A Rare Case of Severe Aortic Regurgitation Secondary to Tenting of Chordae Tendineae Strands: A Multimodality Imaging Approach for a Challenging Diagnosis
Abstract



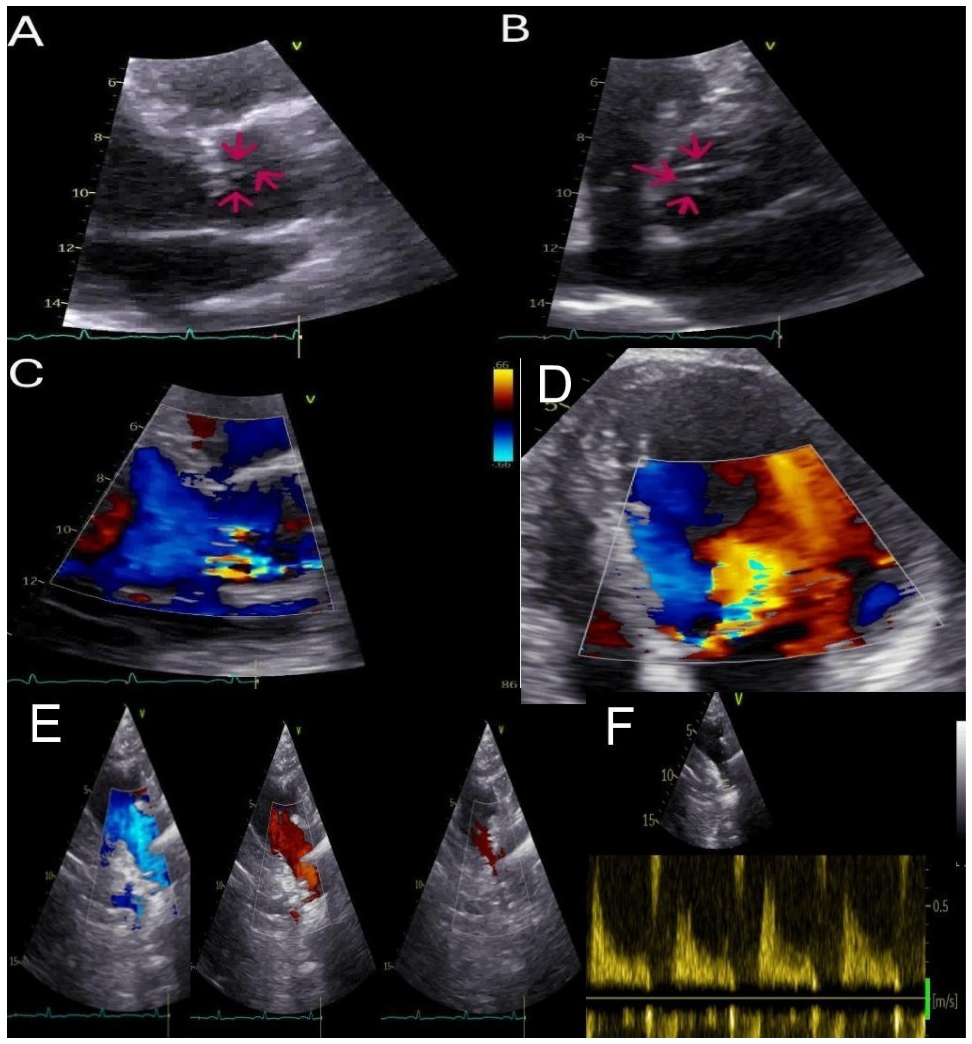
Supplementary Materials
Author Contributions
Funding
Institutional Review Board Statement
Informed Consent Statement
Conflicts of Interest
References
- Lancellotti, P.; Pibarot, P.; Chambers, J.; La Canna, G.; Pepi, M.; Dulgheru, R.; Dweck, M.; Delgado, V.; Garbi, M.; Vannan, M.A.; et al. Scientific Document Committee of the European Association of Cardiovascular Imaging. Multimodality imaging assessment of native valvular regurgitation: An EACVI and ESC council of valvular heart disease position paper. Eur. Heart J. Cardiovasc. Imaging 2022, 23, e171–e232. [Google Scholar] [CrossRef] [PubMed]
- Nakajima, M.; Tsuchiya, K.; Naito, Y.; Hibino, N.; Inoue, H. Aortic regurgitation caused by rupture of a well-balanced fibrous strand suspending a degenerative tricuspid aortic valve. J. Thorac. Cardiovasc. Surg. 2002, 124, 843–844. [Google Scholar] [CrossRef] [PubMed]
- Khansari, N.; Salehi, A.M. The extremely rare case of aortic chordae tendineae strands: A case report with literature review. Clin. Case Rep. 2023, 11, e8033. [Google Scholar] [CrossRef] [PubMed]
- Myerson, S.G. CMR in Evaluating Valvular Heart Disease: Diagnosis, Severity, and Outcomes. JACC Cardiovasc. Imaging 2021, 14, 2020–2032. [Google Scholar] [CrossRef] [PubMed]
- Malahfji, M.; Senapati, A.; Tayal, B.; Nguyen, D.T.; Graviss, E.A.; Nagueh, S.F.; Reardon, M.J.; Quinones, M.; Zoghbi, W.A.; Shah, D.J. Myocardial Scar and Mortality in Chronic Aortic Regurgitation. J. Am. Heart Assoc. 2020, 9, e018731. [Google Scholar] [CrossRef] [PubMed]
Disclaimer/Publisher’s Note: The statements, opinions and data contained in all publications are solely those of the individual author(s) and contributor(s) and not of MDPI and/or the editor(s). MDPI and/or the editor(s) disclaim responsibility for any injury to people or property resulting from any ideas, methods, instructions or products referred to in the content. |
© 2025 by the authors. Licensee MDPI, Basel, Switzerland. This article is an open access article distributed under the terms and conditions of the Creative Commons Attribution (CC BY) license (https://creativecommons.org/licenses/by/4.0/).
Share and Cite
Catapano, D.; Dellegrottaglie, S.; Scatteia, A.; Gallinoro, C.M.; Pascale, C.E.; Falco, L.; Di Lorenzo, E.; Masarone, D. A Rare Case of Severe Aortic Regurgitation Secondary to Tenting of Chordae Tendineae Strands: A Multimodality Imaging Approach for a Challenging Diagnosis. Diagnostics 2025, 15, 1071. https://doi.org/10.3390/diagnostics15091071
Catapano D, Dellegrottaglie S, Scatteia A, Gallinoro CM, Pascale CE, Falco L, Di Lorenzo E, Masarone D. A Rare Case of Severe Aortic Regurgitation Secondary to Tenting of Chordae Tendineae Strands: A Multimodality Imaging Approach for a Challenging Diagnosis. Diagnostics. 2025; 15(9):1071. https://doi.org/10.3390/diagnostics15091071
Chicago/Turabian StyleCatapano, Dario, Santo Dellegrottaglie, Alessandra Scatteia, Carlo Maria Gallinoro, Carmine Emanuele Pascale, Luigi Falco, Emilio Di Lorenzo, and Daniele Masarone. 2025. "A Rare Case of Severe Aortic Regurgitation Secondary to Tenting of Chordae Tendineae Strands: A Multimodality Imaging Approach for a Challenging Diagnosis" Diagnostics 15, no. 9: 1071. https://doi.org/10.3390/diagnostics15091071
APA StyleCatapano, D., Dellegrottaglie, S., Scatteia, A., Gallinoro, C. M., Pascale, C. E., Falco, L., Di Lorenzo, E., & Masarone, D. (2025). A Rare Case of Severe Aortic Regurgitation Secondary to Tenting of Chordae Tendineae Strands: A Multimodality Imaging Approach for a Challenging Diagnosis. Diagnostics, 15(9), 1071. https://doi.org/10.3390/diagnostics15091071

