The Incidence and Variants of the Reno-Hemiazygos Connection
Abstract
1. Introduction
2. Materials and Methods
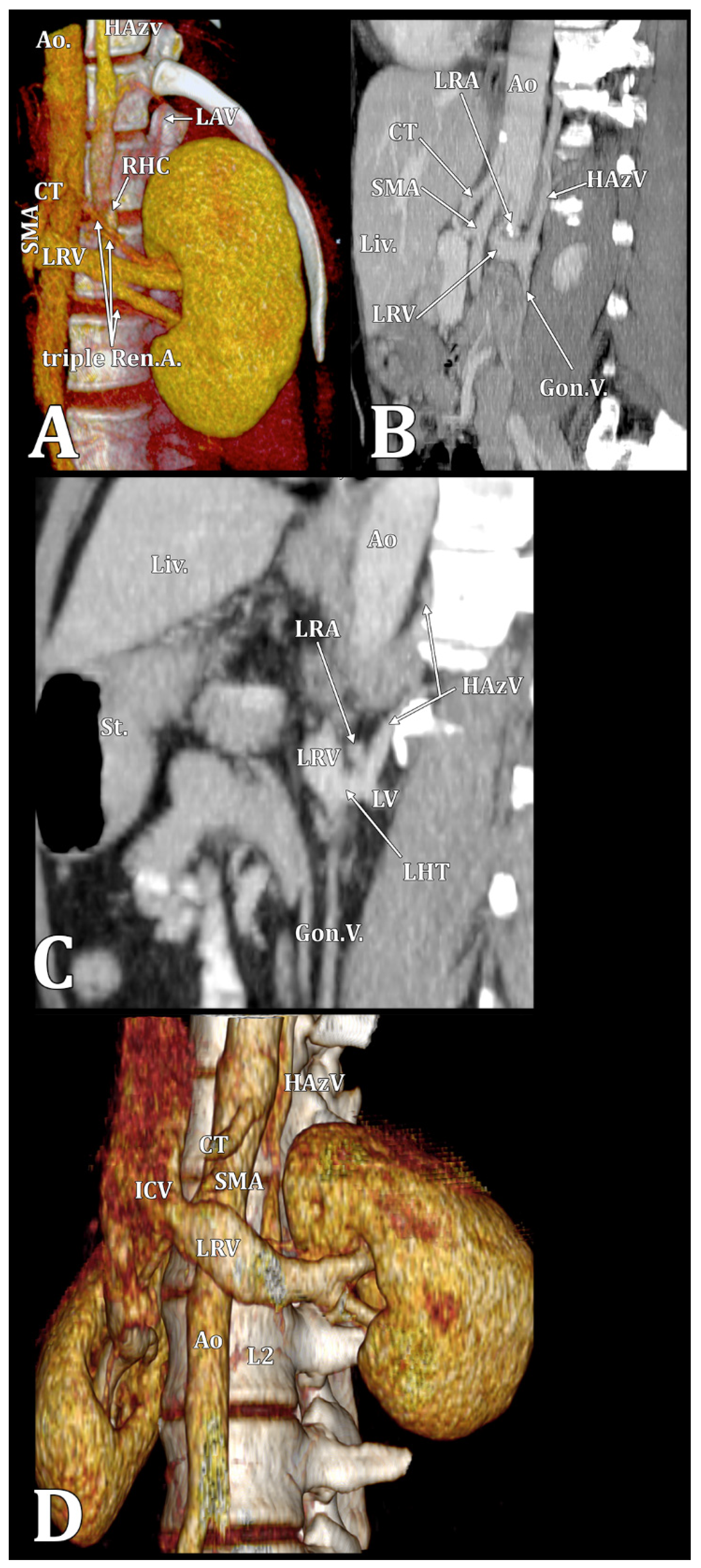
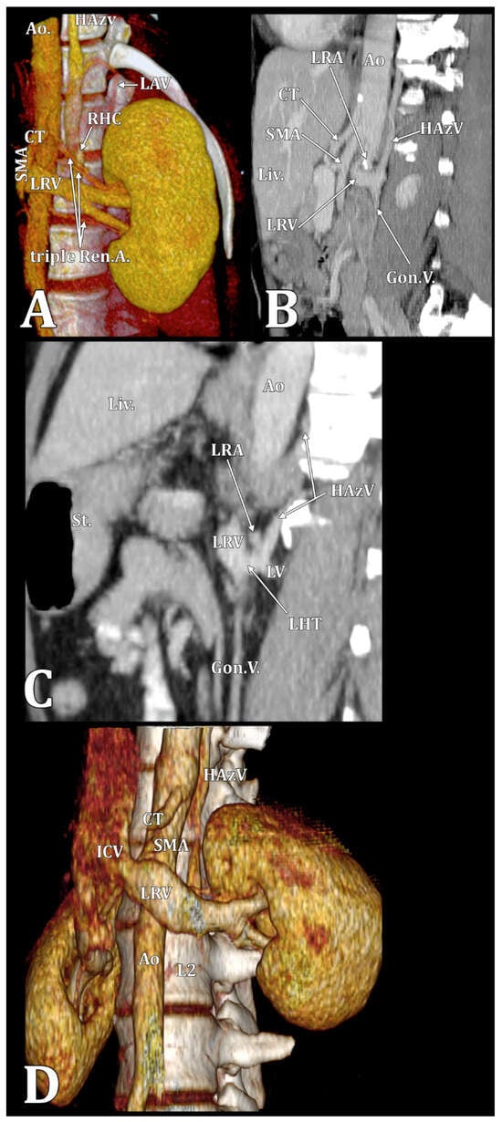
3. Results
4. Discussion
5. Conclusions
Supplementary Materials
Author Contributions
Funding
Institutional Review Board Statement
Informed Consent Statement
Data Availability Statement
Acknowledgments
Conflicts of Interest
Abbreviations
| ALV | ascending lumbar vein |
| CLRV | circumaortic left renal vein |
| CT | computed tomography |
| HAzV | hemiazygos vein |
| LRV | left renal vein |
| MR | magnetic resonance |
| MRI | magnetic resonance imaging |
| RHC | reno-hemiazygos connection |
| RLRV | retroaortic left renal vein |
| RP | retropelvic tributary |
| RA | renal artery |
| RV | renal vein |
References
- Mathews, R.; Smith, P.A.; Fishman, E.K.; Marshall, F.F. Anomalies of the inferior vena cava and renal veins: Embryologic and surgical considerations. Urology 1999, 53, 873–880. [Google Scholar] [CrossRef]
- Turgut, H.B.; Bircan, M.K.; Hatipoglu, E.S.; Dogruyol, S. Congenital anomalies of left renal vein and its clinical importance: A case report and review of literature. Clin. Anat. 1996, 9, 133–135. [Google Scholar] [CrossRef]
- Cuellar i Calabria, H.; Quiroga Gomez, S.; Sebastia Cerqueda, C.; Boye de la Presa, R.; Miranda, A.; Alvarez-Castells, A. Nutcracker or left renal vein compression phenomenon: Multidetector computed tomography findings and clinical significance. Eur. Radiol. 2005, 15, 1745–1751. [Google Scholar] [CrossRef] [PubMed]
- Nayak, B.; Rao, K.; Shetty, S.D.; Sirasanagandla, S.; Kumar, N.; Guru, A. Terminal bifurcation of the right testicular vein and left testicular arterio-venous anastomosis. Kathmandu Univ. Med. J. 2013, 11, 168–170. [Google Scholar] [CrossRef] [PubMed]
- Damen, N.S.; Hostiuc, S.; Jianu, A.M.; Manta, B.A.; Rusu, M.C.; Dobra, M.A. Anatomical variants of the retroaortic left renal vein. Ann. Anat. 2024, 251, 152170. [Google Scholar] [CrossRef]
- Hostiuc, S.; Rusu, M.C.; Negoi, I.; Dorobantu, B.; Grigoriu, M. Anatomical variants of renal veins: A meta-analysis of prevalence. Sci. Rep. 2019, 9, 10802. [Google Scholar] [CrossRef] [PubMed]
- Koc, Z.; Ulusan, S.; Oguzkurt, L.; Tokmak, N. Venous variants and anomalies on routine abdominal multi-detector row CT. Eur. J. Radiol. 2007, 61, 267–278. [Google Scholar] [CrossRef]
- Triantafyllou, G.; Paschopoulos, I.; Wegiel, A.; Olewnik, L.; Tsakotos, G.; Zielinska, N.; Piagkou, M. The accessory renal arteries: A systematic review with meta-analysis. Clin. Anat. 2024. early view. [Google Scholar] [CrossRef]
- Hoeltl, W.; Hruby, W.; Aharinejad, S. Renal vein anatomy and its implications for retroperitoneal surgery. J. Urol. 1990, 143, 1108–1114. [Google Scholar] [CrossRef]
- Hsieh, C.-L.; Tiao, W.-M.; Chou, Y.-H.; Tiu, C.-M. Retroaortic left renal vein: Three case reports. J. Med. Ultrasound 2012, 20, 115–118. [Google Scholar] [CrossRef]
- Feneis, H.; Dauber, W. Pocket Atlas of Human Anatomy: Based on the International Nomenclature; Thieme: Stuttgart, Germany; New York, NY, USA, 2000. [Google Scholar]
- Monkhouse, W.S.; Khalique, A. The adrenal and renal veins of man and their connections with azygos and lumbar veins. J. Anat. 1986, 146, 105–115. [Google Scholar] [PubMed]
- Pallangyo, P.; Lyimo, F.; Nicholaus, P.; Masatu, S.; Janabi, M. Bilateral anomalous drainage of the posterior divisions of renal veins into the azygos venous system in a 20-year-old woman: A case report. J. Med. Case Rep. 2016, 10, 344. [Google Scholar] [CrossRef][Green Version]
- Gillot, C. La veine rènale gauche: Ètude anatomique, aspects angiographiques, abord chirurgical. Anat. Clin. 1978, 1, 135–155. [Google Scholar] [CrossRef]
- Roditi, G.H.; Buff, B.L.; Longmaid, H.E. MR venography of left renal vein anomalies. Clin. Radiol. 1996, 51, 861–864. [Google Scholar] [CrossRef] [PubMed]
- Zubarev, A.V. Ultrasound of renal vessels. Eur. Radiol. 2001, 11, 1902–1915. [Google Scholar] [CrossRef] [PubMed]
- Sarier, M.; Callioglu, M.; Yuksel, Y.; Duman, E.; Emek, M.; Usta, S.S. Evaluation of the Renal Arteries of 2144 Living Kidney Donors Using Computed Tomography Angiography and Comparison with Intraoperative Findings. Urol. Int. 2020, 104, 637–640. [Google Scholar] [CrossRef] [PubMed]
- Davidoiu, A.M.; Minca, D.I.; Rusu, M.C.; Hostiuc, S.; Toader, C. The Fetal Type of Posterior Cerebral Artery. Medicina 2023, 59, 231. [Google Scholar] [CrossRef]
- Dumitru, C.C.; Vrapciu, A.D.; Jianu, A.M.; Hostiuc, S.; Rusu, M.C. The retromandibular loop of the external carotid artery. Ann. Anat. 2024, 253, 152226. [Google Scholar] [CrossRef] [PubMed]
- Rusu, M.C.; Dumitru, C.C.; Vrapciu, A.D. The Maxillary Artery Loops Dangerously Approaching the Mandible’s Lingula and Inferior Orbital Fissure. J. Craniofac Surg. 2024, 35, e193–e195. [Google Scholar] [CrossRef] [PubMed]
- Pick, J.W.; Anson, B.J. The renal vascular pedicle: An anatomical study of 430 body-halves. J. Urol. 1940, 44, 411–434. [Google Scholar] [CrossRef]
- Anson, B.J.; Cauldwell, E.W.; Pick, J.W.; Beaton, L.E. The anatomy of the pararenal system of veins, with comments on the renal arteries. J. Urol. 1948, 60, 714–737. [Google Scholar] [CrossRef]
- Lejars, F. Les voies de sûreté de la veine rénale. Bull. Soc. Anat. 1888, 63, 504–511. [Google Scholar]
- Făgărășanu, I. Recherches anatomiques sur la veine renale gauche et des collaterales; leurs rapport avec la pathogenie du varicocele essential et des varices du ligament large (demonstrations experimentales). Ann. Anat. Pathol 1938, 15, 9–52. [Google Scholar]
- Pilcher, J.M.; Padhani, A.R. Problem in diagnostic imaging: Behind the left renal vein. Clin. Anat. 1997, 10, 349–352. [Google Scholar] [CrossRef]
- Davis, R.A.; Milloy, F.J., Jr.; Anson, B.J. Lumbar, renal, and associated parietal and visceral veins based upon a study of 100 specimens. Surg. Gynecol. Obstet. 1958, 107, 1–22. [Google Scholar]
- Lien, H.H.; Kolbenstvedt, A. Phlebographic appearances of the left renal and left testicular veins. Acta Radiol. Diagn. 1977, 18, 321–332. [Google Scholar] [CrossRef]
- Assefa, G.; Gebrewold, Y.; Kebede, T. A case report of left sided IVC with retroaortic right renal vein and hemiazygos continuation. Ethiop. Med. J. 2013, 51, 73–76. [Google Scholar]
- Sadler, T.W.; Langman, J. Langman’s Medical Embryology; Wolters Kluwer Health/Lippincott Williams & Wilkins: Philadelphia, PA, USA, 2012. [Google Scholar]
- Eldefrawy, A.; Arianayagam, M.; Kanagarajah, P.; Acosta, K.; Manoharan, M. Anomalies of the inferior vena cava and renal veins and implications for renal surgery. Cent. European J. Urol. 2011, 64, 4–8. [Google Scholar] [CrossRef] [PubMed]
- Loukas, M.; Tubbs, R.S. Adrenal, renal, gonadal, azygos, hemiazygos, lumbar, and ascending lumbar veins. In Bergman’s Comprehensive Encyclopedia of Human Anatomic Variation; Tubbs, R.S., Shoja, M.M., Loukas, M., Eds.; John Wiley & Sons: Hoboken, NJ, USA, 2016; pp. 891–893. [Google Scholar]
- Macchi, V.; Parenti, A.; De Caro, R. Pivotal role of the sub-supracardinal anastomosis in the development and course of the left renal vein. Clin. Anat. 2003, 16, 358–361. [Google Scholar] [CrossRef] [PubMed]
- Sosnik, H.; Sosnik, K. Renal vascularisation anomalies in the Polish population. Coexistence of arterial and venous anomalies in the vascular pedicle of the kidney. Folia Morphol. 2019, 78, 290–296. [Google Scholar] [CrossRef] [PubMed]
- Aljabri, B.; MacDonald, P.S.; Satin, R.; Stein, L.S.; Obrand, D.I.; Steinmetz, O.K. Incidence of major venous and renal anomalies relevant to aortoiliac surgery as demonstrated by computed tomography. Ann. Vasc. Surg. 2001, 15, 615–618. [Google Scholar] [CrossRef] [PubMed]
- Ozkan, U.; Oguzkurt, L.; Tercan, F.; Kizilkilic, O.; Koc, Z.; Koca, N. Renal artery origins and variations: Angiographic evaluation of 855 consecutive patients. Diagn. Interv. Radiol. 2006, 12, 183–186. [Google Scholar] [PubMed]
- Mihaylova, E.; Groudeva, V.; Nedevska, M. Multidetector computed tomography angiography study of the renal arterial vasculature anatomy and its variations in a Bulgarian adult population. Surg. Radiol. Anat. 2023, 45, 289–296. [Google Scholar] [CrossRef] [PubMed]
- Cinar, C.; Turkvatan, A. Prevalence of renal vascular variations: Evaluation with MDCT angiography. Diagn. Interv. Imaging 2016, 97, 891–897. [Google Scholar] [CrossRef] [PubMed]
- Cicek, S.K.; Ergun, S.; Akinci, O.; Sariyar, M. Renal Vascular and Ureteral Anatomic Variations in 1859 Potential Living Renal Donors. Transplant. Proc. 2021, 53, 2153–2156. [Google Scholar] [CrossRef] [PubMed]
- Costa, H.C.; Moreira, R.J.; Fukunaga, P.; Fernandes, R.C.; Boni, R.C.; Matos, A.C. Anatomic variations in vascular and collecting systems of kidneys from deceased donors. Transplant. Proc. 2011, 43, 61–63. [Google Scholar] [CrossRef] [PubMed]
- Arslan, S.; Sarikaya, Y. Aneurysm of the left ascending lumbar communicating vein: Its prevalence and possible association with nutcracker phenomenon. Clin. Imaging 2022, 85, 22–28. [Google Scholar] [CrossRef]
- Li, G.; Dong, J.; Lu, J.S.; Zu, Q.; Yang, S.X.; Li, H.Z.; Ma, X.; Zhang, X. Anatomical variation of the posterior lumbar tributaries of the left renal vein in retroperitoneoscopic left living donor nephrectomy. Int. J. Urol. 2011, 18, 503–509. [Google Scholar] [CrossRef] [PubMed]
- FIPAT. Terminologia Anatomica; Thieme: New York, NY, USA, 2019; Available online: https://libraries.dal.ca/Fipat.html (accessed on 8 February 2025).
- Tatarano, S.; Enokida, H.; Yamada, Y.; Nishimura, H.; Yoshino, H.; Ishihara, T.; Yonemori, M.; Eura, R.; Sakaguchi, T.; Nakagawa, M. Anatomical Variations of the Left Renal Vein During Laparoscopic Donor Nephrectomy. Transplant. Proc. 2019, 51, 1311–1313. [Google Scholar] [CrossRef]
- Kawamoto, S.; Lawler, L.P.; Fishman, E.K. Evaluation of the renal venous system on late arterial and venous phase images with MDCT angiography in potential living laparoscopic renal donors. Am. J. Roentgenol. 2005, 184, 539–545. [Google Scholar] [CrossRef]
- Yi, S.Q.; Ueno, Y.; Naito, M.; Ozaki, N.; Itoh, M. The three most common variations of the left renal vein: A review and meta-analysis. Surg. Radiol. Anat. 2012, 34, 799–804. [Google Scholar] [CrossRef]
- Baniel, J.; Foster, R.S.; Donohue, J.P. Surgical anatomy of the lumbar vessels: Implications for retroperitoneal surgery. J. Urol. 1995, 153, 1422–1425. [Google Scholar] [CrossRef]
- Lebret, T.; Chartier-Kastler, E.; Conort, P.; Cavillon, C.; Chatelain, C. Malformation of the renal venous system and caudal vena cava presenting as recurrent hematuria. Prog. Urol. 1995, 5, 992–996. [Google Scholar] [PubMed]
- Devcic, Z.; Rozen, T.; Arora, M.; Caserta, M.P.; Montazeri, S.A.; Erben, Y.M.; Sandhu, S.S.; Huynh, T.; Lewis, A.R.; Malik, K.; et al. Novel Use of Time-Resolved Magnetic Resonance Angiography to Evaluate Retrograde Lumbar Vein Flow and Epidural Venous Plexus Enhancement in Chronic Headache Patients With and Without Nutcracker Physiology. J. Comput. Assist. Tomogr. 2023, 47, 284–290. [Google Scholar] [CrossRef] [PubMed]
- Takebayashi, S.; Ueki, T.; Ikeda, N.; Fujikawa, A. Diagnosis of the nutcracker syndrome with color Doppler sonography: Correlation with flow patterns on retrograde left renal venography. Am. J. Roentgenol. 1999, 172, 39–43. [Google Scholar] [CrossRef]
- Mishima, H.; Ayabe, J.; Takadera, M.; Tsuchiya, Y.; Kawasaki, T.; Okano, M.; Isoda, M.; Tanaka, Y. Spinal Epidural Hematoma Due to Venous Congestion Caused by Nutcracker Syndrome. NMC Case Rep. J. 2022, 9, 209–212. [Google Scholar] [CrossRef]
- Scholbach, T. From the nutcracker-phenomenon of the left renal vein to the midline congestion syndrome as a cause of migraine, headache, back and abdominal pain and functional disorders of pelvic organs. Med. Hypotheses 2007, 68, 1318–1327. [Google Scholar] [CrossRef] [PubMed]
- Frantz, P.; Aboulker, P.; Kuss, R.; Jardin, A. [Renal-rachidian venous trunk. Replacement of the left renal vein. A danger for the spinal cord (author’s transl)]. J. Urol. Nephrol. 1977, 83, 753–761. [Google Scholar]
- Frantz, P.; Jardin, A.; Aboulker, J.; Kuss, R. Responsibility of the left renal vein and inferior vena cava in certain cases of myelitis and syringomyelia. Value of ligation of the venous reno-spinal trunk. Apropos of 30 cases. Ann. Urol. 1986, 20, 137–141. [Google Scholar]
- Xie, T.; Pan, L.; Yang, M.; Xu, Z.; Wu, T.; Huang, H.; Li, M.; Ma, L. Analysis of spinal angiograms that missed diagnosis of spinal vascular diseases with venous hypertensive myelopathy: The non-technical factors. Eur. Spine J. 2020, 29, 2441–2448. [Google Scholar] [CrossRef]





| Type 1 | Type 2 | |
|---|---|---|
| M | 2/4 (50%) | 2/4 (50%) |
| 2/85 (2.35%) | 2/85 (2.35%) | |
| F | 9/10 (90%) | 1/10 (10%) |
| 9/65 (13.84%) | 1/65 (1.53%) |
| LRV | LRV/RP | RLRV | CLRV | |
|---|---|---|---|---|
| Type 1 (11 cases) | 7 (63.64%) | 1 (9.09%) | 1 (9.09%) | 2 (18.18%) |
| Type 2 (3 cases) | 2 (66.67%) | – | – | 1 (33.33%) |
| L1/L2 Disc | L2 | L2/L3 Disc | L3 | |
|---|---|---|---|---|
| Type 1 (11 cases) | 1 (9.09%) | 5 (45.46%) | 3 (27.27%) | 2 (18.18%) |
| Type 2 (3 cases) | – | 1 (33.33%) | – | 2 (66.67%) |
Disclaimer/Publisher’s Note: The statements, opinions and data contained in all publications are solely those of the individual author(s) and contributor(s) and not of MDPI and/or the editor(s). MDPI and/or the editor(s) disclaim responsibility for any injury to people or property resulting from any ideas, methods, instructions or products referred to in the content. |
© 2025 by the authors. Licensee MDPI, Basel, Switzerland. This article is an open access article distributed under the terms and conditions of the Creative Commons Attribution (CC BY) license (https://creativecommons.org/licenses/by/4.0/).
Share and Cite
Damen, N.S.; Jianu, A.M.; Lazăr, M.; Rusu, M.C.; Piţigoi, G.; Petrescu, S. The Incidence and Variants of the Reno-Hemiazygos Connection. Diagnostics 2025, 15, 441. https://doi.org/10.3390/diagnostics15040441
Damen NS, Jianu AM, Lazăr M, Rusu MC, Piţigoi G, Petrescu S. The Incidence and Variants of the Reno-Hemiazygos Connection. Diagnostics. 2025; 15(4):441. https://doi.org/10.3390/diagnostics15040441
Chicago/Turabian StyleDamen, Nawwaf Sebastian, Adelina Maria Jianu, Mihai Lazăr, Mugurel Constantin Rusu, Gabriel Piţigoi, and Silviu Petrescu. 2025. "The Incidence and Variants of the Reno-Hemiazygos Connection" Diagnostics 15, no. 4: 441. https://doi.org/10.3390/diagnostics15040441
APA StyleDamen, N. S., Jianu, A. M., Lazăr, M., Rusu, M. C., Piţigoi, G., & Petrescu, S. (2025). The Incidence and Variants of the Reno-Hemiazygos Connection. Diagnostics, 15(4), 441. https://doi.org/10.3390/diagnostics15040441

