex sonography. J. Neurosurg. 2018, 129, 1136–1142. [Google Scholar] [CrossRef] [PubMed]
- Chung, C.P.; Hsu, H.Y.; Chao, A.C.; Sheng, W.Y.; Soong, B.W.; Hu, H.H. Transient global amnesia: Cerebral venous outflow impairment-insight from the abnormal flow patterns of the internal jugular vein. Ultrasound Med. Biol. 2007, 33, 1727–1735. [Google Scholar] [CrossRef] [PubMed]
- Bartels, E. Arteriovenous Malformation (AVM) and Arteriovenous Fistula in the ICU: Contributions of Transcranial Doppler (TCD/TCCS) to Diagnosis. In Neurosonology in Critical Care; Rodríguez, C.N., Baracchini, C., Mejia-Mantilla, J.H., Czosnyka, M., Suarez, J.I., Csiba, L., Puppo, C., Bartels, E., Eds.; Springer: Cham, Switzerland, 2022. [Google Scholar] [CrossRef]
- Tucker, T. Fluid dynamics of cerebrospinal venous flow in multiple sclerosis. Med. Hypotheses 2019, 131, 109255. [Google Scholar] [CrossRef] [PubMed]
- Hage, B.D.; Truemper, E.J.; Bashford, G.R. Functional Transcranial Doppler Ultrasound for Monitoring Cerebral Blood Flow. J. Vis. Exp. 2021, 169, e62048. [Google Scholar] [CrossRef] [PubMed]
- Spencer, T.R.; Pittiruti, M. Rapid Central Vein Assessment (RaCeVA): A systematic, standardized approach for ultrasound assessment before central venous catheterization. J. Vasc. Access 2019, 20, 239–249. [Google Scholar] [CrossRef] [PubMed]
- Weiss, C.H.; McSparron, J.I.; Chatterjee, R.S.; Herman, D.; Fan, E.; Wilson, K.C.; Thomson, C.C. Summary for Clinicians: Mechanical Ventilation in Adult Patients with Acute Respiratory Distress Syndrome Clinical Practice Guideline. Ann. Am. Thorac. Soc. 2017, 14, 1235–1238. [Google Scholar] [CrossRef] [PubMed] [PubMed Central]
- Yang, Z.-J.; Zhang, X.-Y.; Shen, J.-F.; Wang, Q.X.; Fan, H.R.; Jiang, X.; Chen, L. The impact of positive end-expiratory pressure on cerebral perfusion pressure and hemodynamics in patients receiving lung recruitment maneuver. Chin. Crit. Care Med. 2008, 20, 588–591. [Google Scholar]
- Pulitano, S.; Mancino, A.; Pietrini, D.; Piastra, M.; De Rosa, S.; Tosi, F.; De Luca, D.; Conti, G. Effects of positive end expiratory pressure (PEEP) on intracranial and cerebral perfusion pressure in pediatric neurosurgical patients. J. Neurosurg. Anesthesiol. 2013, 25, 330–334. [Google Scholar] [CrossRef]
- Robba, C.; Poole, D.; McNett, M.; Asehnoune, K.; Bösel, J.; Bruder, N.; Chieregato, A.; Cinotti, R.; Duranteau, J.; Einav, S.; et al. Mechanical ventilation in patients with acute brain injury: Recommendations of the European Society of Intensive Care Medicine consensus. Intensive Care Med. 2020, 46, 2397–2410. [Google Scholar] [CrossRef] [PubMed] [PubMed Central]
- Bianchini, A.; Pintus, L.; Vitale, G.; Mazzotta, E.; Felicani, C.; Zangheri, E.; Latrofa, M.E.; Modolon, C.; Pisano, R.; Siniscalchi, A. Lung Ultrasound in Mechanical Ventilation: A Purposive Review. Diagnostics 2025, 15, 870. [Google Scholar] [CrossRef] [PubMed] [PubMed Central]
- Bradley, T.D.; Rutherford, R.; Grossman, R.F.; Lue, F.; Zamel, N.; Moldofsky, H.; Phillipson, E.A. Role of daytime hypoxemia in the pathogenesis of right heart failure in the obstructive sleep apnea syndrome. Am. Rev. Respir. Dis. 1985, 131, 835–839. [Google Scholar]
- Jan, M.F.; Tajik, A.J. Diagnosing and managing pulmonary and right-sided heart disease: Pulmonary hypertension, right ventricular outflow pathology, and sleep apnea. In Hypertrophic Cardiomyopathy; Springer: Cham, Switzerland, 2019; pp. 231–248. [Google Scholar]
- Gruhn, N.; Larsen, F.S.; Boesgaard, S.; Knudsen, G.M.; Mortensen, S.A.; Thomsen, G.; Aldershvile, J. Cerebral blood flow in patients with chronic heart failure before and after heart transplantation. Stroke 2001, 32, 2530–2533. [Google Scholar] [CrossRef] [PubMed]
- Demonte, G.; Santangelo, D.; Roccia, F.; Gambardella, A.; Bono, F. Obstructive sleep apnea (OSA) in headache sufferers with Idiopathic intracranial Hypertension (IIH): A prospective study. In Proceedings of the 19th Conference of the International Headache Conference, Dublin, Ireland, 5–8 September 2019. [Google Scholar]
- Berry, N.; Fletcher, S. Abdominal compartment syndrome. Contin. Educ. Anaesth. Crit. Care Pain 2012, 12, 110–117. [Google Scholar] [CrossRef]
- Josephs, L.G.; Este-McDonald, J.R.; Birkett, D.H.; Hirsch, E.F. Diagnostic laparoscopy increases intracranial pressure. J. Trauma 1994, 36, 815–818. [Google Scholar] [CrossRef] [PubMed]
- Sugerman, H.J.; DeMaria, E.J.; Felton, W.; Nakatsuka, M.; Sismanis, A. Increased intra-abdominal pressure and cardiac filling pressures in obesity-associated pseudotumor cerebri. Neurology 1997, 49, 501–511. [Google Scholar] [CrossRef] [PubMed]
- Sattur, M.G.; Genovese, E.A.; Weber, A.; Santos, J.M.; Lajthia, O.M.; Anderson, J.M.; Wooster, M.D.; Veeraswamy, R.; Spiotta, A.M. Superior sagittal sinus-to-internal jugular vein bypass shunt with covered stent construct for intractable intracranial hypertension resulting from iatrogenic supratorcular sinus occlusion. Acta Neurochir. 2021, 163, 2351–2357. [Google Scholar] [CrossRef] [PubMed]
- Molina, J.C.; Martinez-vea, A.; Riu, S.; Callizo, J.; Barbod, A.; Garcia, C.; Peralta, C.; Oliver, J.A. Pseudotumor cerebri: An unusual complication of brachiocephalic vein thrombosis associated with hemodialysis catheters. Am. J. Kidney Dis. 1998, 31, E3. [Google Scholar] [CrossRef] [PubMed]
- Benninger, M.S.; Wood, B.G. Pseudotumor cerebri following spontaneous internal jugular vein thrombosis. Head Neck 1988, 10, S38–S43. [Google Scholar] [CrossRef]
- Doepp, F.; Schreiber, S.J.; Benndorf, G.; Radtke, A.; Gallinat, J.; Valdueza, J.M. Venous drainage patterns in a case of pseudotumor cerebri following unilateral radical neck dissection. Acta Otolaryngol. 2003, 123, 994–997. [Google Scholar] [CrossRef]
- Nedelmann, M.; Kaps, M.; Mueller-forell, W. Venous obstruction and jugular valve insufficiency in idiopathic intracranial hypertension. J. Neurol. 2009, 256, 964–969. [Google Scholar] [CrossRef]
- Yang, B.; Li, M.; Liang, J.; Tang, X.; Chen, Q. Effect of internal jugular vein catheterization on intracranial pressure and postoperative cognitive function in patients undergoing robot-assisted laparoscopic surgery. Front. Med. 2023, 10, 1199931. [Google Scholar] [CrossRef] [PubMed] [PubMed Central]
- Sattur, M.G.; Patel, S.J.; Helke, K.L.; Donohoe, M.; Spiotta, A.M. Head Elevation, Cerebral Venous System, and Intracranial Pressure: Review and Hypothesis. Stroke Vasc. Interv. Neurol. 2023, 3, e000522. [Google Scholar] [CrossRef]
- Nifong, T.P.; McDevitt, T.J. The effect of catheter to vein ratio on blood flow rates in a simulated model of peripherally inserted central venous catheters. Chest 2011, 140, 48–53. [Google Scholar] [CrossRef] [PubMed]
- Joseph, A.; Theerth, K.A.; Karipparambath, V.; Palliyil, A. Effects of pneumoperitoneum and Trendelenburg position on intracranial pressure and cerebral blood flow assessed using transcranial doppler: A prospective observational study. J. Anaesthesiol. Clin. Pharmacol. 2023, 39, 429–434. [Google Scholar] [CrossRef] [PubMed] [PubMed Central]
- Ramos, M.B.; Britz, J.P.E.; Telles, J.P.M.; Nager, G.B.; Cenci, G.I.; Rynkowski, C.B.; Teixeira, M.J.; Figueiredo, E.G. The Effects of Head Elevation on Intracranial Pressure, Cerebral Perfusion Pressure, and Cerebral Oxygenation Among Patients with Acute Brain Injury: A Systematic Review and Meta-Analysis. Neurocrit. Care 2024, 41, 950–962. [Google Scholar] [CrossRef] [PubMed]
- Khawari, S.; Al-Mohammad, A.; Pandit, A.; Moncur, E.; Bancroft, M.J.; Tariq, K.; Cowley, P.; Watkins, L.; Toma, A. ICP during head movement: Significance of the venous system. Acta Neurochir. 2023, 165, 3243–3247. [Google Scholar] [CrossRef] [PubMed]
- Maerz, D.A.; Beck, L.N.; Sim, A.J.; Gainsburg, D.M. Complications of robotic-assisted laparoscopic surgery distant from the surgical site. Br. J. Anaesth. 2017, 118, 492–503. [Google Scholar] [CrossRef] [PubMed]
- Rajmohan, N.; Thiruvathtra, J.; Omkarappa, S.; Srinivasan, S.P.; Eldo, N.; Rajgopal, R. Perioperative optic nerve sheath diameter variations in patients with end-stage renal failure undergoing robotic-assisted kidney transplant: A prospective observational study. Clin. Transpl. Res. 2024, 38, 106–115. [Google Scholar] [CrossRef] [PubMed] [PubMed Central]
- Shah, S.B.; Bhargava, A.K.; Choudhury, I. Noninvasive intracranial pressure monitoring via optic nerve sheath diameter for robotic surgery in steep Trendelenburg position. Saudi J. Anaesth. 2015, 9, 239–246. [Google Scholar] [CrossRef] [PubMed] [PubMed Central]
- Mitchell, K.G.; Appleby, R.B.; Sinclair, M.D.; Singh, A. The effect of laparoscopy on intracranial pressure as measured by optic nerve sheath diameter: A review. Can. Vet. J. 2022, 63, 416–421. [Google Scholar] [PubMed] [PubMed Central]
- Kavrut Ozturk, N.; Kavakli, A.S.; Arslan, U.; Aykal, G.; Savas, M. Nível de S100B e disfunção cognitiva após prostatectomia radical laparoscópica assistida por robô: Estudo observational prospectivo [S100B level and cognitive dysfunction after robotic-assisted laparoscopic radical prostatectomy procedures: A prospective observational study]. Braz. J. Anesthesiol. 2020, 70, 573–582. [Google Scholar] [CrossRef] [PubMed] [PubMed Central]
- Beck, S.; Zins, L.; Holthusen, C.; Rademacher, C.; von Breunig, F.; Tennstedt, P.; Haese, A.; Graefen, M.; Zöllner, C.; Fischer, M. Comparison of Cognitive Function After Robot-Assisted Prostatectomy and Open Retropubic Radical Prostatectomy: A Prospective Observational Single-Center Study. Urology 2020, 139, 110–117. [Google Scholar] [CrossRef] [PubMed]
- Li, Y.; Huang, D.; Su, D.; Chen, J.; Yang, L. Postoperative cognitive dysfunction after robot-assisted radical cystectomy (RARC) with cerebral oxygen monitoring an observational prospective cohort pilot study. BMC Anesthesiol. 2019, 19, 202. [Google Scholar] [CrossRef] [PubMed] [PubMed Central]
- Barr, C.; Madhuri, T.K.; Prabhu, P.; Butler-Manuel, S.; Tailor, A. Cerebral oedema following robotic surgery: A rare complication. Arch. Gynecol. Obstet. 2014, 290, 1041–1044. [Google Scholar] [CrossRef] [PubMed]
- Valdueza, J.M.; Schmierer, K.; Mehraein, S.; Einhäupl, K.M. Assessment of normal flow velocity in basal cerebral veins. A transcranial doppler ultrasound study. Stroke 1996, 27, 1221–1225. [Google Scholar] [CrossRef] [PubMed]
- Tiecks, F.P.; Douville, C.; Byrd, S.; Lam, A.M.; Newell, D.W. Evaluation of impaired cerebral autoregulation by the Valsalva maneuver. Stroke 1996, 27, 1177–1182. [Google Scholar] [CrossRef]
- Stolz, E.; Rüsges, D.A.; Hoffmann, O.; Gerriets, T.; Nedelmann, M.; Lochner, P.; Kaps, M. Active regulation of cerebral venous tone: Simultaneous arterial and venous transcranial Doppler sonography during a Valsalva manoeuvre. Eur. J. Appl. Physiol. 2010, 109, 691–697. [Google Scholar] [CrossRef] [PubMed]
- Mariani, L.; Calza, S.; Gritti, P.; Zerbi, S.M.; Russo, E.; Deana, C.; Filippi, D.; Robba, C.; Caricato, A.; Fassini, P.; et al. From indication to initiation of invasive intracranial pressure monitoring time differences between neurosurgeons and intensive care physicians: Can intracranial hypertension dose be reduced? TIMING-ICP, a multicenter, observational, prospective study. Crit. Care 2025, 29, 237. [Google Scholar] [CrossRef] [PubMed] [PubMed Central]






Disclaimer/Publisher’s Note: The statements, opinions and data contained in all publications are solely those of the individual author(s) and contributor(s) and not of MDPI and/or the editor(s). MDPI and/or the editor(s) disclaim responsibility for any injury to people or property resulting from any ideas, methods, instructions or products referred to in the content. |
© 2026 by the authors. Licensee MDPI, Basel, Switzerland. This article is an open access article distributed under the terms and conditions of the Creative Commons Attribution (CC BY) license.
Share and Cite
Bianchini, A.; Vitale, G.; Melegari, G.; Cescon, M.; Ravaioli, M.; Zangheri, E.; Scuppa, M.F.; Tigano, S.; Siniscalchi, A. Transcranial Color Doppler for Assessing Cerebral Venous Outflow in Critically Ill and Surgical Patients. Diagnostics 2026, 16, 289. https://doi.org/10.3390/diagnostics16020289
Bianchini A, Vitale G, Melegari G, Cescon M, Ravaioli M, Zangheri E, Scuppa MF, Tigano S, Siniscalchi A. Transcranial Color Doppler for Assessing Cerebral Venous Outflow in Critically Ill and Surgical Patients. Diagnostics. 2026; 16(2):289. https://doi.org/10.3390/diagnostics16020289
Chicago/Turabian StyleBianchini, Amedeo, Giovanni Vitale, Gabriele Melegari, Matteo Cescon, Matteo Ravaioli, Elena Zangheri, Maria Francesca Scuppa, Stefano Tigano, and Antonio Siniscalchi. 2026. "Transcranial Color Doppler for Assessing Cerebral Venous Outflow in Critically Ill and Surgical Patients" Diagnostics 16, no. 2: 289. https://doi.org/10.3390/diagnostics16020289
APA StyleBianchini, A., Vitale, G., Melegari, G., Cescon, M., Ravaioli, M., Zangheri, E., Scuppa, M. F., Tigano, S., & Siniscalchi, A. (2026). Transcranial Color Doppler for Assessing Cerebral Venous Outflow in Critically Ill and Surgical Patients. Diagnostics, 16(2), 289. https://doi.org/10.3390/diagnostics16020289

