Primary Hepatic Squamous Cell Carcinoma
Abstract
1. Introduction
2. Case Report
2.1. Chief Complaints
2.2. History of Present and Past Illness
2.3. Personal and Family History
2.4. Physical Examination
2.5. Laboratory Examinations
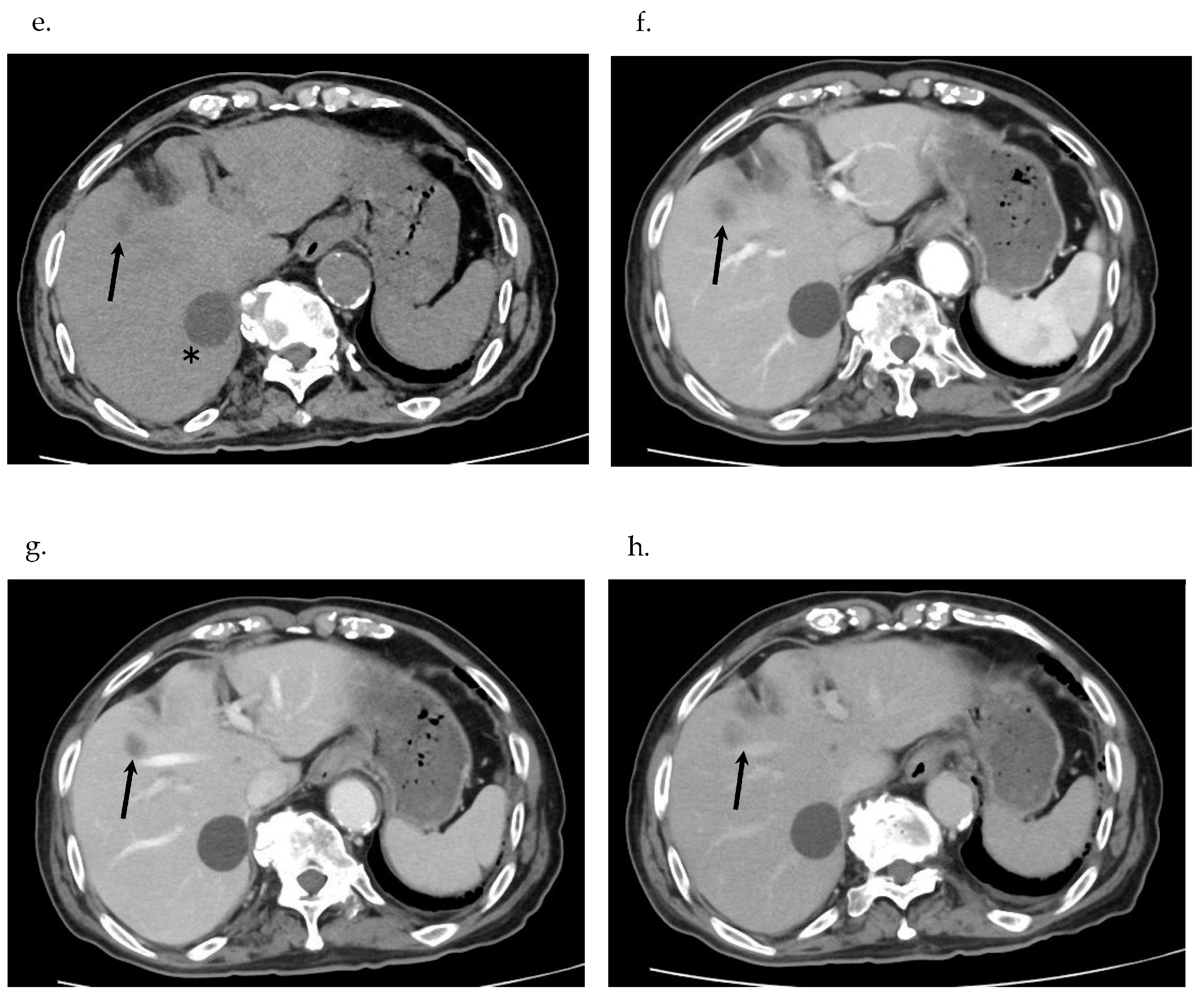
2.6. Imaging Examinations
2.7. Histopathological Examinations
3. Multidisciplinary Expert Consultation
4. Final Diagnosis
- –
- Radiological findings ruled out HCC. Therefore, ICC, mixed HCC and ICC tumors, and metastatic tumors need to be differentiated.
- –
- Based on pathological findings, the liver tumor was diagnosed as poorly differentiated SCC. Clinically, no primary focus suggesting a metastatic liver tumor in other organs was in evidence; based on GIF, CF, CT and DWIBS, the tumor was finally diagnosed as primary SCC of the liver. Also clinically, the nodule in S6 was a primary SCC lesion and multiple nodules located in S5 and S8 were interpreted as the result of intrahepatic spread from one of the primary SCCs of the liver.
5. Treatment
6. Outcome and Follow-Up
7. Discussion
7.1. Epidemiology
7.2. Symptoms and Examinations
7.3. Imaging
7.4. Histopathology
7.5. Etiology and Pathogenesis
- (1)
- Transformational carcinogenesis; when the tumor transforms from adenocarcinoma of CCC, despite the absence of morbidity of the bile duct, inflammation and cysts. A 45 mm hepatic cyst was observed in S7, and a nearly 10 mm SCC tumor in S8; however, a hepatic cyst in S7 is considered unrelated to SCC tumors. Also, no adenocarcinoma component was observed in the biopsied specimen.
- (2)
- De novo mode carcinogenesis; primary SCC of the liver can develop from hepatocytes or intrahepatic cholangiocytes de novo. The tumor might originate from hepatic progenitor cells or hepatic stem cells. Immunohistochemically, positive staining for NCAM and c-kit, characteristics of hepatic progenitor cells support the above hypothesis irrespective of the limitation on small biopsies in our case [27,28].
7.6. Treatment
7.7. Prognosis
8. Conclusions
Author Contributions
Funding
Institutional Review Board Statement
Informed Consent Statement
Data Availability Statement
Acknowledgments
Conflicts of Interest
References
- Zhang, X.F.; Du, Z.Q.; Liu, X.M.; Lv, Y. Primary squamous cell carcinoma of liver: Case series and review of literatures. Medicine 2015, 94, 868. [Google Scholar] [CrossRef] [PubMed]
- Xiao, J.; Ma, L.; Li, J.; Yin, B.; Liang, J.; Wang, J. Primary squamous cell carcinoma of the liver is rare but hostile: Case series and comprehensive review of the literature. Cancer Manag. Res. 2021, 13, 829. [Google Scholar] [CrossRef] [PubMed]
- Sun, Y.; Jin, G. Primary squamous cell carcinoma of the liver: A case report. J. Int. Med. Res. 2021, 49, 3000605211021275. [Google Scholar] [CrossRef] [PubMed]
- Rezvani, H.; Tehrani, H.A.; Salari, S.; Feiziazar, S.; Darnahal, M. Primary squamous cell carcinoma of the liver: A case report. Gastroenterol. Hepatol. Bed Bench 2022, 15, 430–434. [Google Scholar]
- Yoo, T.K.; Kim, B.I.; Han, E.N.; Kim, D.H.; Yoo, J.H.; Lee, S.J.; Cho, Y.K.; Kim, H.J. Primary squamous cell carcinoma of the liver: A case report. Clin. Mol. Hepatol. 2016, 22, 177–182. [Google Scholar] [CrossRef]
- Wang, Y.; Pan, Y.; Zhou, Z. An unusual cause of fever in a man with a liver mass. Gastroenterology 2020, 159, 842–844. [Google Scholar] [CrossRef]
- Lubana, S.S.; Singh, N.; Seligman, B.; Tuli, S.S.; Heimann, D.M. First reported case of primary intrahepatic cholangiocarcinoma with pure squamous cell histology: A case report. Am. J. Case Rep. 2015, 16, 438–444. [Google Scholar] [CrossRef]
- Yamada, K.; Shinoura, S.; Kikuchi, K. Hepatic squamous cell carcinoma diagnosed by endoscopic ultrasound-guided fine-needle aspiration. Case Rep. Gastrointest. Med. 2021, 2021, 9939898. [Google Scholar] [CrossRef]
- Atiq, M.; Ammar, A.S.; Ali, R.M.; Haider, S.; Ahmed, I.; Dar, F.S. Primary squamous cell carcinoma of liver. First case report from Pakistan and South Asia. Int. J. Surg. Case Rep. 2022, 99, 107655. [Google Scholar] [CrossRef]
- Okuda, Y.; Abe, T.; Ikeda, M.; Kurihara, K.; Shimizu, A.; Oshita, A.; Yonehara, S.; Hanada, K. Curative surgery for primary squamous cell carcinoma of the liver: A rare case study. Clin. J. Gastroenterol. 2023, 16, 263–269. [Google Scholar] [CrossRef]
- Kang, L.M.; Yu, D.P.; Zheng, Y.; Zhou, Y.H. Primary squamous cell carcinoma of the liver: A case report. World J. Clin. Cases 2022, 10, 6744–6749. [Google Scholar] [CrossRef] [PubMed]
- Tuminello, F.; Castiglione, D.; Broggi, G.; Vecchio, G.M.; Basile, A.; Puleo, S.; Pesce, A. Primary squamous cell carcinoma of the liver: An unexpected pathological finding. Egypt. Liver J. 2020, 10, 45–49. [Google Scholar] [CrossRef]
- Dimopoulos, P.; Mulita, A.; Antzoulas, A.; Bodard, S.; Leivaditis, V.; Akrida, I.; Benetatos, N.; Katsanos, K.; Anagnostopoulos, C.N.; Mulita, F. The role of artificial intelligence and image processing in the diagnosis, treatment, and prognosis of liver cancer: A narrative-review. Prz. Gastroenterol. 2024, 19, 221–230. [Google Scholar] [CrossRef] [PubMed]
- Zhao, L.; Zhou, Y.; Ding, J.; Qin, Z.; Zhou, H.; Jing, X. Primary hepatic squamous cell carcinoma: Case report and systematic review of the literature. Front. Oncol. 2023, 13, 1229936. [Google Scholar] [CrossRef]
- Lee, H.L.; Fu, C.K.; Chien, L.Y.; Chen, L.M. Primary Squamous Cell Carcinoma of the Liver with Good Response to Carboplatin and 5-Flurouracil: A Case Report. Medicina 2022, 58, 1864. [Google Scholar] [CrossRef]
- Benhamdane, A.; Adioui, T.; Berrag, S.; Nejjari, F.; Allaoui, M.; Tamzaourte, M. Primary Squamous Cell Carcinoma of the Liver. Eur. J. Case Rep. Intern. Med. 2024, 11, 004628. [Google Scholar] [CrossRef]
- Antzoulas, A.; Mulita, F.; Leivaditis, V.; Karayiannakis, A.J.; Gogos, G.P.; Antonopoulos, M.; Papadopoulos, G.S.; Goutou, P.; Koumoundourou, D.; Benetatos, N. Primary squamous cell carcinoma of the liver. Prz. Gastroenterol. 2025, 20, 218–222. [Google Scholar] [CrossRef]
- Hughes, D.L.; Tsakok, M.; Patel, N.; Rendek, A.; Bungay, H.; Silva, M.A. Ciliated hepatic foregut cysts: Not as rare as previously believed. Int. J. Surg. Pathol. 2023, 31, 260–267. [Google Scholar] [CrossRef]
- Tamaoka, K.; Tanemura, M.; Furukawa, K.; Mikamori, M.; Saito, T.; Ohtsuka, M.; Suzuki, Y.; Mitsuyoshi, T.; Kishi, K.; Yasuoka, H.; et al. Primary Intrahepatic Squamous Cell Carcinoma with Histological Collision of Adenocarcinoma and Squamous Cell Carcinoma: A Case Report. Am. J. Case Rep. 2018, 19, 1184–1191. [Google Scholar] [CrossRef]
- Komuta, M.; Ueno, A.; Sakamoto, M. The spectrum of primary liver cancers: Heterogeneity and continuity. A foundation for diagnosis and treatment of cancer. Hepatology 2023, 77, 10–12. [Google Scholar] [CrossRef]
- Nakanuma, Y.; Klimstra, D.; Komuta, M.; Zen, Y. Intrahepatic cholangiocarcinoma. In Digestive System Tumours: WHO Classification of Tumours, 5th ed.; WHO Classification of Tumours Editorial Board, Ed.; IARC: Lyon, France, 2019; pp. 254–259. [Google Scholar]
- Jeon, Y.; Kwon, S.M.; Rhee, H.; Yoo, J.E.; Chung, T.; Woo, H.G.; Park, Y.N. Molecular and radiopathologic spectrum between HCC and intrahepatic cholangiocarcinoma. Hepatology 2023, 77, 92–108. [Google Scholar] [CrossRef] [PubMed]
- Choi, H.J.; Park, J.H.; Park, M.; Won, H.Y.; Joo, H.S.; Lee, C.H.; Lee, J.Y.; Kong, G. UTX inhibits EMT-induced breast CSC properties by epigenetic repression of EMT genes in cooperation with LSD1 and HDAC1. EMBO Rep. 2015, 16, 1288–1298. [Google Scholar] [CrossRef] [PubMed]
- Liu, S.; Ye, D.; Guo, W.; Yu, W.; He, Y.; Hu, J.; Wang, Y.; Zhang, L.; Liao, Y.; Song, H.; et al. G9a is essential for EMT-mediated metastasis and maintenance of cancer stem cell-like characters in head and neck squamous cell carcinoma. Oncotarget 2015, 6, 6887–6901. [Google Scholar] [CrossRef] [PubMed]
- Kuhlmann, J.D.; Hein, L.; Kurth, I.; Wimberger, P.; Dubrovska, A. Targeting Cancer Stem Cells: Promises and Challenges. Anticancer Agents Med. Chem. 2016, 16, 38–58. [Google Scholar] [CrossRef]
- Park, N.R.; Cha, J.H.; Jang, J.W.; Bae, S.H.; Jang, B.; Kim, J.H.; Hur, W.; Choi, J.Y.; Yoon, S.K. Synergistic effects of CD44 and TGF-β1 through AKT/GSK-3β/β-catenin signaling during epithelialmesenchymal transition in liver cancer cells. Biochem. Biophys. Res. Commun. 2016, 477, 568–574. [Google Scholar] [CrossRef]
- Theise, N.D.; Saxena, R.; Portmann, B.C.; Thung, S.N.; Yee, H.; Chiriboga, L.; Kumar, A.; Crawford, J.M. The canals of Hering and hepatic stem cells in humans. Hepatology 1999, 30, 1425–1433. [Google Scholar] [CrossRef]
- Cardinale, V.; Wang, Y.; Carpino, G.; Cui, C.B.; Gatto, M.; Rossi, M.; Berloco, P.B.; Cantafora, A.; Wauthier, E.; Furth, M.E.; et al. Multipotent stem/progenitor cells in human biliary tree give rise to hepatocytes, cholangiocytes, and pancreatic islets. Hepatology 2011, 54, 2159–2172. [Google Scholar] [CrossRef]
- Fakhreddine, O.; Fadlallah, Y.; Turfa, J.; Hassan, M.A.; Chamseddine, N.; Assi, H.I. Primary squamous cell carcinoma of the liver: Case report and review of literature. Case Rep. Oncol. 2022, 15, 480–485. [Google Scholar] [CrossRef]
- Boscolo, G.; Jirillo, A.; Da Pian, P. Complete Remission of Poorly Differentiated Squamous Liver Carcinoma after Systemic Chemotherapy and Surgery a Case Report. Tumori J. 2019, 91, 71–72. [Google Scholar] [CrossRef]
- Wang, K.; Lu, C.D.; Sun, J.N.; Wang, C.N.; Gao, G.; Hu, Y.K.; Zhang, H.Z.; Zhang, D.; Wu, S.D. Primary hepatic squamous cell carcinoma with high microsatellite instability shows good response to programmed cell death 1 inhibitor as adjuvant therapy. Hepatology 2021, 74, 1695–1697. [Google Scholar] [CrossRef]
- Zhang, B.; Song, Y.; Fu, Y.; Zhu, B.; Wang, B.; Wang, J. Current status of the clinical use of PD-1/PD-L1 inhibitors: A questionnaire survey of oncologists in China. BMC Cancer 2020, 20, 86. [Google Scholar] [CrossRef]





| <Biochemistry> | <Complete Blood Count> | <Hepatitis Virus Markers> | |||
| TP | 6.4 g/dL | WBC | 77 × 102/µL | HCV Ab | (−) |
| Alb | 2.9 g/dL | RBC | 427 × 104/µL | HBs Ag | (−) |
| AST | 40 U/L | Hb | 12.4 g/dL | ||
| ALT | 26 U/L | Plt | 19.3 × 104/µL | <Tumor markers> | |
| ALP | 70 U/L | AFP | 6.1 ng/mL | ||
| ɤ-GTP | 88 U/L | <Blood sugar> | PIVKA-II | 36 mAU/mL | |
| T-Bil | 0.4 mg/dL | Glu | 130 mg/dL | CA19-9 | 12.7 U/mL |
| LDH | 298 U/L | HbAlc | 6.0% | CEA | 2.1 ng/mL |
| AMY | 76 U/L | SCC | 1.0 ng/mL | ||
| BUN | 6.0 mg/dL | CYFRA | 2.5 ng/mL | ||
| Cre | 0.68 mg/dL | PSA | 4.558 ng/mL | ||
Disclaimer/Publisher’s Note: The statements, opinions and data contained in all publications are solely those of the individual author(s) and contributor(s) and not of MDPI and/or the editor(s). MDPI and/or the editor(s) disclaim responsibility for any injury to people or property resulting from any ideas, methods, instructions or products referred to in the content. |
© 2026 by the authors. Licensee MDPI, Basel, Switzerland. This article is an open access article distributed under the terms and conditions of the Creative Commons Attribution (CC BY) license.
Share and Cite
Kim, S.R.; Kim, S.K.; Kobayashi, H.; Okuda, T.; Fujii, Y.; Sakamoto, M.; Koma, Y.-i.; Nakashima, O.; Sasaki, M.; Asai, A.; et al. Primary Hepatic Squamous Cell Carcinoma. Diagnostics 2026, 16, 120. https://doi.org/10.3390/diagnostics16010120
Kim SR, Kim SK, Kobayashi H, Okuda T, Fujii Y, Sakamoto M, Koma Y-i, Nakashima O, Sasaki M, Asai A, et al. Primary Hepatic Squamous Cell Carcinoma. Diagnostics. 2026; 16(1):120. https://doi.org/10.3390/diagnostics16010120
Chicago/Turabian StyleKim, Soo Ryang, Soo Ki Kim, Hisato Kobayashi, Toyokazu Okuda, Yumi Fujii, Makiho Sakamoto, Yu-ichiro Koma, Osamu Nakashima, Motoko Sasaki, Akira Asai, and et al. 2026. "Primary Hepatic Squamous Cell Carcinoma" Diagnostics 16, no. 1: 120. https://doi.org/10.3390/diagnostics16010120
APA StyleKim, S. R., Kim, S. K., Kobayashi, H., Okuda, T., Fujii, Y., Sakamoto, M., Koma, Y.-i., Nakashima, O., Sasaki, M., Asai, A., & Nishikawa, H. (2026). Primary Hepatic Squamous Cell Carcinoma. Diagnostics, 16(1), 120. https://doi.org/10.3390/diagnostics16010120

