CT Evaluation of Lumbar Interbody Fusion: A Comprehensive Review with an Integrated Framework for Principle-Based Interpretation
Abstract
1. Introduction
2. Materials and Methods
3. Results
3.1. CT Imaging Protocols
3.1.1. Acquisition Parameters
3.1.2. Hardware-Specific Considerations
3.1.3. Artifact Reduction Strategies
- Iterative Metal Artifact Reduction (IMAR)
- Dual-Energy CT (DECT)
- Combined Approach
3.1.4. Patient Positioning
3.1.5. Timing of CT Assessment
3.2. Radiographic Assessment Criteria
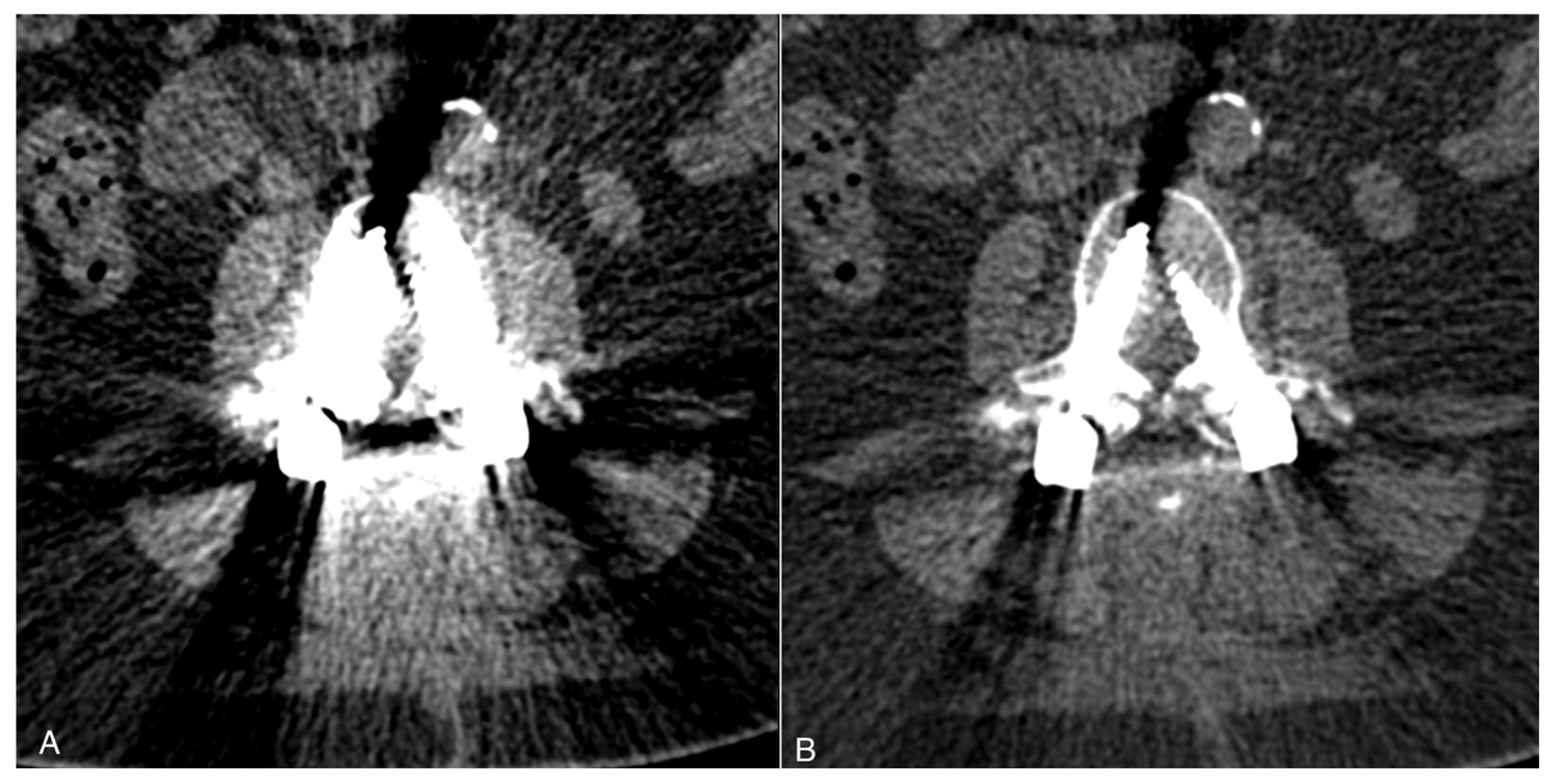
3.2.1. Trabecular Bridging: The Primary Criterion
3.2.2. Bridging Zone-Based Assessment: Validation Findings
- Assessment Methodology and Reliability Validation
- Graft Placement and Bridging Prevalence
- Cage Geometry Effects
- Surgical Accessibility and Bridging Rates
- Assessment Considerations
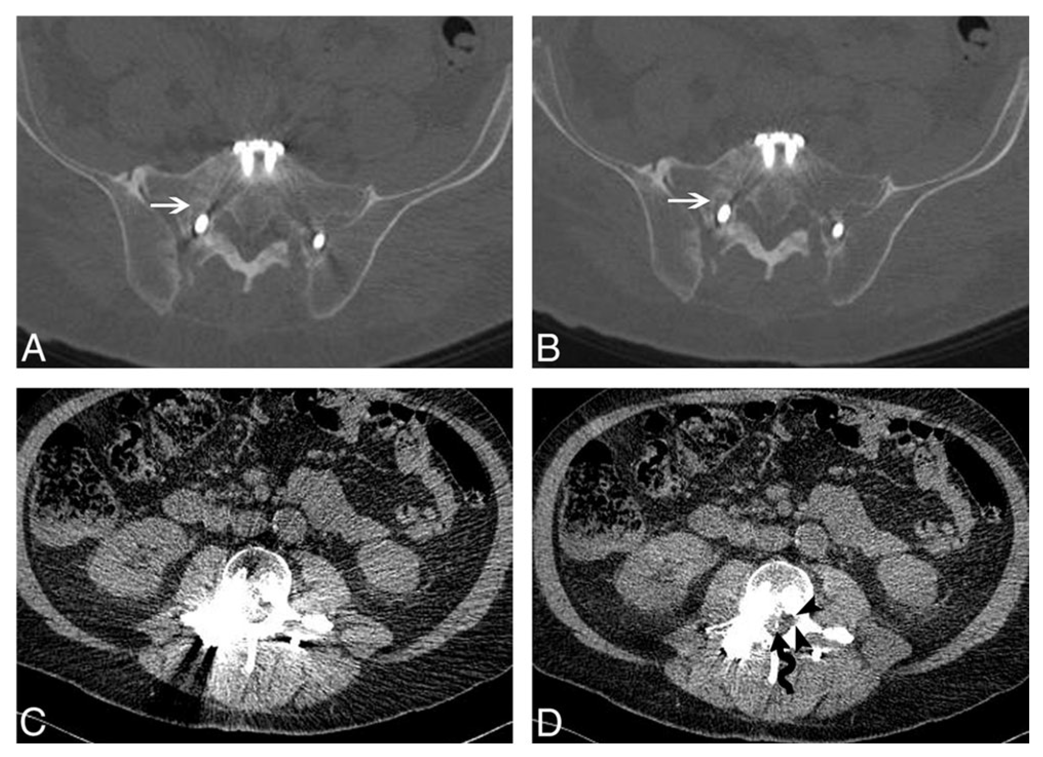
3.2.3. Secondary Signs and Complications
- Cage Subsidence
- Cage Migration Patterns
- Endplate-Cage Interface Changes
- Hardware Integrity
3.2.4. Documentation Framework and Reference Standards
4. Discussion
4.1. Literature Context and Review Contribution
4.2. Integration of Current Evidence
4.2.1. Technical Optimization and Zone-Based Validation
4.2.2. Challenges to Categorical Assessment Frameworks
4.2.3. Integrated Assessment Framework
- (1)
- Technique-factor correlation: Bridging distribution should be assessed based on documented surgical variables—cage configuration (single versus double, footprint dimensions), graft placement location, and accessibility limitations—rather than applying universal thresholds uniformly across different surgical techniques. Expected bridging zones are derived from operative documentation for individual case, guided by the technical factors outlined in Section 3.2.2 [12,26,29].
- (2)
- Temporal-clinical integration: Radiographic findings should be interpreted within the healing process and symptomatic context. Incomplete bridging at 12 months in an asymptomatic patient with stable hardware represents a different clinical entity than the same findings in a symptomatic patient with progressive lucency [21]—a distinction that categorical grading systems assigning definitive status at single timepoints cannot capture [4,14].
4.3. Practical Application of the Assessment Framework
4.3.1. Image Acquisition Strategy
- Timing Selection
- Protocol Optimization
4.3.2. Systematic Interpretation and Clinical Decision-Making
- Surgical Context Integration
- Trabecular Bridging Assessment
- Secondary Sign Interpretation
- Temporal Progression Analysis
- Evidence-Based Observation Criteria
- Intervention Consideration Thresholds
4.3.3. Standardized Documentation
4.4. Limitation
4.4.1. Biological and Clinical Complexities
4.4.2. Evidence Limitations
4.4.3. Review-Specific Limitations
4.5. Future Directions
4.5.1. Standardization of Documentation and Interpretive Principles
4.5.2. Clinical-Radiographic Correlation and Outcomes Research
4.5.3. Artificial Intelligence and Quantitative Analysis
4.5.4. Advanced Imaging Techniques
5. Conclusions
Author Contributions
Funding
Institutional Review Board Statement
Informed Consent Statement
Data Availability Statement
Acknowledgments
Conflicts of Interest
Abbreviations
| BSF | Brantigan-Steffee-Fraser classification |
| AI | Artificial intelligence |
| CT | Computed tomography |
| DECT | Dual-energy computed tomography |
| DH | Disc height |
| FBP | Filtered back projection |
| HU | Hounsfield unit |
| ICC | Intraclass correlation coefficient |
| IMAR | Iterative metal artifact reduction |
| KeV | Kiloelectron volt |
| KVp | Kilovolt peak |
| LIF | Lumbar interbody fusion |
| ALIF | Anterior lumbar interbody fusion |
| LLIF | Lateral lumbar interbody fusion |
| OLIF | Oblique lumbar interbody fusion |
| PLIF | Posterior lumbar interbody fusion |
| TLIF | Transforaminal lumbar interbody fusion |
| PEEK | Polyetheretherketone |
References
- Martin, B.I.; Mirza, S.K.; Spina, N.; Spiker, W.R.; Lawrence, B.; Brodke, D.S. Trends in lumbar fusion procedure rates and associated hospital costs for degenerative spinal diseases in the United States, 2004 to 2015. Spine 2019, 44, 369–376. [Google Scholar] [CrossRef]
- Meng, B.; Bunch, J.; Burton, D.; Wang, J. Lumbar interbody fusion: Recent advances in surgical techniques and bone healing strategies. Eur. Spine J. 2021, 30, 22–33. [Google Scholar] [CrossRef] [PubMed]
- Williams, A.L.; Gornet, M.F.; Burkus, J.K. CT evaluation of lumbar interbody fusion: Current concepts. Am. J. Neuroradiol. 2005, 26, 2057–2066. [Google Scholar]
- Fogel, G.R.; Toohey, J.S.; Neidre, A.; Brantigan, J.W. Fusion assessment of posterior lumbar interbody fusion using radiolucent cages: X-ray films and helical computed tomography scans compared with surgical exploration of fusion. Spine J. 2008, 8, 570–577. [Google Scholar] [CrossRef]
- Ghodasara, N.; Yi, P.H.; Clark, K.; Fishman, E.K.; Farshad, M.; Fritz, J. Postoperative spinal CT: What the radiologist needs to know. Radiographics 2019, 39, 1840–1861. [Google Scholar] [CrossRef]
- Duits, A.A.; Van Urk, P.R.; Lehr, A.M.; Nutzinger, D.; Reijnders, M.R.; Weinans, H.; Foppen, W.; Oner, F.C.; Van Gaalen, S.M.; Kruyt, M.C. Radiologic assessment of interbody fusion: A systematic review on the use, reliability, and accuracy of current fusion criteria. JBJS Rev. 2024, 12, e23. [Google Scholar] [CrossRef]
- Peters, M.J.; Bastiaenen, C.H.; Brans, B.T.; Weijers, R.E.; Willems, P.C. The diagnostic accuracy of imaging modalities to detect pseudarthrosis after spinal fusion—A systematic review and meta-analysis of the literature. Skelet. Radiol. 2019, 48, 1499–1510. [Google Scholar] [CrossRef]
- Yu, A.; Tiao, J.; Cai, C.W.; Huang, J.J.; Mohamed, K.; Hoang, R.; Hong, J.; Berman, D.; Lee, J.; Ambrosio, L. Radiographic Assessment of Successful Lumbar Spinal Fusion: A Systematic Review of Fusion Criteria in Randomized Trials. Glob. Spine J. 2025, 21925682251384662. [Google Scholar] [CrossRef] [PubMed]
- Oezel, L.; Okano, I.; Hughes, A.P.; Sarin, M.; Shue, J.; Sama, A.A.; Cammisa, F.P.; Girardi, F.P.; Soffin, E.M. Longitudinal trends of patient demographics and morbidity of different approaches in lumbar interbody fusion: An analysis using the American College of Surgeons National Surgical Quality Improvement Program Database. World Neurosurg. 2022, 164, e183–e193. [Google Scholar] [CrossRef]
- Xu, D.S.; Walker, C.T.; Godzik, J.; Turner, J.D.; Smith, W.; Uribe, J.S. Minimally invasive anterior, lateral, and oblique lumbar interbody fusion: A literature review. Ann. Transl. Med. 2018, 6, 104. [Google Scholar] [CrossRef] [PubMed]
- Burkus, J.K.; Foley, K.; Haid, R.; LeHuec, J.-C. Surgical Interbody Research Group–radiographic assessment of interbody fusion devices: Fusion criteria for anterior lumbar interbody surgery. Neurosurg. Focus 2001, 10, 1–9. [Google Scholar] [CrossRef]
- Lee, J.; Lee, D.-H.; Jung, C.-W.; Song, K.-S. The significance of extra-cage bridging bone via radiographic lumbar interbody fusion criterion. Glob. Spine J. 2023, 13, 113–121. [Google Scholar] [CrossRef] [PubMed]
- Brantigan, J.W.; Neidre, A.; Toohey, J.S. The Lumbar I/F Cage for posterior lumbar interbody fusion with the variable screw placement system: 10-year results of a Food and Drug Administration clinical trial. Spine J. 2004, 4, 681–688. [Google Scholar] [CrossRef]
- Sánchez, J.A.S.; Solís, S.S.; García, M.E.S.; Solís, H.A.S.; Torres, B.Y.A.; Rangel, J.A.I.R. Radiological diagnostic accuracy study comparing Lenke, Bridwell, BSF, and CT-HU fusion grading scales for minimally invasive lumbar interbody fusion spine surgery and its correlation to clinical outcome. Medicine 2020, 99, e19979. [Google Scholar] [CrossRef]
- Malhotra, A.; Kalra, V.B.; Wu, X.; Grant, R.; Bronen, R.A.; Abbed, K.M. Imaging of lumbar spinal surgery complications. Insights Imaging 2015, 6, 579–590. [Google Scholar] [CrossRef]
- Kotsenas, A.; Michalak, G.; DeLone, D.; Diehn, F.; Grant, K.; Halaweish, A.; Krauss, A.; Raupach, R.; Schmidt, B.; McCollough, C. CT metal artifact reduction in the spine: Can an iterative reconstruction technique improve visualization? Am. J. Neuroradiol. 2015, 36, 2184–2190. [Google Scholar] [CrossRef] [PubMed]
- Selles, M.; van Osch, J.A.; Maas, M.; Boomsma, M.F.; Wellenberg, R.H. Advances in metal artifact reduction in CT images: A review of traditional and novel metal artifact reduction techniques. Eur. J. Radiol. 2024, 170, 111276. [Google Scholar] [CrossRef] [PubMed]
- Wayer, D.; Kim, N.; Otto, B.; Grayev, A.; Kuner, A. Unintended consequences: Review of new artifacts introduced by iterative reconstruction CT metal artifact reduction in spine imaging. Am. J. Neuroradiol. 2019, 40, 1973–1975. [Google Scholar] [CrossRef]
- Große Hokamp, N.; Neuhaus, V.; Abdullayev, N.; Laukamp, K.; Lennartz, S.; Mpotsaris, A.; Borggrefe, J. Reduction of artifacts caused by orthopedic hardware in the spine in spectral detector CT examinations using virtual monoenergetic image reconstructions and metal-artifact-reduction algorithms. Skelet. Radiol. 2018, 47, 195–201. [Google Scholar] [CrossRef]
- Wang, F.; Zhang, Y.; Xue, H.; Han, W.; Yang, X.; Jin, Z.; Zwar, R. Combined use of iterative reconstruction and monochromatic imaging in spinal fusion CT images. Acta Radiol. 2017, 58, 62–69. [Google Scholar] [CrossRef]
- Patil, N.D.; El Ghait, H.A.; Boehm, C.; Boehm, H. Evaluation of spinal fusion in thoracic and thoracolumbar spine on standard X-rays: A new grading system for spinal interbody fusion. Glob. Spine J. 2022, 12, 1481–1494. [Google Scholar] [CrossRef]
- Lee, S.; Jung, J.W.; Lee, S.-W.; Kim, K.-T.; Kwon, H.-D.; Lee, S.; San Ko, Y.; Kim, P.; Cho, D.-C. Fusion assessment of oblique lumbar interbody fusion using demineralized bone matrix: A 2-year prospective study. Neurospine 2023, 20, 1205. [Google Scholar] [CrossRef]
- Sanghvi, P.A.; Wiener, J.M.; Meade, S.M.; Boden, L.M.; Shost, M.D.; Steinmetz, M.P. Development of a unified and comprehensive definition of successful spinal fusion: A systematic review. J. Neurosurg. Spine 2025, 42, 403–412. [Google Scholar] [CrossRef]
- Liu, J.; Xie, R.; Chin, C.T.; Rajagopalan, P.; Duan, P.G.; Li, B.; Burch, S.; Berven, S.H.; Mummaneni, P.V.; Chou, D. Comparison of Lumbosacral Fusion Grade in Patients After Transforaminal and Anterior Lumbar Interbody Fusion With Minimum 2-Year Follow-Up. Orthop. Surg. 2023, 15, 2334–2341. [Google Scholar] [CrossRef]
- Kim, K.H.; Park, J.Y.; Chin, D.K. Fusion criteria for posterior lumbar interbody fusion with intervertebral cages: The significance of traction spur. J. Korean Neurosurg. Soc. 2009, 46, 328. [Google Scholar] [CrossRef]
- Xu, S.; Zang, L.; Lu, Q.; Zhao, P.; Wu, Q.; Chen, X. Characteristics of interbody bone graft fusion after transforaminal lumbar interbody fusion according to intervertebral space division. Front. Surg. 2022, 9, 1004230. [Google Scholar] [CrossRef]
- Wangaryattawanich, P.; Kale, H.A.; Kanter, A.S.; Agarwal, V. Lateral lumbar interbody fusion: Review of surgical technique and postoperative multimodality imaging findings. Am. J. Roentgenol. 2021, 217, 480–494. [Google Scholar] [CrossRef] [PubMed]
- Xi, Z.; Chou, D.; Mummaneni, P.V.; Burch, S. The navigated oblique lumbar interbody fusion: Accuracy rate, effect on surgical time, and complications. Neurospine 2020, 17, 260. [Google Scholar] [CrossRef]
- Huang, Y.-H.; Pao, J.-L. Improved Clinical and Radiological Outcomes with Double-Cage Biportal Endoscopic Transforaminal Lumbar Interbody Fusion: A Comparative CT-Based Study. Diagnostics 2025, 15, 2652. [Google Scholar] [CrossRef] [PubMed]
- Tsukamoto, M.; Morimoto, T.; Yoshihara, T.; Hirata, H.; Toda, Y.; Kobayashi, T.; Mawatari, M. Traction Spurs in the Lumbar Spine: A Historical Overview and Future Perspectives. Spine Surg. Relat. Res. 2024, 8, 354–361. [Google Scholar] [CrossRef]
- Zhao, L.; Xie, T.; Wang, X.; Yang, Z.; Pu, X.; Lu, Y.; Zeng, J. Clinical and radiological evaluation of cage subsidence following oblique lumbar interbody fusion combined with anterolateral fixation. BMC Musculoskelet. Disord. 2022, 23, 214. [Google Scholar] [CrossRef] [PubMed]
- Leonova, O.N.; Baikov, E.S.; Peleganchuk, A.V.; Krutko, A.V. Vertebral bone density in Hounsfield units as a predictor of interbody non-union and implant subsidence in lumbar circumferential fusion. Russ. J. Spine Surg. (Хирургия пoзвoнoчника) 2022, 19, 57–65. [Google Scholar] [CrossRef]
- Tung, K.-K.; Tseng, W.-C.; Wu, Y.-C.; Chen, K.-H.; Pan, C.-C.; Lu, W.-X.; Shih, C.-M.; Lee, C.-H. Comparison of radiographic and clinical outcomes between ALIF, OLIF, and TLIF over 2-year follow-up: A comparative study. J. Orthop. Surg. Res. 2023, 18, 158. [Google Scholar] [CrossRef]
- Mobbs, R.J.; Phan, K.; Malham, G.; Seex, K.; Rao, P.J. Lumbar interbody fusion: Techniques, indications and comparison of interbody fusion options including PLIF, TLIF, MI-TLIF, OLIF/ATP, LLIF and ALIF. J. Spine Surg. 2015, 1, 2–18. [Google Scholar] [CrossRef] [PubMed]
- Slosar, P.J.; Kaiser, J.; Marrero, L.; Sacco, D. Interobserver agreement using computed tomography to assess radiographic fusion criteria with a unique titanium interbody device. Am. J. Orthop. 2015, 44, 86–89. [Google Scholar]
- Saifi, C.; Cazzulino, A.; Laratta, J.; Save, A.V.; Shillingford, J.N.; Louie, P.K.; Pugely, A.J.; Arlet, V. Utilization and economic impact of posterolateral fusion and posterior/transforaminal lumbar interbody fusion surgeries in the United States. Glob. Spine J. 2019, 9, 185–190. [Google Scholar] [CrossRef] [PubMed]
- Shahzad, H.; Ahmad, M.; Singh, V.K.; Bhatti, N.; Yu, E.; Phillips, F.M.; Khan, S.N. Predictive factors of symptomatic lumbar pseudoarthrosis following multilevel primary lumbar fusion. N. Am. Spine Soc. J. 2023, 17, 100302. [Google Scholar] [CrossRef]
- Ailon, T.; Hamilton, D.K.; Klineberg, E.; Daniels, A.H.; Lafage, V.; Bess, S.; Burton, D.C.; Gupta, M.; Schwab, F.; Ames, C.P. Radiographic fusion grade does not impact health-related quality of life in the absence of instrumentation failure for patients undergoing posterior instrumented fusion for adult spinal deformity. World Neurosurg. 2018, 117, e1–e7. [Google Scholar] [CrossRef]
- Hashimoto, K.; Aizawa, T.; Kanno, H.; Itoi, E. Adjacent segment degeneration after fusion spinal surgery—A systematic review. Int. Orthop. 2019, 43, 987–993. [Google Scholar] [CrossRef]
- Christelis, N.; Simpson, B.; Russo, M.; Stanton-Hicks, M.; Barolat, G.; Thomson, S.; Schug, S.; Baron, R.; Buchser, E.; Carr, D.B. Persistent spinal pain syndrome: A proposal for failed back surgery syndrome and ICD-11. Pain Med. 2021, 22, 807–818. [Google Scholar] [CrossRef]
- Kitchen, D.; Rao, P.J.; Zotti, M.; Woodman, R.; Sampson, M.J.; Allison, D.; Phan, K.; Selby, M. Fusion assessment by MRI in comparison with CT in anterior lumbar interbody fusion: A prospective study. Glob. Spine J. 2018, 8, 586–592. [Google Scholar] [CrossRef] [PubMed]
- Lehr, A.M.; Duits, A.A.; Reijnders, M.R.; Nutzinger, D.; Castelein, R.M.; Oner, F.C.; Kruyt, M.C. Assessment of posterolateral lumbar fusion: A systematic review of imaging-based fusion criteria. JBJS Rev. 2022, 10, e22. [Google Scholar] [CrossRef]
- Roh, Y.-H.; Lee, J.C.; Hwang, J.; Cho, H.-K.; Soh, J.; Choi, S.-W.; Shin, B.-J. Long-term clinical and radiological outcomes of minimally invasive transforaminal lumbar interbody fusion: 10-year follow-up results. J. Korean Med. Sci. 2022, 37, e105. [Google Scholar] [CrossRef]
- Alhaug, O.K.; Dolatowski, F.C.; Thyrhaug, A.M.; Mjønes, S.; Dos Reis, J.A.B.P.R.; Austevoll, I. Long-term comparison of anterior (ALIF) versus transforaminal (TLIF) lumbar interbody fusion: A propensity score-matched register-based study. Eur. Spine J. 2024, 33, 1109–1119. [Google Scholar] [CrossRef]
- Lee, S.; Jung, J.-Y.; Mahatthanatrakul, A.; Kim, J.-S. Artificial intelligence in spinal imaging and patient care: A review of recent advances. Neurospine 2024, 21, 474. [Google Scholar] [CrossRef]
- Martín-Noguerol, T.; Miranda, M.O.; Amrhein, T.J.; Paulano-Godino, F.; Xiberta, P.; Vilanova, J.C.; Luna, A. The role of Artificial intelligence in the assessment of the spine and spinal cord. Eur. J. Radiol. 2023, 161, 110726. [Google Scholar] [CrossRef]
- Merali, Z.A.; Colak, E.; Wilson, J.R. Applications of machine learning to imaging of spinal disorders: Current status and future directions. Glob. Spine J. 2021, 11, 23S–29S. [Google Scholar] [CrossRef] [PubMed]
- Charles, Y.P.; Lamas, V.; Ntilikina, Y. Artificial intelligence and treatment algorithms in spine surgery. Orthop. Traumatol. Surg. Res. 2023, 109, 103456. [Google Scholar] [CrossRef]
- Löchel, J.; Putzier, M.; Dreischarf, M.; Grover, P.; Urinbayev, K.; Abbas, F.; Labbus, K.; Zahn, R. Deep learning algorithm for fully automated measurement of sagittal balance in adult spinal deformity. Eur. Spine J. 2024, 33, 4119–4124. [Google Scholar] [CrossRef]
- Bette, S.J.; Braun, F.M.; Haerting, M.; Decker, J.A.; Luitjens, J.H.; Scheurig-Muenkler, C.; Kroencke, T.J.; Schwarz, F. Visualization of bone details in a novel photon-counting dual-source CT scanner—Comparison with energy-integrating CT. Eur. Radiol. 2022, 32, 2930–2936. [Google Scholar] [CrossRef] [PubMed]
- Fukuda, T.; Yonenaga, T.; Akao, R.; Hashimoto, T.; Maeda, K.; Shoji, T.; Shioda, S.; Ishizaka, Y.; Ojiri, H. Comparison of bone evaluation and metal artifact between photon-counting CT and five energy-integrating-detector CT under standardized conditions using cadaveric forearms. Diagnostics 2024, 14, 350. [Google Scholar] [CrossRef] [PubMed]
- Rau, A.; Straehle, J.; Stein, T.; Diallo, T.; Rau, S.; Faby, S.; Nikolaou, K.; Schoenberg, S.O.; Overhoff, D.; Beck, J. Photon-counting computed tomography (PC-CT) of the spine: Impact on diagnostic confidence and radiation dose. Eur. Radiol. 2023, 33, 5578–5586. [Google Scholar] [CrossRef] [PubMed]




| Threshold/Grade | Diagnostic Criteria | Clinical Significance | |
|---|---|---|---|
| Cage Subsidence | |||
| Non-significant | <2 mm DH loss | Absolute measurement | Normal implant settling without clinical significance [31] |
| Mild | 2–4 mm DH loss | Absolute measurement | Early phenomenon; typically stabilizes by 3 months; minimal long-term fusion impact [31] |
| Severe | >4 mm DH loss | Absolute measurement | Clinical significance varies by construct type and fixation strategy; requires correlation with symptoms and serial imaging [31] |
| Cage Migration | Directional assessment | Posterior or lateral (neural foramina), anterior (vascular risk) | Significance depends on symptom correlation; asymptomatic cases may require observation [27,34] |
| Endplate-Cage Interface Changes | Qualitative (serial imaging) | Cystic changes at cage-endplate interface | Indicates inadequate stability and delayed fusion; resolution on follow-up suggests fusion progression [3] |
| PreoperativeBone Quality (HU) | |||
| Adequate | >127–142 HU | Level-specific thresholds: L4 > 127, L5 > 136, S1 > 142 HU | Associated with fusion success [32] |
| Compromised | ≤127–142 HU | Below level-specific thresholds | Increased pseudarthrosis risk; low bone quality associated with subsidence [31,32] |
| Hardware Integrity | |||
| Peri-implant lucency | >2 mm | Progressive lucent zone on serial CT | Suggests implant loosening; ~67% early lucency resolves with successful fusion [3,5,18,21] |
| Hardware fracture | Visible discontinuity | Hardware failure on CT | Assess for pseudarthrosis; ~60% achieve fusion if the segment remains stable [15,21] |
| Component | Essential Elements |
|---|---|
| 1. Surgical Context | Time from surgery, treated levels, surgical approach, cage configuration (single vs. double, footprint dimensions), and graft material and placement location |
| 2. Trabecular Bridging Assessment | Bridging status by zone (complete/incomplete/absent), estimated percentage of bridging area, BSF grade, explicit acknowledgment of equivocal findings |
| 3. Secondary Signs | Cage subsidence (<2 mm/2–4 mm/>4 mm), cage migration, endplate-cage interface changes, peri-implant lucency (>2 mm suggests loosening), and hardware integrity |
| 4. Clinical Context | Comparison with prior imaging, correlation with expected healing timeline, and symptomatic status |
| 5. Follow-up Recommendation | Routine follow-up/Extended observation/Clinical correlation advised/Further evaluation recommended |
Disclaimer/Publisher’s Note: The statements, opinions and data contained in all publications are solely those of the individual author(s) and contributor(s) and not of MDPI and/or the editor(s). MDPI and/or the editor(s) disclaim responsibility for any injury to people or property resulting from any ideas, methods, instructions or products referred to in the content. |
© 2026 by the authors. Licensee MDPI, Basel, Switzerland. This article is an open access article distributed under the terms and conditions of the Creative Commons Attribution (CC BY) license.
Share and Cite
Peng, S.-H.; Pao, J.-L. CT Evaluation of Lumbar Interbody Fusion: A Comprehensive Review with an Integrated Framework for Principle-Based Interpretation. Diagnostics 2026, 16, 140. https://doi.org/10.3390/diagnostics16010140
Peng S-H, Pao J-L. CT Evaluation of Lumbar Interbody Fusion: A Comprehensive Review with an Integrated Framework for Principle-Based Interpretation. Diagnostics. 2026; 16(1):140. https://doi.org/10.3390/diagnostics16010140
Chicago/Turabian StylePeng, Szu-Hsiang, and Jwo-Luen Pao. 2026. "CT Evaluation of Lumbar Interbody Fusion: A Comprehensive Review with an Integrated Framework for Principle-Based Interpretation" Diagnostics 16, no. 1: 140. https://doi.org/10.3390/diagnostics16010140
APA StylePeng, S.-H., & Pao, J.-L. (2026). CT Evaluation of Lumbar Interbody Fusion: A Comprehensive Review with an Integrated Framework for Principle-Based Interpretation. Diagnostics, 16(1), 140. https://doi.org/10.3390/diagnostics16010140

