The Value of High-Frequency Ultrasound in the Evaluation of Cutaneous Rosai-Dorfman Disease: A Case Series and Literature Review
Abstract
1. Introduction
2. Case Presentation
2.1. Case 1
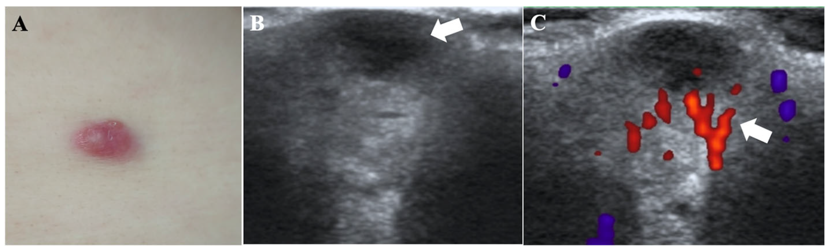
2.1.1. Clinical History
2.1.2. Imaging Studies
2.1.3. Pathological Findings
2.1.4. Treatment and Follow-Up
2.2. Case 2
2.2.1. Clinical History
2.2.2. Imaging Studies
2.2.3. Pathological Findings
2.2.4. Treatment and Follow-Up
2.3. Case 3
2.3.1. Clinical History
2.3.2. Imaging Studies
2.3.3. Pathological Findings
2.3.4. Treatment and Follow-Up
3. Discussion
3.1. Heterogeneity of HFUS Findings and Differential Diagnosis
3.2. The Role of HFUS in Clinical Decision-Making
3.3. The Value of HFUS in Treatment Follow-Up
3.4. The Limitations and Prospects of This Study
4. Conclusions
Author Contributions
Funding
Institutional Review Board Statement
Informed Consent Statement
Data Availability Statement
Conflicts of Interest
Abbreviations
| CRDD | Cutaneous Rosai-Dorfman disease |
| RDD | Rosai-Dorfman disease |
| HFUS | High-frequency ultrasound |
| RCM | reflectance confocal microscopy |
| CDFI | Color Doppler flow imaging |
| SLEB | Subepidermal low-echogenicity band |
References
- Kutlubay, Z.; Bairamov, O.; Sevim, A.; Demirkesen, C.; Mat, M.C. Rosai-Dorfman disease: A case report with nodal and cutaneous involvement and review of the literature. Am. J. Dermatopathol. 2014, 36, 353–357. [Google Scholar] [CrossRef] [PubMed]
- Goyal, G.; Ravindran, A.; Young, J.R.; Shah, M.V.; Bennani, N.N.; Patnaik, M.M.; Nowakowski, G.S.; Thanarajasingam, G.; Habermann, T.M.; Vassallo, R.; et al. Clinicopathological features, treatment approaches, and outcomes in Rosai-Dorfman disease. Haematologica 2020, 105, 348–357. [Google Scholar] [CrossRef]
- Destombes, P. Adenitis with lipid excess, in children or young adults, seen in the Antilles and in Mali. (4 cases). Bull. Soc. Pathol. Exot. Fil. 1965, 58, 1169–1175. [Google Scholar]
- Rosai, J.; Dorfman, R.F. Sinus histiocytosis with massive lymphadenopathy. A newly recognized benign clinicopathological entity. Arch. Pathol. 1969, 87, 63–70. [Google Scholar]
- Emile, J.F.; Abla, O.; Fraitag, S.; Horne, A.; Haroche, J.; Donadieu, J.; Requena-Caballero, L.; Jordan, M.B.; Abdel-Wahab, O.; Allen, C.E.; et al. Revised classification of histiocytoses and neoplasms of the macrophage-dendritic cell lineages. Blood 2016, 127, 2672–2681. [Google Scholar] [CrossRef] [PubMed]
- Bruce-Brand, C.; Schneider, J.W.; Schubert, P. Rosai-Dorfman disease: An overview. J. Clin. Pathol. 2020, 73, 697–705. [Google Scholar] [CrossRef] [PubMed]
- Brenn, T.; Calonje, E.; Granter, S.R.; Leonard, N.; Grayson, W.; Fletcher, C.D.M.; McKee, P.H. Cutaneous Rosai-Dorfman disease is a distinct clinical entity. Am. J. Dermatopathol. 2002, 24, 385–391. [Google Scholar] [CrossRef] [PubMed]
- Yang, Z.; Yu, W.T.; Liu, Z.H.; Bian, K.; Xu, F.M.; Shen, H. Dermoscopy and reflectance confocal microscopy for the diagnosis of generalized pure cutaneous Rosai-Dorfman disease. Skin. Res. Technol. 2021, 27, 288–290. [Google Scholar] [CrossRef] [PubMed]
- Xu, H.; Wen, L.; Hu, C.; Li, J.; Wang, P.; Wang, X. Dermoscopy combined with reflectance confocal microscopy as a noninvasive involvement for monitoring cutaneous Rosai-Dorfman: A case report. Photodiagnosis Photodyn. Ther. 2023, 44, 103874. [Google Scholar] [CrossRef] [PubMed]
- Wang, L.F.; Ni, N.; Hou, J.J.; Wang, S.; Wang, J.; Wang, Q.; Zhu, A.; Zhang, Y.; Ren, W.; Chen, Z.; et al. Assessment of the Diagnostic Performance of Clinical Examinations and High-Frequency Ultrasound in Patients With Pigmented Skin Tumors. J. Ultrasound Med. 2024, 43, 151–160. [Google Scholar] [CrossRef] [PubMed]
- Wortsman, X. Key Points to Select a Device for Dermatologic Ultrasound. J. Ultrasound Med. 2023, 42, 1367–1369. [Google Scholar] [CrossRef] [PubMed]
- Delaney, E.E.; Larkin, A.; MacMaster, S.; Sakhdari, A.; DeBenedectis, C.M. Rosai-Dorfman disease of the breast. Cureus 2017, 9, e1153. [Google Scholar] [CrossRef] [PubMed]
- Ciurea, A.; Ciortea, C.; Cosarca, M.; Rogojan, L. Breast involvement in pure cutaneous Rosai-Dorfman disease: Ultrasound and sonoelastography appearance with a review of the literature. Ultrasound Q. 2016, 32, 183–186. [Google Scholar] [CrossRef] [PubMed]
- Srikanth, D.; Devi, V.; Polishetty, N.; Singh, D. Subcutaneous benign fibrous histiocytoma: Rare presentation on cheek-case report and review of literature. J. Maxillofac. Oral Surg. 2016, 15, 282–286. [Google Scholar] [CrossRef] [PubMed]
- Niu, L.; Zhang, C.; Meng, F.; Cai, R.; Bi, Y.; Wang, Y.; Xu, J. Ocular juvenile xanthogranuloma. Optom. Vis. Sci. 2015, 92, e126–e133. [Google Scholar] [CrossRef] [PubMed]
- Martínez-Morán, C.; Echeverría-García, B.; Tardío, J.C.; Borbujo, J. Ultrasound appearance of juvenile xanthogranuloma. Imagen ecográfica de xantogranuloma juvenil. Actas Dermosifiliogr. 2017, 108, 683–685. [Google Scholar] [CrossRef] [PubMed]
- Tariq, S.; Hugenberg, S.T.; Hirano-Ali, S.A.; Tariq, H. Multicentric reticulohistiocytosis (MRH): Case report with review of literature between 1991 and 2014 with in depth analysis of various treatment regimens and outcomes. Springerplus 2016, 5, 180. [Google Scholar] [CrossRef] [PubMed]
- Kempf, W.; Mitteldorf, C.; Cerroni, L.; Willemze, R.; Berti, E.; Guenova, E.; Scarisbrick, J.J.; Battistella, M. Classifications of cutaneous lymphomas and lymphoproliferative disorders: An update from the EORTC cutaneous lymphoma histopathology group. J. Eur. Acad. Dermatol. Venereol. 2024, 38, 1491–1503. [Google Scholar] [CrossRef] [PubMed]



| Case 1 | Case 2 | Case 3 | |
|---|---|---|---|
| Age | 41 | 42 | 13 |
| Sex | female | female | female |
| Location | left cheek | right back | left axilla |
| Physical examination | an irregular, dark red plaque with multiple firm, smooth-surfaced nodules | a dark red, firm, freely mobile nodule with a smooth surface | several mobile, firm, subcutaneous nodules with smooth surfaces |
| HFUS features at presentation | |||
| Regular shape | − | + | + |
| Well-defined borders | − | − | + |
| Echogenicity | hypoechoic | hypoechoic | hypoechoic |
| Involvement layers | epidermis, dermis and subcutaneous tissue | dermis | subcutis |
| CDFI features at presentation | |||
| Abundant vascularity | + | − | − |
Disclaimer/Publisher’s Note: The statements, opinions and data contained in all publications are solely those of the individual author(s) and contributor(s) and not of MDPI and/or the editor(s). MDPI and/or the editor(s) disclaim responsibility for any injury to people or property resulting from any ideas, methods, instructions or products referred to in the content. |
© 2026 by the authors. Licensee MDPI, Basel, Switzerland. This article is an open access article distributed under the terms and conditions of the Creative Commons Attribution (CC BY) license.
Share and Cite
Yang, L.; Shu, M.; Sheng, S.; Liu, H.; Deng, J.; Zhao, Y.; Wang, Q.; Guo, L. The Value of High-Frequency Ultrasound in the Evaluation of Cutaneous Rosai-Dorfman Disease: A Case Series and Literature Review. Diagnostics 2026, 16, 242. https://doi.org/10.3390/diagnostics16020242
Yang L, Shu M, Sheng S, Liu H, Deng J, Zhao Y, Wang Q, Guo L. The Value of High-Frequency Ultrasound in the Evaluation of Cutaneous Rosai-Dorfman Disease: A Case Series and Literature Review. Diagnostics. 2026; 16(2):242. https://doi.org/10.3390/diagnostics16020242
Chicago/Turabian StyleYang, Leyan, Minjie Shu, Shuqing Sheng, Haoxuan Liu, Jinyi Deng, Yujing Zhao, Qiao Wang, and Lehang Guo. 2026. "The Value of High-Frequency Ultrasound in the Evaluation of Cutaneous Rosai-Dorfman Disease: A Case Series and Literature Review" Diagnostics 16, no. 2: 242. https://doi.org/10.3390/diagnostics16020242
APA StyleYang, L., Shu, M., Sheng, S., Liu, H., Deng, J., Zhao, Y., Wang, Q., & Guo, L. (2026). The Value of High-Frequency Ultrasound in the Evaluation of Cutaneous Rosai-Dorfman Disease: A Case Series and Literature Review. Diagnostics, 16(2), 242. https://doi.org/10.3390/diagnostics16020242

