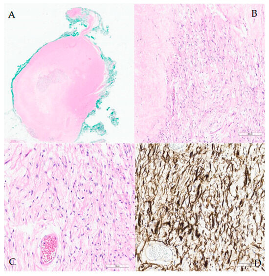
Transoral Robotic Approach for Pharyngeal Schwannoma
Abstract




Author Contributions
Funding
Institutional Review Board Statement
Informed Consent Statement
Data Availability Statement
Conflicts of Interest
References
- Carinci, F.; Carls, F.P.; Grasso, D.L.; Pelucchi, S.; Pastore, A. Schwannoma of the parapharyngeal space. J. Craniofacial Surg. 2000, 11, 367–370. [Google Scholar] [CrossRef] [PubMed]
- Cunningham, L.L., Jr.; Warner, M.R. Schwannoma of the vagus nerve first diagnosed as a parotid tumour. J. Oral. Maxillofac. Surg. 2003, 61, 141–144. [Google Scholar] [CrossRef]
- Hazarika, P.; Nooruddin, S.M.; Nayak, R.G. Neurilemmoma of the floor of the mouth. A case report. J. Indian Dent. Assoc. 1983, 55, 325–326. [Google Scholar] [PubMed]
- Cohen, M.; Wang, B. Schwannoma of the tongue: Two case reports and review of the literature. Eur. Arch. Otorhinolaryngol. 2009, 266, 1823–1829. [Google Scholar] [CrossRef] [PubMed]
- Weiss, S.W.; Goldblum, J.R. Enzinger and Weiss’s Soft Tissue Tumors, 4th ed.; Mosby Inc.: St. Louis, MO, USA, 2001; pp. 1111–1207. [Google Scholar]
- Butler, R.T.; Patel, R.M.; McHugh, J.B. Head and neck schwannomas: 20-year experience of a single institution excluding cutaneous and acoustic sites. Head Neck Pathol. 2016, 10, 286–291. [Google Scholar] [CrossRef] [PubMed]
- Moreno-Garcia, C.; Pons-Garcia, M.A.; Gonzalez-Garcia, R.; Monje-Gil, F. Schwannoma of tongue. J. Maxillofac. Oral. Surg. 2014, 13, 217–221. [Google Scholar] [CrossRef] [PubMed]
- Pfeifle, R.; Baur, D.A.; Paulino, A.; Helman, J. Schwanomma of the tongue: Report of 2 cases. J. Oral. Maxillofac. Surg. 2001, 59, 802–804. [Google Scholar] [CrossRef] [PubMed]
- Ferner, R.E. Neurofibromatosis 1 and neurofibromatosis 2: A twenty first century perspective. Lancet Neurol. 2007, 6, 340–351. [Google Scholar] [CrossRef] [PubMed]
- Lira, R.B.; Gonçalves Filho, J.; Carvalho, G.B.; Pinto, C.A.; Kowalski, L.P. Lingual schwannoma: Case report and review of the literature. Acta Otorhinolaryngol. Ital. 2013, 33, 137–140. [Google Scholar] [PubMed]
- Dreher, A.; Guttmann, R.; Grevers, G. Extracranial schwannoma of the ENT region. Review of the literature with a case report of benign schwannoma of the base of the tongue. HNO 1997, 45, 468–471. (In German) [Google Scholar] [PubMed]
- Kavčič, J.; Božič, M. Schwannoma of the tongue. BMJ Case Rep. 2016, 2016, bcr2016215799. [Google Scholar] [CrossRef] [PubMed]
- Abreu, I.; Roriz, D.; Rodrigues, P.; Moreira, Â.; Marques, C.; Alves, F.C. Schwannoma of the tongue-A common tumour in a rare location: A case report. Eur. J. Radiol. Open 2017, 4, 1–3. [Google Scholar] [CrossRef] [PubMed] [PubMed Central]
- Chandra, M.; Singh, P.; Venkatchalam, V.P. Tongue Schwannoma: A case report with review of literature. JK-Practitioner 2013, 18, 28–34. [Google Scholar]
- Lopez, J.I.; Ballestein, C. Intraoral Schwannoma: A clinicopathologic & immunohistochemical study of nine cases. Arch. Anatcytol Pathol. 1993, 41, 18–23. [Google Scholar]
- Nocini, R.; Arietti, V.; Arsie, A.; Zampieri, E.; Sacchetto, L. The Role of TORS in the Management of Benign Pathology of the Base of Tongue: A Systematic Review. Diagnostics 2024, 15, 5. [Google Scholar] [CrossRef] [PubMed] [PubMed Central]
Disclaimer/Publisher’s Note: The statements, opinions and data contained in all publications are solely those of the individual author(s) and contributor(s) and not of MDPI and/or the editor(s). MDPI and/or the editor(s) disclaim responsibility for any injury to people or property resulting from any ideas, methods, instructions or products referred to in the content. |
© 2025 by the authors. Licensee MDPI, Basel, Switzerland. This article is an open access article distributed under the terms and conditions of the Creative Commons Attribution (CC BY) license (https://creativecommons.org/licenses/by/4.0/).
Share and Cite
Nocini, R.; Arietti, V.; Sina, S.; Sacchetto, L. Transoral Robotic Approach for Pharyngeal Schwannoma. Diagnostics 2025, 15, 484. https://doi.org/10.3390/diagnostics15040484
Nocini R, Arietti V, Sina S, Sacchetto L. Transoral Robotic Approach for Pharyngeal Schwannoma. Diagnostics. 2025; 15(4):484. https://doi.org/10.3390/diagnostics15040484
Chicago/Turabian StyleNocini, Riccardo, Valerio Arietti, Sokol Sina, and Luca Sacchetto. 2025. "Transoral Robotic Approach for Pharyngeal Schwannoma" Diagnostics 15, no. 4: 484. https://doi.org/10.3390/diagnostics15040484
APA StyleNocini, R., Arietti, V., Sina, S., & Sacchetto, L. (2025). Transoral Robotic Approach for Pharyngeal Schwannoma. Diagnostics, 15(4), 484. https://doi.org/10.3390/diagnostics15040484

