Effects of Different Treatment Methods Used in Patients with Rheumatoid Arthritis on the Trabecular and Cortical Structure of the Mandible
Abstract
1. Introduction
2. Materials and Methods
2.1. Study Groups
2.2. Measurements
2.2.1. Fractal Dimension Analysis
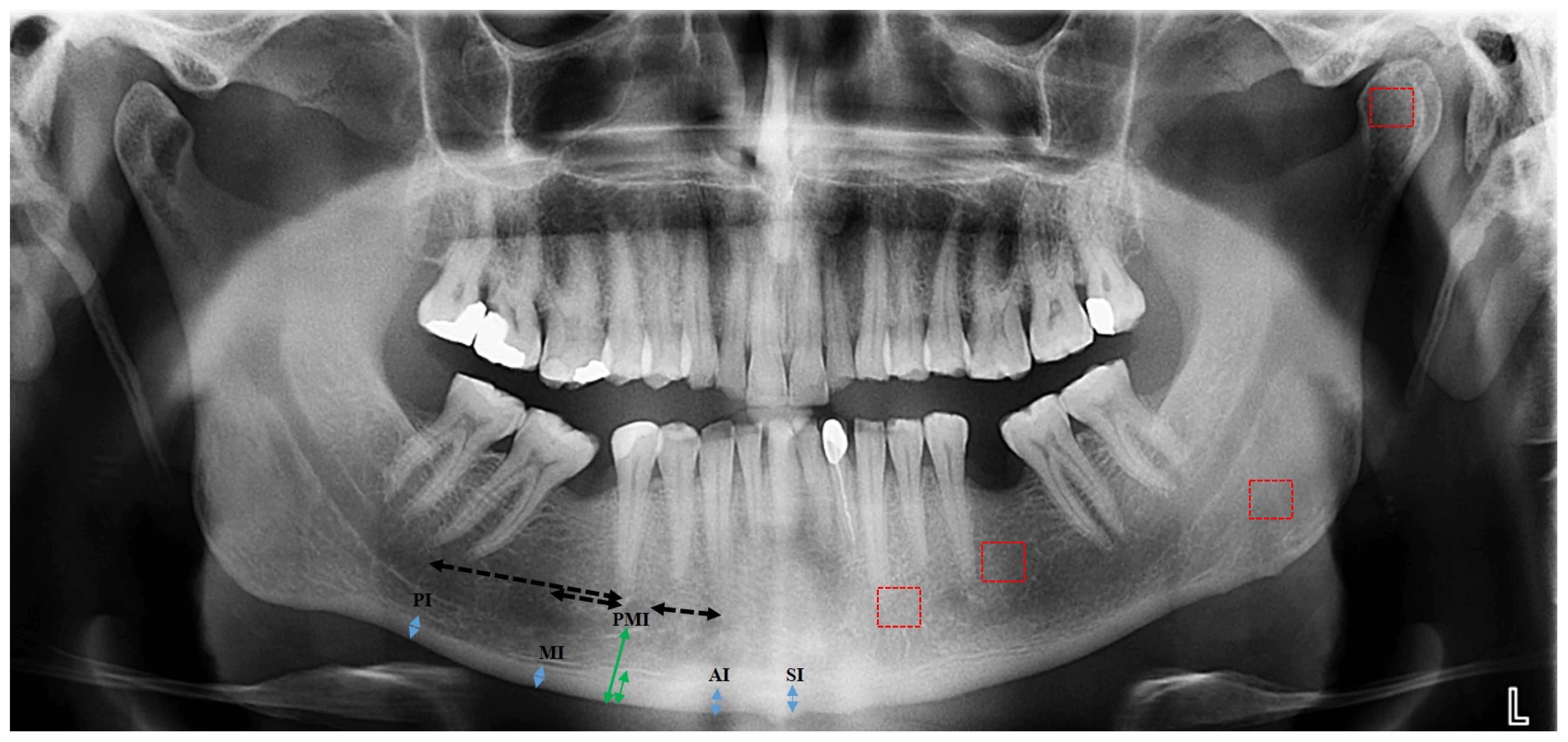
2.2.2. Radiomorphometric Analysis
2.2.3. Statistical Analysis
Sample Size Calculation
3. Results
4. Discussion
5. Conclusions
Author Contributions
Funding
Institutional Review Board Statement
Informed Consent Statement
Data Availability Statement
Conflicts of Interest
References
- Türkmenoğlu, A.; Yüksel, H.T.; Karahan, A.Y. Evaluation of mandibular condyle trabecular structure in patients with rheumatoid arthritis using fractal analysis. Oral Surg. Oral Med. Oral Pathol. Oral Radiol. 2022, 133, 229–237. [Google Scholar] [CrossRef] [PubMed]
- Świerkot, J.; Gruszecka, K.; Matuszewska, A.; Wiland, P. Assessment of the effect of methotrexate therapy on bone metabolism in patients with rheumatoid arthritis. Arch. Immunol. Ther. Exp. 2015, 63, 397–404. [Google Scholar] [CrossRef] [PubMed]
- Jayachandran, S.; Nagarajan, N.; Archana, M. Cone-Beam Computed Tomography: Fractal Analysis of Osseous Changes in Temporomandibular Joint for Rheumatoid Arthritis Patients: A Retrospective Study. Indian J. Rheumatol. 2022, 17, 41–46. [Google Scholar] [CrossRef]
- Smolen, J.S.; Aletaha, D.; McInnes, I.B. Rheumatoid arthritis. Lancet 2016, 388, 2023–2038. [Google Scholar] [CrossRef]
- Smolen, J.S.; Landewé, R.B.M.; Bergstra, S.A.; Kerschbaumer, A.; Sepriano, A.; Aletaha, D.; Caporali, R.; Edwards, C.J.; Hyrich, K.L.; Pope, J.E.; et al. EULAR recommendations for the management of rheumatoid arthritis with synthetic and biological disease-modifying antirheumatic drugs: 2022 update. Ann. Rheum. Dis. 2023, 82, 3–18. [Google Scholar] [CrossRef]
- Radu, A.F.; Bungau, S.G. Management of Rheumatoid Arthritis: An Overview. Cells 2021, 10, 2857. [Google Scholar] [CrossRef]
- Geusens, P. The role of RANK ligand/osteoprotegerin in rheumatoid arthritis. Ther. Adv. Musculoskelet. Dis. 2012, 4, 225–233. [Google Scholar] [CrossRef]
- Khoshroo, A.; Ramezani, K.; Moghimi, N.; Bonakdar, M.; Ramezani, N. The effect of disease-modifying antirheumatic drugs (DMARDs) on bone homeostasis in rheumatoid arthritis (RA) patients. Inflammopharmacology 2023, 31, 689–697. [Google Scholar] [CrossRef]
- Ersu, N.; Akyol, R.; Etöz, M. Fractal properties and radiomorphometric indices of the trabecular structure of the mandible in patients using systemic glucocorticoids. Oral Radiol. 2022, 38, 252–260. [Google Scholar] [CrossRef]
- Confavreux, C.B.; Chapurlat, R.D. Systemic bone effects of biologic therapies in rheumatoid arthritis and ankylosing spondylitis. Osteoporos. Int. 2011, 22, 1023–1036. [Google Scholar] [CrossRef]
- Haroon, N.N.; Sriganthan, J.; Al Ghanim, N.; Inman, R.D.; Cheung, A.M. Effect of TNF-alpha inhibitor treatment on bone mineral density in patients with ankylosing spondylitis: A systematic review and meta-analysis. Semin. Arthritis Rheum. 2014, 44, 155–161. [Google Scholar] [CrossRef]
- Chen, J.-F.; Hsu, C.-Y.; Yu, S.-F.; Ko, C.-H.; Chiu, W.-C.; Lai, H.-M.; Chen, Y.-C.; Su, Y.-J.; Cheng, T.-T. The impact of long-term biologics/target therapy on bone mineral density in rheumatoid arthritis: A propensity score-matched analysis. Rheumatology 2020, 59, 2471–2480. [Google Scholar] [CrossRef] [PubMed]
- Kawai, V.K.; Stein, C.M.; Perrien, D.S.; Griffin, M.R. Effects of anti-tumor necrosis factor α agents on bone. Curr. Opin. Rheumatol. 2012, 24, 576–585. [Google Scholar] [CrossRef] [PubMed]
- Günaçar, D.N.; Yemenoğlu, H.; Ustaoğlu, G.; Arıöz, Ö. Effects of hyperlipidemia on trabecular and cortical structures of the mandible. Dentomaxillofacial Radiol. 2022, 51, 20210214. [Google Scholar] [CrossRef] [PubMed]
- Aşantoğrol, F.; Koruyucu, A.N. Evaluation of antihypertensive drug-induced changes in mandibular bone using fractal analysis. Oral Surg. Oral Med. Oral Pathol. Oral Radiol. 2024, 139, 111–123. [Google Scholar] [CrossRef] [PubMed]
- Belgin, C.A.; Serindere, G. Fractal and radiomorphometric analysis of mandibular bone changes in patients undergoing intravenous corticosteroid therapy. Oral Surg. Oral Med. Oral Pathol. Oral Radiol. 2020, 130, 110–115. [Google Scholar] [CrossRef]
- Alonso-Royo, R.; Sánchez-Torrelo, C.M.; Ibáñez-Vera, A.J.; Zagalaz-Anula, N.; Castellote-Caballero, Y.; Obrero-Gaitán, E.; Rodríguez-Almagro, D.; Lomas-Vega, R. Validity and Reliability of the Helkimo Clinical Dysfunction Index for the Diagnosis of Temporomandibular Disorders. Diagnostics 2021, 11, 472. [Google Scholar] [CrossRef]
- Rani, S.; Pawah, S.; Gola, S.; Bakshi, M. Analysis of Helkimo index for temporomandibular disorder diagnosis in the dental students of Faridabad city: A cross-sectional study. J. Indian. Prosthodont. Soc. 2017, 17, 48–52. [Google Scholar] [CrossRef]
- Nokar, S.; Sadighpour, L.; Shirzad, H.; Shahrokhi Rad, A.; Keshvad, A. Evaluation of signs, symptoms, and occlusal factors among patients with temporomandibular disorders according to Helkimo index. Cranio 2019, 37, 383–388. [Google Scholar] [CrossRef]
- van Riel, P.L.; Renskers, L. The Disease Activity Score (DAS) and the Disease Activity Score using 28 joint counts (DAS28) in the management of rheumatoid arthritis. Clin. Exp. Rheumatol. 2016, 34, 40–44. [Google Scholar]
- White, S.C.; Rudolph, D.J. Alterations of the trabecular pattern of the jaws in patients with osteoporosis. Oral Surg. Oral Med. Oral Pathol. Oral Radiol. 1999, 88, 628–635. [Google Scholar] [CrossRef] [PubMed]
- Barra, S.G.; Gomes, I.P.; Amaral, T.M.P.; Brasileiro, C.B.; Abreu, L.G.; Mesquita, R.A. New mandibular indices in cone beam computed tomography to identify low bone mineral density in postmenopausal women. Oral Surg. Oral Med. Oral Pathol. Oral Radiol. 2021, 131, 347–355. [Google Scholar] [CrossRef] [PubMed]
- Benson, B.W.; Prihoda, T.J.; Glass, B.J. Variations in adult cortical bone mass as measured by a panoramic mandibular index. Oral Surg. Oral Med. Oral Pathol. Oral Radiol. 1991, 71, 349–356. [Google Scholar] [CrossRef]
- Klemetti, E.; Kolmakow, S. Morphology of the mandibular cortex on panoramic radiographs as an indicator of bone quality. Dentomaxillofacial Radiol. 1997, 26, 22–25. [Google Scholar] [CrossRef]
- Koo, T.K.; Li, M.Y. A guideline of selecting and reporting intraclass correlation coefficients for reliability research. J. Chiropr. Med. 2016, 15, 155–163. [Google Scholar] [CrossRef]
- Mostafa, R.A.; Arnout, E.A.; Abo el-Fotouh, M.M. Feasibility of cone beam computed tomography radiomorphometric analysis and fractal dimension in assessment of postmenopausal osteoporosis in correlation with dual X-ray absorptiometry. Dentomaxillofacial Radiol. 2016, 45, 20160212. [Google Scholar] [CrossRef]
- Göller Bulut, D.; Bayrak, S.; Uyeturk, U.; Ankarali, H. Mandibular indexes and fractal properties on the panoramic radiographs of the patients using aromatase inhibitors. Br. J. Radiol. 2018, 91, 20180442. [Google Scholar] [CrossRef]
- Ustaoğlu, G.; Göller Bulut, D.; Bayrak, S. Applicability of dental panoramic radiomorphometric and fractal dimension analysis in the evaluation of antiepileptic drug-induced osteoporosis. Int. J. Med. Dent. 2019, 23, 201–207. [Google Scholar]
- Tumani Üstdal, B.; Soydan Çabuk, D.; Coşgunarslan, A.; Evlice, B.; Evlice, A. Evaluation of the effect of antiepileptic drugs on mandibular bone quality by fractal analysis. Oral Radiol. 2023, 39, 563–569. [Google Scholar] [CrossRef]
- Temur, K.T.; Magat, G.; Ozcan, S. A retrospective comparative fractal and radiomorphometric analysis of the effect of 3 generations of anti-epileptic drugs on the mandible. Oral Surg. Oral Med. Oral Pathol. Oral Radiol. 2023, 136, 255–262. [Google Scholar] [CrossRef]
- Coşgunarslan, A.; Aşantoğrol, F.; Çabuk, D.S.; Canger, E.M. The effect of selective serotonin reuptake inhibitors on the human mandible. Oral Radiol. 2021, 37, 20–28. [Google Scholar] [CrossRef] [PubMed]
- Demirbaş, A.K.; Ergün, S.; Güneri, P.; Aktener, B.O.; Boyacıoğlu, H. Mandibular bone changes in sickle cell anemia: Fractal analysis. Oral Surg. Oral Med. Oral Pathol. Oral Radiol. 2008, 106, e41–e48. [Google Scholar] [CrossRef] [PubMed]
- Avsever, I.H.; Orhan, K.; Özen, T.; Karaçayli, Ü.; Görgülü, S. Evaluation of mandibular bone structure in sickle cell anemia patients. Gulhane Med. J. 2015, 57, 11–15. [Google Scholar] [CrossRef][Green Version]
- Sindeaux, R.; Figueiredo, P.T.d.S.; de Melo, N.S.; Guimarães, A.T.B.; Lazarte, L.; Pereira, F.B.; de Paula, A.P.; Leite, A.F. Fractal dimension and mandibular cortical width in normal and osteoporotic men and women. Maturitas 2014, 77, 142–148. [Google Scholar] [CrossRef]
- Gumussoy, I.; Miloglu, O.; Cankaya, E.; Bayrakdar, I.S. Fractal properties of the trabecular pattern of the mandible in chronic renal failure. Dentomaxillofacial Radiol. 2016, 45, 20150389. [Google Scholar] [CrossRef]
- Bayrak, S.; Bulut, D.G.; Orhan, K.; Sinanoğlu, E.A.; Çakmak, E.Ş.K.; Mısırlı, M.; Ankaralı, H. Evaluation of osseous changes in dental panoramic radiography of thalassemia patients using mandibular indexes and fractal size analysis. Oral Radiol. 2020, 36, 18–24. [Google Scholar] [CrossRef]
- Gunacar, D.N.; Bulut, D.G.; Ustaoglu, G.; Yildirim, E.A. In vivo evaluation of mandibular trabecular and cortical bone quality in psoriasis vulgaris. Oral Surg. Oral Med. Oral Pathol. Oral Radiol. 2022, 133, 604–611. [Google Scholar] [CrossRef]
- Canger, E.M.; Coşgunarslan, A.; Dilek, F.; Çalış, H.T. Evaluation of temporomandibular joint components and mandibular bone structure in ankylosing spondylitis patients. Oral Surg. Oral Med. Oral Pathol. Oral Radiol. 2023, 135, 136–146. [Google Scholar] [CrossRef]
- Canturk, F.; Miloglu, O.; Gumussoy, I.; Dayanan, R. The investigation of Radiographic Findings of mandibles on panoramic radiographs of patients with primary hyperparathyroidism using Fractal Analysis. Eurasian J. Med. 2021, 53, 185. [Google Scholar] [CrossRef]
- Zihni Korkmaz, M.; Yemenoğlu, H.; Günaçar, D.N.; Ustaoğlu, G.; Ateş Yildirim, E. The effects of vitamin D deficiency on mandibular bone structure: A retrospective radiological study. Oral Radiol. 2023, 39, 67–74. [Google Scholar] [CrossRef]
- Demiralp, K.Ö.; Kurşun-Çakmak, E.Ş.; Bayrak, S.; Akbulut, N.; Atakan, C.; Orhan, K. Trabecular structure designation using fractal analysis technique on panoramic radiographs of patients with bisphosphonate intake: A preliminary study. Oral Radiol. 2019, 35, 23–28. [Google Scholar] [CrossRef] [PubMed]
- NNeves, F.S.; Barros, A.S.; Cerqueira, G.A.; Reis, A.A.; Alves, L.B.; Crusoé-Rebello, I. Assessment of fractal dimension and panoramic radiomorphometric indices in women with celiac disease. Oral Radiol. 2019, 36, 141–147. [Google Scholar] [CrossRef] [PubMed]
- Bostan, S.A.; Özarslantürk, S.; Günaçar, D.N.; Gonca, M.; Bulut, D.G.; Bostan, H.O. Direct-acting oral anticoagulant/vitamin k antagonists: Do they affect the trabecular and cortical structure of the mandible? J. Clin. Densitom. 2024, 27, 101495. [Google Scholar] [CrossRef]
- Vasil’ev, Y.; Enina, Y.; Dydykin, S.; Aleshkina, O.; Suetenkov, D.; Kulikova, N.; Chemidronov, S.; Velichko, E.; Antonov, O.; Diachkova, E.; et al. X-ray and anatomical features of the lower jaw alveolar cortical layer in children. Ann. Anat. 2023, 245, 152005. [Google Scholar] [CrossRef]
- Temple, K.E.; Schoolfield, J.; Noujeim, M.E.; Huynh-Ba, G.; Lasho, D.J.; Mealey, B.L. A cone beam computed tomography (CBCT) study of buccal plate thickness of the maxillary and mandibular posterior dentition. Clin. Oral Implants Res. 2016, 27, 1072–1078. [Google Scholar] [CrossRef]
- Nair, V.V.; Thomas, S.; Thomas, J.; Mathew, C.M. Panoramic radiographs for detecting osteopenia: A pilot study. Clin. Pract. 2017, 7, 973. [Google Scholar] [CrossRef]
- Carmo, J.Z.B.; de Medeiros, S.F. Mandibular inferior cortex erosion on dental panoramic radiograph as a sign of low BoneMineral density in postmenopausal women. Rev. Bras. Ginecol. Obstet. 2017, 39, 663–669. [Google Scholar] [CrossRef]
- Leite, A.F.; de Souza Figueiredo, P.T.; Barra, F.R.; de Melo, N.S.; de Paula, A.P. Relationships between mandibular cortical indexes, bone mineral density, and osteoporotic fractures in Brazilian men over 60 years old. Oral Surg. Oral Med. Oral Pathol. Oral Radiol. 2011, 112, 648–656. [Google Scholar] [CrossRef]
- Alonso, M.B.C.C.; Cortes, A.R.G.; Camargo, A.J.; Arita, E.S.; Haiter-Neto, F.; Watanabe, P.C.A. Assessment of panoramic radiomorphometric indices of the mandible in a brazilian population. ISRN Rheumatol. 2011, 2011, 854287. [Google Scholar] [CrossRef]
- Dagistan, S.; Bilge, O. Comparison of antegonial index, mental index, panoramic mandibular index and mandibular cortical index values in the panoramic radiographs of normal males and male patients with osteoporosis. Dentomaxillofacial Radiol. 2010, 39, 290–294. [Google Scholar] [CrossRef]



| csDMARDs and Glucocorticoids | TNF-α Inhibitor | Control | |||||||||||||||||||||
|---|---|---|---|---|---|---|---|---|---|---|---|---|---|---|---|---|---|---|---|---|---|---|---|
| Mean | SD | Min | Max | Percentiles | Mean | SD | Min | Max | Percentiles | Mean | SD | Min | Max | Percentiles | |||||||||
| n | 25th | Median | 75th | 25th | Median | 75th | 25th | Median | 75th | p * | |||||||||||||
| FD1 | 30 | 1.303 a,A | 0.016 | 1.273 | 1.340 | 1.291 | 1.302 | 1.315 | 1.327 b,A | 0.038 | 1.244 | 1.382 | 1.292 | 1.328 | 1.358 | 1.377 c | 0.010 | 1.360 | 1.394 | 1.369 | 1.376 | 1.386 | 0.001 |
| FD2 | 30 | 1.356 a,B | 0.024 | 1.314 | 1.399 | 1.335 | 1.354 | 1.375 | 1.349 a,B | 0.036 | 1.276 | 1.406 | 1.328 | 1.349 | 1.384 | 1.376 b | 0.012 | 1.355 | 1.401 | 1.366 | 1.375 | 1.387 | 0.001 |
| FD3 | 30 | 1.366 a,b,B | 0.024 | 1.301 | 1.403 | 1.353 | 1.368 | 1.385 | 1.353 b,B | 0.032 | 1.264 | 1.403 | 1.338 | 1.354 | 1.373 | 1.377 a | 0.013 | 1.347 | 1.408 | 1.367 | 1.376 | 1.385 | 0.001 |
| FD4 | 30 | 1.361 a,B | 0.023 | 1.312 | 1.404 | 1.348 | 1.365 | 1.377 | 1.361 a,B | 0.032 | 1.285 | 1.415 | 1.345 | 1.365 | 1.386 | 1.382 b | 0.014 | 1.358 | 1.410 | 1.372 | 1.384 | 1.393 | 0.001 |
| p ** | 0.001 | 0.001 | 0.135 | ||||||||||||||||||||
| csDMARDs and Glucocorticoids | TNF-α Inhibitor | Control | |||||||||||||||||||||
|---|---|---|---|---|---|---|---|---|---|---|---|---|---|---|---|---|---|---|---|---|---|---|---|
| Mean * | SD | Min | Max | Percentiles | Mean * | SD | Min | Max | Percentiles | Mean * | SD | Min | Max | Percentiles | |||||||||
| n | 25th | Median | 75th | 25th | Median | 75th | 25th | Median | 75th | p * | |||||||||||||
| SI | 30 | 0.329 C | 0.027 | 0.270 | 0.380 | 0.310 | 0.330 | 0.350 | 0.323 C | 0.022 | 0.280 | 0.360 | 0.310 | 0.325 | 0.340 | 0.324 D | 0.016 | 0.290 | 0.350 | 0.310 | 0.330 | 0.340 | 0.489 |
| AI | 30 | 0.314 B | 0.029 | 0.245 | 0.370 | 0.289 | 0.320 | 0.335 | 0.315 C | 0.020 | 0.270 | 0.345 | 0.299 | 0.318 | 0.330 | 0.311 C | 0.016 | 0.265 | 0.345 | 0.300 | 0.310 | 0.325 | 0.800 |
| MI | 30 | 0.300 B | 0.027 | 0.240 | 0.365 | 0.275 | 0.305 | 0.320 | 0.305 B | 0.020 | 0.270 | 0.345 | 0.290 | 0.305 | 0.320 | 0.302 B | 0.016 | 0.265 | 0.345 | 0.290 | 0.300 | 0.315 | 0.662 |
| PI | 30 | 0.282 a,A | 0.026 | 0.235 | 0.335 | 0.260 | 0.275 | 0.310 | 0.294 b,A | 0.019 | 0.260 | 0.335 | 0.284 | 0.290 | 0.310 | 0.292 b,A | 0.014 | 0.250 | 0.325 | 0.285 | 0.295 | 0.300 | 0.050 |
| PMI | 30 | 0.312 a,B | 0.022 | 0.261 | 0.351 | 0.304 | 0.319 | 0.326 | 0.324 b,C | 0.013 | 0.295 | 0.344 | 0.317 | 0.325 | 0.333 | 0.330 b,D | 0.010 | 0.306 | 0.344 | 0.322 | 0.331 | 0.339 | 0.001 |
| p ** | 0.001 | 0.001 | 0.001 | ||||||||||||||||||||
| csDMARDs and Glucocorticoids | TNF-α Inhibitor | Control | Total | ||||||
|---|---|---|---|---|---|---|---|---|---|
| n | % | n | % | n | % | n | p | ||
| Klemetti Index | C1 | 25 | 83.3 | 27 | 90.0 | 28 | 93.3 | 80 | 0.455 |
| C2 | 5 | 16.7 | 3 | 10.0 | 2 | 6.7 | 10 | ||
| Total | 30 | 100.0 | 30 | 100.0 | 30 | 100.0 | 90 | ||
| csDMARDs and Glucocorticoids | TNF-α Inhibitor | Control | ||||||||||
|---|---|---|---|---|---|---|---|---|---|---|---|---|
| ICC | 95%CI | p | ICC | 95%CI | p | ICC | 95%CI | p | ||||
| Lower | Upper | Lower | Upper | Lower | Upper | |||||||
| FD1 | 0.990 | 0.938 | 0.999 | 0.000 | 0.985 | 0.909 | 0.998 | 0.000 | 0.988 | 0.928 | 0.998 | 0.000 |
| FD2 | 0.986 | 0.915 | 0.998 | 0.000 | 0.992 | 0.950 | 0.999 | 0.000 | 0.956 | 0.738 | 0.994 | 0.001 |
| FD3 | 0.993 | 0.956 | 0.999 | 0.000 | 0.997 | 0.980 | 1.000 | 0.000 | 0.977 | 0.862 | 0.997 | 0.000 |
| FD4 | 0.990 | 0.943 | 0.999 | 0.000 | 0.957 | 0.743 | 0.994 | 0.001 | 0.987 | 0.923 | 0.998 | 0.000 |
| Symphysis index | 0.972 | 0.830 | 0.996 | 0.001 | 0.928 | 0.570 | 0.990 | 0.003 | 0.933 | 0.601 | 0.990 | 0.002 |
| Anterior index | 0.981 | 0.886 | 0.997 | 0.000 | 0.974 | 0.845 | 0.996 | 0.000 | 0.969 | 0.813 | 0.996 | 0.000 |
| Molar index | 0.993 | 0.956 | 0.999 | 0.000 | 0.981 | 0.886 | 0.997 | 0.000 | 0.977 | 0.863 | 0.997 | 0.000 |
| Posterior index | 0.992 | 0.951 | 0.999 | 0.000 | 0.973 | 0.837 | 0.996 | 0.000 | 0.982 | 0.895 | 0.997 | 0.000 |
| PMI | 0.998 | 0.990 | 1.000 | 0.000 | 0.813 | −0.119 | 0.973 | 0.032 | 0.990 | 0.942 | 0.999 | 0.000 |
| csDMARDs and Glucocorticoids (n = 30) | TNF-α Inhibitor (n = 30) | ||
|---|---|---|---|
| DAS 28-ESR | DAS 28-ESR | ||
| FD1 | r | −0.405 * | −0.144 |
| FD2 | r | 0.198 | 0.055 |
| FD3 | r | −0.246 | −0.150 |
| FD4 | r | 0.185 | −0.130 |
| SI | r | −0.282 | 0.161 |
| AI | r | −0.237 | 0.040 |
| MI | r | −0.242 | 0.051 |
| PI | r | −0.254 | 0.080 |
| PMI | r | −0.282 | 0.234 |
Disclaimer/Publisher’s Note: The statements, opinions and data contained in all publications are solely those of the individual author(s) and contributor(s) and not of MDPI and/or the editor(s). MDPI and/or the editor(s) disclaim responsibility for any injury to people or property resulting from any ideas, methods, instructions or products referred to in the content. |
© 2025 by the authors. Licensee MDPI, Basel, Switzerland. This article is an open access article distributed under the terms and conditions of the Creative Commons Attribution (CC BY) license (https://creativecommons.org/licenses/by/4.0/).
Share and Cite
Yemenoglu, H.; Beder, M.; Cüre, O.; Günaçar, D.N. Effects of Different Treatment Methods Used in Patients with Rheumatoid Arthritis on the Trabecular and Cortical Structure of the Mandible. Diagnostics 2025, 15, 306. https://doi.org/10.3390/diagnostics15030306
Yemenoglu H, Beder M, Cüre O, Günaçar DN. Effects of Different Treatment Methods Used in Patients with Rheumatoid Arthritis on the Trabecular and Cortical Structure of the Mandible. Diagnostics. 2025; 15(3):306. https://doi.org/10.3390/diagnostics15030306
Chicago/Turabian StyleYemenoglu, Hatice, Melek Beder, Osman Cüre, and Dilara Nil Günaçar. 2025. "Effects of Different Treatment Methods Used in Patients with Rheumatoid Arthritis on the Trabecular and Cortical Structure of the Mandible" Diagnostics 15, no. 3: 306. https://doi.org/10.3390/diagnostics15030306
APA StyleYemenoglu, H., Beder, M., Cüre, O., & Günaçar, D. N. (2025). Effects of Different Treatment Methods Used in Patients with Rheumatoid Arthritis on the Trabecular and Cortical Structure of the Mandible. Diagnostics, 15(3), 306. https://doi.org/10.3390/diagnostics15030306

