Preoperative Adult-Type Diffuse Glioma Subtype Prediction with Dynamic Contrast-Enhanced MR Imaging and Diffusion Weighted Imaging in Tumor Cores and Peritumoral Tissue—A Standardized Multicenter Study
Abstract
1. Introduction
2. Materials and Methods
2.1. Study Design
2.2. Patients
2.3. MR Imaging
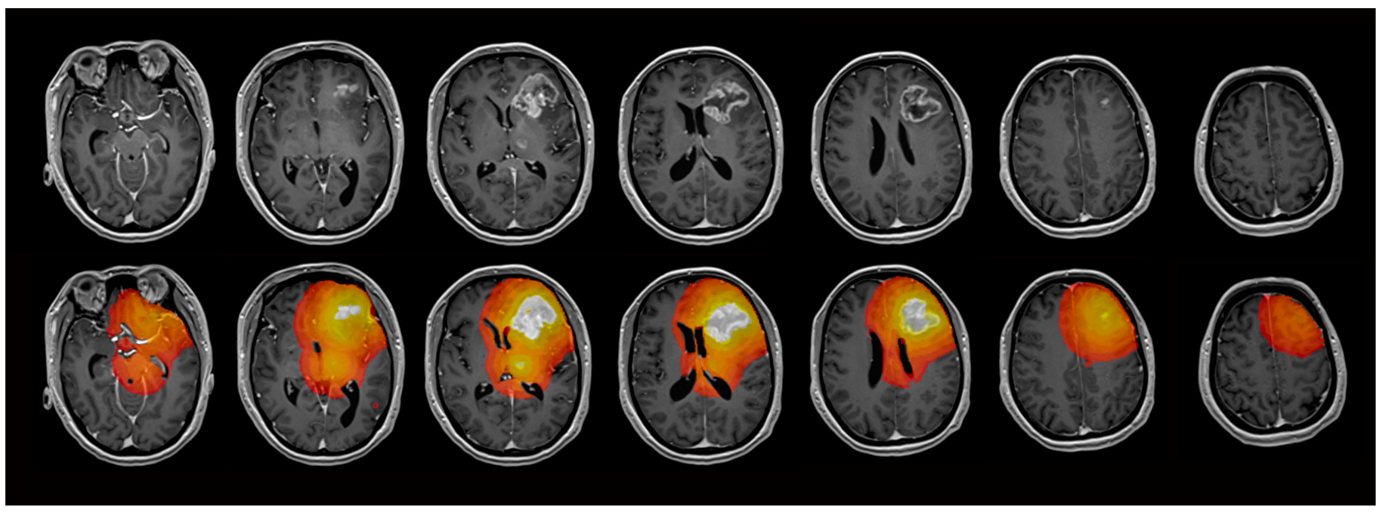
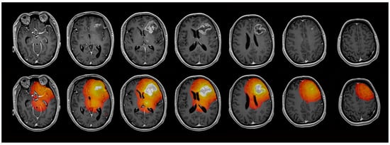
2.4. Image Analysis
2.5. Postoperative Tumor Subtyping
- (i).
- Glioblastomas, IDH wildtype;
- (ii).
- Astrocytomas, IDH mutant;
- (iii).
- Oligodendrogliomas, IDH mutant and 1p/19q-codeleted.
2.6. Statistical Analysis
3. Results
3.1. Patients
3.2. Comparison of DKI and DCE-MRI Parameters in Each ROI
3.3. Diagnostic Performance in Differentiating IDH Wildttype from IDH Mutant Gliomas
3.4. Diagnostic Performance in Differentiating Astocytomas, IDH Mutant from Oligodendrogliomas, IDH Mutant
4. Discussion
5. Conclusions
Author Contributions
Funding
Institutional Review Board Statement
Informed Consent Statement
Data Availability Statement
Conflicts of Interest
References
- Horbinski, C.; Berger, T.; Packer, R.J.; Wen, P.Y. Clinical implications of the 2021 edition of the WHO classification of central nervous system tumours. Nat. Rev. Neurol. 2022, 18, 515–529. [Google Scholar] [CrossRef] [PubMed]
- Louis, D.N.; Perry, A.; Wesseling, P.; Brat, D.J.; Cree, I.A.; Figarella-Branger, D.; Hawkins, C.; Ng, H.K.; Pfister, S.M.; Reifenberger, G.; et al. The 2021 WHO Classification of Tumors of the Central Nervous System: A summary. Neuro-Oncology 2021, 23, 1231–1251. [Google Scholar] [CrossRef]
- Alkanhal, H.; Das, K.; Poptani, H. Diffusion- and Perfusion-Weighted Magnetic Resonance Imaging Methods in Nonenhancing Gliomas. World Neurosurg. 2020, 141, 123–130. [Google Scholar] [CrossRef]
- Hempel, J.M.; Schittenhelm, J.; Brendle, C.; Bender, B.; Bier, G.; Skardelly, M.; Tabatabai, G.; Castaneda Vega, S.; Ernemann, U.; Klose, U. Histogram analysis of diffusion kurtosis imaging estimates for in vivo assessment of 2016 WHO glioma grades: A cross-sectional observational study. Eur. J. Radiol. 2017, 95, 202–211. [Google Scholar] [CrossRef] [PubMed]
- Schaff, L.R.; Mellinghoff, I.K. Glioblastoma and Other Primary Brain Malignancies in Adults: A Review. JAMA 2023, 329, 574–587. [Google Scholar] [CrossRef] [PubMed]
- Sledzinska-Bebyn, P.; Furtak, J.; Bebyn, M.; Serafin, Z. Beyond conventional imaging: Advancements in MRI for glioma malignancy prediction and molecular profiling. Magn. Reson. Imaging 2024, 112, 63–81. [Google Scholar] [CrossRef] [PubMed]
- Bonada, M.; Rossi, L.F.; Carone, G.; Panico, F.; Cofano, F.; Fiaschi, P.; Garbossa, D.; Di Meco, F.; Bianconi, A. Deep Learning for MRI Segmentation and Molecular Subtyping in Glioblastoma: Critical Aspects from an Emerging Field. Biomedicines 2024, 12, 1878. [Google Scholar] [CrossRef]
- Okuchi, S.; Rojas-Garcia, A.; Ulyte, A.; Lopez, I.; Usinskiene, J.; Lewis, M.; Hassanein, S.M.; Sanverdi, E.; Golay, X.; Thust, S.; et al. Diagnostic accuracy of dynamic contrast-enhanced perfusion MRI in stratifying gliomas: A systematic review and meta-analysis. Cancer Med. 2019, 8, 5564–5573. [Google Scholar] [CrossRef] [PubMed]
- Patel, P.; Baradaran, H.; Delgado, D.; Askin, G.; Christos, P.; John Tsiouris, A.; Gupta, A. MR perfusion-weighted imaging in the evaluation of high-grade gliomas after treatment: A systematic review and meta-analysis. Neuro-Oncology 2017, 19, 118–127. [Google Scholar] [CrossRef] [PubMed]
- Li, A.Y.; Iv, M. Conventional and Advanced Imaging Techniques in Post-treatment Glioma Imaging. Front. Radiol. 2022, 2, 883293. [Google Scholar] [CrossRef]
- Pope, W.B.; Brandal, G. Conventional and advanced magnetic resonance imaging in patients with high-grade glioma. Q. J. Nucl. Med. Mol. Imaging 2018, 62, 239–253. [Google Scholar] [CrossRef]
- Essig, M.; Shiroishi, M.S.; Nguyen, T.B.; Saake, M.; Provenzale, J.M.; Enterline, D.; Anzalone, N.; Dorfler, A.; Rovira, A.; Wintermark, M.; et al. Perfusion MRI: The five most frequently asked technical questions. Am. J. Roentgenol. 2013, 200, 24–34. [Google Scholar] [CrossRef] [PubMed]
- Hirschler, L.; Sollmann, N.; Schmitz-Abecassis, B.; Pinto, J.; Arzanforoosh, F.; Barkhof, F.; Booth, T.; Calvo-Imirizaldu, M.; Cassia, G.; Chmelik, M.; et al. Advanced MR Techniques for Preoperative Glioma Characterization: Part 1. J. Magn. Reson. Imaging 2023, 57, 1655–1675. [Google Scholar] [CrossRef]
- Abdalla, G.; Dixon, L.; Sanverdi, E.; Machado, P.M.; Kwong, J.S.W.; Panovska-Griffiths, J.; Rojas-Garcia, A.; Yoneoka, D.; Veraart, J.; Van Cauter, S.; et al. The diagnostic role of diffusional kurtosis imaging in glioma grading and differentiation of gliomas from other intra-axial brain tumours: A systematic review with critical appraisal and meta-analysis. Neuroradiology 2020, 62, 791–802. [Google Scholar] [CrossRef]
- Li, S.H.; Jiang, R.F.; Zhang, J.; Su, C.L.; Chen, X.W.; Zhang, J.X.; Jiang, J.J.; Zhu, W.Z. Application of Neurite Orientation Dispersion and Density Imaging in Assessing Glioma Grades and Cellular Proliferation. World Neurosurg. 2019, 131, e247–e254. [Google Scholar] [CrossRef] [PubMed]
- Lu, H.; Jensen, J.H.; Ramani, A.; Helpern, J.A. Three-dimensional characterization of non-gaussian water diffusion in humans using diffusion kurtosis imaging. NMR Biomed. 2006, 19, 236–247. [Google Scholar] [CrossRef]
- Hempel, J.M.; Bisdas, S.; Schittenhelm, J.; Brendle, C.; Bender, B.; Wassmann, H.; Skardelly, M.; Tabatabai, G.; Vega, S.C.; Ernemann, U.; et al. In vivo molecular profiling of human glioma using diffusion kurtosis imaging. J. Neuro-Oncol. 2017, 131, 93–101. [Google Scholar] [CrossRef] [PubMed]
- Cauter, S.V.; Veraart, J.; Sijbers, J.; Peeters, R.R.; Himmelreich, U.; Keyzer, F.D.; Gool, S.W.V.; Calenbergh, F.V.; Vleeschouwer, S.D.; Hecke, W.V.; et al. Gliomas: Diffusion Kurtosis MR Imaging in Grading. Radiology 2012, 263, 492–501. [Google Scholar] [CrossRef] [PubMed]
- Tan, Y.; Zhang, H.; Zhao, R.F.; Wang, X.C.; Qin, J.B.; Wu, X.F. Comparison of the values of MRI diffusion kurtosis imaging and diffusion tensor imaging in cerebral astrocytoma grading and their association with aquaporin-4. Neurol. India 2016, 64, 265–272. [Google Scholar] [CrossRef]
- Zerweck, L.; Hauser, T.K.; Klose, U.; Han, T.; Nagele, T.; Shen, M.; Gohla, G.; Estler, A.; Xie, C.; Hu, H.; et al. Glioma Type Prediction with Dynamic Contrast-Enhanced MR Imaging and Diffusion Kurtosis Imaging-A Standardized Multicenter Study. Cancers 2024, 16, 2664. [Google Scholar] [CrossRef]
- Wang, X.; Shu, X.; He, P.; Cai, Y.; Geng, Y.; Hu, X.; Sun, Y.; Xiao, H.; Zheng, W.; Song, Y.; et al. Ultra-high b-value DWI accurately identifies isocitrate dehydrogenase genotypes and tumor subtypes of adult-type diffuse gliomas. Eur. Radiol. 2024, 34, 6751–6762. [Google Scholar] [CrossRef] [PubMed]
- Weller, M.; Knobbe-Thomsen, C.B.; Le Rhun, E.; Reifenberger, G. Die WHO-Klassifikation der Tumoren des zentralen Nervensystems 2021. Die Onkol. 2022, 28, 155–163. [Google Scholar] [CrossRef]
- Diaz-Pinto, A.; Alle, S.; Nath, V.; Tang, Y.; Ihsani, A.; Asad, M.; Perez-Garcia, F.; Mehta, P.; Li, W.; Flores, M.; et al. MONAI Label: A framework for AI-assisted interactive labeling of 3D medical images. Med. Image Anal. 2024, 95, 103207. [Google Scholar] [CrossRef] [PubMed]
- Myronenko, A. 3D MRI Brain Tumor Segmentation Using Autoencoder Regularization. In Brainlesion: Glioma, Multiple Sclerosis, Stroke and Traumatic Brain Injuries; Springer Nature: Berlin, Germany, 2019; pp. 311–320. [Google Scholar] [CrossRef]
- Zhao, K.; Huang, H.; Gao, E.; Qi, J.; Chen, T.; Zhao, G.; Zhao, G.; Zhang, Y.; Wang, P.; Bai, J.; et al. Distributed parameter model of dynamic contrast-enhanced MRI in the identification of IDH mutation, 1p19q codeletion, and tumor cell proliferation in glioma patients. Front. Oncol. 2024, 14, 1333798. [Google Scholar] [CrossRef]
- Keil, V.C.; Gielen, G.H.; Pintea, B.; Baumgarten, P.; Datsi, A.; Hittatiya, K.; Simon, M.; Hattingen, E. DCE-MRI in Glioma, Infiltration Zone and Healthy Brain to Assess Angiogenesis: A Biopsy Study. Clin. Neuroradiol. 2021, 31, 1049–1058. [Google Scholar] [CrossRef]
- Gupta, M.; Gupta, A.; Yadav, V.; Parvaze, S.P.; Singh, A.; Saini, J.; Patir, R.; Vaishya, S.; Ahlawat, S.; Gupta, R.K. Comparative evaluation of intracranial oligodendroglioma and astrocytoma of similar grades using conventional and T1-weighted DCE-MRI. Neuroradiology 2021, 63, 1227–1239. [Google Scholar] [CrossRef] [PubMed]
- Leu, K.; Ott, G.A.; Lai, A.; Nghiemphu, P.L.; Pope, W.B.; Yong, W.H.; Liau, L.M.; Cloughesy, T.F.; Ellingson, B.M. Perfusion and diffusion MRI signatures in histologic and genetic subtypes of WHO grade II-III diffuse gliomas. J. Neuro-Oncol. 2017, 134, 177–188. [Google Scholar] [CrossRef]
- Arevalo-Perez, J.; Peck, K.K.; Young, R.J.; Holodny, A.I.; Karimi, S.; Lyo, J.K. Dynamic Contrast-Enhanced Perfusion MRI and Diffusion-Weighted Imaging in Grading of Gliomas. J. Neuroimaging 2015, 25, 792–798. [Google Scholar] [CrossRef]
- Richter, V.; Nagele, T.; Erb, G.; Klose, U.; Ernemann, U.; Hauser, T.K. Improved diagnostic confidence and tumor type prediction in adult-type diffuse glioma by multimodal imaging including DCE perfusion and diffusion kurtosis mapping—A standardized multicenter study. Eur. J. Radiol. 2024, 171, 111293. [Google Scholar] [CrossRef]
- Pan, T.; Su, C.Q.; Tang, W.T.; Lin, J.; Lu, S.S.; Hong, X.N. Combined texture analysis of dynamic contrast-enhanced MRI with histogram analysis of diffusion kurtosis imaging for predicting IDH mutational status in gliomas. Acta Radiol. 2023, 64, 2552–2560. [Google Scholar] [CrossRef] [PubMed]
- Yang, X.; Lin, Y.; Xing, Z.; She, D.; Su, Y.; Cao, D. Predicting 1p/19q codeletion status using diffusion-, susceptibility-, perfusion-weighted, and conventional MRI in IDH-mutant lower-grade gliomas. Acta Radiol. 2021, 62, 1657–1665. [Google Scholar] [CrossRef]
- Wang, X.; Xie, Z.; Wang, X.; Song, Y.; Suo, S.; Ren, Y.; Hu, W.; Zhu, Y.; Cao, M.; Zhou, Y. Preoperative prediction of IDH genotypes and prognosis in adult-type diffuse gliomas: Intratumor heterogeneity habitat analysis using dynamic contrast-enhanced MRI and diffusion-weighted imaging. Cancer Imaging 2025, 25, 11. [Google Scholar] [CrossRef]







| Patients enrolled in the study | 108 |
| Patients excluded due to histopathological/molecular results | 24 |
| Patients excluded due to insufficient MRI quality | 25 |
| Patients included in the analysis | 59 |
| Mean age of the included patients ± standard deviation | 45.3 ± 15.7 |
| Female/Male ratio | 1:1.6 |
| Glioblastoma, IDH wildtype (WHO grade 4) | 31 (47.4%) |
| Astrocytoma, IDH mutant (WHO grade 2) | 12 (18.5%) |
| Astrocytoma, IDH mutant (WHO grade 3) | 1 (1.5%) |
| Astrocytoma, IDH mutant (WHO grade 4) | 4 (6.2%) |
| Oligodendroglioma, IDH mutant (WHO grade 2) | 3 (4.6%) |
| Oligodendroglioma, IDH mutant (WHO grade 3) | 8 (12.3%) |
| ROI1 | ROI2 | ROI3 | ROI4 | ROI5 | ROI with Maximum AUC | ||
|---|---|---|---|---|---|---|---|
| ADC | AUC (95% CI) | 0.641 (0.452–0.830) | 0.855 * (0.738–0.972) | 0.902 * (0.812–0.992) | 0.894 * (0.797–0.991) | 0.910 * (0.824–0.995) | 0.910 * (0.824–0.995) |
| Sensitivity | 0.933 | 0.867 | 0.767 | 0.833 | 0.833 | 0.833 | |
| Specificity | 0.529 | 0.824 | 0.941 | 0.882 | 0.882 | 0.882 | |
| MK | AUC (95% CI) | 0.698 * (0.522–0.874) | 0.816 * (0.672–0.959) | 0.882 * (0.680–0.963) | 0.798 * (0.638–0.958) | 0.778 * (0.609–0.948) | 0.882 * (0.680–0.963) |
| Sensitivity | 0.867 | 0.933 | 0.993 | 0.800 | 0.867 | 0.993 | |
| Specificity | 0.588 | 0.706 | 0.665 | 0.882 | 0.665 | 0.665 | |
| Ktrans | AUC (95% CI) | 0.945 * (0.885–1.000) | 0.788 * (0.648–0.928) | 0.584 (0.414–0.754) | 0.586 (0.423–0.750) | 0.588 (0.417–0.760) | 0.945 * (0.885–1.000) |
| Sensitivity | 0.833 | 0.600 | 0.733 | 0.467 | 0.467 | 0.833 | |
| Specificity | 0.941 | 0.941 | 0.529 | 0.824 | 0.765 | 0.941 | |
| Kep | AUC (95% CI) | 0.769 * (0.628–0.909) | 0.759 * (0.612–0.905) | 0.629 (0.463–0.796) | 0.575 (0.409–0.740) | 0.506 (0.321–0.690) | 0.769 * (0.628–0.909) |
| Sensitivity | 0.700 | 0.700 | 0.500 | 0.567 | 0.800 | 0.700 | |
| Specificity | 0.765 | 0.824 | 0.765 | 0.706 | 0.353 | 0.765 | |
| vp | AUC (95% CI) | 0.516 (0.350–0.681) | 0.590 (0.422–0.758) | 0.575 (0.398–0.751) | 0.614 (0.443–0.784) | 0.541 (0.371–0.711) | 0.614 (0.443–0.784) |
| Sensitivity | 0.367 | 0.267 | 1.000 | 0.800 | 0.500 | 0.800 | |
| Specificity | 0.941 | 0.882 | 0.235 | 0.471 | 0.806 | 0.471 | |
| ve | AUC (95% CI) | 0.963 * (0.917–1.000) | 0.841 * (0.721–0.961) | 0.490 (0.321–0.659) | 0.637 (0.476–0.798) | 0.633 (0.463–0.804) | 0.963 * (0.917–1.000) |
| Sensitivity | 0.867 | 0.900 | 0.667 | 0.700 | 0.533 | 0.867 | |
| Specificity | 0.941 | 0.706 | 0.176 | 0.706 | 0.765 | 0.941 | |
| CBV | AUC (95% CI) | 0.924 * (0.848–1.000) | 0.755 * (0.610–0.900) | 0.580 (0.411–0.750) | 0.520 (0.353–0.686) | 0.520 (0.347–0.692) | 0.924 * (0.848–1.000) |
| Sensitivity | 0.867 | 0.733 | 0.600 | 0.200 | 0.600 | 0.867 | |
| Specificity | 0.941 | 0.765 | 0.529 | 1.000 | 0.588 | 0.941 | |
| TTP | AUC (95% CI) | 0.859 * (0.742–0.976) | 0.792 * (0.654–0.930) | 0.651 (0.492–0.810) | 0.527 (0.353–0.701) | 0.545 (0.371–0.719) | 0.859 * (0.742–0.976) |
| Sensitivity | 0.833 | 0.733 | 0.567 | 0.433 | 0.600 | 0.833 | |
| Specificity | 0.824 | 0.882 | 0.706 | 0.647 | 0.471 | 0.824 | |
| Peak | AUC (95% CI) | 0.939 * (0.868–1.000) | 0.749 * (0.611–0.887) | 0.508 (0.340–0.676) | 0.608 (0.444–0.772) | 0.653 (0.487–0.819) | 0.939 * (0.868–1.000) |
| Sensitivity | 0.900 | 0.700 | 0.500 | 0.533 | 0.567 | 0.900 | |
| Specificity | 0.941 | 0.824 | 0.294 | 0.824 | 0.765 | 0.941 | |
| AUC | AUC (95% CI) | 0.947 * (0.884–1.000) | 0.776 * (0.645–0.908) | 0.435 (0.268–0.603) | 0.635 (0.476–0.795) | 0.663 (0.484–0.832) | 0.947 * (0.884–1.000) |
| Sensitivity | 0.833 | 0.633 | 0.467 | 0.433 | 0.700 | 0.833 | |
| Specificity | 1.000 | 0.882 | 0.235 | 0.882 | 0.665 | 1.000 | |
| Wash in | AUC (95% CI) | 0.669 * (0.510–0.828) | 0.614 (0.451–0.777) | 0.627 (0.469–0.786) | 0.596 (0.434–0.758) | 0.567 (0.396–0.737) | 0.669 * (0.510–0.828) |
| Sensitivity | 0.500 | 0.700 | 0.467 | 0.400 | 0.300 | 0.500 | |
| Specificity | 0.824 | 0.588 | 0.882 | 0.882 | 0.882 | 0. 824 | |
| Wash out | AUC (95% CI) | 0.894 * (0.798–0.991) | 0.814 * (0.687–0.941) | 0.625 (0.464–0.787) | 0.533 (0.362–0.705) | 0.429 (0.258–0.6011) | 0.894 * (0.798–0.991) |
| Sensitivity | 0.833 | 0.833 | 0.467 | 0.233 | 0.333 | 0.833 | |
| Specificity | 0.941 | 0.824 | 0.765 | 0.941 | 0.471 | 0. 941 | |
| Combined ve and ADC | AUC (95% CI) | 0.976 * (0.943–1.000) | |||||
| Sensitivity | 0.933 | ||||||
| Specificity | 0.882 |
| ROI1 | ROI2 | ROI3 | ROI4 | ROI5 | ROI with Maximum AUC | ||
|---|---|---|---|---|---|---|---|
| ADC | AUC (95% CI) | 0.615 (0.398–0.832) | 0.802 * (0.621–0.984) | 0.818 * (0.649–0.988) | 0.738 * (0.544–0.932) | 0.781 * (0.600–0.961) | 0.818 * (0.649–0.988) |
| Sensitivity | 0.824 | 0.882 | 0.824 | 0.824 | 0.882 | 0.824 | |
| Specificity | 0.455 | 0.455 | 0.727 | 0.636 | 0.636 | 0.727 | |
| MK | AUC (95% CI) | 0.604 (0.381–0.827) | 0.802 * (0.619–0.986) | 0.749 * (0.547–0.950) | 0.674 (0.454–0.893) | 0.658 (0.442–0.874) | 0.802 * (0.619–0.986) |
| Sensitivity | 0.824 | 0.824 | 0.765 | 0.765 | 0.588 | 0.824 | |
| Specificity | 0.455 | 0.818 | 0.636 | 0.627 | 0.818 | 0.818 | |
| Ktrans | AUC (95% CI) | 0.556 (0.334–0.778) | 0.519 (0.290–0.747) | 0.572 (0.330–0.814) | 0.781 * (0.576–0.968) | 0.663 (0.444–0.883) | 0.781 * (0.576–0.968) |
| Sensitivity | 0.353 | 0.588 | 0.765 | 0.941 | 0.765 | 0.941 | |
| Specificity | 0.818 | 0.545 | 0.634 | 0.636 | 0.636 | 0.636 | |
| Kep | AUC (95% CI) | 0.663 (0.456–0.871) | 0.588 (0.373–0.804) | 0.572 (0.356–0.788) | 0.652 (0.429–0.876) | 0.594 (0.377–0.810) | 0.652 (0.429–0.876) |
| Sensitivity | 0.706 | 0.412 | 0.706 | 0.706 | 0.588 | 0.706 | |
| Specificity | 0.636 | 0.727 | 0.455 | 0.818 | 0.636 | 0.818 | |
| vp | AUC (95% CI) | 0.465 (0.224–0.706) | 0.743 * (0.551–0.935) | 0.647 (0.418–0.867) | 0.690 (0.467–0.912) | 0.652 (0.428–0.877) | 0.743 * (0.551–0.935) |
| Sensitivity | 0.941 | 0.588 | 0.824 | 0.765 | 1.000 | 0.588 | |
| Specificity | 0.273 | 0.909 | 0.636 | 0.636 | 0.364 | 0.909 | |
| ve | AUC (95% CI) | 0.599 (0.380–0.818) | 0.556 (0.327–0.785) | 0.476 (0.238–0.713) | 0.722 * (0.510–0.933) | 0.556 (0.315–0.797) | 0.722 * (0.510–0.933) |
| Sensitivity | 0.471 | 0.941 | 0.176 | 0.941 | 0.765 | 0.941 | |
| Specificity | 0.818 | 0.273 | 0.545 | 0.545 | 0.545 | 0.545 | |
| CBV | AUC (95% CI) | 0.460 (0.228–0.692) | 0.492 (0.261–0.723) | 0.594 (0.354–0.833) | 0.701 (0.487–0.914) | 0.647 (0.417–0.877) | 0.701 (0.487–0.914) |
| Sensitivity | 0.471 | 0.588 | 0.706 | 0.706 | 0.588 | 0.706 | |
| Specificity | 0.273 | 0.182 | 0.636 | 0.727 | 0.818 | 0.727 | |
| TTP | AUC (95% CI) | 0.561 (0.328–0.795) | 0.583 (0.344–0.822) | 0.545 (0.312–0.779) | 0.492 (0.263–0.721) | 0.455 (0.225–0.685) | 0.583 (0.344–0.822) |
| Sensitivity | 1.000 | 0.882 | 0.706 | 1.000 | 0.529 | 0.882 | |
| Specificity | 0.273 | 0.455 | 0.545 | 0.182 | 0.182 | 0.455 | |
| Peak | AUC (95% CI) | 0.620 (0.403–0.838) | 0.476 (0.241–0.711) | 0.513 (0.266–0.760) | 0.636 (0.401–0.871) | 0.636 (0.418–0.854) | 0.636 (0.401–0.871) |
| Sensitivity | 0.412 | 0.294 | 0.824 | 0.882 | 0.529 | 0.882 | |
| Specificity | 0.818 | 0.545 | 0.455 | 0.545 | 0.837 | 0.545 | |
| AUC | AUC (95% CI) | 0.572 (0.353–0.792) | 0.471 (0.237–0.704) | 0.497 (0.239–0.756) | 0.701 (0.484–0.917) | 0.658 (0.438–0.877) | 0.701 (0.484–0.917) |
| Sensitivity | 0.471 | 0.353 | 0.941 | 0.941 | 0.765 | 0.941 | |
| Specificity | 0.818 | 0.364 | 0.636 | 0.545 | 0.636 | 0.545 | |
| Wash in | AUC (95% CI) | 0.492 (0.247–0.737) | 0.663 (0.431–0.895) | 0.599 (0.354–0.844) | 0.519 (0.269–0.769) | 0.497 (0.262–0.733) | 0.663 (0.431–0.895) |
| Sensitivity | 0.882 | 0.765 | 0.882 | 0.176 | 0.294 | 0.765 | |
| Specificity | 0.364 | 0.536 | 0.545 | 0.545 | 0.455 | 0.536 | |
| Wash out | AUC (95% CI) | 0.567 (0.314–0.819) | 0.642 (0.415–0.868) | 0.535 (0.296–0.773) | 0.540 (0.316–0.764) | 0.428 (0.189–0.667) | 0.642 (0.415–0.868) |
| Sensitivity | 0.824 | 0.824 | 0.765 | 0.529 | 0.235 | 0.824 | |
| Specificity | 0.545 | 0.636 | 0.545 | 0.636 | 0.455 | 0.636 | |
| Combined ve and ADC | AUC (95% CI) | 0.840 * (0.645–1.000) | |||||
| Sensitivity | 0.941 | ||||||
| Specificity | 0.818 |
Disclaimer/Publisher’s Note: The statements, opinions and data contained in all publications are solely those of the individual author(s) and contributor(s) and not of MDPI and/or the editor(s). MDPI and/or the editor(s) disclaim responsibility for any injury to people or property resulting from any ideas, methods, instructions or products referred to in the content. |
© 2025 by the authors. Licensee MDPI, Basel, Switzerland. This article is an open access article distributed under the terms and conditions of the Creative Commons Attribution (CC BY) license (https://creativecommons.org/licenses/by/4.0/).
Share and Cite
Zerweck, L.; Klose, U.; Würtemberger, U.; Richter, V.; Nägele, T.; Gohla, G.; Grundmann-Hauser, K.; Estler, A.; Ruff, C.; Erb, G.; et al. Preoperative Adult-Type Diffuse Glioma Subtype Prediction with Dynamic Contrast-Enhanced MR Imaging and Diffusion Weighted Imaging in Tumor Cores and Peritumoral Tissue—A Standardized Multicenter Study. Diagnostics 2025, 15, 532. https://doi.org/10.3390/diagnostics15050532
Zerweck L, Klose U, Würtemberger U, Richter V, Nägele T, Gohla G, Grundmann-Hauser K, Estler A, Ruff C, Erb G, et al. Preoperative Adult-Type Diffuse Glioma Subtype Prediction with Dynamic Contrast-Enhanced MR Imaging and Diffusion Weighted Imaging in Tumor Cores and Peritumoral Tissue—A Standardized Multicenter Study. Diagnostics. 2025; 15(5):532. https://doi.org/10.3390/diagnostics15050532
Chicago/Turabian StyleZerweck, Leonie, Uwe Klose, Urs Würtemberger, Vivien Richter, Thomas Nägele, Georg Gohla, Kathrin Grundmann-Hauser, Arne Estler, Christer Ruff, Gunter Erb, and et al. 2025. "Preoperative Adult-Type Diffuse Glioma Subtype Prediction with Dynamic Contrast-Enhanced MR Imaging and Diffusion Weighted Imaging in Tumor Cores and Peritumoral Tissue—A Standardized Multicenter Study" Diagnostics 15, no. 5: 532. https://doi.org/10.3390/diagnostics15050532
APA StyleZerweck, L., Klose, U., Würtemberger, U., Richter, V., Nägele, T., Gohla, G., Grundmann-Hauser, K., Estler, A., Ruff, C., Erb, G., Ernemann, U., & Hauser, T.-K. (2025). Preoperative Adult-Type Diffuse Glioma Subtype Prediction with Dynamic Contrast-Enhanced MR Imaging and Diffusion Weighted Imaging in Tumor Cores and Peritumoral Tissue—A Standardized Multicenter Study. Diagnostics, 15(5), 532. https://doi.org/10.3390/diagnostics15050532

